
Diffuse Intrinsic Pontine Glioma (DIPG) is a rare and aggressive brain cancer that mainly hits kids. A shocking fact is that DIPG makes up about 10% of all pediatric brain tumors. This makes it a big worry in kids’ health care.
Spotting the signs of DIPG symptoms early is key for quick medical help. We’ll look at the common diffuse intrinsic pontine glioma symptoms that parents and caregivers need to know. This way, they can act fast.
Key Takeaways
- Understanding DIPG is key for early detection.
- Spotting signs of DIPG can lead to quick medical help.
- DIPG is a rare and aggressive brain cancer in kids.
- Pediatric brain tumor symptoms can vary a lot.
- Early diagnosis is vital for managing DIPG well.
Understanding Diffuse Intrinsic Pontine Glioma (DIPG)

DIPG is a tough brain tumor that hits the brainstem hard. This area controls basic life functions like breathing and heart rate. Because of this, DIPG is very dangerous.
Definition and Location in the Brainstem
DIPG starts in the pons, a key part of the brainstem. It affects sleep, swallowing, and how we feel things. Treating it is hard because the brainstem is so delicate.
Prevalence and Demographics
DIPG mostly hits kids aged 5 to 9. It’s a big worry for kids, making up 10% of all brain tumors in them. In the US, about 300 cases happen each year.
| Age Group | Incidence Rate |
| 0-4 years | Low |
| 5-9 years | High |
| 10-14 years | Moderate |
Why Symptoms Develop in DIPG

Symptoms come from the tumor’s effect on brain tissue and its spot in the brainstem. As it grows, it can harm nearby brain parts. This leads to problems like walking and speaking issues.
The tumor’s fast growth makes symptoms get worse fast. Knowing these symptoms early is key to managing DIPG.
DIPG Symptoms: Overview and Recognition
It’s important to know the symptoms of Diffuse Intrinsic Pontine Glioma (DIPG) for early detection. DIPG affects the brainstem, causing various neurological symptoms.
Early Warning Signs
Spotting the early signs of DIPG is key for quick medical help. Initial symptoms include:
- Difficulty with balance and coordination
- Weakness or paralysis of facial muscles
- Double vision or squinting
- Changes in speech and swallowing
These signs can be hard to spot early because they might look like other conditions.
Progression of Symptoms
As DIPG gets worse, symptoms get more severe. Neurological functions worsen, leading to:
- Increased difficulty with motor functions
- Worsening of cranial nerve palsies
- Enhanced ataxia and loss of coordination
The symptoms can get worse quickly in children, affecting their brain function.
The “Classic Triad” of DIPG Symptoms
The “Classic Triad” symptoms of DIPG are cranial nerve palsies, long tract signs, and ataxia. Spotting these symptoms is key for diagnosing DIPG.
| Symptom | Description |
| Cranial Nerve Palsies | Weakness or paralysis of facial muscles, eye movement issues |
| Long Tract Signs | Motor function difficulties, changes in reflexes |
| Ataxia | Loss of coordination, balance problems |
These symptoms are typical of DIPG. Knowing them helps in early diagnosis and treatment.
Cranial Nerve Symptoms of DIPG
DIPG, located in the brainstem, causes many cranial nerve symptoms. These symptoms greatly affect patients’ lives. They include problems with facial movements, eye movements, and hearing.
Facial Weakness and Asymmetry
Facial weakness is a common symptom of DIPG. It can make the face look uneven. This happens when the tumor presses on the facial nerve.
Patients may struggle to smile or close their eyes. This can lower their self-esteem and make social interactions hard.
Eye Movement Issues in DIPG
DIPG can also affect eye movement. It impacts the nerves that control how we move our eyes. Patients might find it hard to move their eyes or have them in the wrong position.
This can cause vision problems and discomfort. It might even lead to double vision.
- Difficulty moving eyes in certain directions
- Abnormal eye position
- Double vision
Double Vision and Squinting
Double vision is another symptom of DIPG. It happens when the tumor messes with the nerves that control eye movements. This can make the eyes not line up right.
