Last Updated on December 1, 2025 by Bilal Hasdemir

Key Indicators on the CBC lymphoma results Report
Key Indicators on the CBC lymphoma results Report 3

Analyzing the specific cell counts and ratios found on the CBC lymphoma results that suggest the disease. A Complete Blood Count (CBC) is key in finding lymphoma, a cancer that affects the immune system. If a CBC shows odd results, it might mean you need more tests.

If you have lymphoma, your CBC might show odd blood cell counts. This could mean you have anemia or too many white blood cells. Knowing what these CBC results mean is important for finding and tracking lymphoma.

Key Takeaways

  • A CBC is a critical test for diagnosing lymphoma.
  • Abnormal CBC results can indicate the presence of lymphoma.
  • Understanding CBC results is essential for lymphoma diagnosis and monitoring.
  • CBC blood tests can reveal abnormalities in blood cell counts.
  • Lymphoma diagnosis often involves a combination of CBC and other diagnostic tests.

Understanding Complete Blood Count (CBC) Basics

A Complete Blood Count (CBC) is a key test that shows what’s in your blood. It helps doctors check your health and find problems like infections, anemia, and leukemia.

Components of a CBC Test

A CBC test looks at several important parts of your blood. These include:

  • White Blood Cell Count (WBC): This counts the white blood cells that fight off infections.
  • Red Blood Cell Count (RBC): It checks the number of red blood cells that carry oxygen.
  • Hemoglobin (Hb): This measures the protein in red blood cells that carries oxygen.
  • Hematocrit (Hct): It shows the amount of red blood cells in your blood.
  • Platelet Count: This counts the platelets, which help your blood clot.

Together, these parts give a full picture of your blood health.

Normal CBC Reference Ranges

Knowing the normal ranges for CBC tests is key to understanding your results. These ranges can change a bit between labs. But generally, they are:

ComponentNormal Range
White Blood Cell Count4,500 – 11,000 cells/μL
Red Blood Cell CountMale: 4.32 – 5.72 million cells/μL; Female: 3.90 – 5.03 million cells/μL
HemoglobinMale: 13.5 – 17.5 g/dL; Female: 12.0 – 16.0 g/dL
HematocritMale: 38.8 – 50.0%; Female: 34.9 – 44.5%
Platelet Count150,000 – 450,000/μL

The National Institutes of Health says, “Reference ranges are set by testing a large group of healthy people.” Knowing these ranges is key for diagnosing and tracking diseases like lymphoma.

Lymphoma and Its Impact on Blood Production

Key Indicators on the CBC lymphoma results Report
Key Indicators on the CBC lymphoma results Report 4

It’s important to understand how lymphoma affects blood production. Lymphoma is a cancer that starts in the lymphatic system. It can harm the body’s ability to make blood cells.

This harm comes from lymphoma’s effect on the bone marrow. The bone marrow is the spongy tissue inside bones where blood cells are made.

How Lymphoma Affects Bone Marrow Function

Lymphoma can invade the bone marrow, messing with its job. When lymphoma cells fill the bone marrow, they push out the cells that make blood. This can lower the production of red and white blood cells and platelets.

This can cause various problems with blood levels. Bone marrow infiltration by lymphoma cells also messes up the marrow’s structure. This makes it harder for the marrow to make blood cells.

Mechanisms of Blood Cell Disruption in Lymphoma

Lymphoma’s impact on blood cell production is complex. One way it works is by making cytokines and other signaling molecules. These can slow down blood cell production or help lymphoma cells grow more.

Another way is by replacing normal bone marrow cells with lymphoma cells. This reduces the number of normal blood cells. It can lead to anemia, neutropenia, and thrombocytopenia.

CBC Lymphoma Results: What to Expect

The CBC test is key in diagnosing and tracking lymphoma. It gives important info about blood cell counts. When lymphoma is suspected or confirmed, CBC results are vital. They help understand how the disease affects blood cell production.

