
Too much blood in the brain is called cerebral hyperperfusion. It can cause many worrying symptoms. Studies show it’s key to know these signs early for quick medical help. What are cerebral hyperperfusion symptoms? Learn the 5 critical signs of too much blood flow to the brain. This is essential information.
Spotting the signs of hyperperfusion syndrome is crucial for receiving appropriate care. This article will look at the symptoms of too muchbrain blood flow. We’ll also talk about how to diagnose and treat it.
Key Takeaways
- Understanding the symptoms of cerebral hyperperfusion is crucial for timely medical intervention.
- Excessive blood flow to the brain can lead to various concerning symptoms.
- Identifying the signs of hyperperfusion syndrome is essential for proper medical care.
- Diagnosis and treatment of cerebral hyperperfusion require a comprehensive approach.
- Recognizing the symptoms early can significantly improve patient outcomes.
Exploring cerebral hyperperfusion, we dive into its definition and the reasons behind it. It’s a condition where there’s too much blood flow to the brain. This can cause serious neurological problems.
Definition and Basic Mechanism
Cerebral hyperperfusion happens when the brain’s blood flow gets out of balance. Normally, the brain keeps blood flow steady, no matter the blood pressure. But in hyperperfusion, this balance is lost, causing too much blood flow.
Understanding the various reasons behind cerebral hyperperfusion is essential for effective treatment.
Normal vs. Excessive Cerebral Blood Flow
It’s important to know the difference between normal and too much blood flow in the brain. Normal blood flow meets the brain’s needs without harm. But too much can cause swelling, bleeding, and damage to brain cells.
Too much blood flow can show as headaches, confusion, and even seizures. Spotting these signs early is key to getting help fast.
Causes of Cerebral Hyperperfusion

Understanding the various reasons behind cerebral hyperperfusion is essential for effective treatment. These include surgery, medical conditions, and some medicines. Knowing why it happens helps doctors treat it better.
Post-Surgical Causes
After surgery, especially carotid endarterectomy, Understanding the various reasons behind cerebral hyperperfusion is essential for effective treatment.ves plaque from carotid arteries. It can cause too much blood flow to the brain.
A study in a medical journal said, “Post-carotid endarterectomy hyperperfusion syndrome is a serious problem. It needs quick action to manage it.”
Spotting the signs of hyperperfusion syndrome is crucial for receiving appropriate care.
Spotting the signs of hyperperfusion syndrome is crucial for receiving appropriate care.
Some health issues can make you more likely to get cerebral hyperperfusion. High blood pressure is a big risk. It can change how blood vessels in the brain work.
| Medical Condition | Effect on Cerebral Blood Flow |
| Hypertension | Increased pressure on cerebral blood vessels |
| Stroke | Potential for reperfusion injury |
| Vascular Malformations | Abnormal blood vessel structure |
Medication-Related Causes
Some medicines can affect blood flow in the brain. For example, certain vasodilators can make blood flow too high.
Medications that can potentially cause cerebral hyperperfusion include:
- Vasodilators
- Certain antihypertensive drugs
- Medications used in anesthesia
Risk Factors for Developing Cerebral Hyperperfusion
Spotting the signs of hyperperfusion syndrome is crucial for receiving appropriate care.
Pre-existing Medical Conditions
Some health conditions raise the risk of cerebral hyperperfusion. These include:
- Hypertension: High blood pressure can change how blood flows to the brain.
- Carotid Artery Disease: Narrowing of the carotid arteries can block brain blood flow.
- Diabetes: Diabetes can harm blood vessels, including those to the brain.
Managing chronic diseases is key to avoiding complications like cerebral hyperperfusion.
Age and Gender Considerations
Age and gender also play a part in the risk of cerebral hyperperfusion.
- Age: Older people face a higher risk due to aging’s effects on blood vessels.
- Gender: Some studies show men might be at higher risk than women, but it depends on other factors.
Knowing these demographic risks helps us focus preventive efforts better.
Lifestyle Factors
Lifestyle choices greatly impact the risk of cerebral hyperperfusion.
