
Unexplained headaches, memory changes, or shifts in personality could mean you have brain lesions. At Liv Hospital, we offer patient-centered care and advanced skills. We help spot the early signs of these lesions, so you can take action fast.
Brain lesions are damaged brain areas. They can be caused by injury, disease, infection, or blood flow issues. It’s important to notice the lesions in brain symptoms early for timely treatment.
Key Takeaways
- Unexplained headaches can be a symptom of underlying brain lesions.
- Memory changes and personality shifts may indicate brain damage.
- Early detection is key for effective treatment.
- Liv Hospital offers advanced expertise and patient-focused care.
- Spotting symptoms early can lead to better outcomes.
What Are Brain Lesions: Definition and Medical Significance

The term ‘brain lesion’ means any abnormal damage or disease in brain tissue. These can come from many sources, like injuries, infections, or blood flow problems. They can have big health effects.
Medical Definition of Brain Lesions
Doctors define a brain lesion as damaged or diseased brain tissue. This damage can mess with the brain’s function, causing neurological symptoms. The definition covers a wide range of problems, from small to large.
Types of Brain Lesions
Brain lesions are grouped by their causes and features. They include:
- Traumatic lesions from head injuries
- Infectious lesions from bacteria, viruses, or fungi
- Vascular lesions due to blood flow issues, like strokes
- Neoplastic lesions from tumors
Each type has its own health and treatment implications.
Prevalence Statistics and Risk Demographics
Brain lesions affect many people, with different rates based on the cause. Some groups are more at risk, like older adults and those with neurological conditions. Knowing these stats helps us find who’s most at risk and how to prevent it.
Understanding brain lesions helps us see their importance in medicine. It shows why quick diagnosis and treatment are key.
Common Causes of Brain Lesions

It’s important to know what causes brain lesions to treat them early. Brain lesions can happen for many reasons that harm brain tissue and how it works.
Traumatic Brain Injuries and Physical Damage
Traumatic brain injuries (TBI) are a big reason for brain lesions. When the brain gets hurt, it can damage the tissue, causing lesions. The damage can vary based on the injury’s severity. TBI can happen from accidents, falls, or physical attacks, affecting many people.
Infections and Inflammatory Responses
Infections can also cause brain lesions. For example, encephalitis makes the brain inflamed, leading to lesions.
Vascular Issues and Blood Flow Problems
Vascular problems, like stroke and cerebral vasculitis, can block blood to the brain, causing lesions. This shows how vital blood flow is to prevent brain lesions.
Tumors and Abnormal Tissue Growth
Tumors, whether they’re benign or cancerous, can cause brain lesions. The growth of abnormal tissue can lead to neurological symptoms. Spotting these lesions early is key to managing them well.
7 Key Signs of Brain Lesions You Should Recognize
It’s important to know the signs of brain lesions for early treatment. Brain lesions can show up in different ways, based on where and how big they are. Spotting these signs early can lead to better treatment results.
Persistent or Unusual Headaches
One common symptom of brain lesions is persistent or unusual headaches. These headaches might be worse in the morning and get worse over time. If you have headaches that don’t go away or are very bad, see a doctor.
Cognitive Decline and Memory Difficulties
Brain lesions can cause memory and thinking problems. People might feel confused, disoriented, or have trouble remembering things. These signs can mean there’s a problem with brain areas that handle thinking.
Personality and Behavioral Changes
Changes in personality or behavior can be signs of brain lesions. People might become more irritable, anxious, or depressed. They might also act in ways that are not like them, which can upset both the person and their loved ones.
Vision Problems and Disturbances
Vision issues are another symptom of brain lesions. This can include blurry vision, double vision, or losing part of your field of vision. These problems show the need to see a doctor.
Seizures and Epileptic Episodes
Brain lesions can also cause seizures or epileptic episodes. These can be mild or severe and might include losing consciousness or convulsions. If you have a seizure, get medical help right away.
Movement and Coordination Difficulties
Problems with movement and coordination can mean brain lesions in areas that control movement. People might feel weak, numb, or paralyzed in different parts of their body. This can make everyday tasks hard to do.
Speech and Language Impairments
Lastly, speech and language problems can be lesions in brain symptoms. Issues with speaking, understanding language, or reading and writing can happen. These problems can really affect someone’s life and need quick medical help.
