
Cerebral Amyloid Angiopathy (CAA) is a condition where proteins called amyloid build up on the walls of the brain’s arteries. This cerebrovascular disorder is common in people aged 65 and older. It’s also seen in those with Alzheimer’s disease cerebral amyloidosis symptoms.
The buildup of amyloid beta-peptide in blood vessel walls can cause big problems for the brain. These include hemorrhagic stroke and dementia. Knowing about CAA is key to managing and caring for aging populations.
Key Takeaways
- CAA is a cerebrovascular disorder characterized by amyloid buildup in brain arteries.
- It is prevalent among individuals aged 65 and older, specially those with Alzheimer’s.
- CAA can lead to hemorrhagic stroke and dementia.
- Early recognition is critical for proper management and care.
- Liv Hospital’s patient-centered approach ensures cutting-edge diagnostic protocols for CAA.
Understanding Cerebral Amyloid Angiopathy (CAA)

CAA is marked by amyloid beta-peptide deposits in blood vessel walls. This condition causes amyloid proteins to build up in the brain’s blood vessels. This buildup can lead to various changes in the brain.
Definition and Basic Pathology
Cerebral Amyloid Angiopathy involves amyloid proteins in brain blood vessels. This makes the vessels weak and can cause them to burst. The amyloid deposits are mainly amyloid beta-peptide, the same protein found in Alzheimer’s disease.
The condition’s pathology shows amyloid in blood vessel walls. This can cause the walls to thicken and lose smooth muscle cells.
|
Pathological Feature |
Description |
|---|---|
|
Amyloid Deposition |
Accumulation of amyloid beta-peptide in blood vessel walls |
|
Vessel Wall Thickening |
Thickening of blood vessel walls due to amyloid deposition |
|
Smooth Muscle Cell Loss |
Loss of smooth muscle cells in the blood vessel walls |
Historical Context and Discovery
The discovery of CAA goes back to the early 20th century. It was first seen as a rare condition linked to aging and dementia. With better neuropathology and imaging, CAA is now known as a major cause of bleeding in the elderly brain.
Research on CAA has grown, linking it to Alzheimer’s disease. Both involve amyloid beta-peptide buildup. Knowing CAA’s history helps us understand its effects on the brain.
The Pathophysiology of CAA

To understand CAA, we must look at how amyloid beta-peptide harms brain blood vessels. This damage is complex, with many factors weakening the walls.
Amyloid Beta-Peptide Accumulation Process
In CAA, amyloid beta-peptide builds up in brain arteries. It starts with amyloid beta-peptide from the amyloid precursor protein (APP). Over time, this buildup thickens the walls.
This buildup messes with blood vessel structure and function. It causes a loss of muscle cells and damages the matrix. This weakens the vessels.
How Amyloid Deposits Affect Brain Blood Vessels
Amyloid deposits change how blood vessels work. They make vessels less flexible and more likely to burst. This is because amyloid damages the vascular wall, causing inflammation and harm to endothelial cells.
These fragile vessels are at high risk for intracerebral hemorrhage. Other risk factors, like high blood pressure, increase this risk even more.
Relationship Between CAA and Vessel Fragility
CAA and vessel fragility are closely linked. As CAA worsens, amyloid beta-peptide makes vessels more fragile. This fragility is a big risk for lobar intracerebral hemorrhages, typical of CAA.
This fragility also leads to microbleeds, small hemorrhages seen on MRI. These microbleeds show the vascular damage in CAA patients.
Types of Cerebral Amyloid Angiopathy
CAA is complex, with different types. These include sporadic cases, hereditary forms, and cases linked to inflammation. Knowing about these types is key for the right diagnosis and treatment.
Sporadic CAA
Sporadic CAA is the most common type. It happens without a family history. It’s more common in older people. The exact cause is not known, but it’s thought to be a mix of genetics and environment.
Key characteristics of sporadic CAA include:
- Typically occurs in older adults
- No clear familial pattern
- Associated with amyloid beta-peptide deposition in brain blood vessels
Hereditary Forms of CAA
Hereditary CAA, or familial CAA, is caused by genetic mutations. These mutations lead to abnormal amyloid proteins. These mutations are passed down in an autosomal dominant pattern, meaning one copy of the mutated gene is enough to cause the condition.
