Learn to identify early warning signs and skin changes while exploring the primary risk factors, including HPV and chronic inflammation

Cancer involves abnormal cells growing uncontrollably, invading nearby tissues, and spreading to other parts of the body through metastasis. 

We're Here to Help.
Get in Touch.

Send us all your questions or requests, and our expert team will assist you.

Doctors
GDPR

Symptoms and Causes of Vulvar Cancer

Symptoms and Causes

Understanding the symptoms and causes of vulvar cancer is essential for early detection and successful treatment. This page provides a comprehensive overview for international patients who may be experiencing unexplained changes in the vulvar region or who are seeking information about risk factors. According to recent oncology studies, vulvar cancer accounts for about 5% of all gynecologic malignancies, and early identification of warning signs can dramatically improve outcomes. In the following sections, you will learn how to recognize the most common symptoms, explore the underlying causes, and know when professional medical evaluation is warranted.

Our guide is tailored to help patients navigating the healthcare system from abroad, offering clear explanations of what to watch for and how Liv Hospital’s multidisciplinary team can support you throughout diagnosis and treatment.

Understanding Vulvar Cancer

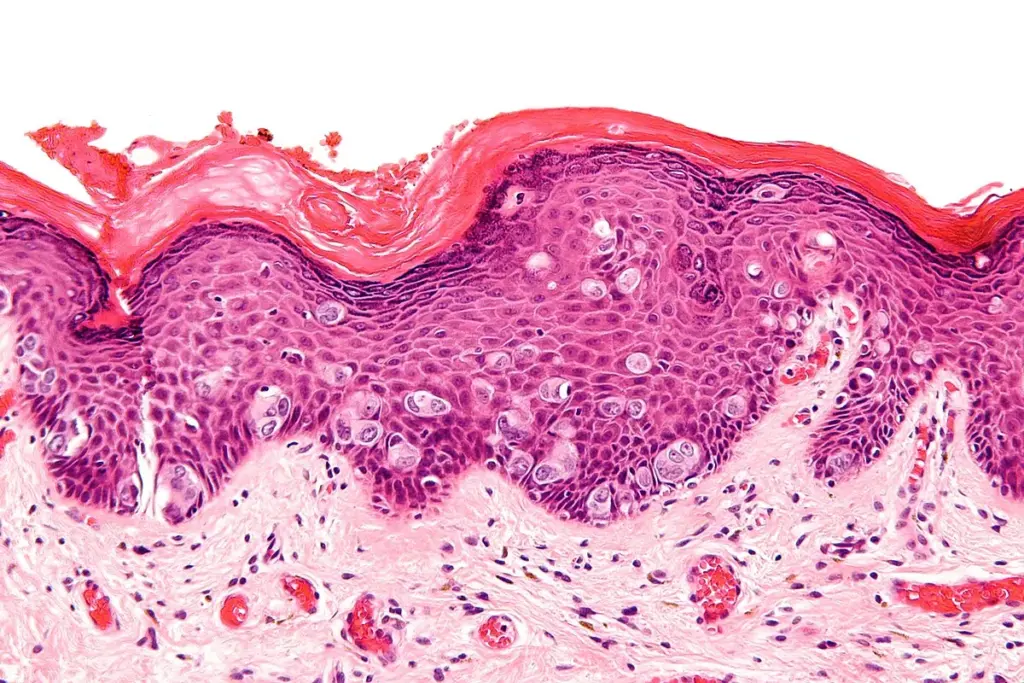
Vulvar cancer originates in the external female genitalia, specifically the labia majora, labia minora, clitoris, or the surrounding skin. While it is a relatively rare disease, certain populations are at higher risk, including women over 60 and those with a history of human papillomavirus (HPV) infection. The disease can be classified into two main types: squamous cell carcinoma, which makes up the majority of cases, and less common forms such as melanoma or adenocarcinoma.

Key points to understand:

  • Cell Origin: Most vulvar cancers arise from squamous epithelial cells.
  • Age Distribution: Incidence increases after menopause, but younger women can be affected if HPV‑related.
  • Geographic Variation: Higher rates are reported in regions with limited HPV vaccination coverage.

Early-stage disease often presents with subtle changes that patients may overlook. Recognizing these early manifestations is the first step toward timely intervention.

Recognizing Common Symptoms

Chronic Inflammation as a Causative Engine

The symptoms of vulvar cancer can vary, but several patterns are frequently reported. Awareness of these signs enables patients to seek care before the disease progresses.

