Last Updated on October 31, 2025 by Bilal Hasdemir

Understanding carcinoma in situ is key for catching cancer early. We’re here to explain what it means and why it matters. Carcinoma in situ, or stage 0 cancer, is a precancerous state. It means abnormal cells haven’t spread to other tissues yet. What does carcinoma situ meaning? Learn about this pre-malignant condition where the tumor is confined to the epithelium.
Places like Liv Hospital focus on stopping cancer before it starts. They use screenings to find carcinoma in situ early. This is very important because finding it early can greatly improve treatment chances. Unlike stage 1 to stage 4 cancers, carcinoma in situ doesn’t invade tissues.

Carcinoma in situ (CIS) is a type of cancer that stays in its original place. The term “in situ” comes from Latin, meaning “in its place.” This means the cancer cells don’t spread to other areas.
The term “in situ” is key to understanding CIS. It shows that the abnormal cells are in their original spot. They haven’t moved to nearby tissues yet.
Carcinoma in situ is a cancer that only exists in the cells where it started. It hasn’t spread to other tissues. This stage is often seen as a warning sign for more serious cancer if not treated.
The main difference between CIS and invasive cancer is how far the cancer cells have spread. CIS cells stay in one place and don’t break through the basement membrane. Invasive cancer cells, on the other hand, have broken through and can spread to other parts of the body.
| Characteristics | Carcinoma In Situ | Invasive Cancer |
| Spread | Localized, no invasion | Has invaded surrounding tissues |
| Basement Membrane | Intact | Broken through |
| Potential for Metastasis | Low, but can progress | High risk of spreading |
Knowing these differences helps us see why catching CIS early is so important. It helps prevent it from becoming invasive cancer.

Carcinoma in situ is a key stage in cancer growth. It’s important to understand its cell and microscopic details. To explain in situ cancer, we need to know what makes it different from normal cells and invasive cancer.
Cellular Characteristics of Carcinoma In Situ
Carcinoma in situ cells show odd traits that set them apart from normal cells. These traits include:
Even with these oddities, CIS cells haven’t broken through the basement membrane. This membrane is key in keeping epithelial cells separate from the tissue below.
Diagnosing carcinoma in situ involves looking at it under a microscope. CIS cells are recognized by their unique features, such as:
Pathologists use these signs to spot carcinoma in situ. They can tell it apart from benign conditions and invasive cancer.
It’s important to know about the different types of carcinoma in situ. This is because CIS can happen in many parts of the body. The type of CIS depends on where it is and the cells involved.
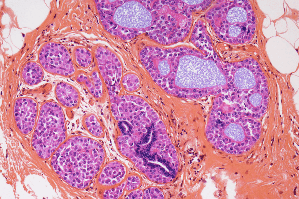
Ductal carcinoma in situ (DCIS) is found in the breast. It has abnormal cells in the milk ducts. DCIS is not invasive because it hasn’t spread to other breast tissue. But, if not treated, it can turn into invasive breast cancer.
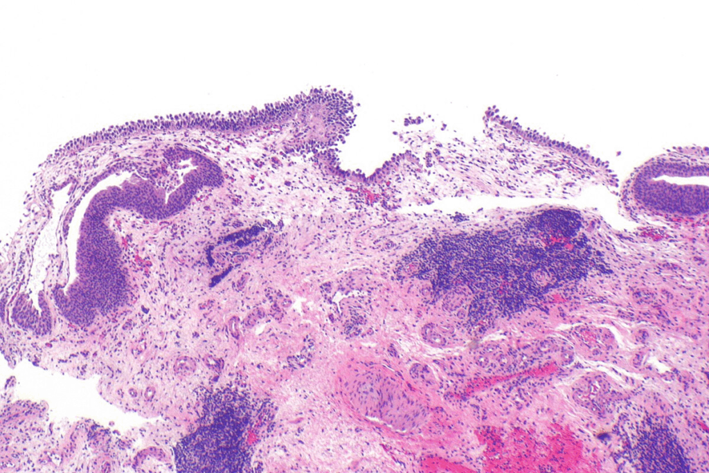
Cervical carcinoma in situ means abnormal cell changes in the cervix that haven’t spread. It’s often found during Pap smear tests. It’s seen as a step before cervical cancer.
Bowen’s disease is a skin CIS that looks like a red, scaly patch. It’s an early stage of skin cancer that hasn’t spread deeper.
