
SPECT scans are a key tool in nuclear medicine. cardiac perfusion help diagnose many conditions, like coronary ischemia and dementia. These scans use small amounts of radioactive tracers to show detailed images of the heart, brain, and other organs. This helps doctors diagnose and manage different health issues.
SPECT scans are very useful for finding cardiac perfusion problems. They spot areas where blood flow to the heart is low. This lets doctors act quickly. Also, SPECT scans help find seizure focus in the brain. This is important for diagnosing and treating epilepsy.
Key Takeaways
- SPECT scans diagnose various conditions, including coronary ischemia and dementia.
- They provide detailed images of organs using radioactive tracers.
- SPECT scans help identify cardiac perfusion problems.
- They aid in locating seizure focus in the brain.
- SPECT scans are a valuable tool in nuclear medicine.
Understanding SPECT Imaging Technology
SPECT imaging is key in today’s medicine. It’s a way to see how different parts of the body work. This is done through Single Photon Emission Computed Tomography.
How SPECT Scans Work
SPECT scans use a gamma camera to find gamma rays from a special dye. This dye is injected into the body. The camera moves around the body, taking pictures from all sides.
These pictures are then put together to show a 3D image. This image shows how well certain parts of the body are working.
Difference Between SPECT and Other Imaging Modalities
SPECT is different from CT and MRI scans. CT and MRI show what parts of the body look like. But SPECT shows how these parts work.
When SPECT is used with CT, it’s called SPECT/CT. This combo gives doctors both how the body looks and how it works in one scan.
| Imaging Modality | Primary Information Provided | Clinical Applications |
| SPECT | Functional Information | Myocardial Perfusion Imaging, Tumor Imaging, Infection Imaging |
| CT | Anatomical Detail | Trauma, Cancer Staging, Vascular Diseases |
| MRI | Anatomical Detail and Some Functional Information | Soft Tissue Imaging, Neurological Disorders, Cardiovascular Diseases |
Evolution of SPECT Technology
SPECT technology has grown a lot over time. It has better detectors, new ways to make images, and works with CT now.
Today’s SPECT is more accurate. It helps doctors make better plans for treatment. Working with CT is a big plus, giving doctors more info at once.
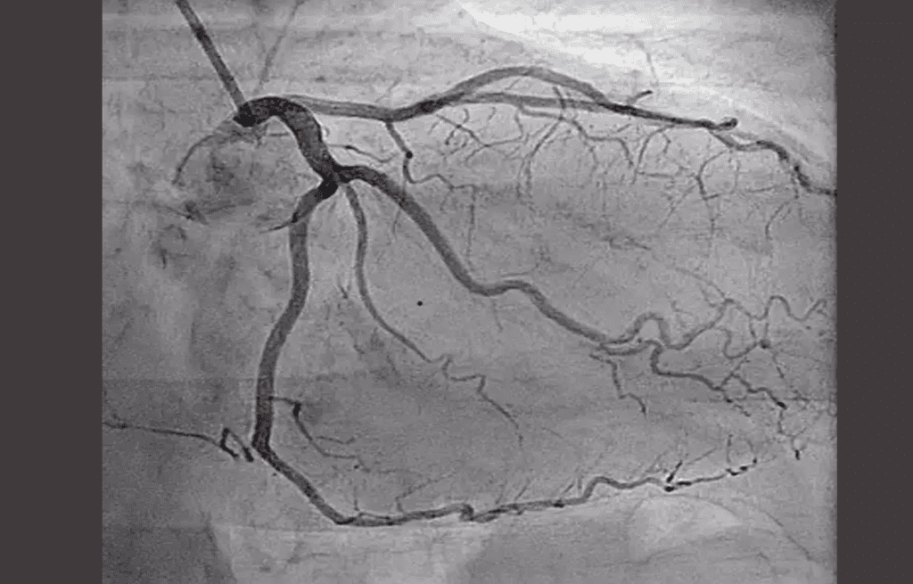
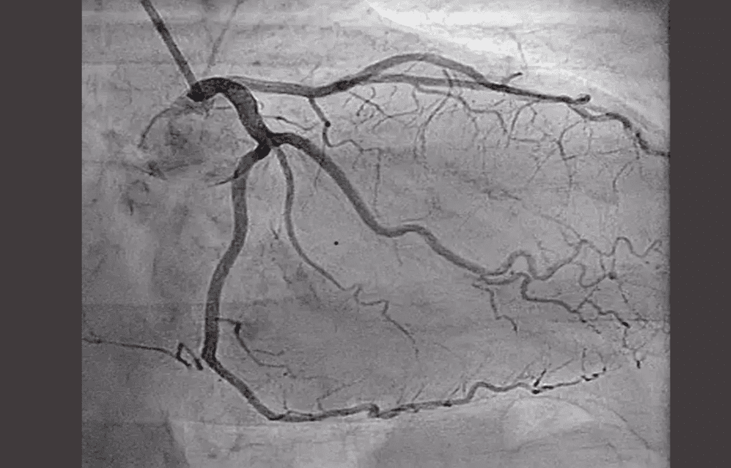
Cardiac Perfusion: Primary Application of SPECT Imaging
