
Wilms tumor, also known as nephroblastoma, is the most common kidney cancer in kids. It makes up nearly 90% of cases. At Liv Hospital, we focus on giving top-notch care to kids with kidney cancer. Discover childhood renal carcinoma facts, including Wilms tumor signs and kidney cancer care.
Our team is all about world-class healthcare. We use a team approach that fits each child’s needs. We’ll dive into what causes Wilms tumor, its symptoms, how it’s diagnosed, and treatment options. This will help families understand this condition better.
Key Takeaways
- Wilms tumor is the most common kidney cancer in children.
- Nearly 90% of pediatric kidney cancer cases are diagnosed as Wilms tumor.
- Liv Hospital provides top care for kids with kidney cancer.
- We use a team approach to tailor treatment to each child’s needs.
- Understanding Wilms tumor is key for families dealing with it.
What Is Childhood Renal Carcinoma?

Wilms tumor, also known as nephroblastoma, is a rare kidney cancer found mainly in kids. It’s a childhood renal carcinoma, which includes different types of kidney cancers in children.
The terms “Wilms tumor” and “nephroblastoma” are used the same in medical books. Knowing these terms helps parents and doctors understand and handle the diagnosis and treatment better.
Medical Terminology: Nephroblastoma and Wilms Tumor
Nephroblastoma, or Wilms tumor, comes from the nephrogenic cells in the kidney. These cells are not fully grown and should turn into kidney tissue. Using both “Wilms tumor” and “nephroblastoma” shows how complex and unique this cancer is. It’s important to know they both mean the same thing. This is a cancerous tumor that can grow in one or both kidneys.
Prevalence and Significance in Pediatric Oncology
Wilms tumor is the most common kidney cancer in kids, making up about 90% of all cases. The American Cancer Society says it affects about 1 in 10,000 kids in the U.S.
| Age Group | Incidence Rate |
| 0-4 years | High incidence |
| 5-9 years | Moderate incidence |
| 10+ years | Low incidence |
Wilms tumor is very important in pediatric oncology. Even though it’s rare, it’s one of the most common cancers in kids’ abdomens. Thanks to early detection and treatment, kids with Wilms tumor have a better chance of survival.
The Epidemiology of Kidney Cancer in Children

Kidney cancer in kids, like Wilms tumor, has its own patterns. Knowing these helps doctors find and treat it early.
Statistical Overview: 7% of All Childhood Cancers
Wilms tumor is about 7% of all childhood cancers. It’s a big deal because it’s common in kids. This shows we need to keep studying it.
Epidemiological data show Wilms tumor hits kids mostly between 3 and 4 years old. Girls are a bit more likely to get it. The numbers vary, but African kids might get it more often.
Age Distribution and Risk Factors
Wilms tumor is most common in kids under 5. The highest number of cases is between 3 and 4 years. Some genetic issues and birth defects raise the risk.
Genetic syndromes like WAGR and Denys-Drash syndrome increase the risk. Knowing these can help catch and treat the disease early.
Studying childhood kidney tumor helps us understand it better. This way, we can make treatments more effective for kids.
Recognizing Nephroblastoma Symptoms
Knowing the common signs of nephroblastoma can help kids with Wilms tumor get better faster. We’ll talk about the main symptoms and signs that parents should watch for. This way, they can get medical help right away.
Primary Presentation: Abdominal Mass
The first sign of Wilms tumor is usually an abdominal mass. Parents often find this swelling or lump while bathing or dressing their child. It’s usually painless and can be any size. Sometimes, the tumor grows big before anyone notices it.
Associated Symptoms: Pain, Hematuria, and Hypertension
While an abdominal mass is the most common sign, other symptoms can happen too. These include:
- Abdominal pain: Some kids might feel pain as the tumor grows.
- Hematuria: Blood in the urine can happen if the tumor affects the kidney.
- Hypertension: High blood pressure can also be a symptom, caused by the tumor’s effect on the kidney.
When Parents Should Seek Medical Attention
Parents should get medical help if they see any of these:
- A swelling or lump in the abdomen.
- Unexplained abdominal pain.