Notable hereditary forms include:
|
Condition |
Gene Involved |
Characteristics |
|---|---|---|
|
Dutch-type CAA |
APP gene |
Characterized by recurrent hemorrhages and dementia |
|
Icelandic-type CAA |
Cystatin C gene |
Associated with brain hemorrhages and cognitive decline |
CAA-Related Inflammation
CAA-related inflammation, or CAA-ri, is a unique subtype. It’s marked by an inflammatory response to amyloid deposits in the brain. Symptoms can include seizures, cognitive decline, and focal neurological deficits.
Management of CAA-ri involves:
- Immunosuppressive therapy to reduce inflammation
- Monitoring for treatment side effects
- Supportive care to manage symptoms and improve quality of life
Epidemiology and Risk Factors
CAA is closely linked to growing older and often happens with Alzheimer’s disease.
Age-Related Prevalence
The risk of CAA grows with age, mainly after 65. Research shows it’s more common in older people. This points to age as a key risk factor.
As more people live longer, CAA will likely become a bigger health issue.
Connection to Alzheimer’s Disease
CAA often appears with Alzheimer’s disease, suggesting a common cause. The amyloid beta-peptide, a key Alzheimer’s component, is also found in CAA blood vessels.
This link is important. It could help us understand and treat both diseases better.
Genetic Risk Factors
Some genes increase the risk of CAA. For example, the APOE ε4 allele raises the risk, more so in those with Alzheimer’s.
Knowing these genetic risks helps us spot who’s at higher risk. It could lead to better prevention or early treatment.
Cerebral Amyloidosis Symptoms and Clinical Presentation
People with CAA often face a mix of symptoms. These can include seizures, headaches, and cognitive issues. The way CAA shows up can differ a lot from person to person. This makes it hard to diagnose and treat.
Headaches and Their Characteristics
Headaches are common in CAA patients. They are usually severe and very bothersome. These headaches come from amyloid deposits in the brain’s blood vessels.
This causes inflammation and irritation. The headaches can last a long time and may come with other brain symptoms.
Seizures and Neurological Disturbances
Seizures are a big symptom of CAA. The amyloid deposits irritate the brain, leading to seizures. Other brain problems, like short-term neurological issues, can also happen.
These issues can cause temporary brain problems. They need quick medical help.
Cognitive Impairment Patterns
Cognitive problems are a key symptom of CAA. They can look like Alzheimer’s disease. Patients might forget things, struggle with words, and see other thinking problems.
The brain problems can get worse slowly. Sometimes, they can look like dementia symptoms.
The different ways CAA shows up highlight the need for a detailed diagnosis. Knowing the symptoms and their effects is key to helping patients.
Major Clinical Manifestations of CAA
CAA is a condition where amyloid beta-peptides build up in blood vessel walls in the brain. This leads to various symptoms and vascular events that need to be diagnosed and managed.
Lobar Intracerebral Hemorrhages
Lobar intracerebral hemorrhages are a key sign of CAA. They cause sudden neurological problems. This happens because amyloid weakens blood vessel walls.
Characteristics of lobar intracerebral hemorrhages in CAA:
- Typically occur in the lobar regions of the brain
- Often associated with APOE gene variants
- Can lead to significant morbidity and mortality
Microbleeds and Their Significance
Microbleeds are small, chronic hemorrhages seen on MRI scans. They show the vascular damage in CAA.
|
Feature |
Description |
|---|---|
|
Location |
Typically found in lobar regions |
|
Detection |
Best visualized on gradient echo MRI sequences |
|
Significance |
Indicate small vessel disease and increased risk of larger hemorrhages |
Transient Neurological Episodes
Transient neurological episodes, or “amyloid spells,” can happen in CAA patients. These episodes can seem like TIAs but are different.
Key features of transient neurological episodes:
- Typically short-lived, lasting minutes to hours
- May involve focal neurological deficits
- Can be recurrent
Behavioral and Psychological Symptoms
People with Cerebral Amyloid Angiopathy (CAA) often face behavioral and psychological symptoms. These symptoms can really affect their quality of life and need a full approach to manage. They also impact the lives of those caring for them.