Patients might squint to try and fix their vision. This is a way their body tries to compensate.
Hearing and Facial Sensation Changes
DIPG can also change hearing and how we feel sensations on our face. The tumor can damage the nerves that carry sound and facial sensations. This can lead to hearing loss or changes in how we feel things on our face.
In summary, cranial nerve symptoms are a big part of DIPG. They affect patients in many ways. It’s important to understand these symptoms to help those with DIPG.
Motor Function Difficulties in DIPG
Motor function difficulties are a big problem in Diffuse Intrinsic Pontine Glioma (DIPG). They really hurt a patient’s quality of life. As DIPG gets worse, these problems get even harder to deal with. They affect how patients move and stay balanced.
Balance and Coordination Problems
One of the first signs of motor function problems in DIPG is trouble with balance and coordination. Patients might have ataxia, which makes it hard to walk, balance, and even move their eyes. This can make them more likely to fall and get hurt, making things even harder.
For kids, these balance issues can be really tough. They might find it hard to do simple things like get dressed or use utensils. So, it’s very important for caregivers to make sure the environment is safe. They should also help with tasks that could be risky.
DIPG Motor Difficulties in Arms and Legs
As DIPG gets worse, patients often have trouble with their arms and legs. They might feel weak or even paralyzed. This makes it hard to do everyday things like eating, dressing, or even holding things. How much weakness they have can vary, but it often means they need to change how they do things every day.
Physical therapy is very helpful in keeping muscles strong for as long as possible. We suggest that patients see physical therapists. They can help come up with special exercise plans. These plans can help manage symptoms and make life better.
Changes in Gait and Mobility
Changes in how patients walk and move are common in DIPG. These changes come from problems with balance and weakness in the limbs. Patients might walk in an odd way or lean to one side. Sometimes, they need to use walkers or wheelchairs to stay safe and keep moving.
It’s very important to watch for these changes and adjust care plans as needed. Doctors and other healthcare workers should check on these changes often. They can help figure out if patients need special devices or therapies to help them move better.
Fine Motor Skill Deterioration
Another problem in DIPG is getting worse at fine motor skills. Patients might find it hard to do things that need a lot of precision, like writing or tying shoelaces. This can be really tough for kids, making it hard for them to do things at school or enjoy hobbies.
Occupational therapy can really help with these issues. We recommend that occupational therapists work with patients. They can help find ways and use tools that help patients stay independent in their daily lives.
Speech and Swallowing Challenges
DIPG patients often face big challenges with speech and swallowing. These problems can make their lives harder. The tumor in the brainstem can mess with important functions like talking and eating.
DIPG Speech Problems and Communication Issues
Speech issues are common in DIPG patients. The tumor in the brainstem can cause these problems. These can be anything from small trouble with words to big speech problems, making it hard to talk.
“Talking is key to connecting with others,” says a top pediatric neurologist. “For DIPG patients, keeping this skill is very important, even when it’s tough.”
Difficulty Swallowing DIPG (Dysphagia)
Dysphagia, or trouble swallowing, is a big problem for DIPG patients. It can cause them to not get enough nutrients and raises the risk of pneumonia. We need to handle dysphagia well to make sure patients eat and drink enough.
- Dysphagia comes from the tumor’s effect on the brainstem.
- It can cause malnutrition and dehydration if not managed right.
- Speech and language therapists are key in dealing with dysphagia.
Drooling and Oral Motor Control
Drooling and trouble with moving the mouth are common in DIPG patients. These problems can be upsetting and hurt a patient’s self-confidence and how they interact with others. We need good ways to handle these issues.
We team up with patients and their families to find the right solutions. This includes therapy to improve mouth movements and ways to stop drooling.
Impact on Nutrition and Hydration
The speech and swallowing problems with DIPG really affect a patient’s eating and drinking. It’s very important to make sure they get enough food and water. This helps them stay strong and healthy during treatment.
Nutrition is key in managing DIPG. Making sure patients get the right nutrients is vital for their health and how they handle treatment.
We stress the need for a team effort to tackle these challenges. This team should include neurologists, speech therapists, nutritionists, and more. This way, we can give patients the best care possible.
