
Alveolar rhabdomyosarcoma is a fast-growing soft tissue cancer. It mainly hits teenagers and young adults. TheNational Cancer Institute says it’s a rare cancer. It mostly affects the body’s soft tissues, like skeletal muscles.
We’ll share key info on its symptoms, types, and treatments. We aim to educate you about this rare cancer. We want to give you insights into diagnosing and managing it.
It’s important to understand alveolar rhabdomyosarcoma well for effective treatment. We aim to offer trusted advice and hope to those dealing with this tough condition.
Key Takeaways
- Alveolar rhabdomyosarcoma is a rare and aggressive cancer.
- It mainly affects teenagers and young adults.
- Symptoms vary based on where the tumor is.
- Treatment includes surgery, chemotherapy, and radiotherapy.
- Knowing the subtypes and characteristics is key to managing it well.
Understanding Soft Tissue Sarcomas and Their Impact

Soft tissue sarcomas are rare cancers that affect people of all ages. They grow in the connective tissue. This tissue supports and connects all other body tissues and organs.
What Defines a Soft Tissue Cancer
Soft tissue cancers are tumors that grow in soft body tissues. This includes fat, muscle, and nerves. Rhabdomyosarcoma is a common type in kids. These cancers can appear anywhere in the body, so it’s important to know about them.
The Prevalence of Sarcomas in Different Age Groups
The American Cancer Society says rhabdomyosarcoma is the top soft tissue sarcoma in kids. Soft tissue sarcomas can happen at any age. But, some types are more common in certain age groups.
Why Early Detection Matters
Finding soft tissue sarcomas early is key to better treatment. It’s vital to notice symptoms like unusual lumps or swelling. This helps doctors act fast. Early detection can mean the difference between a good outcome and a tougher treatment path.
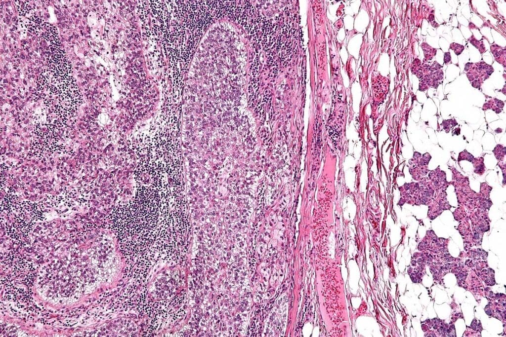
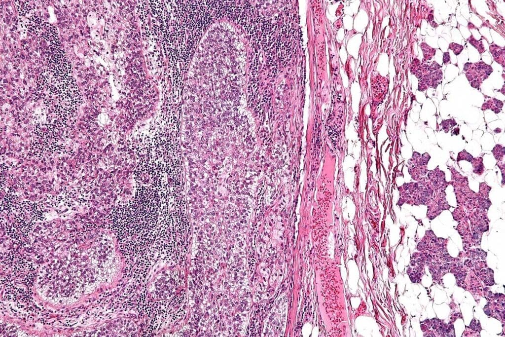
Alveolar Rhabdomyosarcoma: Definition and Key Characteristics
Alveolar rhabdomyosarcoma (ARMS) is a type of cancer that affects soft tissues. It is known for being aggressive and having unique features. Knowing about its definition, structure, and genetics is key to understanding it.
Cellular and Genetic Features
ARMS has specific genetic changes, like the PAX3/7-FOXO1 fusion. These changes are important for diagnosis and treatment. The cells in ARMS are small and round, sometimes forming structures that look like alveoli.
The PAX3 or PAX7 and FOXO1 genes are fused in ARMS. The National Cancer Institute says this fusion is a key sign of ARMS. It plays a big role in how the cancer grows.
How Alveolar RMS Differs from Other Cancers
ARMS is different from other rhabdomyosarcomas, like embryonal RMS, in its genetics and look. ARMS is more aggressive and often has a worse outlook than embryonal RMS. The unique genetic fusions and histology of ARMS set it apart from other soft tissue cancers.
Age Distribution and Risk Factors
ARMS can happen at any age but is most common in kids and teens. It’s a common type of rhabdomyosarcoma in older children and teens. The exact causes of ARMS are not known, but genetics might play a part.
Knowing about ARMS’s age range and risk factors is important for early detection and treatment. Research into its genetics and environmental causes is ongoing.
Recognizing the Warning Signs: Symptoms and Manifestations
Spotting rhabdomyosarcoma symptoms early is key to better treatment. We’ll look at common signs, helping patients and caregivers spot early warning signs.
Primary Physical Symptoms: Lumps and Swelling
A lump or swelling is a common sign of rhabdomyosarcoma. These can be painful or not, and grow fast. Any unexplained lumps or swelling should be checked by a doctor.
