
Seeing something odd with your child’s health can be scary. Knowing the early signs of a brain tumor is key for quick medical help brain cancer symptoms.
Recent studies found that symptoms of brain tumors in children can be hard to spot. As a parent, knowing these signs can help you find and address problems early.
We will look at the early signs of brain tumors in kids. We aim to give you the info you need to handle this tough situation. Our goal is to help you understand the signs of brain tumor and what to do next.
Key Takeaways
- Early detection of brain tumors in children is key for good treatment.
- Symptoms can be subtle and varied, making awareness important.
- Knowing the signs helps parents spot possible problems.
- Quick medical action can greatly improve outcomes.
- Being informed is the first step in supporting your child’s health.
Understanding Pediatric Brain Tumors

It’s important to know about brain tumors in kids to catch them early and treat them well. These tumors are complex and come in many types, each with its own set of challenges.
Types of Brain Tumors in Children
There are several kinds of brain tumors in kids, based on where they start and what they are like. Here are some of the most common ones:
- Medulloblastomas: These are the most common bad brain tumors in kids. They usually happen in the cerebellum.
- Glioma: Gliomas start from the brain’s glial tissue. They can be low-grade or high-grade.
- Ependymomas: These tumors grow from cells lining the ventricles and spinal cord’s central canal.
- Craniopharyngiomas: Even though they’re not cancerous, these tumors can harm a child’s health because of where they are.
Prevalence and Statistics
Brain tumors are a big deal in kids. About 4,000 kids in the U.S. get diagnosed with them every year.
| Type of Tumor | Approximate Percentage | Typical Age Group |
| Medulloblastoma | 15-20% | Children under 10 years |
| Glioma | 50-60% | Various age groups |
| Ependymoma | 5-10% | Children under 5 years |
| Craniopharyngioma | 5-10% | Children between 5-14 years |
Knowing these numbers and types of brain tumors in kids is key. It helps parents and doctors spot the signs early. This makes it easier to get the right treatment.
Brain Cancer Symptoms: What Parents Should Watch For

Brain cancer symptoms in kids can be hard to spot and vary a lot. It’s key for parents to keep an eye out. Knowing the early signs can really help your child’s treatment.
Early Warning Signs
Kids with brain tumors might have headaches, nausea, and vomiting that won’t go away. These signs can look like other common kid illnesses. So, it’s important to watch how often and how bad they are. Other signs to look out for include:
- Changes in vision or eye movements
- Difficulty with balance and coordination
- Weakness or numbness in the arms or legs
- Seizures or convulsions
- Changes in personality or behavior
How Symptoms Differ from Adults
Brain tumor symptoms in kids are different from those in grown-ups. While adults might get headaches and seizures, kids might show signs like developmental delays. Knowing these differences is key for catching problems early and treating them well.
Some kids might not show any symptoms until the tumor gets really big. Taking your child to the doctor regularly can help find problems early.
Key differences in symptoms between children and adults include:
- Children are more likely to experience developmental delays or regression
- Symptoms in children can be more subtle and varied
- Children may not be able to communicate their symptoms effectively
Age-Specific Warning Signs
Brain tumors in children show different signs at different ages. Knowing these signs is key for parents to spot symptoms early.
Infants (0-1 year)
Infants with brain tumors often have symptoms that are hard to spot. Look out for:
- An unusually large head size
- Vomiting
- Irritability
- Failure to thrive
- Seizures
These signs can look like other issues, so it’s important to watch closely.
Toddlers (1-3 years)
Toddlers show different signs because their brains are growing and the tumor’s location matters. Keep an eye on:
- Developmental delays
- Changes in appetite
- Personality changes
- Loss of coordination
- Headaches, though they may not be able to verbalize this
These signs can be hard to spot, so be very careful.
School-Age Children (4-12 years)
School-age kids can tell you how they feel. Watch for:
- Persistent headaches
- Nausea and vomiting
- Vision problems
- Difficulty with balance and coordination
- Changes in behavior or academic performance
These symptoms can really affect their daily life. Getting medical help right away is important.
| Age Group | Common Symptoms |
| Infants (0-1 year) | Large head size, vomiting, irritability, failure to thrive, seizures |
| Toddlers (1-3 years) | Developmental delays, appetite changes, personality changes, loss of coordination |
| School-Age Children (4-12 years) | Headaches, nausea, vision problems, balance issues, behavioral changes |
Headaches as a Warning Sign
Headaches are common in kids, but some types can signal a brain tumor. It’s key for parents to know the signs. Headaches in children can be a sign of something serious.
