About Liv

How Does Leukemia Affect the Immune System?

Last Updated on November 17, 2025 by Ugurkan Demir

Leukemia is a cancer that affects blood-making tissues. It messes with the body’s immune defenses. It mainly hurts white blood cells, which fight off infections. At Liv Hospital, we explain how does leukemia affect the immune system and why understanding this connection is crucial for effective care.

How Does Leukemia Affect the Immune System?
How Does Leukemia Affect the Immune System? 4

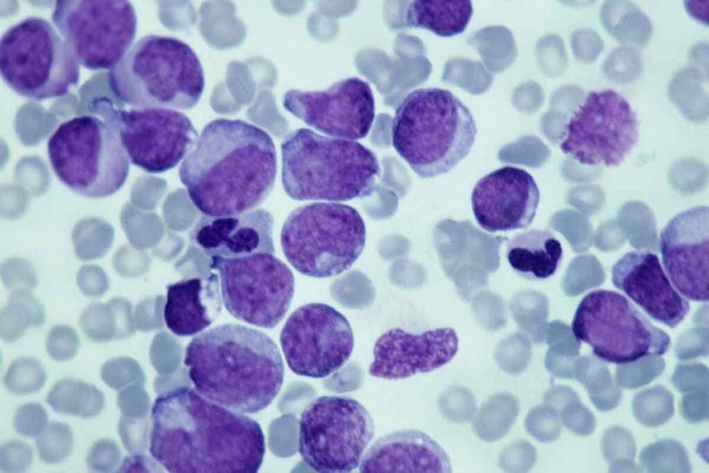
Leukemia makes abnormal white blood cells. These cells either don’t grow up right or don’t work well. This makes it hard for the lymphatic system to fight off infections and other illnesses. We aim to give our patients the best care, using the latest medical standards from around the world.

Key Takeaways

  • Leukemia disrupts normal immune function by producing abnormal white blood cells.
  • Abnormal white blood cells fail to mature or function properly.
  • This disruption increases susceptibility to infections and secondary illnesses.
  • Advanced medical care is key for managing leukemia’s impact on the immune system.
  • Liv Hospital is dedicated to providing ethical, knowledgeable care.

Understanding Leukemia and Its Basic Mechanisms

Leukemia is a group of cancers that affect the blood and bone marrow. It’s important to understand its types and how they harm the immune system, mainly by affecting white blood cells.

Types of Leukemia and Their Characteristics

There are four main types of leukemia. Each type has its own characteristics and effects on the body. Acute Lymphocytic Leukemia (ALL) is common in kids and involves fast-growing immature lymphocytes.

Acute Myeloid Leukemia (AML) is more common in adults. It causes the quick growth of abnormal myeloid cells, which help fight infections.

Chronic Lymphocytic Leukemia (CLL) mainly affects older adults. It progresses slowly, with mature lymphocytes building up in the blood, bone marrow, and lymphoid tissues. Chronic Myeloid Leukemia (CML) is characterized by the excessive growth of mature myeloid cells. It starts slowly but can become more aggressive.

How Does Leukemia Affect the Immune System?
How Does Leukemia Affect the Immune System? 5

The Role of White Blood Cells in Normal Immune Function

White blood cells, or leukocytes, are key to the immune system. They defend the body against infections and foreign substances. They are made in the bone marrow and travel through the body via the bloodstream and lymphatic system.

Normal immune function depends on a balance between different white blood cells. These include neutrophils, lymphocytes, monocytes, eosinophils, and basophils. Each type has its own role.

In a healthy person, white blood cells work together to fight off pathogens. But in leukemia, abnormal white blood cells disrupt this balance. This makes it hard for the immune system to fight infections well.

How Does Leukemia Affect the Immune System: Primary Mechanisms

Leukemia impacts the immune system by creating abnormal white blood cells. These cells don’t work right and fill up the bone marrow. This makes it hard for the immune system to fight off infections.

Production of Abnormal White Blood Cells

Leukemia causes white blood cells to grow out of control. These cells are key for fighting off infections. But in leukemia, they don’t grow right and can’t fight infections well.

Abnormal white blood cells also take up space in the bone marrow. This means there’s less room for healthy cells. This can lead to a lack of other important blood cells.

How Does Leukemia Affect the Immune System?
How Does Leukemia Affect the Immune System? 6

Impaired Maturation and Function of Immune Cells

White blood cells need to mature to work properly. In leukemia, this process is messed up. This means the immune system can’t fight off infections well.

“The presence of leukemic cells in the bone marrow can lead to a suppression of normal hematopoiesis, resulting in a decrease in the production of normal blood cells.”

-Professionals note

Bone Marrow Infiltration and Healthy Cell Displacement

Leukemic cells take over the bone marrow, pushing out healthy cells. This messes up the production of blood cells. It can cause anemia, bleeding problems, and make infections more likely.

