
Did you know thousands of people get diagnosed with brain tumors each year? Many turn to different tests to find answers. One question is if a Complete Blood Count (CBC) can show a brain tumor. A CBC checks your blood for red and white cells and platelets.
We’ll look into how a CBC brain tumor detection helps doctors diagnose and its link to detecting health issues. Even though a CBC doesn’t directly check for brain tumors, it can hint at overall health problems. This might lead to more tests to find the cause.
Key Takeaways
- A CBC measures various blood components and is used in diagnosing various health conditions.
- While not a direct test for brain tumors, a CBC can provide valuable health insights.
- Understanding CBC results can help identify the need for further diagnostic testing.
- A brain tumor blood test is not a single definitive test; diagnosis often involves multiple tests.
- A blood test for brain tumor is typically not used alone for diagnosis.
What is a Complete Blood Count (CBC) Test?

A Complete Blood Count (CBC) test is a key tool for doctors. It checks different parts of the blood. This helps doctors find and keep track of many health issues.
Components and Measurements in a CBC
A CBC test looks at several important parts of the blood. These include:
- Red Blood Cell (RBC) Count: This counts the red blood cells that carry oxygen.
- White Blood Cell (WBC) Count: It checks the white blood cells, which fight infections.
- Platelet Count: This measures the platelets, key for blood clotting.
- Hemoglobin (Hb): It checks the hemoglobin in red blood cells, which carries oxygen.
- Hematocrit (Hct): This measures the red blood cells in the blood.
Normal Reference Ranges for CBC Values
The normal ranges for CBC parts can slightly vary. But they usually fall within certain ranges. For example:
- RBC Count: usually 4.32-5.72 million cells per microliter for men and 3.90-5.03 million for women.
- WBC Count: often between 3.5-12.5 billion cells per liter.
- Platelet Count: usually 150,000-450,000 platelets per microliter.
These ranges help doctors see if a patient’s blood test results are normal.
Common Reasons Physicians Order CBC Tests
Doctors order CBC tests for many reasons. These include:
- Routine Check-ups: As part of a general health examination to detect any underlying conditions.
- Diagnosing Anemia: To check for low red blood cell count or hemoglobin levels.
- Infection or Inflammation: To assess the presence of infection or inflammation through white blood cell count.
- Monitoring Health Conditions: To track changes in blood components over time in patients with known health conditions.
Understanding a CBC test helps patients see its importance in health care.
The Relationship Between Blood Tests and Brain Tumors

It’s important to know how brain tumors change blood composition for early detection. Whether they are benign or malignant, brain tumors can affect the body in many ways. This can alter blood test results.
How Brain Tumors Can Affect Blood Composition
Brain tumors can change blood composition in several ways. They can affect the levels of red blood cells, white blood cells, and platelets. These changes can happen directly or indirectly, like through hormonal imbalances.
For example, some tumors can increase white blood cell count due to inflammation. On the other hand, some tumors might lower blood cell counts by affecting bone marrow.
| Blood Component | Possible Changes | Potential Causes |
| Red Blood Cells | Anemia or polycythemia | Chronic disease, bone marrow suppression, or erythropoietin production |
| White Blood Cells | Leukocytosis or leukopenia | Infection, inflammation, or bone marrow suppression |
| Platelets | Thrombocytosis or thrombocytopenia | Inflammation, infection, or bone marrow suppression |
Systemic Effects of Brain Tumors on the Body
Brain tumors can affect the body in many ways, not just locally. They can cause hormonal imbalances and affect the immune system. For example, tumors near the pituitary gland can disrupt hormone levels.
They can also change how the body uses glucose and lipids. These changes can show up in blood tests. Understanding these effects is key to interpreting blood work for brain tumors.
Indirect Indicators in Blood Work
Blood tests can hint at brain tumors, even if they’re not definitive. Abnormal blood cell counts or changes in electrolytes can suggest a tumor. But these signs can also mean other things.
It’s important to look at blood tests with the whole picture in mind. Other tests and symptoms can help confirm a diagnosis. This way, we can better understand a patient’s health.
