
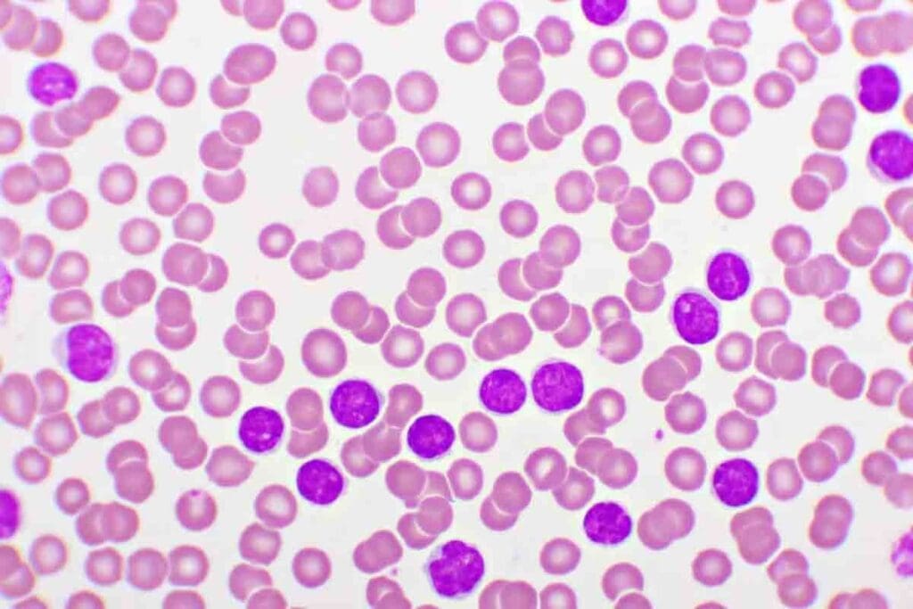
Cancer Acute Lymphoblastic Leukemia (ALL) is a fast-growing blood cancer that starts in the bone marrow. It’s caused by an overproduction of immature lymphocytes, called lymphoblasts, in the bone marrow and blood. Clinical experts note that cancer acute lymphoblastic leukemia most often affects children between 2 and 5 years old, though adults can develop it too.
At Liv Hospital, we specialize in identifying and treating cancer acute lymphoblastic leukemia (ALL) with advanced diagnostic tools and personalized care. Understanding how ALL differs from other leukemia types is essential for choosing the right treatment plan.
We focus on patient-centered care, supported by global expertise. Our team ensures every patient receives accurate diagnosis, effective treatment, and compassionate support through every step of their leukemia journey.
Key Takeaways
- ALL is a fast-growing blood cancer that starts in the bone marrow.
- It mainly affects children but can also happen in adults.
- Knowing about ALL and its differences from other leukemias is key for good treatment.
- Liv Hospital offers care focused on the patient for ALL.
- ALL needs quick treatment because it’s very aggressive.
Understanding Cancer Acute Lymphoblastic Leukemia (ALL)
Acute Lymphoblastic Leukemia (ALL) is a blood and bone marrow cancer. It happens when lymphoblasts, immature lymphocytes, don’t develop right. The American Cancer Society says, “ALL starts in the bone marrow when lymphocytes grow too much and hurt bone marrow work.”
Definition and Basic Characteristics
ALL starts in the bone marrow, where blood cells are made. It’s marked by too many lymphoblasts. These lymphoblasts take over, making less room for healthy blood cells.
This can cause anemia, infections, and bleeding problems.
Medical experts say, “the buildup of lymphoblasts in the bone marrow and blood is a key sign of ALL. It leads to fewer normal blood cells.”
Prevalence and Demographics
ALL is the top cancer in kids, making up a big part of childhood cancers. It’s more common in children, but adults can get it too. The risk goes up with age.
Recent stats show, “ALL is more common in kids under 20. But it can also hit adults, mainly those over 65.”
The people who get ALL vary. Some genetic and environmental factors raise the risk. We’ll look at these in the next parts.
Types and Classification of Acute Lymphoblastic Leukemia

Acute Lymphoblastic Leukemia (ALL) is divided into two main types: B-Cell ALL and T-Cell ALL. Knowing these subtypes is key to finding the best treatment.
B-Cell ALL
B-Cell Acute Lymphoblastic Leukemia, or B-ALL, is the most common ALL in kids. It starts from B cells, which are important for fighting infections.
The American Cancer Society says tests like cytogenetic tests and FISH help diagnose B-ALL. These tests show what the leukemia cells are like. This info helps doctors choose the right treatment.
T-Cell ALL
T-Cell Acute Lymphoblastic Leukemia, or T-ALL, comes from T cells. T-ALL is more common in adults and is often riskier than B-ALL.
Knowing if it’s B-ALL or T-ALL matters a lot for treatment. Some treatments work better for certain types of ALL.
To understand B-ALL and T-ALL better, let’s look at some key differences in the table below:
| Characteristics | B-Cell ALL | T-Cell ALL |
| Prevalence | More common, mostly in children | Less common, more in adults |
| Cell Origin | B lymphocytes | T lymphocytes |
| Prognosis | Usually better with modern treatments | Often seen as higher risk |
Knowing the exact type of ALL helps doctors give more targeted treatments. This can lead to better results for patients.
