
At Liv Hospital, we know how serious brain aneurysms are. That’s why we focus on cerebral aneurysm embolization. It’s a new way to treat brain aneurysms that’s less invasive.
This method uses coils or other materials to stop blood flow to the aneurysm. This greatly lowers the chance of it bursting. Our team is here to help you at every step, from the first visit to after the treatment.
Choosing Liv Hospital means you’re choosing a place that cares about your health and safety. Our guide will help you understand the embolization process. You’ll know what to expect every step of the way.
Key Takeaways
- Minimally invasive procedure for treating brain aneurysms
- Embolic materials are used to block blood flow to the aneurysm
- Liv Hospital provides patient-centered care and guidance throughout the process
- Advanced medical technology for precise treatment
- Comprehensive support from initial consultation to post-procedure care
Understanding Cerebral Aneurysms and Their Treatment

A cerebral aneurysm is a weak spot on an artery wall in the brain. It can cause serious health problems if not treated. We will look into cerebral aneurysms, how they differ from embolisms, and the treatments available.
What Is a Cerebral Aneurysm?
A cerebral aneurysm is a bulge in a brain blood vessel. It can burst, causing bleeding in the brain. This is a serious condition that needs quick medical help.
Difference Between Aneurysms and Embolisms
Aneurysms and embolisms are two different vascular conditions. An aneurysm is a bulge in a blood vessel. An embolism is when something blocks blood flow in a vessel. Knowing the difference is key for the right treatment.
Treatment Options for Cerebral Aneurysms
Treatment for cerebral aneurysms depends on the aneurysm’s size, location, and the patient’s health. The main treatments are:
- Surgical Clipping: A traditional surgery that clips the aneurysm to stop bleeding.
- Endovascular Coiling: A less invasive procedure where coils are placed in the aneurysm to block blood flow.
- Flow Diversion: A newer method using a stent to redirect blood flow away from the aneurysm.
Advantages of Endovascular Approaches
Endovascular treatments like coiling and flow diversion have many benefits. They are less invasive and have a shorter recovery time. They are good for patients with hard-to-reach aneurysms or those not suited for open surgery.
| Treatment Option | Description | Advantages |
| Surgical Clipping | Clipping the aneurysm to prevent bleeding | Effective for certain aneurysm types, long-term outcomes |
| Endovascular Coiling | Coils placed within the aneurysm | Minimally invasive, reduced recovery time |
| Flow Diversion | Redirecting blood flow away from the aneurysm | Effective for complex aneurysms, promotes healing |
Indications and Contraindications for Cerebral Aneurysm Embolization

Knowing when to use cerebral aneurysm embolization is key for good results. This procedure is complex and needs careful thought. It’s important to consider many factors to help patients get the best care.
Ideal Candidates for Embolization
Finding the right patients for this treatment is important. Those with unruptured aneurysms at high risk of bursting are good candidates. Also, people with aneurysms causing symptoms or those who can’t have surgery are often chosen.
Endovascular embolization is best for some patients. This is because of the aneurysm’s location or size.
- Patients with high-risk unruptured aneurysms
- Recurrent aneurysms after previous treatments
- Aneurysms causing symptoms due to mass effect
- Poor candidates for surgical clipping
Aneurysm Characteristics Suitable for Embolization
The type of aneurysm matters a lot. Size, shape, and location are key. The WEB Aneurysm Embolization System is used for certain types, like wide-neck bifurcation aneurysms.
When to Consider Alternative Treatments
Embolization is a good choice for many, but not all. Some aneurysms are better suited for surgery. Patient health and other conditions also play a role in choosing the right treatment.
Risk Assessment and Patient Selection
Choosing the right patients is critical. It’s about weighing the risks of the procedure against the patient’s health. This helps doctors make the best treatment plans for each patient.
By understanding who should get embolization and why, we can improve outcomes. This approach helps us use the procedure safely and effectively.
Required Equipment and Materials for the Procedure
For the embolization of cerebral aneurysms, advanced imaging and special materials are key. The treatment needs top-notch medical gear and supplies. This ensures a safe and effective treatment.
Imaging Equipment and Angiography Suite Setup
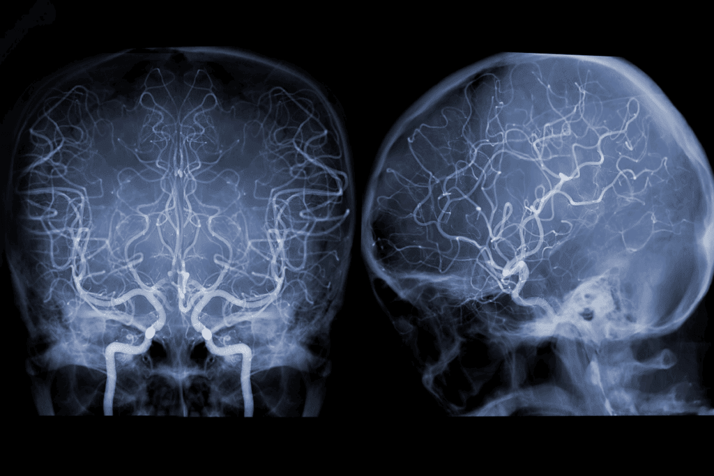
High-quality imaging is vital for treating cerebral aneurysms. We use advanced angiography suites with high-resolution digital subtraction angiography (DSA). These systems give us real-time images, helping us navigate the brain’s blood vessels accurately.
