Last Updated on November 27, 2025 by Ugurkan Demir

Brain lesions are damaged spots in the brain. They can happen from injuries, infections, or diseases that harm brain cells.
At Liv Hospital, finding a lesion on brain can be scary. But, it’s important to know if it needs treatment or just watching.
Knowing about brain lesions helps us understand their effects. We use top-notch imaging and brain checks to help each patient.

The term ‘brain lesion’ refers to damage to brain tissue. These damaged areas can be mild or severe. They can be caused by injury, disease, or even be present at birth.
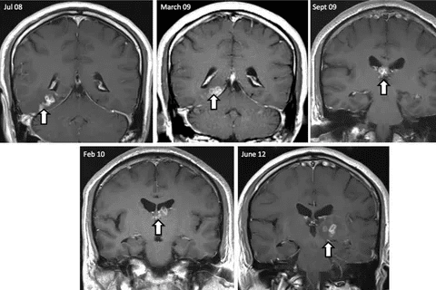
A brain lesion is any damaged area of brain tissue. Damage can come from infections, trauma, or vascular issues. For example, a Petroclival meningioma is a tumor near the brainstem, considered a brain lesion.
Lesions can be benign or malignant. Their impact on health varies. Symptoms include headaches, seizures, and cognitive issues, depending on the lesion’s location and size.
Brain lesions are more common than you might think. They can be found with MRI and CT scans. The frequency of brain lesions depends on the study population and diagnostic criteria.
| Type of Lesion | Causes | Common Symptoms |
| Traumatic Lesions | Head injury | Headaches, dizziness |
| Infectious Lesions | Infections (e.g., abscesses) | Fever, seizures |
| Tumoral Lesions | Cancerous or benign tumors | Headaches, cognitive changes |
The table shows the wide range of causes and symptoms of brain lesions. Knowing the specifics of a lesion is key to effective treatment.