The American Cancer Society says symptoms vary by location. For example, a tumor in the arm or leg might cause swelling or a noticeable lump.
Location-Specific Symptoms (Arms, Legs, Torso)
Symptoms change based on where the tumor is. For example:
- Tumors in the arms or legs may cause pain, swelling, or trouble moving.
- Tumors in the torso can lead to belly pain, constipation, or trouble with urination if they press on nearby organs.
- Tumors near the eye or in the head and neck area can cause double vision, bulging eyes, or trouble swallowing.
These symptoms show why a detailed medical check is important to find the cause.
Urinary Difficulties and Pain Patterns
Tumors in the pelvic area can cause urinary problems, like:
- Frequent urination
- Painful urination
- Difficulty starting or stopping the flow of urine
Pain from rhabdomyosarcoma can vary too. Some feel constant pain, while others have pain that comes and goes. It’s important to tell a healthcare provider about any ongoing or severe pain.
By knowing these signs and symptoms, patients can get help quickly. This can lead to better treatment outcomes.
The Three Major Types of Rhabdomyosarcoma Compared
The three main types of Rhabdomyosarcoma – Embryonal, Alveolar, and Anaplastic – have different characteristics and outcomes. Knowing these differences helps in creating better treatment plans.
Embryonal Rhabdomyosarcoma (ERMS)
Embryonal Rhabdomyosarcoma is the most common type, mainly affecting kids under 10. It often appears in the head and neck or the genitourinary tract. TheNational Cancer Institute says ERMS has a better chance of recovery compared to other types.
Characteristics: ERMS tumors are soft and fleshy. They grow in a less organized way.
Alveolar RMS: The Aggressive Variant
Alveolar Rhabdomyosarcoma is aggressive and more common in older kids and young adults. It usually shows up in the limbs.
Prognosis: Alveolar RMS has a worse outlook than ERMS. This is because it spreads early.
Anaplastic Rhabdomyosarcoma: The Rare Subtype
Anaplastic Rhabdomyosarcoma is rare and very aggressive. It can happen at any age, but it is very uncommon.
“Anaplastic RMS is associated with a poor outcome due to its resistance to conventional chemotherapy and radiation therapy.” – Source from medical literature.
| Type | Common Age Group | Typical Locations | Prognosis |
| Embryonal RMS | Children under 10 | Head and neck, genitourinary tract | Favorable |
| Alveolar RMS | Older children and young adults | Extremities | Poor |
| Anaplastic RMS | Any age | Variable | Poor |
In conclusion, while Embryonal, Alveolar, and Anaplastic Rhabdomyosarcoma share some similarities, their differences in age, location, and prognosis are significant. Understanding these differences is key to providing optimal care for patients.
Diagnostic Journey: From Suspicion to Confirmation
Diagnosing rhabdomyosarcoma takes a detailed approach. It starts with an initial check, then advanced imaging, and ends with molecular testing. This thorough process helps find the right treatment for each patient.
Initial Assessment Procedures
At first, we look at a patient’s medical history and do a physical check. We search for signs like swelling, pain, or a mass. Blood tests also help check for any signs of cancer.
Advanced Imaging Techniques
Imaging is key in finding rhabdomyosarcoma. MRI and CT scans help us see the tumor. They show its size, where it is, and if it has spread.
Biopsy and Molecular Testing Methods
A biopsy is needed to confirm rhabdomyosarcoma. We take tissue samples to check under a microscope. Molecular tests also help figure out the type of cancer and its likely outcome.
Staging Systems and Risk Classification
After confirming the diagnosis, we use staging systems. The IRS grouping system is common. It sorts patients by how far the cancer has spread. This helps decide the best treatment plan.
| Stage | Description | Risk Classification |
| I | Localized disease, completely resected | Low Risk |
| II | Localized disease, microscopic residual | Intermediate Risk |
| III | Localized disease, gross residual | Intermediate Risk |
| IV | Distant metastatic disease | High Risk |
The journey to diagnose rhabdomyosarcoma is detailed. It involves many steps, from the first check to molecular tests. Accurate diagnosis and staging are key to finding the right treatment and improving patient care.
Comprehensive Treatment Approaches for Alveolar Rhabdomyosarcoma
Treating Alveolar Rhabdomyosarcoma requires a mix of surgery, radiation, and chemotherapy. Each treatment is chosen based on the patient’s needs. The National Cancer Institute says treatment often combines these methods, focusing on what works best for each person.
Surgical Interventions: Goals and Limitations
Surgery is key in treating Alveolar Rhabdomyosarcoma. It aims to remove the tumor and any nearby tissue. The main goal is to remove the tumor completely, which helps patients a lot. But, surgery’s success depends on the tumor’s size and where it is.
