
When our body can’t make enough healthy blood cells, serious health problems can arise. Bone marrow failure happens when the marrow can’t produce enough blood cells. This leads to symptoms like chronic fatigue, frequent infections, and unexplained bruising. How can you tell if your bone marrow is failing? Learn the physical symptoms of marrow exhaustion and how to get help before it is too late.
It’s important to know how bone marrow works and its role in our health. The marrow makes blood cells that carry oxygen, fight infections, and stop bleeding. If it fails, the effects can be severe.
Spotting the signs of broad health issues related to bone marrow problems early is key. This can help people get medical help before things get worse.
Key Takeaways
- Recognizing symptoms of bone marrow failure is crucial for early detection.
- Bone marrow health is vital for producing healthy blood cells.
- Chronic fatigue and frequent infections can be signs of underlying bone marrow issues.
- Understanding bone marrow function can help in identifying potential problems.
- Seeking medical attention early can improve treatment outcomes.
Understanding Bone Marrow Function

Our bones have a soft, spongy center called bone marrow. It’s key for making blood cells.
What is bone marrow and where is it located?
Bone marrow is the soft tissue inside some bones, like the hips and thighbones. It’s where blood cells are made. It’s full of blood vessels and hematopoietic cells, which grow into all blood cells. You can find bone marrow in the:
- Pelvis
- Vertebrae
- Sternum
- Ribs
These places have red bone marrow. It’s where blood cells are produced.
The role of bone marrow in blood cell production
The bone marrow is crucial for our health. It makes bone marrow cells that turn into different blood cells. This is called hematopoiesis. The bone marrow creates:
- Red blood cells, which carry oxygen
- White blood cells, part of our immune system
- Platelets, important for blood clotting
For more on bone marrow failure, check out . It has lots of info on the topic.
In short, bone marrow is essential for bone marrow production. Any problems with it can cause health issues. Knowing how bone marrow works helps us spot signs of failure.
What Happens When Bone Marrow Fails?

It’s important to understand what happens when bone marrow fails. This is key for diagnosing and treating related disorders. Bone marrow failure occurs when it is unable to produce sufficient healthy blood cells. This leads to different health problems.
Definition and Basic Mechanisms
Bone marrow failure means the marrow can’t make enough blood cells. This includes red blood cells, white blood cells, and platelets. It can be caused by genetic mutations, toxic chemicals, or certain medicines.
The basic issue is the bone marrow doesn’t work right. This causes a drop in blood cell production.
We know bone marrow failure can show up in different ways. Each has its own causes. Knowing these is key to finding good treatments.
Difference Between Primary and Secondary Bone Marrow Failure
Primary bone marrow failure is when the marrow fails due to internal reasons. This includes genetic disorders or aplastic anemia. Secondary bone marrow failure is caused by outside factors. This includes chemotherapy, radiation, or toxins.
Primary bone marrow failure often comes from inherited or acquired conditions. These directly harm the bone marrow’s blood cell production. In contrast, secondary bone marrow failure is usually from damage caused by external factors.
Telling primary from secondary bone marrow failure is vital. It helps decide the right treatment. We’ll look at treatment options in more detail later.
Common Types of Bone Marrow Failure Disorders
It’s important to know about the different bone marrow failure types. These disorders happen when the bone marrow can’t make enough blood cells. This leads to health problems.
Myelodysplastic Syndromes (MDS)
Myelodysplastic syndromes (MDS) are disorders where blood cells don’t form right. This often leads to bone marrow failure. The cells that are made don’t grow up right, which raises the risk of turning into acute myeloid leukemia (AML).
Most people with MDS are 73 years old when they find out. In the U.S., 10,000 to 15,000 new cases happen every year. Early diagnosis is key to manage MDS well and help patients.
Aplastic Anemia
Aplastic anemia is a rare and serious disease. The bone marrow can’t make blood cells fast enough. This causes tiredness, infections, and bleeding because of a lack of red and white blood cells and platelets.