Adenocarcinoma in situ happens in glandular tissues. It can be in the cervix, lung, or gastrointestinal tract.
| Type of Adenocarcinoma In Situ | Location | Characteristics |
| Cervical Adenocarcinoma In Situ | Cervix | Abnormal glandular cell growth, precursor to cervical adenocarcinoma |
| Lung Adenocarcinoma In Situ | Lung | Early-stage lung cancer, often found by chance on imaging |
| Gastrointestinal Adenocarcinoma In Situ | Gastrointestinal tract | Abnormal cell growth in glandular tissue, can become invasive cancer |
In conclusion, CIS can show up in many ways and places. Each one has its own traits and what they mean. Knowing these differences helps with the right treatment.
Early detection is key in finding cancers like carcinoma in situ (CIS). We’ll look at how doctors diagnose CIS. This includes screening and the role of pathological exams.
Diagnosing CIS often uses a few steps. For example, ductal carcinoma in situ (DCIS) is usually found with mammograms. These methods help spot problems early, before symptoms show up.
The first step is a physical check-up. Then, tests like mammograms or ultrasounds are used. These help find areas that need more looking into.
When something looks off, a biopsy is done. This takes tissue samples for a closer look. It’s key to see if the cells are CIS or cancer.
The samples are checked under a microscope. This tells doctors if CIS is present and how far it has spread. It helps decide the best treatment.
Getting a correct diagnosis is vital. It affects how well treatment works and the patient’s outcome.
Carcinoma in situ can be caused by genetics, environment, and lifestyle. Knowing these factors helps in early detection and prevention. If not treated, it can turn into invasive cancer.
Genetics play a big role in carcinoma in situ. People with a family history of cancer, like breast or skin cancer, are at higher risk. Certain genes, like BRCA1 and BRCA2, increase the risk of breast cancer.
Lobular carcinoma in situ (LCIS) starts with DNA changes in breast cells. This raises the risk of breast cancer. It’s linked to a higher chance of invasive cancer later on.
| Genetic Mutation | Cancer Type | Increased Risk |
| BRCA1 | Breast Cancer | High |
| BRCA2 | Breast Cancer | High |
Environmental and lifestyle factors also raise the risk of carcinoma in situ. Exposure to harmful chemicals and radiation increases cancer risk. UV radiation, for example, is a risk factor for skin carcinoma in situ.
Choices like smoking and diet affect cancer risk. Eating too much processed food and not enough fruits and vegetables can increase cancer risk, including carcinoma in situ.
By understanding and tackling these risk factors, people can lower their chance of getting carcinoma in situ. This can prevent it from becoming invasive cancer.
Progression and Natural History of In Situ Carcinoma
In situ carcinoma can turn into invasive cancer, but it’s a complex process. Knowing how it progresses helps doctors choose the right treatment.
Rate of Progression to Invasive Cancer
The speed at which in situ carcinoma becomes invasive varies. For example, ductal carcinoma in situ (DCIS) has a chance to turn into invasive breast cancer.
| Type of In Situ Carcinoma | Risk of Progression to Invasive Cancer |
| Ductal Carcinoma In Situ (DCIS) | Approximately 25-30% risk over 10 years if left untreated |
| Lobular Carcinoma In Situ (LCIS) | About 25-30% risk of developing breast cancer |
| Cervical Carcinoma In Situ | Variable, but significant risk if not treated |
Many things can affect how in situ carcinoma turns into invasive cancer. These include genetic predispositions, lifestyle factors, and the specific characteristics of the carcinoma.
Knowing these factors is key to making good treatment plans. It also helps educate patients on how to lower their risk.
The main goal of treating carcinoma in situ is to stop it from becoming invasive cancer. To do this, doctors usually remove the abnormal cells. This helps prevent further growth.
Surgery is a common way to treat CIS. For example, ductal carcinoma in situ (DCIS) might be treated with lumpectomy or mastectomy. Lumpectomy removes the bad cells and some healthy tissue. Mastectomy removes the whole breast.
“Surgery is often the first choice for CIS,” says Medical Expert, a top oncologist. “It has a good chance of curing the disease if all the bad cells are taken out.”
Radiation therapy is also used, often with surgery. For instance, after a lumpectomy, radiation might be used. It kills any remaining bad cells and lowers the chance of coming back.
For some CIS types, like hormone receptor-positive DCIS, hormonal therapy is suggested. This treatment blocks the body’s hormones. Hormones can help cancer cells grow.
In some cases, doctors might choose to watch and wait. This is more likely if the CIS is not aggressive and the patient is at high risk for surgery problems. They will keep a close eye on the patient with regular check-ups and tests.
The American Cancer Society says, “The treatment choice depends on many things. These include the CIS type and location, and the patient’s health and wishes.”
Every patient is different, and treatments are made just for them. Talking about the pros and cons of each option with a doctor helps patients make the best choice for their care.