- Smoking: Smoking damages blood vessels and can cause vascular diseases.
- Diet and Exercise: A diet rich in salt and saturated fats, plus lack of exercise, can lead to high blood pressure and heart disease.
- Alcohol Consumption: Drinking too much alcohol can raise blood pressure and harm vascular health.
Choosing a healthy lifestyle can greatly lower the risk of cerebral hyperperfusion.
By tackling these risk factors, we can prevent cerebral hyperperfusion and its serious complications.
Cerebral Hyperperfusion Symptoms: The Complete Picture
Spotting the signs of hyperperfusion syndrome is crucial for receiving appropriate care.
Early Warning Signs
Spotting the signs of hyperperfusion syndrome is crucial for receiving appropriate care.
Progressive Symptom Development
As cerebral hyperperfusion gets worse, symptoms can get more severe. Patients might see visual disturbances like blurry or double vision. This is because the blood flow affects the brain’s visual paths. They might also feel neurological deficits like weakness or numbness in certain body parts, showing the brain areas affected.
Symptom Variability Among Patients
Symptoms of Understanding the various reasons behind cerebral hyperperfusion is essential for effective treatment. to person. Some might have mild symptoms, while others face severe ones. The cause of hyperperfusion, any pre-existing health issues, and how well someone can handle increased blood flow to the brain all play a role.
Understanding these factors is crucial when treating patients with cerebral hyperperfusion. It helps us give the right care.
Headache and Pain Manifestations
It’s important to know about headaches linked to cerebral hyperperfusion for the right treatment. Headaches are a common sign in patients with this condition. They often act as an early warning.
Characteristics of Hyperperfusion Headaches
Headaches from Understanding the various reasons behind cerebral hyperperfusion is essential for effective treatment.are often severe and throbbing, with a feeling of pressure. The pain might be in one spot or spread out, based on the cause of the hyperperfusion.
Doctors have found that these headaches usually happen on the same side as the carotid stenosis or surgery. This suggests a specific cause.
“The nature of the headache can provide clues about the underlying cause of cerebral hyperperfusion.”
Differentiating from Other Headache Types
It’s key to tell hyperperfusion headaches from other types. Unlike migraines, they don’t have aura symptoms. They’re also more severe than tension headaches and often come with nausea and vomiting.
| Headache Type | Characteristics | Associated Symptoms |
| Hyperperfusion Headache | Severe, throbbing, localized or diffuse | Nausea, vomiting, sometimes visual disturbances |
| Migraine | Pulsating, often unilateral, moderate to severe | Aura symptoms, photophobia, phonophobia |
| Tension Headache | Mild to moderate, band-like pressure around the head | None or mild photophobia/phonophobia |
Associated Nausea and Vomiting
Nausea and vomiting often go with headaches in cerebral hyperperfusion. These symptoms come from high intracranial pressure and the body’s reaction to changed blood flow. It’s important to manage these symptoms to avoid dehydration and electrolyte problems.
Managing nausea and vomiting well is key in patients with cerebral hyperperfusion. It helps keep them hydrated and prevents serious issues.
Neurological Symptoms and Deficits
Cerebral hyperperfusion syndrome often shows serious neurological symptoms that need quick action. These symptoms can differ among patients but often greatly affect their quality of life.
Seizures and Seizure-Like Activity
Seizures are a known problem with cerebral hyperperfusion. They happen when too much blood flows to the brain, irritating the brain tissue.
“The occurrence of seizures in cerebral hyperperfusion syndrome is a critical indicator of the severity of the condition,” say doctors.
Hemiparesis and Motor Disturbances
Hemiparesis, or weakness on one side of the body, is linked to cerebral hyperperfusion. It can greatly reduce a patient’s ability to move and live independently.
Motor issues can be mild or severe, showing the importance of acting fast.
Aphasia and Language Problems
Aphasia, which makes communication hard, can also happen. It shows up as trouble speaking, understanding, reading, or writing.
Aphasia in cerebral hyperperfusion syndrome shows how complex the brain problems can be.