CBC abnormalities can show if lymphoma is present and how severe it is. These changes include white blood cell, red blood cell, and platelet count variations. Knowing these changes is important for diagnosing and tracking the disease.

Typical Blood Count Abnormalities

In lymphoma patients, CBC results often show specific changes. Common abnormalities include:

  • Altered white blood cell counts, either elevated or decreased
  • Anemia indicated by low red blood cell count or hemoglobin levels
  • Thrombocytopenia or low platelet count

These changes happen because lymphoma affects the bone marrow. The severity and type of these abnormalities can vary depending on the lymphoma subtype and stage.

Severity of CBC Changes by Lymphoma Stage

The stage of lymphoma affects CBC abnormalities. In early stages, changes might be small or not seen at all. But, in advanced stages, blood cell count changes are more noticeable. Understanding the link between lymphoma stage and CBC changes is vital for:

  • Accurate diagnosis
  • Monitoring disease progression
  • Assessing response to treatment

By looking at CBC results with lymphoma staging, doctors can make better decisions for patient care.

White Blood Cell Abnormalities in Lymphoma

White blood cell abnormalities are a key sign of lymphoma. They show up in different ways that doctors need to spot. Lymphoma can make white blood cell counts go up or down, leading to conditions like leukocytosis or leukopenia.

High WBC Count (Leukocytosis) Patterns

Many lymphoma patients have a high white blood cell count, or leukocytosis. This happens when the body makes more white blood cells than normal. It’s often because of cancer cells or the body’s fight against the tumor.

Patterns of leukocytosis in lymphoma:

  • Increased lymphocyte count
  • Presence of atypical lymphocytes
  • Reactive lymphocytosis

Low WBC Count (Leukopenia) Patterns

Some lymphoma patients have leukopenia, or a low white blood cell count. This can happen when lymphoma cells fill the bone marrow, stopping normal blood cell production. Leukopenia makes infections more likely and can make treatment harder.

Causes of leukopenia in lymphoma:

  • Bone marrow involvement
  • Effects of chemotherapy or radiation
  • Immune system dysregulation

Abnormal Lymphocyte Morphology

Lymphoma can also change how lymphocytes look. These changes can help doctors diagnose the disease. Look for irregular shapes, big nucleoli, or unusual cytoplasm.

Looking at lymphocyte shape under a microscope is key for diagnosing lymphoma. Doctors use special tools like flow cytometry or immunohistochemistry to find specific markers or genetic changes.

Red Blood Cell Changes in Lymphoma Patients

People with lymphoma often see changes in their red blood cells. This affects their health. Lymphoma, a cancer of the lymphatic system, impacts red blood cell production and quality.

Lymphoma can cause different red blood cell problems. These include anemia and changes in red blood cell shape. Knowing about these changes helps manage the disease better.

Anemia and Low Hemoglobin Levels

Anemia is common in lymphoma patients. It means they have too few red blood cells or low hemoglobin. This happens when lymphoma cells fill the bone marrow, reducing red blood cell production.

Symptoms of anemia include feeling tired, weak, and short of breath. In lymphoma patients, anemia can get worse because of chemotherapy and other treatments.

RBC Morphology Alterations

Lymphoma can also change red blood cell shape and color. These changes happen because of the disease’s effect on the bone marrow.

These changes can be seen with a blood smear test. This test looks at red blood cell features. Knowing about these changes helps doctors diagnose and treat lymphoma better.

Watching red blood cell changes helps doctors understand lymphoma’s progress and treatment success.

Platelet Abnormalities Associated with Lymphoma

Platelet problems are common in lymphoma patients. These issues can cause changes in platelet count or function. This might lead to bleeding or clotting problems.

Lymphoma can impact platelet production and function in many ways. It’s important to understand these changes. This helps manage the risk of bleeding or clotting in these patients.

Thrombocytopenia (Low Platelet Count)

Thrombocytopenia, or low platelet count, is common in lymphoma patients. It can happen due to lymphoma cells in the bone marrow, reduced platelet production, or immune attacks on platelets.

