
Every year, over 24,000 people in the United States get diagnosed with a primary brain tumor. Imaging tests like CT scans are key in finding these tumors.
A CT scan uses X-rays to show detailed images of the body’s inside, including the brain. It’s used to spot many health issues, like tumors. While a CT scan can spot a brain tumor, it’s important to know its strengths and weaknesses in finding cancer and tumors.
Key Takeaways
- CT scans are a common diagnostic tool for detecting medical conditions.
- A CT scan can help identify a brain tumor.
- The role of CT scans in cancer detection and tumor diagnosis is critical.
- Understanding the capabilities and limitations of CT scans is essential.
- CT scans use X-rays to create detailed images of the body.
Understanding CT Scans: Basic Principles and Technology
CT scans have changed how we diagnose and treat health issues. They show the body’s inside in great detail. CT scans use X-rays to make detailed images of the body’s inside parts. They help find injuries, cancers, and problems with blood vessels.
How CT Scan Technology Works
CT scan technology uses a rotating X-ray machine to take pictures of the body from different sides. A computer then makes detailed pictures or 3D models of the body’s inside parts.
Key components of CT scan technology include:
- X-ray tube: Makes X-rays that go through the body.
- Detectors: Catch the X-rays that go through the body.
- Computer system: Makes the images into detailed pictures.
Differences Between CT Scans and Other Imaging Methods
CT scans are different from MRI or X-rays. CT scans show more detail of soft tissues and organs than X-rays. They are also quicker than MRI, making them good for emergencies.
The main differences include:
- Imaging detail: CT scans show more detail than X-rays.
- Speed: CT scans are faster than MRI scans.
- Contrast agents: CT scans use iodine-based agents to improve image quality.
The Role of Computed Tomography Brain Scans in Neurological Diagnosis

CT brain scans are key in diagnosing neurological conditions. They give detailed views of brain structures. This helps doctors diagnose and treat many neurological disorders.
What Brain Structures Can Be Visualized on CT
CT scans show different brain parts, like the cerebral cortex and white matter. They also spot issues like hemorrhages and tumors. The scan’s quality and the radiologist’s skill affect how clear these images are.
Key brain structures visible on CT scans include:
- Cerebral cortex: The outer layer of the brain responsible for processing sensory information and controlling movement.
- White matter: Composed of myelinated nerve fibers, it facilitates communication between different brain regions.
- Basal ganglia: A group of structures involved in movement control and cognition.
- Ventricles: Fluid-filled spaces that produce and circulate cerebrospinal fluid.
Common Neurological Conditions Detected by CT Scans
CT scans are used to find many neurological issues, like strokes and tumors. They’re very helpful in emergencies when fast diagnosis is needed.
Some common conditions detected by CT scans include:
- Ischemic strokes: Caused by a blockage in a blood vessel supplying the brain.
- Hemorrhagic strokes: Resulting from bleeding within or around the brain.
- Brain tumors: Both benign and malignant tumors can be detected, though more scans might be needed for details.
- Traumatic brain injuries: CT scans show how severe the injury is, including fractures and bleeding inside the brain.
CT scans are essential in neurological diagnosis and care. They offer detailed images and help spot many conditions.
Types of Brain Tumors and Their Characteristics

It’s important to know about the different brain tumors. This knowledge helps doctors plan the best treatment. Brain tumors vary in where they start, how they grow, and their behavior.
Primary vs. Secondary Brain Tumors
Brain tumors are either primary or secondary. Primary brain tumors start in the brain. Secondary brain tumors, or metastatic, come from cancer spreading to the brain from elsewhere. Primary tumors can be many types, depending on where they start.
Secondary brain tumors are more common. They often come from cancers like lung, breast, or melanoma. Knowing if a tumor is primary or secondary helps doctors choose the right treatment.
Benign vs. Malignant Brain Tumors
Brain tumors are also classified as benign or malignant. Benign brain tumors are not cancerous and grow slowly. They don’t usually spread to other brain areas. On the other hand, malignant brain tumors are cancerous, grow fast, and can spread.
The type of tumor greatly affects treatment and how well a patient will do. Benign tumors can cause problems, but malignant tumors are usually worse.
Common Brain Tumor Types
There are many common brain tumors, each with its own traits. Some include:
- Meningioma: These are usually benign tumors from the meninges, the brain’s protective membranes.
- Glioma: These tumors start from the brain’s glial cells. They can be low-grade or high-grade (glioblastoma).
- Medulloblastoma: These are malignant tumors mainly found in children, in the cerebellum.
- Pituitary Adenoma: These are benign tumors of the pituitary gland. They can affect hormone levels.
Knowing about these brain tumors helps doctors create treatment plans that fit each patient’s needs.
Can a CT Scan Detect Brain Tumors?
A CT scan can detect brain tumors but it depends on the tumor’s type, size, and location. CT scans are useful for diagnosis, but they can’t find all brain tumors.
Detection Capabilities for Different Tumor Types
CT scans can spot many brain tumors. But, how well they can depends on the tumor itself. For example:
- Meningiomas and glioblastomas are often seen on CT scans because they look different and show up well with contrast.