Effect of LeukemiaImpact on the Immune System
Production of Abnormal White Blood CellsImpaired immune response due to dysfunctional cells
Impaired Maturation of Immune CellsWeakened immune response
Bone Marrow InfiltrationDisplacement of healthy cells, leading to various complications

Understanding these mechanisms helps us see how leukemia affects the immune system. It shows why we need specific treatments to help the immune system work better.

The Lymphatic System’s Role in Immunity

The lymphatic system is key to our immune health. It helps filter out harmful invaders and starts immune responses. This system includes lymph nodes, vessels, and organs like the spleen and tonsils.

Structure and Function of the Lymphatic System

The lymphatic system has a network of vessels that move lymph fluid. This fluid has lymphocytes, important white blood cells for fighting off infections. Lymph nodes filter this fluid, catching pathogens and starting immune actions.

The spleen also plays a big role. It cleans the blood by removing old or damaged red blood cells. It also houses immune cells like macrophages and dendritic cells.

For our immune system to work well, the lymphatic system must function properly. It not only removes harmful invaders but also helps immune cells grow and work.

How Leukemia Disrupts Lymphatic Pathways

Leukemia can harm the lymphatic system. Leukemia cells can fill up lymph nodes and organs, making it hard for them to work properly. This can cause lymphadenopathy, or swollen lymph nodes, in some cases.

When leukemia cells block lymphatic pathways, our immune system can’t fight off infections as well. This makes us more likely to get sick. Also, leukemia cells taking over the lymphatic system can push out healthy immune cells. This makes it tough for our bodies to fight off diseases.

Difference Between Immune System and Lymphatic System

It’s important to know the difference between the immune system and the lymphatic system for good health. They work together but each has its own job to keep us healthy.

Unique Functions of Each System

The immune system fights off infections and diseases. It has cells, tissues, and organs that team up to find and get rid of harmful invaders. The lymphatic system, on the other hand, is a network that helps move lymph fluid around the body. It helps filter out bad stuff and supports the immune system.

Key functions of the immune system include:

  • Recognizing and responding to pathogens
  • Producing antibodies to fight infections
  • Activating immune cells, such as T cells and B cells

The lymphatic system’s primary roles are:

  • Transporting lymph fluid containing immune cells
  • Filtering pathogens and waste from the body
  • Aiding in the absorption of fats and fat-soluble vitamins

How These Systems Work Together

The immune system and lymphatic system team up to keep us healthy. The lymphatic system moves immune cells and helps get rid of bad stuff. The immune system fights off infections. Together, they protect us from diseases.

“The lymphatic system is not just a passive drainage system; it is an active participant in the immune response, working in tandem with the immune system to defend the body against infection and disease.”

-Specialists highlight

To show how these systems work together, here’s a table:

SystemPrimary FunctionKey Components
Immune SystemDefend against infections and diseasesT cells, B cells, antibodies
Lymphatic SystemTransport lymph fluid, filter pathogensLymph nodes, lymph vessels, spleen

For more info on how leukemia affects the immune system, check out MyLeukemiaTeam.

Specific Immune Deficiencies Caused by Different Leukemia Types

Leukemia types affect the immune system in different ways, causing specific immune problems. We will look at how different leukemias lead to unique immune issues.

Acute Leukemias and Rapid Immune Suppression

Acute leukemias, like acute lymphoblastic leukemia (ALL) and acute myeloid leukemia (AML), cause fast immune weakening. This happens because cancer cells grow quickly, taking over the bone marrow where immune cells are made.

People with acute leukemias get sick easily because their immune system is weak. They need quick medical help to fight the leukemia and its effects on the immune system.

Chronic Lymphocytic Leukemia and Antibody Deficiency

Chronic lymphocytic leukemia (CLL) mainly affects antibody production, leading to a lack of antibodies. CLL cells build up in lymphoid tissues, bone marrow, and blood, harming B cells’ function.

This harm makes CLL patients more likely to get infections, like those from encapsulated bacteria. The lack of antibodies makes fighting infections harder for these patients.

Myeloid Leukemias and Neutrophil Dysfunction

Myeloid leukemias, such as chronic myeloid leukemia (CML) and AML, often cause neutrophil dysfunction. The abnormal cells in myeloid leukemias can damage neutrophils, which are key in fighting infections.

Neutrophil dysfunction in myeloid leukemias raises the risk of serious infections. These infections can be deadly if not treated right away.

In summary, the type of leukemia greatly affects the immune deficiency it causes. Knowing these differences is key to finding effective treatments for leukemia and its impact on the immune system.

The Immunosuppressive Microenvironment in Leukemia

Leukemia cells create a special environment that helps them avoid being detected by the immune system. This environment is made possible by cytokine imbalances. It makes it hard for the immune system to fight leukemia effectively.

Cancer Cells’ Evasion of Immune Detection

Leukemia cells have ways to avoid being found by the immune system. They use checkpoint molecules to slow down immune cells. For example, PD-L1 on leukemia cells can stop T cells from working right.

