
Wilms tumor, also known as nephroblastoma, is the most common kidney cancer in kids. A rare and aggressive form is diffuse anaplastic Wilms tumor. It’s a big challenge for both patients and doctors.
It’s important to know the genetic risks and how the tumor looks. Liv Hospital is a place that helps families with this tough condition. They use the newest treatments to help kids get better.
Key Takeaways
- Wilms tumor is the most common kidney cancer in children.
- Diffuse anaplastic Wilms tumor is a rare and aggressive form.
- Genetic risk factors play a significant role in the development of Wilms tumor.
- Understanding histology is key for good treatment plans.
- Liv Hospital offers special care for families with Wilms tumor.
What is Nephroblastoma: Definition and Overview

Nephroblastoma, also known as Wilms tumor, is a rare kidney cancer found mainly in children. It starts in the kidney and has unique features. This cancer is considered malignant.
Origin and Development of Wilms Tumor
Wilms tumor comes from the metanephric blastema, the tissue that turns into the kidney in embryos. The exact reason for Wilms tumor is not known. But, it’s thought to be caused by genetic changes during fetal growth.
Epidemiology and Incidence Rates
Nephroblastoma affects about 9.7 children per million under 15. It’s more common in African Americans and less in Asian populations.
It’s usually found in kids aged 3 to 4, mostly before they’re 6. The disease might be linked to genetics, with some syndromes raising the risk.
Diffuse Anaplastic Wilms Tumor: A Distinct Variant

Wilms tumor comes in different forms, but the diffuse anaplastic type is unique. It’s known for being aggressive and hard to treat. This makes it a tough condition to manage.
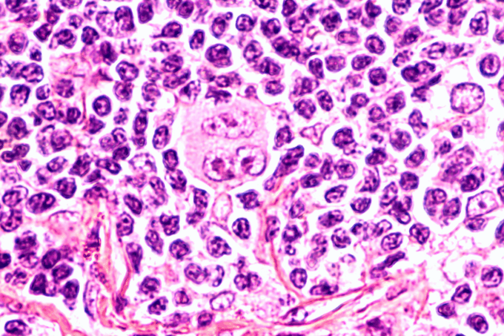
Defining Characteristics of Anaplasia
Anaplasia in Wilms tumor shows hyperchromatic, pleomorphic nuclei. These are signs of very abnormal cells. This is key for diagnosing anaplastic Wilms tumor.
Anaplasia is not just a sign of aggressive tumor. It also means the tumor might not respond well to treatment. This makes planning treatment harder, as these cells are often resistant to common treatments.
Difference Between Diffuse and Focal Anaplasia
Knowing the difference between diffuse and focal anaplasia is important. Diffuse anaplasia has anaplastic cells all over the tumor. Focal anaplasia has them in just one part.
| Characteristics | Diffuse Anaplasia | Focal Anaplasia |
| Distribution of Anaplastic Cells | Widespread throughout the tumor | Limited to a specific area within the tumor |
| Prognosis | Generally poorer due to widespread anaplastic changes | Relatively better due to localized anaplastic changes |
| Treatment Approach | More intensive treatment protocols are required | May be managed with less intensive treatment |
The table shows the main differences between diffuse and focal anaplasia. It’s important for understanding treatment options for anaplastic Wilms tumor.
In conclusion, anaplasia, and diffuse anaplastic Wilms tumor in particular, greatly affects treatment. Knowing about anaplasia and its types is key for the right treatment plan.
Clinical Presentation and Symptoms
It’s important to know the signs of Wilms tumor for early treatment. Wilms tumor, or nephroblastoma, is a kidney cancer that mainly hits kids.
Common Signs and Symptoms
The signs of Wilms tumor can vary. But, some symptoms are seen often. These include:
- Abdominal Mass: A mass in the belly is a common sign.
- Abdominal Pain: Pain in the belly can happen as the tumor grows.
- Hematuria: Seeing blood in the urine is another symptom.
- Hypertension: High blood pressure can also be a sign due to kidney issues.
Other symptoms might be fever, loss of appetite, and feeling unwell. Seeing a doctor is needed if these symptoms show up.
When to Seek Medical Attention
If a child shows signs of Wilms tumor, get medical help fast. Early treatment can make a big difference.
Parents and caregivers should watch for any unusual health changes. This includes belly swelling or pain. If you notice anything odd, talk to a doctor right away.
Nephroblastoma Histology and Classification
Understanding the histology of nephroblastoma is key for diagnosing and treating this cancer in kids. Nephroblastoma, or Wilms tumor, has a mix of cells and different features.
