About Liv

9 Key Facts About Childhood Glioma & Brainstem Glioma Symptoms

Last Updated on November 20, 2025 by Ugurkan Demir

9 Key Facts About Childhood Glioma & Brainstem Glioma Symptoms
9 Key Facts About Childhood Glioma & Brainstem Glioma Symptoms 4

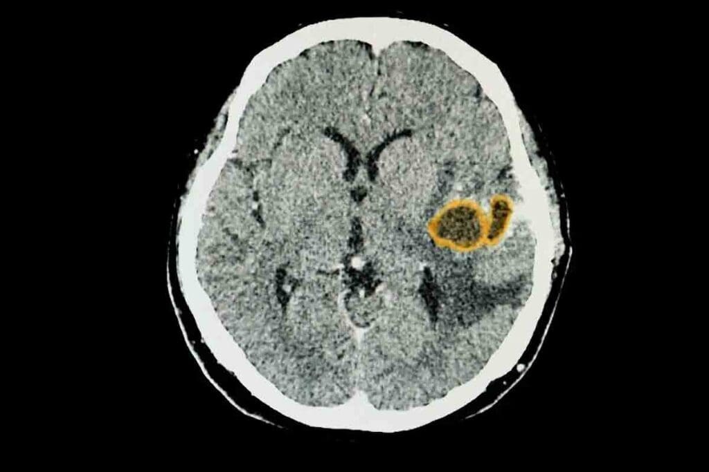
At Liv Hospital, we know how serious brainstem gliomas are for kids. These tumors grow in or near the brain. They can cause headaches and nausea by pressing on the brain.

Gliomas are common brain cancers in kids. Astrocytoma is one type that often occurs. It’s important to understand these conditions to help our young patients.

Key Takeaways

  • Brainstem gliomas are a significant concern in pediatric brain tumors.
  • Gliomas arise from glial cells and can present in various forms.
  • Astrocytoma is a common type of glioma in children.
  • Understanding brainstem glioma symptoms is key for diagnosis and treatment.
  • Liv Hospital offers international quality care and patient-centered expertise.

What Is Childhood Glioma and How Does It Develop

9 Key Facts About Childhood Glioma & Brainstem Glioma Symptoms
9 Key Facts About Childhood Glioma & Brainstem Glioma Symptoms 5

Gliomas in children are complex brain tumors. They come from the brain’s glial cells. These tumors can be different in how they act, making it key to understand how they grow.

The Role of Glial Cells in the Brain

Glial cells are important in the brain. They help neurons work right and keep the brain healthy. They help supply oxygen and nutrients to neurons and clean up dead cells. They also give structural support.

Glial cells are vital for the brain’s function. Changes in these cells can cause gliomas.

Pathophysiology of Glioma Formation in Children

Glioma formation in children comes from genetic changes in glial cells. Genetic changes in IDH1 and IDH2 are linked to glioma. Knowing these changes helps doctors figure out the best treatment.

The growth of gliomas is a complex process. It involves genetics and the environment. Scientists are working hard to understand this better. They want to help kids with these tumors get better.

Prevalence: Childhood Glioma Accounts for Nearly Half of Pediatric Brain Tumors

9 Key Facts About Childhood Glioma & Brainstem Glioma Symptoms
9 Key Facts About Childhood Glioma & Brainstem Glioma Symptoms 6

Childhood glioma is a big worry among pediatric brain tumors, making up nearly half of all cases. We’ll look at the numbers by age and the yearly rate to grasp how big this problem is.

Statistical Breakdown by Age Groups

Childhood glioma can happen at any age, but it’s more common in kids under 5. Studies show that brain and CNS tumors are most common in this age group. This highlights the need for early detection and action.

To see how childhood glioma spreads across different ages, let’s look at the data:

Age GroupIncidence Rate per 100,000
0-4 years4.5
5-9 years3.2
10-14 years2.8
15-19 years2.5

Annual Incidence Rate of 6.2 per 100,000 Children

The yearly rate of childhood glioma is about 6.2 per 100,000 kids, as studies have shown. This shows how important childhood glioma is among pediatric brain tumors.