Knowing these 7 signs can help people spot brain lesions early. Getting medical help quickly can make a big difference in treatment and care.
How Brain Lesion Symptoms Vary by Location
The location of a brain lesion greatly affects the symptoms that appear. Lesions can happen in different parts of the brain, each with its own function. The symptoms show where the lesion is.
Frontal Lobe Lesion Symptoms
Lesions in the frontal lobe can change a person’s personality, behavior, and how they move. They might struggle with making decisions, solving problems, and controlling their impulses. They could also have weakness or paralysis in certain body parts.
Temporal Lobe Manifestations
The temporal lobe handles sound and memory. Lesions here can make it hard to understand spoken words, forget things, and even cause seizures. Some people might hear things that aren’t there.
Parietal Lobe Effects
Lesions in the parietal lobe can cause numbness or tingling. People might also have trouble with spatial awareness and coordination.
Occipital Lobe Vision Impacts
The occipital lobe deals with vision. Lesions here can lead to blind spots, blurry vision, or even total vision loss in one or both eyes.
Cerebellum and Brain Stem Complications
Lesions in the cerebellum can make it hard to balance and move. This can cause an unsteady gait or trouble with fine motor tasks. Brain stem lesions can be very serious, affecting breathing, swallowing, and heart rate control.
It’s important to know how a brain lesion’s location affects its symptoms. This helps doctors diagnose and treat each patient better. By understanding the symptoms of different brain areas, doctors can provide more targeted care.
Diagnostic Approaches for Brain Lesions
Healthcare professionals use many tools to find brain lesions. They do detailed checks and use advanced imaging. This helps make sure patients get the right treatment.
Comprehensive Neurological Examination
The first step is a detailed check of the brain. This looks at how well the brain works, including thinking, moving, feeling, and reflexes. It helps find any problems that might mean a brain lesion.
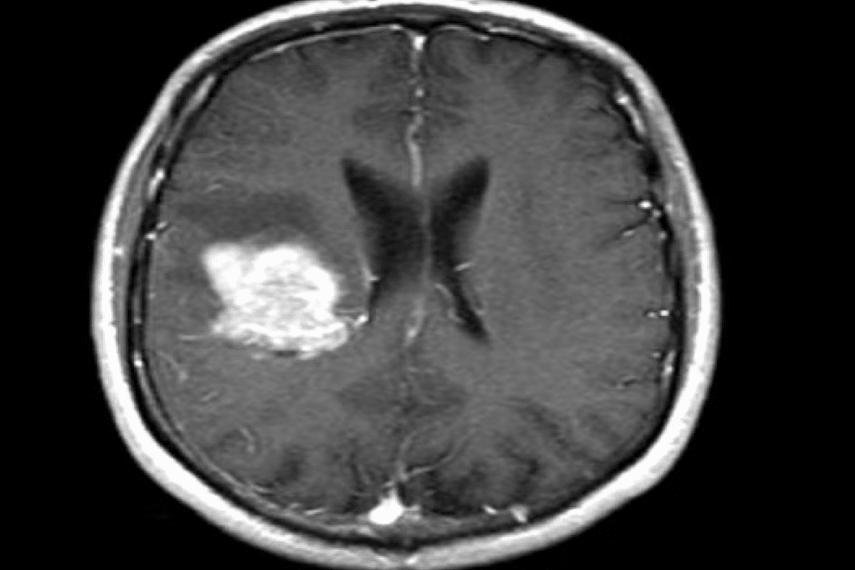
Advanced Imaging Technologies
Modern imaging is key in finding brain lesions. It gives clear pictures of the brain. This lets doctors see and understand the lesions better.
MRI and CT Scan Procedures
Magnetic Resonance Imaging (MRI) and Computed Tomography (CT) scans are top choices for brain scans. MRI shows soft tissues well, great for finding brain lesions. CT scans are fast and good for seeing calcifications and bleeding.
PET and SPECT Imaging Benefits
Positron Emission Tomography (PET) and Single Photon Emission Computed Tomography (SPECT) show how brain tissues work. They help see how lesions function and how they react to treatment. For more on PET and SPECT, see this PDF document.
