Hematology focuses on diseases of the blood, bone marrow, and lymphatic system. Learn about the diagnosis and treatment of anemia, leukemia, and lymphoma.

We're Here to Help.
Get in Touch.

Send us all your questions or requests, and our expert team will assist you.

Doctors

Overview and Definition

Hematology is the branch of medicine concerned with the study, diagnosis, treatment, and prevention of diseases related to blood. Blood is a vital fluid that circulates through the body, delivering oxygen and nutrients to cells and carrying away waste products. However, hematology extends far beyond the blood vessels; it encompasses the hematopoietic system, which includes the bone marrow (where blood cells are produced), the spleen, the lymphatic system, and the lymph nodes. A physician specializing in this field is called a hematologist.

The Anatomy and Physiology of Blood

To understand hematological disorders, one must understand the complex composition of blood. It is a living tissue composed of liquid and solid parts. The liquid part of blood, called plasma, makes up about 55% of the blood volume and contains water, salts, antibodies, and proteins. Suspended in the plasma are the solid components, the blood cells, which are produced in the spongy center of bones known as the bone marrow.

There are three main types of blood cells, each with a specific life-sustaining function:

  • Red Blood Cells (Erythrocytes): These are the most abundant cells. They contain hemoglobin, an iron-rich protein that grabs oxygen from the lungs and delivers it to tissues throughout the body. They also transport carbon dioxide back to the lungs for exhalation.
  • White Blood Cells (Leukocytes): These are the soldiers of the immune system. They protect the body against infection and foreign invaders. There are several types of white blood cells (neutrophils, lymphocytes, monocytes, eosinophils, and basophils), each designed to fight different kinds of threats, from bacteria to viruses and parasites.
  • Platelets (Thrombocytes): These are tiny cell fragments that are essential for normal blood clotting. When a blood vessel is injured, platelets rush to the site and stick together to form a plug, stopping bleeding.

The Spectrum of Hematologic Disorders

Icon LIV Hospital

Benign Hematology

Classification and Epidemiology
  • Anemia: A condition where there is a deficiency of red blood cells or hemoglobin, leading to reduced oxygen flow to organs. It is the most common blood disorder.
  • Hemoglobinopathies: Genetic disorders affecting the structure of hemoglobin, such as Sickle Cell Disease and Thalassemia.
  • Coagulation Disorders: Problems with blood clotting. This includes Hemophilia (bleeding too easily) and Thrombophilia (clotting too easily, leading to deep vein thrombosis or pulmonary embolism).
  • Platelet Disorders: Conditions like Immune Thrombocytopenia (ITP), where the body destroys its own platelets.
Icon 1 LIV Hospital

Malignant Hematology (Blood Cancers)

HEMATOLOGY
  • Leukemia: A cancer of the blood-forming tissues, including the bone marrow and lymphatic system. It involves the rapid production of abnormal white blood cells that do not function properly, crowding out healthy cells. It is classified as acute (fast-growing) or chronic (slow-growing).
  • Lymphoma: A cancer that begins in the lymphocytes (a type of white blood cell) of the immune system. The two main types are Hodgkin Lymphoma and Non-Hodgkin Lymphoma.
  • Multiple Myeloma: A cancer that forms in a type of white blood cell called a plasma cell. These cells accumulate in the bone marrow, crowding out healthy blood cells and often damaging bones and kidneys.
  • Myelodysplastic Syndromes (MDS): A group of disorders caused by poorly formed or dysfunctional blood cells, often considered a “pre-leukemia.”

Symptoms and Causes

Blood flows to every organ in the body; therefore, symptoms of blood disorders can manifest in any organ and affect almost any system. Because the symptoms are often non-specific, such as fatigue or bruising, they are frequently overlooked or attributed to stress or aging. Recognizing the constellation of symptoms is crucial for early detection, especially in malignant conditions where timely treatment significantly impacts survival.

HEMATOLOGY

Common Symptoms and Warning Signs

The symptoms of hematologic diseases usually result from a decrease in the functional blood cells (cytopenias) or the overproduction of abnormal cells.