“Surgery is often the first treatment for tumors that can be removed, but it depends on if the tumor can be taken out.” If the tumor can’t be removed or has spread, other treatments become more important.
Radiation Therapy Protocols and Timing
Radiation therapy is a big part of ARMS treatment. It’s used for patients with leftover disease after surgery or tumors that can’t be removed. The timing and amount of radiation are carefully planned to kill the tumor without harming healthy tissue.
New radiation methods, like IMRT, make treatment more precise and effective. “Adding radiation therapy to the treatment plan can greatly improve control of the tumor and survival rates.”
Chemotherapy Regimens: Drugs and Schedules
Chemotherapy is a mainstay in treating Alveolar Rhabdomyosarcoma. It fights both local and widespread disease. The choice of drugs and how often they are given depend on the patient’s risk and health.
Drugs like vincristine, actinomycin D, and cyclophosphamide are commonly used. “Using these drugs together has been shown to improve results for patients with ARMS.”
Integrated Treatment Planning and Multidisciplinary Care
Effective treatment of Alveolar Rhabdomyosarcoma needs a team effort. Doctors, radiation experts, and other healthcare workers all play a role. Working together ensures the best care for each patient.
“The team approach is vital in managing ARMS treatment, allowing for a detailed and personalized plan.” – A leading oncologist’s perspective on ARMS treatment
By combining surgery, radiation, and chemotherapy, doctors can give patients with Alveolar Rhabdomyosarcoma the best chance of success. This approach improves their quality of life.
Survival Statistics and Prognostic Factors
Alveolar Rhabdomyosarcoma survival rates have improved a lot. This is thanks to better treatments and early detection. Knowing these stats and factors is key for patients and doctors.
The Critical Impact of Early Detection
Early detection is very important for Alveolar Rhabdomyosarcoma treatment. If caught early, treatment success chances go up a lot. Patients with localized tumors do better than those with spread disease.
Early detection’s benefits include:
- Higher treatment success chances
- Less risk of disease spread
- Better survival rates overall
How Age Affects Treatment Outcomes
Age is a big factor in Alveolar Rhabdomyosarcoma treatment results. Younger patients usually do better than older ones. This is because they can handle treatments better and have fewer health issues.
But treatment results can differ a lot, no matter the age.
Tumor Location and Size as Predictive Factors
The tumor’s location and size also matter a lot. Tumors in some places, like the arms or legs, might have different outcomes than those in the head or trunk.
Five-Year Survival Rates and Long-term Outlook
The National Cancer Institute says rhabdomyosarcoma survival rates have gone up. For Alveolar Rhabdomyosarcoma, survival rates depend on several factors.
Some important stats are:
- Localized disease: Better survival rates
- Regional disease: Moderate survival rates
- Metastatic disease: Lower survival rates
Knowing these survival rates and factors helps patients and families make better care choices. We keep seeing new treatments, giving hope for better results.
Global Perspectives: Rhabdomyosarcoma Around the World
Rhabdomyosarcoma is a rare and complex cancer that faces different challenges worldwide. Understanding its global landscape is key. Differences in terms, treatments, and healthcare standards affect patient care.
Variations in International Terminology
Terminology for rhabdomyosarcoma varies across countries and medical communities. Some areas use specific classifications not recognized everywhere. Standardizing the terminology ensures consistent diagnoses and treatments worldwide.
Adopting international guidelines, like those from the World Health Organization, helps reduce these differences. A unified language allows healthcare professionals to share knowledge and best practices more easily.
Treatment Standards Across Different Countries
Treatment for rhabdomyosarcoma varies globally, influenced by local policies, technology, and practices. For example, some countries have better access to advanced treatments.
- Multidisciplinary care teams are essential for managing rhabdomyosarcoma, incorporating specialists from oncology, surgery, and radiation therapy.
- Clinical trials and research collaborations are vital for advancing treatment options and improving patient outcomes.
- Patient support services, including psychological counseling and rehabilitation programs, are critical components of care.
At Liv Hospital, we adopt international best practices in treating rhabdomyosarcoma. We stay updated with the latest research and protocols to provide top care.
Liv Hospital’s Commitment to International Best Practices
Our Hospital is committed to delivering world-class healthcare for international patients. Our treatment of rhabdomyosarcoma follows the latest international guidelines and research. This ensures our patients get the best treatment options.
By taking a global view on rhabdomyosarcoma, we aim to improve patient outcomes and advance oncology. We strive to provide care that meets international standards. Our team of experts and patient-centered approach support this goal.
Living with Rhabdomyosarcoma: Patient and Family Resources
Living with rhabdomyosarcoma means more than just fighting the disease. It’s about the emotional and practical needs of patients and their families. The diagnosis can feel overwhelming. Navigating the healthcare system, managing side effects, and keeping emotional well-being are key.
