
A diagnosis of a brain tumor can be very scary. But knowing the symptoms and treatment options is key to dealing with it.
We at our institution are all about top-notch healthcare. We also offer full support to patients from abroad. The chance of curing a tumor depends on many things. This includes the type and how far it has spread.
Survival rates for brain cancer change a lot based on these factors. It’s very important to get the best medical care. Our team works hard to offer caring and modern treatments for brain malignancy symptoms.
Key Takeaways
- Recognizing brain tumor symptoms is crucial for early diagnosis.
- Brain tumor treatment options vary based on the type and stage of the tumor.
- Advanced medical care can significantly improve survival rates.
- Comprehensive support for international patients is essential for effective treatment.
- Curability depends on various factors, including the type and stage of the malignancy.
Understanding Brain Tumors: An Overview

Brain tumors are serious health issues that need quick medical help. They are abnormal cell growths in the brain. These growths can mess with how the brain works.
Definition and Basic Concepts
A brain tumor is when cells in the brain grow out of control. These tumors can be primary, starting in the brain, or secondary, coming from cancer elsewhere. Knowing if a tumor is benign or malignant is key for treatment.
Benign tumors are not cancerous and grow slowly. They can still cause problems by pressing on brain tissue. Malignant tumors, however, are cancerous and can spread, making treatment harder.
Prevalence and Statistics in the United States
|
Type of Brain Tumor |
Estimated Annual Incidence |
Proportion of All Brain Tumors |
|---|---|---|
|
Glioblastoma |
12,000 – 13,000 |
About 15% |
|
Meningioma |
8,000 – 9,000 |
Approximately 30% |
|
Pituitary Tumors |
4,000 – 5,000 |
Around 15% |
These numbers show why knowing about brain tumors is so important. Understanding them helps patients and families deal with diagnosis and treatment.
Types of Brain Tumors
It’s important to know about the different types of brain tumors. This knowledge helps both patients and doctors make better decisions. The type of tumor affects treatment and how well a patient will do.
Primary vs. Secondary Brain Tumors
Brain tumors can start in the brain (primary) or spread from another part (secondary). Primary tumors come from brain cells. They are divided into types based on where they start.
Primary brain tumors include gliomas, meningiomas, and acoustic neuromas. Secondary brain tumors come from cancers in other parts of the body, like the lung or breast.
Benign vs. Malignant Brain Tumors
Brain tumors are also classified as benign or malignant. Benign tumors grow slowly and are not cancerous. Malignant tumors grow fast and are cancerous.
Benign tumors, like some meningiomas, might not need aggressive treatment. They can sometimes be watched. Malignant tumors, like glioblastoma, need quick and strong treatment.
Common Types of Brain Cancer
Common brain cancers include glioblastoma, meningioma, and medulloblastoma. Each has its own features and treatment plans.
|
Type of Tumor |
Origin |
Malignancy |
Common Treatment Approaches |
|---|---|---|---|
|
Glioblastoma |
Glial cells |
Malignant |
Surgery, Radiation, Chemotherapy |
|
Meningioma |
Meninges |
Usually Benign |
Monitoring, Surgery, Radiation |
|
Medulloblastoma |
Cerebellum |
Malignant |
Surgery, Chemotherapy, Radiation |
Brain Tumor Symptoms: What to Watch For

Brain tumors can show different symptoms, based on where they are and how big they are. It’s important to know these symptoms to get medical help quickly.
General Symptoms
Brain tumors can cause many general symptoms. These happen because of increased pressure inside the skull or because the tumor affects the brain around it.
- Headaches: Often worse in the morning and may be accompanied by nausea or vomiting.
- Seizures: Can be a first sign of a brain tumor, especially in people without a history of seizure disorders.
- Cognitive Changes: Difficulty with concentration, memory, or confusion.
- Personality Changes: Mood swings, irritability, or changes in behavior.
Location-Specific Symptoms
The location of the tumor can greatly affect the symptoms a person feels.
- Frontal Lobe Tumors: May cause weakness on one side of the body, changes in personality, or difficulties with speech and language.
