
Chiari malformation is a neurological condition that affects the brain and spine. It causes symptoms like pain, headaches, and fatigue. A significant number of people suffer from this condition. Managing its symptoms is key to improving life quality.
Ibuprofen is often used to manage pain from various conditions. But can it help alleviate the symptoms of Chiari malformation? It’s important to understand ibuprofen’s role in managing this condition for those affected.
Key Takeaways
- Chiari malformation is a neurological condition affecting the brain and spine.
- Ibuprofen is commonly used to manage pain associated with various conditions.
- The role of ibuprofen in managing Chiari malformation symptoms is explored.
- Understanding ibuprofen’s effects on Chiari malformation can improve treatment options.
- Effective management of Chiari malformation symptoms is key to quality of life.
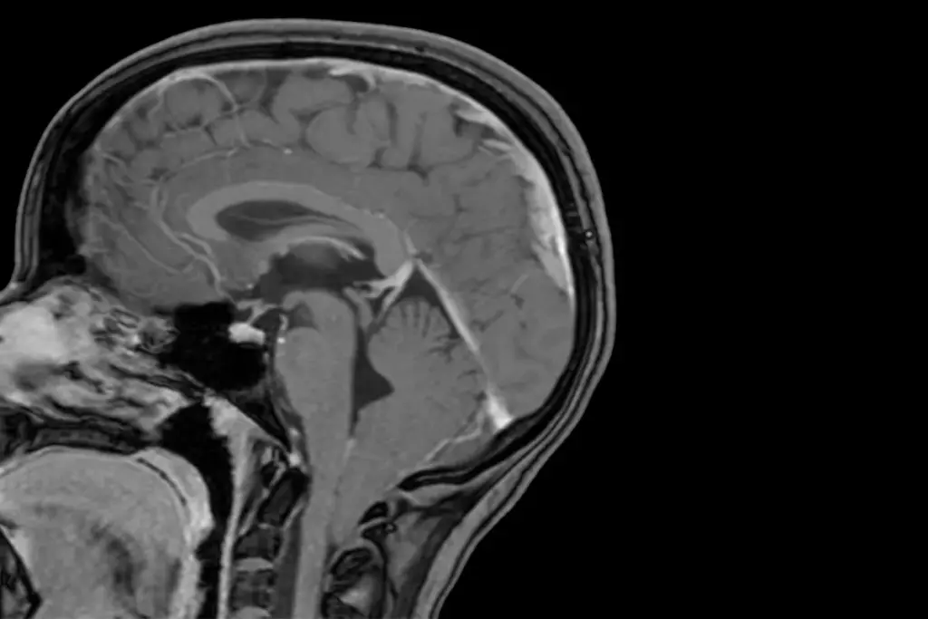
What is Chiari Malformation?

To understand Chiari malformation, we need to look at its anatomy and symptoms. This condition happens when the cerebellar tonsils move down through the foramen magnum. This can cause many neurological problems.
Definition and Anatomical Features
Chiari malformation affects the cerebellum and spinal cord. It can make the cerebellar tonsils bulge into the spinal canal. This might block the flow of cerebrospinal fluid.
- Abnormalities in the cerebellum and brainstem
- Downward displacement of cerebellar tonsils
- Potential compression of the spinal cord
This can cause headaches, fatigue, and muscle weakness. The severity and symptoms can differ from person to person.
Prevalence and Demographics
Chiari malformation symptoms can appear at any age, but are often seen in young adults. Studies show that Chiari malformation type1 is more common than thought. It might affect up to 1 in 100 people.
More women than men have Chiari malformation symptoms in adults. Symptoms can range from mild to severe neurological problems.
|
Demographic |
Characteristics |
|---|---|
|
Age of Onset |
Varies; often identified in young adults |
|
Gender Distribution |
Higher incidence in females |
Types of Chiari Malformation

Chiari malformation is not just one condition. It includes many types, each with its own features. These types are classified based on how severe the malformation is and which parts of the brain are affected.
Type I Chiari Malformation
Type I Chiari malformation is the most common. It usually starts showing symptoms in young adulthood or later. The cerebellar tonsils extend below the foramen magnum into the upper spinal canal. Symptoms can vary widely and may include headaches, fatigue, muscle weakness, and balance problems.
