Knowing the normal amount of post-void residual (PVR) urine is key to checking urinary health. At Liv Hospital, we stress its role in spotting urinary retention and other issues.
A post-void residual urine volume under 50 mL is normal for adults under 65. For those over 65, it’s under 100 mL. If you have more, it could mean urinary retention or other problems.

Urinary health is a personal matter, and our team at Liv Hospital treats it with care. Our urology department can diagnose and treat many urinary issues. We make sure patients get all the support they need.
Key Takeaways
- Normal PVR urine volume is less than 50 mL for adults under 65.
- For adults over 65, normal PVR is less than 100 mL.
- Exceeding these thresholds may indicate urinary retention.
- Liv Hospital’s urology department provides expert care for urinary conditions.
- Compassionate and complete support is available for patients with urinary health issues.
Understanding PVR Medical Abbreviation and Its Significance
In urology, PVR is key. It measures the urine left in the bladder after we pee.
Post-Void Residual (PVR) is a tool for checking bladder health. It helps find problems like neurogenic bladder and urinary infections.
Definition and Importance of Post-Void Residual
PVR is the urine left in the bladder after we pee. It shows if our bladder is working right. If it’s not, we might need to see a doctor.
PVR is important for diagnosing and treating urinary issues. It helps doctors figure out the best treatment for problems like not being able to pee.
How PVR Measurements Impact Urological Diagnosis
PVR measurements are key for diagnosing bladder problems. They help doctors spot issues like:
- Neurogenic bladder
- Urinary outlet obstruction
- Urinary tract infections
Doctors use PVR to plan the right treatment. This might include more tests, medicine, or other treatments.
Understanding PVR is essential for urological health. It helps doctors give better care. This improves patients’ lives and health.
Normal Post-Void Residual Values by Age and Gender
Knowing normal post-void residual (PVR) values is key for diagnosing and treating urological issues. PVR shows how well the bladder works. It’s a big part of checking bladder health.

Standard PVR Measurements for Adults Under 65
Adults under 65 usually have lower PVR values than older adults. A PVR of less than 50 mL is often seen as normal for this age. But it’s important to look at each person’s situation and health when checking PVR.
Recent studies have shown the need for age-specific normal values to correctly understand PVR results. For example, a study in a well-known urology journal found that PVR up to 100 mL might be normal for some under 65. This depends on health and bladder function.
Acceptable PVR Ranges for Adults Over 65
Adults over 65 can have higher PVR values because of age-related changes. A PVR of less than 100 mL to 150 mL is often okay, based on health and other factors. But higher values in older adults might mean there’s a urological problem that needs looking into.
“The 95th percentile of normal PVR for men is approximately 103 mL and 94 mL for women,” according to recent research findings from 2023. This data shows the importance of looking at gender when checking PVR.
2023 Research on Gender-Specific Normal Values
The 2023 study on gender-specific PVR values has given us new insights. It found that the 95th percentile for normal PVR is about 103 mL for men and 94 mL for women. This shows that while there are some differences, they are not huge.
This research is very important for doctors. It helps them make better diagnoses and treatment plans. By knowing these gender-specific values, doctors can be more accurate and effective.
When Is Your Bladder Volume Considered Abnormally High?
It’s important to know when bladder volume is too high. This helps us spot urinary retention problems early. We look for specific levels that show health risks and what causes them.
Borderline PVR Values That Warrant Monitoring
PVR values between 100 mL and 200 mL are borderline. They mean the bladder isn’t emptying fully. This can cause infections or other problems. It’s key to watch these values closely to avoid more issues.
A bladder volume calculator helps doctors figure out PVR accurately. It’s great for checking bladder function in patients with retention symptoms.

Clinically Significant Thresholds (Above 200 mL)
A PVR over 200 mL means the bladder isn’t emptying properly. Values over 300 mL show clear urinary retention. These important levels need quick medical help to avoid damage.
People with high PVR might pee a lot, have weak flow, or have trouble starting. It’s important to deal with these symptoms fast.