- Temporal Lobe Tumors: Can lead to seizures, memory problems, or difficulties with language.
- Parietal Lobe Tumors: May result in sensory disturbances or difficulties with spatial awareness.
- Occipital Lobe Tumors: Can cause visual disturbances, including loss of vision.
When to Seek Medical Attention
It’s crucial to get medical help if you or someone you know is experiencing:
- Persistent or severe headaches.
- Seizures or convulsions.
- Unexplained changes in cognitive or motor functions.
- Changes in vision, hearing, or speech.
Getting a diagnosis and treatment early can greatly improve the outcome for people with brain tumors.
Early Signs of Brain Tumors
Spotting brain tumor symptoms early can greatly improve treatment chances. Brain tumors can lead to various symptoms, some of which are subtle and easy to overlook. We’ll explore the early warning signs and how to tell them apart from common issues.
Subtle Warning Signs Often Missed
Some early signs of brain tumors are not obvious at first. These can include:
- Mild headaches that persist or worsen over time
- Changes in mood or personality
- Difficulty with balance or coordination
- Seizures, especially in individuals without a history of seizure disorders
These symptoms can be vague and often blamed on other things. It’s key to watch out for them and see a doctor if they don’t go away.
Differentiating from Common Conditions
Telling brain tumor symptoms from common ones can be tricky. For example, headaches from brain tumors might look like tension headaches or migraines. Yet, brain tumor headaches:
- Persist or worsen over time
- Are accompanied by other neurological symptoms
- May be more severe in the morning
It’s vital to keep an eye on symptom changes and talk to a doctor if worried.
We stress the need for early detection and correct diagnosis. If you notice any unusual or ongoing symptoms, get medical help right away.
Brain Tumor Headache Symptoms
Headaches from brain tumors can give important clues about the problem. We’ll look at what makes these headaches different. This helps patients and caregivers spot warning signs.
Characteristics of Brain Tumor Headaches
Headaches from brain tumors are usually worse in the morning. They get better as the day goes on. They can also make you feel sick and want to vomit. These headaches keep coming back and get worse, unlike regular headaches that often go away with rest or medicine.
“Headaches are a common symptom of brain tumors, but not all headaches are related to brain tumors,” saysa leading neurosurgeon. “”
How They Differ from Regular Headaches
Brain tumor headaches have some key differences from other headaches:
- Severity and persistence: Brain tumor headaches are often more severe and persistent.
- Association with other symptoms: They are frequently accompanied by nausea, vomiting, and sometimes seizures.
- Response to medication: Unlike regular headaches, brain tumor headaches may not respond well to typical headache medications.
Knowing these differences is key to getting the right medical check-up. If you or someone you know has headaches that seem different, it’s important to see a doctor for a full check-up.
What Causes Brain Tumors?
The exact causes of brain tumors are still a mystery. But, research has found several risk factors. Knowing these helps patients and doctors make better choices about prevention and treatment.
Genetic Factors
Genetic mutations are key in brain tumor development. Certain genetic syndromes, like Li-Fraumeni syndrome and neurofibromatosis, raise the risk. Learning about these genetics helps spot who’s at higher risk.
Environmental Risk Factors
Some environmental factors increase brain tumor risk. Ionizing radiation is a known risk. This includes radiation therapy, especially in kids, and some industrial exposures. We’re also looking into other environmental factors, like electromagnetic fields, and their role in brain tumors.
Myths vs. Facts About Brain Tumor Causes
There are many myths about brain tumor causes. For example, cell phone use is not proven to cause brain tumors. It’s important to trust reliable sources to know the real risks.
The table below lists known and debated risk factors for brain tumors:
|
Risk Factor |
Status |
Evidence |
|---|---|---|
|
Genetic Syndromes |
Confirmed |
Strong evidence linking genetic syndromes to brain tumor risk |
|
Ionizing Radiation |
Confirmed |
Exposure to ionizing radiation increases brain tumor risk |
|
Cell Phone Use |
Debated |
Inconclusive evidence; ongoing research |
|
Electromagnetic Fields |
Debated |
Limited evidence; further studies needed |
Understanding brain tumor causes and risk factors helps in prevention, early detection, and treatment. We keep learning to improve patient care.
