
Alveolar Rhabdomyosarcoma (ARMS) is a rare and aggressive cancer. It comes from skeletal muscle. It mainly hits kids, teens, and young adults, often in the arms, legs, head, neck, or trunk. The St. Baldrick’s Foundation says ARMS is a key type of rhabdomyosarcoma in kids.
Knowing the symptoms and treatment options is key for those dealing with ARMS. At Liv Hospital, we focus on our patients. We use the latest in diagnostics and treatments to give top-notch care for alveolar rhabdomyosarcoma.
Key Takeaways
- Alveolar Rhabdomyosarcoma is a rare and aggressive type of cancer.
- It mainly affects kids, teens, and young adults.
- Symptoms vary based on where the tumor is.
- Early detection and treatment are vital for managing it well.
- Liv Hospital offers a patient-focused approach with the latest diagnostics and treatments.
Understanding Alveolar Rhabdomyosarcoma (ARMS Cancer)

Alveolar rhabdomyosarcoma (ARMS) is a type of cancer that starts in muscle cells. It’s aggressive and often affects young people. Knowing about ARMS helps us understand its impact and how to treat it.
Definition and Classification of Rhabdomyosarcoma
Rhabdomyosarcoma is a muscle cancer with different types. The 2020 World Health Organization classification lists four main types. ARMS is known for its unique cell pattern.
“The way we classify rhabdomyosarcoma has changed,” experts say. “Now, we look at both the cells’ appearance and their genetic makeup.”
How ARMS Differs from Other Sarcomas
ARMS is more aggressive than other muscle cancers. It often shows up in the arms and chest. This is different from other types, which are more common in the head.
Genetic and Molecular Characteristics
ARMS is marked by specific genetic changes. These changes lead to the creation of PAX3-FOXO1 or PAX7-FOXO1 fusion genes. These genes are key to ARMS and help doctors diagnose it.
Understanding ARMS’s genetics is vital for finding new treatments. It helps doctors improve care for those with ARMS.
Epidemiology and Risk Factors
Alveolar Rhabdomyosarcoma is a rare and aggressive cancer. It has specific characteristics that are key for treatment. Knowing these helps find at-risk groups and may lead to prevention.
Prevalence and Incidence Rates
Alveolar Rhabdomyosarcoma (ARMS) is a type of Rhabdomyosarcoma (RMS). RMS is the most common soft tissue sarcoma in kids and teens. ARMS happens in about 1 in a million children and teens.
Studies show ARMS makes up 20-30% of all RMS cases.
Key statistics on ARMS incidence include:
- Approximately 1 case per 1 million children and adolescents
- Constant incidence from ages 0 to 19 years
- 20-30% of all RMS cases are ARMS
Age and Demographic Distribution
ARMS can happen at any age but is most common in kids and teens. Some studies show a slight male bias, but it’s not clear. The disease is more common in some ethnic groups.
ARMS is most common in the pediatric and adolescent age groups.
Known Risk Factors and Genetic Predispositions
The exact causes of ARMS are not known, but some genetic factors are. The PAX3/7-FOXO1 fusion is a key genetic change in ARMS. Other risk factors might include genetic syndromes and environmental exposures.
“The PAX3/7-FOXO1 fusion gene is a hallmark of Alveolar Rhabdomyosarcoma and plays a critical role in its pathogenesis.”
Knowing these risk factors is important for early detection and new treatments.
Common Sites of ARMS Cancer Development
Knowing where ARMS cancer starts is key for early treatment. Alveolar Rhabdomyosarcoma often appears in certain body areas. This can affect how the disease grows and spreads.
Primary Locations in the Body
ARMS cancer usually starts in the torso, arms, or legs. These areas are important for spotting symptoms early and understanding the disease’s outlook. The torso, being central, can be affected differently based on the tumor’s location.
- Torso: Tumors in the chest or belly can harm vital organs.
- Arms: ARMS in the arms might cause swelling or pain, leading to quicker medical checks.
- Legs: Leg tumors can make moving hard and cause pain, lowering quality of life.
