
Knowing the early signs of cancer is key for quick diagnosis and treatment. At Liv Hospital, we focus on patient care that includes early detection and prevention. 10 essential cancer tumor signs and symptoms that can indicate the presence of various cancers and warrant medical evaluation.
Cancer is a big health problem worldwide, but thanks to new screening and treatments, more people are surviving. Spotting symptoms of cancer early can greatly increase chances of living longer and better.
Being aware of these important warning signs helps people take charge of their health. We will look at the 10 early signs and symptoms everyone should know. This knowledge helps in catching and treating cancer early.

Early cancer detection is key to better survival rates and lower healthcare costs. Cancer is a top cause of death globally, including in the United States. It affects many people, their families, and the healthcare system deeply.
Cancer is a big health problem in the U.S., with millions diagnosed each year. It strikes people of all ages, but the risk grows with age. The most common cancers are breast, lung, prostate, colon, and melanoma.
The high number of cancer cases in the U.S. highlights the need for awareness. Knowing the signs can help people get medical help quickly. This can lead to better outcomes.
Early detection greatly boosts survival chances for many cancers. Research shows that many patients are diagnosed early when symptoms are noticed quickly. This early catch allows for less invasive and more effective treatments.
Early detection is key to better survival rates. Early-stage cancer treatments are often more effective. For example, early breast cancer detection significantly increases the five-year survival rate.
Timely cancer diagnosis also has a big economic benefit. It cuts down treatment costs by avoiding expensive, complex treatments for advanced cancers. Early detection saves money for both individuals and the healthcare system.
In summary, early cancer detection is essential for better patient outcomes and lower healthcare costs. By recognizing cancer signs and seeking medical help quickly, people can improve their survival chances and reduce treatment costs.

Knowing the signs of cancer is key to better survival rates and treatment. Cancer happens when cells grow out of control due to genetic changes. Spotting these signs early can help in getting the right treatment sooner.
Cancer starts with genetic changes that make cells grow uncontrollably. These cells can then invade other tissues and spread through the blood or lymph system. The spread of cancer, called metastasis, makes treatment harder.
Some cancer symptoms are common, like feeling tired, losing weight, or pain. These can happen in many types of cancer. Other symptoms, like changes in bowel habits or unusual bleeding, point to specific cancers.
| Cancer Type | Common Symptoms |
| Breast Cancer | Lump in the breast, changes in breast shape |
| Colorectal Cancer | Changes in bowel habits, blood in stool |
| Lung Cancer | Persistent cough, difficulty breathing |
Some factors make cancer symptoms more important. These include age, family history, smoking, and exposure to harmful substances. Knowing these risk factors helps both individuals and doctors watch for cancer symptoms more closely.
For example, someone with a family history of breast cancer should watch for any changes in their breasts. Smokers are at higher risk for lung cancer and should pay attention to breathing problems.
Unintentional weight loss is a warning sign that should not be ignored. It is linked to several cancer types. This weight loss is a critical warning sign for cancers like pancreatic, lung, and colon cancer. Studies show people with this weight loss are 12 times more likely to have cancer.
Weight loss is concerning when it’s unintentional and significant. It’s usually more than 5% of body weight over 6-12 months. Such loss can signal a serious health issue.
Factors that make weight loss medically concerning include the rate and amount of weight lost. Also, symptoms like fatigue or pain are important.
Several cancers are linked to unexplained weight loss. These include:
Other cancers that may cause weight loss include stomach, esophageal, and certain types of leukemia.
| Cancer Type | Common Symptoms | Association with Weight Loss |
| Pancreatic Cancer | Abdominal pain, jaundice | High |
| Lung Cancer | Cough, difficulty breathing | Moderate to High |
| Colon Cancer | Bowel changes, blood in stool | Moderate |
It’s hard to tell if weight loss is due to cancer or other reasons. Cancer-related weight loss often comes with symptoms like pain, fatigue, or changes in appetite.
Other reasons for weight loss include gastrointestinal disorders, diabetes, thyroid disorders, and mental health conditions like depression.
Understanding unexplained weight loss is key for early cancer detection and treatment. If you’re losing weight without trying, see a healthcare professional. They can find the cause.
Cancer-related fatigue is a deep tiredness that doesn’t get better with rest. It’s different from regular tiredness. About 65% of cancer patients face this symptom, making it a key early sign.
This fatigue is more than just feeling tired. It’s a serious condition that makes daily tasks hard. Unlike normal fatigue, cancer-related fatigue doesn’t go away with rest or sleep.