It can be caused by toxins, some medicines, and viruses. Treatment depends on how bad it is and why it happened. It can be anything from medicines to bone marrow transplants.
Other Bone Marrow Failure Syndromes
There are other bone marrow failure syndromes like Fanconi anemia and dyskeratosis congenita. These are rare genetic diseases that make it hard for the bone marrow to make blood cells.
These diseases can cause symptoms like bone marrow failure. They might also affect other parts of the body. Getting the right diagnosis is crucial for treating these conditions well.
Epidemiology of Bone Marrow Disorders
It’s key to understand the epidemiology of bone marrow disorders. These include myelodysplastic syndromes and aplastic anemia. They affect many people worldwide, especially older adults.
Prevalence and Incidence Rates
The numbers of people affected by bone marrow disorders vary. Myelodysplastic syndromes (MDS) are more common in older adults. The average age at diagnosis is 73 years, with 86% of cases in those over 60.
The incidence of MDS is about 4-5 cases per 100,000 people yearly. This number goes up with age.
Age is a big risk factor for bone marrow disorders. The rates of these conditions differ by age. This shows we need treatments tailored to each age group.
Age Distribution of Bone Marrow Failure
Bone marrow failure syndromes like aplastic anemia and MDS mostly affect older adults. The age at which these conditions are diagnosed is key to understanding them.
Progression to Acute Myeloid Leukemia
Some bone marrow disorders, like MDS, can turn into acute myeloid leukemia (AML). About one-third of MDS patients will get AML. Knowing how to manage this risk is crucial.
|
Condition |
Average Age at Diagnosis |
Incidence Rate |
Risk of Progression to AML |
|---|---|---|---|
|
Myelodysplastic Syndromes (MDS) |
73 years |
4-5 per 100,000/year |
About 1 in 3 |
|
Aplastic Anemia |
Varies |
2 per million/year |
Not directly associated |
Studying bone marrow disorders is vital. By knowing more about them, we can help those affected. This research helps us improve care and outcomes.
Risk Factors for Developing Bone Marrow Failure
It’s important to know the risk factors for bone marrow failure to catch it early. This condition can lead to serious problems like anemia, infections, and bleeding disorders. We’ll look at the main factors that increase the risk.
Age-related factors
As we get older, our bone marrow makes fewer blood cells. This is part of aging. But, other factors can make older people even more at risk. The chance of bone marrow failure goes up after 60.
Genetic predisposition and inherited syndromes
Genetics are a big part of bone marrow failure. Some inherited syndromes, like Fanconi anemia, raise the risk a lot. These conditions often start early and can really affect someone’s health.
Environmental and chemical exposures
Some environmental toxins and chemicals can harm the bone marrow. This can lead to failure. Key environmental risks include:
- Exposure to pesticides and heavy metals
- Chemotherapy and radiation therapy
- Certain industrial chemicals, such as benzene
These exposures can hurt the bone marrow’s ability to make blood cells. This increases the risk of bone marrow failure.
Knowing the risk factors for bone marrow failure is key for early detection and care. By understanding these factors, people can lower their risk. They should also see a doctor if they notice any symptoms.
Early Warning Signs of Bone Marrow Problems
It’s important to know the early signs of bone marrow problems. This can help get medical help quickly. Bone marrow failure can cause many health issues. Early detection of the signs can significantly enhance treatment outcomes.
Subtle Symptoms You Shouldn’t Ignore
People with bone marrow failure often have symptoms that are easy to miss. These include chronic fatigue, shortness of breath, and looking pale. They might also get frequent infections because their immune system is weak. And they might bruise easily or bleed a lot because of low platelet counts.
It’s key to watch out for these signs. If you’re always tired and can’t shake it off, or if you notice unusual bruising or bleeding, see a doctor right away.
When to Seek Medical Attention
If you notice any of these, it’s time to see a doctor:
- Unexplained and persistent fatigue
- Recurring infections
- Easy bruising or prolonged bleeding
- Shortness of breath or dizziness
Spotting bone marrow problems early can really help. We suggest being proactive about your health. If you have concerns about these symptoms, consult a healthcare professional.