Diagnosis of Brain Tumors
Getting a brain tumor diagnosed right is key to treating it well. We’ll walk you through how doctors figure out what’s going on. This process is detailed and helps us understand the tumor fully.
Initial Assessment and Physical Examination
The first step is an initial check-up. A doctor will ask about your health history and do a physical exam. This helps spot any brain problems and get a full picture of your health.
The doctor will look for signs of brain pressure and check your brain functions. They’ll check your vision, speech, and how well you move. What they find will lead to more tests.
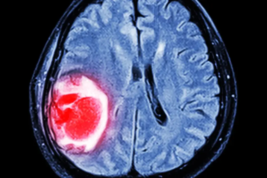
Imaging Tests (MRI, CT, PET)
Imaging tests are vital for finding brain tumors. We use different tests to get different views of the tumor.
- MRI (Magnetic Resonance Imaging): MRI shows soft tissue details well. It helps find where the tumor is, how big it is, and how it’s related to other parts of the brain.
- CT (Computed Tomography): CT scans are fast and good for emergencies. They show if there’s a tumor, how big it is, and if there’s bleeding or calcium.
- PET (Positron Emission Tomography): PET scans check how active the tumor is. This helps tell what kind of tumor it is and how serious it is.
Biopsy and Pathological Examination
A biopsy takes a piece of the tumor for a detailed look. This is the most important step. It tells us what kind of tumor it is and how serious it is.
We use special techniques to get the tumor sample. A pathologist then looks at it to see what it is and how it might act. This helps us plan the best treatment for you.
Knowing all about the tumor helps us make a treatment plan just for you. We can then predict how well you’ll do and what treatment will work best.
Treatment Options for Brain Tumors
Understanding the treatment options for brain tumors is key for patients and their families. Treatment plans vary based on the tumor’s type, grade, and location. They also depend on the patient’s overall health.
Surgical Interventions
Surgery is often the first step for many brain tumors. It aims to remove as much of the tumor as possible or relieve symptoms. Advances in neurosurgical navigation and awake craniotomy have improved outcomes.
When deciding on surgery, we consider the tumor’s location and its proximity to critical brain structures. Sometimes, surgery isn’t possible due to the tumor’s location or the patient’s health.
Radiation Therapy
Radiation therapy is another key treatment for brain tumors. It uses high-energy particles or waves to destroy cancer cells. There are different types, including external beam radiation therapy and stereotactic radiosurgery.
Radiation therapy can be used alone or with other treatments like surgery and chemotherapy. The choice depends on the tumor type, grade, and the patient’s health.
Chemotherapy and Drug Treatments
Chemotherapy uses drugs to kill cancer cells or stop them from dividing. For brain tumors, it can be given orally or intravenously. Some drugs can cross the blood-brain barrier, making them effective.
Targeted therapy uses drugs to target specific molecules involved in cancer growth. This approach can be very effective for certain brain tumors.
Emerging Treatments and Clinical Trials
The field of neuro-oncology is rapidly evolving. New treatments and clinical trials offer hope for patients. These include immunotherapy and gene therapy.
Participating in clinical trials can give patients access to new treatments. We encourage patients to discuss the benefits and risks with their healthcare provider.
|
Treatment Option |
Description |
Indications |
|---|---|---|
|
Surgery |
Removal or reduction of the tumor |
Many types of brain tumors |
|
Radiation Therapy |
Use of high-energy particles or waves to destroy cancer cells |
Tumors that are inoperable or after surgery |
|
Chemotherapy |
Use of drugs to kill cancer cells |
Various types of brain tumors, often in combination with other treatments |
|
Targeted Therapy |
Drugs that target specific molecules involved in cancer cell growth |
Specific types of brain tumors with identified molecular targets |
Factors Affecting Brain Tumor Curability
The chance of curing a brain tumor depends on several key factors. We will dive into these details. Knowing these factors is vital for both patients and doctors to make the best treatment choices.
