At Liv Hospital, we use advanced imaging to help our patients. A chest CT scan gives us detailed pictures of the thoracic organs.

A CT scan of the chest is key when we need clear and fast results. It lets us see the lungs, heart, and more in great detail. This helps us find what’s causing chest pain or trouble breathing.The best guide to chest computed tomography is here. Learn what this powerful and amazing scan shows and why it is an essential diagnostic tool.
Key Takeaways
- A chest CT scan provides detailed images of thoracic organs.
- It helps diagnose conditions causing symptoms like chest pain or shortness of breath.
- Liv Hospital uses this technology for accurate diagnoses and treatment plans.
- The scan is particularly useful for examining the lungs and heart.
- Our patient-centered approach ensures comprehensive care.
Understanding Chest Computed Tomography: Advanced Imaging Beyond X-rays
We use Chest CT scans to get a better look at the chest. They go beyond what X-rays can show. This helps us diagnose and treat many chest problems.
How CT Technology Creates Detailed Cross-sectional Images
Chest CT scans combine X-rays and computer tech for detailed images. An X-ray tube moves around the body, taking many pictures. These pictures are then put together into a 3D image.
This image shows the chest’s inside parts clearly. It includes soft tissues, blood vessels, and lungs.
It’s great at showing soft tissues and areas around the lungs and heart. This helps spot problems that X-rays can’t see.
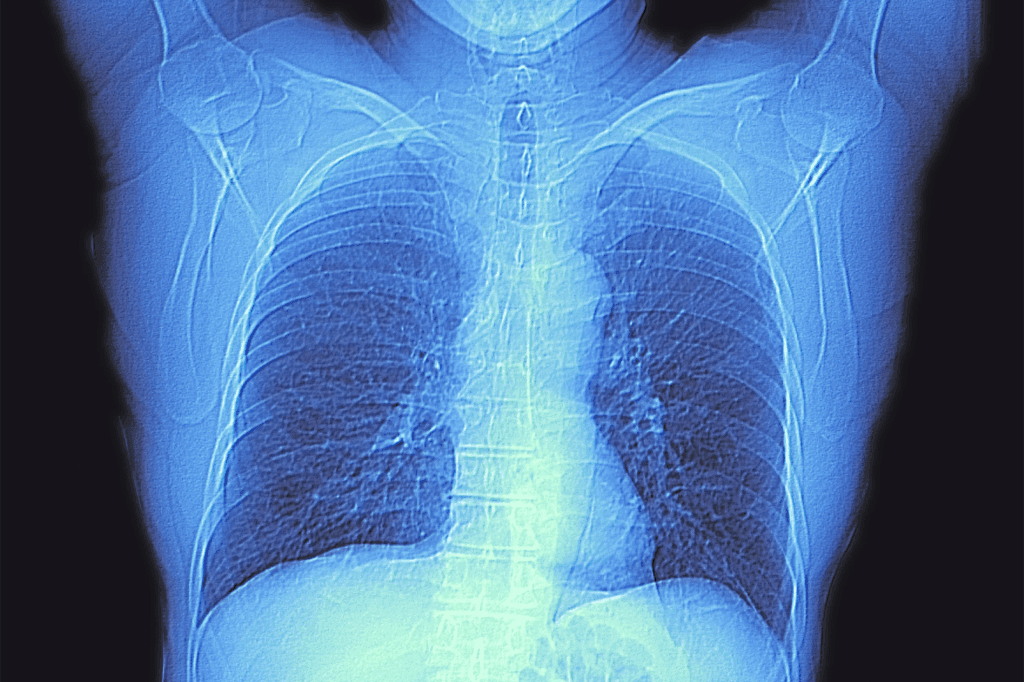
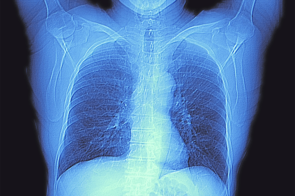
Comparison Between CT Scans and Traditional Chest X-rays
CT scans give a 3D view of the chest, unlike X-rays’ 2D view. This is especially helpful for complex cases or when a precise diagnosis is needed. CT scans can tell different soft tissues apart, showing more about organs and vessels.
Modern Low-Dose CT Technology and Safety Considerations
New CT tech cuts down radiation without losing image quality. Low-dose CT scans are safer for patients needing many scans. We use the latest tech to keep doses low and still get accurate images.
We focus on keeping patients safe at our place. We follow the ALARA principle to keep radiation doses low. This way, we give our patients the best care while protecting them from too much radiation.
5 Key Conditions a Chest CT Scan Can Detect
A chest CT scan is key for spotting lung infections, tumors, and blood clots. At Liv Hospital, we use these scans to get clear images. This helps us find and treat serious health problems.
