?

Arnold Chiari Malformation affects the brain and spinal cord. Discover symptoms and treatment options in this story.

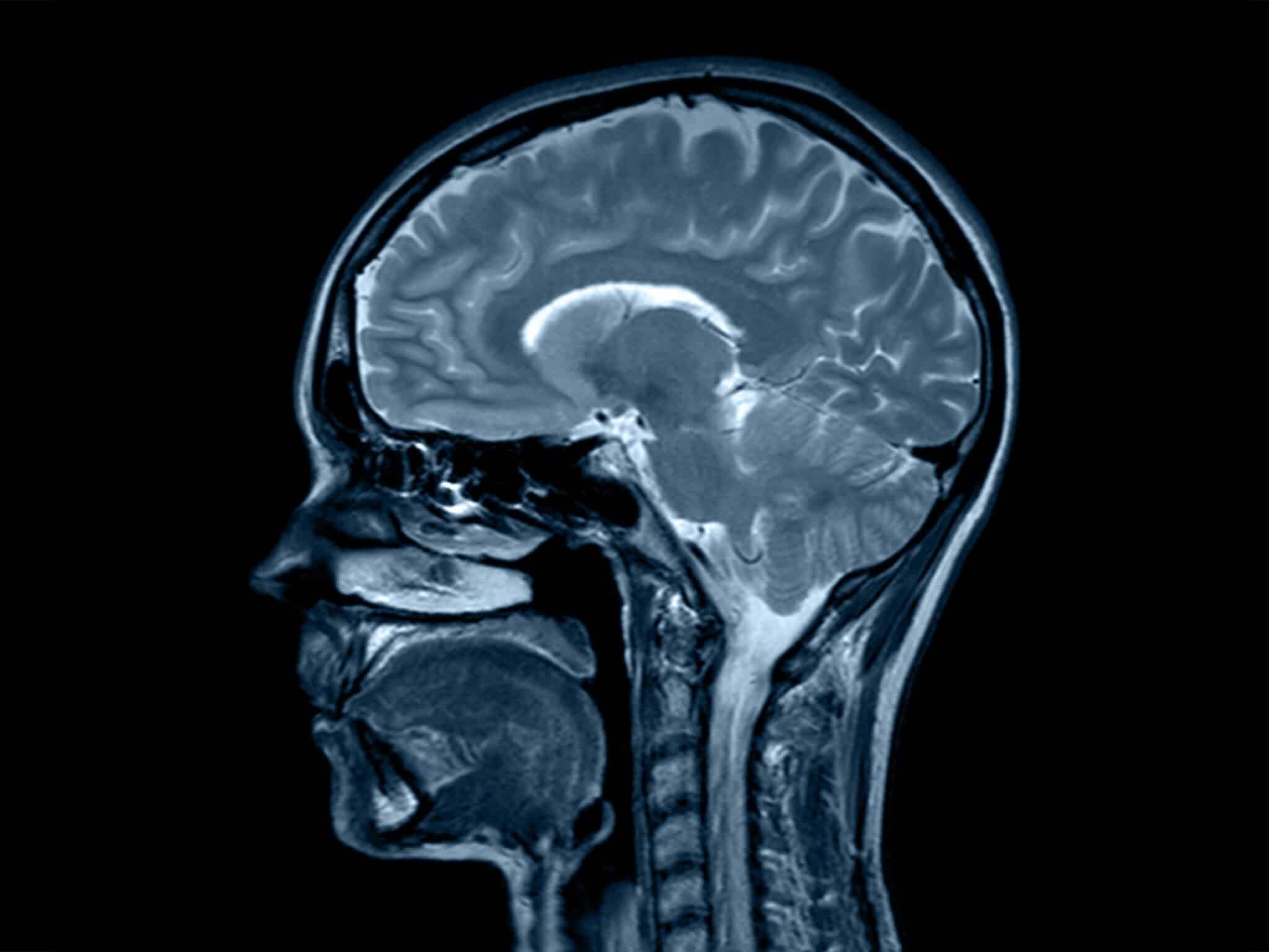
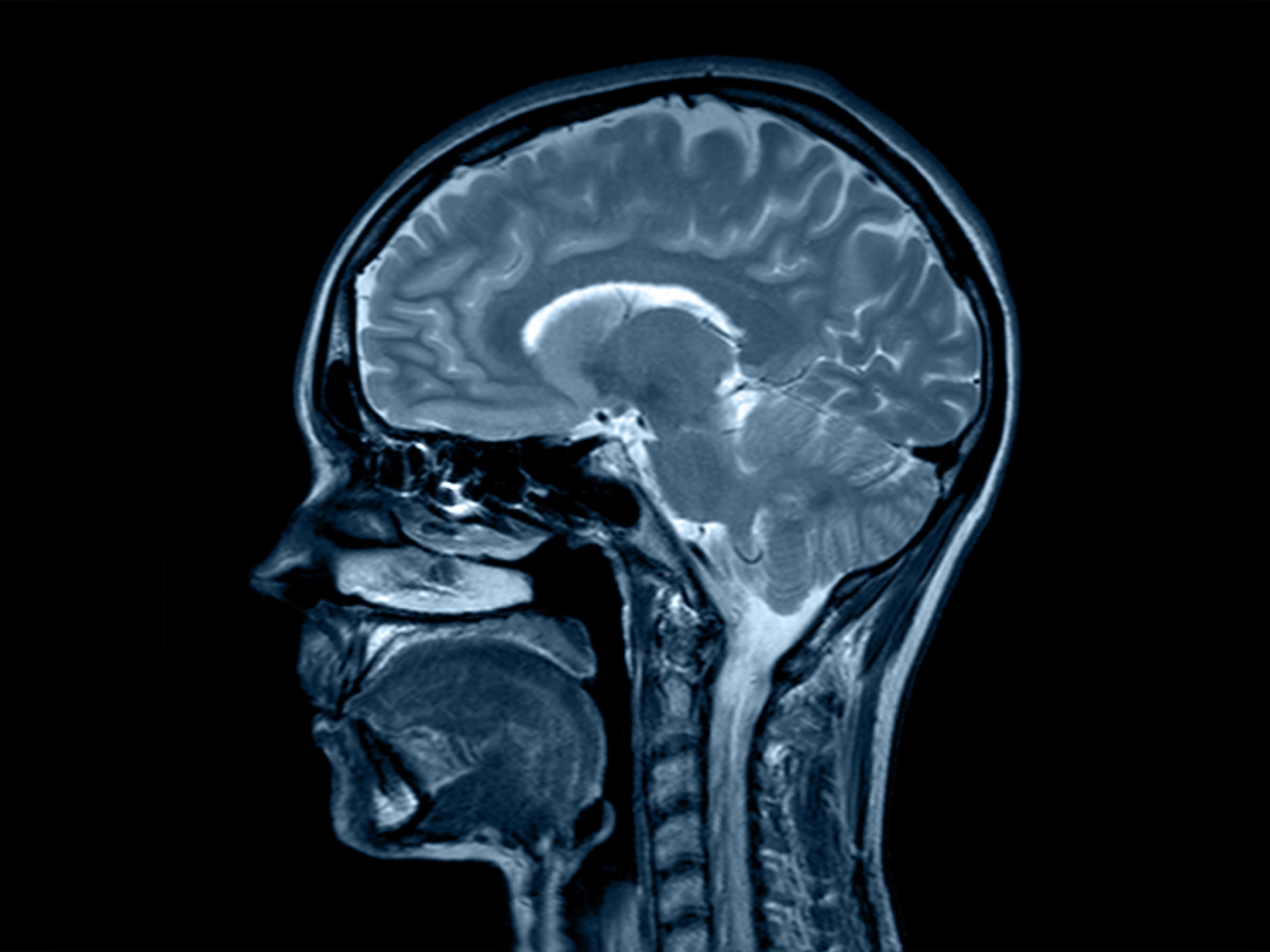
ARNOLD CHIARI MALFORMATION

WHAT IS ARNOLD CHIARI MALFORMATION?

Arnold Chiari Malformation is when parts of the brain protrude into the spinal canal, leading to various neurological symptoms.

UNDERSTANDING SYMPTOMS

Chiari Type 1 presents with symptoms like headaches, neck pain, and numbness in limbs. These symptoms can impact daily life.

SURGICAL TREATMENT OPTIONS

Decompression surgery is a procedure to relieve pressure on the brain and spinal cord, potentially alleviating symptoms.

RECOVERY AFTER SURGERY

After surgery, patients may need to stay in the hospital for a few days. Pain management and recovery are crucial.

ALTERNATIVE TREATMENTS

Non-surgical treatment options include physical therapy and lifestyle changes, which can help manage symptoms.

SURGICAL RISKS

Decompression surgery is generally safe, but there are risks such as infection and fluid leakage.

CONCLUSION AND APPROACH

Understanding Arnold Chiari Malformation helps patients make informed choices about their treatment options.

Stories

More

RESTRICTIONS AFTER CARPAL TUNNEL SURGERY

TOP 10 OSTEOPOROSIS DIETARY SUPPLEMENTS