Headaches and Increased Intracranial Pressure
Headaches and increased intracranial pressure are big worries for DIPG patients. These issues can really hurt your quality of life. They need careful handling.
Characteristics of DIPG-Related Headaches
Headaches from DIPG come from too much pressure inside the skull. They can be debilitating and very severe. The pain might spread all over or stay in one spot, depending on the tumor.
These headaches can change in how bad they are. They often come with nausea and vomiting. Knowing what these headaches are like is key to managing them well.
Morning Headaches and Vomiting
Morning headaches are common in DIPG patients. They can be really bad because of fluid buildup at night. Vomiting that happens with these headaches can lead to dehydration, making things worse.
Seeing morning headaches and vomiting means you need to see a doctor right away. These signs can mean the pressure inside your skull is too high, and you need help fast.
Nausea DIPG: Patterns and Triggers
Nausea often goes with headaches in DIPG patients. It can start for many reasons, like too much pressure, side effects from medicine, or even changing positions. Knowing what makes nausea happen is important for managing it.
Nausea can really affect how well you eat and feel. So, dealing with nausea is a big part of taking care of DIPG patients.
Signs of Increased Pressure in the Brain
Too much pressure in the brain can show up in many ways, like headaches, nausea, vomiting, and vision problems. For DIPG patients, watching for these signs is key. It helps doctors see how the tumor is affecting you and decide the best treatment.
| Signs | Symptoms | Clinical Implications |
| Increased intracranial pressure | Headaches, nausea, vomiting | Requires immediate medical attention |
| Visual disturbances | Blurred vision, double vision | May indicate increased pressure or tumor progression |
| Altered mental status | Lethargy, confusion | Signals possible neurological decline |
It’s very important to watch closely and act quickly to manage these symptoms. This can really help improve how patients do.
Vision Changes in DIPG Patients
Patients with DIPG often notice changes in their vision. This is because the tumor affects the brain’s visual pathways. Getting thorough eye care is very important.
Visual Field Deficits
Visual field deficits happen when the tumor impacts brain areas for vision. This can cause blind spots or loss of side vision. It makes daily tasks hard.
Some patients get homonymous hemianopia. This means half of their vision is lost on the same side in both eyes. It makes it hard to move around safely.
Pupillary Responses
Abnormal pupillary responses are also common in DIPG. The tumor can mess with nerves controlling pupil size and light reaction. This leads to odd pupil responses.
For example, pupils might be different sizes or slow to react to light. These signs show the tumor’s effect on the brainstem.
Vision Changes DIPG: Progression and Management
Vision changes in DIPG patients can progress differently. Some see a slow decline, while others experience quick changes.
Handling these changes needs a team effort. This includes eye care, occupational therapy, and sometimes surgery to help symptoms.
Early detection and management of vision changes can significantly improve the quality of life for DIPG patients.
We suggest regular eye exams to track vision changes. This helps adjust treatment plans as needed.
| Symptom | Impact on Patient | Management Strategy |
| Visual Field Deficits | Blind spots, loss of peripheral vision | Ophthalmological care, occupational therapy |
| Abnormal Pupillary Responses | Irregular pupil size, sluggish reaction to light | Monitoring, possible surgery |
Behavioral and Cognitive Changes
As DIPG progresses, patients may show many behavioral and cognitive changes. These changes can be tough for families and caregivers. They affect the patient’s life quality and how they interact and function daily.
Personality Alterations
DIPG can change a child’s personality. Personality alterations might show as irritability, mood swings, or withdrawal. These changes can be hard for the child and their family.
These changes often come from the tumor’s location and its effect on the brain. It’s important to support the child and family through these times.
Learning and Memory Issues
DIPG can also affect a child’s learning and memory capabilities. As the tumor grows, it can make it hard for children to learn new things or remember old ones.
Parents and educators need to know about these challenges. They should adapt educational plans to help. This might include individual learning plans or using assistive technology.
School Performance Impact
The cognitive and behavioral changes from DIPG can affect a child’s school performance. Children may find it hard to keep up with their peers or participate in class due to fatigue or other symptoms.
