
Did you know that brain tumors are the second most common cancer in children, after leukemia? Knowing where these tumors usually occur is key for treatment. We help international patients find top-notch medical care.Learn about the most common brain tumor location children experience and its impact.
We focus on finding pediatric brain tumor locations correctly. This helps doctors diagnose and treat better. In this article, we’ll look at where childhood brain tumors often happen and what it means for families.
Key Takeaways
- Knowing where brain tumors occur in kids is important for treatment.
- Pediatric brain tumors can happen in many places, each with its own challenges.
- Finding the right location of a childhood brain tumor is key for treatment plans.
- We offer top healthcare and support for patients from around the world.
- Understanding where pediatric brain tumors occur can lead to better care.
Understanding Pediatric Brain Tumors

Diagnosing and treating pediatric brain tumors need a deep understanding of their types and where they are found. These tumors are a big worry for kids, and they need special care. This is because they are different from adult brain tumors.
Incidence and Prevalence in Children
Pediatric brain tumors are rare but serious. They are the second most common cancer in kids, after leukemia. Studies show that about 5.6 out of 100,000 kids under 14 get brain tumors each year. Some tumors are more common in certain age groups.
Key statistics include:
- Medulloblastoma is the most common malignant brain tumor in children, accounting for about 20% of all pediatric brain tumors.
- Pilocytic astrocytoma is another common type, often presenting in the cerebellum.
- Brainstem gliomas are challenging due to their location and tend to have a poorer prognosis.
Why Location Matters in Diagnosis and Treatment
The place of a brain tumor affects how it’s diagnosed and treated. Tumors in different areas can cause different symptoms. For example, tumors in the cerebellum or brainstem can affect balance and coordination.
Location influences treatment options:
- Tumors in areas that can be easily reached by surgery may be removed.
- Tumors in sensitive areas might need treatments like radiation or chemotherapy instead.
- The closeness to important brain parts can limit how aggressive treatment can be.
Overview of Pediatric Brain Tumor Classification
Pediatric brain tumors are sorted by the cells involved and where they are. The World Health Organization (WHO) system is used. It groups tumors from Grade I (least severe) to Grade IV (most severe).
“The classification of brain tumors is key for knowing the outlook and planning treatment. Knowing the tumor’s type and grade is vital for a good treatment plan.”
Expert Opinion
Here are some common types:
| Tumor Type | Typical Location | WHO Grade |
| Medulloblastoma | Cerebellum | IV |
| Pilocytic Astrocytoma | Cerebellum, Optic Pathway | I |
| Diffuse Intrinsic Pontine Glioma (DIPG) | Brainstem | III/IV |
Anatomical Overview of the Brain

The brain’s complex structure is key to understanding brain tumors in kids. Knowing the brain’s layout helps doctors diagnose and treat these tumors.
Key Brain Structures in Children
The brain has many important parts, each with its own job. The cerebrum, the biggest part, handles things like thinking and moving. It’s split into two halves.
The cerebellum is at the brain’s base. It helps with movement and balance. Knowing these parts is important for finding where tumors might grow, like in the frontal lobe.
Developmental Considerations
Children’s brains change a lot as they grow. The brain’s stage can affect where tumors grow. Tumors often happen in growing areas.
We need to think about these changes when looking at brain tumor locations in children. This helps find the best treatment.
Functional Areas and Their Significance
Each brain area does something different. Tumors can grow in any of these spots. This can mess with the brain’s functions.
A brain tumor in the frontal lobe can affect how we move or think. Knowing what each area does helps doctors plan treatments.
Infratentorial vs. Supratentorial Tumors
Pediatric brain tumors fall into two main areas: infratentorial and supratentorial. Each has its own traits and treatment needs. Knowing these differences is key for diagnosis and care.
Defining the Regions
“Infratentorial” and “supratentorial” describe where tumors are in relation to the tentorium cerebelli. This membrane divides the cerebellum from the occipital lobe. Infratentorial tumors are below the tentorium, affecting the cerebellum and brainstem. On the other hand, supratentorial tumors are above it, involving the cerebral hemispheres.
Distribution Patterns in Pediatric Patients
In kids, brain tumor locations change with age. Infratentorial tumors are common in children under 10, often in the cerebellum. Medulloblastoma is a common type here. Supratentorial tumors are less common in young kids but more so in older ones.
Age-Related Differences in Tumor Location
The age of a child affects where brain tumors occur. Infants and young kids tend to get supratentorial tumors, which have different types. As kids get older, infratentorial tumors, like those in the cerebellum, become more common. Knowing these age-related patterns helps doctors plan better treatments.