Tumor Type and Grade
The type and grade of a brain tumor greatly affect its curability. Primary brain tumors start in the brain. Secondary brain tumors come from cancer spreading from other parts. The tumor’s grade, how much it looks like normal cells, is also important.
Here’s how tumor type and grade impact curability:
|
Tumor Type |
Tumor Grade |
Curability |
|---|---|---|
|
Benign |
Low (I-II) |
Highly curable with surgery |
|
Malignant |
High (III-IV) |
Less curable, requires aggressive treatment |
Location and Accessibility
The brain tumor’s location is another key factor. Tumors that surgeons can easily reach have better chances. But, tumors in hard-to-get areas are much harder to treat.
Patient-Specific Factors
Factors like age and health status also matter a lot. Younger patients with fewer health problems usually do better.
Here are some important patient-specific factors:
- Age: Younger patients tend to have better outcomes.
- Health Status: Patients with fewer health issues can handle treatments better.
- Overall Well-being: Patients who are doing well at diagnosis tend to do better.
Knowing these factors helps doctors create treatment plans that fit each patient’s needs. This can lead to better results.
Glioblastoma: The Most Aggressive Brain Cancer
Glioblastoma is a very aggressive brain cancer. It grows fast and doesn’t respond well to common treatments. We aim to give detailed info to patients and their families about this tough condition.
Understanding Glioblastoma
Glioblastoma is very aggressive, leading to a poor outlook for patients. It starts in the brain’s astrocytes. Symptoms can get worse fast, so quick diagnosis and treatment are key.
Key characteristics of glioblastoma include:
- Rapid growth and invasion into surrounding brain tissue
- High recurrence rate despite aggressive treatment
- Resistance to conventional chemotherapy and radiation therapy
- Poor overall survival rate compared to other types of brain tumors
Glioblastoma Survival Rate and Prognosis
The survival rate for glioblastoma patients is a significant concern. The glioblastoma survival rate depends on several things. These include the patient’s age, health, and how well the tumor responds to treatment.
Recent stats show glioblastoma patients usually live 12 to 18 months after being diagnosed. The 5-year survival rate is less than 10%. Knowing these numbers helps patients and doctors make better treatment choices.
Factors influencing glioblastoma survival rate include:
- Tumor genetics and molecular characteristics
- Extent of surgical resection
- Response to adjuvant therapies such as radiation and chemotherapy
- Patient’s overall health and age
We’re dedicated to keeping patients with glioblastoma updated. We want to make sure they get the best care and support during their treatment.
Brain Cancer Survival Rates by Type
Brain cancer survival rates change a lot based on the tumor type and grade. Knowing these rates is key for patients and their families. It helps them deal with the brain cancer diagnosis and treatment.
Survival Statistics for Common Brain Tumors
Each brain tumor type has its own survival rate. For example, glioblastoma is very aggressive and has a low survival rate. On the other hand, meningioma is often not cancerous and has a better survival rate.
The 5-year survival rate for all brain cancers is about 36%. But, this number can change a lot based on the tumor type.
- Glioblastoma: 5-10% 5-year survival rate
- Meningioma: 80-90% 5-year survival rate for benign types
- Medulloblastoma: 60-80% 5-year survival rate in children
Factors That Improve Survival Odds
Several things can help brain cancer patients live longer. Finding and treating the cancer early is very important. Also, new surgical techniques, radiation therapy, and chemotherapy have made survival rates better.
Other things that can help include:
- The patient’s overall health and age
- The location and accessibility of the tumor
- The grade of the tumor
- Participating in clinical trials for new treatments
By knowing these factors and survival rates for different brain cancers, patients can make better choices about their treatment.
Can Brain Tumors Be Completely Cured?
The question of whether brain tumors can be completely cured is complex. It depends on several factors. These include the type, grade, and location of the tumor, as well as the patient’s overall health.
