Last Updated on November 27, 2025 by Bilal Hasdemir

When you suspect a mass or tumor in your brain, a CT scan is key. At Liv Hospital, we use top-notch imaging and care that puts you first. We aim to give you clear answers about mass effect, finding tumors, and the latest in diagnosis.
We start by using a brain mass CT scan to find and check brain tumors fast. This helps us spot and pinpoint tumors and other issues. Knowing about brain tumors means understanding their types and what they look like.
Key Takeaways
- CT scans are key for first checking intracranial masses.
- Brain tumors can be primary or metastatic, benign or malignant.
- Different tumor types have unique traits and age ranges.
- Knowing how tumors look helps us tell them apart.
- Understanding the mass effect is key to diagnosis and treatment.
- Liv Hospital is dedicated to advanced imaging and patient care.
The Fundamentals of Brain Mass CT Scan Technology

CT scanning is key in finding and checking on brain masses. It uses X-rays to make clear images of the brain. This tech helps us make accurate diagnoses and plan treatments for brain mass patients.
How CT Scanning Detects Intracranial Masses
CT scans find brain masses by using X-rays that pass through tissues differently. Detectors catch these changes and make images that show tissue density differences. These images help us spot masses and understand their details.
Density Measurements and Hounsfield Units
Tissue and lesion densities are measured in Hounsfield Units (HU). This scale shows how much X-rays are blocked. Water is 0 HU, air is -1000 HU, and bone is +1000 HU. We use HU to tell different tissues and lesions apart, like tumors, bleeding, and swelling.
Advantages Over Other Neuroimaging Modalities
CT scans have big advantages over other brain imaging methods, mainly in emergencies. They are fast, easy to find, and good at showing bleeding and bone changes. We often start with CT scans for quick checks, saving MRI for more detailed looks.
Brain Tumor CT: Key Imaging Features and Characteristics

CT scans play a big role in checking brain tumors. They help us see how dense the tumor is and how it reacts to contrast. We look for specific signs to figure out what kind of tumor it is.
Tumor Density and Enhancement Patterns
The density of a tumor on a CT scan is key. It tells us if the tumor is more or less dense than the normal brain. Some tumors are darker because they have fewer cells or more fat. Others are brighter because they have more cells or calcium.
When we give the patient contrast, we see how the tumor reacts. This tells us about the tumor’s blood flow and how well it blocks blood flow to the brain. The way the tumor looks after contrast can hint at its type and how serious it is.
Calcification in Brain Tumors
Seeing calcium in a brain tumor is a big clue. Tumors like oligodendrogliomas and meningiomas often have calcium. On a CT scan, calcium shows up as bright spots. These spots can help us guess what kind of tumor it is.
Peritumoral Edema and Invasion Signs
Edema around the tumor is another important sign. It shows up as darker areas around the tumor. How much edema there is can tell us how aggressive the tumor is. Sometimes, the edema is small, but other times it’s big and can cause serious problems.
We also check if the tumor has invaded nearby areas. This includes the ventricles or meninges. Knowing this helps us plan the best treatment, like surgery, radiation, or medicine.
Intra-Axial vs Extra-Axial Masses: Critical Diagnostic Distinctions
It’s key to know the difference between intra-axial and extra-axial masses for accurate diagnosis. We’ll look at what makes these masses unique and their impact on diagnosis.
Characteristics of Intra-Axial Masses
Intra-axial masses grow inside the brain. They can start from the brain itself or come from other places. On CT scans, they make the brain area they’re in bigger, which can cause swelling.
Key features of intra-axial masses include:
- Ill-defined borders due to infiltration into the surrounding brain tissue
- Variable density, often with heterogeneous enhancement
- Associated vasogenic edema
Identifying Extra-Axial Tumors on CT
Extra-axial masses grow outside the brain, from things like the meninges or nerves. On CT scans, they stick to the dura and can press on the brain.
Characteristics of extra-axial masses include:
- Sharp, well-defined borders
- Often homogeneous density
- May show a dural tail sign on contrast-enhanced scans
Differential Diagnosis Based on Location
The place a mass is located helps us figure out what it is. Intra-axial masses are usually brain tumors or metastases. Extra-axial masses are often meningiomas or schwannomas.
We look at a few things when checking where a mass is:
- Relation to the cranial vault and dural surfaces
- Effect on surrounding brain structures
- Presence of calcifications or bony changes
By studying these details on CT scans, we can figure out what a brain mass is. This helps us decide how to treat it.
Mass Effect on CT Scan: Clinical Implications and Assessment
Neurologists and neurosurgeons need to understand the mass effect on CT scans. This is key to figuring out how serious brain masses are and what treatment is needed. The mass effect happens when a mass, like a tumor, pushes normal brain structures out of place.