Coping Strategies During and After Treatment
Coping with rhabdomyosarcoma needs a broad approach. Emotional support is essential, coming from family, friends, support groups, and mental health experts. Counseling helps manage anxiety, depression, and stress related to the diagnosis and treatment.
Staying informed about the condition and treatment options empowers patients and families. Education and awareness are vital for effective coping.
Managing Side Effects and Quality of Life
Managing treatment side effects is key to maintaining quality of life. This includes managing pain, fatigue, and physical limitations from surgery or radiation. Nutritional support is also critical, as a balanced diet helps tolerate treatment better and aids in recovery.
Support Networks and Community Resources
Support networks are vital for patients with rhabdomyosarcoma. Organizations like the American Cancer Society provide emotional support, financial help, and practical assistance. Connecting with others going through similar experiences offers comfort and valuable insights.
Follow-up Care and Monitoring Protocols
Follow-up care is critical for monitoring treatment success and catching any recurrence early. Regular check-ups, imaging tests, and other diagnostic procedures are part of follow-up care. Patients and families should understand the importance of these protocols for the best outcomes.
By using these resources and support networks, patients and families can better handle the challenges of living with rhabdomyosarcoma.
Conclusion: The Future of Alveolar Rhabdomyosarcoma Care
Alveolar rhabdomyosarcoma is a tough cancer that needs top-notch care. The future looks bright, thanks to new research and treatments. This gives hope to patients and their families.
Liv Hospital is leading the way in these advancements. We offer world-class care and support to patients from around the world. Our goal is to improve lives and outcomes for those with this disease.
New treatments like surgery, radiation, and chemotherapy are key in fighting this cancer. At Liv Hospital, we’re proud to offer personalized care. We tailor our approach to meet each patient’s needs.
Our dedication is unwavering: to give the best care, support, and hope to those facing rhabdomyosarcoma. We urge patients and families to stay involved in their care. Together, we can look forward to a better future for alveolar rhabdomyosarcoma care.
FAQ
What is alveolar rhabdomyosarcoma?
Alveolar rhabdomyosarcoma is a rare and aggressive cancer. It affects the soft tissues, mainly in teenagers and young adults. It has unique cellular and genetic features.
What are the symptoms of rhabdomyosarcoma?
Symptoms vary based on where the tumor is. Common signs include lumps, swelling, and pain. You might also have trouble with your urine.
Specific symptoms can happen in different parts of the body. This includes the arms, legs, and torso.
How is rhabdomyosarcoma diagnosed?
Doctors use several steps to diagnose rhabdomyosarcoma. This includes initial checks, advanced imaging, biopsy, and molecular tests. They also use staging systems and risk classification.
What are the treatment options for alveolar rhabdomyosarcoma?
Treatments include surgery, radiation, and chemotherapy. Each method has its goals and limits. A team approach is key to planning treatment.
What is the prognosis for rhabdomyosarcoma?
The prognosis depends on several factors. These include the stage, age, tumor location, and size. Early detection is critical. Treatment outcomes vary based on these factors. Five-year survival rates and long-term outlook are influenced by them.
How does Liv Hospital approach rhabdomyosarcoma treatment?
Liv Hospital follows international best practices. This shows their commitment to quality care for patients worldwide. Their approach aligns with global standards.
What resources are available for patients and families living with rhabdomyosarcoma?
There are many resources available. These include coping strategies, managing side effects, and support networks. Community resources and follow-up care are also important.
What is the difference between embryonal, alveolar, and anaplastic rhabdomyosarcoma?
There are three main types of rhabdomyosarcoma. Each has its own characteristics, prognosis, and treatment options. Understanding these differences is key to effective management.
How does age affect treatment outcomes for rhabdomyosarcoma?
Age is a big factor in treatment outcomes. Younger patients usually have better outcomes than older ones. Treatment plans are tailored to the individual’s age and health.
What is rabdomyosarcoma?
Rabdomyosarcoma is another name for rhabdomyosarcoma. The difference in spelling comes from international terminology.
References
- National Cancer Institute. (2023). Childhood rhabdomyosarcoma treatment (PDQ®)–patient version.
https://www.cancer.gov/types/soft-tissue-sarcoma/hp/rhabdomyosarcoma-treatment-pdq - Parham, D. M., & Barr, F. G. (2013). Classification of rhabdomyosarcoma and its molecular basis. Advances in Anatomic Pathology, 20(6), 387-397.
https://pubmed.ncbi.nlm.nih.gov/24142049/ - Hawkins, D. S., Gupta, A. A., & Rudzinski, E. R. (2019). Advances in treatment and molecular classification of pediatric rhabdomyosarcoma. Current Opinion in Pediatrics, 31(1), 50-57.
https://pubmed.ncbi.nlm.nih.gov/30392686/