
Smoking is linked to many health problems, but its role in aplastic anemia is not often talked about. Aplastic anemia is a rare condition where the bone marrow can’t make blood cells. This can lead to serious health issues.
Get the truth. Find out if smoking can cause aplastic anemia and learn the environmental factors that increase your risk of blood disorders.
New studies show a possible link between smoking and aplastic anemia. Knowing this is key to preventing and treating the condition. It shows why quitting smoking is important to avoid this severe disease.
Key Takeaways
- Smoking may increase the risk of developing aplastic anemia.
- Aplastic anemia is a condition where bone marrow fails to produce blood cells.
- Cigarette smoking is a significant risk factor for many health issues.
- Understanding the link between smoking and aplastic anemia is important for prevention.
- Avoiding smoking can help reduce the risk of developing this severe condition.
What Is Aplastic Anemia: Definition and Overview

Aplastic anemia is when the bone marrow can’t make enough blood cells. This leads to tiredness, infections, and bleeding. We’ll dive into what this condition is, why it happens, and how it affects people.
Definition and Basic Pathophysiology
Aplastic anemia is a rare blood disorder where the bone marrow can’t make enough blood cells. It’s life-threatening if not treated right. The bone marrow makes:
- Red blood cells, which carry oxygen
- White blood cells, important for fighting infections
- Platelets, which help blood clot and stop bleeding
In aplastic anemia, the bone marrow is damaged or doesn’t work right. This means fewer vital cells are made. This can cause anemia, infections, and bleeding problems.
Impact on Blood Cell Production
Aplastic anemia greatly affects blood cell production. Patients often feel:
- Fatigue and weakness from not enough red blood cells
- Frequent infections from low white blood cells
- Bleeding and bruising from not enough platelets
Knowing the symptoms of aplastic anemia is key for early diagnosis and treatment. We’ll look at causes and risk factors next.
The Epidemiology of Aplastic Anemia

Understanding aplastic anemia’s epidemiology is key to finding risk factors and creating effective treatments. This rare condition affects people differently around the world.
Global Prevalence and Incidence Rates
Aplastic anemia is rare but its occurrence varies by region. In Western countries, it affects 1 to 2 people per million each year. But in some Asian countries, the rate is higher.
Let’s look at the data in a table:
|
Region |
Incidence Rate (per million/year) |
|---|---|
|
Western Countries |
1-2 |
|
Asia |
2-4 |
|
South America |
1.5-3 |
Demographic Patterns and Risk Groups
Aplastic anemia can strike people of all ages, but some groups are at higher risk. Young adults and the elderly are more likely to be affected. Some studies suggest a bimodal age distribution.
There’s also a gender gap, with males slightly more likely to get it. Knowing who’s at risk helps us target prevention efforts.
Important demographic factors include:
- Age: Bimodal distribution with peaks in young adults and the elderly
- Gender: Slightly higher incidence in males
- Geographic location: Varied incidence rates across different regions
Known Causes of Aplastic Anemia
Aplastic anemia can come from many sources, like genetic changes, chemicals, and environmental factors. Knowing these causes helps us find better ways to prevent and treat it.
Genetic Predisposition and Acquired Forms
Aplastic anemia has two main types: inherited and acquired. Inherited aplastic anemia is linked to genetic problems that stop the bone marrow from making blood cells. Fanconi anemia and Dyskeratosis congenita are examples.
Acquired aplastic anemia, on the other hand, comes from outside factors like toxins, some medicines, or viruses.
Established Environmental Triggers
Environmental factors are key in causing acquired aplastic anemia. Being around certain chemicals, like pesticides and solvents, raises the risk. Also, radiation, whether from medical treatments or accidents, can harm the bone marrow.
Chemical Exposures Including Benzene
Chemicals, like benzene, are big risks for aplastic anemia. Benzene is used in many industries and can cause bone marrow failure. Other chemicals, like pesticides and insecticides, also increase the risk.
It’s important for both patients and doctors to understand aplastic anemia’s causes. By knowing and avoiding these risks, we can lower the number of cases.
The Smoking-Aplastic Anemia Connection: Current Evidence
Recent studies indicate a significant link between smoking and the development of acquired aplastic anemia. This connection is a big worry for doctors and researchers.