Cognitive and Behavioral Changes
Understanding the various reasons behind cerebral hyperperfusion is essential for effective treatment. people think and act. These changes affect their quality of life a lot. It’s important to know about them to help manage and care for patients better.
Confusion and Altered Consciousness
Confusion is a big symptom of cerebral hyperperfusion. It can be mild or very severe, leading to altered consciousness. People might find it hard to focus, make choices, or know what’s going on around them.
Altered consciousness can show up as feeling very tired, being in a deep sleep, or even being in a coma. It’s key for doctors to watch patients closely for these signs. This way, they can act fast to help.
Memory Issues
Memory problems are common too. Patients might struggle to make new memories or remember old ones. This can upset both the patient and their family a lot.
It’s a good idea for patients with cerebral hyperperfusion to get checked out by experts. This helps figure out how bad the memory problems are. It also helps find ways to help them remember better.
Fatigue and Weakness
Fatigue and weakness are also big issues. These can make everyday tasks hard and affect how well someone feels overall.
Here’s a table that shows the changes, their symptoms, and how to help:
| Cognitive/Behavioral Change | Symptoms | Potential Interventions |
| Confusion and Altered Consciousness | Disorientation, difficulty concentrating, lethargy | Close monitoring, cognitive assessments, timely medical interventions |
| Memory Issues | Difficulty forming new memories, recalling past events | Comprehensive cognitive assessments, memory compensation strategies |
| Fatigue and Weakness | Reduced energy levels, decreased physical strength | Physical therapy, lifestyle modifications, rest and relaxation techniques |
Knowing about these changes helps doctors give better support and care. This is especially true for patients with cerebral hyperperfusion.
Visual and Sensory Disturbances
Visual and sensory disturbances are common in cerebral hyperperfusion. They affect how patients experience the world. It’s important to know what causes these problems and their symptoms.
Types of Visual Problems
Patients with cerebral hyperperfusion face many visual issues. They might see things blurred, double, or have visual field defects. This happens because too much blood flows to the brain, pressing on the visual paths.
For example, someone might have trouble reading or watching TV because of blurred vision. Sometimes, these problems go away once the cause is fixed.
Dizziness Episodes
Dizziness is a common symptom of cerebral hyperperfusion. Dizziness episodes can be mild or very severe. They make it hard for patients to do everyday things.
Dizziness happens when the brain tries to handle too much blood. It can mess with the inner ear’s balance or how the brain handles balance info.
Other Sensory Abnormalities
Patients with cerebral hyperperfusion also face other sensory abnormalities. They might feel numbness, tingling, or abnormal sensations in different parts of their body. These symptoms come from too much blood in the brain affecting sensory paths.
It’s key to understand these sensory issues to help patients with cerebral hyperperfusion. By tackling these symptoms, doctors can greatly improve patients’ lives.
Post-Carotid Endarterectomy Hyperperfusion Syndrome
Carotid endarterectomy is usually safe but can cause a rare condition. This condition, known as post-carotid endarterectomy hyperperfusion syndrome, happens when there’s too much blood flow to the brain. This can lead to serious problems.
Unique Symptom Presentation
Spotting the signs of hyperperfusion syndrome is crucial for receiving appropriate care.
Some people might see things differently or have trouble speaking or moving. The different ways symptoms can show up means doctors need to watch patients closely after surgery.
“The clinical presentation of cerebral hyperperfusion syndrome can be non-specific, making it challenging to diagnose promptly.”
Timeframe for Symptom Development
Symptoms usually start within a few days after the surgery. It’s crucial to keep a close eye on patients during this time to catch any signs early.
| Timeframe | Possible Symptoms |
| 0-24 hours | Headache, confusion |
| 24-72 hours | Seizures, neurological deficits |
| 3-7 days | Visual disturbances, speech difficulties |
Management Considerations
Managing this syndrome involves keeping blood pressure in check and ensuring the brain gets enough blood. Keeping blood pressure under control is key to avoid more problems.
- Monitoring: Close neurological monitoring is necessary.
- Blood Pressure Control: Antihypertensive therapy may be required.