- Blood in the urine.
- High blood pressure readings.
- General symptoms like fever, loss of appetite, or weight loss.
Getting help early is key for effective treatment. If your child shows any unusual signs or symptoms, see a doctor right away.
Diagnostic Pathway for Childhood Kidney Tumors
Finding Wilms tumor needs a detailed plan that includes many tests. This process is key for a correct diagnosis and treatment plan.
Initial Assessment and Physical Examination
The first step is a detailed check-up, including a medical history and physical exam. Parents often notice a swelling or mass in their child’s abdomen, leading to more tests.
Doctors look for signs like abdominal tenderness, high blood pressure, or blood in the urine. These signs help guide the next steps.
Wilms Tumor Ultrasound and Advanced Imaging
Ultrasound is often the first test used because it’s safe and gives important info about the tumor.
Then, CT scans or MRI are used to learn more about the tumor. These tests help figure out how big the tumor is and where it is. They also help plan treatment.
“Imaging plays a critical role in the diagnosis and staging of Wilms tumor, helping to differentiate it from other renal masses and guiding treatment decisions.”
Laboratory Tests and Biopsy Procedures
Lab tests, like blood counts and kidney function tests, give more info about the child’s health. They help spot any problems related to the tumor.
A biopsy is needed to confirm Wilms tumor. The tissue sample is checked to see what the tumor is like. This helps plan the treatment.
Diagnosing childhood kidney tumors is complex and needs a team effort. By using clinical findings, imaging, and lab results, doctors can accurately diagnose and treat Wilms tumor.
Understanding Wilms Tumor Staging
Knowing how to stage Wilms tumor is key for planning treatment. This type of kidney cancer mainly hits kids. The staging system shows how far the cancer has spread. This helps doctors decide the best treatment and what to expect.
The Five Stages Explained
The staging for Wilms tumor looks at the tumor size and if it’s spread. Here are the five stages:
| Stage | Description |
| I | The tumor is only in the kidney and is removed. |
| II | The tumor is bigger but is removed. |
| III | The tumor can’t be fully removed or has spread to nearby lymph nodes. |
| IV | The tumor has spread to distant places like the lungs, liver, or brain. |
| V | The tumor is in both kidneys. |
Getting the stage right is very important. It helps doctors know what to expect and how to treat it best.
How Staging Guides Treatment Decisions
The stage of Wilms tumor affects the treatment plan. For stages I and II, surgery and then chemotherapy might be enough. But for stages III, IV, and V, treatment includes surgery, chemotherapy, and sometimes radiation.
The National Cancer Institute says, “Wilms tumor treatment depends on the stage, the child’s age, and health.”
“Treatment plans are made for each child, considering the tumor’s stage and type.”
We use the staging to make sure each child gets the right treatment for their case.
Anaplastic Wilms Tumor: A More Aggressive Subtype
Anaplastic Wilms tumor is a tough type of cancer to treat. It has unique features that make it hard to manage. This makes it a big challenge for doctors.
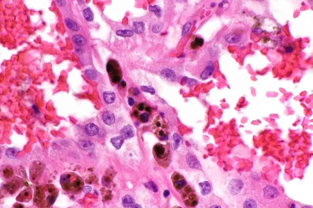
Histological Characteristics
Anaplastic Wilms tumor has big, abnormal cells. These cells show how aggressive the cancer is. They are key to understanding the cancer’s behavior.
Doctors look closely at tumor samples to find these cells. This helps them know how serious the cancer is. It also guides how to treat it.
Treatment Challenges
Dealing with anaplastic Wilms tumor is tough. It doesn’t respond well to common treatments. Doctors need to try harder and think outside the box to fight it.
We’ll talk about different ways to treat this cancer. This includes stronger chemotherapy and new medicines.
| Treatment Approach | Characteristics | Challenges |
| Intensified Chemotherapy | High-dose chemotherapy regimens | Increased toxicity, possible bad side effects |
| Novel Therapeutic Agents | Targeted therapies, immunotherapies | Not always effective, might not work long |
| Radiation Therapy | High-precision radiation techniques | Can cause long-term problems, like cancer later |
Prognostic Implications
Anaplastic Wilms tumor is a serious case. It has a worse survival rate than other types. This is important for doctors and patients to know.
