
A CT urogram checks the urinary tract for problems. This includes the kidneys, ureters, and bladder. It looks for tumors, stones, and other structural issues. The specific conditions and pathologies that a ct urogram is designed to diagnose in the urinary tract are listed.
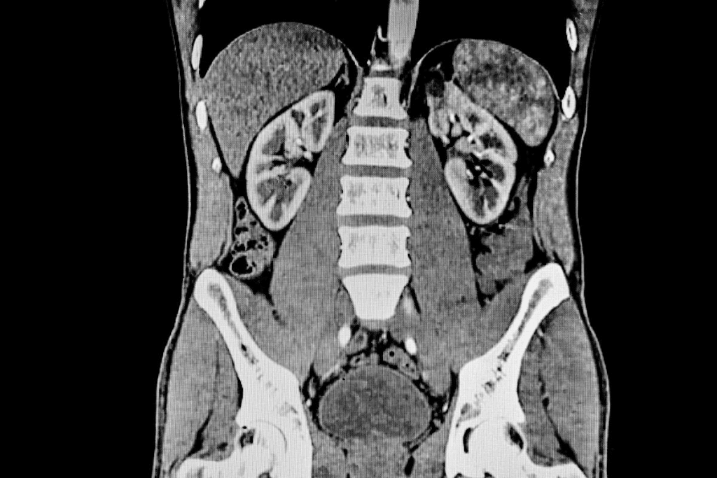
This test makes detailed images of the area being studied. It shows bones, soft tissues, and blood vessels. These images are then put together into clear 2D pictures.
A CT urography is great for finding out why someone might have blood in their urine. This could mean there’s a problem with the lining of the bladder or ureters. So, it’s a key tool for keeping the urinary system healthy.
Key Takeaways
- CT urogram is used to diagnose urinary tract conditions.
- It evaluates the kidneys, ureters, and bladder for abnormalities.
- This test is critical for spotting tumors, stones, and structural problems.
- CT urography is very helpful in checking for blood in the urine.
- It helps keep the urinary system healthy by giving detailed images.
What is a CT Urogram and How Does it Work?
A CT urogram is a high-tech imaging method. It helps doctors see the urinary tract clearly. It’s great for checking the kidneys, ureters, and bladder.
Definition and Basic Principles
A CT urogram, or computed tomography urography, uses X-rays and dye to see the urinary system. The dye goes through the body and lights up the urinary tract. This makes it easy to spot problems.
The dye is key because it shows the urinary tract. It helps find stones, tumors, or other issues. CT urograms are very good at finding these problems, with a high success rate.
The Multiphase Evaluation Process
The CT urogram takes pictures at different times. This lets doctors see the urinary tract in detail. It shows how it works and looks at different stages.
First, it looks for stones or calcifications. Then, it shows the kidneys, collecting system, and ureters with dye. This helps find many urinary tract problems.
Difference Between CT Urogram and Standard CT Scans
Standard CT scans show the body’s inside, but CT urograms focus on the urinary system. They use a special protocol with dye and multiple phases. This gives a closer look at the urinary tract.
This method is very useful for doctors. It helps them understand urinary tract issues better. Knowing how a CT urogram works helps patients understand the diagnostic process and technology.
Common Conditions a CT Urogram Tests For
The CT urogram is key in finding and treating urinary system issues. It uses advanced imaging to spot various urinary tract problems. This helps patients get the right treatment quickly.
Evaluation of Hematuria (Blood in Urine)
Blood in the urine, or hematuria, needs to be checked out. A CT urogram is often used for this. It helps find the cause of pain in the side or back.
Studies show that about 4.6% of patients with tiny blood in their urine have cancer. The CT urogram is very good at finding this blood and related problems.

Kidney and Urinary Tract Stones
Kidney and urinary tract stones are common. A CT urogram can find out how big, where, and how many stones there are. This info helps decide the best treatment.
The CT urogram is great for spotting stones that other tests can’t see. This ensures patients get the right treatment for their stones.
Inflammatory Conditions of the Urinary System
Conditions like pyelonephritis or cystitis can be checked with a CT urogram. It shows how bad the inflammation is and if there are any complications. This helps doctors make better treatment plans.
Using a CT urogram, we can handle many urinary tract issues. This includes hematuria, kidney stones, and inflammatory problems. It’s a key tool in our quest for top-notch healthcare.
Detecting Urinary Tract Tumors and Malignancies with CT Urogram
For those at risk of urologic cancers, CT urography is the top choice. It has changed how we find and treat urinary tract tumors. This makes managing cancers better.

Identification of Urothelial Carcinoma
Urothelial carcinoma is a common urinary tract cancer. But finding it can be hard. A CT urogram with contrast makes it easier to spot small tumors. It also helps tell if a lesion is cancerous or not.
Renal Cell Carcinoma Detection
Renal cell carcinoma is another cancer that CT urography can find. It looks at the kidney in different ways. This helps spot tumors early. Early detection is key to treating renal cell carcinoma.
Bladder Cancer Visualization
CT urogram also helps see bladder cancer better. It gives clear images of the tumor’s size. A bladder CT scan shows the bladder’s thickness and any tumors.
In short, CT urography is key in finding urinary tract tumors and cancers. It gives detailed images of the urinary tract. This makes it a must-have for diagnosing urologic cancers.
Identifying Structural and Congenital Abnormalities
CT urography is key in finding problems in the urinary tract. It gives us detailed views of the tract’s anatomy. This is vital for spotting complex issues.
