Last Updated on October 31, 2025 by Bilal Hasdemir

Getting a diagnosis of carcinoma in situ can be scary. But it’s important to know it’s an early, non-invasive form of cancer. This means the abnormal cells are only in the top layer of cells and haven’t spread.
Carcinoma in situ, or stage 0 cancer, is a warning sign before cancer grows. It’s a sign that cancer might happen but hasn’t yet. Not all cancer types have a CIS stage, like bone cancer or leukemia. Knowing what CIS is and what it means is key for making good health choices.

To understand CIS, we need to know what it is, its characteristics, and how it differs from invasive cancer. CIS is a type of cancer that stays in one place. It hasn’t spread to other areas yet.
The term ‘carcinoma in situ’ comes from Latin. “In situ” means ‘in its place.’ This means cancer cells stay where they started, without spreading.
This term helps us see CIS as an early-stage cancer. It hasn’t moved to other tissues yet.
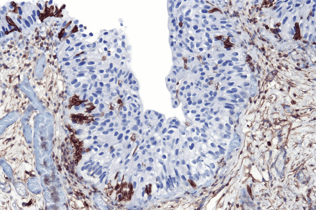
CIS is different from invasive cancer because CIS cells haven’t crossed the basement membrane. This thin layer of tissue keeps cells in place. Invasive cancer, on the other hand, has spread past this membrane.
This difference shows why catching CIS early is so important. It helps stop it from becoming invasive cancer.
Even though CIS is an early-stage cancer, it needs medical care. If not treated, CIS could turn into invasive cancer. So, getting help quickly is key.

CIS cancer involves complex changes in cells. These changes set it apart from normal cells and invasive cancer. We will look closely at these changes, focusing on what makes CIS unique.
CIS cells are different from normal cells. They haven’t invaded the basement membrane yet. This is a key difference that sets CIS apart from invasive cancer.
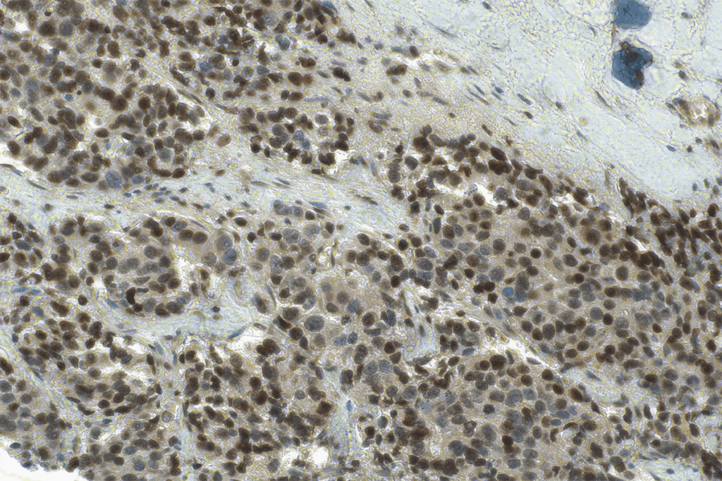
CIS cells vary in size, shape, and how they’re organized. They often have abnormal nuclei. These changes are important for diagnosing CIS and understanding its risk.
Under a microscope, CIS cells show distinct features. Their structure is disorganized, unlike normal cells. This disorganization is a sign of abnormal growth in CIS.
To better understand CIS, let’s compare it with normal cells and invasive cancer cells:
| Cell Type | Cellular Organization | Nuclear Abnormalities | Invasion Status |
| Normal Cells | Organized | Minimal | No Invasion |
| CIS Cells | Disorganized | Present | No Stromal Invasion |
| Invasive Cancer Cells | Highly Disorganized | Significant | Stromal Invasion Present |
CIS is classified as stage 0 cancer (TisN0M0). Knowing about CIS’s biology is key for early detection and treatment.
The way we classify and stage CIS cancer is key in medical care. It helps decide how to treat and what to expect. Knowing these systems is vital for doctors to choose the right treatment for CIS patients.
The TNM Classification System is a common method for cancer staging, including CIS. TNM stands for Tumor, Node, and Metastasis. These three parts help figure out how far the cancer has spread.
For CIS, the TNM system is very important. CIS is considered stage 0 cancer. This means it’s non-invasive and hasn’t spread beyond the epithelium.
| Stage | Description |
| Stage 0 | CIS – Cancer is confined to the epithelium, non-invasive. |
| Stage I-IV | Invasive cancer – Cancer has spread beyond the epithelium. |
Stage 0 cancer, or CIS, is when cancer cells are present but haven’t invaded deeper tissues. This stage is very important. It’s a time when treatment can stop the cancer from becoming invasive.