Cancer-related fatigue has unique traits. Some main features are:
Cancer can lead to fatigue in several ways. Some reasons include:
Knowing these causes helps manage fatigue and improve life for cancer patients.
Fatigue is a common symptom in many cancers, like leukemia, lymphoma, and colon cancer. Seeing fatigue as a warning sign can lead to early diagnosis and treatment.
If you’re tired all the time and can’t shake it off, see a doctor. Early detection and treatment can significantly improve outcomes for many types of cancer.
Understanding cancer-related fatigue and its role as a warning sign helps us spot cancer symptoms early. This way, we can get medical help when needed.
Seeing unusual lumps or swelling can worry you. It’s key to know when these signs might mean cancer. We’ll show you where these lumps might show up, what they look like, and how to check yourself early.
Lumps or swelling can pop up anywhere in the body. They might mean different cancers. For example, a breast lump could be cancer, while a testicle lump might be testicular cancer. Swollen lymph nodes in the neck, armpits, or groin could mean lymphoma or leukemia.
Not every lump is cancer, but some signs are worrisome. Lumps that are painless, firm, and fixed in place might be cancerous. Also, lumps that grow or have irregular borders need a doctor’s check. Some cancerous lumps can hurt, so any new or changing lump should be seen by a doctor.
Doing self-exams can catch lumps or swelling early. For instance, breast self-exams check for changes in the breast. Testicular self-exams feel for lumps in the testicles. Also, watch for changes in lymph nodes or other areas. If you find any unusual lumps or swelling, see a doctor right away.
Looking after your health can help find cancer early. We urge you to watch for any body changes. If you notice anything odd, get medical help.
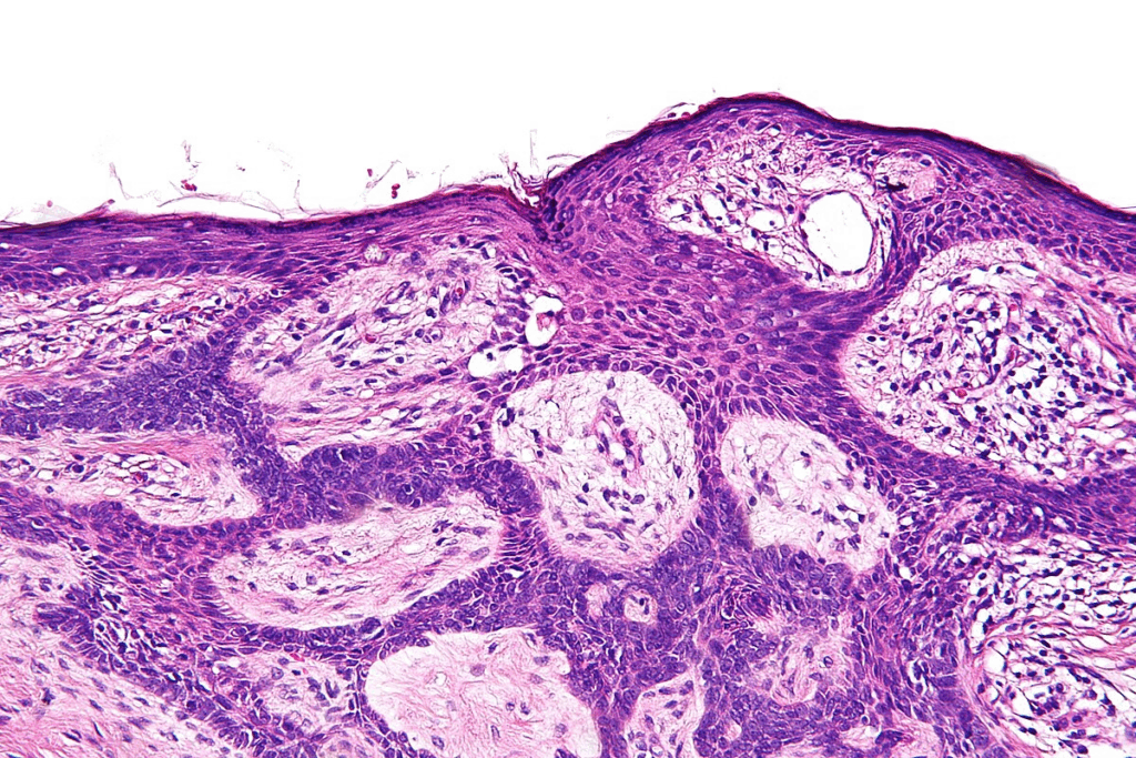
The skin is our body’s largest organ. Changes in its appearance or texture can signal health problems, including cancer. Recognizing these changes early can be critical for timely medical intervention.