We need to consider all the information when looking at blood tests. This includes imaging studies. This helps us make an accurate diagnosis.
CBC Brain Tumor Detection: Possibilities and Limitations
Even though CBC tests aren’t made for finding brain tumors, they can sometimes show signs of one. It’s important for doctors and patients to know what CBC can and can’t do in this area.
What a CBC Can Potentially Reveal About Brain Tumors
A CBC test looks at different parts of the blood. It checks red and white blood cells, platelets, and hemoglobin levels. It’s not a direct way to find brain tumors, but it can show signs of one.
For example, a high white blood cell count might mean there’s inflammation or infection. This could be linked to a brain tumor. Also, changes in red blood cell count or hemoglobin levels might point to anemia or other issues related to brain tumors.
An elevated white blood cell count could mean there’s inflammation or infection. This might be related to a brain tumor. Changes in red blood cell count or hemoglobin levels could suggest anemia or other conditions linked to brain tumors.
Why CBC Alone Is Insufficient for Diagnosis
Even though a CBC can give useful info, it’s not enough to diagnose brain tumors. It doesn’t directly find tumors. Instead, it shows how tumors or other issues might affect the blood. To really know if there’s a tumor, doctors need to use imaging like MRI or CT scans, and sometimes a biopsy.
Many things can change CBC results. This includes other health issues, medicines, and even recent exercise or stress. So, when looking at CBC results for brain tumor detection, doctors must think about the whole picture.
Statistical Reliability of CBC for Brain Tumor Screening
Research is ongoing on how reliable CBC is for screening brain tumors. Studies show CBC can sometimes show signs linked to brain tumors. But, it’s not very good at this job. So, CBC is not used alone to screen for brain tumors. It’s part of a bigger set of tests to figure out what’s going on.
Looking at CBC’s reliability means checking its sensitivity, specificity, and positive predictive value. For finding brain tumors, CBC’s main role is to suggest more tests are needed. It’s not a final say on whether there’s a tumor or not.
Specific CBC Abnormalities Associated with Brain Tumors
Brain tumors can show up in CBC tests. These changes are small but very important for finding and treating the tumor.
Red Blood Cell Count Variations
Red blood cell counts can change in brain tumor patients. This is due to inflammation and how the body makes new red blood cells. Some tumors cause anemia from chronic disease or bleeding. Others might lead to polycythemia because of extra erythropoietin.
White Blood Cell Abnormalities
White blood cells also change in response to tumors. This can lead to leukocytosis or leukopenia. The extent of these changes depends on the tumor, its location, and the patient’s health.
Platelet Count Changes and Clotting Factors
Platelet counts can also shift, with some patients having thrombocytopenia or thrombocytosis. These changes can affect how blood clots, raising the risk of bleeding or clotting.
| CBC Parameter | Normal Range | Abnormalities in Brain Tumors |
| Red Blood Cell Count | 4.32-5.72 million cells/μL | Variations due to tumor-related inflammation |
| White Blood Cell Count | 3,500-10,500 cells/μL | Leukocytosis or leukopenia due to immune response |
| Platelet Count | 150,000-450,000 platelets/μL | Thrombocytopenia or thrombocytosis affecting clotting |
Types of Brain Tumors and Their Blood Test Signatures
It’s important to know about the different brain tumors and their blood test signs. Brain tumors can be either primary or metastatic. Each type affects the body in its own way.
Primary vs. Metastatic Brain Tumors in Blood Work
Primary brain tumors start in the brain. Metastatic tumors come from other parts of the body. Primary tumors can change blood test results because they affect brain tissue.
Metastatic tumors show signs of the cancer they came from. Blood tests can find markers that point to the tumor’s origin.
Gliomas, Meningiomas, and Other Common Tumor Types
Gliomas and meningiomas are common primary brain tumors. Gliomas come from glial cells and can be aggressive. Blood tests for glioma patients might show changes in white blood cells or inflammation.
