
About 1 in 1,000 people are born with Chiari malformation. This is when brain tissue goes into the spinal canal. It can cause headaches, fatigue, and muscle weakness.
Finding the right hospital for treatment is key. The quality of care greatly affects how well a patient does. Top hospitals for Arnold Chiari malformation have a team of experts, modern facilities, and new treatments.
Key Takeaways
- Understanding Chiari malformation and its symptoms is essential for seeking proper treatment.
- The best hospitals for Chiari malformation treatment offer advanced diagnostic and treatment options.
- A multidisciplinary team of specialists is critical for effective treatment.
- Patient outcomes can vary a lot based on the quality of care they get.
- Researching and picking the right hospital is a vital step in treatment.
Understanding Chiari Malformation and Its Impact

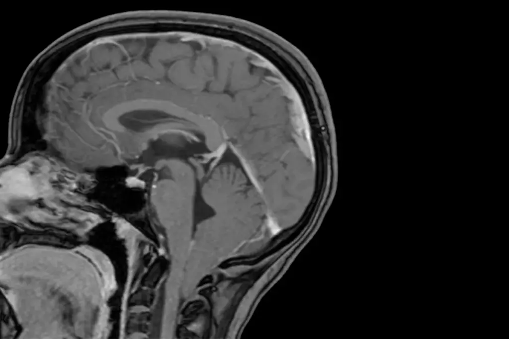
Chiari malformation is a condition where the cerebellum extends into the spinal canal. This can cause a range of neurological symptoms. It’s important to know about its definition, types, and how common it is.
Definition and Anatomical Features
Chiari malformation happens when the cerebellar tonsils move down into the foramen magnum. This is the opening at the base of the skull. It can block the flow of cerebrospinal fluid, leading to hydrocephalus and syringomyelia. The brain and cerebellum have structural problems.
Types of Chiari Malformation
There are different types of Chiari malformation, with Chiari malformation Type 1 being common in adults. It involves the cerebellar tonsils moving into the spinal canal but not the brainstem. Chiari malformation Type 2, or Arnold-Chiari malformation, affects both the cerebellum and brainstem. Each type is based on how severe and which parts are affected.
|
Type |
Description |
|---|---|
|
Chiari Malformation Type 1 |
Cerebellar tonsils extend into the spinal canal; brainstem is not involved. |
|
Chiari Malformation Type 2 |
Involves both cerebellum and brainstem; more severe. |
Prevalence and Demographics
Studies show that Chiari malformation Type 1 is more common than thought, affecting about 1 in 1,000 people. It’s more often found in women than men. Symptoms usually appear in young adulthood.
Symptoms and Diagnosis of Chiari Malformation

It’s important to know the symptoms and how to diagnose Chiari malformation. This condition affects people differently, so it’s key to spot symptoms early and accurately.
Common Symptoms in Adults and Children
Adults and children with Chiari malformation show different symptoms. Adults often have headaches, neck pain, dizziness, and trouble balancing. Kids might be irritable, have trouble eating, and develop slower than their peers.
Key symptoms in adults:
- Headaches and migraines
- Neck pain and stiffness
- Dizziness and balance issues
- Vision problems and double vision
Key symptoms in children:
- Irritability and fussiness
- Difficulty feeding and swallowing
- Developmental delays
- Respiratory issues
Diagnostic Procedures and Imaging
To diagnose Chiari malformation, doctors use a mix of clinical checks and imaging. MRI is the main tool, giving clear pictures of the brain and spinal cord.
|
Diagnostic Procedure |
Description |
Key Findings |
|---|---|---|
|
MRI (Magnetic Resonance Imaging) |
Non-invasive imaging technique using magnetic fields |
Detailed images of brain and spinal cord structure |
|
CT Scan (Computed Tomography) |
Imaging technique using X-rays |
Cross-sectional images of the brain and skull |
|
X-rays |
Radiographic imaging to assess bone structure |
Evaluation of skull and spine abnormalities |
Doctors also review medical history, do physical exams, and check the nervous system. This helps confirm Chiari malformation and rule out other conditions.
