
Getting a diagnosis of carcinoma in situ can be scary. But it’s important to know it’s an early, non-invasive form of cancer. This means the abnormal cells are only in the top layer of cells and haven’t spread.
Carcinoma in situ, or stage 0 cancer, is a warning sign before cancer grows. It’s a sign that cancer might happen but hasn’t yet. Not all cancer types have a CIS stage, like bone cancer or leukemia. Knowing what CIS is and what it means is key for making good health choices.
Key Takeaways
- Carcinoma in situ is a non-invasive, early-stage condition.
- Abnormal cells in CIS are confined to the epithelium.
- Not all cancers have a CIS stage.
- Understanding CIS is vital for informed healthcare decisions.
- CIS is a chance for early action.
Understanding Carcinoma In Situ (CIS)

To understand CIS, we need to know what it is, its characteristics, and how it differs from invasive cancer. CIS is a type of cancer that stays in one place. It hasn’t spread to other areas yet.
Definition and Etymology
The term ‘carcinoma in situ’ comes from Latin. “In situ” means ‘in its place.’ This means cancer cells stay where they started, without spreading.
This term helps us see CIS as an early-stage cancer. It hasn’t moved to other tissues yet.
How CIS Differs from Invasive Cancer
CIS is different from invasive cancer because CIS cells haven’t crossed the basement membrane. This thin layer of tissue keeps cells in place. Invasive cancer, on the other hand, has spread past this membrane.
This difference shows why catching CIS early is so important. It helps stop it from becoming invasive cancer.
Even though CIS is an early-stage cancer, it needs medical care. If not treated, CIS could turn into invasive cancer. So, getting help quickly is key.
The Biology of CIS Cancer

CIS cancer involves complex changes in cells. These changes set it apart from normal cells and invasive cancer. We will look closely at these changes, focusing on what makes CIS unique.
Cellular Characteristics
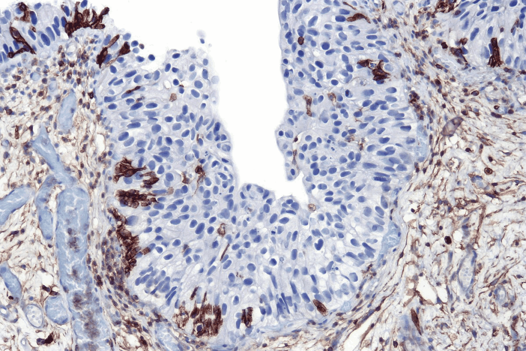
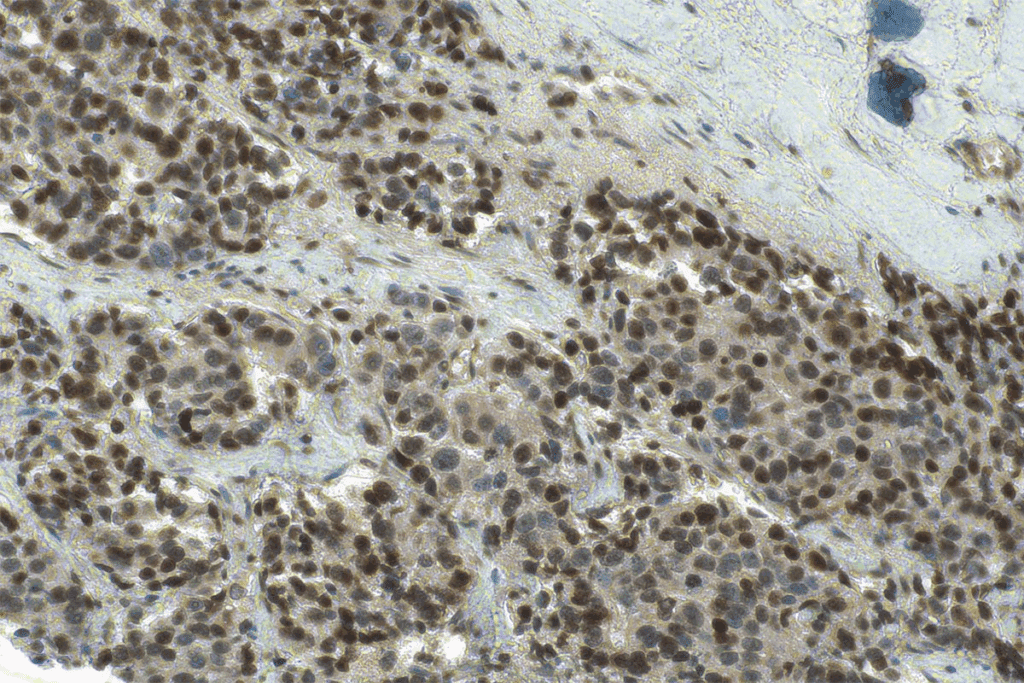
CIS cells are different from normal cells. They haven’t invaded the basement membrane yet. This is a key difference that sets CIS apart from invasive cancer.