The overall incidence rate shows why we need to keep researching and improving treatments for childhood glioma. Knowing the prevalence and incidence rates helps us focus our efforts and develop better strategies.

Brainstem gliomas, a type of childhood glioma, pose special challenges because of their location and effect on brain function. Their prevalence adds to the overall incidence of childhood glioma. It’s key to tackle them as part of pediatric brain tumors.

Types and Classification of Pediatric Gliomas

Gliomas in children are divided based on the type of glial cell and the tumor’s growth. This helps doctors predict how the tumor will behave and choose the right treatment. There are three main types: astrocytomas, oligodendrogliomas, and ependymomas.

Astrocytoma: The Most Common Variant

Astrocytomas are the most common glioma in kids. They come from astrocytes, a type of glial cell. These tumors can be slow-growing or aggressive.

Low-grade astrocytomas are slow-growing and might be removed by surgery. High-grade astrocytomas are aggressive and need more treatment.

Low-Grade vs. High-Grade Gliomas

Knowing if a glioma is low-grade or high-grade is key. Low-grade gliomas grow slowly and have a better chance of recovery. High-grade gliomas grow fast and are more serious.

The World Health Organization (WHO) grading system helps classify gliomas. It uses the tumor’s look under a microscope to predict its behavior. Low-grade gliomas (WHO Grade I and II) are often treated with surgery and watchful waiting. High-grade gliomas (WHO Grade III and IV) might need surgery, radiation, and chemotherapy.

Understanding a child’s glioma type and grade is vital for treatment. We work with a team to create a plan that fits each child’s needs. This ensures the best care possible.

Brainstem Gliomas: Comprising 10% of Childhood Brain Tumors

Brainstem gliomas are rare and complex tumors that mostly affect kids. They start in the brainstem’s glial cells. This area is key for controlling automatic body functions like breathing and heart rate.

Anatomical Location and Significance

The brainstem is made up of the midbrain, pons, and medulla oblongata. It’s vital for sending signals between the brain and the body. Tumors here can greatly affect a child’s life and treatment is hard because of its importance.

The location of brainstem gliomas is key. It affects symptoms and treatment options. Tumors can press on or get into nearby nerves, causing many problems.

Why Brainstem Tumors Present Unique Challenges

Brainstem gliomas are tough to treat because of where they are. Surgery is hard or not possible because of the risk of damage. This is because of their close location to important parts of the brain.

The problems with brainstem gliomas include:

  • It’s hard to get to and remove the tumor
  • There’s a big risk of serious brain damage
  • There are few treatment choices because of where it is
  • The tumor can act differently and not always respond well to treatment

Knowing these challenges helps doctors find better ways to treat these tumors. This can improve the lives of kids with brainstem gliomas.

CharacteristicsBrainstem Gliomas
LocationBrainstem (midbrain, pons, medulla oblongata)
FrequencyAbout 10% of childhood brain tumors
ChallengesSurgical access, neurological morbidity, limited treatment options

Diffuse Intrinsic Pontine Glioma (DIPG): The Most Aggressive Form

DIPG is the most aggressive and devastating form of pediatric brainstem tumors. It starts in the pons, a key part of the brainstem. The pons controls breathing, swallowing, and staying awake.

We will explore DIPG’s specifics, like its prevalence, characteristics, and treatment challenges. Knowing about DIPG is key to finding better treatments and supporting families.

Prevalence Among Pediatric Brainstem Tumors

DIPG makes up about 75-80% of pediatric brainstem tumors. This shows how important it is to research and treat this cancer aggressively.

Its high incidence means we need to find it early and develop new treatments. We’ll look at how we diagnose DIPG now and how we’re trying to improve care.

Distinctive Characteristics of DIPG

DIPG spreads widely in the brain, making surgery hard. It’s in the pons, which controls important functions. This makes treatment even harder.

The tumor grows fast because of certain genetic changes. Knowing these changes is key to finding new treatments.

