Chiari malformation is a brain defect where the cerebellum goes into the spinal canal. It can cause headaches and tiredness. We’ll look at the main types of Chiari malformation, especially the most common one.
The most common Chiari malformation is Type I. It makes up about 59% of cases, as a 2018 study found. Type I happens when the cerebellum goes into the spinal canal. This can lead to chiari malformation symptoms like neck pain and feeling dizzy.

It’s important to understand Chiari malformation to diagnose and treat it well. At Liv Hospital, we use our knowledge to help patients. We offer full care and support for this condition.
The Arnold Chiari malformation disease has several subtypes, each with its own severity and impact. These malformations affect the cerebellum and brain stem. Knowing about these types is key for diagnosis and treatment.
Type I Chiari malformation involves the cerebellar tonsils moving into the spinal canal. It doesn’t affect the brain stem. Symptoms include headaches, fatigue, and muscle weakness. The cause often lies in a defect in the cerebellum.
This type is the most common, making up 59% of cases. It’s often diagnosed later in life, especially in women.
Type II Chiari malformation is more severe, affecting both the cerebellum and brain stem. It’s linked to myelomeningocele, a serious birth defect. This leads to significant neurological problems.
This type is usually spotted at birth or early childhood. It’s tied to myelomeningocele and other birth defects.
Types III and IV are rare and the most severe. Type III has a cerebellar herniation into a cervical or occipital encephalocele. Type IV has cerebellar hypoplasia without displacement. Both types have severe neurological deficits and a poor prognosis.
These severe forms are very rare. They need immediate medical attention due to their complex nature.
Type I Chiari malformation is a problem with the cerebellum. It causes symptoms because the cerebellar tissue moves into the spinal canal. This issue happens when the cerebellar tonsils bulge below the foramen magnum. It can press on the brainstem and mess up the flow of cerebrospinal fluid.

Type I Chiari malformation makes the cerebellar tonsils move down. This can squeeze the brainstem and upper spinal cord. It leads to many neurological symptoms. It might also be linked to tethered cord syndrome.
About 0.5% to 3.5% of people have Type I Chiari malformation. Women are slightly more likely to have it, with a ratio of 1.3:1. Knowing this helps doctors spot and treat it, especially in women.
“The diagnosis of Chiari malformation Type I often requires a comprehensive evaluation, including advanced imaging techniques to assess the extent of cerebellar displacement and its impact on surrounding neural structures.”
Studies show that more women than men have Type I Chiari malformation. Why this is isn’t fully understood. It might be because of differences in how the skull and spine are shaped in men and women.
Knowing about Type I Chiari malformation helps doctors treat it better. They can give more focused and caring care by understanding its causes, how common it is, and who it affects more.
It’s key to know the signs of Chiari malformation early for treatment. Symptoms can differ a lot between people, making it hard to diagnose.
People with Chiari malformation might have headaches, neck pain, and dizziness. Some face severe symptoms like trouble swallowing, numbness in hands and feet, and balance issues.
Symptoms vary based on how much the cerebellum is displaced and if other conditions are present. Some people might not show symptoms for a long time, while others get worse quickly.