The angiography suite is set up for the best imaging and safety. It includes a biplane angiography system. This gives us two views of the blood vessels at once, helping us treat the aneurysm better.
Catheters, Microcatheters, and Guidewires
Different catheters, microcatheters, and guidewires are used in the procedure. These tools help us navigate the brain’s blood vessels and deliver materials to the aneurysm.
We choose the right tools based on the aneurysm’s size and location. This careful selection is key to safe and effective treatment.
Embolic Materials (Coils, Stents, Flow Diverters)
The type of embolic material used depends on the aneurysm and the patient. We use coils, stents, and flow diverters, each suited for different cases.
| Embolic Material | Description | Indications |
| Coils | Small, spiral-shaped devices that induce clotting within the aneurysm | Saccular aneurysms, small to medium-sized aneurysms |
| Stents | Mesh-like devices that support the arterial wall and prevent rebleeding | Wide-necked aneurysms, aneurysms with complex morphology |
| Flow Diverters | Devices that alter blood flow within the aneurysm, promoting clotting and exclusion from circulation | Complex, large, or giant aneurysms |
Monitoring Equipment and Emergency Supplies
Monitoring is key during the procedure. We use ECG, blood pressure monitoring, and neurological monitoring. This ensures the patient’s safety and quick response to any issues.
We also have emergency supplies ready. These include medications and equipment for managing complications like thromboembolic events or aneurysm rupture.
Pre-Procedure Patient Evaluation and Preparation
Success in brain embolization depends on careful preparation before the procedure. We know that a detailed patient evaluation is key. It helps us choose the best treatment and lower risks.
Diagnostic Imaging Assessment
Imaging tests are vital for checking the aneurysm’s size, location, and shape. We use MRI or CT scans to get detailed info. This info helps us pick the right embolization method.
Laboratory Tests and Patient Optimization
We run lab tests to check the patient’s health and spot any risks. We work to improve the patient’s health before the procedure. This includes managing conditions like high blood pressure or blood clotting issues.
Anesthesia Considerations and Setup
Choosing the right anesthesia is key for the patient’s comfort and safety. We look at the patient’s medical history and current health. Our team sets up the anesthesia equipment and monitors for a smooth procedure.
Informed Consent Process and Patient Education
Getting informed consent is a big step in preparing the patient. We explain the procedure, its risks and benefits, and other options. Our aim is to give the patient the knowledge to make a well-informed choice.
By carefully preparing the patient, we aim for a successful outcome and fewer complications. Our team is dedicated to personalized care and support every step of the way.
Performing Cerebral Aneurysm Embolization: The Procedure
Emboliizing a cerebral aneurysm is a precise and complex task. It needs skill and a deep understanding of the process. We will explore each step, making sure every action is done with care and precision.
Patient Positioning and Sterile Field Preparation
The first step is to position the patient on the angiography table. This allows easy access to the femoral artery. We make sure the patient is comfortable and secure to prevent movement during the procedure. A sterile field is then set up around the access site.
Vascular Access Techniques
Vascular access is gained through the femoral artery using the Seldinger technique. A guidewire is inserted into the artery, followed by a catheter. The catheter is then guided to the cerebral vasculature under fluoroscopic guidance.
Navigation to the Target Aneurysm
After gaining vascular access, we navigate a microcatheter to the target aneurysm. This step requires precise manipulation and real-time imaging for accurate placement.
Deployment of Embolic Materials
With the microcatheter in place, we deploy embolic materials like coils into the aneurysm. The choice of material and technique depends on the aneurysm’s size, shape, and location.
| Embolic Material | Characteristics | Use Case |
| Coils | Platinum or other biocompatible materials, various sizes | Saccular aneurysms, wide-neck aneurysms with stent assistance |
| Stents | Self-expanding or balloon-expandable, various diameters | Stent-assisted coiling, flow diversion |
| Flow Diverters | High mesh density, designed for flow diversion | Complex, large, or giant aneurysms |
The successful embolization of a cerebral aneurysm requires careful planning and execution. Understanding each step, from patient positioning to embolic material deployment, helps achieve the best outcomes for patients.