Depression and Mood Changes
Depression is a big issue for those with CAA. It can bring mood swings and irritability. The amyloid in the brain messes with emotional control areas, causing these mood shifts. It’s key to spot and treat depression early to help patients.
The link between CAA and depression is complex. It involves amyloid’s direct effects on the brain and the emotional toll of a chronic illness. Treating depression in CAA patients needs a mix of medicines and psychological help.
Other Behavioral Manifestations
CAA patients might also show apathy, agitation, and aggression. These symptoms are tough for caregivers to handle and need special strategies.
Other changes include sleep and appetite issues, and less interest in activities. These symptoms make the situation even harder and affect patients’ health and happiness.
Impact on Daily Functioning
The symptoms of CAA can really mess with daily life. Simple tasks become hard because of cognitive and emotional problems.
|
Symptom |
Impact on Daily Functioning |
|---|---|
|
Depression |
Reduced motivation, decreased interest in activities |
|
Mood Changes |
Increased irritability, difficulty in social interactions |
|
Apathy |
Decreased initiative, neglect of personal care |
It’s vital to understand how these symptoms affect daily life. This knowledge helps create better care plans that cover both physical and mental health. By seeing the full picture of CAA’s effects, healthcare teams can offer better support.
Diagnostic Approaches for CAA
Neuroimaging and clinical criteria are key for diagnosing cerebral amyloid angiopathy (CAA). The way we diagnose CAA has changed a lot. This is thanks to new neuroimaging tools and clear clinical guidelines.
Neuroimaging Techniques
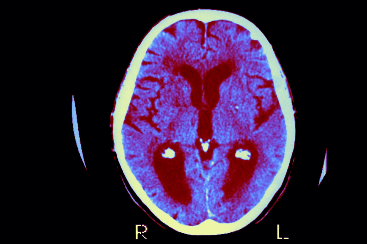
Neuroimaging is vital for spotting CAA. MRI (Magnetic Resonance Imaging) and CT (Computed Tomography) scans help find signs of CAA. These include lobar intracerebral hemorrhages and microbleeds.
Gradient Echo MRI sequences are great for finding microbleeds. These are a big sign of CAA. These tools help doctors diagnose and track how the disease is progressing.
The Boston Criteria
The Boston criteria help doctors diagnose CAA. They look at both neuroimaging findings and clinical signs. This helps figure out how likely CAA is.
|
Category |
Criteria |
|---|---|
|
Definite CAA |
Post-mortem examination confirming CAA |
|
Probable CAA |
Multiple lobar hemorrhages or microbleeds on MRI |
|
Possible CAA |
Single lobar hemorrhage or microbleed |
Differential Diagnosis Considerations
When diagnosing CAA, doctors must rule out other causes of bleeding. This includes looking at the patient’s history and doing a physical exam. It’s all about making sure CAA is the right diagnosis.
Diagnosing CAA requires a team effort. It combines neuroimaging and clinical criteria for a precise diagnosis.
Treatment Options and Management Strategies
Managing Cerebral Amyloid Angiopathy (CAA) needs a detailed plan. This includes both immediate care and long-term strategies. Good treatment plans help patients get better and lower the chance of more problems.
Acute Management of Hemorrhages
Handling hemorrhages in CAA patients is very important. Immediate medical attention is key to keep the patient safe and stop more bleeding. This might include:
- Watching the patient closely in an ICU.
- Using medicines to control blood pressure and stop seizures.
- In some cases, surgery to relieve pressure or fix damaged blood vessels.
Long-term Treatment Approaches
Long-term care for CAA aims to stop more bleeding and manage symptoms. This includes:
|
Strategy |
Description |
Benefits |
|---|---|---|
|
Blood Pressure Management |
Keeping blood pressure in check to lessen vascular stress. |
Reduces the risk of more bleeding. |
|
Antiepileptic Medications |
Medicines to stop seizures. |
Lessens the risk of complications from seizures. |
|
Lifestyle Modifications |
Making diet, exercise, and lifestyle changes. |
Boosts vascular health. |
Experimental Therapies and Clinical Trials
Research on CAA is always going on. New treatments and clinical trials are being tested. These include:
- Therapies to target amyloid beta and reduce it in blood vessels.
- Looking into genetic factors that might affect CAA.