Assessment of Urinary Tract Anatomy
CT urograms offer detailed images of the urinary tract. We can see the kidneys, ureters, bladder, and urethra clearly. This helps us find any structural issues, like strictures or misplacements, that might be causing problems.
Using CT urography has many benefits. It gives us high-resolution images and helps spot small stones or tumors. It also shows us the ureters and their connection to the bladder in detail.
Detection of Congenital Anomalies
CT urography can find congenital urinary tract issues. These include horseshoe kidney, duplex kidney, or ureteral duplication. Finding these early is key to managing them and planning treatment.
CT urography has many advantages for finding congenital anomalies. It accurately diagnoses complex issues. It also helps plan surgeries and monitor complications.
Evaluation of Ureteropelvic Junction Obstruction
UPJ obstruction is a blockage at the ureter and renal pelvis junction. CT urography helps by showing detailed images of this area. It helps us understand how severe the blockage is and plan treatment, which might include surgery.
CT urography is great for UPJ obstruction. It gives precise images of the UPJ area. It also helps us assess the blockage’s severity and plan treatment.
CT Urogram for Trauma and Post-Surgical Evaluation
A CT urogram is key for checking urinary tract trauma or surgery results. At Liv Hospital, we use the latest CT urogram methods. This ensures top-notch care for our patients.
This test helps see how the urinary tract is doing after surgery or trauma. It gives doctors the info they need to decide on treatment. It’s very useful for tricky cases where clear images are a must.
Assessing Urinary Tract Trauma
A CT urogram is vital for spotting urinary tract injuries. It shows how bad the injury is. This helps doctors choose the right treatment.
- Detection of Injuries: CT urograms can spot urinary tract injuries that other tests miss.
- Assessment of Severity: It helps doctors understand how serious the injury is. This helps them plan better.
Post-Operative Mapping and Monitoring
After surgery, a CT urogram checks how the urinary tract is doing. It makes sure everything is back to normal or finds any problems early.
- Evaluating how well the surgery went
- Watching for any complications
- Deciding on more treatment if needed
Detecting Complications After Urological Procedures
CT urograms are also great for finding problems after surgery. They can spot leaks, blockages, or other issues. This lets doctors act fast.
CT urograms are very useful in many ways. They help a lot in taking care of patients. Knowing the CPT code for CT urogram is important for billing.
In short, CT urograms are very important for checking urinary tract injuries and after surgery. They give clear images of the urinary tract. This makes them a key part of modern urology.
Conclusion: The Diagnostic Value of CT Urogram
The CT urogram is a key tool in modern medicine. It helps diagnose many urinary tract problems. At Liv Hospital, we use it to get detailed views of the urinary system.
This helps us spot issues like hematuria, kidney stones, tumors, and more. It’s a powerful way to see what’s going on inside the body.
CT urography gives a full view of the urinary system. It’s a special imaging method. Doctors can see the anatomy and find problems with great accuracy.
We at Liv Hospital are dedicated to top-notch healthcare. We use CT urography to make accurate diagnoses. This helps us create treatment plans that meet each patient’s needs.
The CT urogram is vital for a detailed look at the urinary tract. It’s a key part of our care. We keep using it to ensure our patients get the best care possible.
FAQ
What is a CT urogram, and what does it test for?
A CT urogram is a test that uses CT scans to check the kidneys, ureters, and bladder. It looks for tumors, stones, and other problems in the urinary tract.
How does a CT urogram differ from a standard CT scan?
A CT urogram is a special CT scan that focuses on the urinary tract. It uses contrast material for detailed images of the kidneys, ureters, and bladder. This process is different from standard CT scans.
What is the purpose of using contrast material in a CT urogram?
The contrast material in a CT urogram makes the urinary tract clearer. This helps doctors spot problems like tumors and stones better.
What conditions can a CT urogram diagnose?
A CT urogram can find many conditions. These include blood in the urine, kidney stones, and tumors in the urinary system. It can also find cancer in the kidneys or bladder.
How does a CT urogram help in detecting urinary tract tumors and malignancies?
A CT urogram helps find tumors and cancer in the urinary tract. It gives detailed images. This helps doctors plan treatment early.
Can a CT urogram identify structural and congenital abnormalities of the urinary tract?
Yes, a CT urogram can spot problems in the urinary tract. It checks the anatomy and finds congenital issues. It also looks for blockages in the ureters.
Is a CT urogram used for evaluating urinary tract trauma and post-surgical assessment?
Yes, a CT urogram is used for trauma and after surgery. It helps map the urinary tract and find any complications after surgery.
What is the significance of hematuria in a CT urogram?
Hematuria, or blood in the urine, is a big sign. It could mean cancer or other issues. A CT urogram checks for this and finds the cause.
How does a CT urogram aid in patient care?
A CT urogram helps by giving accurate diagnoses. This leads to early treatment and better care for patients. It helps monitor urinary tract conditions, too.
What is the role of CT urography in Liv Hospital’s diagnostic services?
At Liv Hospital, CT urography is key for diagnosing urinary tract issues. It helps our team provide top-notch care by finding problems early and planning treatments.
Reference
- Van Der Molen, A. J., Cowan, N. C., Mueller-Lisse, U. G., Nolte-Ernsting, C. C., Takahashi, S., & Cohan, R. H. (2008). CT urography: Definition, indications, and techniques. European Radiology, 18(1), 4“17. https://pubmed.ncbi.nlm.nih.gov/17973110/