Melanoma, the most aggressive form of skin cancer, can be identified using the ABCDE rule. This simple guide helps in distinguishing potentially cancerous moles from benign ones.
If you notice any of these signs, it’s essential to consult a healthcare professional.
Non-melanoma skin cancers, including basal cell carcinoma and squamous cell carcinoma, can also present with distinct signs.
Common indicators include:
Early detection of these signs can lead to effective treatment.
Sometimes, changes in skin appearance or texture can be a sign of systemic cancers, not just skin cancer. For instance, certain cancers can cause skin symptoms like itching, redness, or darkening.
For example, lymphoma can cause itchy skin, while melanoma can sometimes cause skin darkening. Recognizing these systemic signs can be critical for diagnosing cancers that are not directly related to the skin.
Being aware of changes in your skin and understanding what they might mean can be a powerful tool in the early detection of cancer. If you’re concerned about any changes, don’t hesitate to seek medical advice.
Persistent pain that doesn’t go away might mean you have cancer. It’s important to get a diagnosis and start treatment quickly. We’ll look at the different kinds of cancer pain, how it’s different from other pains, and when you should see a doctor right away.
Cancer pain can come from the tumor, when cancer spreads, or from treatment side effects. Where the pain is can tell you where the tumor is. For example, pain in a bone might mean the cancer is there, while a brain tumor could cause headaches.
Here are some common types of cancer pain:
| Cancer Type | Common Pain Locations | Pain Characteristics |
| Breast Cancer | Breast, chest wall, or axilla | Aching, sharp, or burning |
| Lung Cancer | Chest, shoulder, or back | Sharp, stabbing, or dull ache |
| Pancreatic Cancer | Abdominal, back | Dull, aching, or boring |
Cancer pain is different because it can last a long time and get worse. It doesn’t always get better with usual pain relief. Unlike other pains, cancer pain can keep getting worse if not treated right.
Key differences include:
If you have sudden, severe, or getting worse pain, see a doctor right away. Also, if you have other symptoms like unexplained weight loss, fatigue, or changes in how your body works. Quick medical help can find the cause and start the right treatment.
Understanding and managing cancer pain is key in cancer care. Knowing about cancer pain can help you get the right treatment and improve your life quality.
Changes in bowel movements or urination can be unsettling. It’s important to know when these changes might mean cancer. These changes can be subtle but are key signs of health issues like colorectal and urinary cancers.
Colorectal cancer often shows up with specific bowel changes. Key warning signs include:
These symptoms can also mean other conditions. But, it’s key to see a doctor if they keep happening.
Urinary changes can also hint at cancer, like in the bladder or prostate. Symptoms to watch for include:
These signs can point to many urinary tract problems. A doctor’s check-up is needed to find out why.
Early detection of colorectal and urinary cancers is key. Screening recommendations include:
| Cancer Type | Screening Method | Recommended Age to Start |
| Colorectal Cancer | Colonoscopy, Fecal Occult Blood Test (FOBT) | 45 years |
| Bladder Cancer | Urine Analysis, Cystoscopy | Varied, based on risk factors |
| Prostate Cancer | Prostate-Specific Antigen (PSA) Test, Digital Rectal Exam (DRE) | 50 years (discuss with your doctor) |
Knowing these changes and getting screenings can help find cancer early. This can lead to better treatment chances.
Unusual bleeding or discharge from any body opening is a symptom that should not be ignored. It may be related to cancer. This symptom can manifest in various forms and can be associated with different types of cancer. Recognizing the signs and understanding when to seek medical help is key for early detection and treatment.
Cancer-related bleeding can occur from various body openings. These include the mouth, nose, ears, nipples, vagina, penis, or rectum. The nature and source of the bleeding can provide important clues about the underlying cause. For instance, bleeding from the nipples could be associated with breast cancer, while vaginal bleeding might be related to cervical or endometrial cancer.
It’s essential to note that not all bleeding is related to cancer. But any unusual or unexplained bleeding should be evaluated by a healthcare professional. The characteristics of the bleeding, such as its frequency, duration, and volume, can help determine its significance.
Various cancers are associated with abnormal discharge or bleeding. For example:
Understanding these associations can help individuals recognize symptoms. This can prompt them to seek medical evaluation promptly.
While unusual bleeding or discharge should always be evaluated, there are certain situations that require immediate medical attention. These include:
If you experience any of these emergency warning signs, it’s vital to seek medical help right away. Early detection and treatment can significantly improve outcomes for individuals with cancer.