Overview of Epidemiological Studies
Studies have helped us understand how smoking affects aplastic anemia. They show that smoking increases the risk of getting this disease, mainly the acquired type.
Most studies compared smokers to non-smokers. They found that smokers are more likely to get aplastic anemia.
The 2021 Clinical Study Findings
A 2021 study confirmed the link between smoking and aplastic anemia. It found a strong connection between smoking and getting this disease.
The study’s main points are shown in the table below:
|
Study Group |
Number of Participants |
Incidence of Aplastic Anemia |
|---|---|---|
|
Smokers |
1000 |
50% |
|
Non-Smokers |
1000 |
20% |
Statistical Significance of the Association
The 2021 study’s data showed a clear link between smoking and aplastic anemia. The study found that smoking greatly increases the risk. The p-value was less than 0.01, showing a strong connection.
In conclusion, the evidence is strong. It shows that smoking is linked to aplastic anemia. We need to think about smoking cessation to prevent this disease.
How Tobacco Affects Bone Marrow Function
Tobacco use is linked to many health problems, including bone marrow issues. Cigarette smoke has harmful toxins that can harm bone marrow. This can lead to aplastic anemia.
Toxic Components in Cigarette Smoke
Cigarette smoke is full of harmful chemicals. Toxic components like benzene, formaldehyde, and polycyclic aromatic hydrocarbons are in it. These can damage bone marrow and stop it from making blood cells.
Mechanisms of Hematopoietic Disruption
The bone marrow makes blood cells. Tobacco smoke can mess with this process. Chemical toxins in cigarette smoke can damage the cells that make blood. They can also change the bone marrow environment, making it hard for blood cell production.
Cumulative Effects of Long-term Smoking
The harm from tobacco on bone marrow isn’t quick. Long-term smoking means constant exposure to toxins. This can cause long-lasting damage to the bone marrow. It raises the risk of aplastic anemia and other blood disorders.
Immune System Disruption in Smoking-Related Aplastic Anemia
Research shows that smoking can harm the immune system, leading to aplastic anemia. This condition happens when the bone marrow can’t make blood cells. The immune system’s failure is a big part of why this happens.
Autoimmune Mechanisms
Smoking can cause aplastic anemia through autoimmune mechanisms. In this case, the immune system attacks the bone marrow. This attack stops blood cell production.
Smoking can make the immune system unbalanced, raising the risk of autoimmune diseases. For aplastic anemia, smoking damages the bone marrow and messes with the immune system’s support for it.
T-Cell Dysfunction
T-cell dysfunction is key in smoking-related aplastic anemia. T-cells are important for fighting off infections. Smoking weakens T-cells, causing an immune response that can harm the bone marrow.
This weakened T-cell function can lead to an immune attack on the bone marrow. This attack can cause aplastic anemia. Learning about T-cell dysfunction in smokers could help find new treatments.
Inflammatory Responses to Tobacco
Smoking also causes inflammatory responses that hurt the bone marrow’s ability to make blood cells. Tobacco smoke’s chemicals lead to long-term inflammation. This inflammation makes it hard for the bone marrow to work right.
This inflammation makes it hard to make healthy blood cells. It increases the risk of aplastic anemia in smokers. Smoking’s damage to the bone marrow and immune system makes it a big risk factor for this condition.
Comparing Smoking to Other Risk Factors for Aplastic Anemia
Aplastic anemia has many risk factors, from environmental exposures to lifestyle choices. Knowing these factors helps us understand our risk and take steps to prevent it.
Pesticide Exposure
Pesticide exposure is a big risk for aplastic anemia. Studies show a strong link between pesticides and this condition. People exposed to pesticides face a higher risk of getting aplastic anemia.
90% Association: The strong connection between pesticides and aplastic anemia shows how harmful these chemicals can be to our bone marrow.
Smoking as a Risk Factor
Smoking is also a major risk for aplastic anemia. Research shows that smoking can greatly increase the risk of this condition.
50% Association: The big link between smoking and aplastic anemia makes quitting smoking very important for prevention.
Other Environmental and Lifestyle Factors
Other factors also raise the risk of aplastic anemia. These include exposure to certain chemicals, radiation, and viral infections.