Characteristics of Tumor-Related Headaches
Headaches from brain tumors have unique traits. These include:
- Headaches that are persistent or get worse over time
- Headaches with vomiting, often in the morning
- Severe headaches that get worse with posture changes or during activities like coughing
These headaches might seem like other, less serious issues. But if your child shows these signs, see a doctor right away.
When to Be Concerned About Your Child’s Headaches
Watch how often and how bad your child’s headaches are. Also, notice any other symptoms. Be worried if you see:
| Symptom | Description |
| Frequency | Headaches that happen often or don’t go away |
| Severity | Headaches that are very bad or get worse |
| Associated Symptoms | Headaches with vomiting, vision changes, or other brain symptoms |
Knowing about tumor-related headaches and when to get help is important. It can help find brain tumors early in kids. If your child’s headaches worry you, talk to a doctor for a check-up.
Vision and Eye-Related Symptoms
Vision problems and odd eye movements can signal a brain tumor in kids. As a parent, knowing about vision or eye changes in your child is key.
Changes in Vision
Children with brain tumors might see things differently. They could have:
- Blurred vision
- Double vision
- Loss of peripheral vision
- Difficulty seeing colors
The tumor’s pressure on the brain’s visual paths can cause these issues. If your child has ongoing vision problems, see a doctor.
Abnormal Eye Movements and Appearance
Brain tumors can also affect how eyes move or look. Look out for:
- Unusual eye movements, like nystagmus
- Drooping eyelids (ptosis)
- Unequal pupil sizes
These symptoms happen when the tumor messes with nerves controlling eye movements. If you see these signs, get medical help fast.
Spotting vision and eye symptoms early is vital for treating brain tumors in kids. Being alert to these signs helps your child get the care they need.
Balance and Coordination Issues
When a brain tumor grows, it can affect a child’s balance and coordination. This can lead to noticeable changes in their physical abilities. These changes might start small but can grow as the tumor gets bigger.
Walking and Gross Motor Problems
Children with brain tumors may find it hard to walk, run, or do other gross motor activities. This is because the tumor can mess with the brain’s motor control areas. This can show up as:
- Unsteady gait or frequent falls
- Difficulty with climbing stairs or participating in sports
- Clumsiness or lack of coordination
These symptoms can worry parents a lot. They might mean there’s a serious problem. If your child is having trouble with gross motor skills, you should talk to a doctor.
Fine Motor Skill Changes
Children with brain tumors might also see changes in their fine motor skills. This can include:
- Difficulty with handwriting or drawing
- Trouble with using utensils or dressing
- Struggling with tasks that require precision
These changes can mean the brain tumor is affecting the areas for fine motor control. It’s important to watch for these changes and talk to your child’s doctor about them.
| Symptom | Description | Possible Indication |
| Unsteady Gait | Frequent stumbling or falling | Gross motor skill impairment |
| Clumsiness | Difficulty with coordination | Balance and motor control issues |
| Handwriting Changes | Deterioration in writing quality | Fine motor skill changes |
Spotting these symptoms early can help get your child the right medical help. If you’re worried about your child’s balance, coordination, or motor skills, get medical advice right away.
Nausea, Vomiting, and Eating Changes
When kids have nausea, vomiting, and changes in appetite or weight, it’s important to think about brain tumors. These signs can be scary, even more so if they don’t go away or come with other sickness symptoms.
Morning Sickness and Persistent Vomiting
Nausea and vomiting are common in kids with brain tumors. These symptoms can happen at any time but often get worse in the morning. If vomiting is bad and comes with headaches, it’s time to see a doctor.
Key characteristics of tumor-related vomiting include:
- Occurring in the morning
- Projectile in nature
- Not necessarily related to food intake
- Often accompanied by headache or other neurological symptoms
Changes in Appetite and Weight
Changes in appetite or weight can also hint at a brain tumor. Some kids might eat less and lose weight, while others might want to eat more. These changes can happen because the tumor affects the brain’s hunger and fullness signals or because of increased pressure inside the skull.
| Symptom | Possible Indication |
| Loss of Appetite | Potential tumor effect on hunger centers |
| Weight Loss | Increased metabolic rate or vomiting |
| Increased Appetite | Hormonal changes or effect on satiety centers |
Parents should watch these symptoms closely and talk to a doctor if they don’t go away or get worse. Finding and treating brain tumors early can make a big difference in how well a child does.