CIS cells vary in size, shape, and how they’re organized. They often have abnormal nuclei. These changes are important for diagnosing CIS and understanding its risk.
Microscopic Appearance
Under a microscope, CIS cells show distinct features. Their structure is disorganized, unlike normal cells. This disorganization is a sign of abnormal growth in CIS.
To better understand CIS, let’s compare it with normal cells and invasive cancer cells:
| Cell Type | Cellular Organization | Nuclear Abnormalities | Invasion Status |
| Normal Cells | Organized | Minimal | No Invasion |
| CIS Cells | Disorganized | Present | No Stromal Invasion |
| Invasive Cancer Cells | Highly Disorganized | Significant | Stromal Invasion Present |
CIS is classified as stage 0 cancer (TisN0M0). Knowing about CIS’s biology is key for early detection and treatment.
Classification and Staging of Carcinoma In Situ
The way we classify and stage CIS cancer is key in medical care. It helps decide how to treat and what to expect. Knowing these systems is vital for doctors to choose the right treatment for CIS patients.
TNM Classification System
The TNM Classification System is a common method for cancer staging, including CIS. TNM stands for Tumor, Node, and Metastasis. These three parts help figure out how far the cancer has spread.
- T (Tumor): Shows the size and spread of the main tumor.
- N (Node): Tells if the cancer has reached nearby lymph nodes.
- M (Metastasis): Indicates if the cancer has spread to other parts of the body.
For CIS, the TNM system is very important. CIS is considered stage 0 cancer. This means it’s non-invasive and hasn’t spread beyond the epithelium.
| Stage | Description |
| Stage 0 | CIS – Cancer is confined to the epithelium, non-invasive. |
| Stage I-IV | Invasive cancer – Cancer has spread beyond the epithelium. |
Stage 0 Cancer Explained
Stage 0 cancer, or CIS, is when cancer cells are present but haven’t invaded deeper tissues. This stage is very important. It’s a time when treatment can stop the cancer from becoming invasive.
“The early detection of CIS provides an opportunity for treatment before the cancer becomes invasive, significantly improving patient outcomes.” – Medical Expert, Oncologist
CIS is usually found through screening and biopsies. Knowing CIS is stage 0 cancer highlights the need for early action.
By accurately staging CIS, doctors can create specific treatment plans. This approach helps improve patient outcomes.
Common Types of Carcinoma In Situ
CIS can show up in different parts of the body, like the breast, bladder, and skin. Each type has its own traits. Knowing these helps doctors diagnose and treat it right.
Breast Carcinoma In Situ
Breast CIS includes ductal carcinoma in situ (DCIS) and lobular carcinoma in situ (LCIS). DCIS has cancer cells in the milk ducts but doesn’t spread. LCIS has abnormal cells in the breast lobules. Both are non-invasive and found during mammograms.
Key aspects of breast CIS:
- Often detected through mammography
- Can progress to invasive cancer if left untreated
- Treatment options include surgery, radiation, and hormone therapy
Urothelial Carcinoma In Situ (Bladder CIS)
Urothelial CIS, or bladder CIS, is a flat, non-invasive growth in the bladder lining. It’s linked to high-grade tumors and has a high chance of turning into invasive bladder cancer.
Characteristics of urothelial CIS:
| Feature | Description |
| Location | Confined to the urothelium |
| Risk | High risk of progression to invasive cancer |
| Diagnosis | Typically diagnosed through cystoscopy and biopsy |
“Urothelial CIS is a serious condition that requires prompt and effective treatment to prevent progression to invasive bladder cancer.”
Medical Expert, Urologist
Skin Carcinoma In Situ
Skin CIS, or Bowen’s disease, is a skin cancer that stays in the top layer of the skin. It grows slowly and looks like a reddish patch or plaque. It usually shows up on sun-exposed areas.
Management of skin CIS:
- Topical treatments
- Surgical excision
- Photodynamic therapy
In conclusion, CIS can happen in different parts of the body, each with its own traits and treatment needs. Knowing these differences is key to giving the right care.