Lung Infections and Inflammatory Diseases
Chest CT scans are great for finding lung infections and inflammatory diseases. They show up as areas of consolidation or nodules in the lung. CT scans help us see how bad the infection is, helping us decide on treatment.
For example, a chest CT scan can show fluid-filled alveoli in pneumonia. This is key for picking the right antibiotics and knowing if you need to stay in the hospital.
Benign and Malignant Tumors
Chest CT scans are also used to find and check tumors in the chest. They can tell if a tumor is benign or malignant by looking at its size and where it is. This helps us plan the best treatment.
- Lung nodules can be watched for changes over time.
- CT scans help see how tumors relate to nearby structures.
- They guide biopsies to get tissue for tests.
Pulmonary Embolism and Blood Clots
Pulmonary embolism is a serious condition where a blood clot blocks a lung artery. Chest CT scans with contrast are the best way to find it. They show the clot in the arteries.
Chronic Lung Diseases and Structural Abnormalities
Chronic lung diseases like COPD and emphysema can be checked with chest CT scans. These scans show structural problems like air trapping. This helps us understand and manage these diseases better.
“High-resolution CT scans provide a detailed assessment of lung structure, enabling clinicians to diagnose and manage chronic lung diseases more effectively.”
Liv Hospital Radiology Department
By accurately finding these conditions, we can make treatment plans that really work. This improves health and quality of life for our patients.
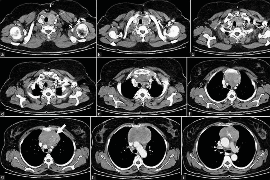
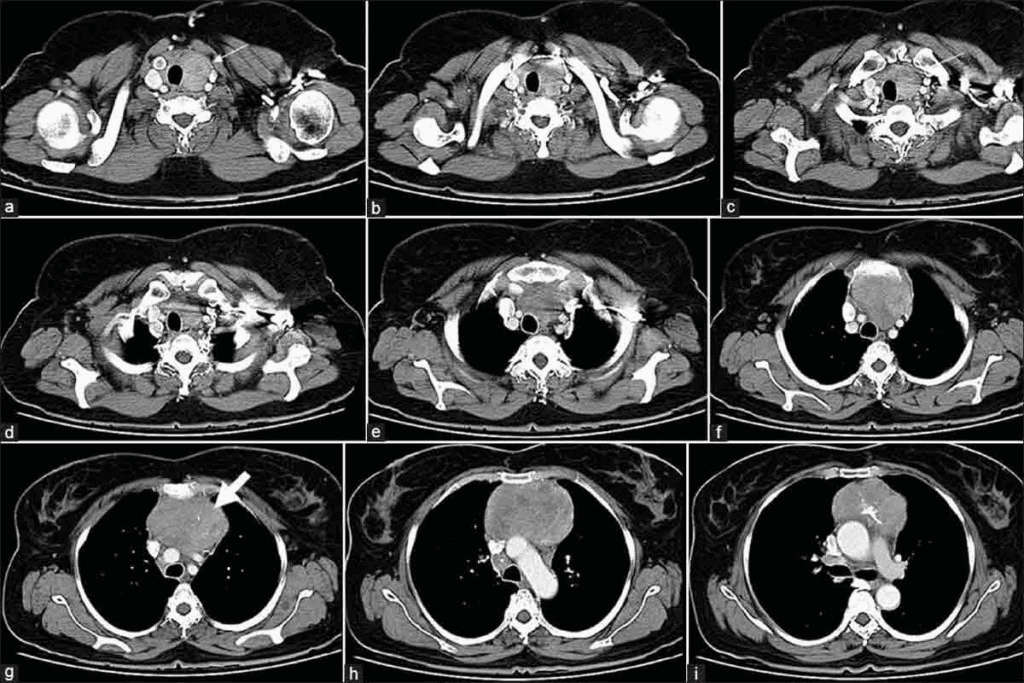
Detailed Visualization Capabilities of Chest CT Scans
Chest CT scans give us a clear view of the chest area. This helps doctors make accurate diagnoses and plan treatments. Our team uses the latest CT technology to get high-quality images. These images help in managing different chest conditions.

Soft Tissue Visualization and Analysis
Chest CT scans are great at showing soft tissues in detail. This is key for spotting problems like tumors, infections, and inflammation. Our radiologists study these images closely to give correct diagnoses.
Seeing soft tissues clearly helps us:
- Measure the size and location of lesions accurately
- Check the density and characteristics of tissues
- Spot small issues that X-rays can’t see
Blood Vessel Imaging and Contrast Enhancement
When we add contrast to chest CT scans, we get a clear view of blood vessels. This is vital for spotting issues like pulmonary embolism and checking blood vessel health. Contrast agents make blood vessels stand out, helping us find any problems.