Myocardial perfusion imaging with SPECT is key in finding coronary artery disease. It’s a non-invasive way to see how blood flows and the heart works. It helps spot areas that are not getting enough blood.
Principles of Cardiac Perfusion SPECT
Cardiac perfusion SPECT uses a tiny amount of radioactive tracer. This tracer goes to the heart muscle based on blood flow. A SPECT camera takes pictures from different sides, making 3D images of the heart’s blood flow.
This method works by how the heart takes in the tracer at rest and under stress. If the heart takes in less tracer when stressed, it might be ischemic. If it takes in less at rest too, it might be infarcted.
Radiopharmaceuticals Used in Cardiac SPECT
Technetium-99m (Tc-99m) sestamibi and Tc-99m tetrofosmin are top choices for cardiac SPECT. They stick well to the heart muscle, making them great for seeing blood flow.
- Tc-99m Sestamibi: Known for its stability and high-quality images.
- Tc-99m Tetrofosmin: Offers rapid blood clearance and good myocardial uptake.
Thallium-201 (Tl-201) is also used, mainly to check if heart muscle is alive.
Clinical Indications for Cardiac Perfusion Studies
Cardiac perfusion SPECT is used in many situations, like:
- Diagnosing coronary artery disease in people with symptoms.
- Figuring out risk in those with known coronary artery disease.
- Checking if heart muscle is alive in those with heart function issues.
- Testing patients with suspected or known coronary artery disease during stress tests.
Cardiac perfusion SPECT gives important info on heart blood flow. It helps doctors decide on treatments and care for heart disease patients.
Diagnosing Coronary Artery Disease with SPECT

Myocardial perfusion imaging through SPECT has changed how we diagnose and manage coronary artery disease. This disease is a major cause of illness and death worldwide. Accurate diagnosis is key to effective treatment.
Identifying Coronary Ischemia
Coronary ischemia is a sign of CAD, happening when heart blood flow is cut off. SPECT scans are great at spotting ischemia by checking myocardial blood flow under stress and at rest. They use special drugs that show up in the heart based on blood flow.
“The use of SPECT for myocardial perfusion imaging has become a cornerstone in the diagnosis of coronary artery disease,” as noted by cardiology experts. Seeing where blood flow is low helps doctors find at-risk patients and plan treatments.
Stress vs. Rest Cardiac SPECT Protocols
Cardiac SPECT scans usually do both stress and rest images to check blood flow. Stress tests, with exercise or medicine, show ischemia that’s not seen at rest. By comparing these images, doctors can tell if it’s scar tissue or ischemia, helping decide on treatments.