Risk Factors and Causes of ALL
Acute Lymphoblastic Leukemia (ALL) comes from a mix of genetic and environmental factors. Knowing these risks helps in preventing and treating the disease.
Genetic Factors and Chromosomal Abnormalities
Genetics are key in ALL’s development. Some genetic disorders, like Down syndrome, raise the risk of ALL. Chromosomal abnormalities, such as translocations and deletions, are also seen in ALL patients. The National Cancer Institute says that “certain changes in leukemia cells’ genes or chromosomes can affect a person’s prognosis.”
Specific genetic mutations can make people more likely to get ALL. For example, changes in the TP53 gene increase leukemia risk. We’ll dive deeper into these genetic factors to see how they affect ALL.
Environmental Exposures and Other Risk Factors
Environmental factors also play a part in ALL risk. Ionizing radiation, some chemicals, and pesticides can raise leukemia risk. We’ll look at these environmental risks and how they affect ALL prevention.
How ALL Differs from Other Leukemia Types
Knowing the differences between Acute Lymphoblastic Leukemia (ALL) and other leukemias is key. ALL is a blood cancer that affects lymphoid cells. It’s different from other types of leukemia.
ALL vs. Acute Myeloid Leukemia (AML)

ALL and AML differ mainly in the cells they affect. ALL starts in lymphoid cells, while AML starts in myeloid cells. This difference affects how the disease progresses and how it’s treated.
Here’s a table showing the main differences between ALL and AML:
| Characteristics | ALL | AML |
| Cell Origin | Lymphoid cells | Myeloid cells |
| Typical Age Group | Primarily children | Primarily adults |
| Progression | Rapid progression if untreated | Rapid progression if untreated |
| Treatment Approach | Chemotherapy, targeted therapy | Chemotherapy, targeted therapy, sometimes bone marrow transplant |
ALL vs. Chronic Leukemias (CLL and CML)
ALL is different from chronic leukemias like CLL and CML. The main difference is in how fast the disease progresses. ALL is an acute leukemia that progresses quickly if not treated.
Key differences between ALL and chronic leukemias include:
- Progression rate: ALL progresses rapidly, whereas CLL and CML progress more slowly.
- Cell involvement: ALL affects lymphoid cells, CLL also affects lymphoid cells but in a different manner, and CML affects myeloid cells.
- Treatment approaches vary based on the leukemia type and its characteristics.
Terminology Clarification: Acute Lymphocytic vs. Lymphoblastic Leukemia
The terms “acute lymphocytic leukemia” and “acute lymphoblastic leukemia” are often used the same way. Some sources might make a difference based on cell maturity. Both terms describe the same condition, with rapid growth of immature lymphoid cells.
It’s important to note that the term used might vary slightly in different contexts or medical literature.
Conclusion: Diagnosis, Treatment, and Prognosis for ALL
Understanding cancer acute lymphoblastic leukemia (ALL) is key for effective treatment. We’ve looked at the differences between B-Cell ALL (B-ALL) and T-Cell ALL (T-ALL). We’ve also discussed the various risk factors and causes.
The outlook for ALL depends on several factors. These include age, subtype, and how well the body responds to treatment. Specialists note that treatment often leads to a cure, thanks to personalized plans. It’s important to know that acute lymphocytic leukemia and acute lymphoblastic leukemia are the same condition. The terms are often used the same way.
Personalized treatment plans are essential for better outcomes in ALL patients. Ongoing research and support are needed. They help advance treatment options and provide full care for those with this condition.
FAQ
What is Acute Lymphoblastic Leukemia (ALL)?
Acute Lymphoblastic Leukemia (ALL) is a fast-growing blood cancer. It starts in the bone marrow. It affects how blood cells are made.
What are the main types of Acute Lymphoblastic Leukemia?
There are two main types of ALL. B-Cell ALL (B-ALL) and T-Cell ALL (T-ALL). They are named after the type of lymphocytes they affect.
How does ALL differ from other types of leukemia?
ALL is different from other leukemias like AML, CLL, and CML. It has a different cell origin, growth rate, and treatment.
What are the risk factors for developing ALL?
Risk factors for ALL include genetics, chromosomal abnormalities, and some environmental exposures. The exact causes are not fully known.
Is ALL the same as Acute Lymphocytic Leukemia?
Yes, ALL and Acute Lymphocytic Leukemia are the same. They are used interchangeably, with some slight differences in terminology.
How is ALL diagnosed?
ALL is diagnosed with lab tests. These include blood counts, bone marrow biopsies, and immunophenotyping. They help identify the leukemia cells.
What is the prognosis for patients with ALL?
The prognosis for ALL depends on age, treatment response, and genetics. Children with ALL have a high cure rate with modern treatments.
What are the treatment options for ALL?
Treatment for ALL includes chemotherapy, targeted therapy, and sometimes bone marrow transplantation. The goal is to achieve remission and potentially cure.
Can adults with ALL be cured?
While adults with ALL have a lower cure rate than children, treatment advances have improved outcomes. Some adults can achieve long-term remission or cure.
What is the significance of genetic factors in ALL?
Genetic factors, like chromosomal abnormalities, are key in ALL development and progression. Understanding these is vital for treatment decisions.
References
- Rücker, F. G., & Brückner, H. (2019). Survival in adult acute lymphoblastic leukemia: A report from the German multicenter trials. Clinical Hematology & Oncology https://pmc.ncbi.nlm.nih.gov/articles/PMC6851994/