“The early detection of CIS provides an opportunity for treatment before the cancer becomes invasive, significantly improving patient outcomes.” – Medical Expert, Oncologist
CIS is usually found through screening and biopsies. Knowing CIS is stage 0 cancer highlights the need for early action.
By accurately staging CIS, doctors can create specific treatment plans. This approach helps improve patient outcomes.
CIS can show up in different parts of the body, like the breast, bladder, and skin. Each type has its own traits. Knowing these helps doctors diagnose and treat it right.
Breast CIS includes ductal carcinoma in situ (DCIS) and lobular carcinoma in situ (LCIS). DCIS has cancer cells in the milk ducts but doesn’t spread. LCIS has abnormal cells in the breast lobules. Both are non-invasive and found during mammograms.
Urothelial CIS, or bladder CIS, is a flat, non-invasive growth in the bladder lining. It’s linked to high-grade tumors and has a high chance of turning into invasive bladder cancer.
| Feature | Description |
| Location | Confined to the urothelium |
| Risk | High risk of progression to invasive cancer |
| Diagnosis | Typically diagnosed through cystoscopy and biopsy |
“Urothelial CIS is a serious condition that requires prompt and effective treatment to prevent progression to invasive bladder cancer.”
Skin CIS, or Bowen’s disease, is a skin cancer that stays in the top layer of the skin. It grows slowly and looks like a reddish patch or plaque. It usually shows up on sun-exposed areas.
In conclusion, CIS can happen in different parts of the body, each with its own traits and treatment needs. Knowing these differences is key to giving the right care.
Carcinoma In Situ (CIS) can be caused by genetics, environment, and lifestyle. Knowing these factors helps us spot who’s at higher risk. This knowledge is key to taking steps to prevent CIS.
Genetics play a big role in CIS. If your family has a history of cancer, like breast, bladder, or skin, you’re at higher risk. Certain genes, like BRCA1 and BRCA2, can also raise your risk of CIS.
Some important genetic factors are:
Environmental factors also play a big part in CIS. Being exposed to certain chemicals and radiation can up your risk.
Lifestyle choices can also affect CIS risk. While some factors are out of our control, we can make changes to lower our risk.
By understanding and tackling these risk factors, we can lower our chance of getting CIS. This can also help prevent it from turning into invasive cancer.
Healthcare providers use many tools to find CIS. They pick the right method based on where and what kind of CIS it is.
Screening is key in finding CIS early. For example, urine tests help spot bladder CIS. Mammograms and visual checks are used for breast and skin CIS.
Biopsy is a sure way to diagnose CIS. It takes a small tissue sample for a microscope check. There are different ways to do a biopsy, like needle or surgical.
Each organ has its own biopsy method. Needles are used for breast CIS, and cystoscopy for bladder CIS.
Imaging is important for finding out how big CIS is. Common tools include:
These tools help see how big and where CIS is. This info is key for treatment plans.
Quick diagnosis and watching CIS are very important. Early detection and accurate diagnosis can greatly improve treatment results.
The treatment for carcinoma in situ (CIS) varies based on several factors. These include the location and type of CIS. Management options range from surgery to medication and new therapies.
Surgery is a common first step in treating CIS. The type of surgery depends on where and how much CIS is present. For example, in the breast, it might be a lumpectomy or mastectomy. Skin CIS often requires surgical removal.
“Surgery is very effective for CIS, mainly if caught early,” says Medical Expert, a leading oncologist. “It’s important to choose the right surgery for each person’s situation.”
Radiation therapy is used for CIS, too. It’s helpful when surgery margins are not clear or when there’s a high risk of coming back. It uses high-energy rays to kill off bad cells. For breast CIS, it might be used after a lumpectomy to lower the chance of it coming back.
For some CIS types, medication and topical treatments work well. For instance, BCG (Bacillus Calmette-Guérin) is used for bladder CIS. Topical chemotherapy is applied for skin CIS. These methods aim to get rid of abnormal cells and stop cancer from spreading.
New research is bringing hope for CIS treatments. Targeted and immunotherapies are being studied for CIS treatment. These new methods aim to better outcomes and lessen side effects.
Medical Expert, “The future of CIS treatment is in personalized medicine. Therapies will be made to fit each person’s genetic and molecular profile.”