Chiari malformation often comes with other issues like tethered cord syndrome, syringomyelia, and hydrocephalus. Tethered cord syndrome happens when the spinal cord sticks to the spine, leading to damage. It’s important to spot these conditions for full treatment.
Type I Chiari malformation is often missed because its symptoms are mild or not clear. Some people might not show symptoms until later, or their symptoms might be mistaken for other problems. We need to be careful in diagnosing, thinking of Chiari malformation when neurological symptoms don’t make sense.
Knowing the signs and related conditions helps doctors catch it sooner. This leads to better care and outcomes for patients.
Imaging technology has changed how we find and treat Chiari malformation. At our hospital, we use the newest tools to give accurate diagnoses and treatment plans. These plans are made just for each patient.
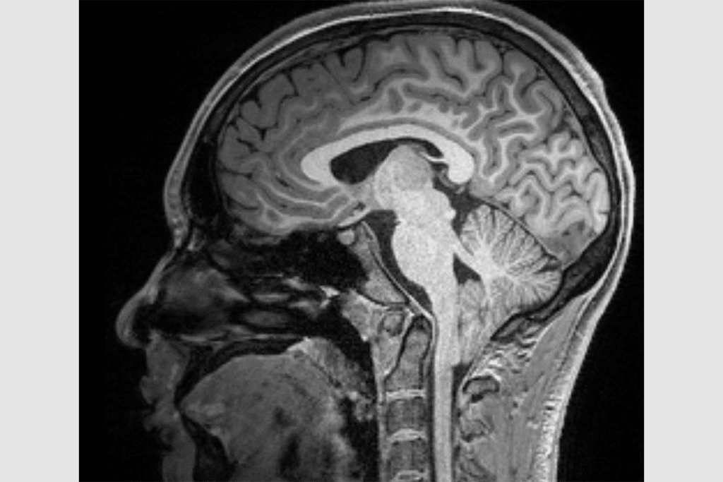
Magnetic Resonance Imaging (MRI) is key in finding Chiari malformation. It shows us the cerebellum and brainstem clearly. This helps us see how bad the malformation is.
We use high-detail MRI scans to see how far the cerebellum is moved. We also look for other problems like syringomyelia or tethered cord syndrome.
Sometimes, we use Computed Tomography (CT) scans or myelography too. These help us plan surgery better. They give us important details for treatment.
Treatment for Chiari malformation varies based on symptoms and how bad the malformation is. For mild symptoms, we might suggest conservative management. This includes pain relief, physical therapy, and changes in lifestyle.
At Liv Hospital, we take a team approach to care. We make sure each patient gets a treatment plan that fits them. With the latest imaging and treatments, we aim to give top-notch care. We want to make our patients’ lives better.
Knowing about Chiari malformation, especially Type I, is key for the right diagnosis and treatment. We’ve looked into its details, including symptoms and treatment methods.
Liv Hospital shows top-notch care for complex brain issues like Arnold Chiari malformation disease. They use the newest medical standards to boost patient results and satisfaction.
This guide has given us a deep look into Chiari malformation. It helps patients and those looking for health care to deal with this condition better. By knowing the types and treatment choices, we can help those affected more effectively.
Chiari malformation is a condition where the cerebellum extends into the spinal canal. This can compress the brain stem and disrupt the flow of cerebrospinal fluid.
There are four main types: Type I, Type II, Type III, and Type IV. Type I is the most common, making up about 59% of cases.
Type II Chiari malformation is linked to myelomeningocele. This is a serious birth defect where the spine and skull don’t close properly.
Symptoms include headaches, neck pain, dizziness, and numbness or tingling in the hands and feet. Some people may not show any symptoms at all.
Diagnosis uses advanced imaging like MRI. It helps see the cerebellum and brain stem. It also checks how severe the malformation is.
Tethered cord syndrome happens when the spinal cord is attached to the spine. It can cause neurological symptoms. It’s sometimes linked to Chiari malformation.
Treatment depends on how severe the condition is. It can include monitoring, physical therapy, pain management, or surgery. Surgery aims to relieve pressure on the brain stem and spinal cord.
Type I Chiari malformation is often missed because it may not show symptoms or show them mildly. Advanced imaging is needed to detect it
E-Medicine. (n.d.). Chiari Malformation: Practice Essentials, Epidemiology. https://emedicine.medscape.com/article/1483583-overview
StatPearls. (n.d.). Arnold-Chiari Malformation. https://www.ncbi.nlm.nih.gov/books/NBK431076/
Prevalence and Impact of Underlying Diagnosis and Comorbidities. (2019). Pediatric Neurology. https://pubmed.ncbi.nlm.nih.gov/32113729/
NHS. (n.d.). Chiari malformation. https://www.nhs.uk/conditions/chiari-malformation/
Surgical Management of Patients with Chiari I Malformation. (2012). World Neurosurgery. https://pmc.ncbi.nlm.nih.gov/articles/PMC3395248/
Subscribe to our e-newsletter to stay informed about the latest innovations in the world of health and exclusive offers!
WhatsApp us