Defining “Cure” in the Context of Brain Tumors
Defining a “cure” for brain tumors is challenging. This is because these tumors are diverse. A cure means the tumor is gone and won’t come back. But, the reality is more complex, and the chance of recurrence varies a lot.
a renowned neurosurgeon, says, “The concept of a cure is straightforward, but achieving it is often complicated by the tumor’s characteristics and the patient’s condition.”
“The goal of treatment is not just to remove the tumor but to ensure the patient can lead a normal life post-treatment.”
Success Stories and Long-term Survivors
There are many success stories of patients cured of brain tumors. For example, some with benign tumors like meningiomas have been cured through surgery. Advances in treatment have also improved outcomes for those with malignant tumors.
|
Tumor Type |
Typical Treatment |
5-Year Survival Rate |
|---|---|---|
|
Meningioma (Benign) |
Surgery |
90-100% |
|
Glioblastoma (Malignant) |
Surgery, Radiation, Chemotherapy |
5-10% |
|
Pilocytic Astrocytoma (Benign) |
Surgery |
80-100% |
The Reality of Recurrence Risk
Even with successful initial treatments, the risk of recurrence is a big concern. The chance of recurrence depends on the tumor’s type and grade. Malignant tumors like glioblastoma have a higher recurrence rate than benign tumors.
Monitoring and follow-up are key to catching any recurrence early. Regular imaging tests and check-ups with healthcare providers can help manage the risk and improve outcomes.
Understanding the possibility of a cure and the associated risks is vital for patients and their families. While some brain tumors can be cured, others may need ongoing management. Advances in medical research continue to improve the outlook for many patients.
Living with a Brain Tumor Diagnosis
Living with a brain tumor diagnosis is complex. It involves medical care, personal coping, and support systems. It’s not just about the physical aspects but also the emotional and psychological impacts.
Coping Strategies for Patients
Coping with a brain tumor diagnosis requires various strategies. Emotional support is key. This can come from counseling, support groups, or loved ones. Finding what works best for each patient is important.
Effective coping strategies include:
- Mindfulness and meditation to reduce stress
- Engaging in hobbies or activities that bring joy and distraction
- Building a support network of family, friends, and healthcare professionals
- Staying informed about their condition and treatment options
As one patient shared,
“The diagnosis was overwhelming, but finding a support group made a huge difference. It helped me feel less alone and more empowered to manage my condition.”
Support Resources and Communities
Access to support resources and communities is crucial. These offer emotional support, practical advice, and a sense of community. Organizations dedicated to brain tumor support provide counseling, educational materials, and advocacy.
|
Resource |
Description |
Benefits |
|---|---|---|
|
Support Groups |
Face-to-face or online meetings for patients and families |
Emotional support, shared experiences, practical advice |
|
Counseling Services |
Professional counseling for emotional and psychological support |
Stress management, coping strategies, emotional well-being |
|
Educational Materials |
Information about brain tumors, treatments, and managing side effects |
Informed decision-making, understanding of condition and treatment |
We understand the value of these resources. They help patients cope with their diagnosis. By offering comprehensive support, we can improve their well-being.
By using these strategies and resources, patients can face the challenges of living with a brain tumor diagnosis. It’s about building a supportive environment that fosters resilience and hope.
Brain Tumor Prevention and Risk Reduction
Research shows that some lifestyle choices might help lower brain tumor risk. Knowing these choices and the value of regular check-ups can help. This is especially true for those at higher risk.
Lifestyle Factors
Living a healthy lifestyle is key to possibly lowering brain tumor risk. This means eating well, staying active, and avoiding harmful stuff.
- Maintaining a Balanced Diet: Eating lots of fruits, veggies, and whole grains is good for health. It might also lower cancer risk.
- Regular Physical Activity: Exercise is great for health and might protect against some cancers.
- Avoiding Tobacco and Limiting Alcohol: Staying away from tobacco and drinking less alcohol can help avoid cancer risks.
Regular Screening for High-Risk Individuals
People with a family history of brain tumors or exposed to certain risks should get regular check-ups. This might include genetic tests and imaging scans for early detection.