  • Symptoms of Anemia (Low Red Blood Cells):
    • Fatigue and Weakness: A pervasive tiredness that does not improve with rest.
    • Pallor: Pale skin, gums, and nail beds.
    • Dyspnea: Shortness of breath, especially during physical exertion.
    • Tachycardia: Rapid or irregular heartbeat as the heart works harder to pump oxygen.
    • Dizziness or Lightheadedness.
  • Symptoms of Thrombocytopenia (Low Platelets):
    • Easy Bruising: Developing large bruises (ecchymosis) from minor bumps.
    • Petechiae: Tiny, pinpoint red or purple spots on the skin, usually on the lower legs, caused by bleeding under the skin.
    • Prolonged Bleeding: Bleeding that is difficult to stop after a cut, or frequent nosebleeds (epistaxis).
    • Heavy Menstrual Periods: In women.
  • Symptoms of Leukopenia/Neutropenia (Low White Blood Cells):
    • Recurrent Infections: Frequent or severe infections (pneumonia, skin infections) that do not resolve efficiently with antibiotics.
    • Fevers and Chills: Unexplained elevations in body temperature.
    • Mouth Sores: Painful ulcers in the mouth or throat.
  • Specific “B-Symptoms” for Malignancies: In lymphomas and leukemias, a particular triad of systemic symptoms often occurs:
    • Unexplained Weight Loss: Losing more than 10% of body weight without trying.
    • Drenching Night Sweats: Sweating so severely at night that bedsheets need changing.
    • Unexplained Fever: Persistent fever without signs of infection.
  • Other Signs:
    • Lymphadenopathy: Painless swelling of lymph nodes in the neck, armpits, or groin (common in lymphoma).
    • Bone Pain: Deep, aching pain in the bones (back, ribs), common in Multiple Myeloma and acute leukemia.
    • Abdominal Fullness: caused by an enlarged spleen (splenomegaly), which can press on the stomach.

Underlying Causes of Blood Disorders

The origins of hematologic diseases are diverse, ranging from dietary habits to complex genetic mutations.

  • Nutritional Deficiencies: Bone marrow requires raw materials to produce blood. Deficiencies in Iron, Vitamin B12, and Folate are the leading causes of anemia worldwide.
  • Genetic and Hereditary Factors:
    • Mutations: Many blood cancers arise from acquired mutations (changes) in the DNA of bone marrow cells. For example, the “Philadelphia Chromosome” is a specific genetic abnormality found in Chronic Myeloid Leukemia (CML).
    • Inherited Disorders: Conditions like Sickle Cell Disease, Thalassemia, and Hemophilia are passed down from parents to children through genes.
  • Bone Marrow Failure: Sometimes the factory simply shuts down. In Aplastic Anemia, the bone marrow stops producing enough new blood cells, often due to an autoimmune attack.
  • Autoimmune Disorders: The body’s immune system may mistakenly attack its own blood cells, leading to conditions such as Autoimmune Hemolytic Anemia or Immune Thrombocytopenia (ITP).
  • Environmental Factors: Exposure to high levels of radiation, certain industrial chemicals (like benzene), and previous treatment with chemotherapy are known risk factors for developing leukemia and MDS later in life.
  • Viral Infections: Certain viruses, such as Epstein-Barr Virus (EBV), HIV, and Human T-cell Lymphotropic Virus (HTLV-1), are linked to an increased risk of certain lymphomas and leukemias.

30 Years of
Excellence

Trusted Worldwide

With patients from across the globe, we bring over three decades of medical

Book a Free Certified Online
Doctor Consultation

Clinics/branches
Prof. MD. Oral Nevruz Prof. MD. Oral Nevruz Hematology Overview and Definition
Group 346 LIV Hospital

Reviews from 9,651

4,9

Was this article helpful?

Was this article helpful?

Trusted Worldwide

30
Years of
Experience

30 Years Badge

With patients from across the globe, we bring over three decades of medical

Get a Free Quote

Response within 2 hours during business hours

Clinics/branches

By clicking "Send Request", you agree to our terms and to share your contact info with the clinic.

Was this article
helpful?

How helpful was it?

helpful
helpful
helpful

We're Here to Help.
Get in Touch.

Send us all your questions or requests, and our expert team will assist you.