By knowing the early signs and acting fast, you can work with your doctor. This way, you can tackle any bone marrow issues before they get worse.
Key Symptoms of Bone Marrow Failure
Bone marrow failure causes many health problems. These include chronic fatigue, frequent infections, and unexplained bruising. It’s important to spot these symptoms early to get the right treatment.
Chronic Fatigue and Weakness
Chronic fatigue and weakness are key symptoms. This happens because the bone marrow doesn’t make enough red blood cells. Red blood cells carry oxygen, so without enough, people feel tired and weak, even after resting.
Increased Susceptibility to Infections
Bone marrow failure also means fewer white blood cells. White blood cells help fight off infections. Without enough, people get sick more often.
Unexplained Bruising and Bleeding
Unexplained bruising and bleeding is another symptom. It’s caused by not having enough platelets. Platelets help blood clot, so without them, people bruise easily and bleed a lot longer.
Shortness of Breath and Other Physical Manifestations
People with bone marrow failure might also have shortness of breath, dizziness, and pale skin. These are signs of anemia, caused by not having enough red blood cells. Anemia makes it hard for the body to get oxygen.
Knowing these symptoms is key to diagnosing bone marrow failure. If you or someone you know is showing these signs, it’s crucial to see a doctor.
How Doctors Diagnose Bone Marrow Failure
Doctors use a detailed method to find bone marrow failure. This includes looking at medical history, blood tests, and bone marrow biopsy. We’ll explain how they do it.
Initial Assessment and Medical History
The first step is an initial check and a detailed medical history. We ask about symptoms, past health issues, and any medicines or exposures. This helps us find possible causes and plan further tests.
Blood Tests and What They Reveal
Blood tests are key in diagnosing bone marrow failure. We do a Complete Blood Count (CBC) to check blood cell levels. If these levels are off, it might mean the bone marrow isn’t working right.
|
Blood Test |
Normal Range |
Indications of Bone Marrow Failure |
|---|---|---|
|
Red Blood Cell Count |
4.32-5.72 million cells/μL |
Low count (anemia) |
|
White Blood Cell Count |
3,500-10,500 cells/μL |
Low count (leukopenia) |
|
Platelet Count |
150,000-450,000 cells/μL |
Low count (thrombocytopenia) |
Bone Marrow Biopsy Procedure
A bone marrow biopsy is a key test for diagnosing bone marrow failure. We take a sample from the hipbone. This lets us see how the bone marrow is working and if there are any problems.
Knowing how doctors diagnose bone marrow failure helps patients get ready for their diagnosis and treatment. By looking at medical history, blood tests, and bone marrow biopsy results, we can find the right treatment.
Understanding Your Blood Test Results
Your blood test results are key to knowing about your bone marrow health. We’re here to help you grasp what they mean. Blood tests are vital for spotting issues in blood cell counts. This can show if your bone marrow isn’t working right.
Complete Blood Count Abnormalities
A complete blood count (CBC) checks the levels of different blood cells. It looks at red blood cells, white blood cells, and platelets. If these counts are off, it might mean there’s a problem with your bone marrow.
- Low Red Blood Cell Count (Anemia): This can lead to fatigue, weakness, and shortness of breath.
- Low White Blood Cell Count (Leukopenia): This increases the risk of infections.
- Low Platelet Count (Thrombocytopenia): This can cause bruising and bleeding.
Other Laboratory Findings
Other tests might be done to check your bone marrow function. These include:
- Blood Smear: To examine the morphology of blood cells.
- Bone Marrow Aspiration or Biopsy: To directly examine the bone marrow cells.
