
At Liv Hospital, we use endovascular coiling to treat brain aneurysms. This method is a new hope for patients. It’s a minimally invasive procedure.
A catheter is guided to the aneurysm. Then, soft platinum coils are placed to help clot formation. This seals the aneurysm.
In the United States, about 6.5 million people have an unruptured brain aneurysm. Every year, 30,000 people suffer a rupture. Endovascular coiling is a safe and effective treatment.
It lowers the risk of rupture and helps patients recover faster.
Key Takeaways
- Endovascular coiling is a minimally invasive procedure for treating brain aneurysms.
- It involves deploying soft platinum coils to promote clot formation and seal the aneurysm.
- This treatment option reduces the risk of aneurysm rupture and promotes patient recovery.
- Liv Hospital is at the forefront of providing this innovative aneurysm treatment.
- Endovascular coiling is a safe and effective alternative to traditional surgical clipping.
Understanding Brain Aneurysms and Their Risks

A brain aneurysm is a weak spot in a blood vessel wall. It can lead to severe health risks. It’s a big health issue affecting millions globally. Knowing about brain aneurysms, their risks, and dangers if untreated is key for early action and treatment.
What Is a Brain Aneurysm?
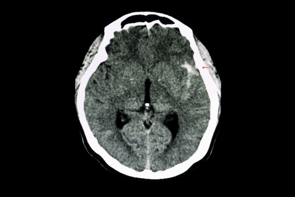
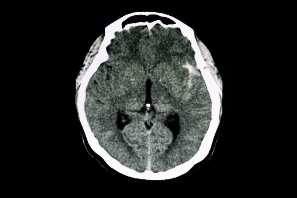
A brain aneurysm is a bulge in a blood vessel in the brain. It happens when the blood vessel wall is weak. Brain aneurysms can rupture, leading to bleeding in the brain, known as a subarachnoid hemorrhage, which is a life-threatening condition requiring immediate medical attention.
“Aneurysms are like ticking time bombs,” says a renowned neurosurgeon. “Understanding their nature and taking preventive measures can save lives.”
Risk Factors for Aneurysm Development
Several factors can increase the risk of developing a brain aneurysm. These include:
- Genetics: Family history of aneurysms
- Age: More common in adults between 30 and 60 years old
- Gender: Women are more likely to develop aneurysms
- Smoking: Significantly increases the risk
- High Blood Pressure: Hypertension can weaken blood vessel walls
Identifying these risk factors can help in early detection and management of brain aneurysms.
Dangers of Untreated Aneurysms
If left untreated, brain aneurysms can rupture, leading to severe consequences. The rupture can cause:
- Hemorrhagic stroke
- Brain damage
- Disability
- Death
The importance of timely medical intervention cannot be overstated. Treatments like endovascular coiling can effectively manage aneurysms, preventing rupture and its devastating outcomes.
The Science Behind Coiling of Artery for Aneurysm Treatment

The science of coiling an artery for aneurysm treatment is based on embolization. This method seals off the aneurysm from blood flow. It’s a safer, less invasive option compared to traditional surgery.
How Aneurysms Form in Cerebral Arteries
Aneurysms in cerebral arteries happen when the artery wall weakens. This can be due to genetics, high blood pressure, or atherosclerosis. The weakened area bulges, forming a sac-like structure that can rupture.
Understanding how aneurysms form is key to finding effective treatments. Endovascular coiling is one such method, targeting the aneurysm directly.
The Concept of Embolization
Embolization blocks blood flow into an aneurysm. In aneurysm treatment, it involves using platinum coils to promote clotting and seal the aneurysm.
This method is minimally invasive. A catheter is used to reach the aneurysm. Once there, the coils are deployed, filling the aneurysm and inducing clotting. This seals the aneurysm, preventing rupture.
How Coils Create Clotting and Seal Aneurysms
The coils used in aneurysm coiling are made of platinum. This material is safe for use in the body. When deployed, the coils help blood clot around them.
As the clot forms, it seals the aneurysm. This prevents blood from entering the sac and reduces the risk of rupture. Coils have been shown to be highly effective in treating aneurysms, reducing the risk of rebleeding and complications.