- Supportive Care: Patients may need supportive care to manage symptoms.
In some cases, more serious treatments might be needed. The goal is to catch it early and tailor treatment to each patient’s needs.
Hypertension and Its Effects on Cerebral Blood Flow
Hypertension, or high blood pressure, affects how blood flows to the brain. This can lead to too much blood flow if not managed well. It’s important to control blood pressure to prevent damage to the brain.
Relationship Between Blood Pressure and Cerebral Perfusion
The brain controls blood flow to keep it steady. But, high blood pressure can upset this balance. This can cause too much blood to flow to the brain, damaging it.
It’s key to understand how blood pressure affects the brain. Long-term high blood pressure can make the brain’s blood vessels more prone to damage when blood pressure goes up.
Hypertensive Crisis and Brain Hyperperfusion
A severe rise in blood pressure can harm brain blood flow. Hypertensive emergencies need quick medical help to protect the brain.
Lowering blood pressure is crucial, but it must be done carefully. Monitoring closely and using the right treatments are key to avoiding brain damage during these crises.
Blood Pressure Management Strategies
Managing blood pressure is vital to prevent brain damage. This includes lifestyle changes, medication, and regular checks. Changes in diet, more exercise, and less stress can help control blood pressure.
- Medications like antihypertensive drugs are important in controlling blood pressure.
- Regular blood pressure checks help catch and manage hypertension early.
- Teaching patients about the importance of sticking to their treatment plans is crucial.
By using a complete plan to manage blood pressure, we can lower the risk of brain damage. This approach involves healthcare teams, patients, and sometimes, family members or caregivers.
To find out if someone has cerebral hyperperfusion, doctors use a detailed check-up. They also look at images and lab results. This careful method helps them know for sure and plan the right treatment.
Clinical Evaluation
The first step is a detailed check-up. Doctors look at the patient’s past health and do a physical exam. They look for signs like headaches, confusion, or problems with movement.
They also check for any health issues that might be causing the problem. This helps them understand how serious it is and what tests to do next.
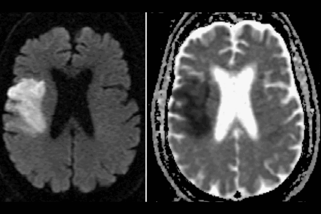
Imaging Studies
Imaging tests are key in finding cerebral hyperperfusion. CT scans, MRI, and Transcranial Doppler ultrasound help see the brain’s blood vessels and blood flow.
| Imaging Technique | Use in Cerebral Hyperperfusion Diagnosis |
| CT Scan | Helps in identifying hemorrhage or edema |
| MRI | Provides detailed images of brain tissue and blood vessels |
| Transcranial Doppler Ultrasound | Measures blood flow velocity in the cerebral arteries |
Laboratory Tests
Labs are important to rule out other possible causes and check overall health. Tests might include blood work, complete blood counts, and coagulation studies.
By combining the results from the check-up, images, and labs, doctors can accurately diagnose cerebral hyperperfusion. Then, they can create a treatment plan that fits the patient’s needs.
Treating cerebral hyperperfusion syndrome requires understanding medical and surgical options. It also needs careful follow-up. These steps are key to avoiding more problems and helping patients get better.
Medical Management
Medical management is the main treatment for cerebral hyperperfusion. It aims to control blood pressure and manage symptoms. We use drugs to lower blood pressure, stop seizures, and reduce swelling.
Key aspects of medical management include:
- Strict blood pressure control to prevent further hyperperfusion
- Symptom management using appropriate medications
- Monitoring for potential side effects of medications
Surgical Interventions When Necessary
Sometimes, surgery is needed to treat cerebral hyperperfusion. We consider surgery when medicine doesn’t work or when complications arise. Each patient’s situation is unique, so we choose the best treatment.
Surgical interventions may include:
- Revascularization procedures to improve blood flow
- Surgical removal of lesions or abnormal blood vessels
- Other interventions aimed at reducing intracranial pressure
Monitoring and Follow-up Care
Monitoring and follow-up care are crucial for managing cerebral hyperperfusion. Regular checks help us adjust treatments and quickly address any new symptoms.