Behavioral and Personality Changes
A brain tumor can change a child’s behavior and personality in small but big ways. It’s important for parents to notice these changes. Kids with brain tumors might act differently, which can be hard for families to understand and deal with.
Mood Swings and Irritability
Children with brain tumors often have mood swings and get irritable easily. This can happen because the tumor affects the brain’s areas around it. Increased irritability might show as sudden anger or being quick to get upset, unlike their usual self.
Parents need to know the difference between normal kid behavior and signs of a serious problem like a brain tumor. Frequent and intense mood swings that are not usual for the child could mean something is wrong.
Regression in Development
Some kids with brain tumors might lose skills they once had. This can be really tough for parents to see their child go back to earlier stages or miss out on developmental steps.
- Loss of bladder control
- Reverting to baby talk
- Increased dependency on parents or caregivers
School Performance Issues
Changes in school performance can also be a big sign. Kids with brain tumors might find it hard to focus, remember things, or learn new stuff. This can make their school work suffer.
| Area of Change | Possible Symptoms |
| Academic Performance | Difficulty with homework, decreased grades, lack of interest in school activities |
| Behavioral Changes | Increased irritability, mood swings, sudden outbursts |
| Developmental Regression | Loss of previously acquired skills, such as toilet training or speech |
Knowing about these changes and why they happen can help parents and caregivers support their child better. If you’re worried about your child’s behavior or school work, talking to a doctor is a good idea.
Neurological Symptoms
It’s key to spot neurological symptoms early to catch brain tumors in kids quickly. These symptoms can really affect a child’s life and are often the first hints of a brain tumor.
Seizures and Convulsions
Seizures are a common sign of brain tumors in kids. They happen when the brain’s electrical activity gets out of whack. This can lead to changes in behavior or no symptoms at all. Convulsions, or muscle spasms, can also happen during seizures. If your child has a seizure, stay calm and keep them safe until it’s over.
Seizures can be scary for kids and parents.But knowing what to do during and after a seizure can really help keep your child safe and comfortable.
Weakness or Paralysis
Weakness or paralysis in parts of the body can mean a brain tumor. This happens when the tumor messes with brain areas that control movement. Weakness might feel like your arms or legs are heavy, while paralysis means you can’t move them at all.
- Watch your child’s muscle strength and how well they move.
- Tell your doctor if your child’s weakness gets worse or lasts a long time.
- Notice if your child can’t do things they used to easily.
Spotting symptoms like seizures, convulsions, weakness, or paralysis early can really help with treating brain tumors in kids. If you see any of these signs, get help from a doctor right away.
Physical Signs Parents Might Notice
As a parent, knowing the physical signs of a brain tumor in your child is key. Brain tumors can lead to noticeable changes, some small but important.
Head Size and Shape Changes
Changes in head size or shape can hint at brain tumors in kids. This is more common in babies and young children whose skulls are not fully closed.
Monitoring head circumference is a key part of pediatric care. It helps spot early signs of problems. A sudden increase in head size might mean there’s too much pressure inside the skull, possibly due to a tumor.
Unusual Lumps or Bulges
Look out for unusual lumps or bulges, mainly in the head or neck. Most are harmless, but some can signal serious issues, like brain tumors.
If you notice new or changing lumps, talk to your healthcare provider right away. It’s vital to check any unusual physical changes to find out what’s causing them and how to treat them.
Staying alert to these signs and talking regularly with your child’s doctor can lead to early detection and treatment. If you see anything that worries you, get medical advice without delay.
Real Stories: First Signs Parents Noticed
Parents whose kids got brain tumors share their stories. They talk about the early signs that were hard to spot. These stories help us learn about the first signs and why quick doctor visits are key.
Common Patterns in Parent Experiences
Many parents thought their kids’ first symptoms were just minor issues. They mentioned headaches, changes in appetite, and mood swings. These signs kept coming back, leading to a doctor’s visit.