The benefits of seeing blood vessels include:
- Accurate diagnosis of vascular problems
- Help in planning surgeries
- Tracking vascular diseases over time
Heart and Surrounding Structures Assessment
Chest CT scans also show us the heart and nearby areas. We can see the pericardium, heart chambers, and coronary arteries. Our radiologists are skilled at looking at these areas for any issues.
Looking at the heart and nearby areas helps us:
- Find heart problems
- Check for pericardial diseases
- See if there’s coronary artery disease
When Doctors Recommend a Chest Computed Tomography
Doctors often choose CT scans for a detailed chest check. Our team uses top-notch CT tech to spot and manage chest issues.

Following Abnormal Chest X-ray Results
Abnormal chest X-rays lead to chest CT scans. These scans give clearer images of the chest. They help us understand what’s wrong.
Evaluating Unexplained Respiratory Symptoms
People with unexplained breathing issues might get a chest CT scan. It can find the cause, like inflammation or infection.
- Assessing the extent of lung disease
- Identifying potential causes of respiratory symptoms
- Guiding further treatment or diagnostic procedures
Lung Cancer Screening Programs
Those at high lung cancer risk might get low-dose CT scans. Early detection is key to better treatment chances.
We follow strict guidelines for lung cancer screening. This ensures patients get the best care based on their risk and scans.
Monitoring Disease Progression and Treatment Response
For those with lung cancer or chronic lung diseases, CT scans of the chest track the disease. They also check how treatments are working. This helps us adjust plans as needed.
By using computed tomography of the chest, we keep a close eye on changes. This helps us make smart decisions about ongoing care.
Conclusion: The Role of CT Scans in Modern Chest Diagnostics
At Liv Hospital, we use chest computed tomography (CT) scans as a key tool in our healthcare. These scans give us detailed images of the chest and lungs. They help us find and treat problems like infections, tumors, and blood clots in the lungs.
CT scans help us make accurate diagnoses. This leads to better treatment plans for our patients. We stay up-to-date with the latest technology to ensure top-notch care for everyone.
With chest CT scans, we can track how diseases progress and how treatments work. This helps us make better choices for our patients. Our goal is to offer world-class healthcare and support to patients from around the world.
FAQ
What is a chest computed tomography (CT) scan?
A chest CT scan is a detailed imaging method. It shows cross-sections of the chest and its organs. This helps find the cause of symptoms like chest pain or shortness of breath.
How does a chest CT scan differ from a traditional chest X-ray?
A chest CT scan gives clearer images than a chest X-ray. It’s better for spotting problems in the lungs, heart, and nearby areas.
What conditions can a chest CT scan detect?
A chest CT scan can spot many issues. This includes lung infections, tumors, blood clots, and chronic lung diseases. It’s a key tool for diagnosing respiratory symptoms.
Is a chest CT scan safe?
Yes, modern CT scans use low doses of radiation. This makes them safe for use in diagnosing conditions.
Why might a doctor recommend a chest CT scan after an abnormal X-ray?
A doctor might suggest a chest CT scan after an abnormal X-ray. It helps get more detailed images for better diagnosis and treatment planning.
Can a chest CT scan be used for lung cancer screening?
Yes, chest CT scans are used in lung cancer screening. They help find cancer early, which can improve treatment results.
How does a chest CT scan help in monitoring disease progression or treatment response?
A chest CT scan shows detailed images of the chest. This lets doctors track changes in the condition. They can then adjust treatment plans as needed.
What can a chest CT scan show about the heart and surrounding structures?
A chest CT scan can show the heart and its surroundings in detail. This helps diagnose problems in these areas.
Are there any preparations needed before undergoing a chest CT scan?
Patients may need to prepare for a chest CT scan. This could include removing items, wearing certain clothes, or following instructions about contrast agents.
How long does a chest CT scan typically take?
A chest CT scan usually takes just a few minutes. It’s a quick procedure.
References:
- Revel, M.-P., Park, E., Trinquet, F., & Fartoukh, M. (2015). Low-dose CT for lung cancer screening: dose reduction and image quality. European Respiratory Journal, 45(6), 1529-1536. https://pubmed.ncbi.nlm.nih.gov/25862669/
- Hansell, D. M., Bankier, A. A., MacMahon, H., McLoud, T. C., Müller, N. L., & Remy, J. (2008). Fleischner Society: Glossary of Terms for Thoracic Imaging. Radiology, 246(3), 697-722. https://pubmed.ncbi.nlm.nih.gov/18195376/
- Aberle, D. R., Adams, A. M., Berg, C. D., Black, W. C., Clapp, J. D., Fagerstrom, R. M., … & National Lung Screening Trial Research Team. (2011). Reduced Lung-Cancer Mortality with Low-Dose Computed Tomographic Screening. New England Journal of Medicine, 365(5), 395–409. https://pubmed.ncbi.nlm.nih.gov/21714641/