It’s important to know what causes brain lesions to treat them well. Lesions can come from injuries, infections, or blood vessel problems. Symptoms like headaches often show up first, depending on the lesion’s details.
Traumatic brain injuries (TBI) are a big reason for brain lesions. These injuries happen when the brain gets hurt by something outside, like car crashes or falls. The damage can cause different kinds of lesions, like contusions and hemorrhages.
Infections and inflammation can also cause brain lesions. For example, encephalitis or abscesses can lead to lesions. Conditions like multiple sclerosis can cause lesions too, by damaging nerve fibers.
Problems with blood vessels, like strokes and arteriovenous malformations (AVMs), can also cause lesions. A stroke happens when blood flow to the brain stops or slows down. AVMs are abnormal blood connections that can cause lesions because of bad blood flow.
It’s important to know about the different brain lesions. They can be small and harmless or big and serious. Each type affects people in different ways.
Small brain lesions might not cause big problems. Sometimes, they don’t need treatment if they’re not growing. But, it’s key to watch them to make sure they don’t become a big issue.
Characteristics of small brain lesions:
Big or many brain lesions are more serious. They might need treatments like medicines, surgery, or radiation. This depends on what’s causing them.
Characteristics of large or multiple lesions:
Lesions can be sorted by how they look on scans. This helps doctors understand them better and plan treatment.
| Lesion Appearance | Possible Causes | Significance |
| Hyperintense on T2-weighted MRI | Inflammation, edema, or demyelination | May indicate conditions like multiple sclerosis |
| Hypointense on T1-weighted MRI | Chronic lesions, calcifications, or hemorrhages | Can be seen in various conditions, including old injuries or certain infections |
| Ring-enhancing lesions | Abscesses, tumors, or certain infections | Often require further investigation and possible intervention |
Knowing about brain lesions is key for doctors. They use how lesions look and how they act to decide the best treatment. This helps manage these conditions well.
Spotting brain lesions early can greatly improve treatment results. These lesions can come from trauma, infection, or blood vessel problems. They show different symptoms based on where they are, how big they are, and what they are.
The first signs of brain lesions can be tricky to spot. Often, the first symptom is headaches. These headaches happen because the lesion puts pressure on the brain.
Other early signs include nausea and vomiting, neck pain or stiffness, and feeling generally unwell. Sometimes, people might have seizure activity. This can happen if the lesion is in a part of the brain that controls movement or other important functions.
The spot where a brain lesion is located affects its symptoms. For example, lesions in the frontal lobe can change a person’s personality and make it hard to make decisions. They can also cause problems with moving.
Lesions in the temporal lobe might lead to hearing issues, memory problems, or seizures. Knowing the symptoms based on where the lesion is helps doctors diagnose and treat it better.
If you have symptoms that don’t go away or get worse, see a doctor right away. Signs like sudden severe headache, confusion, weakness, or trouble speaking are urgent.
Getting a diagnosis and treatment early can make a big difference for people with brain lesions. If you notice anything unusual or persistent, talk to a healthcare professional.
Diagnosing brain lesions needs a detailed plan. We use imaging studies and clinical checks. Advanced tools help us find and understand brain lesions. This is key for good treatment plans.
Imaging is key in finding brain lesions. MRI (Magnetic Resonance Imaging) and CT (Computed Tomography) scans are main tools. MRI spots soft tissue issues well, while CT scans are fast and used in emergencies.
MRI gives us clear brain pictures. It shows where, how big, and what kind of lesions are. It can tell if it’s a tumor, cyst, or inflammation. CT scans are great for finding bleeding, calcifications, and bone problems.
We also do other tests to learn more. Blood tests check for infections, inflammation, or diseases that might cause brain lesions.
Lumbar puncture (LP) or spinal tap looks at cerebrospinal fluid. It checks for infection, inflammation, or cancer. This is useful when imaging doesn’t show enough or when the brain is involved.
Other tests like electroencephalography (EEG) check brain electrical activity. Or biopsy gets tissue for lab tests. These might be needed to know what the lesion is.
Every brain lesion is different, so treatment plans vary. The main goals are to cure, relieve symptoms, or improve life quality. We’ll look at the treatments for various brain lesions.
At times, watching and waiting is the best approach. This is true for small, benign lesions that don’t cause symptoms. Regular scans like MRI or CT help see if the lesion changes.
This method is used for lesions likely to be harmless or low-risk.
When action is needed, treatments include medicine and surgery. Surgical removal is often chosen for lesions that are big, in a bad spot, or look cancerous. The decision to operate depends on several factors.
“Surgery is often the first line of treatment for certain types of brain lesions, promising a cure or significant symptom relief.”
Medical Expert, Neurosurgeon
Medicine can help manage symptoms or treat conditions linked to the lesion. For example, drugs for seizures might be given to those with brain lesions causing seizures.
| Treatment Type | Description | Indications |
| Surgical Removal | Operation to remove the lesion | Accessible lesions causing significant symptoms |
| Medical Management | Use of medications to manage symptoms | Lesions causing seizures or other manageable symptoms |
| Chemotherapy | Use of drugs to kill cancer cells | Malignant lesions or cancerous brain tumors |
Radiation therapy is used for malignant lesions or those hard to remove surgically. It includes external beam radiation or stereotactic radiosurgery, focusing high doses on the lesion.
Chemotherapy is also an option, mainly for cancerous lesions. The choice of drugs depends on the cancer type.
In conclusion, treating brain lesions is very personalized. It considers the lesion’s type, size, location, and the patient’s health and wishes. A team of healthcare experts works together to find the best treatment for each patient.
Brain lesions can heal or go away, but it depends on many things. We’ll look at the types of lesions and how they might recover. We’ll also talk about conditions that could cause lasting damage.
Some brain lesions can heal, like those from mild brain injuries or infections. For example, mild concussions often get better with rest. Also, some viral infections can clear up with treatment.
But, how likely it is for a lesion to heal depends on its cause and severity. Lesions from chronic traumatic encephalopathy (CTE) usually get worse and can’t be reversed.
Other brain lesions are part of diseases that get worse over time. Conditions like multiple sclerosis and Alzheimer’s disease lead to lesions that worsen symptoms. This can cause big problems with thinking and doing things.
Lesions from stroke or vascular dementia might not heal. But, therapy can help improve function.
Many things affect if brain lesions can heal. These include the cause of the lesion, how severe it is, and how well treatment works. Each person heals differently.
Knowing these factors helps set realistic goals and make smart choices about treatment and therapy.
Living with permanent brain lesions can be tough, but it’s not impossible. With the right help and support, people can find joy in life. It’s not just about medical care. It’s about a whole approach to getting better and living each day.
Rehab is key for managing permanent brain lesions. Physical therapy, speech therapy, and cognitive therapy are all important. They help people get back to doing things they love and adjust to changes.
These therapies are made just for you. They aim to help you be as independent and happy as possible.
Adapting to life with brain lesions is also important. Making small changes in your daily life can make a big difference. It helps you stay independent.
Having a strong support network is also key. Family, friends, and groups can offer emotional support and help. Meeting others who face similar challenges can be very helpful. It gives you a sense of belonging and understanding.
Combining rehab, adaptive techniques, and a strong support system can make a big difference. It helps people with permanent brain lesions live a better life.
Knowing how brain lesions will turn out is key. It helps us plan and make smart choices about treatment. The outcome can change a lot based on the type and reason for the lesion.
We talked about what affects the outcome. This includes the cause, type, and personal factors. Knowing these helps patients and doctors create good plans and support.
Looking at each patient’s brain lesion is very important. It helps us give care that fits each person’s needs. This way, we can help improve their life and health.
To wrap it up, the future of brain lesions depends on many things. Understanding these is essential for good care. We hope this info helps patients and families deal with brain lesions better and make wise choices about their health.
Brain lesions are damaged areas in the brain. They can happen from injuries, infections, or diseases that harm brain cells.
Yes, brain lesions are common. Their frequency depends on the cause and the group being studied.
Some brain lesions can heal completely. Others may get worse or stay the same, based on the cause and treatment.
Symptoms of brain lesions vary. They can include headaches, seizures, and changes in thinking. It also depends on where and how big the lesion is.
Doctors use CT and MRI scans to find brain lesions. They might also do blood tests.
Yes, some brain lesions are harmless. But others can be serious or even life-threatening, depending on the cause.
Treatment for brain lesions varies. It can include medicine, surgery, radiation, or other therapies, based on the cause.
Yes, small brain lesions can cause big problems. It depends on where they are and the person’s health.
Brain lesions can change the brain in many ways. They can affect thinking, feelings, and physical abilities, depending on their size and location.
The outlook for brain lesions varies. It depends on the cause, treatment, and individual factors. Each case needs a personal approach to care.
Some brain lesions can heal. Others may not. It depends on the cause and the treatment used.
Living with permanent brain lesions requires special care. Strategies include using adaptive techniques, building support systems, and getting overall care to manage symptoms and improve life quality.
World Health Organization. (2025). What Are Brain Lesions and Can They Go. Retrieved from https://www.who.int/publications/i/item/9789241563369
Subscribe to our e-newsletter to stay informed about the latest innovations in the world of health and exclusive offers!