Doctors
img 1 LIV Hospital

Diagnosis and Staging

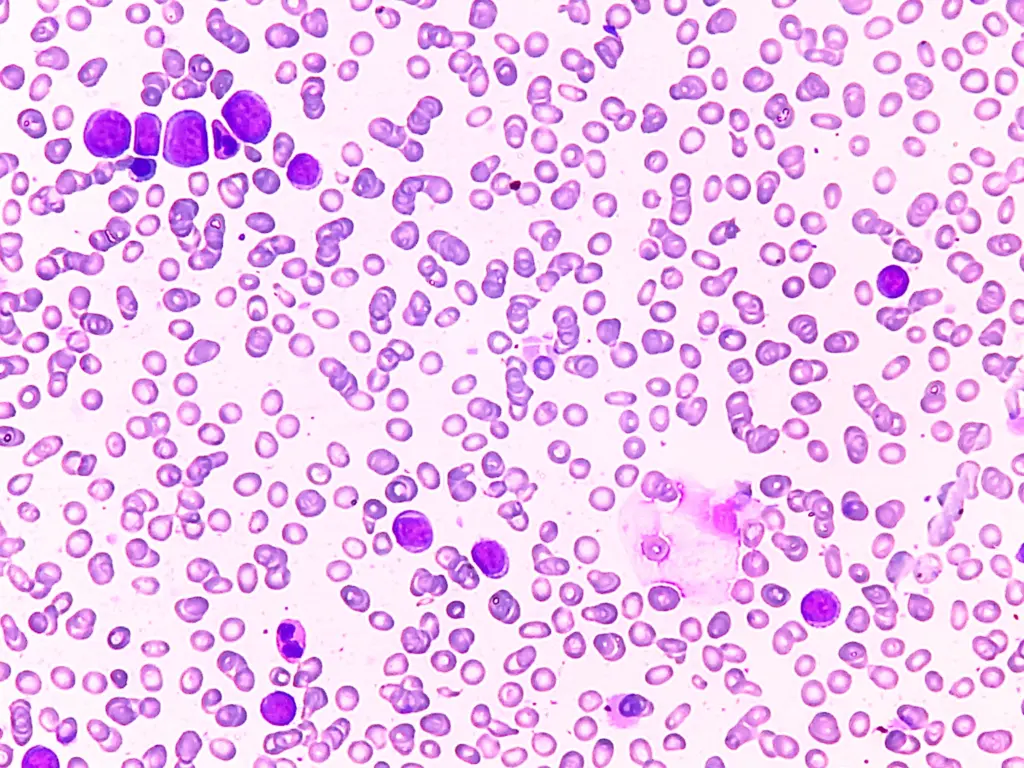
Diagnosis in hematology requires high-precision investigation. While a simple blood test often provides the first clue, confirming a diagnosis, particularly for blood cancer, requires looking directly at the source: the bone marrow. At Liv Hospital, the diagnostic pathway combines microscopic analysis with advanced molecular genetics to fingerprint the disease, allowing for targeted therapy.

The Complete Blood Count (CBC) and Peripheral Smear

The journey almost always begins with a Complete Blood Count (CBC). This automated test measures the number, size, and shape of red blood cells, white blood cells, and platelets.

  • Hematocrit and Hemoglobin: Measure the oxygen-carrying capacity.
  • WBC Differential: Breaks down the white blood cell count into subtypes (neutrophils, lymphocytes, etc.). An abnormally high lymphocyte count might suggest leukemia, while a high neutrophil count often indicates infection.

However, numbers rarely tell the whole story. A Peripheral Blood Smear involves spreading a drop of blood on a glass slide and examining it under a microscope. Pathologists look for:

  • Abnormal Shapes: Sickle cells, fragmented cells (schistocytes), or teardrop cells.
  • Blasts: Immature blood cells that should stay in the bone marrow. Their presence in the bloodstream is a strong indicator of leukemia.

Bone Marrow Aspiration and Biopsy

If the blood tests are abnormal, the hematologist must examine the patient. The bone marrow examination is the gold standard for diagnosing leukemia, myeloma, and lymphoma involvement.