Symptom

Typical Presentation

Why It Occurs

 

Persistent Itching or Burning

Localized to the vulvar skin, often worsening at night

Tumor irritation of nerve endings

Lumps or Thickened Areas

Hard, painless nodules that may enlarge over weeks

Growth of malignant cells forming a mass

Vaginal Bleeding or Discharge

Unexplained spotting, especially after intercourse

Ulceration of the tumor surface

Changes in Skin Color or Texture

Redness, scaling, or ulcerated patches

Inflammatory response to cancerous growth

Painful Intercourse (Dyspareunia)

Discomfort during sexual activity

Lesion involvement of sensitive tissue

It is important to note that many of these signs can also be caused by benign conditions such as infections or dermatologic disorders. However, any persistent or worsening symptom should prompt a professional evaluation.

Identifying Underlying Causes and Risk Factors

Viral Etiology and Transmission Dynamics

Understanding the causes behind vulvar cancer helps patients assess their personal risk and adopt preventive measures where possible. While no single factor guarantees disease development, several contributors have been consistently identified in clinical research.

  • Human Papillomavirus (HPV) Infection: High‑risk HPV strains, especially HPV‑16, are linked to the majority of vulvar squamous cell carcinomas.
  • Chronic Inflammatory Conditions: Lichen sclerosus and other long‑standing dermatoses increase malignant transformation risk.
  • Smoking: Tobacco use compromises immune surveillance and promotes DNA damage.
  • Immunosuppression: Women with HIV or those on long‑term immunosuppressive therapy have higher incidence rates.
  • Age and Menopausal Status: Hormonal changes after menopause may influence cellular susceptibility.

Below is a concise comparison of the most common risk factors:

Risk Factor

Relative Risk Increase

Preventive Action

 

HPV Infection

3–5× higher

Vaccination, safe sexual practices

Lichen Sclerosus

10–15× higher

Regular dermatologic monitoring

Smoking

2× higher

Cessation programs

Immunosuppression

4× higher

Optimized immune management

Age > 60

1.5× higher

Routine gynecologic exams

By addressing modifiable risks—such as quitting smoking and receiving the HPV vaccine—patients can lower their probability of developing vulvar cancer.

How Symptoms Progress Over Time

Vulvar cancer typically follows a gradual progression, beginning with subtle changes that may be dismissed as irritation or minor infection. Understanding this timeline assists patients in recognizing when a symptom has moved beyond a benign phase.

  1. Initial Stage (Weeks–Months): Mild itching, occasional redness, or a small, painless bump.
  2. Intermediate Stage (Months–Year): Persistent lesions, increased size of nodules, occasional bleeding, or ulceration.
  3. Advanced Stage (Months–Years): Significant pain, foul discharge, enlarged lymph nodes, and possible spread to surrounding tissues.

During the early phase, the tumor is often confined to the surface epithelium, making surgical removal highly effective. As the disease advances, deeper tissue invasion can occur, requiring more complex multimodal therapy that may include radiation or systemic chemotherapy. Prompt attention to early symptoms and causes therefore improves the likelihood of curative treatment.

When to Seek Medical Evaluation

The Role of Melanocytes and Glandular Cells

Deciding when to consult a specialist can be challenging, especially for patients traveling from abroad. The following guidelines help determine the appropriate moment to schedule an appointment at a qualified center such as Liv Hospital.

  • If any symptom persists longer than two weeks despite home care.
  • When a new lump, ulcer, or area of thickened skin appears on the vulva.
  • Experiencing unexplained vaginal bleeding, especially after intercourse.
  • Having a history of HPV, lichen sclerosus, or other identified risk factors.
  • Noticing rapid changes in an existing lesion, such as increased pain or size.

International patients can benefit from Liv Hospital’s dedicated International Patient Services, which coordinate appointments, arrange interpreter support, and assist with travel logistics. Early referral enables comprehensive assessment before the disease progresses to a more invasive stage.

Diagnostic Pathways and Tests

Accurate diagnosis of vulvar cancer relies on a combination of clinical examination and targeted investigations. The following diagnostic tools are commonly employed:

  • Physical Examination: Detailed visual and tactile assessment by a gynecologic oncologist.
  • Pap Smear and HPV Testing: Helpful for identifying high‑risk HPV strains associated with malignancy.
  • Biopsy: The definitive test; a tissue sample is examined histologically to confirm cancer type and grade.
  • Imaging Studies: Ultrasound, MRI, or PET‑CT scans evaluate tumor depth and possible lymph node involvement.
  • Sentinel Lymph Node Mapping: Minimally invasive technique to assess spread without full lymphadenectomy.