What Your Test Results Mean
Understanding your blood test results is important. A low count in one or more blood cell types can mean your bone marrow isn’t working. Here’s a simple table to help you understand what your results might mean:
|
Blood Cell Type |
Normal Range |
Abnormal Result |
Possible Implication |
|---|---|---|---|
|
Red Blood Cells |
4.32-5.72 million cells/μL |
Low |
Anemia, bone marrow failure |
|
White Blood Cells |
3,500-10,500 cells/μL |
Low |
Increased infection risk |
|
Platelets |
150,000-450,000 cells/μL |
Low |
Bleeding, bruising |
Understanding your blood test results is a key step in managing your bone marrow health. If you’re worried about your results, talk to your healthcare provider.
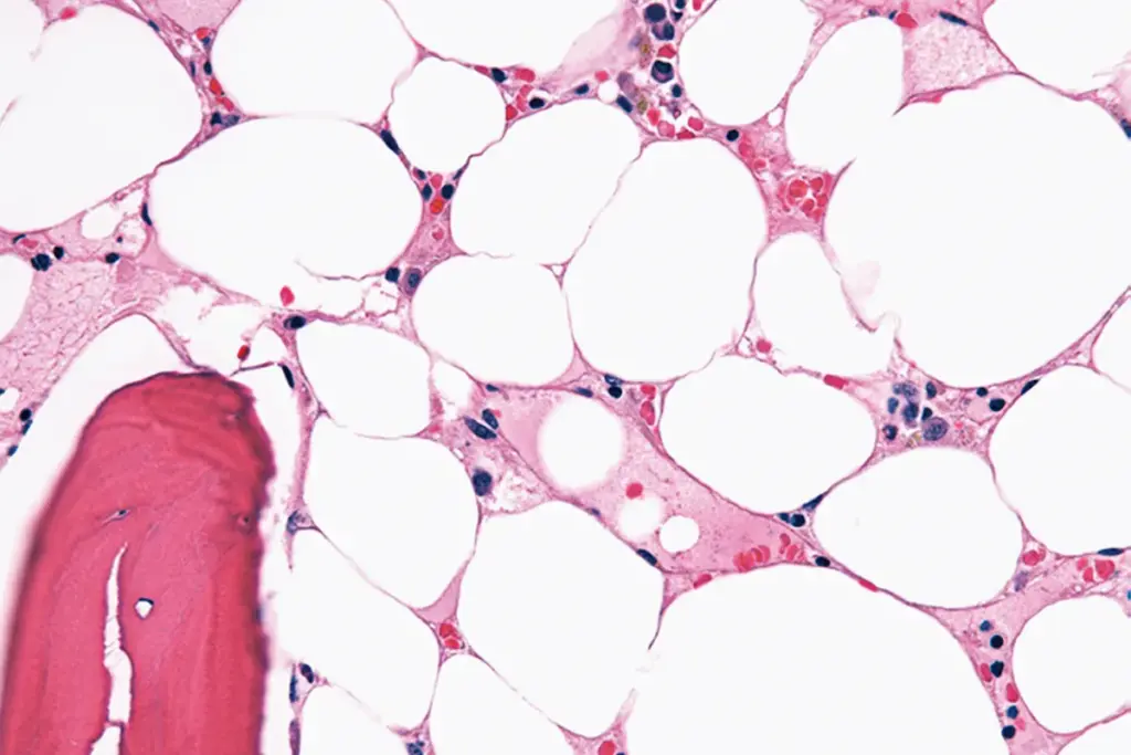
The Bone Marrow Biopsy Experience
The bone marrow biopsy is a key test for diagnosing bone marrow failure. It can be scary for many patients. We’ll help you understand the process, from getting ready to getting your results.
Preparation for the Procedure
Getting ready is important for a successful bone marrow biopsy. Before the procedure, your doctor will explain everything and answer your questions. You might need to sign a consent form and have some tests, like blood work, to check if you’re healthy enough.
It’s crucial to follow your healthcare team’s instructions. This includes:
- Avoiding certain medications that may thin your blood
- Arranging for someone to drive you home after the procedure
- Wearing comfortable, loose-fitting clothing
During the Biopsy
A healthcare professional will take a small sample of bone marrow from your hipbone or another large bone. The whole process usually takes 15-30 minutes. You’ll lie on your stomach or side, and the area will be cleaned and numbed to reduce pain.