Type II Chiari Malformation
Type II Chiari malformation is more severe and is often diagnosed in infancy or early childhood. It involves a larger portion of the cerebellum extending into the spinal canal. This is often linked to myelomeningocele, a form of spina bifida. Symptoms can be more pronounced and may include breathing difficulties, swallowing problems, and developmental delays.
“The complexity of Type II Chiari malformation requires a complete treatment plan that addresses both the neurological and physical aspects of the condition.”
Type III and IV Chiari Malformation
Type III Chiari malformation is extremely rare. It involves a severe protrusion of the cerebellum and brainstem into a cervical spine defect. Type IV is characterized by an incomplete or abnormal development of the cerebellum. Both types are associated with significant neurological deficits and are often diagnosed prenatally or at birth.
Understanding the different types of Chiari malformation is key to finding the best treatment. While Type I is the most common, each type has its own challenges and characteristics.
Common Symptoms of Chiari Malformation
Knowing the symptoms of Chiari Malformation is key for getting the right treatment. This condition affects the cerebellum, causing brain and spinal cord problems. It leads to various symptoms.
Headache Characteristics
Headaches are a common symptom of Chiari Malformation. These headaches usually happen at the back of the head. They can get worse when you cough or strain.
The headaches can feel dull and aching. Sometimes, they can be sharp. How often and how bad they are can vary from person to person.
Neurological Symptoms
People with Chiari Malformation may also have other neurological symptoms. These include numbness or tingling in the hands and feet. They might also feel weak in their arms or legs.
Some may have trouble balancing or coordinating. Others might find it hard to swallow or have sleep apnea. This shows how different the symptoms can be.
Associated Conditions
Chiari Malformation often comes with other conditions. For example, syringomyelia creates a fluid-filled cavity in the spinal cord. This can cause weakness and loss of feeling in certain areas.
Other conditions like hydrocephalus and connective tissue disorders can also be present. These can make diagnosis and treatment more complex.
|
Symptom |
Description |
Prevalence |
|---|---|---|
|
Headaches |
Often occipital, exacerbated by increased intracranial pressure |
Common |
|
Numbness/Tingling |
Experienced in hands and feet |
Frequent |
|
Weakness |
In arms or legs |
Variable |
|
Syringomyelia |
Fluid-filled cavity within the spinal cord |
Associated Condition |
Diagnosis Process for Chiari
Diagnosing Chiari malformation involves several steps. These include imaging techniques, clinical checks, and ruling out other conditions. This detailed process helps doctors accurately spot Chiari malformation and rule out similar-looking conditions.
Imaging Techniques
Magnetic Resonance Imaging (MRI) is key for diagnosing Chiari malformation. It shows the brain and spinal cord in detail. Doctors can see the brain’s shape and any problems like syringomyelia.
At times, a Computed Tomography (CT) scan is used, mainly in emergencies. But CT scans are not as good as MRI for soft tissue issues. So, MRI is the top choice for Chiari malformation diagnosis.
Clinical Evaluation
A detailed check-up is vital for diagnosing Chiari malformation. Doctors look at your medical history and do a physical exam. They check for signs like headaches, neck pain, or balance issues.
They also do tests to see how well your muscles and nerves work. This helps them understand how severe the problem is and plan the best treatment.
Differential Diagnosis
Differential diagnosis is a big part of diagnosing Chiari malformation. It’s about making sure the symptoms aren’t from something else, like multiple sclerosis or spinal tumors.
By using imaging, clinical checks, and ruling out other conditions, doctors can give the right diagnosis and treatment. This approach helps manage Chiari malformation well.
Understanding Pain in Chiari Malformation
It’s important to understand the pain linked to Chiari malformation to manage it well. Pain is a big issue for those with Chiari, making everyday life tough.
Types of Pain Experienced
People with Chiari malformation face different kinds of pain. Headaches are a common problem, often very severe.
Neurological pain, like numbness or tingling, can happen too. This is because of the pressure on nerves. Knowing these types of pain helps in finding the right treatment.
Pain Triggers and Patterns
What triggers pain in Chiari malformation varies from person to person. Common causes include physical strain, coughing, and sudden movements. Finding out what triggers your pain is key to managing it.
|
Pain Trigger |
Common Activities |
Management Strategy |
|---|---|---|
|
Physical Strain |
Lifting heavy objects, bending |
Avoid heavy lifting, use proper bending techniques |
|
Coughing |
Coughing due to respiratory infections |
Manage respiratory health, consider cough suppressants |
|
Sudden Movements |
Quick head movements |
Practice slow, controlled movements |
Knowing the types of pain and what causes them helps those with Chiari malformation. This knowledge can lead to better symptom management and a better life.