Coil Embolization Techniques for Different Aneurysm Types
Cerebral aneurysms are often treated with coil embolization. This method has grown to fit various aneurysm types. It’s a minimally invasive way to stop blood flow into the aneurysm, lowering the chance of rupture.
Simple Coiling for Saccular Aneurysms
Simple coiling is common for saccular aneurysms, the most common type. It fills the aneurysm sac with coils to stop blood flow. It works well for aneurysms with a narrow neck, allowing for tight coil packing.
Balloon-Assisted Coiling for Wide-Neck Aneurysms
Balloon-assisted coiling is key for wide-neck aneurysms. It uses a balloon to block the parent artery, making coil placement safer. This method keeps coils from entering the parent vessel, lowering complication risks.
Stent-Assisted Coiling Techniques
Stent-assisted coiling is used for complex aneurysms, like those with wide necks. A stent is placed across the aneurysm neck to support coil placement. This method is great for tough-to-treat aneurysms.
Flow Diversion for Complex Aneurysms
Flow diversion is a newer method for complex aneurysms. It uses stent-like devices to change blood flow and promote clotting. It’s very useful for large or giant aneurysms.
Coil embolization techniques keep getting better, giving more options for treating cerebral aneurysms. The right technique depends on the aneurysm’s shape, location, and the patient’s health. By knowing these techniques, doctors can choose the best treatment for each patient, leading to better results.
Arteriovenous Malformation Embolization Techniques
Dealing with arteriovenous malformations (AVMs) is different from treating aneurysms. AVMs are complex and need a special treatment plan.
Differences Between AVM and Aneurysm Embolization
AVM and aneurysm embolization differ mainly in the materials used and the procedure’s complexity. AVM treatment often uses liquid embolic agents, not common in aneurysm treatment.
Liquid embolic agents are key in AVM treatment. They can fill the malformation’s core, leading to better blockage.
Liquid Embolic Agents for AVMs
Liquid embolic agents, like Onyx or n-BCA, provide precise control during treatment. They’re great for complex AVMs with many blood sources.
“The use of liquid embolic agents has revolutionized the field of neurointervention, allowing for more effective and safer treatment of arteriovenous malformations.” – Expert in Neurointervention
Staged Embolization Approaches
At times, treating AVMs in stages is better. This method lowers the risk of problems and boosts success rates.
- First, embolize to shrink the AVM
- Then, follow up to block more
- Watch for any issues or changes
Combined Treatment Strategies
AVM treatment often needs a team effort. This includes embolization, radiosurgery, or surgery. The best approach depends on the AVM’s size, location, and type.
By understanding AVM embolization’s specifics and tailoring treatments, we can better help patients. This reduces the chance of complications.
Managing Complications During Brain Embolization Surgery
Brain embolization surgery’s success depends on handling complications quickly. Even with new technology, problems can happen. It’s key for doctors to be ready.
Recognizing Procedural Complications
Spotting complications early is vital. We watch for signs like changes in vital signs or unexpected images. Thromboembolic events and aneurysm rupture are serious risks.
To lower these risks, we choose patients carefully, use precise techniques, and be ready for emergencies.
Managing Thromboembolic Events
Thromboembolic events are a big risk. We use antiplatelet therapy and anticoagulation to manage this. If a complication happens, we quickly work to fix it, often using mechanical thrombectomy.
| Complication | Management Strategy | Key Considerations |
| Thromboembolic Events | Antiplatelet therapy, anticoagulation, mechanical thrombectomy | Monitoring coagulation status, readiness to respond to emergencies |
| Aneurysm Rupture | Immediate coiling or clipping, reversal of anticoagulation | Rapid recognition, preparedness for emergency intervention |
| Vascular Injury | Stent placement, coil embolization, surgical repair | Careful navigation, use of appropriate materials and techniques |
Addressing Aneurysm Rupture During Procedure
Aneurysm rupture is a serious issue that needs quick action. We’re ready with emergency steps like coiling or clipping. Fast action is key to managing it well.
Vascular Injury Management and Rescue Techniques
Vascular injury is another risk. We handle it with stent placement, coil embolization, or surgery. The right method depends on the injury and the patient’s health.
Being ready for these issues helps us keep patients safe during brain embolization surgery.
Post-Procedure Care and Monitoring
After embolization, it’s key to watch patients closely. We use a detailed plan to handle any issues and help them recover well.
Immediate Post-Procedure Management
Right after the procedure, patients stay in a special recovery area. We keep an eye on their vital signs and deal with any immediate problems. It’s very important to check their brain function closely during this time.
