
At Liv Hospital, we know how scary a diagnosis of aplastic anemia can be. Many wonder, “Is aplastic anemia cancer?” We’re here to tell you that aplastic anemia is not cancer. It’s a serious condition where the bone marrow can’t make enough blood cells. Is aplastic anemia cancer? Learn how a aplastic anemia bone marrow transplant treats this serious disorder and the powerful difference between the two.
Even though aplastic anemia isn’t cancer, it can raise the risk of some cancers. Our team is ready to offer top-notch care and treatments. This includes bone marrow transplantation to help our patients get better.
Key Takeaways
- Aplastic anemia is a serious condition where the bone marrow can’t make enough blood cells.
- It’s not cancer, but it might raise the risk of some cancers.
- Bone marrow transplant is a good treatment option for aplastic anemia.
- Liv Hospital offers complete care and advanced treatments for international patients.
- Our team is committed to giving personalized support during treatment.
Understanding Aplastic Anemia

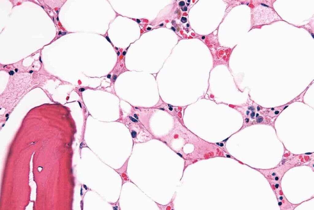
Aplastic anemia is a rare and serious condition where the bone marrow fails to make blood cells. This failure means the bone marrow can’t produce enough red blood cells, white blood cells, and platelets. This leads to pancytopenia.
Definition and Pathophysiology
Aplastic anemia happens when the bone marrow can’t make blood cells. Normally, the bone marrow turns stem cells into different blood cells. But in aplastic anemia, this process stops, causing a lack of blood cells.
The exact reason for this failure is often linked to the immune system attacking the bone marrow’s stem cells. But the exact how and why can vary.
This failure to make blood cells can cause many problems. These include anemia, infections, and bleeding issues. Knowing why it happens is key to finding good treatments.
Common Causes and Risk Factors
Aplastic anemia can be caused by many things. Some causes are unknown, while others are linked to genetics or environmental factors. Certain drugs and viruses can also cause it.
- Exposure to toxic chemicals or radiation
- Certain medications, such as chemotherapy drugs
- Viral infections, including hepatitis and HIV
- Autoimmune disorders
- Inherited conditions like Fanconi anemia
Finding out what caused it is important for treatment. Some cases have clear causes, while others don’t. This means a detailed treatment plan is needed.
Symptoms and Diagnosis of Aplastic Anemia

Patients with aplastic anemia face many symptoms. These include tiredness, infections, bruising, and bleeding. Knowing these symptoms and how doctors diagnose them is key for early treatment.
Clinical Manifestations
Aplastic anemia shows through many symptoms. This is because of pancytopenia, a low count of red, white blood cells, and platelets. Symptoms include:
- Fatigue and weakness from not enough red blood cells.
- Frequent infections from low white blood cells.
- Bleeding and bruising easily from low platelets.
These symptoms can really affect a patient’s life. They need quick medical help.
Diagnostic Procedures
To diagnose aplastic anemia, doctors use several tests. These tests check for the condition and rule out other causes. Important tests include:
- Blood tests to check blood cell levels.
- Bone marrow biopsy, a key test to see if the bone marrow works right.
- Additional tests like flow cytometry and imaging to check the bone marrow’s function.
The bone marrow biopsy is very important. It lets doctors see if the bone marrow can make blood cells.
Early diagnosis is critical. It helps start the right treatment and improve patient outcomes.
Is Aplastic Anemia Cancer? The Medical Classification
Aplastic anemia is often thought of as cancer, but it’s not the same. We need to know what makes cancer and how aplastic anemia is different.
Defining Characteristics of Cancer
Cancer is when cells grow and spread out of control. It can harm nearby tissues and organs. It can also move to other parts of the body through the blood or lymph system.
The main signs of cancer include cells that keep growing, ignore growth stoppers, and don’t die when they should.
“Cancer is a complex disease involving genetic and environmental factors, leading to the uncontrolled proliferation of cells.”
Nobel Prize in Physiology or Medicine, 2018
Why Aplastic Anemia Is Not Classified as Cancer
Aplastic anemia is when the bone marrow can’t make enough blood cells. This isn’t because of too many cells growing. It’s because the bone marrow isn’t working right.