It’s important to watch for symptoms like coughing, hoarseness, or trouble swallowing. These signs can point to throat, lung, or esophagus cancers. They can show up in different ways and are linked to various cancers.
A persistent cough is a common lung cancer symptom. It can be dry or produce mucus and get worse over time. Hoarseness or a voice change for more than two weeks might mean throat cancer. Seek medical help if you have these symptoms, and you’ve smoked or been exposed to harmful substances.
A study in the Journal of Clinical Oncology found coughing and hoarseness are common symptoms of head and neck cancers.
“Early detection of these cancers significantly improves treatment outcomes and survival rates.”
| Cancer Type | Common Symptoms | Risk Factors |
| Lung Cancer | Persistent cough, chest pain | Smoking, exposure to carcinogens |
| Throat Cancer | Hoarseness, difficulty swallowing | Smoking, alcohol consumption, HPV infection |
Difficulty swallowing, or dysphagia, is a sign of esophageal cancer. It makes swallowing food or liquids hard, feeling like it’s stuck. Early detection of esophageal cancer is key for effective treatment.
Other signs of digestive tract cancers include swallowing pain, food regurgitation, and weight loss. If you have these symptoms, see a healthcare professional for a diagnosis.
Persistent cough, hoarseness, or swallowing trouble can be cancer signs but also symptoms of common, less serious conditions. For example, a cough can be from a cold, flu, or allergies. Hoarseness might be from vocal strain or a viral infection. Swallowing trouble can be from GERD or other non-cancerous issues.
The key is to watch how long and how bad these symptoms are. If they last or get worse, get medical help to find out why.
It’s key to know the early signs and symptoms of cancer for quick diagnosis and treatment. We’ve looked at various signs and symptoms across different cancers. This shows how important it is to get medical help fast. By spotting these signs, people can act quickly and boost their treatment and survival chances.
Early detection and treatment can greatly improve survival rates and cut down on costs. Knowing the signs of cancer, like unexplained weight loss, persistent fatigue, unusual lumps, and skin changes, helps in early diagnosis. If you notice any of these symptoms, seeing a healthcare professional is vital to find out the cause and get the right treatment.
By being proactive and informed about cancer signs, we can all help improve cancer outcomes. Knowing how to spot cancer symptoms and understanding what it means to have cancer can greatly impact treatment success.
Look out for unexplained weight loss and persistent fatigue. Also, watch for unusual lumps or swelling and changes in skin texture. Persistent pain, changes in bowel or bladder function, and unusual bleeding or discharge are also signs. Don’t ignore a persistent cough, hoarseness, or trouble swallowing.
Finding cancer early can greatly improve your chances of survival. Early detection means you can start treatment sooner. This makes treatment more effective and increases your chances of a good outcome.
Pancreatic, lung, and stomach cancers often cause unexplained weight loss. If you lose a lot of weight without a reason, see a doctor right away.
Cancer fatigue doesn’t go away with rest. It’s extreme tiredness that affects your daily life. If you’re always tired, talk to your doctor about it.
Lumps that could be cancerous can show up in the breast, testicles, lymph nodes, and soft tissues. Regular self-checks can help spot unusual lumps or swelling.
Use the ABCDE rule to spot melanoma: A – Asymmetry, B – Border irregularity, C – Color variation, D – Diameter larger than 6mm, E – Evolving. If you see any of these, see a dermatologist.
Look out for changes in bowel habits, blood in the stool, persistent abdominal pain, and unexplained weight loss. Screening advice varies by age and risk, so check with your doctor.
Unusual bleeding or discharge could be cancer. Get medical help right away for heavy or prolonged bleeding, bleeding between periods, or unusual discharge from any opening.
Cancer symptoms usually get worse over time, while common illnesses often get better. If you’re not sure about your symptoms, it’s best to see a doctor for a check-up.
Cancer symptoms vary by type and location. Look out for unexplained weight loss, persistent fatigue, unusual lumps or swelling, and changes in skin texture. Also, watch for persistent pain and other symptoms.
The only way to know for sure is through a medical diagnosis. If you have unusual or persistent symptoms, see a healthcare professional for an evaluation and diagnosis.
Common symptoms include unexplained weight loss, persistent fatigue, and unusual lumps or swelling. Also, watch for changes in skin texture, persistent pain, and other symptoms. Don’t ignore changes in bowel or bladder function, unusual bleeding or discharge, and persistent cough, hoarseness, or difficulty swallowing.
Subscribe to our e-newsletter to stay informed about the latest innovations in the world of health and exclusive offers!