The biopsy needle is inserted into the bone, and a sample of marrow is taken out. You might feel a brief, sharp pain or pressure. After the sample is taken, it’s sent to a lab for testing.
Recovery and Understanding Your Results
After the biopsy, you might feel sore or bruised at the site. This can be managed with over-the-counter pain relievers. Your doctor will tell you how to care for the site and what to expect during recovery.
It can take several days to a week or more to get the results. Your doctor will talk to you about what the results mean for your diagnosis and treatment. The biopsy can help find conditions like bone marrow failure, cancer, or other diseases affecting the bone marrow.
It’s important to understand your results. Your healthcare team will be there to answer any questions. Make sure to follow up with your doctor to discuss the next steps in your care.
Differentiating Bone Marrow Failure from Other Conditions
Getting a correct diagnosis is key to telling bone marrow failure apart from other diseases. We’ll look at how experts make this distinction and the methods they use.
Conditions with Similar Presentations
Bone marrow failure can be hard to spot because its signs are similar to other illnesses. For example, aplastic anemia, myelodysplastic syndromes, and some infections can show similar blood problems.
Doctors need to think about many possible causes when they see signs of bone marrow failure. They do this by taking a detailed medical history, doing a physical check-up, and running lab tests.
Diagnostic Approaches Used by Specialists
Experts use different tools to tell bone marrow failure apart from other diseases. These include:
- Blood Tests: Complete blood counts (CBC) and other tests can show blood cell count issues, hinting at bone marrow failure.
- Bone Marrow Biopsy: This test looks at bone marrow tissue to check its cell count and find any problems.
- Genetic Testing: Some genetic changes are linked to bone marrow failure syndromes. Finding these can help with diagnosis.
The table below shows the main things doctors look for to tell bone marrow failure from other conditions:
|
Diagnostic Feature |
Bone Marrow Failure |
Other Conditions |
|---|---|---|
|
Blood Cell Counts |
Pancytopenia or specific lineage cytopenias |
Varies depending on the condition; may show isolated cytopenias |
|
Bone Marrow Cellularity |
Typically hypocellular |
Can be normocellular or hypercellular in other conditions |
|
Genetic Mutations |
May be present in certain bone marrow failure syndromes |
May be present in other myeloid neoplasms or inherited syndromes |
By looking closely at these features, doctors can accurately diagnose bone marrow failure. They can also tell it apart from other conditions with similar signs.
Treatment Options for Bone Marrow Failure
It’s important for patients to know about bone marrow failure treatments. At Liv Hospital, we offer top-notch, personalized care plans. These plans are made just for each patient’s needs.
Supportive Care Approaches
Supportive care is key in managing bone marrow failure. It helps ease symptoms and improves life quality. This includes blood transfusions for anemia and antibiotics to fight infections.
We also help manage fatigue and other symptoms. This ensures patients get all the care they need.
Medication Therapies
Medicines are a big part of treating bone marrow failure. Immunosuppressive therapy helps calm the immune system’s attack. Other drugs help the bone marrow make more blood cells.
Our specialists help pick the best medicines for each patient.
Bone Marrow Transplantation
Bone marrow transplantation can cure some patients. It replaces damaged marrow with healthy stem cells from a donor. We use the latest techniques for the best results.
Emerging Treatments and Clinical Trials
New treatments and trials are always coming up in bone marrow failure care. We offer the latest trials to our patients. This gives them a chance to try new, promising therapies.
Our team keeps up with the latest in treatments. This way, we can give our patients the best care available.
At Liv Hospital, we focus on personalized care for bone marrow failure patients. Our team works together to support patients from start to finish.
Living with Bone Marrow Disorders
Bone marrow disorders can really change your daily life. It’s key to know how to manage them well. This means managing symptoms, finding support, and adjusting your lifestyle.
Managing Day-to-Day Symptoms
Dealing with symptoms every day is important for those with bone marrow disorders. Symptoms can be different for everyone but often include feeling very tired, getting sick easily, and bruising easily. Effective symptom management needs both medical help and lifestyle changes.