Understanding infratentorial and supratentorial tumors in kids helps doctors give better care. This knowledge leads to earlier detection and better management of these tumors. It improves the lives of children with brain tumors.
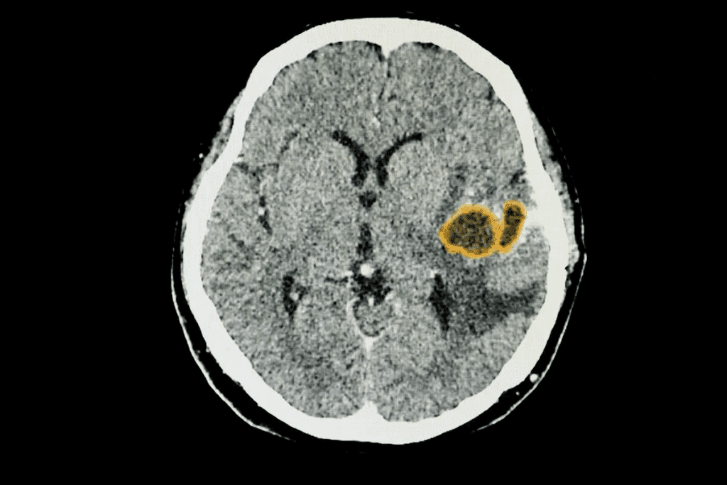
Posterior Fossa: The Most Common Brain Tumor Location in Children
Pediatric brain tumors often occur in the posterior fossa. This area is home to important brain parts. It includes the cerebellum and brainstem, key for balance and body functions.
Anatomy of the Posterior Fossa
The posterior fossa is surrounded by the tentorium cerebelli. It has vital structures like the cerebellum and brainstem. The cerebellum controls movement, and the brainstem manages breathing and heart rate.
Why Tumors Frequently Develop in This Region
Pediatric brain tumors often appear in the posterior fossa. This is because of the area’s cell types and developmental processes. Tumors like medulloblastoma and cerebellar astrocytoma are common here. Genetic and developmental factors are thought to contribute to tumor growth.
Clinical Presentation of Posterior Fossa Tumors
Symptoms of posterior fossa tumors vary. They depend on the tumor’s size, location, and type. Common signs include:
- Headaches and morning vomiting due to increased intracranial pressure
- Ataxia and coordination problems due to cerebellar involvement
- Cranial nerve palsies and other neurological deficits
Early diagnosis is key for effective treatment. Case highlights the importance of understanding tumor locations and symptoms.
| Tumor Type | Common Location | Typical Symptoms |
| Medulloblastoma | Cerebellum | Ataxia, headaches, vomiting |
| Cerebellar Astrocytoma | Cerebellum | Coordination problems, hydrocephalus |
| Brainstem Glioma | Brainstem | Cranial nerve palsies, motor deficits |
Cerebellum Brain Tumor Children: Types and Characteristics
Cerebellar tumors are a big worry in kids’ health, affecting their motor skills and brain growth. The cerebellum is at the brain’s base and helps with movement, balance, and posture. Tumors here can cause symptoms like ataxia, headaches, and nausea.
Medulloblastoma in the Cerebellum
Medulloblastoma is the top brain tumor in kids, often starting in the cerebellum. It hits kids aged 5 to 9. Symptoms include trouble walking, balance issues, and double vision. This tumor grows fast and can spread to other brain parts.
We find medulloblastoma with MRI and CT scans, then confirm with a biopsy. Treatment mixes surgery, chemotherapy, and radiation.
Cerebellar Astrocytomas
Cerebellar astrocytomas are common in kids’ cerebellum. They’re usually low-grade and can be treated with surgery alone. Children with these tumors often do well, if the tumor is fully removed.
These tumors cause symptoms like ataxia and coordination issues. We use imaging to diagnose and plan treatment.
Treatment Approaches for Cerebellar Tumors
Treatment for cerebellar tumors in kids depends on the tumor’s type, grade, and where it is. Surgery is often the first step, aiming to remove as much tumor as possible. For tumors like medulloblastoma, surgery is followed by chemotherapy and/or radiation to kill any left-over cells.
We keep improving treatments for cerebellar tumors, using new therapies and refining old ones to better help kids with these tumors.
Brainstem Tumor Children: Challenges and Management
It’s key to understand brainstem tumors to manage them well in kids. Brainstem gliomas are tough because of where they are and how fast they grow.