Parents also noticed small changes in their child’s behavior or how they moved. These were seen as small problems until they got worse.
Subtle Signs That Were Initially Missed
Some kids had seizures or convulsions that were the first warning signs. Others had heads that grew too fast, which made parents rush to the doctor.
“We thought our child’s headaches were due to stress or eye strain, but it turned out to be a symptom of something much more serious.”
A parent’s account
These stories show how tricky it is to spot brain tumors in kids. Some signs are clear, but others are hidden. Learning from these stories helps us stay alert and seek medical help when needed.
When to Seek Medical Attention
Knowing the signs of a brain tumor in kids is key to getting them help fast. As a parent, watching your child’s health closely is very important. You need to know when to get medical help.
Red Flags That Shouldn’t Be Ignored
Some symptoms in kids mean you should see a doctor right away. These include:
- Persistent headaches, which get worse or come with vomiting.
- Changes in vision, like blurred or double vision, or losing sight on the sides.
- Balance and coordination issues, like trouble walking or feeling off-balance.
- Nausea and vomiting, which happens a lot or in the morning.
- Behavioral changes, like being more irritable, moody, or different in personality.
Preparing for a Doctor’s Visit
When you decide to take your child to the doctor, being ready helps. Here’s how:
- Gather information about your child’s symptoms, like when they started and what makes them better or worse.
- List any medications your child is taking, including how much.
- Prepare a list of questions for the doctor to make sure you cover everything.
- Bring any relevant medical records or test results to the visit.
Being ready can make your visit more effective. It helps you get the info you need to care for your child.
Diagnostic Process for Pediatric Brain Tumors
When a child might have a brain tumor, a detailed diagnostic process starts. This process is key to finding out the tumor type and the best treatment.
Initial Evaluation
The first step is an initial evaluation. This includes a detailed medical history and physical check-up. Doctors search for signs like headaches, vomiting, or changes in behavior or vision. This helps decide what to do next.
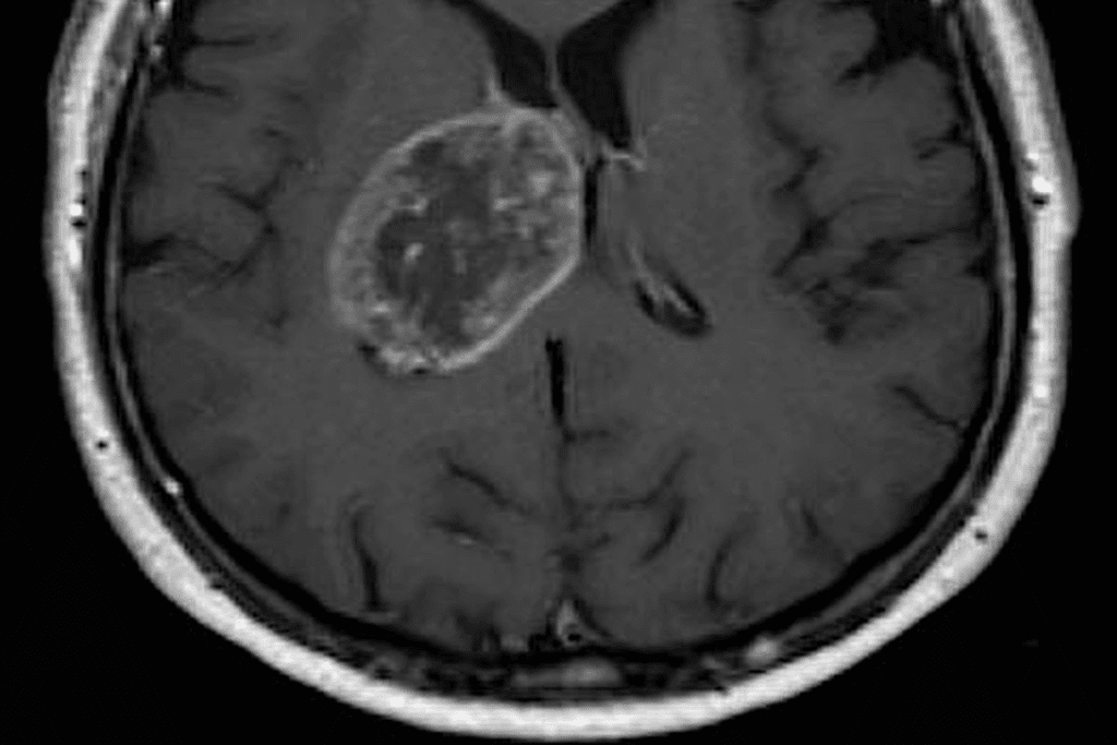
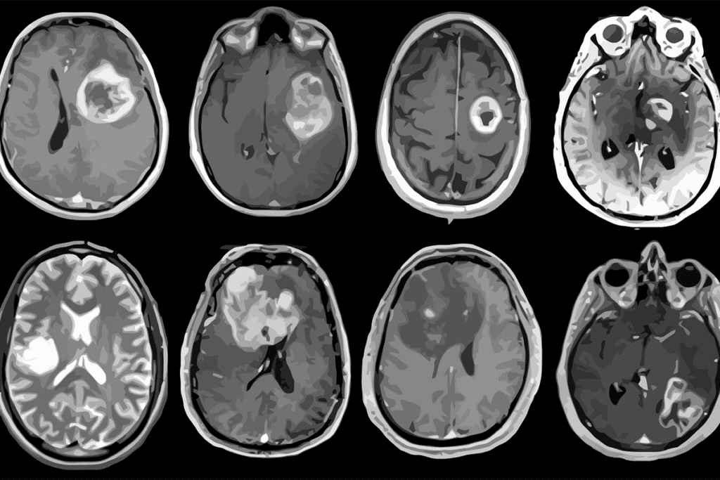
Imaging Tests
Imaging tests are very important for diagnosing brain tumors in kids. The main tests are:
- Magnetic Resonance Imaging (MRI)
- Computed Tomography (CT) scans
- Positron Emission Tomography (PET) scans
These tests help doctors see the tumor, its size, and where it is. They also check how it affects the brain around it.