How Ibuprofen Works in the Body
It’s important for people with Chiari Malformation to know how ibuprofen works. This drug is used to relieve pain and reduce swelling. It’s a nonsteroidal anti-inflammatory drug (NSAID).
Mechanism of Action
Ibuprofen stops the production of prostaglandins by blocking enzymes COX-1 and COX-2. Prostaglandins are substances that cause pain and swelling. By stopping these, ibuprofen helps reduce pain and swelling.
Anti-inflammatory Properties
Ibuprofen is great for fighting inflammation, like in Chiari Malformation. It helps lessen the pressure on the brain and spinal cord. This can make symptoms like headaches and neck pain better.
Analgesic Effects
Ibuprofen also helps with pain relief. It blocks pain signals in the brain, giving pain relief. Its ability to reduce both inflammation and pain makes it a good choice for Chiari Malformation symptoms.
Effectiveness of Ibuprofen for Chiari Headaches
For people with Chiari malformation, ibuprofen can help with headache relief. It’s important to know how it works for Chiari headaches to manage pain well.
Clinical Response Patterns
The way ibuprofen works for Chiari malformation varies. Some people get a lot of relief, while others don’t see as much improvement.
Studies show that how well ibuprofen works depends on several things. These include how severe the malformation is and if there are other health issues.
Dosage Considerations
When taking ibuprofen for Chiari headaches, the right dose is key. Sticking to the recommended amount helps avoid side effects.
Adults usually take 200 to 400 mg every 4 to 6 hours as needed. But, it’s best to talk to a doctor to find the right dose for you.
Limitations for Structural Pain
Ibuprofen can help with headache symptoms, but it has its limits. It might not work as well for pain caused by the physical displacement of brain tissue.
In cases where ibuprofen doesn’t help enough, other treatments might be needed. This is for the structural pain that comes with Chiari malformation.
|
Aspect |
Details |
|---|---|
|
Clinical Response |
Varies among individuals; depends on severity and other health conditions |
|
Dosage |
200-400 mg every 4-6 hours; consult a healthcare provider |
|
Limitations |
May not be effective for structural pain |
Scientific Evidence on Ibuprofen and Chiari Malformation
Research on Chiari malformation has looked into many treatments, including ibuprofen for pain. This condition needs a mix of treatments to help symptoms. Ibuprofen is often considered for this purpose.
Research Studies
Studies have shown ibuprofen’s effectiveness in treating Chiari malformation symptoms. It helps many patients, mainly those with mild to moderate symptoms.
- Found ibuprofen cuts down on headaches in Chiari malformation patients.
- Neurosurgical Focus discussed ibuprofen as part of a pain management plan.
These studies show ibuprofen’s benefits but stress the need for tailored treatments.
Clinical Observations
Doctors have also shared their experiences with ibuprofen for Chiari malformation. They’ve seen patients improve their quality of life with it.
“Ibuprofen can be a valuable tool in managing Chiari malformation symptoms, when used wisely and under medical watch.” A Neurosurgeon
These observations show the importance of regularly checking and adjusting treatments.
Expert Opinions from Neurosurgeons
Neurosurgeons share their views on using ibuprofen for Chiari malformation. They base their opinions on both their experience and research.
- Experts agree ibuprofen helps some patients but isn’t a cure-all.
- Most neurosurgeons believe ibuprofen works best as part of a full treatment plan.
By combining research, clinical insights, and expert opinions, we get a better picture of ibuprofen’s role in treating Chiari malformation. This helps both patients and doctors make better choices.
Potential Risks and Side Effects of Ibuprofen
Ibuprofen helps with Chiari malformation symptoms, but it has side effects. Knowing these risks is key for safe use. It helps manage pain from Chiari.
Common Side Effects
Ibuprofen can cause stomach problems like nausea, vomiting, and stomach pain. Some people might feel dizziness, headache, or rash. Knowing these side effects helps manage them better.
A study found that stomach issues are the most common side effects. These can range from mild to serious, like bleeding or perforation.
“The risk of gastrointestinal complications is a significant concern with NSAID use, necessitating careful patient selection and monitoring.”