What Makes a Hospital “Best” for Chiari Malformation Treatment
The best hospitals for Chiari malformation treatment have certain key traits. Patients and their families should know what to look for in a hospital.
Specialized Expertise and Case Volume
Hospitals with specialized expertise in Chiari malformation tend to have better outcomes. A high case volume often means more refined surgical techniques and improved patient care. Neurosurgeons and other medical professionals who specialize in Chiari malformation are more likely to be found in hospitals with dedicated programs for this condition.
Multidisciplinary Care Teams
A multidisciplinary care team is key for treating Chiari malformation. This team includes neurosurgeons, neurologists, radiologists, and rehabilitation specialists, among others. Collaboration among these professionals ensures all aspects of a patient’s condition are addressed, leading to more effective treatment plans.
Advanced Technology and Facilities
Advanced technology and state-of-the-art facilities are vital for treating Chiari malformation. Hospitals with the latest imaging technologies, such as high-resolution MRI machines, can provide more precise diagnoses. Modern operating rooms with advanced surgical equipment enable surgeons to perform complex procedures with greater precision.
Some key features to look for in a top hospital for Chiari malformation treatment include:
- Experienced neurosurgeons with a specialization in Chiari malformation
- A multidisciplinary team approach to patient care
- Advanced imaging and diagnostic technologies
- State-of-the-art operating rooms and surgical equipment
- A complete rehabilitation program
Top Neurosurgical Centers for Chiari Malformation in the Northeast
In the Northeast, several top neurosurgical centers are known for treating Arnold Chiari malformation type 1. This region is home to world-class medical institutions. They specialize in complex neurological conditions.
The following hospitals are recognized for their expertise in Chiari malformation treatment:
Johns Hopkins Hospital (Baltimore, MD)
Johns Hopkins Hospital is famous for its neurosurgery department. It offers complete care for patients with Chiari malformation. The team uses the latest diagnostic and treatment methods.
Key Features of Johns Hopkins Hospital:
- Experienced neurosurgeons with specialization in Chiari malformation
- State-of-the-art diagnostic and treatment facilities
- Multidisciplinary care team for complete patient support
|
Department |
Specialization |
Notable Achievements |
|---|---|---|
|
Neurosurgery |
Chiari Malformation Treatment |
Pioneered innovative surgical techniques |
|
Neurology |
Diagnosis and Management |
Developed advanced diagnostic protocols |
NewYork-Presbyterian Hospital (New York, NY)
NewYork-Presbyterian Hospital is a leading institution in the Northeast for Chiari malformation treatment. Its neurosurgery department has the latest technology and expert staff.
Key Features of NewYork-Presbyterian Hospital:
- Advanced neurosurgical techniques for Chiari malformation
- Comprehensive patient care programs
- Collaboration with other medical specialties for holistic treatment
Both Johns Hopkins Hospital and NewYork-Presbyterian Hospital are top choices for Chiari malformation patients. They offer hope and better outcomes with their specialized services and new treatment methods.
Leading Hospitals for Chiari Malformation in the Midwest
The Midwest boasts several top medical centers known for Chiari malformation treatment. These places offer various treatments, from surgery to non-surgical methods. This ensures patients get the best care possible.
Mayo Clinic
The Mayo Clinic in Rochester, Minnesota, is a global leader in Chiari malformation treatment. Their team of experts in neurosurgery and neurology work together. They use the latest in Chiari malformation surgery to provide personalized care.
Mayo Clinic is known for its success in treating Chiari malformation. They have a high success rate in surgeries and are always looking to improve. Patients also get support services, making their care experience better.
Cleveland Clinic
Cleveland Clinic in Ohio is another leading place for Chiari malformation treatment. Their neurosurgery department is known for complex surgeries, including Chiari malformation. They offer both surgical and non-surgical treatments, giving patients choices.