- Studies on new medicines for blood thinning and seizures.
Joining clinical trials can give patients new treatments. It also helps move CAA management forward.
When to Seek Medical Attention
If you have CAA, knowing when to see a doctor is key. It’s important to know the signs that mean you need to go right away.
Warning Signs and Red Flags
Look out for symptoms that could mean your condition is getting worse. These include:
- Severe headache: A sudden, severe headache could be a sign of a hemorrhage.
- Confusion or altered mental status: Any sudden change in mental status or confusion could indicate a serious issue.
- Weakness or numbness: Sudden weakness or numbness, even on one side of the body, is a red flag.
- Seizures: New onset seizures or changes in seizure patterns.
Emergency Symptoms
If you have these emergency symptoms, you need to act fast:
|
Symptom |
Description |
|---|---|
|
Loss of consciousness |
Fainting or loss of consciousness, even if brief. |
|
Difficulty speaking or understanding speech |
Sudden difficulty speaking or understanding speech. |
|
Sudden vision changes |
Blurred vision, double vision, or loss of vision. |
Preparing for Your Doctor’s Appointment
Before you see your doctor, get ready by:
- Gather medical history: Collect all relevant medical records, including previous diagnoses and treatments.
- List your symptoms: Write down the symptoms you’re experiencing, including when they started and how often they occur.
- Medication list: Bring a list of all medications you’re currently taking.
Being prepared for your doctor’s appointment can help ensure that you receive the most effective care for your condition.
Conclusion
Cerebral Amyloid Angiopathy (CAA) is a complex condition. It happens when amyloid beta-peptide builds up in blood vessel walls in the brain. This can make vessels weak and lead to bleeding.
It’s important for both patients and doctors to understand CAA. This knowledge helps manage symptoms and prevent complications.
CAA is linked to Alzheimer’s disease. It can cause bleeding in the brain and affect thinking. Doctors use special imaging to diagnose it.
The Boston Criteria help doctors tell CAA apart from other conditions. This is key for accurate diagnosis.
Knowing about CAA is essential for better care. Doctors can improve patient outcomes by recognizing symptoms and using the right treatments. This way, they can help those with CAA more effectively.
FAQ
What is Cerebral Amyloid Angiopathy (CAA)?
Cerebral Amyloid Angiopathy (CAA) is a brain condition. It happens when amyloid builds up in brain blood vessels. This makes the vessels weak and can cause bleeding and memory loss.
What are the symptoms of CAA?
Symptoms of CAA can include headaches, seizures, and memory problems. People may also have short, strange episodes. Each person’s symptoms can be different.
How is CAA diagnosed?
Doctors use MRI scans to diagnose CAA. They also follow the Boston criteria. It’s important to rule out other conditions too.
What are the treatment options for CAA?
Treatment for CAA includes managing bleeding and preventing future problems. There are also experimental treatments. Each plan is based on the person’s situation.
Is CAA related to Alzheimer’s disease?
Yes, CAA and Alzheimer’s disease are linked. Both involve amyloid beta-peptide buildup. Having one condition can affect the other.
What are the risk factors for developing CAA?
Risk factors for CAA include age, genetics, and Alzheimer’s disease. Knowing these can help understand individual risks.
Can CAA be hereditary?
Yes, some CAA cases are inherited. They are linked to specific genetic mutations. These cases may need different management.
How does CAA affect brain blood vessels?
Amyloid buildup in CAA weakens brain blood vessels. This makes them more likely to burst and bleed.
What are the clinical manifestations of CAA?
Symptoms can include bleeding in the brain, tiny blood spots, and short episodes. These can greatly affect how well a person does.
When should I seek medical attention for CAA?
Seek medical help for severe headaches, seizures, or sudden brain problems. Writing down your symptoms and medical history can help your doctor.
What is the impact of CAA on daily functioning?
CAA can cause memory loss, mood changes, and other issues. These can make daily life and quality of life hard.
Are there any emerging treatments for CAA?
Yes, there are new treatments and trials for CAA. They aim to reduce amyloid and strengthen blood vessels.
Reference
National Center for Biotechnology Information. Cerebral Amyloid Angiopathy: Symptoms and Overview. Retrieved from https://pubmed.ncbi.nlm.nih.gov/22565298/