Biopsy and Other Procedures
At times, a biopsy is needed to confirm the diagnosis. A biopsy takes a tumor sample for microscopic examination. Other tests, like a lumbar puncture (LP) or spinal tap, might also be done. These check for cancer cells in the cerebrospinal fluid.
| Diagnostic Step | Purpose |
| Initial Evaluation | Medical history and physical examination to identify signs and symptoms |
| Imaging Tests (MRI, CT, PET) | Visualize the tumor, its size, location, and impact on surrounding tissue |
| Biopsy | Examine tumor cells to confirm diagnosis and tumor type |
| Lumbar Puncture (LP) | Check for cancer cells in the cerebrospinal fluid |
The steps to diagnose pediatric brain tumors are complex. Knowing these steps helps parents understand and support their child during diagnosis and treatment.
Treatment Options and Prognosis
Knowing about treatment options and prognosis for kids with brain tumors is key for parents. When a child is diagnosed with a brain tumor, many questions come up. These include what treatment is best and what the future might hold.
Common Treatment Approaches
For kids with brain tumors, treatment often involves more than one method. This mix of therapies aims to get the best results. The main treatments are:
- Surgery: Surgery tries to remove as much of the tumor as it can, without harming the brain around it.
- Radiation Therapy: This uses high-energy beams to kill tumor cells.
- Chemotherapy: Chemotherapy uses drugs to kill cancer cells. It can be taken by mouth or through an IV.
The treatment plan depends on the tumor type, where it is, and the child’s health.
Factors Affecting Prognosis
The outlook for kids with brain tumors can vary a lot. Knowing what affects this outlook can help families understand their child’s situation better.
| Factor | Description | Impact on Prognosis |
| Tumor Type | The specific type of brain tumor, such as medulloblastoma or glioma. | Different tumor types have varying levels of aggressiveness and responsiveness to treatment. |
| Tumor Location | The location of the tumor within the brain. | Tumors in certain locations may be more difficult to treat surgically. |
| Child’s Age | The age of the child at diagnosis. | Younger children may have different treatment options and outcomes compared to older children. |
By knowing these factors and the treatments available, families can make informed choices. They can work closely with their healthcare team to get the best results for their child.
Supporting Your Family Through the Journey
A pediatric brain tumor diagnosis is a tough journey for the whole family. It affects not just the child but also parents, siblings, and extended family. It’s key to support the family as a whole to get through this journey.