The main difference is that cancer has too many cells, while aplastic anemia has too few. This shows that aplastic anemia is not cancer.
| Characteristics | Cancer | Aplastic Anemia |
| Cell Growth | Uncontrolled cell proliferation | Failure of bone marrow to produce cells |
| Primary Issue | Excessive cell growth | Insufficient cell production |
| Impact on Body | Invasion and damage to tissues and organs | Reduced ability to produce blood cells, leading to anemia, infections, and bleeding |
Even though aplastic anemia is not cancer, people with it might be at higher risk for some cancers. But, it’s not called cancer because of its different cause and effects.
In conclusion, knowing the difference between aplastic anemia and cancer is key for correct diagnosis and treatment. Both affect the body’s function, but they have different causes and effects.
The Connection Between Aplastic Anemia and Cancer Risk
The link between aplastic anemia and cancer is complex. It involves many factors that can lead to secondary malignancies. People with aplastic anemia might face a higher risk of some cancers. This is true, mainly after they’ve had certain treatments or bone marrow transplants.
Secondary Malignancies After Aplastic Anemia
Research shows that aplastic anemia patients are more likely to get secondary cancers. A study on PubMed found a significant number of cancers in these patients. This is more common in those who have had specific treatments.
The most common cancers include:
- Myelodysplastic syndromes
- Acute myeloid leukemia
- Lymphomas
- Solid tumors
Contributing Factors to Increased Cancer Risk
Several factors can raise the risk of cancer in aplastic anemia patients. These include:
- Immunosuppressive therapy
- Bone marrow transplantation
- Genetic predisposition
- Exposure to certain chemicals or radiation
Knowing these factors is key to managing the risk of secondary cancers. We’ll look at the data in more detail below.
| Risk Factor | Description | Impact on Cancer Risk |
| Immunosuppressive Therapy | Treatment that suppresses the immune system | Increases risk of secondary malignancies |
| Bone Marrow Transplantation | Procedure to replace damaged bone marrow | May increase risk due to conditioning regimens |
| Genetic Predisposition | Inherited genetic factors | May predispose to certain cancers |
Conventional Treatment Approaches for Aplastic Anemia
Treatment for aplastic anemia has changed a lot. Now, we use many ways to help the bone marrow work right again. Our goal is to ease symptoms, help the bone marrow heal, and make patients feel better.
Supportive Care Measures
Supportive care is key in treating aplastic anemia. It helps manage symptoms and avoid serious problems. This includes:
- Blood transfusions to increase red blood cell, white blood cell, and platelet counts
- Antimicrobial therapy to prevent and treat infections
- Growth factors to stimulate the production of blood cells
These steps improve patients’ lives and lower the chance of serious issues.
Immunosuppressive Therapy
Immunosuppressive therapy is a main treatment for aplastic anemia. It’s for those who can’t get a bone marrow transplant. This therapy uses medicines to calm down the immune system. It helps the bone marrow work better.
| Therapy Type | Medications Used | Benefits |
| Immunosuppressive Therapy | Antithymocyte globulin (ATG), Cyclosporine | Restores bone marrow function, improves blood cell counts |
Growth Factors and Other Medications
Growth factors are also a big part of treating aplastic anemia. Growth factors, like granulocyte-colony stimulating factor (G-CSF), help the bone marrow make more blood cells. This lowers the risk of infections and other problems.
In summary, treating aplastic anemia involves supportive care, immunosuppressive therapy, and growth factors. Knowing these treatments helps patients and doctors choose the best plan.
Aplastic Anemia Bone Marrow Transplant: The Curative Option
Hematopoietic stem cell transplantation is a key treatment for aplastic anemia. It can greatly improve a patient’s life. A bone marrow transplant is a chance for a new start.
Fundamentals of Hematopoietic Stem Cell Transplantation
Hematopoietic stem cell transplantation (HSCT) replaces bad bone marrow with healthy cells from a donor. It’s a detailed process that needs careful planning. The main goal is to fix the bone marrow so it can make healthy blood cells again.
First, the patient gets conditioning therapy to weaken their immune system. This clears the way for the new stem cells. Then, the donor stem cells are given to the patient. They go to the bone marrow and start making new blood cells.
This process takes time, and the patient is watched closely. They need to be ready for any problems or if the transplant fails.
Patient Selection and Eligibility Criteria
Not every patient with aplastic anemia can get a bone marrow transplant. The choice to have HSCT depends on age, health, and if a good donor is found. Young patients with a matched donor are usually the best candidates. Each case is looked at carefully.