Clinical manifestations of thrombocytopenia vary. They can range from mild bruising to severe bleeding. The risk of bleeding is high in patients getting chemotherapy or other treatments that lower platelet count or function.

Platelet Function Disorders

Lymphoma can also cause problems with platelet function. These issues can make it hard for platelets to stick together or to damaged blood vessels. This increases the risk of bleeding.

Mechanisms underlying platelet dysfunction in lymphoma are complex. They may include the effects of proteins made by tumor cells. It’s key to identify and manage these disorders to reduce bleeding risks.

Managing platelet abnormalities is a vital part of caring for lymphoma patients.

CBC Differences Between Hodgkin and Non-Hodgkin Lymphoma

It’s key to know the CBC differences between Hodgkin and non-Hodgkin lymphoma for accurate diagnosis and treatment. Both types show abnormal CBC findings, but the extent and type of these differences vary.

Characteristic CBC Findings in Hodgkin Lymphoma

Hodgkin lymphoma has distinct CBC patterns. Common findings include:

  • Neutrophilia (elevated neutrophil count)
  • Lymphopenia (reduced lymphocyte count)
  • Eosinophilia (increased eosinophil count) in some cases
  • Normal or slightly elevated white blood cell (WBC) count

These CBC changes are linked to the disease’s stage and type. For example, advanced-stage Hodgkin lymphoma often shows more significant CBC changes.

Typical CBC Patterns in Non-Hodgkin Lymphoma Subtypes

Non-Hodgkin lymphoma (NHL) includes many types, each with unique CBC profiles. Common CBC findings in NHL include:

  • Variable WBC count, ranging from leukopenia to leukocytosis
  • Lymphocytosis (increased lymphocyte count) in certain subtypes
  • Anemia and thrombocytopenia in advanced cases
  • Cytopenias due to bone marrow involvement

The CBC pattern can hint at the NHL subtype and its aggressiveness. For instance, high-grade NHL often shows more severe CBC changes than indolent types.

Comparing CBC findings between Hodgkin and non-Hodgkin lymphoma shows the need to consider the lymphoma subtype in diagnosis. While there’s some overlap, knowing the specific differences helps in differential diagnosis and guides further testing.

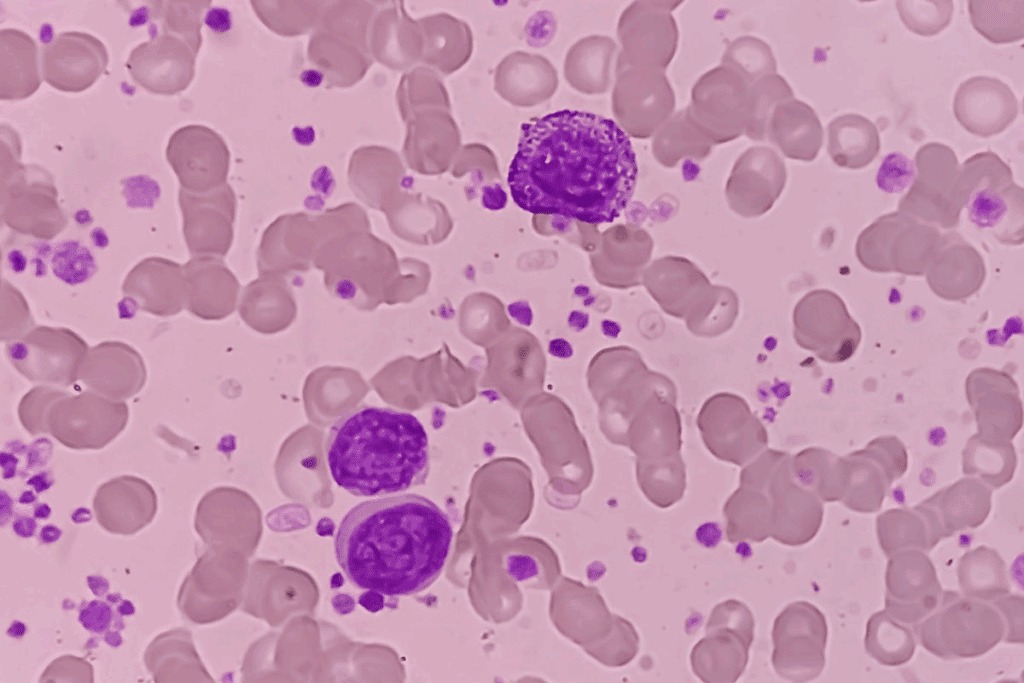
Blood Smear Analysis in Lymphoma Diagnosis

