Cancer involves abnormal cells growing uncontrollably, invading nearby tissues, and spreading to other parts of the body through metastasis. 

We're Here to Help.
Get in Touch.

Send us all your questions or requests, and our expert team will assist you.

Doctors

Overview and definition

Cancer is a broad term for a class of diseases characterized by the uncontrolled growth of abnormal cells. These cells can invade surrounding tissues and spread to other parts of the body, a process called metastasis. Understanding cancer involves recognizing its many forms and the biological processes that drive it. This overview covers the fundamental nature of cancer, its classification, and the differences between malignant and benign tumors.

How Cancer Starts in the Body

The human body is made of trillions of cells that normally grow and divide as needed. When cells become old or damaged, they die, and new cells take their place. Cancer begins when this orderly process breaks down. Genetic changes, or mutations, interfere with these signals, leading to uncontrolled cell growth. These abnormal cells can form a mass of tissue called a tumor.

Icon LIV Hospital

The Difference Between Benign and Malignant

what is cancer staging LIV Hospital

A tumor can be benign or malignant.

  • Benign tumors are not cancerous. They can grow large, but do not invade nearby tissues or spread to other parts of the body. They are usually not life-threatening and can often be removed.
  • Malignant tumors are cancerous. The cells in these tumors can invade surrounding tissues. Furthermore, cancer cells can break away from the original tumor and travel through the blood or lymph system to form new tumors in other organs. This spread is called metastasis.
Icon 1 LIV Hospital

Main Classifications of Cancer

how is cancer staged LIV Hospital

Cancers are classified by the type of cell or tissue where they originate. The main categories include:

  • Carcinoma: Cancers that begin in the skin or in tissues that line or cover internal organs. This is the most common type.
  • Sarcoma: Cancers that start in connective or supportive tissues, such as bone, cartilage, fat, muscle, or blood vessels.
  • Leukemia: Cancers that begin in the blood-forming tissue of the bone marrow. These cancers do not form solid tumors.
  • Lymphoma and Myeloma: Cancers that start in the cells of the immune system.

Symptoms and Causes

Cancer’s signs can be general or specific to the affected organ. Less serious conditions often cause many symptoms. However, recognizing persistent changes and understanding risk factors are key to early detection, which significantly improves treatment outcomes.

General Warning Signs of Cancer

While symptoms vary widely by cancer type, some general signs should prompt a medical consultation, especially if they are new or persistent. These include:

  • Unexplained weight loss
  • Persistent fatigue that does not improve with rest
  • A new lump, thickening, or swelling
  • Unexplained pain that does not go away
  • Changes in bowel or bladder habits
  • A sore, ulcer, or mole that does not heal or changes appearance
  • Unusual bleeding or discharge
  • A nagging cough or hoarseness
cancer

What Causes Cancer?

Cancer is caused by changes (mutations) to the DNA within cells. These changes can be inherited or acquired. Acquired mutations are far more common and can result from external factors, such as carcinogens, or from random errors during cell division. Often, it is a complex combination of these factors rather than a single cause.

Modifiable vs. Non-Modifiable Risk Factors

A risk factor is anything that increases the chance of developing a disease.

  • Non-Modifiable Risk Factors: Factors that cannot be changed. The single biggest risk factor for most cancers is aging. A family history of certain cancers can also increase risk due to inherited genetic mutations.
  • Modifiable Risk Factors: These are related to lifestyle and environment and can be controlled. Key modifiable factors include tobacco use, excess alcohol consumption, poor diet, lack of physical activity, obesity, and exposure to UV radiation (sunlight) or certain chemicals.

30
Years of
Excellence

Trusted Worldwide

With patients from across the globe, we bring over three decades of medical expertise and hospitality to every individual who walks through our doors.  

Book a Free Certified Online Doctor Consultation

Doctors

Table of Contents

We're Here to Help.
Get in Touch.

Send us all your questions or requests, and our expert team will assist you.