Liv Hospital utilizes state‑of‑the‑art imaging and pathology services, ensuring precise staging according to the FIGO (International Federation of Gynecology and Obstetrics) system. This information guides personalized treatment planning, whether it involves surgery, radiation, systemic therapy, or a combination thereof.

Why Choose Liv Hospital?

Liv Hospital offers JCI‑accredited, multidisciplinary care designed for international patients. Our team combines expertise in gynecologic oncology with comprehensive support services—including visa assistance, airport transfers, interpreter coordination, and comfortable accommodation options—ensuring a seamless treatment journey from diagnosis through recovery.

Ready to take the next step toward expert evaluation? Contact Liv Hospital today to schedule a confidential consultation and benefit from our dedicated international patient program.

30 Years of
Excellence

Trusted Worldwide

With patients from across the globe, we bring over three decades of medical

Book a Free Certified Online
Doctor Consultation

Clinics/branches
GDPR
Prof. MD. Fikret Arpacı Prof. MD. Fikret Arpacı Cancer
Group 346 LIV Hospital

Reviews from 9,651

4,9

Was this article helpful?

Was this article helpful?

We're Here to Help.
Get in Touch.

Send us all your questions or requests, and our expert team will assist you.

Doctors
GDPR

FREQUENTLY ASKED QUESTIONS

What are the most common symptoms of vulvar cancer?

Vulvar cancer often begins with subtle signs such as persistent itching or burning that worsens at night, and small, painless nodules that may slowly enlarge. Patients may notice unexplained vaginal spotting, especially after intercourse, or see redness, scaling, or ulcerated patches on the vulvar skin. Painful intercourse (dyspareunia) can also occur when lesions involve sensitive tissue. While these symptoms can mimic benign conditions, any persistent or worsening sign should prompt a medical evaluation to rule out malignancy.

The diagnostic pathway starts with a thorough visual and tactile examination by a gynecologic oncologist. If a suspicious lesion is found, a biopsy is performed to obtain tissue for histopathological analysis, which determines the cancer type and grade. Additional tests may include Pap smear and HPV testing, as well as imaging studies—ultrasound, MRI, or PET‑CT—to assess tumor depth and lymph node involvement. Sentinel lymph node mapping is frequently used to evaluate spread without full lymphadenectomy, allowing precise FIGO staging and personalized treatment planning.

The majority of vulvar squamous cell carcinomas are linked to persistent infection with high‑risk HPV strains, especially HPV‑16. Chronic dermatoses such as lichen sclerosus dramatically raise risk, with a relative increase of 10–15 times. Tobacco use compromises immune surveillance and causes DNA damage, roughly doubling risk. Women with HIV or on long‑term immunosuppressive therapy also face higher incidence. Finally, post‑menopausal hormonal changes make women over 60 more susceptible, emphasizing the need for routine gynecologic exams in this age group.

International patients should schedule an appointment at a specialized center like Liv Hospital if any vulvar symptom—such as itching, burning, a lump, ulcer, or thickened skin—remains for more than two weeks despite home care. New or growing nodules, unexplained vaginal bleeding (especially after intercourse), or rapid changes in an existing lesion (increased pain, size, or discharge) also warrant prompt evaluation. Early referral enables comprehensive assessment, staging, and timely treatment before the disease advances to a more invasive stage.

HPV, particularly type 16, infects the basal cells of the vulvar epithelium. The viral DNA can integrate into the host genome, producing oncoproteins E6 and E7 that inactivate tumor suppressor proteins p53 and Rb. This disruption leads to uncontrolled cell proliferation and accumulation of genetic mutations, eventually resulting in malignant transformation. Vaccination against HPV and safe sexual practices significantly lower this risk, reducing the incidence of HPV‑related vulvar cancers by up to fivefold.

Spine Hospital of Louisiana
Need Help? Chat with our medical team

Let's Talk on WhatsApp

📌

Get instant answers from our medical team. No forms, no waiting — just tap below to start chatting now.

or call us at +90 530 510 71 24

How helpful was it?

helpful
GDPR
helpful
GDPR
helpful
GDPR