Schools and teachers should work with families to provide needed support. This teamwork can help lessen the impact on the child’s education.
DIPG Lethargy and Fatigue
Lethargy and fatigue are common in children with DIPG. These symptoms can be very hard, affecting energy, motivation, and engagement in activities.
Managing these symptoms needs a variety of approaches. This includes medication, lifestyle changes, and supportive care. We help families find ways to improve the child’s quality of life.
Understanding and addressing the behavioral and cognitive changes in DIPG patients is key. By providing full support and accommodations, we can enhance the quality of life for these children and their families.
Neurological Symptoms in Brainstem Tumor DIPG
DIPG, a brainstem tumor, causes many neurological symptoms. These symptoms affect patients’ quality of life. They happen because of the tumor’s location and its effect on the brain.
Seizures in Children with DIPG
Seizures are a big worry for kids with DIPG. They are not as common as other symptoms but can happen. Seizures in DIPG kids can change in how often they happen and how they act.
Seizures make treating DIPG more complex. They need a detailed treatment plan that includes controlling seizures. Keeping an eye on seizure activity is key to adjusting treatment.
Ataxia and Movement Disorders
Ataxia, or loss of coordination, is common in DIPG patients. It happens because the tumor affects the brainstem and its connections. Ataxia makes it hard for kids to do everyday things.
Movement disorders like dystonia and tremors can also happen. These symptoms come from the brainstem’s disruption of motor control pathways. Treating these symptoms often needs a team effort, including physical therapy and medicine.
Reflexes and Neurological Examination Findings
Neurological exams are key in checking how much DIPG affects the brain. Abnormal reflexes show how much the brain is not working right.
These exams help doctors understand how the tumor affects brain function. They guide treatment choices. Exams can show many problems, like issues with cranial nerves or motor and sensory problems.
| Symptom | Frequency | Clinical Impact |
| Seizures | Less common | Requires seizure management |
| Ataxia | Common | Impacts daily activities |
| Movement Disorders | Variable | May require physical therapy and medication |
| Abnormal Reflexes | Common | Influences treatment planning |
DIPG Symptoms by Age Group
It’s important to know how DIPG symptoms show up in different age groups. This helps in catching the disease early and treating it well. The way DIPG shows up can change a lot as kids grow up.
Symptoms in Toddlers and Preschoolers
It’s hard to spot DIPG in very young kids because they can’t say how they feel. Early signs might be changes in how they act, like being more cranky or tired. They might also have trouble moving, like walking or standing.
Symptoms in School-Age Children
As kids get older, DIPG symptoms get clearer and more varied. School-age kids might have cranial nerve symptoms, like their face getting weak or seeing double. They might also have trouble swallowing or eating.
They might also have headaches and morning vomiting. This is because their brain is under too much pressure.
Symptoms in Adolescents
In teens, DIPG symptoms are more obvious and can affect many areas. They might have trouble moving, speaking, or thinking clearly. They could also have big problems with coordination and balance.
This can make it hard for them to play sports or do other physical stuff. The emotional and mental effects of these symptoms are also big. They might pull back or change how they act.
How Symptoms May Differ by Age
DIPG symptoms change a lot with a child’s age and how they develop. Young kids often show vague signs, like being cranky or eating less. Older kids and teens might have more specific problems with their brain.
Doctors need to know these differences to make the right diagnosis and treatment plan.
The Timeline of DIPG Symptoms
DIPG symptoms can appear rapidly or gradually. It’s important to know these patterns to understand the disease. The time it takes for symptoms to show up can vary a lot between patients. This makes it key for doctors to watch closely and plan treatment well.
Rapid vs. Gradual Onset
The start of DIPG symptoms can be quick or slow. Sometimes, symptoms come on fast in just a few days. Other times, they grow slowly over weeks or months. Knowing if symptoms start fast or slow helps doctors guess how serious it is and what the future might hold.
- Rapid onset often means the tumor is growing fast.
- Slow onset might give doctors more time to figure out what’s happening.