Meningiomas, which are usually benign, might not show much in blood tests unless they’re big. Other tumors, like acoustic neuromas or pituitary adenomas, also have unique signs in blood tests, but they’re often not specific.
Pediatric Brain Tumors and CBC Patterns
Pediatric brain tumors are different and harder to diagnose and treat. Some, like medulloblastomas or gliomas, can change complete blood count (CBC) results. For example, they might cause anemia or changes in white blood cells.
Doctors need to understand these changes to treat kids with brain tumors well. While CBC alone can’t diagnose, it helps when used with other tests to understand the patient’s health.
Specialized Blood Markers for Brain Tumor Detection
Biotechnology has led to finding blood markers for brain tumors. These markers could make diagnosis better and track how the disease grows.
Tumor-Specific Antigens and Biomarkers
Substances linked to brain tumors are found in the blood of patients. Identifying these markers helps doctors diagnose and keep an eye on the disease. For example, proteins or genetic material from tumor cells can be found in blood tests.
Some important tumor-specific antigens and biomarkers include:
- Epidermal growth factor receptor (EGFR) mutations
- Isocitrate dehydrogenase (IDH) mutations
- O6-methylguanine-DNA methyltransferase (MGMT) promoter methylation status
Inflammatory and Immune Response Markers
Research also focuses on inflammatory and immune response markers. Brain tumors can change the body’s immune response. Markers like cytokines and immune-related proteins can show if a brain tumor is present and active.
Examples of these markers are:
- C-reactive protein (CRP)
- Interleukins (IL-6, IL-8, etc.)
- Tumor necrosis factor-alpha (TNF-alpha)
Genetic and Molecular Indicators
Genetic and molecular indicators are also being studied. Circulating tumor DNA (ctDNA) and genetic material can reveal mutations linked to brain tumors.
Key genetic and molecular indicators include:
- Circulating tumor DNA (ctDNA)
- MicroRNAs (miRNAs)
- Specific gene mutations (e.g., TP53, BRAF)
The creation of these blood markers is a big step in fighting brain tumors. They show a lot of promise, but more research is needed to confirm their use in medicine.
Advanced Blood Testing Technologies Beyond CBC
New blood testing technologies are changing how we find brain tumors. Traditional tests like the Complete Blood Count (CBC) are helpful but limited. Now, we have better tests that can spot brain tumors early.
Liquid Biopsy Approaches for Brain Tumors
Liquid biopsy is a new way to test for cancer. It looks at cells or DNA in the blood. This method is good for finding brain tumors and learning about them.
Benefits of Liquid Biopsy:
- Less invasive than old biopsy methods
- Can find tumors early and track them
- Shows the different parts of a tumor
Circulating Tumor DNA and Cell-Free DNA Analysis
Tests for ctDNA and cfDNA are key in finding cancer. They look for DNA from tumors in the blood. For brain tumors, these tests can find special DNA signs.
But, brain tumors often release less DNA into the blood. This makes finding them harder.
Proteomic and Metabolomic Blood Profiling
Proteomic and metabolomic tests look at proteins and metabolites in the blood. They can find small changes that might mean a brain tumor is there. Researchers are looking for special signs in the blood to find tumors.
| Profiling Type | Description | Potential Application |
| Proteomic Profiling | Analysis of proteins in the blood | Identifying protein biomarkers for brain tumors |
| Metabolomic Profiling | Analysis of metabolites in the blood | Detecting metabolic changes associated with brain tumors |
These new blood tests are getting better at finding brain tumors. They’re not used in hospitals yet but could change how we diagnose tumors. More research is needed to see how they work best.
Gold Standard Diagnostic Methods for Brain Tumors
Diagnosing brain tumors requires top-notch techniques. These methods help find out if a tumor is there, what type it is, and how big it is. This info is key for deciding how to treat it.