- Genetic Counseling: Knowing your genetic risk can help plan the right check-ups.
- Imaging Tests: Getting regular MRI or CT scans can catch problems early.
Learning about lifestyle choices and the need for screenings can help lower brain tumor risk. This is especially important for those at higher risk.
Recent Advances in Brain Tumor Treatment
The field of brain tumor treatment is changing fast. New therapies are being developed. These changes aim to make treatments more personalized and effective.
Breakthrough Therapies
Several new therapies are being tested to fight brain tumors. These include:
- Immunotherapy: This uses the body’s immune system to attack cancer cells.
- Targeted Therapy: Drugs that target specific genetic mutations in tumors.
- Gene Therapy: This involves changing genes to prevent or treat tumors.
- Tumor Treating Fields (TTF): A non-invasive method that uses electric fields to stop tumor growth.
These therapies are being tested in clinical trials. They show great promise in helping patients.
The Future of Brain Tumor Treatment
The future of treating brain tumors is bright. Researchers are working hard to make treatments better. They are exploring new areas, including:
|
Therapy |
Description |
Potential Benefits |
|---|---|---|
|
Personalized Medicine |
Treatment plans tailored to each patient. |
More effective, fewer side effects. |
|
Combination Therapies |
Using multiple treatments together. |
Better results, overcoming treatment resistance. |
|
Nanotechnology |
Nanoparticles for targeted drug delivery. |
More drug at the tumor site, less harm to the body. |
As research keeps moving forward, we’ll see even better treatments for brain tumors. These will likely be less invasive too.
Conclusion: The Path Forward for Brain Tumor Patients
Getting a brain tumor diagnosis is tough for patients and their families. But, there’s hope. New medical tech and treatments have made things better for many.
We’ve looked at brain tumors from different angles. This includes symptoms, how they’re found, and treatment choices. Now, brain cancer patients have many options, from surgery to new therapies and trials. The future of treating brain tumors is bright, thanks to ongoing research.
It’s key for brain tumor patients to know about treatment options and support. We hope this info helps those dealing with brain tumors. As we go on, finding new treatments is crucial to help brain cancer patients.
FAQ
What are the common symptoms of a brain tumor?
Symptoms include headaches, seizures, and nausea. You might also feel vomiting, changes in how you think, or how you move. The symptoms depend on where and how big the tumor is.
How are brain tumors diagnosed?
Doctors use MRI, CT, or PET scans to find tumors. Then, they take a sample for a biopsy. This helps figure out what kind of tumor it is and how serious it is.
What are the treatment options for brain tumors?
Treatment depends on the tumor’s type, size, and where it is. It might include surgery, radiation, or chemotherapy. New treatments and trials are also being tested.
Can brain tumors be completely cured?
It depends on the tumor’s type, size, and location. Some can be cured, while others need ongoing care. Knowing the details of your diagnosis is key.
What is glioblastoma, and what is its survival rate?
Glioblastoma is a very aggressive brain cancer. Survival rates vary based on age, health, and how well you respond to treatment. While it’s tough, outcomes can vary.
How do brain tumor headaches differ from regular headaches?
Brain tumor headaches get worse over time and may come with nausea or other symptoms. They’re different from regular headaches because of their severity and other symptoms.
What are the risk factors for developing a brain tumor?
Genetic and environmental factors, like radiation exposure, can increase risk. Knowing these can help in early detection and prevention.
What are the coping strategies for living with a brain tumor diagnosis?
Seek support from loved ones and groups. Stress-reducing activities and a healthy lifestyle are also helpful. Getting comprehensive care is crucial.
Are there any lifestyle changes that can help reduce the risk of brain tumors?
While causes are often unknown, a healthy diet and avoiding radiation can help. These lifestyle choices might lower your risk.
What are the recent advances in brain tumor treatment?
New treatments include targeted and immunotherapies. Surgical and radiation techniques have also improved. Ongoing research and trials offer more options.
National Center for Biotechnology Information. Evidence-Based Medical Insight. Retrieved from https://pubmed.ncbi.nlm.nih.gov/32637981/