To qualify for HSCT, the disease’s severity, past treatments, and health issues are checked. It’s important to pick the right patients to ensure success and safety. This way, we can help more people and reduce risks.
The Bone Marrow Transplant Process for Aplastic Anemia
Aplastic anemia bone marrow transplant is a detailed process. It starts with a thorough pre-transplant evaluation. This step is key to check if the patient is a good candidate for the transplant.
Pre-Transplant Evaluation and Preparation
The pre-transplant evaluation includes many tests. These tests check the patient’s health and the severity of their aplastic anemia. They also include blood counts and bone marrow biopsies.
We also look at the patient’s medical history. This helps us spot any risks or complications that might happen during or after the transplant. This detailed check helps us make a treatment plan that fits the patient’s needs.
Donor Selection and HLA Matching
Choosing the right donor is very important. We look for a donor whose Human Leukocyte Antigen (HLA) type matches the patient’s. HLA matching is key to lower the risk of graft-versus-host disease (GVHD), a possible transplant complication.
The donor can be a family member or someone unrelated. We do detailed HLA typing to find the best match. This involves testing for several HLA genes to check compatibility.
The Transplantation Procedure
The transplant procedure involves putting the donor’s healthy stem cells into the patient’s bloodstream. This is done through an intravenous line, like a blood transfusion.
Before the infusion, the patient gets conditioning treatment. This treatment gets rid of any bad bone marrow and weakens the immune system. This helps the donor’s stem cells to grow and make healthy blood cells.
Recovery and Rehabilitation After Bone Marrow Transplant
Recovering from a bone marrow transplant is a long journey. It needs careful medical care and the patient’s full cooperation. The path to getting better includes several stages, from right after the transplant to ongoing check-ups.
Early Recovery Phase
The early recovery stage, which can last weeks to months, is very important. During this time, doctors watch for signs of the transplant working, graft-versus-host disease, and infections. “This early phase is when patients are most at risk,”
Patients might feel tired, sick to their stomach, and have mouth sores. To help, doctors use medicines to ease symptoms and prevent infections. It’s key for patients to stick to their treatment plans and keep up with doctor’s visits.
Long-Term Follow-Up Care
Long-term care is vital for catching any late transplant effects. This includes checking for organ problems, new cancers, and chronic GVHD. Regular visits with the healthcare team are important for catching and treating these issues early.
Doctors also advise on lifestyle changes to aid in recovery. This includes eating right, exercising, and staying away from germs. “Long-term care is about more than just managing problems,” Potential Complications and Management
Complications like GVHD, infections, and the cancer coming back are possible after a transplant. We use treatments like immunosuppressive drugs and antibiotics to prevent these issues.
If problems do happen, acting fast is key. “Quickly finding and treating problems can greatly help patients,”
By knowing the recovery process and following the recommended care, patients can have a better chance of success after a bone marrow transplant for aplastic anemia.
Success Rates and Outcomes of Bone Marrow Transplant for Aplastic Anemia
Bone marrow transplantation is a top treatment for aplastic anemia, bringing hope to patients globally. This field has made big strides, leading to better results for many.
Statistical Success Rates by Age Group
The success of bone marrow transplants for aplastic anemia changes with age. Children and young adults often do better than older adults. Research shows that those under 20 have a better chance of long-term survival and cure.
A study in a top medical journal found a big difference in survival rates. Children’s 5-year survival rate was about 80%, while those over 40 had a 50% rate.
Factors Influencing Transplant Success
Many things affect how well a bone marrow transplant works for aplastic anemia. These include the donor match, the patient’s health before the transplant, and the transplant method.
- A good donor match boosts the transplant’s success.
- Patients in better health before the transplant tend to do better.
- New transplant methods, like haploidentical transplantation, open up more donor options.
Knowing these factors helps manage patient hopes and make informed treatment choices. By looking at each patient’s situation, we can guess the transplant’s success better.
Advanced Care at Specialized Treatment Centers
Now, patients with aplastic anemia can get top-notch care at specialized centers. These places offer a wide range of services. They are designed to meet the specific needs of those with aplastic anemia.
Multidisciplinary Approach to Aplastic Anemia
Managing aplastic anemia well needs a team effort. A team of doctors, including hematologists and oncologists, work together. They create care plans that fit each patient’s needs.