Risk Factors That Lower the Threshold for Concern
Some risk factors make us worry more about bladder volume. Conditions like diabetes or spinal cord injuries can mess with bladder function. Also, blockages like BPH can raise PVR levels.
Knowing these risks helps doctors treat urinary retention better. By spotting these risks, we can act quickly to stop problems.
If you have urinary retention symptoms or are at risk, see a doctor. They can check you out and help.
Methods and Technology for Measuring Post Void Residual
It’s key to know how we measure post-void residual for good urological care. Getting the PVR right is vital for spotting urinary retention and checking how well the bladder works.
Non-Invasive Bladder Scan Technology
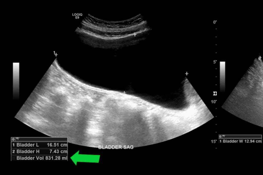
Bladder scan tech has changed how we check post-void residual volume. This method uses ultrasound to guess how full the bladder is. It’s quick and doesn’t hurt. Bladder scans are great for first checks and for people who need to be checked often. The ultrasound technology lets us get the measurements right without needing to use a catheter.
Catheterization Techniques for Precise Measurement
Non-invasive methods are good for first checks, but catheterization is the best for exact PVR measurements. It involves putting a catheter in the bladder to drain and measure the leftover urine. This method is best when you really need to know the exact amount, like before surgery or for certain urological issues. It’s more invasive, but it gives a direct PVR measurement.
How to Calculate Bladder Volume Accurately
Getting the bladder volume right is key for good PVR measurements. Bladder scan tech uses ultrasound images to figure out the volume. For catheterization, the volume is measured directly. It’s important to follow the right steps and use the right tools to get it right. Accurate calculation of bladder volume is essential for making the right diagnosis and treatment plan.
We use these methods to make sure our patients get the best care. By mixing advanced tech with precise measurement methods, we offer full care for urinary issues.
Common Causes of Elevated PVR Test Results
It’s important to know why PVR test results might be high. High PVR test results can mean there’s a problem with how the bladder works. We’ll look at what can cause these high results, which might show issues with the urinary system.
Neurological Conditions Affecting Bladder Function
Neurological issues can really mess with bladder function, causing high PVR test results. Problems like spinal cord injuries, multiple sclerosis, and diabetes can harm the nerves that control the bladder. This can lead to trouble emptying the bladder, causing high PVR numbers.
For more on how these conditions affect the bladder, check outNCBI’s resource on neurogenic bladder.
Mechanical Obstructions in the Urinary Tract
Obstructions in the urinary tract can also cause high PVR test results. Issues like an enlarged prostate, urethral strictures, or bladder stones can block urine flow. This makes it hard to empty the bladder fully, leading to high PVR numbers.
Medication-Induced Urinary Retention
Some medicines can make it hard to urinate, causing high PVR test results. Medications with anticholinergic properties, like some antidepressants and antihistamines, can mess with bladder muscle contractions. This can lead to not emptying the bladder fully. It’s key to talk to your doctor about your meds if you’re seeing high PVR numbers.
Age-Related Changes in Bladder Function
As we get older, our bladder can change, leading to high PVR test results. The bladder muscle can get weaker, and the bladder might not empty as well. Conditions like benign prostatic hyperplasia (BPH) in men can also cause trouble. It’s important to understand these changes to keep the bladder healthy as we age.
Clinical Implications and Risks of Abnormal PVR Measurements
Abnormal PVR measurements can affect your health and happiness. They can lead to serious problems, making life harder and raising the chance of urinary tract issues.
Increased Risk of Urinary Tract Infections
High PVR levels mean you’re more likely to get urinary tract infections (UTIs). Not emptying the bladder fully lets bacteria grow, causing infections. UTIs can make you feel uncomfortable and hurt, and if not treated, can get worse.
- Not fully emptying the bladder helps bacteria grow.
- UTIs can turn into kidney infections if they keep coming back.
- People with high PVR are at a higher risk for UTI problems.
Potential for Upper Urinary Tract Damage
High PVR levels can also harm the upper urinary tract. Not emptying the bladder fully can put too much pressure on the urinary system, damaging the kidneys over time. It’s key to watch and manage PVR levels.