Classification of Brainstem Gliomas
Brainstem gliomas are sorted by where they are, what they look like, and their genetic makeup. The main kinds are diffuse intrinsic pontine glioma (DIPG) and focal brainstem tumors.
Knowing the type helps doctors guess how well a child will do and what treatments to use.
Diffuse Intrinsic Pontine Glioma (DIPG)
DIPG is a very aggressive and bad tumor in the pons, a key part of the brainstem. It usually shows up in kids aged 5 to 9.
Focal Brainstem Tumors
Focal brainstem tumors are rarer and have a better chance of recovery. They are usually low-grade gliomas that can be treated with surgery or radiation.
Treatment Options and Limitations
Treatment for brainstem tumors depends on the type, where it is, and the child’s health. Options include surgery, radiation, and chemotherapy.
| Tumor Type | Treatment Options | Prognosis |
| DIPG | Radiation therapy, chemotherapy | Poor |
| Focal Brainstem Tumors | Surgery, radiation therapy | Favorable |
New ways to diagnose and treat brainstem tumors in kids are giving hope for better results.
Common Brain Tumor Location Children: Analysis by Region
Where brain tumors grow in kids affects how they act and how doctors treat them. Tumors can pop up in different parts of the brain. Each area has its own set of problems and solutions. We’ll look at where brain tumors often show up in kids, focusing on the back of the brain, the top, the middle, and the ventricles.
Infratentorial (Posterior Fossar) Tumors
Infratentorial tumors are found in the back of the brain, known as the posterior fossa. They are common in kids. This area is home to important parts like the cerebellum and brainstem, where tumors often grow.
Types of Infratentorial Tumors:
- Medulloblastoma: A fast-growing tumor in the cerebellum.
- Brainstem Gliomas: Tumors in the brainstem, which can spread or stay in one place.
- Cerebellar Astrocytomas: Tumors from the astrocytes in the cerebellum, usually not very aggressive.
Supratentorial Tumors
Supratentorial tumors are above the tentorium cerebelli, affecting the brain’s top parts. Their symptoms vary based on where and how big they are.
Characteristics of Supratentorial Tumors:
- They can be in the frontal, temporal, parietal, or occipital lobes.
- They might cause seizures, headaches, and other brain problems.
- They can be gliomas, PNETs, or other types.
Midline Tumors
Midline tumors are in the brain’s middle, like the third ventricle, pineal region, and suprasellar area. They can lead to hydrocephalus and other symptoms because of their location.
Examples of Midline Tumors:
- Craniopharyngiomas: Tumors near the pituitary gland.
- Pineal Region Tumors: Tumors in the pineal gland, which can be germinomas or pineoblastomas.
- Third Ventricle Tumors: Tumors in the third ventricle, causing hydrocephalus.
Ventricular System Tumors
Tumors in the ventricular system can block fluid flow and raise brain pressure. These tumors are rare but serious because of their location.
Types of Ventricular System Tumors:
- Ependymomas: Tumors from the ependymal cells lining the ventricles.
- Choroid Plexus Tumors: Tumors from the choroid plexus, which can be papillomas or carcinomas.
Supratentorial Tumors Kids: Cerebral Hemisphere Locations
In kids, supratentorial tumors often happen in the brain’s hemispheres. They need careful checking and handling. These tumors can be in different brain lobes, each with its own traits and effects.
Brain Tumor in the Frontal Lobe
Frontal lobe tumors are common in kids. They can lead to changes in personality, motor problems, and speech issues. The frontal lobe handles many brain functions, making these tumors hard to treat.
A study in a top medical journal said, “Frontal lobe tumors in kids often show up with vague symptoms. Early detection is key for good treatment.”
Temporal Lobe Tumor Children
Temporal lobe tumors in kids can cause seizures, memory loss, and language problems. The temporal lobe is key for hearing and memory. Tumors here are hard to spot because they’re deep in the brain.
Parietal Lobe Brain Tumor Kids
Parietal lobe tumors can lead to sensory issues, problems with spatial awareness, and math troubles. The parietal lobe mixes sensory info from the body. Tumors here can be very limiting.
A medical journal case study mentioned, “Parietal lobe tumors in kids can cause complex sensory problems. They need a team effort for treatment.”