- Stress imaging helps identify areas of ischemia.
- Rest imaging assesses baseline myocardial perfusion.
- Comparison of stress and rest images aids in diagnosis and treatment planning.
Sensitivity and Specificity in CAD Detection
SPECT myocardial perfusion imaging is very good at finding coronary artery disease. It spots perfusion problems well, and gated SPECT adds to its accuracy by checking function too.
A study found SPECT MPI’s sensitivity is about 85-90% and specificity is 70-80% for CAD. This makes it a valuable tool for doctors. Its detailed look at blood flow and function makes it even more accurate.
Myocardial Viability Assessment

Checking how well the heart muscle works is key. It helps doctors decide if a patient needs a heart procedure. This is very important for those with heart disease.
Differentiating Viable from Non-viable Myocardium
SPECT imaging is very helpful in this area. It uses special medicines to see which heart parts are alive but not working right. This is because they don’t get enough blood.
Viable myocardium is heart muscle that’s alive but not moving well. This is often because of less blood flow. Finding this is important because it can get better with treatment.
Clinical Implications for Revascularization Decisions
Knowing if the heart muscle is viable is very important. It helps doctors decide if a patient needs a heart procedure. This can be a surgery or a less invasive treatment.
- These treatments can make the heart work better in patients with viable muscle.
- They can also make symptoms like chest pain better and improve life quality.
- They might even help patients live longer in some cases.
Comparison with Other Viability Assessment Methods
There are other ways to check if the heart muscle is viable. These include positron emission tomography (PET), cardiac magnetic resonance (CMR), and dobutamine stress echocardiography.
| Modality | Advantages | Limitations |
| SPECT | Widely available, cost-effective | Lower spatial resolution |
| PET | High sensitivity, quantitative flow assessment | Higher cost, limited availability |
| CMR | High spatial resolution, viability and scar assessment | Contraindications in some patients (e.g., pacemakers) |
SPECT in Neurological Disorders
SPECT imaging has changed how we diagnose dementia and other brain diseases. It shows how well the brain is working and helps us tell different brain disorders apart.
Dementia Imaging and Differential Diagnosis
Dementia makes people forget things and think less clearly. It’s hard to tell it apart from other brain problems because the symptoms are similar. SPECT imaging helps by showing how blood flows in the brain, which can point to different types of dementia.
SPECT scans can help tell apart different types of dementia, like Alzheimer’s, frontotemporal dementia, and vascular dementia. They do this by showing how blood flows in the brain.
Alzheimer’s Disease Patterns
Alzheimer’s is the most common dementia. SPECT imaging is key in diagnosing it. It shows that Alzheimer’s makes the temporal and parietal lobes get less blood.
Frontotemporal Dementia and Other Neurodegenerative Conditions
Frontotemporal dementia is another big cause of dementia. It has its own signs in the brain, like less blood flow in the frontal and temporal lobes. SPECT imaging can spot these signs, helping doctors tell it apart from Alzheimer’s and other brain diseases.
| Dementia Type | Characteristic SPECT Findings |
| Alzheimer’s Disease | Hypoperfusion in temporal and parietal lobes |
| Frontotemporal Dementia | Hypoperfusion in frontal and temporal lobes |
| Vascular Dementia | Multiple perfusion defects corresponding to vascular territories |
SPECT imaging has made diagnosing brain disorders like dementia much better. It helps doctors find the right treatment by showing how blood flows in the brain. This way, SPECT scans help us understand and treat different brain diseases better.
Seizure Focus Localization with SPECT
SPECT imaging is key in finding seizure foci for epilepsy patients. It’s very important for those who might need epilepsy surgery.
Ictal vs. Interictal SPECT
Understanding ictal and interictal SPECT is vital. Ictal SPECT is done during a seizure, showing where it starts. Interictal SPECT is between seizures, showing normal brain activity.