Cellular Components: Blastemal, Epithelial, and Stromal Cells
Nephroblastoma has three main types of cells: blastemal, epithelial, and stromal. The blastemal component grows fast and is the most basic cell type. The epithelial component looks like normal kidney tubules. The stromal component has spindle cells that can turn into different tissues.
The mix and how these cells look can change a lot between tumors. This affects the tumor’s look and how well it might do.
Histological Subtypes and Risk Stratification
Classifying nephroblastoma by its look is important for planning treatment. Tumors are sorted into three types: favorable, focal anaplasia, and diffuse anaplasia.
| Histological Subtype | Description | Risk Stratification |
| Favorable Histology | Has no anaplasia | Low Risk |
| Focal Anaplasia | Has anaplasia in a small area | Moderate Risk |
| Diffuse Anaplasia | Has anaplastic cells all over | High Risk |
This way of sorting tumors helps doctors choose the best treatment. This can lead to better results for kids with nephroblastoma.
From Wilms Sarcoma to Modern Terminology
Historically, Wilms tumor was called Wilms sarcoma. This change shows how our understanding of it has grown. The switch from “sarcoma” to “tumor” highlights a deeper grasp of its nature and unique traits.
Historical Context and Terminology Evolution
The term “Wilms sarcoma” was used because of the tumor’s sarcomatous appearance. But as medical science improved, “Wilms tumor” became the standard term. This change, as recent studies show, marks a more detailed understanding of the disease.
This shift in names is more than just a change in words. It affects how we diagnose, treat, and care for patients. Knowing the history of Wilms tumor names helps us understand today’s diagnosis and treatment methods.
Current Classification Systems
Today’s classification systems for Wilms tumor focus on its histological features, like anaplasia. This is key in predicting how well a patient will do. The tumor is split into favorable and anaplastic types, affecting treatment and outlook.
| Classification | Description | Prognosis |
| Favorable Histology | Characterized by the absence of anaplasia | Generally good, with high survival rates |
| Anaplastic Wilms Tumor | Presence of anaplasia, indicating more aggressive tumor behavior | More guarded, requiring intensified treatment protocols |
Modern classification systems for Wilms tumor are a big step forward. They allow for more accurate diagnoses and treatments. As we learn more about Wilms tumor, our terms and systems will keep evolving. This reflects our ongoing effort to improve patient care.
Bilateral Wilms Tumor: Challenges and Approaches
Managing bilateral Wilms tumor is complex. It affects both kidneys and needs a special approach. The goal is to treat the cancer well while keeping the kidneys working.
Diagnostic Complexities
Diagnosing bilateral Wilms tumor is tough. It needs detailed imaging to see how far the tumors have spread. Getting the right diagnosis is key for choosing the best treatment.
Doctors use ultrasound, CT scans, and MRI to help. Each tool has its own strengths in showing tumor size and location.
| Imaging Modality | Advantages | Limitations |
| Ultrasound | No radiation, real-time imaging | Operator-dependent, limited detail |
| CT Scan | High detail, quick imaging | Radiation exposure, contrast risk |
| MRI | No radiation, excellent soft tissue detail | Longer examination time, higher cost |
Kidney-Preserving Treatment Strategies
Treatment aims to remove the tumor and save kidney function. Nephron-sparing surgery is a main part of this plan. It tries to keep healthy kidney tissue.
Chemotherapy is also important. It helps shrink the tumor before surgery. Choosing the right chemotherapy is very important for each patient.
Handling bilateral Wilms tumor needs a team effort. Pediatric oncologists, surgeons, and radiologists all play a part. Working together is key to good treatment and a better life for patients.
Diagnostic Procedures and Staging
Getting a correct diagnosis and staging of Wilms tumor is key for planning treatment. Diagnosing Wilms tumor involves several steps and procedures.
Imaging Techniques
Imaging is a big part in finding Wilms tumor. Ultrasound is often the first tool used. It helps spot the tumor and see how it’s positioned.
Computed Tomography (CT) scans are also used to check the tumor and if it has spread. Magnetic Resonance Imaging (MRI) gives detailed pictures of the tumor and nearby tissues.
Biopsy and Pathological Examination
A biopsy is key to confirm Wilms tumor. The sample is looked at under a microscope to see if there are tumor cells. It also helps figure out what kind of tumor it is.
The exam helps tell Wilms tumor apart from other kidney tumors. It also gives clues about the tumor’s type, which is important for planning treatment.