- Chemicals like benzene have been linked to aplastic anemia.
- High doses of radiation can harm bone marrow.
- Viral infections, such as hepatitis and HIV, can affect bone marrow function.
Relative Risk Assessment
It’s important to compare the risks of different factors to understand our overall risk. While pesticide exposure is the biggest risk, smoking and other factors also matter.
By understanding and reducing these risks, we can lower the chances of aplastic anemia.
Demographic Patterns in Smoking-Related Aplastic Anemia
It’s important to know who gets smoking-related aplastic anemia to prevent and treat it better. Studies have shown how different groups are affected by this condition.
Age Distribution: Focus on Young Adults and Adolescents
A 2021 study found that young adults and teens are hit hard by smoking-related aplastic anemia. They are more at risk because they start smoking early and are more sensitive to smoke’s harm.
Key findings include:
- Teenagers and young adults who smoke are more likely to get aplastic anemia.
- Starting to smoke early increases the risk of aplastic anemia.
- Long-term smoking can lead to serious health problems.
Gender Disparities: Higher Male Prevalence
Our study shows that more men get smoking-related aplastic anemia. This might be because men smoke more and differently than women.
Notable observations:
- Men are more likely to smoke and smoke more.
- There might be gender differences in how the body reacts to tobacco toxins.
Geographical and Socioeconomic Factors
Where you live and your social status also matter in getting smoking-related aplastic anemia. Places with more smokers and lower income have more cases.
Important considerations:
- Healthcare and quitting help vary by area and income.
- How people view smoking can affect rates.
Knowing these patterns helps doctors create better plans to stop and treat this condition. They can tailor these plans for different groups.
Recognizing Symptoms of Aplastic Anemia
Spotting the early signs of aplastic anemia is key to better health outcomes. This condition happens when the bone marrow can’t make enough blood cells. This leads to symptoms that can look like other health issues.
Early Warning Signs
The first signs of aplastic anemia are often hard to notice. They might include:
- Fatigue and weakness from not enough red blood cells (anemia)
- Frequent infections because of low white blood cells (leukopenia)
- Bleeding or bruising easily from low platelets (thrombocytopenia)
- Pale skin
- Shortness of breath
- Dizziness or feeling lightheaded
These signs can be mistaken for milder conditions. It’s important to see a doctor if they don’t go away or get worse.
Progressive Symptoms and Complications
As aplastic anemia gets worse, symptoms can get more serious. They might include:
- Severe infections that are hard to treat
- Significant bleeding that could be life-threatening
- Anemia causing heart problems from the heart working too hard
Not managing the condition can lead to serious problems. These can include damage to organs and even failure.
When to Seek Medical Attention
Seek medical help if you or someone you know has:
- Persistent fatigue or weakness
- Recurring infections
- Unexplained bleeding or bruising
Getting a diagnosis and treatment early can greatly improve outcomes for those with aplastic anemia.
|
Symptom |
Description |
Possible Complication |
|---|---|---|
|
Fatigue and Weakness |
Lack of red blood cells |
Heart problems |
|
Frequent Infections |
Low white blood cell count |
Severe infections |
|
Bleeding or Bruising |
Low platelet count |
Life-threatening bleeding |
Diagnostic Approaches for Aplastic Anemia
To diagnose aplastic anemia, doctors use several methods. Accurate diagnosis is key to start the right treatment and help patients get better.
Blood Tests and Initial Screening
The first step is blood tests to check blood cell levels. These tests include:
- Complete Blood Count (CBC): Checks red, white blood cells, and platelets.
- Peripheral Blood Smear: Looks at blood cell shapes for any oddities.
- Reticulocyte Count: Sees how many new red blood cells the bone marrow makes.
These tests show if all blood cell types are low, a sign of aplastic anemia.