Neurological Assessment Protocol
We have a set plan for checking the patient’s brain health. This includes looking at cranial nerve function, motor response, and consciousness level. Our goal is to spot any problems early and act fast.
| Assessment Parameter | Frequency | Responsible Personnel |
| Vital Signs | Every 15 minutes | Nursing Staff |
| Neurological Status | Every 30 minutes | Neurological Team |
| Pain Management | As needed | Pain Management Team |
Antiplatelet and Anticoagulation Regimens
Managing antiplatelet and anticoagulation drugs is very important after the procedure. We adjust these based on each patient’s needs. It’s important to check blood clotting regularly to make sure the drugs are working right.
Discharge Planning and Patient Instructions
We start planning for discharge early. We teach patients and their caregivers about caring for themselves after the procedure. This includes how to take medications, when to come back for follow-ups, and what to watch for. We make sure they know what to do before they go home.
Brain Embolization Side Effects and Their Management
It’s important for patients and doctors to know about brain embolization side effects. This procedure treats cerebral aneurysms and can cause various side effects. These can range from mild to severe.
Common Side Effects and Their Timeline
Common side effects include headache, nausea, and fatigue. These symptoms usually start within a few days after the procedure. They can last for weeks.
Timeline of Common Side Effects:
| Side Effect | Typical Onset | Duration |
| Headache | Immediate to 24 hours | Several days to weeks |
| Nausea | Immediate to 48 hours | Several days |
| Fatigue | 24 to 72 hours | Several weeks |
Recognizing Serious Complications
While rare, serious issues like stroke or aneurysm rupture can happen. It’s key for patients to know the signs of these problems. This way, they can get help right away.
Warning Signs of Serious Complications:
- Sudden severe headache
- Confusion or difficulty speaking
- Weakness or numbness in limbs
- Vision changes
Long-Term Management of Side Effects
Managing side effects long-term involves medicine, lifestyle changes, and doctor visits. Patients should eat well and exercise regularly. This helps with recovery.
Patient Education on Warning Signs
Telling patients about warning signs is key in care after the procedure. They need to know what to expect and when to get help.
Knowing about brain embolization side effects and how to manage them helps patients recover better. This ensures the best results.
Conclusion: Advances and Future Directions in Cerebral Aneurysm Treatment
Looking back, we see how technology has changed cerebral aneurysm treatment for the better. New materials like coils, stents, and flow diverters have opened up more treatment options. This has made treatments safer and more effective for patients.
Research is ongoing to find even better ways to treat cerebral aneurysms. For example, using artificial intelligence and robotics in neurointerventional procedures could make treatments more precise and less risky. We’re excited about the future, where treatments will be even more effective, improving patients’ lives worldwide.
We’re committed to leading in the field of cerebral aneurysm treatment. This means patients get the best care available. By exploring new directions, we aim to make a big difference in the lives of those with cerebral aneurysms.
FAQ
What is cerebral aneurysm embolization?
Cerebral aneurysm embolization is a procedure to treat aneurysms in the brain. It involves filling the aneurysm with materials like coils. This helps prevent it from rupturing and causing bleeding.
What is the difference between an aneurysm and an embolism?
An aneurysm is a bulge in a blood vessel. An embolism is when something blocks a blood vessel. Aneurysms can burst and bleed, while embolisms can cut off blood flow and damage tissue.
What are the benefits of endovascular approaches over traditional surgical methods for cerebral aneurysm treatment?
Endovascular methods, like embolization, have many advantages. They require less recovery time and smaller incisions. They also often have fewer complications than open surgery.
What are the criteria for selecting patients for cerebral aneurysm embolization?
Doctors choose patients for embolization based on several factors. These include the size, location, and shape of the aneurysm. They also consider the patient’s overall health and medical history.
What are the possible side effects of brain embolization?
Side effects of brain embolization can include headaches, nausea, and neurological problems. The risk of these side effects varies with each case and the specifics of the procedure.
How is coil embolization performed for different types of aneurysms?
Coil embolization methods vary with the type of aneurysm. Simple coiling is often used for saccular aneurysms. For more complex aneurysms, balloon-assisted or stent-assisted coiling may be needed.
What is the role of imaging equipment in cerebral aneurysm embolization?
Imaging tools, like angiography, are key in cerebral aneurysm embolization. They help doctors see the aneurysm and guide the embolic materials into place.
How are complications managed during brain embolization surgery?
Complications during brain embolization surgery are managed through several steps. These include preventive measures, quick recognition, and effective treatments. This includes rescue techniques for vascular injury or thromboembolic events.
What is the importance of post-procedure care and monitoring after cerebral aneurysm embolization?
Post-procedure care and monitoring are vital for a smooth recovery. They help manage side effects and detect complications early. This allows for timely intervention.
What are the current advances and future directions in cerebral aneurysm treatment?
New developments in cerebral aneurysm treatment include better embolic materials and imaging techniques. These advancements offer safer and more effective treatments for patients.
References:
- Jersey, A. M. (2023). Cerebral Aneurysm. StatPearls.