Resources for Parents and Siblings
Families with a pediatric brain tumor diagnosis need a lot of support. Parents can find help through counseling, support groups, and educational materials. Counseling offers emotional support, helping parents deal with the stress and uncertainty.
Siblings might need counseling or support groups for kids with serious illnesses. These help them understand and adjust to the changes in their family.
“The emotional toll on families cannot be overstated. Support services for both parents and siblings are vital in helping them cope with the complex emotions and challenges that come with a pediatric brain tumor diagnosis.”
Building a Support Network
Creating a strong support network is key for families facing a pediatric brain tumor diagnosis. This network includes healthcare professionals, family, friends, and support groups. Using these resources can greatly help a family cope with the diagnosis.
It’s also important for families to talk openly with their support network about their needs. This way, they can get the help they need.
- Connecting with other families who have gone through similar situations can offer valuable insights and emotional support.
- Healthcare providers can guide families on managing the child’s condition and point them to helpful resources.
- Support groups, whether in-person or online, provide a community that understands the family’s challenges.
By focusing on the whole family’s well-being and building a strong support network, families can better handle the challenges of a pediatric brain tumor diagnosis.
Conclusion
Raising awareness about childhood brain tumors is key for early detection and treatment. We’ve looked at the signs, diagnosis, and treatment options for pediatric brain tumors. Knowing these details helps parents and caregivers spot problems early.
Brain tumor awareness goes beyond just recognizing symptoms. It’s also about supporting families through tough times. There are organizations and resources ready to help, ensuring families get the care and guidance they need.
Together, we can make a big difference in the lives of children with brain tumors and their families. It’s important to keep spreading awareness and supporting those on this challenging journey.
FAQ
What are the early signs of a brain tumor in children?
Early signs in kids include headaches and nausea. They might also vomit, see vision changes, or have trouble balancing. Behavioral changes and seizures are other signs.
How do brain tumor symptoms differ in children compared to adults?
Kids with brain tumors might act differently or have their head grow. Adults often feel weakness or numbness in certain areas.
What are the age-specific warning signs of brain tumors in children?
Babies might have an enlarged head, vomit, or be irritable. Toddlers could show developmental delays. School-age kids might have headaches, vision changes, or balance issues.
Can brain tumors cause headaches in children, and what characteristics should parents be concerned about?
Yes, brain tumors can cause headaches in kids. Look out for persistent, severe headaches, or those with vomiting, even in the morning.
What vision and eye-related symptoms can be indicative of a brain tumor?
Vision changes, double vision, or odd eye movements can signal a brain tumor. So can changes in how the eyes look.
How do balance and coordination issues relate to brain tumors in children?
Tumors can mess with balance and coordination. This might make walking hard or affect fine motor skills, as the brain’s affected areas.
Can nausea and vomiting be symptoms of a brain tumor, and when should parents be concerned?
Yes, nausea and vomiting, even in the morning, can be signs. Be worried if they come with headaches or vision changes.
What behavioral and personality changes might indicate a brain tumor in a child?
Mood swings, irritability, or developmental regression can hint at a brain tumor. So can trouble in school.
What neurological symptoms should parents watch for that could indicate a brain tumor?
Look out for seizures, convulsions, weakness, or paralysis. These suggest abnormal brain activity or damage.
Are there any physical signs that parents might notice that could indicate a brain tumor?
Yes, changes in head size or shape are signs. So are unusual lumps or bulges, seen in infants and young children.
What is the diagnostic process for pediatric brain tumors?
It starts with an initial check-up and imaging tests like MRI or CT scans. A biopsy might follow to confirm the diagnosis.
What are the common treatment approaches for pediatric brain tumors?
Treatments include surgery, chemotherapy, or radiation. The choice depends on the tumor, its location, and the child’s health.
How can families support a child diagnosed with a brain tumor?
Offer emotional support and help them through treatment. Also, find resources for the child and their siblings to cope with the diagnosis.
References
- National Center for Biotechnology Information. (2025). Neonatal brain tumors. In GeneReviews. https://www.ncbi.nlm.nih.gov/books/NBK535415/
- Kelesidis, I., et al. (2019). Risk factors for childhood and adult primary brain tumors. Frontiers in Oncology, 9, 672. https://www.ncbi.nlm.nih.gov/pmc/articles/PMC6827837/