Defining and Measuring CT Mass Effect
The mass effect on a CT scan is about how much a mass pushes brain structures out of place. We check this by looking at how much the midline structures are shifted. We also look at ventricles and if there are herniation syndromes.
Key indicators of mass effect include:
- Midline shift
- Ventricular compression or dilatation
- Herniation syndromes
- Compression of basal cisterns
Midline Shift Quantification
Midline shift is a key sign of how serious the mass effect is. We measure it by seeing how far off the septum pellucidum or pineal gland is from the midline on CT scans.
Herniation Syndromes Visible on CT
Herniation syndromes happen when brain tissue moves across skull structures. This can press on important areas. On CT scans, we can spot different herniation types, like subfalcine, transtentorial, and tonsillar herniation.
These are medical emergencies that need quick action.
Ventricular Compression Patterns
Ventricular compression is another important part of the mass effect. We look at ventricles on CT scans to see if they’re being squeezed or blocked. This can cause hydrocephalus.
The way ventricles are compressed tells us a lot about the mass. It helps us decide what to do next.
Enhancing Mass CT: The Value of Contrast Studies
Contrast-enhanced CT studies give us valuable insights into brain masses. They show details that non-contrast CTs can’t. Contrast agents help us understand the mass’s characteristics and how it affects the brain.
Contrast Administration Protocols
Protocols for contrast administration help us see masses better. The type of contrast agent, its concentration, and when it’s given are key. For CT scans, iodinated contrast agents are usually used, with the dose based on the patient’s weight and kidney function.
We follow strict guidelines for safe and effective contrast use. This includes checking the patient’s kidney function beforehand and watching for any bad reactions during and after the scan.
Ring Enhancement vs. Homogeneous Enhancement
CT scans can show different enhancement patterns in masses. These patterns help us figure out what the mass might be. Ring enhancement and homogeneous enhancement are two common types.
- Ring enhancement shows a ring of enhancement around a central area. This is often seen in high-grade tumors, abscesses, or metastases.
- Homogeneous enhancement means the whole mass enhances evenly. This is more typical of certain tumors, like meningiomas or some primary brain tumors.
Knowing these patterns helps us narrow down what the mass could be. It guides our next steps in managing the patient.
Differential Diagnosis Based on Enhancement
The enhancement pattern on a CT scan is key to making a diagnosis. We look at the enhancement pattern, the mass’s location, size, and how it affects the brain. This helps us make a more accurate diagnosis.
A ring-enhancing lesion might suggest a brain abscess or a high-grade glioma. A homogeneously enhanced mass could be a meningioma or a metastatic tumor. The clinical context and other imaging findings also help refine the diagnosis.
By combining CT scan findings with clinical data and other diagnostic tools, we can give a detailed evaluation of masses. This helps us choose the best treatment options.
Common Intracranial Masses Identified on CT Scans
CT scans help us find and understand different types of intracranial masses. These can range from primary brain tumors to metastatic lesions and non-neoplastic conditions. Knowing what these masses look like on CT scans is key to correct diagnosis and treatment.
Primary Brain Tumors
Primary brain tumors are a big group of intracranial masses. They can look hypo-, iso-, or hyperdense on CT scans, depending on their type. Gliomas, for example, are common and can show different densities and enhancement patterns.
Meningiomas, another type of primary brain tumor, are usually hyperdense and show strong contrast enhancement. Their appearance on CT scans helps us tell them apart from other masses.
Metastatic Disease Presentation
Brain metastases are common, mainly in cancer patients. On CT scans, they look like multiple, well-defined lesions at the gray-white junction. They often show ring enhancement after contrast, but this can vary.
Non-Neoplastic Masses (Abscesses, Granulomas)
Non-neoplastic masses, like abscesses and granulomas, can look like tumors on CT scans. Abscesses are ring-enhancing with a hypodense center. Granulomas, linked to conditions like tuberculosis or sarcoidosis, can be solid or ring-enhancing.
| Mass Type | Typical CT Appearance | Contrast Enhancement |
| Primary Brain Tumors (Gliomas) | Variable density | Variable enhancement |
| Meningiomas | Hyperdense | Strong enhancement |
| Metastases | Multiple, well-defined lesions | Ring enhancement |
| Abscesses | Ring-enhancing with a hypodense center | Ring enhancement |
| Granulomas | Solid or ring-enhancing | Variable enhancement |
In conclusion, CT scans are essential for spotting and figuring out intracranial masses. By knowing what primary brain tumors, metastatic disease, and non-neoplastic masses look like on CT scans, we can better diagnose and treat them.