Here are some ways patients can help themselves:
- Eating a balanced diet to stay healthy
- Doing gentle exercises to fight fatigue
- Keeping clean to avoid infections
- Watching their health closely and telling their doctor about any changes
Support Resources and Communities
Finding support is crucial for those with bone marrow disorders. Support can be from doctors, support groups, or online communities.
Here are some helpful resources:
|
Resource |
Description |
Benefit |
|---|---|---|
|
Support Groups |
Groups where patients can share experiences and advice |
Emotional support and practical tips |
|
Online Communities |
Forums and social media groups dedicated to bone marrow disorders |
Access to a broader community and information sharing |
|
Patient Education |
Programs and materials designed to educate patients about their condition |
Empowerment through knowledge and better disease management |
Using these resources can help patients deal with the challenges of bone marrow disorders. It’s also key to stay updated on new research and treatments.
“The journey of living with bone marrow disorders can be complex, but with the right strategies and resources, patients can lead fulfilling lives.”
Conclusion
Understanding bone marrow failure is key to early detection and effective management. This article has covered its definition, symptoms, diagnosis, and treatment options. It’s important to grasp these points.
Bone marrow failure can take many forms, like myelodysplastic syndromes and aplastic anemia. Spotting early signs and getting medical help quickly is crucial. This can greatly improve treatment results.
Thenotes that early detection and treatment can greatly improve life quality for those with bone marrow failure. We stress the need for awareness and support. Comprehensive care is essential.
In summary, bone marrow failure is a complex issue needing a detailed approach to diagnosis and treatment. We aim to give people the knowledge to deal with this challenging condition.
FAQ
What is bone marrow failure?
Bone marrow failure happens when the bone marrow can’t make enough blood cells. This includes red blood cells, white blood cells, and platelets. It leads to health problems.
What are the symptoms of bone marrow failure?
Symptoms include feeling very tired, getting sick easily, and bleeding or bruising easily. You might also have shortness of breath. These happen because the bone marrow isn’t making enough blood cells.
How is bone marrow failure diagnosed?
Doctors first check your medical history and do blood tests. They look for any problems with blood cell counts. Then, they do a bone marrow biopsy to see how the bone marrow is doing.
What is a bone marrow biopsy?
A bone marrow biopsy takes a sample from the hipbone. It lets doctors check the bone marrow’s cells and how it works.
What are the treatment options for bone marrow failure?
Treatments include managing symptoms and medicines to help the bone marrow. Sometimes, a bone marrow transplant is needed. There are also new treatments in clinical trials.
Can bone marrow failure be cured?
It depends on the cause and type of bone marrow failure. Some, like aplastic anemia, might be cured with a transplant. Others need ongoing care.
What are the risk factors for developing bone marrow failure?
Risk factors include getting older, having a family history, being exposed to harmful chemicals or radiation, and past treatments like chemotherapy.
How can I manage day-to-day symptoms of bone marrow failure?
Managing symptoms means getting medical help, making lifestyle changes, and using support resources. This can improve your life quality.
Are there support resources available for individuals with bone marrow disorders?
Yes, there are many support groups and resources. They include patient organizations, counseling, and online forums. They offer emotional and practical help.
What is the role of specialists in diagnosing bone marrow failure?
Specialists, like hematologists, are key in diagnosing bone marrow failure. They interpret test results, do biopsies, and figure out the cause of symptoms.
What is the difference between primary and secondary bone marrow failure?
Primary bone marrow failure comes from a problem in the bone marrow itself. Secondary bone marrow failure is caused by something outside the bone marrow affecting it.
How does bone marrow produce blood cells?
Bone marrow makes blood cells from stem cells. These stem cells turn into red blood cells, white blood cells, and platelets. Then, these cells go into the bloodstream
References
New England Journal of Medicine. Evidence-Based Medical Insight. Retrieved from https://www.nejm.org/doi/full/10.1056/NEJMra1415313