Brain Tumor in Occipital Lobe
Occipital lobe tumors mainly affect vision, causing visual field problems and hallucinations. Though less common, these tumors need quick diagnosis and treatment to save vision.
| Lobe | Common Symptoms | Functional Impact |
| Frontal | Personality changes, motor deficits | Cognitive functions, motor control |
| Temporal | Seizures, memory issues | Auditory processing, memory |
| Parietal | Sensory disturbances, spatial issues | Sensory integration, spatial awareness |
| Occipital | Visual field defects, hallucinations | Vision processing |
Knowing where supratentorial tumors are in kids is key for good treatment plans. Each lobe has its own challenges. A detailed approach is needed to tackle these complex cases.
Specialized Tumor Locations in Children
Children with tumors in specific areas face unique challenges. These areas often have tumors with their own traits and treatment hurdles.
Pineal Gland Brain Tumor Kids
Pineal gland tumors in kids are rare but tough to handle. They can mess with melatonin, causing sleep issues and hormone problems. Symptoms include headaches, vision problems, and hydrocephalus because of their location near the aqueduct of Sylvius. Treatment usually combines surgery, radiation, and chemotherapy, based on the tumor’s type and stage.
Optic Pathway Gliomas
Optic pathway gliomas are tumors in the visual pathway. They’re linked to NF1 and common in kids. Symptoms vary from vision issues to hormone problems, depending on where the tumor is. Treatment aims to save vision and control growth, using observation, chemotherapy, and radiation.
Craniopharyngiomas
Craniopharyngiomas are benign but aggressive tumors near the pituitary gland and hypothalamus. They can cause a lot of problems because of their location. Symptoms include vision issues, hormone deficiencies, and high pressure in the brain. Treatment often involves surgery, sometimes followed by radiation, to manage symptoms and control growth.
Ependymoma Brain Tumor Location
Ependymomas start in the ventricles and spinal cord. In kids, they can pop up anywhere along the spine and brain. Treatment usually includes surgery and radiation, with chemotherapy in some cases. The outcome depends on how much of the tumor is removed and its grade.
Brain Tumor Location by Age in Pediatric Patients
Brain tumors in kids are linked to their age. Different types show up at different times. Knowing this helps doctors diagnose and treat better.
Infants (0-2 years)
Brain tumors are rare in infants but often grow fast. They usually happen in the top part of the brain, like the cerebral hemispheres. Tumors like teratomas and PNETs are common here.
Young Children (3-6 years)
Young kids have a mix of tumors in the top and bottom parts of the brain. Medulloblastomas, found in the cerebellum, start to appear more. Ependymomas and gliomas are also seen.
Older Children (7-12 years)
Older kids often get tumors in the bottom part of the brain, like medulloblastomas and cerebellar astrocytomas. These tumors are in the posterior fossa.
Adolescents (13-18 years)
Adolescents have tumors more like adults, with gliomas and other types in different places. These include the cerebral hemispheres and the brainstem.
The following table summarizes the common brain tumor locations by age group in pediatric patients:
| Age Group | Common Tumor Locations | Typical Tumor Types |
| Infants (0-2 years) | Supratentorial, cerebral hemispheres | Teratomas, PNETs |
| Young Children (3-6 years) | Mixed supratentorial and infratentorial | Medulloblastomas, ependymomas, gliomas |
| Older Children (7-12 years) | Infratentorial, posterior fossa | Medulloblastomas, cerebellar astrocytomas |
| Adolescents (13-18 years) | Cerebral hemispheres, brainstem | Gliomas, other tumor types |
Knowing where and what type of brain tumors kids get is key. It helps doctors make the right diagnosis and treatment plan.
Diagnostic Approaches Based on Tumor Location
Diagnosing brain tumors in kids depends on knowing where the tumor is in the brain.
Doctors use many methods to find out about brain tumors in children. They look at images, check the child’s health, and consider biopsy results. Where the tumor is found affects how doctors test for it.
Imaging Techniques
Imaging is key in finding brain tumors. We use different methods to see the tumor’s details.
- Magnetic Resonance Imaging (MRI): MRI is top for finding brain tumors. It shows the brain clearly and tells us about the tumor’s size and where it is.
- Computed Tomography (CT) Scan: CT scans are good for quick checks. They show the tumor’s size and where it is.
- Positron Emission Tomography (PET) Scan: PET scans show how active the tumor is. This helps doctors plan treatment.
Clinical Assessment
Checking the child’s health is important for diagnosing brain tumors. We look at symptoms, medical history, and how the brain works.
- We check the child’s symptoms, like headaches or changes in behavior.
- A detailed brain check helps find any problems related to the tumor.
- It’s also important to check if the child is developing as they should.