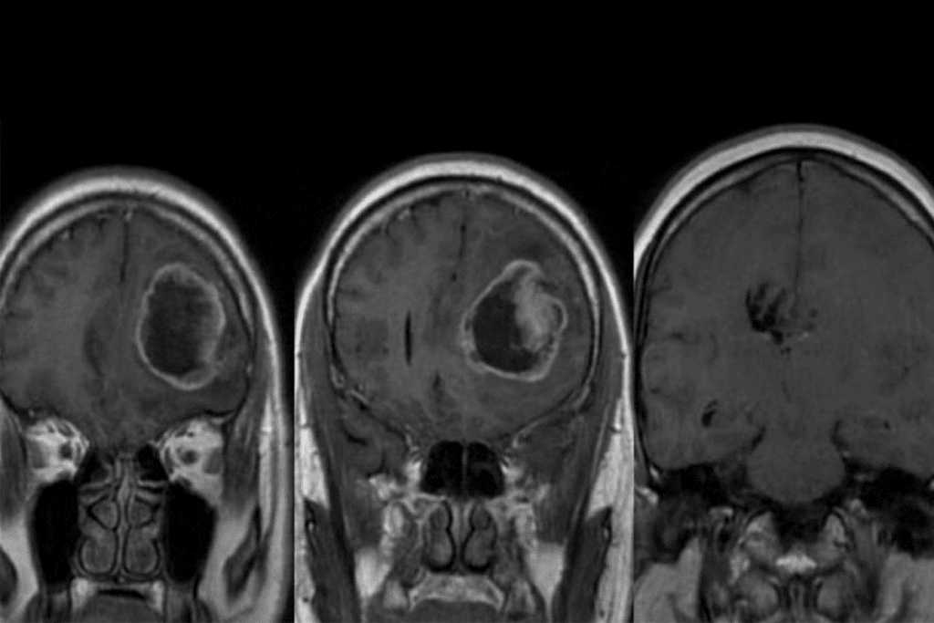
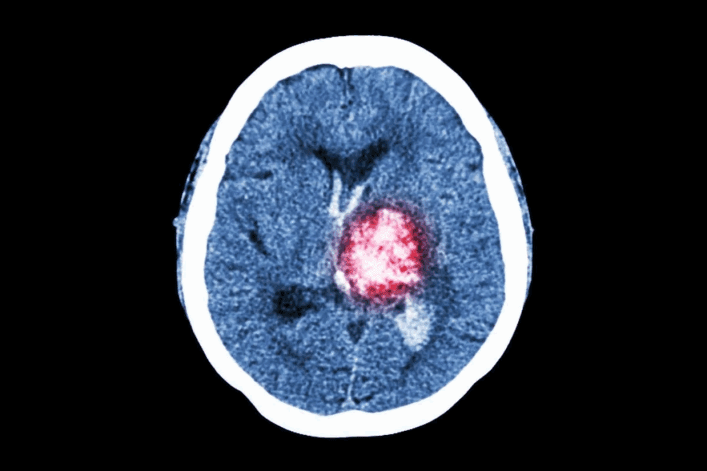
Neuroimaging Techniques (MRI, CT, PET)
Neuroimaging is a big deal in finding brain tumors. MRI, CT scans, and PET scans are at the top of the list for seeing tumors clearly.
Each imaging method has its own strengths:
- MRI: Gives detailed pictures of soft tissues like the brain, without harmful radiation.
- CT scans: Fast and useful in emergencies, they show tumors and other issues like bleeding or calcification.
- PET scans: Shows how active tumors are, helping to tell them apart and see how aggressive they are.
| Imaging Modality | Key Features | Clinical Use |
| MRI | High-resolution soft tissue imaging, no radiation | Detailed tumor anatomy, treatment planning |
| CT | Quick, sensitive to calcifications and bleeding | Emergency diagnosis, detecting calcifications |
| PET | Metabolic information, assesses tumor activity | Tumor grading, assessing treatment response |
Cerebrospinal Fluid Analysis
CSF analysis is a key tool, mainly for tumors that spread through the CSF. It involves a spinal tap to get CSF. Then, it’s checked for tumor cells, proteins, or markers.
CSF analysis is vital for knowing if certain tumors like medulloblastomas or CNS lymphomas have spread.