Symptom Progression Patterns
DIPG symptoms can get worse in different ways. Some people see symptoms get worse steadily. Others might have times when things seem okay, followed by sudden bad days. Keeping an eye on how symptoms change is key to managing the disease.
- First signs often include trouble with balance and moving.
- As it gets worse, symptoms might include weak face muscles and trouble speaking.
Early Signs of Brainstem Tumor to Watch For
Finding DIPG early is hard because it’s in the brainstem. But, there are early signs that might mean a brainstem tumor is there. These include:
- Changes in how eyes move or seeing double.
- Weakness or numbness in the face.
- Trouble swallowing or speaking.
Spotting these signs early can help doctors act fast. This might make a big difference in how well someone does.
Distinguishing DIPG from Other Conditions
Diagnosing Diffuse Intrinsic Pontine Glioma (DIPG) is key because it looks like other brain tumors in kids. It’s hard to tell DIPG apart from other conditions because they share similar symptoms. This makes it tough to find the right treatment.
Similar Pediatric Neurological Conditions
Many conditions in kids can look like DIPG. This makes it important to know the differences. Some of these include:
- Brainstem gliomas other than DIPG, which may have different prognoses and treatment options.
- Medulloblastomas, primitive neuroectodermal tumors that are common in children.
- Ependymomas, tumors arising from the ependymal cells lining the ventricles and central canal of the spinal cord.
- Other brain tumors such as pilocytic astrocytomas or glioblastomas, which may have different treatment protocols.
Knowing these similarities and differences is key for the right diagnosis and treatment.
When to Suspect DIPG vs. Other Brain Tumors
To suspect DIPG, look for specific symptoms and findings. Important signs include:
- The location of the tumor in the brainstem, specially the pons.
- The rapid worsening of symptoms.
- Specific neurological problems linked to cranial nerve issues.
These signs help us figure out if a child might have a brain tumor. This is important for quick and correct diagnosis.
DIPG Warning Signs That Shouldn’t Be Ignored
Some signs need quick medical check-ups for DIPG. These include:
- Progressive cranial nerve palsies, such as facial weakness or eye movement problems.
- Motor dysfunction, like weakness, coordination issues, or changes in walking.
- Headaches and signs of increased intracranial pressure, like morning vomiting.
Spotting these signs early is vital. It helps in getting the right treatment for DIPG.
Diagnostic Process for DIPG
Diagnosing Diffuse Intrinsic Pontine Glioma (DIPG) is a detailed process. It combines clinical checks and advanced tests. We’ll explain how it’s done.
Initial Evaluation by Pediatricians
The journey starts with pediatricians. They check the child’s health and look for signs of a brain issue. Early detection is key, and pediatricians are important in spotting early signs.
Neurological Examination Findings
A detailed neurological exam is key. We test the child’s brain function, including nerves and reflexes. Abnormal findings can suggest a brain tumor like DIPG.