Blood smear analysis is key in diagnosing lymphoma. It works alongside Complete Blood Count (CBC) results. This method looks at blood under a microscope to check blood cell shapes.

Identifying Abnormal Lymphocytes

This analysis helps spot abnormal lymphocytes, a sign of lymphoma. These cells are different in size, shape, and structure. Finding these cells means lymphoma might be present, leading to more tests.

Key features of abnormal lymphocytes include:

  • Enlarged or irregularly shaped nuclei
  • Altered nuclear-to-cytoplasmic ratio
  • Presence of nucleoli
  • Abnormal chromatin patterns

Reed-Sternberg Cells and Other Diagnostic Markers

Reed-Sternberg cells are a big deal in blood smear analysis. They are big, have two nuclei, and show clear nucleoli. They point strongly to Hodgkin lymphoma, though they’re not the only sign.

Other markers seen include:

  1. Large granular lymphocytes
  2. Cells with cleaved or convoluted nuclei
  3. Atypical lymphoid cells

Finding these cells is vital for lymphoma diagnosis. It helps tell different types of lymphoma apart. This info, with CBC results and other tests, helps doctors make the right diagnosis and treatment plan.

Beyond CBC: Additional Blood Tests for Lymphoma

Several blood tests are key in diagnosing and managing lymphoma, beyond the CBC. These tests give more details. They help doctors understand the disease’s severity, track its growth, and decide on treatments.

LDH and Other Enzyme Levels

Lactate Dehydrogenase (LDH) is found in many body parts. High LDH levels can mean tissue damage or disease, like lymphoma. In lymphoma, high LDH levels often mean the disease is aggressive and has a worse outlook.

Other enzymes like:

  • Alkaline Phosphatase (ALP): High ALP can show bone involvement.
  • Aspartate Aminotransferase (AST) and Alanine Aminotransferase (ALT): These liver enzymes can rise if lymphoma affects the liver.
EnzymeSignificance in Lymphoma
LDHElevated levels often associated with aggressive disease and poor prognosis.
ALPMay indicate bone involvement.
AST/ALTCan be elevated with liver involvement.

Erythrocyte Sedimentation Rate (ESR)

ESR measures how fast red blood cells settle in a test tube. It shows the body’s inflammation level. In lymphoma patients, a high ESR can mean active disease or inflammation.

“The erythrocyte sedimentation rate (ESR) is a non-specific marker of inflammation that can be elevated in various conditions, including infections, autoimmune diseases, and malignancies like lymphoma.”

— Henry’s Clinical Diagnosis and Management by Laboratory Methods

Serum Protein Electrophoresis

Serum Protein Electrophoresis (SPEP) measures blood proteins. It can spot abnormal proteins made by cancer cells, like in lymphoma. SPEP is key for diagnosing and tracking plasma cell dyscrasias, like multiple myeloma, and helps in lymphoma diagnosis too.

These blood tests, along with CBC results and other tools, help doctors accurately diagnose lymphoma. They can also find the disease’s subtype and track its growth. Knowing these test results helps patients and their families make better care choices.

Pancytopenia in Advanced Lymphoma

Pancytopenia is a serious issue in advanced lymphoma patients. It happens when the bone marrow can’t make enough blood cells. This includes red blood cells, white blood cells, and platelets.