To prevent carcinoma in situ, we need to live healthy and get regular check-ups. Knowing the risks and acting early can lower CIS chances a lot.
Changing our lifestyle can help a lot in preventing CIS. Eating well with lots of fruits, veggies, and whole grains is key. Staying active also boosts health and fights cancer.
It’s also important to avoid bad stuff like tobacco and drink less alcohol. Stopping tobacco use is easier with help from programs. And, drinking in moderation can cut down cancer risks, including CIS.
Screenings are key for catching CIS early. Screening tests find cell changes early, helping us act fast. We should follow health groups’ screening advice.
New ways to find cancer are helping, catching it at CIS stage. This makes treatment work better. By getting regular checks and knowing the signs, we can fight cancer well.
Combining healthy living with screenings can really cut down CIS risk. This way, we can stay healthy and fight cancer better.
The outlook for carcinoma in situ is very good, with high survival rates after treatment. This is thanks to early detection and effective treatments available today.
Research shows that almost everyone with ductal carcinoma in situ (DCIS) is alive 20 years after diagnosis. This highlights the positive long-term outlook for CIS patients. Early detection and treatment are key to this good prognosis.
Even with a good prognosis, there’s a chance of recurrence. It’s important to monitor closely for any signs of it. The risk of recurrence depends on the type of CIS and the treatment.
For example, after a lumpectomy with radiation for DCIS, the risk of recurrence is low. We stress the need for follow-up care. This includes regular mammograms and clinical exams. It helps catch any recurrence early, allowing for quick action.
Living with a carcinoma in situ diagnosis means you need medical care, emotional support, and ways to cope. The news can deeply affect your mind and emotions. It’s key to understand this to stay well.
Getting a CIS diagnosis can stir up many feelings. You might feel scared, worried, or even relieved that it’s not a worse kind of cancer. The emotional toll should not be ignored, as it can change how you live.
It’s important to recognize these feelings and seek help when you need it.
Having support is key when dealing with a CIS diagnosis. This support can come from family, friends, support groups, and mental health experts.
| Support Resource | Description | Benefits |
| Family and Friends | Emotional support from loved ones | Provides a sense of security and comfort |
| Support Groups | Connecting with others who have CIS | Shares experiences, reduces feelings of isolation |
| Mental Health Professionals | Professional counseling and therapy | Helps manage anxiety, fear, and other emotional responses |
There are also coping strategies like mindfulness, meditation, and learning more about your condition. These can help you deal with the challenges of CIS.
By getting medical care, emotional support, and using coping strategies, you can manage the ups and downs of CIS. This way, you can live with CIS more effectively.
Carcinoma in situ is a condition that needs careful management to stop it from becoming invasive cancer. We’ve looked at what CIS is, how it’s diagnosed, and how it’s treated. It’s key to understand this condition well.
CIS is a step before cancer becomes invasive, and catching it early is vital. Knowing the risks, symptoms, and treatment options helps people make smart choices about their health.
In short, CIS is a serious health issue that needs attention and careful handling. We’ve covered the main points to help people understand their diagnosis and treatment better.
Carcinoma in situ means abnormal cells that haven’t spread. They are often seen as a sign of cancer to come.
Carcinoma in situ means cells are stuck in one place. Invasive cancer means cells have spread to other areas.
Common types include ductal carcinoma in situ (DCIS), cervical carcinoma in situ, skin carcinoma in situ (Bowen’s disease), and adenocarcinoma in situ.
Doctors use tests like mammograms or Pap tests to find it. Then, a biopsy and lab tests confirm the abnormal cells.
Risk factors include genes, environment, and lifestyle. Smoking and eating too much processed food are examples.
Yes, it can turn into invasive cancer if not treated. But, how fast it happens depends on the type and individual factors.
Treatments include surgery, radiation, medicine, and hormonal therapy. The choice depends on the type and how serious it is.
Prevention includes healthy eating, exercise, and regular check-ups. These help catch it early.
If treated early, the outlook is good. Survival rates are high, but ongoing checks are needed.
Getting this diagnosis can be very stressful. It’s important to have support, like counseling and groups, to cope.
“In situ” means cells are in their original place. They haven’t spread to other areas.
It’s seen as a pre-cancer because it could become invasive cancer if not treated.
National Center for Biotechnology Information. (2025). What Does Carcinoma In Situ Mean A Complete. Retrieved from https://www.ncbi.nlm.nih.gov/books/NBK567766/
Subscribe to our e-newsletter to stay informed about the latest innovations in the world of health and exclusive offers!
WhatsApp us