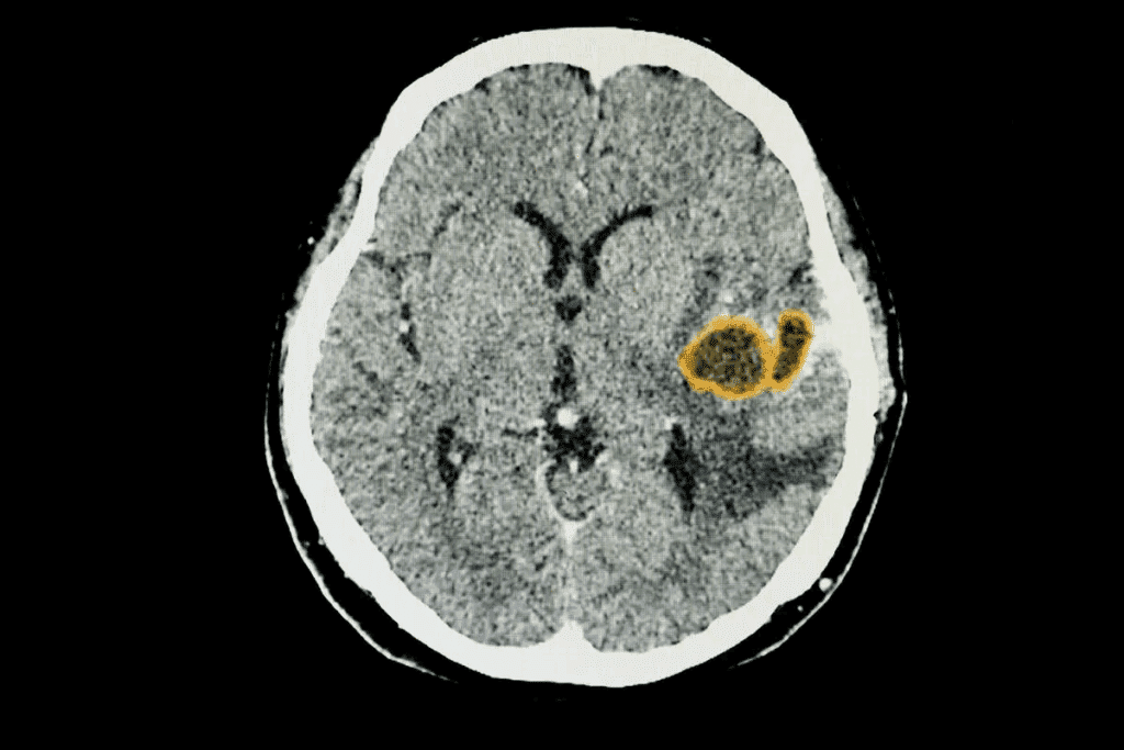
Imaging Studies and DIPG Diagnosis
Imaging studies are vital for DIPG diagnosis. We mainly use MRI (Magnetic Resonance Imaging) to see the tumor. MRI shows the tumor’s size and how it affects the brain.
The Role of Biopsy in DIPG
The role of biopsy in DIPG is debated. Biopsy can confirm the diagnosis but is risky due to the tumor’s location. We weigh the risks and benefits of biopsy for each case.
By using clinical checks, neurological exams, and imaging, we can accurately diagnose DIPG. This helps us create a good treatment plan. Knowing how DIPG is diagnosed is the first step in caring for children with it.
Managing Symptoms During DIPG Treatment
Managing symptoms is key to improving life quality for DIPG patients. It involves medication, therapy, and supportive care. A team approach ensures all health aspects are covered.
Medication for Symptom Control
Medication is vital for controlling DIPG symptoms. We use drugs to prevent seizures, headaches, and nausea. For example, anticonvulsants stop seizures, and corticosteroids reduce swelling and headaches.
The right medication depends on the symptoms and the patient’s health. We watch how well the drugs work and change them as needed for the best results.
Therapy Interventions for DIPG Neurological Symptoms
Therapies are key for DIPG’s neurological symptoms. Physical therapy keeps patients mobile and strong. Occupational therapy helps with daily tasks. Speech therapy is important for speech and swallowing issues.
Therapies are customized for each patient. They aim to improve function and quality of life.
Treatment Options for DIPG and Symptom Relief
DIPG treatments include radiation, chemotherapy, and clinical trials. These methods target the tumor and help manage symptoms. For instance, radiation can shrink tumors, easing headaches and nerve problems.
We talk to patients and families about these options. We explain the benefits and risks of each treatment.
Supportive Care Approaches
Supportive care is essential for DIPG management. It focuses on the patient’s overall well-being. This includes nutrition, pain control, and counseling. We work with patients and families to meet their physical, emotional, and social needs.
By adding supportive care to treatment plans, we aim to improve quality of life. We provide the resources needed to cope with the condition.
Supporting a Child with DIPG
Supporting a child with DIPG means tackling their medical, emotional, and educational needs. It’s about creating a strong support system. This helps families face the challenges of this condition.
Family Coping Strategies
Families need to find ways to deal with the emotional and physical strain of DIPG. Open communication is key. It lets everyone share their feelings and worries.