Causes and Mechanisms

Pancytopenia in advanced lymphoma comes from several reasons. Bone marrow infiltration by lymphoma cells is a big cause. It messes up blood cell production. Other factors include:

  • Chemotherapy and radiation therapy, which can slow down bone marrow
  • Lymphoma-related cytokines that mess with blood cell making
  • Advanced disease stage, showing the lymphoma has spread a lot

Knowing these causes helps in managing pancytopenia better.

Clinical Significance and Management

Pancytopenia is very important for patients with advanced lymphoma. It can cause:

Clinical ConsequenceDescription
AnemiaFatigue and weakness from not enough red blood cells
NeutropeniaHigher risk of infections from low white blood cells
ThrombocytopeniaRisk of bleeding from low platelets

Managing it involves supportive care like blood transfusions. It also includes using growth factors to help the bone marrow. And adjusting treatment plans for lymphoma.

Early detection and proper management of pancytopenia are key to better outcomes in advanced lymphoma.

Using CBC for Lymphoma Treatment Monitoring

Regular CBC tests are key for checking how well lymphoma patients do with treatment. These tests show important info about blood cell counts. This helps doctors see if treatment is working and if they need to change it.

CBC Changes During Chemotherapy

Chemotherapy is a common treatment for lymphoma. It can greatly change blood cell counts. Patients might see drops in white blood cells (leukopenia), red blood cells (anemia), and platelets (thrombocytopenia). It’s important to watch these changes to manage side effects and adjust treatment.

A drop in white blood cells can raise the risk of infections. This might mean using granulocyte-colony stimulating factor (G-CSF) to boost white blood cell production. Anemia might need iron supplements or blood transfusions to increase red blood cells.

Recovery Patterns Post-Treatment

After treatment, CBC tests are vital for tracking recovery. Blood cell counts can recover at different rates for each patient. This depends on the type of lymphoma, treatment intensity, and how the patient responds.

Usually, blood cell counts get better slowly after treatment stops. But some patients might have lasting low counts. Regular CBC tests help doctors keep an eye on these patterns and fix any ongoing issues.

By watching CBC changes during and after treatment, doctors can make treatments better. This improves care for patients.

Bone Marrow Involvement and CBC Correlation

The link between bone marrow infiltration and CBC results is key in diagnosing and staging lymphoma. Bone marrow involvement shows how severe and fast lymphoma is growing. CBC findings help doctors guess if bone marrow is involved and what steps to take next.

When to Suspect Bone Marrow Infiltration

Abnormal CBC results can hint at bone marrow involvement. For example, unexplained cytopenias (low blood cell counts) or odd cells in the blood suggest bone marrow problems.

When CBC shows anemia, leukopenia, or thrombocytopenia, it might mean lymphoma has spread to the bone marrow. “These cytopenias, along with other symptoms, should lead to checking for bone marrow involvement,” say hematology experts.

Bone Marrow Biopsy Indications

A bone marrow biopsy is needed to confirm bone marrow infiltration. It’s called for when suspicious CBC findings or unexplained symptoms appear. It’s also used to check how much bone marrow is involved for staging.

A bone marrow biopsy looks at bone marrow tissue for abnormal cells. This test is vital for diagnosing and staging lymphoma correctly.

It’s important to understand how CBC findings relate to bone marrow involvement for lymphoma diagnosis and staging. Recognizing bone marrow infiltration signs in CBC results helps doctors decide if a bone marrow biopsy is needed. This guides treatment choices.

Differential Diagnosis: Other Conditions with Similar CBC Findings

Diagnosing lymphoma needs a careful look at other conditions with similar CBC results. A Complete Blood Count (CBC) is key, but its results can look the same in many diseases.

Infections and Inflammatory Disorders

Infections and inflammatory diseases can change CBC results, making them look like lymphoma. For example, severe infections can raise white blood cell counts, looking like lymphoma. Chronic inflammation can also cause anemia and affect platelet counts.