Doctors
img 1 LIV Hospital

Diagnosis and Staging

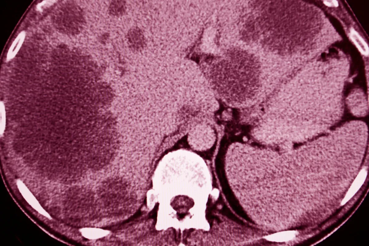
A precise cancer diagnosis is essential for creating an effective treatment plan. The process begins with a physical exam and a review of medical history. While imaging tests like CT scans, MRIs, and PET scans provide images of a tumor’s size and location, a biopsy is the definitive diagnostic tool. This involves removing a small tissue sample for a pathologist to examine. Blood tests may also be used to detect tumor markers. This collective data is then used to “stage” the cancer, a critical step that determines the extent of the disease.

The Diagnostic Process: From Symptom to Biopsy

When a symptom suggests cancer, a doctor will begin with a thorough physical exam and a review of medical history. If a specific area is suspected, the next step is typically an imaging test to visualize the inside of the body. However, cancer can only be confirmed with a biopsy. This procedure involves a specialist (such as a surgeon or radiologist) taking a sample of the suspicious tissue. A pathologist then analyzes these cells under a microscope to confirm the presence of cancer and identify its specific type.

Imaging and Laboratory Tests

Doctors use several tools to diagnose cancer and determine if it has spread:

  • Imaging Tests: CT, MRI, and PET scans produce detailed images of organs and tissues to detect tumors and measure their size.
  • Laboratory Tests: Blood tests, such as a complete blood count (CBC), can reveal abnormalities that may indicate cancer. Specific tests for tumor markers (substances produced by cancer cells) can also help in diagnosis and monitoring.
  • Endoscopy: A procedure where a thin, lighted tube is used to look inside the body, such as a colonoscopy for colon cancer.
Cancer

Understanding Cancer Staging (TNM System)

Staging is the process of finding out how much cancer is in the body. The most common system used is the TNM system:

  • T (Tumor): Describes the size and extent of the primary tumor.
  • N (Nodes): Indicates whether the cancer has spread to nearby lymph nodes.
  • M (Metastasis): Shows whether the cancer has spread (metastasized) to distant parts of the body. This information is combined to assign an overall stage (usually Stage I-IV), which is vital for planning treatment.

Treatment Details

Cancer treatment is highly personalized, based on the specific type, stage, and the patient’s overall health. Treatment plans often use a combination of methods. The primary goal may be curative (to remove all cancer), to control its spread, or palliative (to manage symptoms). These therapies are broadly divided into local treatments, like surgery and radiation, and systemic treatments, such as chemotherapy, which affect the entire body. A multidisciplinary team determines the optimal sequence.

cancer

Local Treatments: Surgery and Radiation Therapy

Untitled LIV Hospital

Local treatments target the cancer in a specific part of the body.

  • Surgery: The goal is to physically remove the tumor and a margin of surrounding healthy tissue. For many early-stage solid tumors, surgery is the primary treatment.
  • Radiation Therapy: This uses high-energy rays (like X-rays) to kill cancer cells. It can be used to shrink a tumor before surgery, kill any remaining cells after surgery, or as the primary treatment.

Systemic Treatments: Chemotherapy, Immunotherapy, and Targeted Therapy

Untitled 1 1 LIV Hospital

Systemic treatments travel through the bloodstream to reach cancer cells throughout the body.

  • Chemotherapy: Uses powerful drugs to kill fast-growing cells.
  • Targeted Therapy: Uses drugs that “target” specific genetic changes or proteins in cancer cells, often with fewer side effects than chemotherapy.
  • Immunotherapy: A treatment that boosts the body’s own immune system to find and destroy cancer cells more effectively.
  • Hormone Therapy: Used for cancers that rely on hormones to grow, such as some breast and prostate cancers.

Palliative Care and Symptom Management

Untitled 2 LIV Hospital

Palliative care is a specialized field focused on improving the quality of life for patients and their families. It is appropriate at any age and at any stage of a serious illness. This type of care focuses on relieving the symptoms and stress of the illness, such as pain, fatigue, and nausea. It can be provided alongside curative treatments.