CT Head Tumor Evaluation: From Detection to Characterization
Checking head tumors on CT scans is key to diagnosing and treating patients. We’ll show you how to assess these tumors, from first spotting them to understanding them fully.
Initial Assessment and Measurements
When a head tumor is found on a CT scan, we start by measuring its size and where it is. Getting these measurements right is important. It helps us see how the tumor affects the brain and plan the next steps.
We measure the tumor in three directions to find its volume. This helps us track changes and see if treatments are working.
Density Analysis and Attenuation Values
Looking at the density of head tumors is a big part of the evaluation. Tumors can be less dense, the same density, or more dense than brain tissue. We use Hounsfield Units (HU) to measure this density.
For example, some tumors might have calcium deposits, making them appear denser on scans. Others might have fluid-filled areas or dead tissue, making them less dense. Knowing this helps us guess what kind of tumor it might be.
Tumor Margins and Interface with Normal Brain
Looking at the edges of a head tumor gives us clues about its behavior. Tumors can have clear edges or can blend in with the brain.
Tumors with clear edges might be less aggressive. But tumors with fuzzy edges could be more serious. How the tumor touches the brain is also important. It can show if the tumor is pushing on the brain or growing into it.
Multifocality and Satellite Lesions
Some tumors can have multiple parts or nearby smaller tumors. This is common in certain types of tumors, like metastases or lymphomas.
Finding these smaller tumors is important for planning treatment. We carefully look at the scans to spot any extra tumors that might not be obvious at first.
| Feature | Description | Clinical Significance |
| Tumor Density | Measured in Hounsfield Units (HU) | Helps in differential diagnosis |
| Tumor Margins | Can be well-defined or irregular | Indicates tumor aggressiveness |
| Multifocality | Presence of multiple separate lesions | Affects staging and treatment planning |
Brain Mass Effect: Complications and Emergency Findings
A brain mass can put pressure on nearby brain parts. This can lead to serious problems like acute hydrocephalus, vascular compression, and more. These issues can be life-threatening.
Acute Hydrocephalus Detection
Acute hydrocephalus happens when cerebrospinal fluid (CSF) flow is blocked. This is seen on CT scans as enlarged ventricles near the blockage.
Look for these signs:
- Enlarged ventricles
- Periventricular edema
- CSF flow obstruction
Vascular Compression and Ischemia
Vascular compression can cause brain tissue ischemia or infarction. This happens when the mass effect squeezes blood vessels. It reduces blood flow to important areas.
CT scans show:
| Finding | Description |
| Vascular Compression | Narrowing or occlusion of blood vessels |
| Ischemic Changes | Hypodensity in affected brain regions |
Hemorrhagic Transformation of Tumors
Hemorrhagic transformation is a serious issue. It happens when a tumor bleeds. This can cause quick and severe brain problems.
CT scans show:
- Hyperdense areas within the tumor
- Fluid-fluid levels
- Mass effect increases
Impending Herniation Signs
Impending herniation is a critical emergency. It needs quick action. Signs on CT scans include:
- Midline shift
- Unilateral or bilateral uncal herniation
- Tonsillar herniation
In summary, knowing about brain mass effect complications is key. It helps doctors act fast to prevent serious harm. By spotting these signs on CT scans, doctors can save lives.
Advanced CT Techniques for Brain Tumor Evaluation
We are seeing a big change in how we diagnose brain tumors with new CT methods. These advanced techniques help us better understand and manage brain tumors.
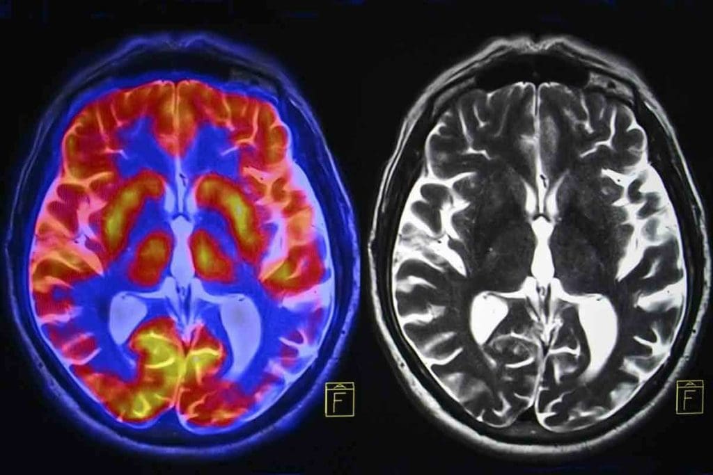
CT Perfusion Imaging Applications
CT perfusion imaging is a key tool for brain tumor evaluation. It shows us how tumors grow and how well they block blood flow. A study in Nature found it can tell the difference between a tumor coming back and damage from treatment.