Types of Medical Coils and Materials Used in Aneurysm Treatment
Medical coils are key in treating aneurysms without surgery. Choosing the right coil is vital for success.
Platinum Coils: The Gold Standard
Platinum coils are the top choice for treating aneurysms. They are safe and help form clots. Made from a special platinum alloy, they are flexible and easy to move through blood vessels.
Key benefits of platinum coils include:
- High biocompatibility, reducing the risk of adverse reactions
- Effective in inducing clot formation within the aneurysm
- Flexible and navigable through complex cerebral anatomy
Bioactive and Coated Coils
Bioactive and coated coils are also used to improve treatment results. They help the clotting process happen faster and more stable.
Bioactive coils have special coatings like hydrogel or polyglycolic acid. These coatings help the body heal faster, leading to quicker clotting and aneurysm closure.
Sizing and Selection of Appropriate Coils
Choosing the right coil size and type is very important. It depends on the aneurysm’s size, shape, and where it is.
Factors influencing coil selection include:
- Aneurysm morphology and size
- Location of the aneurysm within the cerebral vasculature
- Patient-specific factors, such as age and overall health
By picking the right coil, doctors can make sure the treatment works well. This leads to a successful and lasting fix.
The Complete Endovascular Coiling Procedure Explained
Understanding the endovascular coiling procedure is key for those with brain aneurysms. It involves several steps, from imaging and planning to coil deployment and checking the aneurysm’s closure.
Pre-Procedure Imaging and Planning
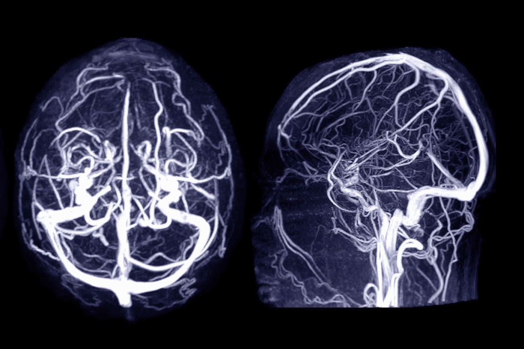
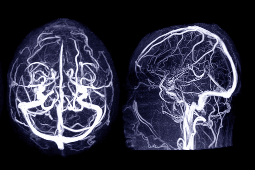
Before starting, detailed imaging and planning are vital. We use digital subtraction angiography (DSA) and 3D rotational angiography to see the aneurysm and its surroundings. This helps us plan the best way to coil it.
Catheter Insertion and Navigation
Next, we insert a catheter through the blood vessels to the aneurysm. We guide it from the groin to the brain’s arteries, using live images to make sure it’s in the right spot.
Coil Deployment Techniques
With the catheter in place, we start deploying coils into the aneurysm. These coils help clot the aneurysm, sealing it off. We use different techniques, like framing coils and filling coils, to fill the aneurysm.
- Choosing the right coil sizes and types
- Putting coils in under constant imaging
- Checking if the coils have worked
Completion Angiography and Verification
After putting in coils, we do a final angiography to check if the aneurysm is closed and there are no issues. This step is key to making sure the procedure was a success and the patient is safe.
The endovascular coiling procedure is complex and needs a lot of skill. By knowing each step, patients can see the care and precision that goes into their treatment.
Key Benefits of Endovascular Coiling Compared to Traditional Surgery
Endovascular coiling is a less invasive way to treat cerebral aneurysms. It’s a big change from traditional surgery. This method offers many benefits that help patients get better faster.
Minimally Invasive Approach Without Craniotomy
Endovascular coiling is less invasive than traditional surgery. It doesn’t need a big cut in the skull. Instead, it uses a small puncture in the groin to reach the aneurysm. This makes it safer and reduces the chance of complications.
Reduced Recovery Time and Hospital Stay
Patients with endovascular coiling recover faster. The procedure causes less damage and pain. This means they can go home sooner and get back to their lives quicker.
Access to Difficult-to-Reach Aneurysms
Endovascular coiling can treat aneurysms that are hard to reach. It’s a precise method that can handle complex cases. This is a big advantage over traditional surgery.
Lower Risk of Certain Complications
Endovascular coiling has fewer risks than traditional surgery. It lowers the chance of problems like cerebral vasospasm and infection. It can even be done with less anesthesia, making it safer.