The Medical Center

Choosing a cancer center is a critical decision. At Liv Hospital, our approach is centered on a multidisciplinary “Tumor Board.” This collaborative team, including oncologists, surgeons, and radiologists, reviews each case to create a unified plan. We are committed to using advanced diagnostic technology and offering the latest treatment protocols. Our philosophy extends beyond the disease to holistic care, supporting the patient and their family through every step of this complex journey.

The Multidisciplinary Tumor Board Advantage

In our center, cancer care is not the responsibility of a single doctor. Our Tumor Board brings together specialists from medical oncology, radiation oncology, surgery, pathology, and radiology. This team collaborates to review complex cases, discuss all possible treatment avenues, and develop a single, comprehensive treatment plan that reflects the collective expertise of multiple disciplines.

shutterstock_2480344577

Advanced Technology in Diagnosis and Treatment

We utilize state-of-the-art technology for both precise diagnosis and effective treatment. This includes high-resolution imaging (such as PET/CT and 3T MRI) for accurate staging, and advanced radiation therapy techniques (like IMRT/VMAT) that target tumors while sparing healthy tissue. Our access to genomic testing also enables the use of targeted therapies and immunotherapies, positioning us at the forefront of personalized medicine.

Comprehensive Patient and Family Support

We understand that a cancer diagnosis affects the entire family. Our commitment to holistic care includes dedicated patient navigators to guide you through the treatment process. We also provide integrated support services, including nutritional counseling to manage side effects, psychological support to address the emotional and mental burden, and palliative care to ensure optimal symptom control and quality of life.

30
Years of
Excellence

Trusted Worldwide

With patients from across the globe, we bring over three decades of medical expertise and hospitality to every individual who walks through our doors.  

Book a Free Certified Online Doctor Consultation

Doctors

Table of Contents

FREQUENTLY ASKED QUESTIONS

What are the common side effects of chemotherapy?

Chemotherapy drugs target fast-dividing cells to kill cancer. However, this also affects healthy fast-dividing cells, such as those in hair follicles, the digestive tract, and bone marrow. Common side effects include:

Fatigue: The most common symptom, often not relieved by rest.

Nausea and Vomiting: Usually managed with anti-nausea medications.

Hair Loss (Alopecia): Temporary loss of hair on the scalp and body.

Increased Infection Risk: Due to a drop in white blood cells (Neutropenia).

Mouth Sores: Inflammation of the lining of the mouth.

How can I manage my diet during treatment?

Nutrition is vital for maintaining strength. Recommendations typically include:

Stay Hydrated: Drink plenty of water to flush out toxins.

Small, Frequent Meals: If nausea is an issue, eat smaller amounts more often rather than three large meals.

Prioritize Protein: Essential for tissue repair after surgery or chemotherapy.

Food Safety: If your immune system is weak, you may need to follow a “neutropenic diet,” avoiding raw meat, raw eggs, and unwashed vegetables to prevent infection.
What is immunotherapy and is it right for me?

Immunotherapy is a treatment that boosts your body’s own immune system to recognize and destroy cancer cells. Unlike chemotherapy, which kills cells directly, immunotherapy helps your white blood cells “see” the cancer. It is not suitable for every patient; eligibility depends on the specific type of cancer and its genetic markers (such as PD-L1 levels), which your oncologist will test for.

How long will my recovery take after surgery?

Recovery time varies significantly depending on the type of surgery (e.g., minimally invasive vs. open surgery) and your overall health.

  • Minimally Invasive: Patients may return to normal activities in 2-4 weeks.

  • Major Open Surgery: Recovery may take 6-8 weeks or longer. Your surgical team will provide a specific timeline and rehabilitation plan.

What support services are available for patients and families?

Comprehensive cancer care extends beyond medicine. Services typically include:

  • Psycho-Oncology: Counseling to help patients and families cope with the emotional stress of a diagnosis.

     
  • Nutritional Counseling: Dietitians to manage weight loss and side effects.

     
  • Palliative Care: Specialists focused on pain management and quality of life.

  • Patient Navigators: dedicated staff who guide you through appointments, insurance, and the treatment journey.

Spine Hospital of Louisiana