“Cancer cells’ ability to hide from the immune system is a key feature of cancer,” say experts. This hiding act is important for leukemia to grow, as it lets cancer cells multiply without being attacked by the immune system.

Cytokine Imbalances and Their Effects

Cytokines are important for the immune system to work. In leukemia, cytokine levels get out of balance, creating a suppressive environment. For instance, too much TGF-β and IL-10 can quiet down immune cells. Not enough IL-12 makes it harder for the immune system to fight.

  • Cytokine imbalances help cancer cells hide.
  • Too much of immunosuppressive cytokines like TGF-β and IL-10 is seen in leukemia.
  • Less of pro-inflammatory cytokines like IL-12 weakens the immune response.

It’s key to understand these processes to create new treatments. Treatments that can fix the immune system’s balance and help it fight leukemia better.

Clinical Implications of Immune Dysfunction in Leukemia Patients

Leukemia patients struggle with immune problems, making them more likely to get sick. Their immune system, which fights off germs, doesn’t work right. This makes them very vulnerable.

Immune dysfunction in leukemia patients can lead to a range of clinical implications, including increased susceptibility to infections. As noted by a study, “Infections are a major cause of morbidity and mortality in patients with leukemia, particularly during periods of intense immunosuppression.”

Increased Susceptibility to Infections

Leukemia patients get sick more easily because their immune systems are weak. Their bone marrow makes bad white blood cells, pushing out the good ones. This makes them very vulnerable to infections.

Preventive measures are key to fighting off infections. This includes using antibiotics, getting vaccinated, and staying away from germs.

Secondary Illnesses and Complications

Leukemia patients also face risks of other illnesses and problems. These can come from the disease itself or from treatments.

For example, cytokine imbalances can cause serious issues, like graft-versus-host disease in bone marrow transplant patients. Handling these problems needs a detailed plan, including constant checks and quick action.

Preventive Measures and Management Strategies

To lessen the risks of immune problems, several steps can be taken. These include:

  • Regular checks on the patient’s immune health
  • Using antibiotics and vaccines
  • Staying away from germs
  • Starting the right treatments for leukemia and its side effects

By using these methods, doctors can lower the chance of infections and other problems in leukemia patients. This helps improve their health and life quality.

Conclusion

Leukemia affects the immune system in many ways. It produces abnormal white blood cells and hampers the maturation and function of immune cells. It also invades the bone marrow.

The lymphatic system is key to our immunity. Leukemia disrupts it, making the immune response harder.

Leukemia types like acute and chronic have different impacts on the immune system. This leads to various immune deficiencies. It’s vital to understand how leukemia, the immune system, and the lymphatic system interact. This knowledge helps in creating better treatment plans.

The immune and lymphatic systems protect us from infections and diseases. In leukemia patients, these systems are weakened. This makes them more prone to infections and other illnesses.

Healthcare providers can take steps to prevent these issues. They can help improve patient outcomes by managing these risks.

As we learn more about leukemia, we can make treatments better. This will help care for patients with leukemia more effectively.

FAQ

Is the lymphatic system the same as the immune system?

No, they are not the same, but closely related. The lymphatic system helps defend the body against infection and disease. The immune system uses cells, tissues, and organs to fight off pathogens.

How does leukemia affect the immune system?

Leukemia harms the immune system by making abnormal white blood cells. This makes it harder for the body to fight off infections. The type of leukemia affects how much it weakens the immune system.

What is the role of white blood cells in normal immune function?

White blood cells are key in fighting off pathogens. Leukemia disrupts this by creating abnormal cells that can’t fight well.

How does the lymphatic system contribute to immunity?

The lymphatic system helps by filtering lymph fluid and storing lymphocytes. It aids in removing pathogens from the body. Leukemia can mess with these pathways, weakening immunity further.

What are the clinical implications of immune dysfunction in leukemia patients?

Leukemia patients face a higher risk of infections and complications like sepsis and pneumonia. Using antimicrobial prophylaxis and immunoglobulin replacement can help reduce these risks.

How do leukemia cells evade immune detection?

Leukemia cells avoid being detected by changing the microenvironment and suppressing immune responses. They also produce substances that weaken the immune system. This lets them grow and survive, causing the disease to progress.

What is the difference between the immune system and the lymphatic system?

The immune system fights off pathogens, while the lymphatic system aids in this fight. They are different but work together to keep the body healthy.

How do different types of leukemia affect the immune system?

Different leukemias, like acute lymphoblastic leukemia and chronic lymphocytic leukemia, impact the immune system differently. This leads to varying levels of immune suppression and infection risk.

References

Sánchez-Correa, B., Gayoso, I., Bergua, J. M., et al. (2012). Decreased expression of DNAM-1 on NK cells from acute myeloid leukemia patients. Immunology & Cell Biology, 90(1), 109-115. https://pubmed.ncbi.nlm.nih.gov/22266515/

Subscribe to Liv E-newsletter