In short, endovascular coiling is better than traditional surgery in many ways. It’s less invasive, leads to faster recovery, and can treat complex aneurysms. These benefits make it a great choice for many patients.
- Minimally invasive: No craniotomy required
- Faster recovery: Reduced hospital stay and quicker return to normal activities
- Access to complex aneurysms: Treatment of aneurysms considered inoperable by traditional surgery
- Lower complication risk: Reduced risk of infection, cerebral vasospasm, and other surgery-related complications
Potential Risks and Complications of Aneurysm Coiling
It’s important to know the risks of aneurysm coiling. This treatment is very effective for cerebral aneurysms. But, it can have some complications.
Procedure-Related Complications
Complications can happen during or right after the procedure. These might include thromboembolic events and aneurysm rupture. These are serious but rare issues.
A study in a medical journal showed that complication rates can vary. This highlights the need for skilled doctors and advanced imaging to reduce risks.
Risk of Coil Migration or Compaction
Coil migration or compaction is another risk. This means the coils might move or get smaller over time. It can cause the aneurysm to not close properly or even come back.
To avoid this, choosing the right coil size and type is key. Also, how the coils are placed is very important.
Aneurysm Recurrence and Rebleeding
Aneurysm recurrence is a big worry. It can lead to rebleeding if not treated. The size and shape of the aneurysm and how well it was coiled initially play a role.
“The long-term success of aneurysm coiling depends on its durability. Regular imaging is needed to catch any recurrence early.”
Regular imaging is vital. It helps keep an eye on the coiled aneurysm. This way, any recurrence can be caught and treated quickly.
Managing Complications During and After Coiling
Handling complications well is key to the success of aneurysm coiling. Preventive steps, like anticoagulation therapy, are important. Also, having plans for complications is essential.
| Complication | Management Strategy |
| Thromboembolic Events | Anticoagulation therapy, mechanical thrombectomy |
| Aneurysm Rupture | Immediate coil deployment, additional coiling or clipping |
| Coil Migration | Additional coiling, retrieval techniques |
Knowing about these risks helps healthcare providers take better care of patients. This can lead to better outcomes for everyone.
Comparing Coiling Aneurysms to Surgical Clipping
Endovascular coiling and surgical clipping are two ways to treat brain aneurysms. The choice depends on several factors. We’ll look at the differences, outcomes, and what affects patient selection.
Traditional Surgical Clipping Approach
Surgical clipping requires a craniotomy to expose the aneurysm. A clip is then placed around its neck to stop blood flow. This method has been used for years and works well for some aneurysms. The precision of surgical clipping allows for the immediate exclusion of the aneurysm from the circulation, reducing the risk of rupture.
But, surgical clipping is more invasive than coiling. It requires a longer recovery. The choice depends on the aneurysm’s location, size, and the patient’s health and preferences.
Clinical Outcomes: Coiling vs. Clipping
Studies have shown both coiling and clipping have their benefits. Coiling is often less risky and has faster recovery times. Clipping might offer more durable results in some cases, reducing the need for future interventions.
The right choice depends on the aneurysm and the patient. A multidisciplinary team approach is essential in determining the most appropriate treatment strategy.
Patient Selection Factors
Choosing between coiling and clipping involves a detailed evaluation. Factors include the aneurysm’s size, location, and the patient’s age, health, and preferences. Advanced imaging techniques play a critical role in this assessment.
We look at several factors for patient selection. These include the risk of complications, the chance of successful occlusion, and the patient’s long-term outlook.
Hybrid Approaches and Combined Therapies
In some cases, a hybrid approach combining coiling and clipping is considered. This might involve using intraoperative angiography during surgical clipping to ensure complete aneurysm occlusion, or combining coiling with other endovascular techniques.
New technologies and techniques are expanding treatment options for brain aneurysms. We are committed to keeping up with these advancements to offer our patients the best care.
Recovery and Long-Term Outlook After Brain Aneurysm Coils
Brain aneurysm coiling is a big deal, and knowing how to recover is key. It’s important to understand the recovery process for patients and their families. We need to look at all the factors that affect recovery and long-term success.