The table below summarizes key characteristics and challenges associated with DIPG:

CharacteristicsChallenges
Diffuse infiltration into surrounding tissueSurgical resection is highly challenging
Location in the ponsComplicates treatment due to critical functions controlled by the pons
Aggressive tumor growth driven by genetic mutationsRequires targeted therapies to address specific genetic drivers

Understanding DIPG’s unique traits and challenges helps us see why we need more research and new treatments. This is vital for fighting this severe condition.

Common Symptoms of Childhood Glioma

Knowing the symptoms of childhood glioma helps parents get medical help early. Glioma in kids, like brainstem glioma, shows different signs. These depend on where the tumor is and the child’s age.

General Neurological Symptoms

Children with glioma often have symptoms that show increased pressure in the brain or direct tumor effects. Common signs include:

  • Persistent headaches
  • Nausea and vomiting
  • Vision changes, such as double vision or blurred vision
  • Difficulty with balance and coordination
  • Seizures, mostly in kids with tumors above the brain

These symptoms can really affect a child’s life. They should see a doctor.

Age-Specific Symptom Presentation

Symptoms change with age. For example:

Age GroupCommon Symptoms
InfantsMacrocephaly, irritability, vomiting
Toddlers and Young ChildrenDevelopmental delays, changes in gait, lethargy
Older Children and AdolescentsHeadaches, visual disturbances, difficulty with speech or swallowing

It’s important to know these age-specific symptoms for early diagnosis and treatment.

When to Seek Medical Attention

If a child shows signs that don’t get better or get worse, get medical help fast. Early diagnosis can greatly improve treatment results.

Red flags that need immediate medical check-up include:

  • Sudden severe headache or vomiting
  • Changes in vision or eye movement
  • Weakness or paralysis of limbs
  • Seizures or loss of consciousness

Parents and caregivers should watch for these signs. If worried, talk to a doctor.

Specific Brainstem Glioma Symptoms to Recognize

It’s key to spot the signs of brainstem glioma early. This is because brainstem gliomas, mainly in kids, show up in many ways. This is due to their location in a vital part of the brain.

Balance and Coordination Difficulties

One big sign of brainstem glioma is trouble with balance and coordination. Kids might walk unsteadily, stumble, or fall a lot. This happens because the brainstem helps keep us balanced and moves smoothly.

Cranial Nerve Dysfunction Signs

Brainstem gliomas can also mess with cranial nerves. This leads to symptoms like double vision, weak face, trouble swallowing, or voice changes. These issues happen because the brainstem is home to many cranial nerve nuclei. Tumors there can press on or harm these nerves.

Changes in Motor Skills and Mobility

Another sign is changes in how well kids move and use their muscles. They might find it hard to move their arms or legs. Sometimes, one limb might be stronger or more coordinated than the other.

Other signs include feeling tired, less energetic, or acting differently. It’s important for parents and doctors to watch for these changes. Catching it early can really help with treatment.

Spotting these symptoms early can help get the right treatment sooner. If a child shows any of these signs, getting medical help right away is vital.

Survival Rates and Prognosis Factors

It’s important for families and doctors to know about survival rates and prognosis factors for childhood glioma. These tumors vary a lot, and how well a child does depends on several things. This includes the tumor’s grade, where it is, and how old the child is when diagnosed.

Five-Year Survival Rate for High-Grade Variants

The five-year survival rate for kids with high-grade gliomas is about 20%. These tumors, like glioblastoma, grow fast and are hard to treat. Advances in treatment have helped a bit, but we need more research to make a big difference.

Median Survival for Brainstem Glioblastoma

Kids with brainstem glioblastoma usually live between 12 to 18 months. Brainstem gliomas, like DIPG, are very tough to beat because of where they are and how fast they grow. Research into new treatments is ongoing to try and change these sad statistics.

Factors Affecting Prognosis

Several things can change how well a child with glioma will do:

  • Tumor grade: Higher grades mean a worse outlook.
  • Tumor location: Tumors in hard-to-reach places, like the brainstem, are tougher to treat.
  • Age at diagnosis: Younger kids often face tougher challenges.
  • Response to initial treatment: Kids who do well with first treatments usually do better overall.