Knowing how serious anaplastic Wilms tumor is helps doctors and patients. We’ll look at what factors affect survival. This helps in making treatment plans.
Treatment Approaches for Childhood Renal Carcinoma
Wilms tumor treatment combines surgery, chemotherapy, and sometimes radiation. This mix is key to fighting childhood renal carcinoma.
Surgical Management
Surgery is a big part of Wilms tumor treatment. Radical nephrectomy, or removing the kidney, is common. The aim is to take out the tumor and nearby tissues.
Doctors might also check nearby lymph nodes for cancer. In some cases, nephron-sparing surgery is used. This is for patients with bilateral tumors or a single kidney.
Chemotherapy Protocols
Chemotherapy is very important in treating Wilms tumor. It’s used before surgery to shrink the tumor or after to kill any left-over cancer cells. The main drugs are vincristine and dactinomycin.
For high-risk cases, doxorubicin might be added. The treatment plan depends on the tumor’s stage and type.
Role of Radiation Therapy
Radiation therapy is used for advanced or high-risk Wilms tumors. It kills cancer cells in the abdomen or other spread areas.
Whether to use radiation depends on the tumor’s stage, the patient’s age, and how they respond to chemotherapy. Modern radiation methods try to avoid long-term side effects while targeting cancer.
Survival Rates and Prognosis
Children with Wilms tumor now have a much better chance of survival. This is thanks to new treatments and a deeper understanding of the disease.
Overall 5-Year Survival: 85-93% Success Rate
The 5-year survival rate for kids with Wilms tumor is between 85% and 93%. This shows that most patients have a good chance of beating the disease. Modern treatments like surgery, chemotherapy, and radiation are making a big difference.
Doctors use these treatments together, based on each patient’s needs. The high survival rate also comes from the work of teams around the world. They keep improving how they treat Wilms tumor.
Factors Affecting Outcomes
Even with a good overall survival rate, some things can affect how well a patient does. These include the disease’s stage, the type of tumor, and how well the patient responds to treatment.
- Stage of Disease: How far the tumor has spread is very important. Tumors caught early are easier to treat.
- Tumor Histology: The look of the tumor cells under a microscope matters a lot. Some types are easier to treat than others.
- Patient’s Age and Overall Health: Younger patients and those who are generally healthy tend to do better.
Knowing these factors helps doctors create the best treatment plans for each patient. This increases their chances of a good outcome.
Genetic Factors in Nephroblastoma Causes
Wilms tumor is linked to genetic mutations and hereditary syndromes. Knowing these genetic factors helps us find at-risk children. It also guides us in creating better treatment plans.
Hereditary Syndromes Associated with Wilms Tumor
Several hereditary syndromes raise the risk of Wilms tumor. These include:
- WAGR Syndrome: A rare genetic disorder with Wilms tumor, Aniridia, Genitourinary anomalies, and mental Retardation.
- Beckwith-Wiedemann Syndrome: A growth disorder that increases the risk of several types of tumors, including Wilms tumor.
- Denys-Drash Syndrome: A rare disorder with kidney disease, Wilms tumor, and genital abnormalities.
Children with these syndromes need regular screening for Wilms tumor. This usually involves ultrasound exams.
Current Research on Genetic Markers
Research is ongoing to find specific genetic markers for Wilms tumor. It focuses on genes like WT1, which is key in kidney development.
| Gene | Function | Association with Wilms Tumor |
| WT1 | Tumor suppressor gene involved in kidney development | Mutations in WT1 are associated with a significant proportion of Wilms tumors |
| CTNNB1 | Involved in cell-cell adhesion and Wnt signaling pathway | Mutations can contribute to tumor development |
As we learn more about Wilms tumor’s genetics, we’re getting closer to better treatments. These treatments will be more tailored to each patient’s needs.
“The identification of genetic markers for Wilms tumor not only aids in early detection but also opens avenues for targeted therapies, potentially reducing the intensity of treatment for some patients.”