Biopsy Considerations
Often, a biopsy is needed to confirm the tumor type and grade. The decision to do a biopsy depends on the tumor’s location and the child’s health.
Doctors weigh the risks and benefits of a biopsy. They think about how it might affect treatment and the child’s future. New imaging and tests are being used to help or replace biopsies in some cases.
Treatment Strategies for Different Tumor Locations
Treating pediatric brain tumors needs a detailed plan, based on the tumor’s location and type. Each child’s case is different, so a single treatment doesn’t work for all.
Surgical Approaches by Location
Surgery is often the first step for many brain tumors in kids. The surgery method changes based on where the tumor is. Tumors in easier-to-reach spots, like the cerebellum, are simpler to remove. But, tumors in sensitive areas, like the brainstem, need more careful surgery.
We use the latest surgical tools, like intraoperative MRI and neuro-navigation, to improve surgery. Our goal is to take out as much tumor as we can without harming the brain.
Radiation Therapy Considerations
Radiation therapy is key for many brain tumors in kids. We decide on radiation based on the tumor, its location, and the child’s age. We aim to reduce radiation’s impact on the growing brain as much as we can.
New radiation methods, like proton therapy, target tumors better and protect healthy brain areas. This is great for tumors close to important brain parts.
Chemotherapy Protocols
Chemotherapy is important for treating brain tumors in kids, alone or with surgery and radiation. The choice of chemotherapy depends on the tumor type and the child’s health.
We join clinical trials and use proven chemotherapy plans. This ensures our patients get the best, latest treatments.
Novel Targeted Therapies
New targeted therapies are changing the fight against brain tumors in kids. These treatments aim at specific tumor traits, hoping to spare normal brain cells.
We’re dedicated to keeping up with these new treatments. We offer our patients access to these innovative options through trials and special programs.
Conclusion
Knowing where brain tumors often happen in kids is key for finding and treating them. We’ve looked at the brain areas where tumors are most common in children. These include the back of the brain and the top parts.
Brain tumors in kids often match certain ages and types. For example, tumors in the back of the brain, like medulloblastoma, are common. Doctors need to know this to plan the best treatment.
As we learn more about brain tumors in kids, it’s important to spread the word. This helps doctors get better at finding and treating these tumors. More research will help us understand and manage these serious conditions better.
FAQ
What are the most common locations of brain tumors in children?
Brain tumors in kids often happen in the posterior fossa, cerebellum, and brainstem. These spots are more likely to get tumors because of their complex structure and how they grow.
What is the difference between infratentorial and supratentorial tumors?
Infratentorial tumors are below the tentorium cerebelli, in the posterior fossa. Supratentorial tumors are above it, in the brain’s hemispheres. Where the tumor is affects how it’s found, treated, and what symptoms it causes.
How do brain tumor locations vary by age in children?
The place of brain tumors changes with age in kids. Babies often get tumors above the tentorium, while older kids get them below. Knowing this helps doctors figure out the right treatment.
What are the common types of cerebellar tumors in children?
Kids often get medulloblastoma and cerebellar astrocytomas in the cerebellum. Medulloblastoma is very aggressive, but astrocytomas are usually less severe and easier to treat.
What are the challenges in diagnosing brainstem tumors in children?
Finding brainstem tumors in kids is hard because of where they are and how complex the brainstem is. Symptoms can be vague, and scans are needed to confirm the tumor.
How are supratentorial tumors in children diagnosed and treated?
Doctors use MRI and CT scans to find supratentorial tumors in kids. Treatment depends on the tumor type and where it is. It might include surgery, radiation, or chemotherapy.
What are the characteristics of pineal gland tumors in children?
Pineal gland tumors are rare in kids but serious because of their location. They can cause fluid buildup in the brain and vision problems. Treatment varies by tumor type and might include surgery and radiation.
How do treatment strategies vary for different brain tumor locations in children?
Treatment plans for brain tumors in kids change based on the tumor’s location, type, and the child’s age. A team of doctors is needed to create the best treatment plan.
What is the significance of understanding brain tumor locations in children?
Knowing where brain tumors are in kids is key for treatment and care. It helps doctors make specific plans to help the child get better.
What are the most common brain tumor locations in children by region?
Brain tumors in kids are more common in certain areas. Infratentorial tumors are found in the posterior fossa, and supratentorial tumors are in the brain’s hemispheres. Tumors in the midline and ventricular system also happen in kids.
Reference
MedlinePlus – Leukemia Information:https://medlineplus.gov/leukemia.html