The Cleveland Clinic treats Chiari malformation with a team approach. Specialists work together to create treatment plans. They use advanced tools for accurate diagnoses and effective treatments.
|
Hospital |
Location |
Specialties |
|---|---|---|
|
Mayo Clinic |
Rochester, MN |
Chiari Malformation Surgery, Neurological Care |
|
Cleveland Clinic |
Cleveland, OH |
Complex Neurosurgery, Chiari Malformation Treatment |
Premier Medical Centers for Chiari Malformation in the Sout
The South is home to top medical centers for Chiari malformation treatment. People from all over come here for care. These places are known for their expert teams and new treatments.
Emory University Hospital and Duke University Hospital stand out in the region. They are known for treating complex conditions like Chiari malformation.
Emory University Hospital (Atlanta, GA)
Emory University Hospital is a top choice for Chiari malformation treatment. It has a team of neurosurgeons and neurologists with lots of experience. They offer a full care plan, from start to finish.
- Advanced diagnostic imaging capabilities
- Personalized treatment plans tailored to individual patient needs
- A collaborative care team including neurosurgeons, neurologists, and rehabilitation specialists
Duke University Hospital (Durham, NC)
Duke University Hospital is also a leading place for Chiari malformation care. It offers many treatment options for different Chiari malformation types. The neurosurgery team uses new surgical methods and focuses on patient care.
- Comprehensive evaluation and diagnosis using state-of-the-art technology
- Surgical interventions tailored to the specific needs of each patient
- Robust support services for long-term management and rehabilitation
Emory University Hospital and Duke University Hospital show the South’s commitment to Chiari malformation care. They offer hope and healing to those with this complex condition.
Top Hospitals for Chiari Malformation on the West Coast
The West Coast is home to many top hospitals for Chiari malformation care. These places have the latest technology and skilled doctors and nurses.
UCSF Medical Center
UCSF Medical Center in San Francisco, CA, is famous for its brain health care. Its neurosurgery team is known for treating Chiari malformation. They offer both surgery and non-surgery options.
Key Features of UCSF Medical Center:
- Experienced neurosurgeons with specialization in Chiari malformation
- Advanced diagnostic imaging capabilities
- Comprehensive care team including neurologists, neurosurgeons, and rehabilitation specialists
Cedars-Sinai Medical Center
Cedars-Sinai Medical Center in Los Angeles, CA, is also a top choice for Chiari malformation treatment. The hospital’s Department of Neurosurgery uses new ways to treat brain problems.
|
Hospital |
Location |
Specialties |
|---|---|---|
|
UCSF Medical Center |
San Francisco, CA |
Neurosurgery, Neurology, Rehabilitation |
|
Cedars-Sinai Medical Center |
Los Angeles, CA |
Neurosurgery, Neurology, Pain Management |
UCSF Medical Center and Cedars-Sinai Medical Center are known for their excellent care. They offer new treatments for Chiari malformation. Patients on the West Coast can get top-notch care at these hospitals.
Specialized Pediatric Hospitals for Chiari Malformation
Chiari malformation in children needs a team effort, best found in specialized pediatric hospitals. These places offer a wide range of services for kids, from finding out what’s wrong to helping them get better. They have experts in neurosurgery and neurology, ready to tackle Chiari malformation’s challenges.
Boston Children’s Hospital
Boston Children’s Hospital is famous for its work in pediatric neurosurgery. They use the latest treatments for Chiari malformation. The team works with families to create plans that fit each child’s needs.
They use the newest surgical methods and care after surgery. Their program includes:
- Multidisciplinary care teams involving neurosurgeons, neurologists, and rehabilitation specialists
- State-of-the-art diagnostic and surgical facilities
- Comprehensive support services for patients and families
The hospital also takes part in research and trials. This means kids get the newest treatments.
Children’s Hospital of Philadelphia
Children’s Hospital of Philadelphia (CHOP) is a top place for Chiari malformation treatment. CHOP’s neurosurgery team is known for complex surgeries, including for Chiari malformation. They focus on family care, aiming to keep the child’s life as normal as possible.
CHOP’s program is strong in:
- Advanced imaging and diagnostic technologies to accurately assess the condition
- Surgical interventions tailored to the individual needs of each patient
- A complete rehabilitation program to support recovery and long-term health
Boston Children’s Hospital and Children’s Hospital of Philadelphia show the top care for kids with Chiari malformation.