  • The Procedure: Usually performed on the back of the hip bone (iliac crest) under local anesthesia and sedation.
  • Aspiration: A liquid marrow sample is withdrawn to examine the cells’ shape and maturity.
  • Biopsy: A small, solid core of bone and marrow is removed to examine the cellular architecture (how crowded the marrow is).
HEMATOLOGY

Advanced Molecular and Genetic Testing

Modern hematology relies on understanding the genetics of the cancer cells.

  • Flow Cytometry: A laser-based technology that analyzes the physical and chemical characteristics of cells. It identifies the specific proteins on the surface of leukemia or lymphoma cells (immunophenotyping), confirming exactly which type of cell has turned cancerous.
  • Cytogenetics (Karyotyping): Examining the chromosomes inside the blood cells to look for large-scale abnormalities, such as translocations (swapped parts of chromosomes).
  • FISH (Fluorescence In Situ Hybridization): A sensitive technique to detect specific gene changes that are too small to be seen under a microscope.
  • PCR (Polymerase Chain Reaction): Used to detect minute traces of disease (Minimal Residual Disease) and specific mutations (like BCR-ABL, JAK2, or FLT3). The presence of these mutations dictates the choice of “targeted” medications.

Staging Hematologic Malignancies

Staging determines how far the disease has spread. Unlike solid tumors (like breast cancer), blood cancers are often considered systemic from the start.

  • Lymphoma Staging (Ann Arbor System): Based on the number and location of affected lymph nodes (Stage I to IV) and whether they are on one or both sides of the diaphragm.
  • Myeloma Staging (R-ISS): Based on blood levels of beta-2 microglobulin, albumin, and LDH, as well as high-risk genetic markers.
  • Leukemia Classification: Leukemia is typically not “staged” like solid tumors, but is classified by risk (Low, Intermediate, High) based on genetic mutations and the patient’s response to initial treatment.
HEMATOLOGY

Treatment Details

HEMATOLOGY

Hematology is one of the most rapidly advancing fields in medicine. Treatments that were standard a decade ago have been replaced by more effective, less toxic targeted therapies. The goal of treatment varies: for benign conditions, it is to correct the deficiency or manage symptoms; for malignancies, it is to induce a complete remission and, ultimately, a cure.

Pharmacotherapy and Chemotherapy

  • Benign Conditions: Treatment often involves supplementation.
    • Iron Replacement: Oral or intravenous iron for iron-deficiency anemia.
    • Anticoagulants (Blood Thinners): Warfarin, Heparin, or DOACs to treat or prevent blood clots (DVT/PE).
    • Growth Factors: Injections (like Erythropoietin or G-CSF) to stimulate the bone marrow to produce more red or white blood cells.
  • Chemotherapy: This remains a backbone of treatment for many blood cancers.
    • Induction Therapy: Intensive chemotherapy given at the start of diagnosis to kill as many cancer cells as possible and induce remission.
    • Consolidation/Maintenance: Lower doses are given after remission to kill any remaining hidden cells and prevent relapse.
    • Intrathecal Chemotherapy: Injecting drugs directly into the spinal fluid to treat or prevent leukemia cells from hiding in the brain and spinal cord.

Targeted Therapy and Immunotherapy

These “smart drugs” attack specific parts of cancer cells or boost the immune system to fight the disease, sparing healthy cells and reducing side effects.

  • Tyrosine Kinase Inhibitors (TKIs): Oral pills (like Imatinib) that block the abnormal protein signaling that allows cancer cells to grow. These have turned diseases like Chronic Myeloid Leukemia (CML) from fatal conditions into manageable chronic illnesses.
  • Monoclonal Antibodies: Lab-made proteins (like Rituximab) that attach to specific targets on the surface of lymphoma cells, flagging them for destruction by the immune system.
  • Proteasome Inhibitors: Drugs used in Multiple Myeloma to stop the cell’s “garbage disposal” system, causing the cancer cells to die from toxic buildup.
  • CAR T-Cell Therapy: A revolutionary treatment where a patient’s own T-cells (immune cells) are collected, genetically re-engineered in a lab to recognize the cancer, and infused back into the patient to hunt down and kill the disease.