Metastatic Patterns
As ARMS cancer grows, it can spread to other parts of the body. The spread of ARMS depends on where the tumor starts and its genetic makeup. Common places for spread include the lungs, bone marrow, and lymph nodes.
- Lungs: The lungs are often where cancer spreads, leading to breathing problems.
- Bone Marrow: Spread to the bone marrow can cause widespread effects like anemia and bone pain.
- Lymph Nodes: When lymph nodes get involved, it means the disease has spread, making treatment harder.
Why Certain Sites Are More Susceptible
Somebody’s sites are more likely to get ARMS cancer due to genetics, molecular factors, and environment. Knowing these can help us understand the disease better and create better treatments.
Studies have found that certain genetic changes are key in ARMS. These changes can make the tumor grow and respond to treatment differently.
Recognizing Symptoms of Alveolar Rhabdomyosarcoma
The symptoms of Alveolar Rhabdomyosarcoma (ARMS) can be tricky to spot because they’re similar to other illnesses. But, certain signs mean you should see a doctor right away. Catching these symptoms early is key to getting the right treatment.
Early Warning Signs
Finding ARMS early can really help with treatment. Look out for lumps or swelling, usually in the chest, arms, or legs. These lumps tend to grow bigger. Some people might also feel pain or discomfort in these areas.
It’s important to watch for any unusual body changes. If you notice anything odd, don’t hesitate to talk to a doctor.
Location-Specific Symptoms
The symptoms of ARMS can change based on where the tumor is. For example, tumors in the head or neck might cause headaches or trouble swallowing. Tumors in the genitourinary tract could lead to problems with urination or stool, and even blood in the urine.
Seeing these symptoms doesn’t mean you definitely have ARMS. But, they do mean you need to see a doctor. Doctors use tests like imaging and biopsies to figure out what’s going on.
Systemic Symptoms in Advanced Disease
In later stages, ARMS can cause symptoms that affect the whole body. These might include losing weight, feeling very tired, or having a fever. As the disease gets worse, these symptoms can get stronger, making life harder.
It’s tough to deal with ARMS, both physically and emotionally. But, catching symptoms early and getting good care can really help.
Diagnostic Process and Procedures
To accurately diagnose Alveolar Rhabdomyosarcoma, we use a detailed approach. This includes a first look at the patient, advanced imaging, and genetic tests. We’ll explore each step from the first check-up to the final tests.
Initial Clinical Evaluation
The journey starts with a careful look at the patient’s history and a physical check-up. This step is key to spotting signs like swelling or pain that might point to ARMS.
We also look at the patient’s overall health and past medical issues. These can help us understand if ARMS is a possibility.
Imaging Studies
Imaging is a big part of diagnosing ARMS. It lets us see the tumor and how big it is. We use:
- X-rays: To check if bones are involved.
- Ultrasound: Good for soft tissue masses.
- MRI (Magnetic Resonance Imaging): Shows soft tissues in detail, great for tumor size.
- CT (Computed Tomography) scans: Help see the tumor’s size and how it affects nearby areas.
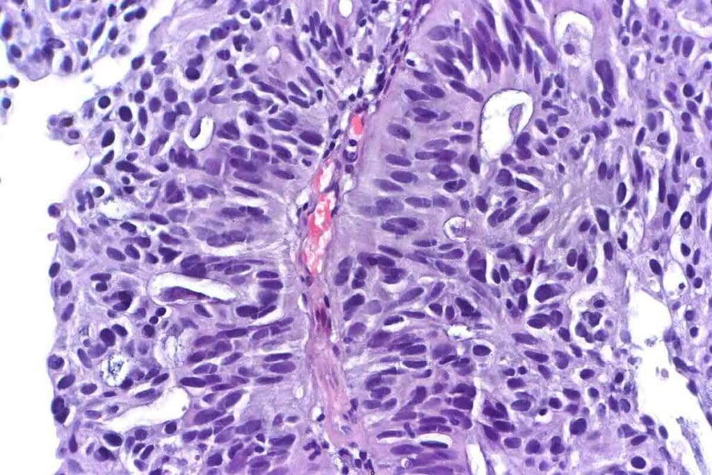
Biopsy and Pathological Confirmation
A biopsy is key to confirming ARMS. It involves taking a tumor sample for a microscope check. This helps spot ARMS’s unique features.