  • Infectious Mononucleosis: Caused by Epstein-Barr virus, it can present with lymphocytosis and atypical lymphocytes, similar to lymphoma.
  • Tuberculosis: Can cause anemia, leukocytosis, or leukopenia, and sometimes thrombocytopenia.

Other Hematologic Malignancies

Other blood cancers can also show similar CBC changes as lymphoma. These include:

  • Leukemia: Acute or chronic leukemia can have overlapping CBC features with lymphoma, such as abnormal white blood cell counts.
  • Myeloproliferative Neoplasms: Conditions like polycythemia vera or essential thrombocythemia can cause elevated blood cell counts.

Autoimmune Conditions

Autoimmune diseases can also change CBC results, making them look like lymphoma. For example:

  • Systemic Lupus Erythematosus (SLE): Can cause anemia, leukopenia, and thrombocytopenia.
  • Rheumatoid Arthritis: May result in anemia of chronic disease and sometimes thrombocytosis.

Looking closely at CBC results, along with other tests and clinical checks, is key for a correct diagnosis.

ConditionCBC FindingsDifferential Diagnostic Considerations
Infectious MononucleosisLymphocytosis, atypical lymphocytesClinical presentation, serology tests
Chronic Lymphocytic Leukemia (CLL)LymphocytosisFlow cytometry, genetic testing
Systemic Lupus Erythematosus (SLE)Anemia, leukopenia, thrombocytopeniaAutoantibody tests, clinical criteria

Case Studies: CBC Patterns in Different Lymphoma Presentations

To understand lymphoma’s effect on CBC results, let’s look at some case studies. These examples show how CBC patterns vary in different lymphoma stages and presentations.

Early-Stage Lymphoma CBC Examples

In early-stage lymphoma, CBC results might show small changes. For example, a patient with stage I follicular lymphoma might have a CBC like this:

ParameterResultReference Range
WBC8.5 x10^9/L4.5-11 x10^9/L
RBC4.2 x10^12/L4.32-5.72 x10^12/L
Hemoglobin13.5 g/dL13.5-17.5 g/dL
Platelet Count250 x10^9/L150-450 x10^9/L
Lymphocyte Percentage40%20-40%

This patient’s CBC looks mostly normal. But, the lymphocyte percentage is a bit higher. This could be an early sign of lymphoma.

Advanced-Stage Lymphoma CBC Examples

Advanced-stage lymphoma, on the other hand, shows more obvious CBC changes. Let’s consider a patient with stage IV diffuse large B-cell lymphoma:

ParameterResultReference Range
WBC20 x10^9/L4.5-11 x10^9/L
RBC3.0 x10^12/L4.32-5.72 x10^12/L
Hemoglobin9.0 g/dL13.5-17.5 g/dL
Platelet Count80 x10^9/L150-450 x10^9/L
Lymphocyte Percentage60%20-40%

This patient’s CBC shows big changes. These include high white blood cell count, low red blood cell count, low platelet count, and high lymphocyte count. These signs point to advanced disease.

These case studies show the wide range of CBC patterns in lymphoma patients. From almost normal results in early stages to big changes in advanced stages.

When to Suspect Lymphoma Based on CBC Results

Lymphoma diagnosis often starts with a CBC, a routine test. It can show signs of lymphoma when looked at closely. A CBC checks the blood’s different parts, like white and red blood cells, and platelets.

Red Flags in CBC Reports

Certain CBC results can hint at a risk for lymphoma. These include:

  • Abnormal White Blood Cell Count: Both too high and too low white blood cell counts can point to lymphoma.
  • Anemia and Low Hemoglobin: Anemia, shown by low hemoglobin or hematocrit, might mean lymphoma is affecting the bone marrow.
  • Thrombocytopenia: A low platelet count can be linked to lymphoma, if it’s in the bone marrow.
  • Abnormal Lymphocytes: Seeing atypical lymphocytes or lymphoblasts in the blood is a warning sign for lymphoma.