Hematopoietic Stem Cell Transplantation (BMT)

For many high-risk leukemias, lymphomas, and bone marrow failure syndromes, a stem cell transplant is the only potential cure. It allows doctors to use high doses of chemotherapy to wipe out the diseased marrow and replace it with healthy stem cells.

  • Autologous Transplant: The patient’s own healthy stem cells are collected before high-dose chemotherapy and then returned to their body. This is commonly used for Multiple Myeloma and Lymphoma.
  • Allogeneic Transplant: Stem cells are donated by another person a sibling, an unrelated matched donor, or a haploidentical (half-matched) family member. This creates a “Graft-versus-Leukemia” effect, where the new immune system attacks any remaining cancer cells.

Supportive Care

Treating blood disorders requires supporting the patient’s body through the process.

  • Transfusion Medicine: Providing Red Blood Cells to treat severe anemia or Platelets to prevent bleeding.
  • Infection Prevention: Patients with low white blood cell counts are kept in protective isolation and may receive prophylactic antibiotics, antivirals, and antifungals.

The Medical Center

HEMATOLOGY

Hematologic conditions are complex and demand a level of care that integrates high-tech science with deep clinical expertise. At Liv Hospital, the Hematology and Bone Marrow Transplantation Department functions as a specialized center of excellence. The facility is designed not just to treat the disease, but to protect the patient during their most vulnerable moments.

The Liv Hospital Difference: Specialized BMT Infrastructure

The success of hematologic treatment, especially bone marrow transplantation, relies heavily on the physical environment.

  • HEPA-Filtered Isolation Units: Patients undergoing transplantation or intensive chemotherapy have compromised immune systems. The BMT unit at Liv Hospital is equipped with advanced HEPA (High-Efficiency Particulate Air) filtration systems that continuously clean the air, removing 99.97% of airborne particles, bacteria, and fungi to prevent infection.
  • Dedicated Apheresis Unit: A specialized facility for collecting stem cells and platelets from patients and donors using state-of-the-art cell separator machines.
  • Cryopreservation Laboratory: An on-site facility capable of freezing and storing stem cells at extremely low temperatures (using liquid nitrogen) for years, ensuring they remain viable for future transplants.

A Multidisciplinary Shield

Blood diseases affect the whole body, and effective treatment requires a team approach.

  • The Hematology Tumor Board: Every malignant case is reviewed by a council comprising hematologists, medical oncologists, radiation oncologists, pathologists, and radiologists. This ensures that the treatment plan follows the latest international protocols.
  • Pathology Excellence: In hematology, the diagnosis is the pathology. The pathology department utilizes advanced flow cytometry and molecular genetic platforms to provide rapid and accurate classification of leukemias and lymphomas, often within hours.
  • Supportive Care Specialists: The team includes infectious disease specialists to manage complications, dietitians to maintain nutritional status during treatment, and psychologists to support the mental well-being of patients facing long hospital stays.

Global Standards of Care

Liv Hospital adheres to the rigorous standards set by international hematology organizations. The center performs both autologous and fully matched/haploidentical allogeneic transplants. By combining cutting-edge therapies such as targeted agents and immunotherapy with world-class infection control and nursing care, Liv Hospital provides a sanctuary of healing for patients facing the most challenging blood disorders.

30 Years of
Excellence

Trusted Worldwide

With patients from across the globe, we bring over three decades of medical

Book a Free Certified Online
Doctor Consultation

Clinics/branches

Was this article helpful?

Was this article helpful?

Trusted Worldwide

30
Years of
Experience

30 Years Badge

With patients from across the globe, we bring over three decades of medical

Get a Free Quote

Response within 2 hours during business hours

Clinics/branches

By clicking "Send Request", you agree to our terms and to share your contact info with the clinic.

Was this article
helpful?

How helpful was it?

helpful
helpful
helpful

FREQUENTLY ASKED QUESTIONS

Spine Hospital of Louisiana

Let's Talk About Your Health

BUT WAIT, THERE'S MORE...

Leave your phone number and our medical team will call you back to discuss your healthcare needs and answer all your questions.

Let's Talk About Your Health

How helpful was it?

helpful
helpful
helpful
Your Comparison List (you must select at least 2 packages)