Laboratory Testing and Tissue Analysis
Lab tests and tissue analysis are also important. They help find what causes lesions, like infections or autoimmune diseases. This info is key for planning treatment.
| Diagnostic Approach | Description | Benefits |
|---|---|---|
| Comprehensive Neurological Examination | Assessment of neurological functions | Identifies possible problems |
| MRI | High-resolution images of soft tissues | Clear views of brain lesions |
| CT Scan | Fast and good for calcifications and bleeding | Quick look at acute issues |
| PET/SPECT | Looks at metabolic activity | Sees how lesions work |
| Laboratory Testing | Finds underlying causes | Essential for treatment plans |
Effective Treatment Strategies for Brain Lesions
Managing brain lesions well starts with knowing what they are and picking the right treatment. Lesions can come from injuries, infections, blood issues, or tumors. Each one needs a special plan.
Medication Therapies and Management
Medicine is key in treating brain lesion symptoms like seizures and headaches. We use drugs to help with these issues. This makes patients feel better and function better too.
Surgical Intervention Options
Surgery is needed for tumors or cysts in the brain. We use new neurosurgery methods to safely remove or shrink the lesion. This helps keep the brain around it safe.
Radiation and Chemotherapy Approaches
For bad or hard-to-reach lesions, radiation and chemotherapy are good choices. We use the latest in radiation and different chemotherapy plans. This helps fight the lesion without harming the brain too much.
Comprehensive Rehabilitation Programs
Rehab is a big part of treating brain lesions. It helps patients get back to normal, think better, and live better. Our rehab includes physical, occupational, speech, and cognitive therapy.
| Treatment Option | Description | Benefits |
|---|---|---|
| Medication Therapies | Management of symptoms with pharmaceuticals | Improved symptom control, enhanced patient comfort |
| Surgical Interventions | Removal or reduction of the lesion | Potential for complete removal, reduced lesion size |
| Radiation/Chemotherapy | Targeted treatment for malignant or inoperable lesions | Effective lesion control, minimized damage to healthy tissue |
| Rehabilitation Programs | Restoration of function and cognitive abilities | Improved quality of life, enhanced functional capabilities |
By mixing these treatments, we create a care plan for each patient. This plan aims to get the best results for each person with brain lesions.
Managing Daily Life with Brain Lesions
Living with brain lesions can be tough, but the right strategies help manage symptoms well. Managing brain lesions means using medical treatment, rehabilitation, and making lifestyle changes.
Cognitive Rehabilitation Techniques
Cognitive rehab is key for managing brain lesions. It includes memory training, attention exercises, and solving problems. Cognitive rehabilitation techniques are made for each person’s needs. They can greatly improve life quality.
Physical Therapy and Movement Recovery
Physical therapy is vital for those with brain lesions. It helps regain strength, balance, and mobility. As one expert says,
“Physical therapy is not just about recovering physical strength; it’s about regaining independence.”
Psychological Support Systems
Psychological support is critical for those facing brain lesions’ emotional and mental challenges. Support groups, counseling, and therapy offer emotional support. They help cope with the condition.
Adaptive Lifestyle Modifications
Adapting to life with brain lesions means big lifestyle changes. This includes changing daily routines, using assistive devices, and making home adaptations. These changes help manage symptoms and improve well-being.
By using these strategies, people with brain lesions can live more fulfilling and independent lives. Cognitive rehabilitation, physical therapy, and psychological support are essential for a complete management plan.
Risk Reduction and Prevention Strategies
To lower the risk of brain lesions, we need a plan that covers protecting our heads and managing health issues. Knowing what causes brain lesions helps us find ways to stop them.
Protecting Against Head Injuries
Head injuries are a big risk for brain lesions. We can lower this risk by wearing helmets in sports, using seatbelts, and making our homes safer to avoid falls.
Managing Underlying Health Conditions
Health problems like high blood pressure and diabetes can raise the risk of brain lesions. By controlling these with medicine, lifestyle changes, and check-ups, we can lower this risk.
Regular Screening for High-Risk Individuals
People with a family history of brain lesions or other risks should get regular check-ups. These help catch problems early and prevent them.
Healthy Lifestyle Choices for Brain Health
Healthy living is key for our brains. Eating right, exercising, not smoking, and drinking less alcohol are all important. These habits help keep our brains healthy and prevent lesions.
| Prevention Strategy | Description | Benefit |
|---|---|---|
| Protecting Against Head Injuries | Wearing protective gear, safe driving practices | Reduces risk of traumatic brain injury |
| Managing Health Conditions | Monitoring and treatment of hypertension, diabetes | Decreases risk of vascular-related brain lesions |
| Healthy Lifestyle Choices | Balanced diet, regular exercise, no smoking | Enhances overall brain health and resilience |
Liv Hospital’s Expert Approach to Brain Lesion Care
Our team at Liv Hospital is committed to helping those with brain lesions. We know how complex these issues are and how they affect patients and their families.