- Pituitary tumors can be found, mainly if they’re big enough to change the area around them.
- Some low-grade gliomas might be harder to see, mainly if they’re small or don’t change the brain much.
How well a tumor shows up on a CT scan depends on its density. Tumors that are much denser or less dense than the brain are easier to spot.
Factors Affecting Tumor Visibility on CT Scans
Several things can make brain tumors harder to see on CT scans:
- Tumor size: Bigger tumors are easier to spot than smaller ones.
- Location: Tumors near the skull base or in dense bone areas are harder to see.
- Contrast enhancement: Contrast agents can make some tumors stand out by showing their blood flow or how they affect the blood-brain barrier.
- Tumor type and characteristics: The tumor’s density and blood flow are key to spotting it.
Knowing these factors helps doctors understand CT scan results. It’s important for planning diagnosis and treatment.
CT Scan With Contrast vs. Without Contrast for Brain Tumor Detection
Contrast agents are key in making brain tumors visible on CT scans. Whether to use contrast depends on the tumor type and where it is located.
CT scans can be done with or without contrast agents. Contrast agents help highlight certain body areas, making them clearer on the scan.
How Contrast Agents Improve Tumor Visibility
Contrast agents make tumors more visible by changing how they look on CT scans. Tumors and normal brain tissue have different blood flow patterns. Contrast agents gather in tumors, making them easier to see.
Contrast is very helpful for spotting some brain tumors that are hard to see without it. For example, tumors with lots of blood vessels show up better with contrast.
When Contrast Is Necessary vs. Optional
Whether to use contrast depends on the situation and the tumor type. Sometimes, a non-contrast CT is enough for a first look. But other times, contrast is needed for a precise diagnosis.
| Scenario | Use of Contrast | Rationale |
| Initial Assessment of Trauma | Optional | Non-contrast CT is often enough for acute hemorrhage. |
| Suspected Brain Tumor | Necessary | Contrast makes tumors more visible and helps identify them. |
| Follow-up for Known Tumor | Dependent on Initial Findings | Contrast might be needed to see changes in the tumor. |
A study found that contrast agents greatly improve brain tumor detection. This is true, even when tumors are hard to see without contrast.
“The use of contrast material is a critical part of CT scans for brain tumors. It gives important info on tumor blood flow and how it looks on the scan.”
In summary, choosing between a CT scan with or without contrast depends on many factors. These include the tumor type and the situation. Knowing how contrast agents work is key to getting accurate results.
Limitations of CT Scans in Brain Tumor Diagnosis
Using CT scans to find brain tumors comes with its own set of challenges. These scans are good for first looks but have limits. They can’t always spot tumors based on size, location, and type.
Size and Location Limitations
CT scans have trouble finding small tumors, mainly because of where they are in the brain. Tumors near the skull base or in dense bone areas are hard to spot.
Also, the resolution of CT scans can be a problem. Even with today’s high-tech scanners, they might miss very small details or things hidden by artifacts.
Types of Tumors That May Be Missed
Some brain tumors are tough to find with CT scans. For example, low-grade gliomas or tumors that look like the brain tissue around them are hard to see. It’s all about the contrast between the tumor and the brain, and CT scans might not always get it right.
Also, tumors that are isodense or look the same as the brain tissue are hard to spot. In these cases, contrast agents are needed to make them stand out.
False Positives and False Negatives
CT scans can also give false positives and false negatives. False positives mean a tumor is seen when there isn’t one. False negatives mean a tumor is missed when it’s there. These mistakes can cause worry, extra tests, or a delay in finding the tumor.
This shows why it’s key to look at CT scans with other symptoms and tests in mind. Clinical correlation is vital for making sure the diagnosis is right and treatment is on track.
MRI vs. CT Scan for Brain Tumor Detection
MRI and CT scans are key tools for finding brain tumors. They are used for different reasons. The choice depends on the tumor type, patient’s health, and what doctors need to know.
Comparative Strengths and Weaknesses
MRI (Magnetic Resonance Imaging) is great at showing soft tissue in the brain. It’s good at finding small or tricky-to-spot tumors. MRI is top-notch for spotting many types of brain tumors because it’s very good at finding soft tissue problems.
CT (Computed Tomography) scans use X-rays to see the brain. They are quicker and more common than MRI. CT scans are best in emergencies, like trauma or sudden bleeding. But, they don’t show soft tissue as well as MRI does.
MRI and CT scans have different strengths. MRI is better at seeing soft tissue details, which is key for finding some tumors. CT scans, though, are better at spotting calcifications in tumors, which is important too.
When Doctors Choose CT Over MRI
Even with MRI’s soft tissue skills, doctors might pick CT scans in some cases. For example, in emergencies, CT scans are faster and more available. Also, people with metal implants or MRI safety issues might get CT scans instead.
CT scans are also used to quickly find big tumors or bleeding. If more details are needed, an MRI might follow.