Key components of the multidisciplinary approach include:
- Comprehensive diagnosis and assessment
- Personalized treatment planning
- Access to advanced therapies, including bone marrow transplantation
- Supportive care measures to manage symptoms and treatment side effects
Liv Hospital’s Approach to Bone Marrow Transplantation
Liv Hospital is known for its bone marrow transplant expertise. This is a key treatment for many with aplastic anemia. Our team uses the latest research and guidelines to ensure safe and effective care.
The success of bone marrow transplantation depends on several factors. These include donor selection, HLA matching, and post-transplant care. Our experienced team focuses on each step to improve outcomes.
| Aspect of Care | Description | Benefit to Patient |
| Donor Selection | Careful matching of donors to ensure compatibility | Reduced risk of graft-versus-host disease |
| HLA Matching | Advanced HLA typing for optimal donor-recipient matching | Improved graft survival and function |
| Post-Transplant Care | Comprehensive follow-up care to manage complications | Enhanced recovery and quality of life |
At Liv Hospital, we aim to provide top care for aplastic anemia patients. Our team works together to create personalized plans. We offer hope and healing to those with this condition.
Conclusion
Aplastic anemia is a serious condition that needs quick and effective treatment. It’s not cancer, but knowing its unique traits is key for proper care. We’ve looked at different treatments for aplastic anemia, focusing on bone marrow transplant as a cure for some patients.
Bone marrow transplant, or hematopoietic stem cell transplantation, can cure aplastic anemia. It replaces damaged bone marrow with healthy stem cells. This method has shown great success, mainly for those who can get a transplant.
At places like Liv Hospital, a team of experts works together to care for aplastic anemia patients. Their advanced treatments and knowledge ensure patients get the best care. If you’re looking into treatments, including bone marrow transplant, talk to doctors to find the right cure for you.
FAQ
What is aplastic anemia?
Aplastic anemia is a rare blood disorder. It happens when the bone marrow can’t make blood cells. This includes red blood cells, white blood cells, and platelets.
Is aplastic anemia a form of cancer?
No, it’s not cancer. But, it can raise the risk of getting secondary cancers.
What are the common causes and risk factors of aplastic anemia?
The exact cause is often unknown. But, it can be caused by toxins, certain medicines, viral infections, and autoimmune disorders.
How is aplastic anemia diagnosed?
Doctors use blood tests and a bone marrow biopsy. They check how well the bone marrow makes blood cells.
What is the role of bone marrow transplant in treating aplastic anemia?
Bone marrow transplant is a key treatment. It replaces the damaged bone marrow with healthy stem cells. This can cure aplastic anemia.
What is the bone marrow transplant process for aplastic anemia?
First, there’s an evaluation and donor selection. Then, HLA matching and the transplant procedure. After that, recovery and rehabilitation follow.
What are the success rates of bone marrow transplant for aplastic anemia?
Success rates depend on age, donor match, and health. Younger patients with a matched donor tend to have higher success rates.
Can aplastic anemia be cured without a bone marrow transplant?
Some patients might respond to other treatments. But, bone marrow transplant is usually the most effective cure for severe cases.
What is the recovery process like after a bone marrow transplant?
Recovery starts with a hospital stay. Then, long-term care is needed to manage complications and watch for relapse or graft-versus-host disease.
How does Liv Hospital approach bone marrow transplantation for aplastic anemia?
Liv Hospital uses a team approach. They combine expertise in hematology, oncology, and bone marrow transplantation for complete care.
Is aplastic anemia curable?
Yes, with the right treatment, like bone marrow transplant, many patients can achieve long-term remission or cure.
What are the possible complications of bone marrow transplant for aplastic anemia?
Complications include graft-versus-host disease, infections, and organ damage. These are managed with close monitoring and supportive care.
Can you live without a bone marrow?
No, bone marrow is vital for making blood cells. Without it, life-threatening complications can occur, making transplant a critical treatment.
Reference:
National Center for Biotechnology Information. (2018). Severe aplastic anemia: allogeneic bone marrow transplantation as treatment. Retrieved from https://pmc.ncbi.nlm.nih.gov/articles/PMC6093726
Medical News Today. (2024). Is aplastic anemia cancer? Retrieved from https://www.medicalnewstoday.com/articles/is-aplastic-anemia-cancer