Key elements of monitoring and follow-up care include:
- Regular neurological examinations
- Imaging studies to assess changes in cerebral blood flow
- Adjustments to treatment plans based on patient response
By using medical management, surgery when needed, and ongoing monitoring, we can manage cerebral hyperperfusion well. This approach helps improve patient outcomes.
To stop cerebral hyperperfusion, we must know the risks and take steps. This includes checking risks before surgery, managing blood pressure, making lifestyle changes, and handling medications right.
Preoperative Risk Assessment
Checking risks before surgery is key. We look at the patient’s health history, blood pressure, and past brain problems.
This helps us plan better for each patient. It can lower the chance of cerebral hyperperfusion.
| Risk Factor | Description | Preventive Measure |
| Hypertension | High blood pressure can lead to cerebral hyperperfusion. | Blood pressure monitoring and control. |
| Previous Cerebral Vascular Events | History of stroke or transient ischemic attack. | Careful management of anticoagulant therapy. |
| Carotid Endarterectomy | Surgery to remove plaque from the carotid artery. | Close monitoring post-surgery for signs of hyperperfusion. |
Blood Pressure Control
Keeping blood pressure in check is crucial. We help patients manage their blood pressure through diet, exercise, and medicine.
Good blood pressure control lowers the risk of cerebral hyperperfusion syndrome.
Lifestyle Modifications
Changing lifestyle is important for preventing cerebral hyperperfusion. We suggest a healthy diet, regular exercise, and no smoking.
These changes help manage blood pressure and improve heart health.
Medication Management
Managing medicines is also key. We make sure patients take the right medicines and watch for side effects.
By taking these steps, we can greatly lower the risk of cerebral hyperperfusion and its problems.
Conclusion
Spotting the signs of hyperperfusion syndrome is crucial for receiving appropriate care.
To handle cerebral hyperperfusion well, you need a full plan. This includes doctor’s care, surgery if needed, and changes in your daily life. Each plan is made just for you, aiming to fix the cause and ease symptoms.
Stopping cerebral hyperperfusion before it starts is also important. This means checking your health before surgery, keeping your blood pressure in check, and managing your meds. Knowing the risks and acting early can help a lot.
Spotting the signs of hyperperfusion syndrome is crucial for receiving appropriate care.
FAQ
What is cerebral hyperperfusion?
Cerebral hyperperfusion is when the brain gets too much blood. This can cause many problems and symptoms.
What are the symptoms of cerebral hyperperfusion?
Symptoms include headaches, seizures, and confusion. You might also see visual problems and weakness.
What causes cerebral hyperperfusion?
It can happen after surgery, like carotid endarterectomy. It can also be caused by high blood pressure or certain medicines.
Who is at risk for developing cerebral hyperperfusion?
People with health issues, certain ages, and lifestyles are more at risk.
How is cerebral hyperperfusion diagnosed?
Doctors use tests and scans to check blood flow in the brain. They look for signs of problems.
What are the treatment options for cerebral hyperperfusion?
Treatment includes managing blood pressure and sometimes surgery. Close monitoring is also key.
Understanding the various reasons behind cerebral hyperperfusion is essential for effective treatment.
Yes, by controlling blood pressure and making lifestyle changes. Also, careful use of medicines helps.
What is the relationship between hypertension and cerebral hyperperfusion?
High blood pressure can cause too much blood flow to the brain. Keeping blood pressure in check is important.
What are the cognitive and behavioral changes associated with cerebral hyperperfusion?
Changes include confusion, memory problems, and feeling tired. These can really affect a person’s life.
How does cerebral hyperperfusion affect vision and sensation?
It can lead to vision issues and dizziness. It also causes other sensory problems, needing careful care.
References
National Center for Biotechnology Information. Cerebral Hyperperfusion Symptom Recognition and Early Intervention. Retrieved from https://www.ncbi.nlm.nih.gov/pmc/articles/PMC4015992/