Tissue Biopsy and Histopathological Examination
Getting a tissue biopsy is often the best way to confirm a brain tumor. It involves taking a tumor sample during surgery. Then, it’s looked at under a microscope for any unusual cells.
Looking at the tumor tissue under a microscope is key. It tells us what kind of tumor it is, how serious it is, and its genetic makeup. This info is essential for choosing the right treatment.
The Diagnostic Pathway: From Blood Test to Brain Tumor Diagnosis
Diagnosing brain tumors starts with blood tests and moves to more detailed tests. We’ll cover the steps from first symptoms to diagnosis.
Initial Symptoms and Screening Tests
The journey to find a brain tumor starts with symptoms like headaches and seizures. A Complete Blood Count (CBC) is often the first test. It checks the patient’s health and can show problems.
A CBC can show issues like abnormal blood cell counts. But, it’s not enough to find brain tumors.
Interpreting Abnormal CBC Results
Abnormal CBC results mean more tests are needed. Abnormal CBC results can show issues like infections or tumors. For example, too many white blood cells might mean an infection.
Low red blood cells could mean anemia. Here’s a table of common CBC issues and what they might mean.
| CBC Parameter | Abnormality | Potential Implication |
| White Blood Cell Count | Elevated | Infection, Inflammation, or Tumor |
| Red Blood Cell Count | Low | Anemia or Chronic Disease |
| Platelet Count | Low or High | Bleeding Disorders or Bone Marrow Issues |
The Sequence of Diagnostic Procedures
After abnormal CBC results, more tests are done. These include MRI or CT scans and cerebrospinal fluid analysis. Sometimes, a tissue biopsy is needed for a clear diagnosis.
Each test gives more info about the tumor. This helps doctors find the right treatment.
Case Studies: When CBC Provided Clues to Brain Tumors
Many case studies show that CBC abnormalities can hint at brain tumors. These examples show how blood tests and brain health are linked.
Documented Cases of CBC Abnormalities Leading to Diagnosis
Several cases show how CBC results helped find brain tumors. For example, a patient with headaches and tiredness had high white blood cells. This led to finding a glioma.
| Case | CBC Abnormality | Diagnosis |
| 1 | Elevated WBC | Glioma |
| 2 | Low RBC | Meningioma |
| 3 | Abnormal Platelet Count | Metastatic Tumor |
These examples show CBC is not always right but can point to more tests needed.
False Negatives: When CBC Appeared Normal Despite Tumors
On the other hand, some patients with brain tumors had normal CBCs. For instance, a patient with glioblastoma had normal CBC results. This shows we need more than just CBC for diagnosis.
Lessons Learned from Diagnostic Challenges
These cases teach us to use many tests together. Even with normal CBCs, we must keep looking. This is because CBCs can be misleading.
Looking at these cases, we learn how CBC fits into finding brain tumors. We see the need for a careful approach to patient care.
Brain Tumors That May Not Affect Blood Test Results
Some brain tumors don’t change blood levels much, making blood tests tricky. The link between brain tumors and blood tests is complex. It depends on the tumor’s size, location, growth rate, and the blood-brain barrier.
Size and Location Factors
The size and where a brain tumor is located matter a lot. Smaller tumors in less connected areas might not change blood levels much. But, bigger tumors or those near important brain parts can affect blood tests more.
Slow-Growing vs. Aggressive Tumors
The tumor’s growth rate is key. Slow-growing tumors might not upset the body much, so blood tests might not show changes. But, fast-growing tumors can cause big changes in blood work.
Blood-Brain Barrier Considerations
The blood-brain barrier (BBB) keeps the brain safe. It stops harmful stuff from getting in. Tumors that don’t break the BBB might not show up in blood tests.
| Factor | Influence on Blood Test Results |
| Tumor Size | Larger tumors more likely to cause changes |
| Tumor Location | Tumors near critical structures may cause more changes |
| Growth Rate | Aggressive tumors more likely to cause abnormalities |
| Blood-Brain Barrier Integrity | Intact BBB may limit detectability |
Doctors need to understand these factors to make sense of blood tests. Blood tests are helpful but not the only way to find brain tumors. They’re part of a bigger process.