Comprehensive Treatment Approaches for Chiari Malformation
Managing Chiari malformation requires a mix of new surgical methods and non-surgical treatments. Each treatment plan is made just for the patient. It considers how bad their symptoms are, their body’s shape, and their overall health.
Surgical Interventions and Innovations
For those with severe symptoms or big body changes, surgery is often needed. Posterior fossa decompression is a common surgery. It removes part of the skull to ease pressure on the brain and spine.
New surgical methods, like dura-splitting decompression, are showing great promise. They help patients recover faster and have fewer problems.
A top neurosurgeon says, “New surgical methods have greatly improved results for Chiari malformation patients. They offer new hope for those dealing with this condition.”
“The key to successful surgical intervention lies in careful patient selection and meticulous surgical technique.”
Non-Surgical Management Strategies
Not every Chiari malformation patient needs surgery. For those with mild symptoms, non-surgical methods are used. These include pain management with medicine, physical therapy to boost strength and mobility, and changes in lifestyle to lessen symptoms.
Other non-surgical treatments might include cognitive-behavioral therapy for mental health issues. A complete care plan can greatly improve a patient’s life and health.
Recovery and Rehabilitation Programs for Chiari Malformation Patients
The journey to recovery for Chiari malformation patients is complex. It includes post-surgery care and long-term management. Each recovery plan is made to fit the patient’s needs, aiming for the best results.
Post-Surgical Care Protocols
After surgery, careful monitoring is key for Chiari malformation patients. This includes watching for complications, managing pain, and starting rehabilitation. Tony Dogan’s story at The Christ Hospital Health Network shows how important this care is for success.
Protocols may include:
- Close monitoring of the patient’s neurological status
- Pain management strategies tailored to the individual’s needs
- Physical therapy to regain strength and mobility
Long-term Management and Support
Managing Chiari malformation long-term means ongoing support and care. This includes regular check-ups, lifestyle changes, and ongoing therapy. It helps manage symptoms and prevent future problems.
|
Aspect of Care |
Description |
Benefits |
|---|---|---|
|
Regular Follow-ups |
Monitoring by healthcare providers |
Early detection of complications |
|
Lifestyle Modifications |
Adjustments to daily activities |
Reduced risk of symptom exacerbation |
|
Ongoing Rehabilitation |
Continued physical therapy and other therapies |
Improved quality of life and functional ability |
Healthcare providers focus on both post-surgery care and long-term management. This approach greatly improves outcomes for Chiari malformation patients. It enhances their quality of life and functional abilities.
Insurance Coverage and Financial Considerations
Understanding the financial side of Chiari malformation treatment is key. Patients with this condition face big medical bills. These include costs for tests, surgeries, and care after surgery.
Navigating Insurance for Specialized Treatment
It’s vital to know about insurance for Chiari malformation treatment. Check your policy to see what’s covered. This includes tests like MRI scans and surgeries. Pre-authorization for treatments and specialist visits can prevent surprise bills.
A financial counselor at a top hospital said,
“Knowing your insurance benefits can greatly lessen financial worries about Chiari malformation treatment.”
Patients should work with their insurance and hospital billing teams. This helps deal with insurance coverage issues.
Financial Assistance and Patient Support Programs
For many, the cost of Chiari malformation treatment is too high. Luckily, many hospitals and health groups have financial help and patient support programs. For example, The Christ Hospital Health Network’s program has helped many, like Tony Dogan, with financial support.
These programs help with medication costs, copays, and other treatment expenses. Patients should ask about these programs when talking to their healthcare team.
Patient Experiences and Success Rates at Top Chiari Malformation Centers
Looking at patient experiences and success rates helps find the best places for Chiari malformation treatment. Top hospitals focus on both good surgery results and making patients happy. They care about the whole journey, from the first visit to getting better.
Outcome Measurements and Quality Metrics
Top Chiari malformation centers measure how well they do with strict standards. They track symptom improvement rates, surgical complication rates, and what patients say about their care. For example, they might see how many patients feel better from Chiari malformation symptoms like headaches and dizziness after surgery.