Long-term Usage Concerns
Using ibuprofen for a long time can lead to serious health problems. It can increase the risk of cardiovascular events like heart attacks or strokes. It can also harm the kidneys or make existing problems worse. Patients on long-term therapy need close monitoring.
- Increased risk of cardiovascular events
- Potential kidney damage
- Gastrointestinal complications
Interactions with Other Medications
Ibuprofen can interact with other drugs, leading to bad effects. Mixing it with blood thinners or certain antidepressants can raise bleeding risks. It’s important to tell doctors about all medications to avoid dangerous interactions.
|
Medication |
Potential Interaction |
|---|---|
|
Blood Thinners |
Increased risk of bleeding |
|
Certain Antidepressants |
Increased risk of bleeding |
In conclusion, ibuprofen is useful for Chiari malformation symptoms but comes with risks. Knowing these helps patients make better treatment choices. Working with healthcare providers is key to avoiding bad effects.
Alternative Pain Management Options for Chiari
Living with Chiari malformation means finding ways to manage pain is key. Traditional meds like ibuprofen help, but there are other choices too.
Other Medications
There are more meds for Chiari pain than just ibuprofen. Here are a few:
- Acetaminophen: Good for mild to moderate pain.
- Muscle relaxants: They help with muscle tension from Chiari.
- Narcotic pain relievers: For severe pain, but only with a doctor’s careful watch.
Always talk to a doctor before trying new meds.
Non-pharmaceutical Approaches
There are ways to manage pain that don’t involve drugs. Some effective ones are:
- Physical therapy: It makes moving easier and can lessen pain.
- Cognitive behavioral therapy (CBT): It helps with stress and anxiety linked to pain.
- Relaxation techniques: Like meditation and deep breathing, they help lower stress.
Complementary Therapies
There are also therapies that can help with pain. Some include:
- Acupuncture: It’s an old method where thin needles are used to ease pain.
- Massage therapy: It eases muscle tension and boosts blood flow.
- Chiropractic care: It focuses on spinal adjustments to ease pain and improve alignment.
A patient advocate shared, “Exploring different pain management options has really helped me with my Chiari pain.”
“I’ve found that mixing physical therapy with acupuncture has greatly cut down my pain.”
Talking to a healthcare provider is important to find the right pain management plan for you.
Surgical Treatments for Chiari Malformation
Posterior fossa decompression is a key surgery for Chiari malformation. It aims to ease pressure on the brain and spinal cord. The procedure removes part of the skull at the base of the head. This creates more space for the cerebellum and relieves spinal cord pressure.
Posterior Fossa Decompression
The goal of this surgery is to reduce symptoms by decompressing the cerebellum and spinal cord. There are different techniques used, including:
- Bony decompression alone, where only the bone is removed.
- Duroplasty, where the dura mater (the outermost membrane covering the brain and spinal cord) is opened and expanded.
The choice of technique depends on the individual case and the surgeon’s preference.
When Surgery is Recommended
Surgery is usually recommended for those with severe symptoms or who haven’t improved with other treatments. Surgery is considered for:
|
Symptom Severity |
Surgical Consideration |
|---|---|
|
Severe headaches |
High consideration for surgery |
|
Significant neurological deficits |
High consideration for surgery |
|
Mild symptoms |
Low consideration for surgery |
Recovery and Post-surgical Pain Management
Recovery from posterior fossa decompression surgery varies. Patients usually stay in the hospital for a few days after surgery. Pain management is key during recovery, using a mix of medications and rest.
Post-surgical pain management strategies include:
- Use of analgesics to manage pain.
- Muscle relaxants to alleviate muscle tension.
- Physical therapy to improve mobility and strength.
Effective pain management is vital for a smooth recovery and to avoid complications.
Comprehensive Management Approach
Managing Chiari malformation needs a whole approach. It includes many aspects of care. A detailed plan is key to meet the complex needs of those with this condition.
Multidisciplinary Care Team
A team of experts is essential for Chiari malformation care. This team has neurologists, neurosurgeons, pain management specialists, and rehabilitation therapists. They work together to create a treatment plan tailored for each patient.
This team approach helps manage symptoms and improve life quality. Regular talks among team members ensure the patient gets consistent care.
Lifestyle Modifications
Changing your lifestyle is important for Chiari malformation management. Patients should keep a healthy weight, do gentle exercises, and maintain good posture. It’s also wise to avoid activities that make symptoms worse, like heavy lifting.