Comparing CBC Effectiveness to Other Screening Methods
Let’s look at how CBC compares to other ways to find brain tumors. This will show us what CBC does well and what it doesn’t. It’s key to knowing how it helps in finding brain tumors.
Sensitivity, Specificity, and Predictive Values
When we talk about CBC’s role in finding brain tumors, we look at its sensitivity, specificity, and predictive values. Sensitivity is how well it finds people with tumors. Specificity is how well it finds people without tumors.
- Sensitivity of CBC for brain tumors is generally considered low, as it may not detect all cases, even in early stages.
- Specificity is also a concern, as abnormal CBC results can be caused by many conditions other than brain tumors.
- Positive Predictive Value (PPV) and Negative Predictive Value (NPV) are key. They tell us the chance of a real brain tumor in patients with abnormal or normal CBC results.
Cost-Effectiveness and Accessibility Analysis
CBC is easy to get and not very expensive compared to MRI or PET scans. But, its value in finding brain tumors is debated because it’s not very sensitive or specific.
- CBC is often the first test used because it’s cheap and easy to get.
- More accurate tests like MRI or PET scans are pricey and not available everywhere.
- Even though CBC is not perfect, it’s useful as a first test to decide what to do next.
Risk-Benefit Assessment of Different Screening Approaches
When we think about different ways to screen for brain tumors, we need to think about the risks and benefits. CBC is a simple blood test with little risk but it’s not very good at finding tumors.
- More advanced tests like MRI don’t use radiation but might cost a lot or use special agents.
- New blood tests like liquid biopsy might be more accurate and less invasive than CBC.
- Choosing a screening method depends on many things like your risk, symptoms, and the doctor’s advice.
By comparing CBC to other methods, we can see its place in finding brain tumors. CBC has its limits, but it’s a good first step when used right.
When to Pursue Additional Testing Beyond CBC
After a CBC, some symptoms and risk factors might need more tests for brain tumors. A CBC is useful but not enough to confirm brain tumors. More tests are needed when certain signs are present.
Neurological Symptoms That Warrant Immediate Attention
Some neurological symptoms need quick medical help and more tests than just a CBC. These include:
- Severe headaches that worsen over time
- Seizures or convulsions
- Vision changes, such as double vision or loss of peripheral vision
- Difficulty with speech or understanding language
- Weakness or numbness in the arms or legs
If you or someone you know has these symptoms, get medical help right away.
Risk Factors That Justify Additional Screening
Some people might need more tests for brain tumors because of certain risks. These risks include:
- A family history of brain tumors
- Previous exposure to ionizing radiation
- Certain genetic syndromes, such as neurofibromatosis
- Age, as some brain tumors are more common in specific age groups
If you have any of these risks, talk to your doctor about your risk.
Advocating for Appropriate Diagnostic Workup
It’s important to speak up for yourself or a loved one to get the right tests. This means:
- Requesting a thorough neurological examination if symptoms persist or worsen
- Discussing the need for imaging studies, such as MRI or CT scans, with your healthcare provider
- Understanding the results of your tests and what they mean for your diagnosis and treatment plan
Being proactive about your health can greatly impact your diagnosis and treatment.
Future of Blood-Based Brain Tumor Detection
Medical research is making big strides in finding better ways to detect brain tumors through blood tests. We’re seeing a lot of promise in using blood tests to spot brain tumors. This could lead to more accurate and timely diagnoses.
Research Breakthroughs and Clinical Trials
Research and clinical trials are key to improving blood-based brain tumor detection. Scientists are looking for biomarkers and genetic signs that point to brain tumors. For example, some proteins and DNA in the blood can hint at the presence of tumors.
Key areas of research include:
- Identifying specific biomarkers for different types of brain tumors
- Developing more sensitive and specific tests for detecting these biomarkers
- Exploring the role of liquid biopsies in monitoring tumor progression and treatment response
AI and Machine Learning Applications
AI and machine learning are making blood test data analysis better. They help spot brain tumors earlier and more accurately. These technologies can find patterns and oddities that humans might miss.