The sample also goes for genetic and molecular tests.
Molecular and Genetic Testing
Genetic and molecular tests are vital for a solid diagnosis. They look for specific genetic changes in ARMS, like the PAX-FOXO1 gene. Knowing the tumor’s genetics helps us plan treatment and predict outcomes.
Staging and Risk Stratification of ARMS Cancer
Staging and risk stratification are key in treating ARMS cancer. They help decide the best treatment and predict how well a patient will do. We look at several factors to figure out the stage and risk level. This helps us tailor treatment to each patient’s needs.
TNM Classification System
The TNM system is a common way to stage cancer. It looks at the tumor size, nearby lymph nodes, and if the cancer has spread. For ARMS, it helps doctors see how far the cancer has spread.
TNM Staging: The TNM system is important for knowing how far ARMS has spread. It considers the tumor size, lymph nodes, and if the cancer has spread to other parts of the body.
| TNM Component | Description |
| T (Tumor) | Size and extent of the primary tumor |
| N (Node) | Involvement of nearby lymph nodes |
| M (Metastasis) | Presence of distant metastasis |
Risk Group Assignment
Assigning a risk group is also important in managing ARMS. Patients are put into different groups based on age, tumor site, size, and if the cancer has spread. This helps plan the treatment intensity.
Risk Groups: ARMS risk groups are usually low, intermediate, and high. These groups are based on clinical and pathological factors.
Prognostic Factors
Several factors affect ARMS outcomes. These include the stage at diagnosis, if the cancer has spread, and how well it responds to treatment. Knowing these factors helps predict patient outcomes.
Understanding Stage 4 Alveolar Rhabdomyosarcoma
Stage 4 ARMS means the cancer has spread to other parts of the body. This stage has a poorer outlook and needs aggressive treatment.
Stage 4 Disease: Patients with stage 4 ARMS need a team effort for treatment. This includes chemotherapy, radiation, and sometimes surgery. It’s aimed at managing the disease and improving survival chances.
Getting a stage 4 ARMS diagnosis can be tough for patients and their families. Our team is dedicated to giving full care and support during treatment.
Comprehensive Treatment Approaches for ARMS Cancer
Managing ARMS cancer requires a detailed treatment plan. We know that Alveolar Rhabdomyosarcoma is a complex disease. It needs a treatment approach that covers all angles.
Multidisciplinary Treatment Team
A team of healthcare experts is key in treating ARMS. This team includes pediatric oncologists, surgeons, radiation oncologists, and other specialists. They work together to create a treatment plan that fits the patient’s needs.
This teamwork ensures all parts of the patient’s care are covered. It goes from the first diagnosis to after treatment and follow-up care.
Surgical Management Options
Surgery is important in treating ARMS, mainly for tumors that are in one place. The goal is to remove the tumor completely and some healthy tissue around it. This helps make sure all cancer cells are gone.
In some cases, surgery helps to make the tumor smaller. It also relieves symptoms caused by the tumor.
Chemotherapy Protocols
Chemotherapy is a big part of treating ARMS. It targets cancer cells that may have spread. Multi-agent chemotherapy regimens are used, combining drugs in different ways.
The choice of drugs and how long treatment lasts depends on the patient’s risk group and how they respond to treatment.
Radiation Therapy Techniques
Radiation therapy is used with surgery and chemotherapy to treat ARMS. Advanced radiation techniques, such as intensity-modulated radiation therapy (IMRT), are used. They allow for precise targeting of the tumor while protecting healthy tissues.
This method helps reduce long-term side effects and improves treatment results.
By combining these treatments, we can create effective plans for ARMS patients. This improves their chances of a successful outcome.
Living with ARMS Cancer: Support and Coping Strategies
Living with Alveolar Rhabdomyosarcoma (ARMS) cancer is tough. It needs a strong support system. Patients and their families must have many resources to handle the disease well.
Resources for Patients and Families
Having a good support system is key for ARMS cancer patients. This includes:
- Support Groups: Joining a support group offers emotional support and advice from others facing similar challenges.