Next Steps After Suspicious CBC Findings

If a CBC shows signs of lymphoma, more tests are needed. These might include:

  1. Additional Blood Tests: Tests like LDH levels, ESR, and serum protein electrophoresis can give more clues about lymphoma.
  2. Bone Marrow Biopsy: A bone marrow biopsy checks if lymphoma has spread to the bone marrow.
  3. Imaging Studies: CT scans or PET scans help see how far lymphoma has spread.
  4. Lymph Node Biopsy: A biopsy of an affected lymph node is key to confirming lymphoma and its type.

Spotting lymphoma early and acting fast is vital. Doctors need to watch CBC results closely. They should start more tests when they see warning signs.

Conclusion: The Role of CBC in Lymphoma Diagnosis and Management

A Complete Blood Count (CBC) is key in finding and treating lymphoma. It helps doctors spot odd blood cell counts that might mean lymphoma.

When doctors look at CBC results, they see changes in white, red blood cells, and platelets. These signs can point to lymphoma, helping doctors decide what tests to run next.

For managing lymphoma, CBC tracks how treatment affects blood cells. It also catches any problems early. Knowing how CBC helps in lymphoma care is vital for good patient care.

Doctors use CBC results to make smart choices about diagnosing and treating lymphoma. This leads to better care and results for patients.

FAQ

What does a CBC test measure, and how is it related to lymphoma diagnosis?

A CBC test looks at different parts of the blood. It checks the white, red blood cells, and platelets. If these counts are off, it could mean lymphoma, making CBC a key tool for diagnosis.

How does lymphoma affect bone marrow function, and what are the consequences for blood cell production?

Lymphoma can harm the bone marrow, making it hard to make blood cells. This can cause low counts of red and white blood cells and platelets.

What are the typical CBC abnormalities found in lymphoma patients, and how do they vary by lymphoma stage?

Lymphoma patients often see changes in their blood cell counts. These changes can get worse as the disease progresses. More advanced stages show bigger changes.

How do white blood cell abnormalities in lymphoma patients manifest, and what are the implications for diagnosis?

White blood cell issues in lymphoma patients can show up in different ways. They might have too many or too few cells, or their cells might look different. These signs can point to lymphoma and are key for diagnosis.

What is pancytopenia, and how is it related to advanced lymphoma?

Pancytopenia is when all blood cell counts are low. In advanced lymphoma, this happens because lymphoma cells fill up the bone marrow. This stops it from making enough blood cells.

How is CBC used to monitor the effectiveness of lymphoma treatment?

CBC results help see if treatment is working. They track changes in blood cell counts during and after treatment. This helps doctors know how well a patient is doing.

What other blood tests are relevant to lymphoma diagnosis, and how do they complement CBC results?

Tests like LDH levels, ESR, and serum protein electrophoresis are also important. They give more info that, with CBC, helps diagnose and keep track of lymphoma.

How can bone marrow involvement in lymphoma be suspected based on CBC findings, and when is a bone marrow biopsy indicated?

CBC findings can hint at bone marrow involvement in lymphoma. A bone marrow biopsy is needed if CBC shows signs of lymphoma cells in the marrow.

What are some other conditions that can have similar CBC findings to lymphoma, and how is a differential diagnosis made?

Conditions like infections, inflammatory disorders, and other cancers can look like lymphoma on CBC. A diagnosis is made by looking at symptoms, medical history, and more tests.

What are the red flags in CBC reports that may indicate lymphoma, and what are the next steps after suspicious findings?

Red flags in CBC reports include odd white, red blood cell, and platelet counts. If these are seen, more tests like imaging and bone marrow biopsy are needed to confirm lymphoma.

Reference

MedlinePlus – Leukemia Information:https://medlineplus.gov/leukemia.html

30
Years of
Excellence

Trusted Worldwide

With patients from across the globe, we bring over three decades of medical expertise and hospitality to every individual who walks through our doors.  

Book a Free Certified Online Doctor Consultation

Doctors

Table of Contents