Comparing these scans helps find the seizure focus. It shows areas with more blood flow during a seizure. This info is key for surgery planning.
SISCOM Technique for Epilepsy Surgery Planning
The SISCOM (Subtraction Ictal SPECT Co-registered to MRI) technique is a big step forward. It subtracts interictal from ictal SPECT and matches it with MRI. This gives a clear map of the seizure focus.
| Technique | Description | Clinical Utility |
| Ictal SPECT | Imaging during a seizure | Identifies seizure focus |
| Interictal SPECT | Imaging between seizures | Provides baseline brain activity |
| SISCOM | Subtraction ictal SPECT co-registered to MRI | Enhances seizure focus localization for surgery planning |
Clinical Impact on Seizure Management
SPECT’s role in finding seizure foci greatly impacts epilepsy management. It helps doctors decide if surgery is right and plan the best treatment.
Getting the seizure focus right is key for managing epilepsy. SPECT, with SISCOM, is a powerful tool for this.
SPECT Applications in Movement Disorders
SPECT imaging is key in diagnosing and differentiating various movement disorders.
Movement disorders include Parkinson’s disease, essential tremor, and Huntington’s disease. Accurate diagnosis is vital for effective treatment.
Parkinson’s Disease and Dopamine Transporter Imaging
Parkinson’s disease causes tremors, rigidity, and slow movement. SPECT imaging helps diagnose it by checking dopamine levels.
Dopamine transporter imaging boosts diagnostic accuracy. It helps tell Parkinson’s disease apart from other parkinsonian syndromes.
Essential Tremor vs. Parkinsonian Syndromes
Essential tremor is hard to tell apart from Parkinson’s disease. SPECT imaging helps by looking at dopamine levels.
| Condition | Dopamine Transporter Density | SPECT Imaging Characteristics |
| Parkinson’s disease | Reduced | Asymmetric reduction in dopamine transporter density |
| Essential tremor | Normal | Normal dopamine transporter density |
| Parkinsonian syndromes | Reduced or normal | Variable dopamine transporter density |
Huntington’s Disease and Other Movement Disorders
Huntington’s disease causes chorea, psychiatric issues, and cognitive decline. SPECT imaging helps assess its severity and track progression.
Other disorders like dystonia and tics can also be evaluated with SPECT imaging. SPECT scans have improved diagnosis and treatment planning in movement disorders.
Bone SPECT for Orthopedic Conditions
Bone SPECT imaging is key in orthopedics. It shows bone structures in detail. This helps diagnose many orthopedic issues.
Detection of Occult Fractures
Occult fractures are hard to see on regular X-rays. Bone SPECT can spot them. This is great for patients with unclear X-rays.
Clinical Benefits: Finding occult fractures early helps a lot. It means quicker treatment and better results for patients.
Evaluation of Prosthetic Joint Complications
Bone SPECT is good for checking prosthetic joint problems. It shows if the joint is loose or infected. This helps doctors know how to treat it.
Using Bone SPECT makes diagnosing prosthetic issues more accurate. This leads to better treatment plans for patients.
Sports Injury Assessment
SPECT imaging is used for sports injuries too. It’s great for stress fractures and other bone problems. It gives a clear picture of the injury.
| Condition | Bone SPECT Application | Clinical Benefit |
| Occult Fractures | Detection of fractures not visible on X-ray | Early intervention, reduced complications |
| Prosthetic Joint Complications | Assessment of loosening or infection | Accurate diagnosis, guided treatment |
| Sports Injuries | Evaluation of stress fractures and bone issues | Detailed injury assessment, informed management |
Identifying Bone Metastases in Cancer Patients
Finding bone metastases in cancer patients is key to managing their disease. Imaging methods are used to spot these issues. Bone metastases happen when cancer spreads to bones, causing pain, fractures, and high calcium levels. It’s vital to find and check these metastases for treatment planning and tracking how well treatments work.