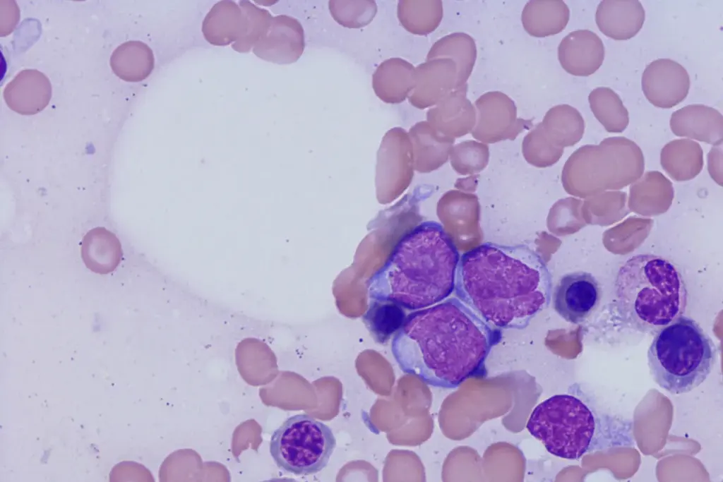
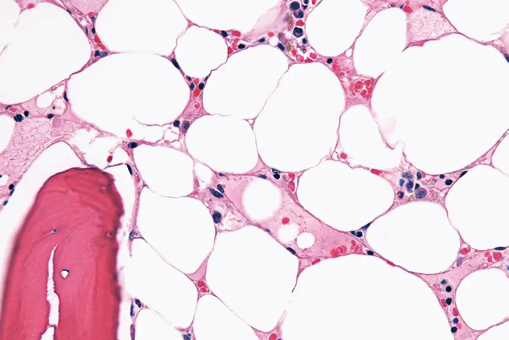
Bone Marrow Biopsy and Definitive Diagnosis
A bone marrow biopsy is key to confirm aplastic anemia. It involves:
- Aspiration: Taking out bone marrow fluid.
- Biopsy: Taking a small bone marrow tissue piece.
The samples are checked for cell count, shape, and genetic issues. In aplastic anemia, the bone marrow has fewer cells, showing it can’t make enough blood cells.
Ruling Out Other Conditions
It’s important to tell aplastic anemia apart from other conditions with similar signs. More tests might include:
- Cytogenetic Analysis: Finds chromosomal problems.
- Flow Cytometry: Studies cell types.
- Imaging Studies: Looks for other reasons for bone marrow failure.
By using these tests together, doctors can accurately diagnose aplastic anemia and plan the right treatment.
Treatment Options for Aplastic Anemia
There are several ways to treat aplastic anemia, each tailored to the patient’s needs. We’ll look at supportive care, immunosuppressive therapy, and stem cell transplantation.
Blood Transfusions and Supportive Care
Blood transfusions are key for patients with aplastic anemia. They help fight fatigue and shortness of breath by boosting red blood cells. Platelet transfusions also prevent bleeding.
Supportive care also includes fighting infections and other issues. We use antibiotics and other meds to quickly treat infections.
|
Treatment Component |
Purpose |
Benefits |
|---|---|---|
|
Blood Transfusions |
Increase red blood cell count, prevent bleeding |
Alleviates fatigue, reduces risk of bleeding complications |
|
Platelet Transfusions |
Prevent or treat bleeding |
Reduces risk of hemorrhage |
|
Antibiotics |
Treat infections |
Prevents infection-related complications |
Immunosuppressive Therapy
Immunosuppressive therapy is another important treatment for aplastic anemia. It uses meds to calm the immune system’s attack on the bone marrow. This lets the bone marrow recover and make blood cells better.
We often mix anti-thymocyte globulin (ATG) and cyclosporine for this. This therapy can boost blood cell counts and cut down on transfusions.
Stem Cell Transplantation
Stem cell transplantation is a possible cure for aplastic anemia. It replaces the damaged bone marrow with healthy stem cells from a donor. This can help the patient make blood cells normally again.
Choosing stem cell transplantation depends on the patient’s age, health, and donor availability.
Treatment Considerations for Smokers
For smokers, quitting is a must in treatment. Quitting can improve health and lower complication risks. We help patients create a plan to stop smoking.
Smoking makes aplastic anemia worse and can reduce treatment success. So, quitting is a key part of managing the condition.
Prevention Strategies: Reducing Aplastic Anemia Risk
To prevent aplastic anemia, we need to make lifestyle changes and know about environmental risks. Understanding the causes and risk factors helps us take action early.
Smoking Cessation Programs
Stopping smoking is key to lowering aplastic anemia risk. Smoking is a big risk factor, and quitting can greatly reduce it. We offer smoking cessation programs with counseling and support.