Understanding risk factors is key to preventing CIS. Adopting proactive health measures can greatly reduce CIS risk. This way, we can stop CIS from getting worse.
Healthy lifestyle choices are vital for CIS prevention. Maintaining a balanced diet with fruits, veggies, and whole grains helps. Regular exercise also boosts health and well-being.
Smoking cessation is a must. Smoking increases CIS risk, and quitting can lower it. Drinking less alcohol is also good, as too much can raise CIS risk.
| Lifestyle Modification | Benefit |
| Balanced Diet | Reduces CIS risk |
| Regular Physical Activity | Contributes to overall health |
| Smoking Cessation | Reduces tobacco-related CIS risk |
Regular screenings help catch CIS early. Mammograms are key for women to find breast CIS early. For those at risk of urothelial CIS, urine cytology tests are recommended.
Screening plans depend on your risk and health history. Always talk to your doctor about the best screening schedule for you.
Combining lifestyle changes with regular screenings can lower CIS risk. This approach improves health outcomes.
We know that the chance of CIS turning into invasive cancer varies a lot. This shows how key it is to know what affects this risk. This way, we can give the best care possible.
Several important factors can change the chance of CIS becoming invasive cancer. These include the tumor grade, certain biomarkers, and how well the patient responds to treatment.
| Factor | Description | Impact on Progression Risk |
| Tumor Grade | Shows how much the tumor cells look like normal cells | Higher grade tumors are more likely to progress |
| Biomarkers | Specific proteins or genetic markers found in CIS | Some biomarkers suggest a higher risk of progression |
| Response to Treatment | How well CIS reacts to the first treatment | Poor response to treatment means higher risk of progression |
Knowing these factors helps us customize CIS management. This ensures patients get the right care for their specific risk.
Regular check-ups are vital for watching CIS and catching any signs of invasive cancer early. Our follow-up plans include:
By sticking to a close follow-up schedule, we can spot any CIS changes fast. This lets us adjust the treatment plan to stop invasive cancer from happening.
Understanding carcinoma in situ (CIS) is key for early detection and treatment. We’ve looked into its definition, biology, types, and treatment options. CIS is a precancerous lesion that needs attention.
In conclusion, CIS needs quick action to stop it from becoming invasive cancer. With the right care, the chance of it getting worse can drop a lot. This shows how vital it is to catch CIS early.
Our CIS summary shows that knowing the risks, how to diagnose it, and treatment choices is essential. This highlights the need for ongoing research and awareness to better patient care.
We see CIS as a major health concern that needs a full approach, from prevention to treatment. Our talk lays the groundwork for understanding CIS and its importance. It also stresses the need for ongoing medical progress in this field.
Carcinoma in situ (CIS) is an early-stage cancer. It’s non-invasive, meaning cancer cells stay in the epithelium. They haven’t spread to other tissues yet.
“In situ” comes from Latin, meaning “in its original place.” In cancer, it means cancer cells stay put. They haven’t spread to other parts of the body.
CIS is different from invasive cancer because CIS cells don’t invade tissues. Invasive cancer cells break through the basement membrane and spread.
There are several types of CIS, like breast CIS, urothelial (bladder) CIS, and skin CIS. Each has its own characteristics and importance.
Risk factors for CIS include genetics, environment, and lifestyle. These can increase the chance of CIS becoming invasive cancer.
CIS is found through screening, biopsies, and imaging. These methods help catch CIS early, allowing for quick treatment.
CIS treatments vary. They include surgery, radiation, medication, and new therapies. Each is chosen based on CIS type and location.
Not all CIS can be prevented. But, making lifestyle changes and following screening guidelines can lower the risk of CIS and stop it from becoming invasive.
CIS progression risk varies. It depends on CIS type, location, and individual risk factors. These can influence the chance of CIS becoming invasive.
Watching CIS closely is key. It helps catch any changes or signs of invasive cancer early. This allows for timely treatment and management.
Stage 0 cancer is CIS. It means cancer cells are in the epithelium and haven’t spread. It’s a non-invasive cancer stage.
The TNM system is a cancer staging method. It looks at tumor size (T), lymph node involvement (N), and metastasis (M).
CIS cells look abnormal under a microscope. They have unique features that show they’re not normal cells. But, they don’t invade the surrounding stroma.
National Center for Biotechnology Information. (2025). What Is Carcinoma In Situ CIS A Complete. Retrieved from http://www.ncbi.nlm.nih.gov/medgen/763[8
Subscribe to our e-newsletter to stay informed about the latest innovations in the world of health and exclusive offers!
WhatsApp us