Risk Factors for Developing CIS
Carcinoma In Situ (CIS) can be caused by genetics, environment, and lifestyle. Knowing these factors helps us spot who’s at higher risk. This knowledge is key to taking steps to prevent CIS.
Genetic Predisposition
Genetics play a big role in CIS. If your family has a history of cancer, like breast, bladder, or skin, you’re at higher risk. Certain genes, like BRCA1 and BRCA2, can also raise your risk of CIS.
Some important genetic factors are:
- Inherited mutations in tumor suppressor genes
- Family history of cancers associated with CIS
- Genetic syndromes that increase cancer risk
Environmental Factors
Environmental factors also play a big part in CIS. Being exposed to certain chemicals and radiation can up your risk.
Some environmental risks are:
- Exposure to carcinogenic chemicals in the workplace
- UV radiation from the sun or tanning beds
- Ionizing radiation from medical procedures or environmental sources
Lifestyle Considerations
Lifestyle choices can also affect CIS risk. While some factors are out of our control, we can make changes to lower our risk.
Important lifestyle factors include:
- Diet and nutrition: Eat a balanced diet with lots of fruits, vegetables, and whole grains
- Smoking cessation: Quitting tobacco is a big step in reducing cancer risk
- Alcohol consumption: Drinking less alcohol can also lower your cancer risk
By understanding and tackling these risk factors, we can lower our chance of getting CIS. This can also help prevent it from turning into invasive cancer.
Diagnosis of Carcinoma In Situ
Healthcare providers use many tools to find CIS. They pick the right method based on where and what kind of CIS it is.
Screening Methods
Screening is key in finding CIS early. For example, urine tests help spot bladder CIS. Mammograms and visual checks are used for breast and skin CIS.
Biopsy Procedures
Biopsy is a sure way to diagnose CIS. It takes a small tissue sample for a microscope check. There are different ways to do a biopsy, like needle or surgical.
Each organ has its own biopsy method. Needles are used for breast CIS, and cystoscopy for bladder CIS.
Imaging Techniques
Imaging is important for finding out how big CIS is. Common tools include:
- Mammography for breast CIS
- Cystoscopy and ultrasound for bladder CIS
- Dermoscopy for skin CIS
These tools help see how big and where CIS is. This info is key for treatment plans.
Quick diagnosis and watching CIS are very important. Early detection and accurate diagnosis can greatly improve treatment results.
Treatment Approaches for CIS
The treatment for carcinoma in situ (CIS) varies based on several factors. These include the location and type of CIS. Management options range from surgery to medication and new therapies.
Surgical Options
Surgery is a common first step in treating CIS. The type of surgery depends on where and how much CIS is present. For example, in the breast, it might be a lumpectomy or mastectomy. Skin CIS often requires surgical removal.
“Surgery is very effective for CIS, mainly if caught early,” says Medical Expert, a leading oncologist. “It’s important to choose the right surgery for each person’s situation.”
Radiation Therapy
Radiation therapy is used for CIS, too. It’s helpful when surgery margins are not clear or when there’s a high risk of coming back. It uses high-energy rays to kill off bad cells. For breast CIS, it might be used after a lumpectomy to lower the chance of it coming back.
Medication and Topical Treatments
For some CIS types, medication and topical treatments work well. For instance, BCG (Bacillus Calmette-Guérin) is used for bladder CIS. Topical chemotherapy is applied for skin CIS. These methods aim to get rid of abnormal cells and stop cancer from spreading.
- Topical chemotherapy for skin CIS
- BCG treatment for bladder CIS
- Hormonal therapy for certain cases of breast CIS
Emerging Therapies
New research is bringing hope for CIS treatments. Targeted and immunotherapies are being studied for CIS treatment. These new methods aim to better outcomes and lessen side effects.
Medical Expert, “The future of CIS treatment is in personalized medicine. Therapies will be made to fit each person’s genetic and molecular profile.”
Prevention and Risk Reduction Strategies
Understanding risk factors is key to preventing CIS. Adopting proactive health measures can greatly reduce CIS risk. This way, we can stop CIS from getting worse.
Lifestyle Modifications
Healthy lifestyle choices are vital for CIS prevention. Maintaining a balanced diet with fruits, veggies, and whole grains helps. Regular exercise also boosts health and well-being.
Smoking cessation is a must. Smoking increases CIS risk, and quitting can lower it. Drinking less alcohol is also good, as too much can raise CIS risk.
| Lifestyle Modification | Benefit |
| Balanced Diet | Reduces CIS risk |
| Regular Physical Activity | Contributes to overall health |
| Smoking Cessation | Reduces tobacco-related CIS risk |
Screening Recommendations
Regular screenings help catch CIS early. Mammograms are key for women to find breast CIS early. For those at risk of urothelial CIS, urine cytology tests are recommended.