Immediate Post-Procedure Recovery
Right after the procedure, patients stay in a recovery area. They are watched closely for any problems. The team looks for signs of brain changes, bleeding, or other issues. Most patients get better fast, and some go home in a day or two.
The first few days involve:
- Resting and doing little
- Watching for any complications
- Managing pain or discomfort
- Getting follow-up images to check the aneurysm
Follow-Up Imaging and Monitoring
Follow-up care is vital. Regular images are needed to check the aneurysm. How often and what type of images depend on the patient. But usually, it’s angiograms, MRIs, or CT scans.
Follow-up care includes:
- Setting up regular imaging appointments
- Watching for any changes in the aneurysm
- Changing treatment plans if needed
Long-Term Success Rates and Research Findings
Studies show brain aneurysm coiling works well. Most patients do well, with a big drop in rupture risk. But, it’s important to keep up with follow-ups to catch any problems early.
Research highlights:
- Most aneurysms are closed off
- Recurrence is rare with good treatment
- Outcomes can vary based on the aneurysm and patient health
Lifestyle Considerations After Coil Embolization
After recovery, patients can usually go back to normal. But, some lifestyle changes might be suggested. These could be about diet, exercise, or managing stress.
Important lifestyle tips include:
| Lifestyle Factor | Recommendation |
| Diet | Eat a balanced diet with lots of fruits, veggies, and whole grains |
| Exercise | Do regular physical activity, like walking or swimming, with your doctor’s okay |
| Smoking | Avoid smoking and secondhand smoke |
Conclusion: The Evolving Role of Endovascular Coiling in Neurovascular Care
Medical technology keeps getting better, and so does endovascular coiling for brain aneurysms. This method is now key in neurovascular care because it’s less invasive and works well. There’s a lot of research to make it even better for patients.
Endovascular coiling is a good choice instead of old surgery methods. It means patients recover faster and face fewer risks. It’s great for many types of aneurysms, making it a vital part of neurovascular care.
Doctors are always looking to improve aneurysm treatments, and coiling is no exception. We’ll see new ways to use it soon. These changes will help patients even more and give them more treatment options.
FAQ
What is endovascular coiling, and how does it treat brain aneurysms?
Endovascular coiling is a minimally invasive procedure for brain aneurysms. It uses platinum coils to block the aneurysm from the bloodstream. This helps in clotting and stops further bleeding.
What are the benefits of endovascular coiling compared to traditional surgical clipping?
Endovascular coiling is less invasive and doesn’t require opening the skull. It leads to quicker recovery times. It’s also good for aneurysms that are hard to reach with traditional surgery.
What types of coils are used in aneurysm treatment, and how are they selected?
Platinum coils are the most used due to their safety and effectiveness. Newer coils, like bioactive and coated ones, aim to improve results. The choice depends on the aneurysm’s size and the patient’s health.
What is the recovery process like after brain aneurysm coiling?
After coiling, patients usually stay in the hospital for monitoring. Then, they rest at home. Follow-up imaging checks if the aneurysm is closed and watches for complications.
What are the possible risks and complications of aneurysm coiling?
Risks include complications during the procedure, coil movement, and aneurysm reopening. These can be lessened with careful selection and technique, and follow-up care.
How does endovascular coiling compare to surgical clipping in terms of clinical outcomes?
Outcomes vary based on the patient and aneurysm. Both methods have pros and cons. The choice depends on the aneurysm’s details and location.
What is the role of embolization in treating brain aneurysms?
Embolization is key in coiling. It uses coils to block the aneurysm. This stops bleeding and reduces rupture risk.
What are the long-term success rates for aneurysm coiling, and what lifestyle considerations should patients be aware of?
Success rates are high, with most aneurysms closing completely. Patients should follow up regularly and avoid strenuous activities. Managing health conditions is also important.
Can coil embolization be used to treat all types of brain aneurysms?
Coil embolization works for many aneurysms, but not all. It depends on the aneurysm’s size, shape, and location. Some may need surgery or other treatments.
What advancements are being made in the field of endovascular coiling, and how are they impacting patient care?
New coil technologies and techniques are improving care. These advancements offer more treatment options and better outcomes for brain aneurysm patients.
References:
- NICE. (2022). Subarachnoid haemorrhage caused by a ruptured cerebral aneurysm: diagnosis and management (NG228).Â