- Too much pressure can damage the kidneys or make existing problems worse.
- Long-term, it could lead to chronic kidney disease or failure.
- Managing PVR well can help avoid these risks.
Impact on Quality of Life and Daily Activities
Abnormal PVR levels can really affect your life. Symptoms like needing to pee a lot, feeling urgent, and leaking can mess up your day. Managing PVR well is key to a better life.
Healthcare providers need to understand the risks of abnormal PVR measurements. This helps them take better care of patients, lowering the chance of problems and improving health outcomes. We stress the need for regular PVR checks and management to keep the bladder healthy and overall well-being good.
International Best Practices for PVR Assessment and Management
At Liv Hospital, we follow international best practices for Post-Void Residual (PVR) assessment and management. This ensures our patients get the best care. We stick to global guidelines to offer evidence-based treatment options tailored to each patient’s needs.
Evidence-Based Protocols for PVR Evaluation
We use non-invasive bladder scan technology and catheterization to measure PVR accurately. Our protocols aim for precise measurements. These are key for diagnosing and managing urological conditions well.
Liv Hospital’s Approach to Urological Assessment
Our team of urology specialists works together to assess and manage PVR. We consider age, gender, and medical conditions to offer personalized care. Our focus is on delivering high-quality, patient-centric services.
Advanced Multidisciplinary Treatment Options
Liv Hospital provides various treatments for abnormal PVR measurements. These include behavioral therapies, medication management, and advanced surgical interventions. We aim to improve patient outcomes and quality of life.
By using international best practices in our PVR assessment and management, we ensure our patients get the best care. This care is both effective and compassionate.
Conclusion: Maintaining Optimal Bladder Health Through Proper PVR Monitoring
Proper PVR monitoring is key for a healthy bladder. It helps spot urinary retention issues early. At Liv Hospital, we stress the need for accurate PVR checks in diagnosing and treating urological problems.
Our advanced technology allows for precise PVR measurements. This helps doctors detect bladder issues and create effective treatment plans. It also improves life quality and lowers the risk of infections and damage.
We suggest regular PVR checks, mainly for those with neurological issues, mechanical blockages, or age-related bladder changes. By focusing on bladder health through PVR monitoring, people can keep their bladder functioning well and stay healthy overall.
FAQ
What is post-void residual (PVR) urine volume, and why is it important?
Post-void residual (PVR) urine volume is the urine left in the bladder after you pee. It helps us check how well your bladder works. We use it to find out if you have urinary retention or other bladder problems.
What is considered a normal PVR value?
Normal PVR values change with age and gender. For adults under 65, a PVR under 50 mL is normal. For those over 65, up to 100 mL is okay.
How is PVR measured?
We measure PVR with non-invasive bladder scans or catheterization. Bladder scans are usually preferred because they’re easy and accurate.
What are the risk factors for urinary retention and elevated PVR?
Risk factors include neurological conditions, urinary tract blockages, some medications, and age-related bladder changes.
What are the clinical implications of abnormal PVR measurements?
Abnormal PVR measurements can mean a higher risk of urinary tract infections. They can also lead to upper urinary tract damage. This can greatly affect your quality of life and daily activities.
How can I calculate bladder volume accurately?
To accurately calculate bladder volume, use the formula: Bladder Volume = (Height x Width x Length) x 0.52. This is done with ultrasound or bladder scan technology.
What are the common causes of elevated PVR test results?
Common causes include neurological conditions, mechanical obstructions, medication side effects, and age-related changes.
How does Liv Hospital approach urological assessment and PVR management?
At Liv Hospital, we follow proven protocols for PVR evaluation. We offer advanced treatments tailored to each patient’s needs.
Why is proper PVR monitoring important for maintaining optimal bladder health?
Proper PVR monitoring is key for early detection and management of urinary retention and other bladder issues. It helps prevent complications and improves your quality of life.
References:
- Rashid, H., et al. (2023). Post-void residual urine volume: Normal values and clinical significance. International Urology and Nephrology, 55(2), 407-415.https://pubmed.ncbi.nlm.nih.gov/35961806/