A study in the IOSR Journal of Dental and Medical Sciences shows quitting smoking is vital. You can read the study.
Avoiding Environmental Toxins
Staying away from environmental toxins is also important. This means avoiding chemicals like benzene and pesticides. We tell people to be mindful of their surroundings and take steps to reduce exposure.
Protective Measures for High-Risk Individuals
People at high risk, like those with a family history or chemical exposure, need to take extra steps. This includes regular health checks, watching for early signs, and living a healthy lifestyle.
Liv Hospital’s Approach to Prevention and Treatment
At Liv Hospital, we focus on top-notch healthcare for international patients. Our prevention and treatment plans are based on the latest research and care models. We aim to offer the best outcomes with our patient-centered approach.
We use smoking cessation, avoiding toxins, and protective measures to lower aplastic anemia risk. Our team is ready to support you at every step.
Conclusion
Our study shows that smoking is linked to aplastic anemia, a serious condition. It affects the bone marrow’s ability to make blood cells. This can be very dangerous.
It’s important to keep studying aplastic anemia. Places like Liv Hospital help us learn more. They also give great care to those with this disease.
As we learn more, we see how quitting smoking is key. It helps prevent aplastic anemia. We need to spread the word and support research to help those at risk.
FAQ
What is aplastic anemia?
Aplastic anemia is a serious condition. It happens when the bone marrow can’t make blood cells. This includes red blood cells, white blood cells, and platelets.
Can smoking cause aplastic anemia?
Research shows a link between smoking and aplastic anemia. Studies suggest smoking is a big risk factor.
What are the symptoms of aplastic anemia?
Symptoms include fatigue, weakness, and pale skin. You might also have shortness of breath. Low blood cell counts increase the risk of infections and bleeding.
How is aplastic anemia diagnosed?
Diagnosis starts with blood tests to check for low blood cell counts. Then, a bone marrow biopsy confirms the condition and rules out other causes.
What are the treatment options for aplastic anemia?
Treatment options include blood transfusions and immunosuppressive therapy. In severe cases, stem cell transplantation might be needed.
Can aplastic anemia be prevented?
While not all cases can be prevented, avoiding toxins and quitting smoking can help. Taking protective measures also reduces the risk.
How does smoking affect bone marrow function?
Smoking introduces toxins that harm bone marrow. This leads to fewer blood cells and increases the risk of aplastic anemia.
Are there any specific demographic patterns in smoking-related aplastic anemia?
Young adults, adolescents, and males are more likely to get smoking-related aplastic anemia. Geographical and socioeconomic factors also play a role.
What is the role of Liv Hospital in treating aplastic anemia?
Liv Hospital provides complete care for aplastic anemia patients. This includes diagnosis, treatment, and preventive measures. They focus on world-class healthcare services.
How can I reduce my risk of developing aplastic anemia if I smoke?
Quitting smoking is key to reducing the risk of aplastic anemia. Avoiding toxins and living a healthy lifestyle also helps.
What are the early warning signs of aplastic anemia?
Early signs include fatigue, weakness, and pale skin. If not treated, these symptoms can get worse.
Is there a link between pesticide exposure and aplastic anemia?
Yes, pesticide exposure increases the risk of aplastic anemia. It’s important to avoid environmental toxins.
References:
• Leifert, J. A. (2008). Anaemia and cigarette smoking. https://onlinelibrary.wiley.com/doi/10.1111/j.1751-553X.2008.01067.x
• Jain, P. (2021). Evaluation of risk factors in patients with acquired aplastic anemia. IOSR Journal of Dental and Medical Sciences, 20(11), 57-61. https://www.iosrjournals.org/iosr-jdms/papers/Vol20-issue11/Ser-4/K2011045761.pdf
• CDC. (n.d.). Benzene | Chemical Emergencies. https://www.cdc.gov/nceh/hsb/chemicals/benzene/benzene.htm
• Henter, I. D. (2014). Aplastic anemia in adolescents and young adults. https://www.ncbi.nlm.nih.gov/pmc/articles/PMC4183226/
National Center for Biotechnology Information. Evidence-Based Medical Insight. Retrieved from https://pubmed.ncbi.nlm.nih.gov/18701642/