Key applications of CT perfusion imaging include:
- Assessing tumor angiogenesis
- Evaluating blood-brain barrier disruption
- Monitoring treatment response
Computer Vision-Based Segmentation
Computer vision-based segmentation is another advanced method for brain tumor assessment. It uses artificial intelligence to make tumor identification more accurate and quicker.
“The integration of computer vision in medical imaging has the power to change how we diagnose, making it more precise and faster.”
Dual-Energy CT and Material Decomposition
Dual-energy CT lets us break down materials, which helps in understanding tumor makeup. It scans at two energy levels to spot different materials by their atomic numbers.
Experts say, “Dual-energy CT can spot important tumor features like calcifications or hemorrhage, key for diagnosis.”
Molecular Profiling Correlations
Linking CT scans with molecular profiles is key in brain tumor evaluation. This mix of imaging and genetics helps doctors understand tumors better and plan treatments.
The future of brain tumor diagnosis is combining advanced CT techniques with molecular profiling. This will lead to more personalized and effective treatments.
From CT Findings to Clinical Management
CT scans are key in managing brain masses. They give doctors detailed images. This helps them plan the best next steps for patients.
When to Proceed to MRI
CT scans give a good start, but an MRI is needed for more details. We use MRI when CT shows a need for soft tissue details. This is true for suspected tumors or when checking how the mass affects brain structures.
Choosing MRI depends on the case’s complexity. It’s for when more precise images are needed for treatment plans.
Surgical Planning Based on CT Features
CT scans are vital for surgical planning. They show the mass’s size, location, and type. This helps plan the surgery, assess risks, and prepare for interventions.
CT images help surgeons see the anatomy and pathology clearly. This leads to more precise and effective surgeries.
Radiation Therapy Considerations
For radiation therapy, CT scans are essential. They help outline the target area, identify structures to avoid, and set the radiation dose.
Using CT for planning makes radiation therapy more effective. It also reduces harm to healthy tissues.
Follow-up Imaging Protocols
Setting up follow-up imaging protocols is important. It helps track treatment response and any changes in the mass. Protocols are based on the initial CT, the mass type, and the treatment plan.
Regular imaging catches issues early. This allows for quick treatment plan changes.
Conclusion: The Evolving Role of CT in Brain Mass Diagnosis
CT scans play a key role in finding and understanding brain masses. They help spot tumors and see how they affect the brain. New CT technologies make them even better at this job.
Techniques like CT perfusion imaging and dual-energy CT have made brain mass diagnosis more accurate. Studies on the National Center for Biotechnology Information show how CT is getting better at giving detailed information.
As CT technology gets better, we’ll see more precise diagnoses. This will lead to better treatments and outcomes for patients. CT imaging is becoming even more important in managing brain masses.
FAQ
What is the role of CT scans in diagnosing brain masses?
CT scans are key in finding and checking brain tumors. They show the brain’s details quickly.
How do CT scans differentiate between intra-axial and extra-axial masses?
Intra-axial masses start inside the brain. Extra-axial masses are outside but in the skull. CT scans show where they are and how they look.
What is the mass effect on a CT scan, and why is it significant?
Mass effect means brain structures move because of a tumor. We check this on CT scans. It shows how serious the problem is.
How does contrast enhancement aid in the diagnosis of brain tumors on CT scans?
Contrast CT scans show how blood moves around tumors. This helps us guess what kind of tumor it is and how fast it grows.
What are the characteristic features of brain tumors on CT scans?
We look at density, how it shows up with contrast, and other signs. These help us tell different tumors apart.
How do we quantify midline shift on a CT scan?
We measure how much brain structures move. This tells us how bad the mass effect is.
What are the emergency findings related to brain mass effect on CT scans?
We look for signs of brain damage, swelling, and pressure. These are urgent and need quick action.
How do advanced CT techniques contribute to brain tumor evaluation?
New CT methods help us understand tumors better. They show how active the tumor is and help plan treatment.
When should an MRI be considered after a CT scan for a brain mass?
We use MRI for more detailed looks at tumors. It’s useful when CT scans aren’t clear enough. MRI helps us decide what to do next.
How do CT findings influence the clinical management of brain masses?
CT scans guide treatment choices. They help decide if surgery, radiation, or other treatments are needed. We also use them to check how well treatments work.
References
- National Cancer Institute. (2024). Brain Tumors Treatment (Adult) (PDQ ®) “ Health Professional Version. U.S. Department of Health and Human Services. https://www.cancer.gov/types/brain/hp/brain-treatment-pdq