They also look at safety, like infection and readmission rates. This shows they care about keeping patients safe and healthy. Centers that keep improving these areas offer the best care.
Patient Testimonials and Satisfaction
Patient stories give a real look at what treatment centers are like. Happy patients often talk about the compassionate care and effective communication they got. They might say a center explained everything well, making them feel sure about their choices.
Also, patient surveys show how well hospitals meet patient needs. Places with high scores are known for being supportive and quick to respond. This is key for patients with complex conditions like Chiari malformation.
Telemedicine Options and Remote Consultations for Chiari Malformation
Telemedicine is changing how we get care for Chiari malformation. It lets people see doctors from home. This means less travel and shorter hospital stays.
Virtual Second Opinions from Leading Specialists
Telemedicine is great for getting virtual second opinions from top neurosurgeons and neurologists. Those with Arnold Chiari malformation type 1 can talk to experts without leaving home. It saves time and gives peace of mind.
Telemedicine makes sure your health info stays safe. Doctors can see you, look at your scans, and talk about treatment plans live.
Coordinating Care Between Local and Specialized Providers
Telemedicine helps local doctors work with specialists. This is key for complex conditions like Chiari malformation. It makes sure everyone is on the same page.
With telemedicine, care is more connected. Local doctors can work with specialists to make a full treatment plan. This leads to better health and a better life.
Conclusion
Finding the best hospital for Chiari malformation treatment is key for effective care. Top medical centers in the U.S. offer specialized care and advanced technology. They have teams ready to tackle the challenges of Chiari malformation.
They use surgery and other methods to help patients. These places also help in research and new treatments.
When looking for treatment, think about the hospital’s experience and success rates. Also, check if they accept your insurance and offer financial help. Choosing a top hospital can greatly improve your chances of a good outcome and a better life.
FAQ
What is Chiari malformation?
Chiari malformation is a defect in the cerebellum. It affects balance and can press on the brain and spinal cord.
What are the symptoms of Chiari malformation?
Symptoms include headaches, fatigue, and muscle weakness. You might also feel numbness or tingling in your hands and feet. Balance problems are common, and they vary by age.
How is Chiari malformation diagnosed?
Doctors use a physical exam, medical history, and imaging tests like MRI or CT scans. These tests help see the brain and spinal cord.
What are the treatment options for Chiari malformation?
Treatment depends on the symptoms and malformation severity. It can range from monitoring to surgery. Posterior fossa decompression surgery is sometimes used.
What makes a hospital “best” for Chiari malformation treatment?
The best hospitals have specialized neurosurgical teams. They also have advanced technology and facilities. High case volume and multidisciplinary care are important too.
Are there different types of Chiari malformation?
Yes, there are several types. Each has its own characteristics and severity. Chiari malformation Type I, Type II, and others are examples.
Can Chiari malformation be treated without surgery?
Yes, some cases can be managed without surgery. This includes pain management, physical therapy, and lifestyle changes.
What is the recovery process like after Chiari malformation surgery?
Recovery involves post-surgical care and possibly physical therapy. Long-term management is also key to monitor for complications and support health.
Does insurance cover Chiari malformation treatment?
Insurance coverage varies. But many plans cover diagnosis, treatment, and management of Chiari malformation. This includes surgery and rehabilitation.
Are there financial assistance programs for Chiari malformation patients?
Yes, many organizations and hospitals offer financial help. They have programs to assist with the costs of care.
Can I get a second opinion remotely for Chiari malformation?
Yes, telemedicine allows for virtual second opinions. You can get advice from leading specialists and coordinate care with local providers.
What are the benefits of seeking care at a specialized Chiari malformation center?
Specialized centers offer advanced care and treatment options. They have experienced teams, which can lead to better outcomes and patient satisfaction.
How common is Chiari malformation?
Chiari malformation is considered rare. But its exact prevalence is not well-documented. It might be underdiagnosed.
Can children with Chiari malformation be treated at pediatric-specialized hospitals?
They specialize in treating children with Chiari malformation.
National Center for Biotechnology Information. Evidence-Based Medical Insight. Retrieved from https://pubmed.ncbi.nlm.nih.gov/20437922/