The benefits of AI in blood-based detection include:
- Improved diagnostic accuracy
- Enhanced ability to detect tumors at an early stage
- Potential for personalized medicine approaches based on individual patient profiles
Timeline for Implementation in Standard Practice
The timeline for using these new methods in everyday medicine is varied. Some findings are being used quickly, while others need more testing. This depends on how well they work in real-world settings.
We expect:
- Short-term (2-5 years): Initial biomarkers and AI-driven tools will start being used in clinics.
- Mid-term (5-10 years): More advanced liquid biopsy techniques and blood profiling will become common.
- Long-term (10+ years): Blood-based detection methods will be widely used, possibly reducing the need for invasive tests.
As research keeps moving forward, we’re committed to bringing the best diagnostic and treatment options to our patients.
Conclusion: Understanding the Role of CBC in Brain Tumor Diagnosis
We’ve looked into how Complete Blood Count (CBC) tests relate to brain tumor diagnosis. We’ve seen both the good and the bad sides of using CBC results.
While CBC tests can hint at the presence of a tumor, they’re not a surefire way to diagnose. Yet, they can be a good starting point for screening.
For a true diagnosis, doctors need to use more advanced methods. This includes detailed brain scans, fluid tests, and biopsies.
As science moves forward, we might see better blood tests for finding tumors. This could make CBC even more useful in diagnosis.
It’s key for doctors and patients to know what CBC can and can’t do. This knowledge helps make better choices and act quickly.
FAQ
Can a CBC blood test detect a brain tumor?
A CBC (Complete Blood Count) is not a direct way to find brain tumors. But, it can hint at their presence. This might lead to more tests to confirm.
What are the normal reference ranges for CBC values, and how do they relate to brain tumor detection?
CBC ranges vary by lab but include counts for red and white blood cells, platelets, and hemoglobin. These ranges help spot health issues, like brain tumors, but aren’t direct signs.
How do brain tumors affect blood composition, and can these changes be detected through a CBC?
Brain tumors can change blood by causing inflammation or altering hormone levels. A CBC might show these changes, like in white blood cell counts. But, these signs aren’t specific to brain tumors.
Are there specific abnormalities in CBC that are associated with brain tumors?
Anemia, leukocytosis, or thrombocytopenia can hint at health issues, including brain tumors. Yet, these signs alone can’t confirm a diagnosis.
Can different types of brain tumors have distinct signatures in blood tests like CBC?
Different tumors might affect the body and blood tests differently. But, CBC can’t tell one tumor type from another. More advanced tests are needed for that.
What are some advanced blood testing technologies beyond traditional CBC for detecting brain tumors?
New tech includes liquid biopsy, DNA analysis, and profiling of proteins and metabolites. These are being studied to spot brain tumors and track their growth.
How does the diagnostic pathway from initial blood tests to a confirmed diagnosis of a brain tumor typically unfold?
It starts with tests like CBC, then neuroimaging if needed. A biopsy and histopathology usually confirm the diagnosis.
Are there cases where CBC appeared normal despite the presence of a brain tumor?
Yes, some people with brain tumors have normal CBCs. The tumor’s size, location, and growth rate can affect blood tests.
What factors influence whether a brain tumor will affect blood test results?
Size, location, growth rate, and inflammation are key. The blood-brain barrier also plays a role in what tests show.
When should one pursue additional testing beyond CBC for brain tumor detection?
More tests are needed with symptoms, risk factors, or abnormal CBCs. A full diagnostic workup is important.
What is the future of blood-based brain tumor detection?
Research is ongoing for blood markers, new testing tech, and AI. These advances aim to improve blood test accuracy for brain tumors.
Reference
Palmieri, A., et al. (2021). Update on headache and brain tumors. Cephalalgia Reports, 4, 2514183X20968368. https://journals.sagepub.com/doi/10.1177/2514183X20968368