- Pediatric Oncologist
Understanding the genetic causes of nephroblastoma is key to better care for children with Wilms tumor. By using genetic information in treatment plans, we can make care more precise and effective.
Long-term Follow-up and Quality of Life
Long-term follow-up is key for Wilms tumor survivors. It helps monitor late effects and keeps them healthy. We’re working to make sure survivors live well after treatment.
Monitoring Protocols After Treatment
Patients get regular check-ups after Wilms tumor treatment. These follow-ups aim to catch late complications early. This way, we can act fast.
The follow-up plans include:
- Regular physical examinations
- Imaging studies (e.g., ultrasound, CT scans)
- Laboratory tests to assess organ function
- Screening for secondary cancers
These plans are made just for each patient. They consider the treatment and risk factors.
Managing Possible Late Complications
Survivors might face late complications from treatment. These can include:
| Late Complication | Management Strategy |
| Renal dysfunction | Monitoring kidney function, medication to manage hypertension or proteinuria |
| Cardiac issues | Echocardiograms, management of risk factors for cardiovascular disease |
| Secondary cancers | Regular screenings, genetic counseling if applicable |
Handling these complications needs a team effort. Doctors from different fields work together.
With thorough long-term care, we can boost the quality of life for Wilms tumor survivors. We meet their unique needs and support them to thrive.
Conclusion: Advances in Pediatric Kidney Cancer Care
Advances in treating pediatric kidney cancer have changed the game for Wilms tumor patients. Survival rates and outcomes have greatly improved thanks to better treatment plans and care.
We’ve talked about the key points of Wilms tumor, from its causes and symptoms to how it’s diagnosed and treated. The mix of surgery, chemotherapy, and radiation has been key. It has helped raise the 5-year survival rate to 85-93% for these patients.
It’s vital to keep researching and improving treatment for Wilms tumor. This will help make life better for survivors and raise survival chances for those with this tough disease.
Looking ahead, we must focus on ongoing research and teamwork. This will help tackle the challenges of Wilms tumor and other pediatric kidney cancers.
FAQ
What is Wilms tumor, and how is it related to childhood renal carcinoma?
Wilms tumor, also known as nephroblastoma, is a cancer that starts in the kidneys. It’s most common in kids. It’s a big part of childhood renal carcinoma.
What are the typical symptoms of Wilms tumor in children?
Kids with Wilms tumor often have an abdominal mass. They might also feel pain, see blood in their urine, and have high blood pressure.
How is Wilms tumor diagnosed?
Doctors first check the child and do an ultrasound. They might also do a biopsy to confirm the tumor.
What is the staging system for Wilms tumor, and why is it important?
The staging system divides Wilms tumor into five stages. Knowing the stage helps doctors decide the best treatment. It also helps predict how well the child will do.
What is anaplastic Wilms tumor, and how does it differ from other forms?
Anaplastic Wilms tumor is a more aggressive type. It has specific features. It’s harder to treat and has different outcomes than other types.
What are the treatment approaches for Wilms tumor?
Treatment can include surgery, chemotherapy, and radiation. Doctors choose the best mix based on the tumor’s stage and type.
What are the survival rates for Wilms tumor patients?
The 5-year survival rate for Wilms tumor is 85% to 93%. Survival depends on the tumor’s stage, type, and how well it responds to treatment.
Are there genetic factors that contribute to the development of Wilms tumor?
Yes, some genetic syndromes increase the risk of Wilms tumor. Research is ongoing to understand these genetic factors better.
Why is long-term follow-up important for Wilms tumor survivors?
Long-term follow-up helps catch late complications. It also improves the quality of life for survivors. Regular check-ups are key.
How have advances in treatment improved outcomes for Wilms tumor patients?
New surgical methods, chemotherapy, and radiation have greatly improved survival rates. Ongoing research aims to keep making treatments better.
Reference
- Incidence of childhood renal tumours: an international population-based study. (2019). British Journal of Cancer, 121(11), 942-948. https://www.ncbi.nlm.nih.gov/pmc/articles/PMC7689773/