- Counseling Services: Professional counseling helps deal with the emotional impact of the diagnosis.
- Educational Resources: Knowing about the disease helps manage it. Educational resources aid in making informed care decisions.
Managing Treatment Side Effects
ARMS cancer treatment can cause big side effects. It’s important to manage these to keep the quality of life high.
Some ways to do this include:
- Nutritional Support: Good nutrition helps the body recover from treatment.
- Pain Management: Good pain management improves comfort and well-being.
- Rehabilitation Services: Physical therapy and other services help regain strength and mobility.
Psychological and Emotional Support
The mental impact of ARMS cancer is big. Patients and families need:
- Mental Health Professionals: Trained therapists offer emotional support.
- Support Hotlines: Hotlines provide immediate support in crises.
- Family Counseling: Counseling for family members helps them support better.
Navigating Healthcare and Insurance
Understanding healthcare and insurance can be hard. Patients need help with:
- Insurance Coverage: Knowing what’s covered and how to get care.
- Healthcare Advocacy: An advocate helps navigate the complex healthcare system.
- Financial Assistance: Finding resources for financial help with treatment costs.
With the right support and strategies, we can improve life for ARMS cancer patients and their families.
Conclusion
Alveolar Rhabdomyosarcoma (ARMS) is a rare and aggressive cancer that affects muscle tissue. We’ve looked at what it is, how common it is, its symptoms, how it’s diagnosed, and how it’s treated. Knowing about ARMS is key for patients, families, and doctors to handle its challenges.
Getting a diagnosis early and getting the right treatment are vital for ARMS patients. New ways to fight cancer, like chemotherapy and radiation, have helped more people survive. A team of doctors from different fields is needed to create the best treatment plan.
This summary on rhabdomyosarcoma shows how important it is to know about ARMS and seek medical help quickly. We want to help patients and their families make smart choices about their care. With ongoing research and better care, there’s hope for better outcomes in fighting this disease.
FAQ
What is Alveolar Rhabdomyosarcoma (ARMS)?
Alveolar Rhabdomyosarcoma is a cancer that starts in soft tissues, like skeletal muscle. It grows fast and is often found in kids and young adults.
What are the symptoms of ARMS?
Symptoms of ARMS depend on where the tumor is. They might include swelling, pain, or a mass. Fatigue, weight loss, and fever can happen too, if the disease is advanced.
How is ARMS diagnosed?
Doctors use several steps to diagnose ARMS. They look at symptoms, do imaging tests, take a biopsy, and check it under a microscope. They might also do genetic tests.
What is the TNM Classification System used for?
The TNM System helps doctors understand how far ARMS has spread. It looks at the tumor size, nearby lymph nodes, and if it has spread to other parts of the body.
What are the treatment options for ARMS?
ARMS treatment often includes surgery, chemotherapy, and radiation. The plan depends on how far the cancer has spread and its risk level.
What is Stage 4 Alveolar Rhabdomyosarcoma?
Stage 4 ARMS means the cancer has spread to distant parts of the body. It’s a serious stage, and treatment choices might be fewer.
How can patients and families cope with ARMS?
Dealing with ARMS needs a strong support system. It should cover physical, emotional, and practical needs. There are many resources to help manage treatment side effects and offer psychological support.
What is Rhabdomyosarcoma?
Rhabdomyosarcoma is a cancer that starts in muscle cells. Alveolar Rhabdomyosarcoma is a fast-growing subtype of this cancer.
Are there any known risk factors for developing ARMS?
Some genetic conditions might increase the risk of ARMS. But, we don’t know all the causes of ARMS yet.
References
- National Cancer Institute. (2025). Childhood Rhabdomyosarcoma Treatment (PDQ®). https://www.cancer.gov/types/soft-tissue-sarcoma/hp/rhabdomyosarcoma-treatment-pdq
- Mârțu, C. (2025). Alveolar Rhabdomyosarcoma of Nasopharynx and Paranasal Sinuses. Medicina, 61(1), 120-128. https://pubmed.ncbi.nlm.nih.gov/39859062/