Whole-Body SPECT Protocols
Whole-body SPECT is a helpful tool for finding bone metastases. It uses tiny amounts of radioactive tracers that show up in areas with lots of bone activity. This method lets doctors see the whole skeleton at once, which is great for finding cancer spread.
“SPECT imaging is key in managing cancer, focusing on bone metastases,” say nuclear medicine experts. Being able to scan the whole body in one go makes it very useful in clinics.
Comparison with Other Imaging Modalities
Compared to other imaging like planar bone scintigraphy, CT, MRI, and PET scans, SPECT has big advantages. It’s better at finding bone metastases, even in hard-to-reach areas. SPECT gives insights into bone function, making it a top choice for diagnosis.
- SPECT is highly sensitive for detecting bone metastases.
- It provides functional information about bone metabolism.
- Whole-body SPECT is great for checking widespread disease.
Treatment Response Monitoring
Watching how treatments work is key for cancer patients with bone metastases. SPECT imaging helps track changes in metastatic lesions, showing if treatments are working. By measuring tracer uptake changes, doctors can see if treatments are reducing bone metastasis activity.
Effective treatment response monitoring lets doctors tweak treatment plans to better help patients. Using SPECT in this way supports personalized care, fitting treatments to each patient’s needs.
SPECT in Infection and Inflammation Imaging
SPECT technology is key in diagnosing infections and inflammation. It helps doctors find and treat various conditions. This technology gives them the info they need to make the right treatment plans.
Osteomyelitis Detection
Osteomyelitis, or bone infection, is hard to spot with regular imaging. But SPECT scans are very good at finding it early. They use special drugs to show where the infection is, helping doctors plan treatment.
| Characteristics | SPECT | Other Imaging Modalities |
| Sensitivity for Osteomyelitis | High | Variable |
| Specificity for Infection | High | Moderate |
| Ability to Guide Treatment | Effective | Limited |
Fever of Unknown Origin Workup
Fever of unknown origin (FUO) is tough to solve. SPECT scans help find the cause by spotting infections or inflammation. This is key for more tests and treatment.
Inflammatory Bowel Disease Assessment
SPECT scans are also great for checking inflammatory bowel disease (IBD). They show how bad the inflammation is. This helps doctors see if treatments are working and adjust them if needed.
SPECT’s role in infection and inflammation imaging shows its value in healthcare. It gives detailed info on infections and inflammation. This helps doctors take better care of their patients and improve treatment results.
Endocrine Disorders: Parathyroid and Thyroid Imaging
Endocrine disorders, like parathyroid and thyroid issues, can be diagnosed with SPECT scans. These scans give detailed views of gland function. They are key in diagnosing and treating these conditions, helping doctors make better choices.
Localizing Parathyroid Adenomas
Parathyroid adenomas are small, non-cancerous tumors in the parathyroid glands. They can cause hyperparathyroidism, leading to metabolic problems. SPECT scans with Tc-sestamibi are great at finding these adenomas. This helps surgeons target their surgery, making it safer and more effective.
Thyroid Nodule Evaluation
Thyroid nodules are common and can be either benign or cancerous. SPECT scans help check if nodules are working right. Cold nodules, which don’t work, might be cancer and need more tests. SPECT scans help find these nodules, making diagnosis easier.
Adrenal Gland Imaging
The adrenal glands sit on top of the kidneys and make important hormones. Problems like Cushing’s syndrome or pheochromocytoma can be found with SPECT scans. These scans spot issues or tumors, helping doctors diagnose and treat correctly.
In summary, SPECT imaging is very important for diagnosing and treating endocrine disorders. It helps doctors understand gland function, leading to better care for patients.
Patient Preparation and Experience for SPECT Scans
Before getting a SPECT scan, it’s important to know what to do and what to expect. Getting ready properly is key for the best SPECT scan results.