Knowing these factors helps doctors create treatment plans that are just right for each child. This can help improve their chances of a good outcome.

Current Treatment Approaches and Innovations

The treatment for childhood glioma and brainstem gliomas is changing fast. New methods are being tested to help kids get better. Treatment for kids is different from adults because kids’ brains are developing.

Standard Treatment Protocols

For childhood glioma, treatments usually include radiation, chemotherapy, and surgery. The treatment plan depends on the tumor’s type, grade, and where it is. It also looks at the child’s health.

Radiation therapy is used for high-grade gliomas. Chemotherapy is used for both low-grade and high-grade tumors. Surgery tries to remove as much tumor as possible without harming the brain.

Surgical Considerations for Brainstem Tumors

Surgery for brainstem gliomas is tricky because of the tumor’s location. Surgeons must think about the benefits and risks of surgery. They aim to avoid harming important brain areas.

For some tumors, a biopsy is done to confirm the diagnosis. For others, surgeons try to remove as much tumor as they can. But for DIPG, surgery is often not an option because the tumor spreads.

Emerging Therapies and Clinical Trials

New treatments and clinical trials give hope to kids with glioma, including brainstem gliomas. Researchers are looking into targeted therapies, immunotherapy, and new ways to give chemotherapy.

Clinical trials are key to testing these new treatments. They help find out if these treatments are safe and work well. By joining clinical trials, families can try treatments not available through standard care.

As we learn more about childhood glioma and brainstem gliomas, better treatments will come. Combining old and new treatments could lead to better survival rates and quality of life for kids.

Conclusion: Supporting Families Affected by Childhood Glioma

When a child gets a brain tumor, like childhood glioma or brainstem glioma, it affects everyone. We know how important it is to support families during this tough time. At our institution, we offer top-notch healthcare and support for families from around the world.

Families dealing with pediatric brain tumors need care that covers their medical, emotional, and mental health. It’s key to take care of oneself during this time. This is true for both the patient and their family.

We aim to give specialized care and support to help children with gliomas. We also want to improve the well-being of their families. Our dedication to supporting families with childhood glioma shows our commitment to caring for them with compassion and quality.

FAQ

What is childhood glioma, and how does it develop?

Childhood glioma is a brain tumor that starts in glial cells. These cells help protect and support neurons. The tumor grows because of changes in these cells.

What are the symptoms of brainstem glioma?

Symptoms include trouble with balance and coordination. There might also be signs of nerve problems. These issues happen because the tumor is in the brainstem.

How common are childhood gliomas?

Childhood gliomas are common in kids. They make up almost half of all brain tumors in children. This is a big concern in pediatric oncology.

What is the difference between low-grade and high-grade gliomas?

Low-grade gliomas grow slowly and are less aggressive. High-grade gliomas grow fast and are more serious. The type of glioma affects treatment and outlook.

What is DIPG, and how does it differ from other brainstem gliomas?

DIPG is the most aggressive brainstem glioma. It’s found in the pons area of the brainstem. It’s very malignant.

What are the treatment options for childhood glioma and brainstem gliomas?

Treatments include standard care, surgery, and new therapies. Clinical trials help find better treatments for these tumors.

What is the prognosis for children diagnosed with high-grade glioma or brainstem glioblastoma?

Children with high-grade glioma or brainstem glioblastoma face a tough outlook. Their five-year survival rate is 20%. They usually live 12-18 months.

When should I seek medical attention if I suspect my child has a brain tumor?

Seek help if your child has ongoing or severe symptoms. This includes headaches, nausea, vomiting, or balance issues. Early treatment is key.

What kind of support services are available for families affected by childhood glioma?

We offer care and support for families with childhood glioma. This includes advanced treatments, counseling, and resources to help cope with the condition.

Are there any new or emerging treatments for brainstem glioma?

Yes, new treatments are being tested. These include targeted therapies and immunotherapies. They aim to improve treatment results.

References

Subscribe to Liv E-newsletter