Specialized Multidisciplinary Treatment Teams
At Liv Hospital, we have multidisciplinary treatment teams. These teams include experts from many fields. They work together to create the best care plans.
State-of-the-Art Diagnostic Technologies
We use state-of-the-art diagnostic technologies to diagnose and monitor brain lesions. Our advanced imaging lets us make accurate diagnoses and tailor treatments for each patient.
Individualized Treatment Protocols
We understand that every patient is different. So, we create individualized treatment protocols. Our plans include various therapies and interventions based on each patient’s needs.
Patient-Centered Care Philosophy
Our care is centered around the patient. We focus on their well-being and comfort. Our support services meet their physical, emotional, and psychological needs.
By using specialized teams, advanced technologies, and a patient-first approach, Liv Hospital provides top-notch care for brain lesion patients.
Conclusion: Taking Action Against Brain Lesions
Brain lesions can really change a person’s life. They can mess with how well you think, move, and feel. It’s key to spot the signs early and get help fast.
Getting a diagnosis and starting treatment early can make a big difference. Knowing what causes brain lesions, their symptoms, and how to treat them helps a lot. This way, we can lessen the harm they do.
If you’re having headaches, trouble thinking, or seizures, don’t wait. Get to a doctor right away. Places like Liv Hospital have teams ready to help you get better.
Acting on brain lesions means being aware, getting checked out quickly, and following treatment plans. This way, you can take back control of your health and live better.
What is a brain lesion?
A brain lesion is an abnormal area in the brain. It can be caused by injury, infection, or disease. These lesions can be harmless or serious and affect people differently based on their size and location.
What are the common causes of brain lesions?
Brain lesions can come from many sources. These include head injuries, infections, blood vessel problems, tumors, and more. Knowing the cause is key to finding the right treatment.
What are the symptoms of brain lesions?
Symptoms of brain lesions vary. They can include headaches, memory loss, mood changes, vision issues, seizures, and trouble with movement or speech. The symptoms depend on where and how big the lesion is.
How are brain lesions diagnosed?
Doctors use several methods to find brain lesions. They do detailed checks, use MRI or CT scans, and run lab tests. These steps help doctors understand the lesion’s details.
What are the treatment options for brain lesions?
Treatment for brain lesions depends on the cause, size, and location. Options include medicines, surgery, radiation, chemotherapy, and rehab programs. Each case is treated differently.
Can brain lesions be prevented?
Some brain lesions can’t be prevented, but there are ways to lower the risk. Protecting your head, managing health issues, and living a healthy lifestyle can help.
How can Liv Hospital help with brain lesion care?
Liv Hospital offers top-notch care for brain lesions. They have specialized teams, the latest diagnostic tools, and tailored treatment plans. Their focus is on patient care and improving outcomes.
What is the significance of recognizing the symptoms of brain lesions?
Spotting brain lesion symptoms early is vital. It means getting timely treatment. Early action can greatly improve a person’s life and health.
Are brain lesions life-threatening?
The danger of brain lesions varies. Some can be serious, while others are not. If symptoms get worse, it’s important to see a doctor right away.
How do brain lesions affect daily life?
Brain lesions can change daily life a lot. They can cause problems with thinking, feeling, and moving. Managing these challenges requires a full approach, including therapy and support.
References
- WebMD (Brain Lesions: Causes, Symptoms, Treatments) : https://www.webmd.com/brain/brain-lesions-causes-symptoms-treatments
- Main Line Health (Brain Lesion) : https://www.mainlinehealth.org/conditions-and-treatments/conditions/brain-lesion
- Healthgrades (Brain Lesions) : https://resources.healthgrades.com/right-care/brain-and-nerves/brain-lesions
- https://www.google.com/search?q=Scan.com (What Do Lesions on a Brain MRI Mean?) : https://uk.scan.com/health-hub/what-do-lesions-on-a-brain-mri-mean
- National Cancer Institute (Lesion Definition) : https://www.cancer.gov/publications/dictionaries/cancer-terms/def/lesion