Pre-scan Instructions and Contraindications
Follow the pre-scan instructions carefully to get accurate results. These might include:
- Fast for a certain period before the scan
- Avoid certain medications or substances
- Remove any metal objects or jewelry
- Inform the doctor about any medical conditions or allergies
Tell the doctor about any contraindications, like being pregnant or breastfeeding. These can make the procedure unsafe.
Radiation Exposure Considerations
Radiation exposure is a worry for SPECT scan patients. The dose is usually safe, but try to reduce it as much as you can.
Talk to your doctor about your radiation exposure risks. This is important if you’ve had many scans before.
What to Expect During the Procedure
Here’s what happens during a SPECT scan:
- Lie on a comfortable table that slides into the SPECT scanner
- Remain very quiet for a while as the scanner takes pictures
- Possibly do a stress test or get an injection of a special medicine
If you feel uncomfortable or anxious, tell the technologist right away.
Conclusion: The Future of SPECT in Clinical Diagnosis
SPECT imaging is key in clinical diagnosis and is used in many medical fields. New technology, like better detectors and algorithms, makes it even more useful. This helps doctors diagnose and treat patients more effectively.
The future of SPECT looks bright. It will keep being a major tool in nuclear cardiology and other areas. SPECT will help doctors diagnose and manage many conditions, including heart disease and brain disorders.
SPECT gives doctors important information to make better decisions for their patients. As it gets even better, we’ll see new ways SPECT is used. This will lead to better care and outcomes for patients.
FAQ
What is a SPECT scan used for?
A SPECT scan helps find and manage many health issues. It looks at heart blood flow, seizure areas, and more. It’s also used for dementia, bone problems, and infections.
How does a SPECT scan work?
A SPECT scan uses a gamma camera to find gamma rays from a tracer. The tracer goes into your body and shows up in certain areas. This lets the camera take detailed pictures.
What is the difference between a SPECT scan and other imaging modalities?
SPECT scans show how your body works, unlike CT or MRI which just show what it looks like. They help find problems by looking at how different parts function.
What is cardiac perfusion SPECT used for?
Cardiac perfusion SPECT checks heart blood flow. It finds heart disease and helps decide if you need surgery.
How is myocardial viability assessed using SPECT?
SPECT checks if heart muscle is alive or dead. Knowing this helps doctors decide if surgery is needed.
Can SPECT scans diagnose neurological disorders?
Yes, SPECT scans can spot neurological issues like dementia. They look for specific patterns in brain blood flow.
How are seizure foci localized using SPECT?
SPECT finds seizure areas by comparing scans taken during and between seizures. This helps pinpoint where seizures start.
What is the role of SPECT in diagnosing movement disorders?
SPECT helps find movement disorders like Parkinson’s. It looks at dopamine levels in the brain.
Can SPECT scans detect bone metastases?
Yes, SPECT scans can find bone cancer in the whole body.
How does SPECT help in infection and inflammation imaging?
SPECT spots infections and inflammation. It guides treatments for conditions like bone infections and inflammatory bowel disease.
What is the preparation required for a SPECT scan?
Before a SPECT scan, you might need to stop certain meds or fast. Always follow what your doctor or imaging center tells you.
What are the radiation exposure considerations for SPECT scans?
SPECT scans use a little radiation. The risk is low, but talk to your doctor if you’re worried.
What can I expect during a SPECT scan procedure?
During a SPECT scan, you’ll lie on a table that slides into a camera. It’s painless and usually takes 30 minutes to a few hours.
References
- Strauss, H. W., et al. (2008). Procedure Guideline for Myocardial Perfusion Imaging 3.3. The Journal of Nuclear Cardiology / The Society of Nuclear Medicine Technology.
https://tech.snmjournals.org/content/36/3/155 - Li, D. L., et al. (2021). Myocardial Perfusion and Viability Imaging in Coronary Artery Disease. The American Journal of Medicine.
https://www.amjmed.com/article/S0002-9343(21)00224-2/fulltext