Staging Systems and Risk Assessment
After confirming the diagnosis, the tumor is staged. The National Wilms Tumor Study (NWTS) staging system is commonly used. It has five stages, from Stage I (just in the kidney) to Stage V (in both kidneys).
Knowing the stage is important for figuring out the right treatment and what to expect. The stage and what the tumor looks like under a microscope help in assessing risk.
Patients are put into different risk groups based on their tumor’s stage, look, and other factors. This helps doctors choose the best treatment for each patient.
Treatment Challenges for Anaplastic Wilms Cancer
Anaplastic Wilms tumor is a tough form of kidney cancer. It needs a mix of treatments to fight it well. This cancer grows fast and is hard to treat, so doctors use many ways to attack it.
Surgical Interventions
Surgery is key in treating anaplastic Wilms cancer. Doctors aim to remove the tumor completely. But, the tumor’s size and where it is can make this hard.
Preoperative chemotherapy helps shrink the tumor. This makes it easier to remove during surgery.
Intensified Radiation Therapy Protocols
Radiation therapy is also very important. Doctors use strong radiation to target the tumor better. This helps lower the chance of the cancer coming back.
They use intensity-modulated radiation therapy (IMRT) to hit the tumor right on. This method also protects healthy tissues around it.
Advanced Chemotherapy Regimens
Chemotherapy is a big part of treating anaplastic Wilms cancer. Doctors use strong chemotherapy plans. These plans include many drugs to fight the cancer.
The drugs and how strong the treatment is depend on the patient and the tumor. This makes treatment more effective.
Multidisciplinary Treatment Approaches
Many doctors work together to treat anaplastic Wilms cancer. This team includes oncologists, surgeons, and radiation experts. They all help plan the best treatment.
Using surgery, radiation, and chemotherapy together is key. This approach helps patients with this tough disease do better.
| Treatment Modality | Key Components | Benefits |
| Surgical Interventions | Preoperative chemotherapy, surgical resection | Removal of tumor, reduction of tumor burden |
| Radiation Therapy | IMRT, intensified protocols | Precise targeting, reduced recurrence risk |
| Chemotherapy | Multiple agents, regimen intensification | Combats aggressive tumor behavior |
Conclusion: Prognosis and Future Directions
The outlook for Wilms tumor patients depends a lot on the type and stage of the disease. Those with diffuse anaplastic Wilms tumor have a tougher road ahead. This is because it’s a more aggressive form of nephroblastoma.
Looking ahead, we aim to better treat Wilms tumor through research and new treatments. This includes improving surgery, radiation, and chemotherapy. A team effort is key to giving patients the best care.
Our goal is to find treatments that are more precise and effective. This will help patients live better lives and increase their chances of survival. With ongoing studies and trials, the future of Wilms tumor treatment is bright.
FAQ
What is Wilms tumor?
Wilms tumor, also known as nephroblastoma, is a type of cancer found in the kidneys. It mainly affects children.
What is diffuse anaplastic Wilms tumor?
Diffuse anaplastic Wilms tumor is a subtype of Wilms tumor. It has abnormal cells called anaplasia, which are very different from normal cells.
What are the symptoms of Wilms tumor?
Symptoms include a noticeable abdominal mass, pain, fever, and blood in the urine.
How is Wilms tumor diagnosed?
Doctors use ultrasound, CT scans, or MRI to find the tumor. A biopsy confirms the cancer.
What is the difference between diffuse and focal anaplasia in Wilms tumor?
Diffuse anaplasia means anaplastic cells are everywhere in the tumor. Focal anaplasia means they are only in a small part.
How is bilateral Wilms tumor managed?
Managing bilateral Wilms tumor is complex. It often involves surgery, chemotherapy, and radiation to save the kidneys.
What are the treatment challenges for anaplastic Wilms cancer?
Treating anaplastic Wilms cancer is tough because it’s aggressive. It needs strong treatments like surgery, radiation, and chemotherapy.
What is the prognosis for Wilms tumor patients?
The outlook for Wilms tumor patients depends on the tumor’s stage and type. Thanks to better treatments, survival rates have improved a lot.
What is nephroblastoma histology?
Nephroblastoma histology is the study of Wilms tumor cells. These cells are usually blastemal, epithelial, and stromal.
How is Wilms tumor staged?
Staging Wilms tumor looks at how far it has spread. It considers tumor size, lymph node involvement, and if it has gone to distant places.
References
- National Cancer Institute. (2024). Wilms Tumor and Other Childhood Kidney Tumors Treatment (PDQ®)–Health Professional Version. National Institutes of Health. https://www.cancer.gov/types/kidney/hp/wilms-treatment-pdq