Stress management, like meditation or yoga, can also help. These changes can lessen symptoms and enhance life quality.
Support Systems and Resources
Having a strong support system is vital for Chiari malformation patients. Family and friends offer emotional support, while support groups provide a sense of community. Online resources and forums are also great for information and advice.
Access to counseling or therapy can help with the emotional and psychological sides of the condition. Using these support systems can help individuals with Chiari malformation manage their condition better.
Patient Experiences with Ibuprofen for Chiari
Patient experiences with ibuprofen for Chiari malformation show both its good points and its limits.
Success Stories
Many patients say ibuprofen helps a lot with Chiari headaches and pain. They can do daily tasks without pain thanks to it.
A study gathered feedback and found many people felt less pain when taking ibuprofen, mainly during bad pain episodes.
Limitations Reported
Even with its benefits, some patients find ibuprofen doesn’t work well for their Chiari symptoms. This can be due to different tolerance levels, how severe the malformation is, and other health issues.
Also, taking ibuprofen for a long time can cause stomach problems. This might make it less effective for some as a pain relief option.
Combined Therapy Approaches
To get more relief, many patients and doctors are trying different treatments together. They use ibuprofen with other medicines or therapies.
|
Therapy Approach |
Benefits |
Patient Feedback |
|---|---|---|
|
Ibuprofen + Physical Therapy |
Enhanced pain relief, improved mobility |
Patients report better overall function and reduced pain. |
|
Ibuprofen + Alternative Therapies (e.g., acupuncture) |
Holistic pain management, fewer side effects |
Some patients find additional relief and improved well-being. |
|
Ibuprofen + Other Medications |
Synergistic effect for better pain control |
Patients experience more effective pain management. |
By mixing ibuprofen with other treatments, patients might see better pain control and a better life quality.
Conclusion
Managing Chiari malformation needs a mix of understanding the condition, its symptoms, and treatment options. Ibuprofen helps a lot with the pain, like headaches.
Ibuprofen works well because it has anti-inflammatory properties. But, it’s important to know its limits and risks when used for a long time.
Handling Chiari malformation well means more than just taking medicine. It also includes making lifestyle changes and trying other pain relief methods. Sometimes, surgery is needed too. A team effort in care can really help people with Chiari malformation feel better.
It’s vital to know all the treatment choices and work with doctors to manage pain and care for Chiari malformation.
FAQ
What is Chiari malformation?
Chiari malformation is a defect in the cerebellum. It can put pressure on the brain and spinal cord. This leads to various neurological symptoms.
What are the common symptoms of Chiari malformation?
Symptoms include chronic headaches and neck pain. You might also feel dizzy, have numbness or tingling in your hands and feet, or have trouble swallowing.
How is Chiari malformation diagnosed?
Doctors use a combination of clinical evaluation and imaging like MRI. They also rule out other conditions to make a diagnosis.
Can ibuprofen help manage Chiari malformation symptoms?
Ibuprofen can help with headache and pain. But, it’s not a cure. It might not work for all types of pain.
What are the possible risks and side effects of using ibuprofen for Chiari malformation?
Side effects include stomach upset, nausea, and dizziness. Long-term use can lead to more serious issues like stomach problems and interactions with other drugs.
Are there alternative pain management options for Chiari malformation?
Yes, there are other options. These include different medications, physical therapy, and acupuncture.
When is surgery recommended for Chiari malformation?
Surgery is needed for severe symptoms or significant structural issues. It’s also considered if conservative management doesn’t work.
What is a complete management approach for Chiari malformation?
It involves a team of doctors, lifestyle changes, and support. This addresses physical, emotional, and social needs.
Can lifestyle modifications help manage Chiari malformation symptoms?
Yes, they can. Maintaining a healthy weight, avoiding heavy lifting, and managing stress can help symptoms.
What are the different types of Chiari malformation?
There are four main types: Type I, Type II, Type III, and Type IV. Each has its own characteristics and severity.
How does ibuprofen work in the body to alleviate pain?
Ibuprofen blocks the production of prostaglandins. These substances cause pain and inflammation. This gives relief from pain and reduces inflammation.
Reference
National Center for Biotechnology Information. Evidence-Based Medical Insight. Retrieved from https://pubmed.ncbi.nlm.nih.gov/10201311/