Screening plans depend on your risk and health history. Always talk to your doctor about the best screening schedule for you.
Combining lifestyle changes with regular screenings can lower CIS risk. This approach improves health outcomes.
Progression Risk and Monitoring
We know that the chance of CIS turning into invasive cancer varies a lot. This shows how key it is to know what affects this risk. This way, we can give the best care possible.
Factors Influencing Progression to Invasive Cancer
Several important factors can change the chance of CIS becoming invasive cancer. These include the tumor grade, certain biomarkers, and how well the patient responds to treatment.
| Factor | Description | Impact on Progression Risk |
| Tumor Grade | Shows how much the tumor cells look like normal cells | Higher grade tumors are more likely to progress |
| Biomarkers | Specific proteins or genetic markers found in CIS | Some biomarkers suggest a higher risk of progression |
| Response to Treatment | How well CIS reacts to the first treatment | Poor response to treatment means higher risk of progression |
Knowing these factors helps us customize CIS management. This ensures patients get the right care for their specific risk.
Follow-up Protocols
Regular check-ups are vital for watching CIS and catching any signs of invasive cancer early. Our follow-up plans include:
- Regular imaging studies to keep an eye on CIS
- Biopsy procedures to check CIS for any changes
- Clinical evaluations to watch the patient’s health and treatment response
By sticking to a close follow-up schedule, we can spot any CIS changes fast. This lets us adjust the treatment plan to stop invasive cancer from happening.
Conclusion
Understanding carcinoma in situ (CIS) is key for early detection and treatment. We’ve looked into its definition, biology, types, and treatment options. CIS is a precancerous lesion that needs attention.
In conclusion, CIS needs quick action to stop it from becoming invasive cancer. With the right care, the chance of it getting worse can drop a lot. This shows how vital it is to catch CIS early.
Our CIS summary shows that knowing the risks, how to diagnose it, and treatment choices is essential. This highlights the need for ongoing research and awareness to better patient care.
We see CIS as a major health concern that needs a full approach, from prevention to treatment. Our talk lays the groundwork for understanding CIS and its importance. It also stresses the need for ongoing medical progress in this field.
FAQ
What is carcinoma in situ (CIS)?
Carcinoma in situ (CIS) is an early-stage cancer. It’s non-invasive, meaning cancer cells stay in the epithelium. They haven’t spread to other tissues yet.
What does “in situ” mean in cancer?
“In situ” comes from Latin, meaning “in its original place.” In cancer, it means cancer cells stay put. They haven’t spread to other parts of the body.
How does CIS differ from invasive cancer?
CIS is different from invasive cancer because CIS cells don’t invade tissues. Invasive cancer cells break through the basement membrane and spread.
What are the common types of CIS?
There are several types of CIS, like breast CIS, urothelial (bladder) CIS, and skin CIS. Each has its own characteristics and importance.
What are the risk factors for developing CIS?
Risk factors for CIS include genetics, environment, and lifestyle. These can increase the chance of CIS becoming invasive cancer.
How is CIS diagnosed?
CIS is found through screening, biopsies, and imaging. These methods help catch CIS early, allowing for quick treatment.
What are the treatment approaches for CIS?
CIS treatments vary. They include surgery, radiation, medication, and new therapies. Each is chosen based on CIS type and location.
Can CIS be prevented?
Not all CIS can be prevented. But, making lifestyle changes and following screening guidelines can lower the risk of CIS and stop it from becoming invasive.
What is the progression risk of CIS?
CIS progression risk varies. It depends on CIS type, location, and individual risk factors. These can influence the chance of CIS becoming invasive.
Why is monitoring CIS important?
Watching CIS closely is key. It helps catch any changes or signs of invasive cancer early. This allows for timely treatment and management.
What is stage 0 cancer?
Stage 0 cancer is CIS. It means cancer cells are in the epithelium and haven’t spread. It’s a non-invasive cancer stage.
What is the TNM classification system?
The TNM system is a cancer staging method. It looks at tumor size (T), lymph node involvement (N), and metastasis (M).
How does CIS appear under the microscope?
CIS cells look abnormal under a microscope. They have unique features that show they’re not normal cells. But, they don’t invade the surrounding stroma.
References
National Center for Biotechnology Information. (2025). What Is Carcinoma In Situ CIS A Complete. Retrieved from http://www.ncbi.nlm.nih.gov/medgen/763[8