Getting help from counseling services or support groups can be a big help. It offers emotional support and practical advice. Keeping a routine and doing family activities can also bring a sense of normalcy.
It’s also important for caregivers to take care of themselves. This prevents burnout and keeps them able to care for their child.
School Accommodations for DIPG Symptoms
Children with DIPG need special help at school. This includes physical therapy to keep them moving, speech therapy for communication, and occupational therapy for daily tasks.
Creating an Individualized Education Plan (IEP) is essential. It ensures the child gets the education they need. Teachers, healthcare providers, and parents work together to make this plan.
Quality of Life Considerations
Keeping a child with DIPG comfortable is a top priority. This means managing symptoms and supporting their emotional and psychological well-being. Palliative care helps by easing symptoms and stress.
Resources for Families Facing DIPG Diagnosis
Families with a DIPG diagnosis have access to many resources. These include online communities, support groups, and non-profit organizations focused on DIPG.
These resources can make families feel less alone and more able to handle their child’s condition. It’s also key to stay updated on the latest research and treatment options for DIPG.
Conclusion
Knowing the signs of Diffuse Intrinsic Pontine Glioma (DIPG) is key to catching it early. We’ve talked about the symptoms, like problems with nerves, moving, speaking, swallowing, and behavior.
Diagnosing DIPG means a detailed check-up and scans. To manage its symptoms, we use medicine, therapy, and care that supports the whole family.
Supporting kids with DIPG and their families is vital. This includes helping them cope, making school easier, and focusing on their quality of life. By giving top-notch care and support, we can make a big difference.
Spotting DIPG symptoms, knowing how to diagnose it, and managing its effects are all important. Our goal is to give care that meets each patient’s and their family’s needs.
FAQ
What are the common symptoms of DIPG?
Symptoms of DIPG include facial weakness and eye movement issues. You might also see double vision, trouble swallowing, and headaches. Nausea, feeling tired, and lethargy are also common.
How do DIPG symptoms progress over time?
Symptoms of DIPG can get worse quickly, often in weeks or months. You might see more trouble with speech, swallowing, or moving. New symptoms can also appear.
What is the “Classic Triad” of DIPG symptoms?
The “Classic Triad” includes facial weakness, eye movement issues, and weakness in the arms or legs. You might also lose coordination. These signs help doctors diagnose DIPG.
Can DIPG cause vision changes or vision loss?
Yes, DIPG can lead to double vision, blurred vision, or losing part of your vision. This happens because the tumor affects nerves that control your eyes and vision.
How does DIPG affect speech and swallowing?
DIPG can make speech slurred or hard to understand, and swallowing can become difficult. This is because the tumor affects nerves and brain areas that control these functions.
Are seizures a common symptom of DIPG?
Seizures can happen in kids with DIPG, but they’re not as common. Seizures can look different based on where the tumor is and the child’s age.
How is DIPG diagnosed?
Doctors use a neurological exam, imaging studies like MRI, and sometimes a biopsy to diagnose DIPG. They look at symptoms, neurological findings, and imaging to confirm a brainstem tumor.
What are the treatment options for managing DIPG symptoms?
To manage DIPG symptoms, treatments include medicines, therapy, and supportive care. These help improve the child’s quality of life.
How can families support a child with DIPG?
Families can help by using coping strategies, getting school accommodations, and improving quality of life. They can also find resources for families dealing with DIPG.
Can DIPG symptoms vary by age?
Yes, symptoms of DIPG can change with age. This is because of developmental stages and how the tumor affects different ages. Symptoms can look different in toddlers, school-age kids, and teens.
What are the early signs of DIPG to watch for?
Early signs of DIPG include small changes in facial expressions, eye movements, speech, or swallowing. Look out for headaches, nausea, or changes in how you walk or move. Spotting these signs early is key for quick medical help.
Reference
- Janssens, G. O., Vande Walle, I., & Warmuth-Metz, M. (2017). Prognostic impact of clinical and radiological features in pediatric diffuse intrinsic pontine glioma. Neuro-Oncology Practice, 4(1), 18-26. https://academic.oup.com/nop/article/5/2/74/4259128?login=false