In summary, MRI and CT scans each have their own roles in finding brain tumors. The choice between them depends on the situation. Knowing these differences helps doctors make the best decisions for their patients.
The Brain Tumor Diagnostic Process: Beyond Imaging
Diagnosing a brain tumor is a detailed process. It includes clinical checks, imaging, and sometimes more tests. While CT scans are key, they’re just part of the whole process.
Clinical Symptoms That Prompt Brain Imaging
The journey to find out if you have a brain tumor starts with symptoms. These symptoms can change based on the tumor’s size, location, and type. Common symptoms that might lead to brain imaging include:
- Headaches: Persistent or severe headaches, getting worse over time.
- Seizures: New seizures in adults are a warning sign.
- Neurological deficits: Weakness, numbness, or paralysis in body parts.
- Cognitive changes: Memory issues, confusion, or changes in personality.
- Vision problems: Blurred vision, double vision, or losing peripheral vision.
If you’re showing these symptoms, doctors might order a CT scan or other tests to find out why.
Follow-up Tests After Abnormal CT Findings
If a CT scan shows something abnormal that might be a brain tumor, more tests follow. These tests help confirm the diagnosis and learn more. They might include:
- MRI (Magnetic Resonance Imaging): Gives detailed brain images and helps identify tumor types.
- Biopsy: Takes a tumor sample for lab tests to see if it’s cancerous.
- Additional imaging tests: Like PET scans to check the tumor’s activity.
- Neurological exams: Detailed checks to see how the tumor affects brain function.
These tests help make a precise diagnosis and plan the best treatment.
What to Expect During a CT Scan of the Brain
Getting ready for a CT scan of the brain means knowing what to expect. This knowledge can help you feel less anxious and make the experience easier.
Preparation Instructions
Before your CT scan, there are a few things you need to do. You might be asked to:
- Remove any metal objects, including jewelry, glasses, or hairpins
- Change into a hospital gown
- Inform your doctor about any allergies, specially to contrast dye
- Disclose any medical conditions, such as kidney disease or diabetes
Table: Pre-CT Scan Preparation Checklist
| Preparation Step | Description |
| Remove Metal Objects | Take off jewelry, glasses, and hairpins |
| Change Clothing | Wear a hospital gown as instructed |
| Disclose Allergies | Inform staff about any allergies, specially to contrast dye |
| Medical History | Share information about kidney disease, diabetes, or other relevant conditions |
The Procedure Step by Step
The CT scan process is simple. Here’s what you can expect:
- You will lie on a table that slides into the CT scanner.
- The radiographer will position you correctly and leave the room.
- You will be asked to remain very quiet while the scan is performed.
- The scan itself takes only a few minutes.
- If contrast dye is used, it will be administered through an IV line.
Knowing these steps can make you feel more at ease during the procedure. If you have any worries or questions, don’t hesitate to ask your healthcare provider.
How Long Does a Brain CT Scan Take?
Knowing how long a brain CT scan takes is important for those getting ready. The time can change based on a few things. These include the CT scanner type and if contrast material is used.
Factors That Affect Scan Duration
Several things can change how long a brain CT scan lasts:
- The type and generation of the CT scanner
- Whether contrast material is used
- The specific protocol required for the patient’s condition
- The patient’s ability to remain steady during the scan
Typical Timeframes for Different CT Protocols
A brain CT scan can last from a few minutes to about 30 minutes. Here are some usual times:
- A non-contrast brain CT scan usually takes 5-10 minutes.
- A CT scan with contrast might take an extra 10-15 minutes. This is because of the time needed for the contrast to be given and to spread.
- More complex scans or those needing special protocols might take longer.
Important factors that can make the scan longer or shorter include:
- The need for extra sequences or reconstructions
- The patient’s condition and ability to cooperate
- The specific needs of the radiologist or the doctor who ordered the scan
It’s key for patients to follow their healthcare provider’s prep instructions. This helps the scan go smoothly.
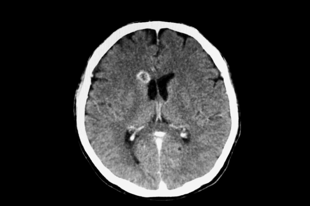
Interpreting CT Scan Results: What Do Brain Tumors Look Like?
Reading CT scans correctly is key to spotting brain tumors and what they mean. CT scans show detailed brain images. This helps doctors find any oddities.
Common Appearances of Different Tumor Types
Brain tumors look different on CT scans. This depends on their size, type, and where they are. Some tumors are clear and have sharp edges. Others are harder to see and spread out.
Meningiomas look like dense, round shapes near the brain’s surface. They stick to the dura mater. On the other hand, glioblastomas are irregular and have dead spots and swelling around them.
| Tumor Type | Typical Appearance on CT | Contrast Enhancement |
| Meningioma | Dense, rounded mass near brain surface | Often shows strong enhancement |
| Glioblastoma | Irregular, heterogeneous mass | Variable enhancement with areas of necrosis |
| Pituitary Adenoma | Sellar or suprasellar mass | Typically shows enhancement |
Understanding Radiological Reports
Radiological reports are vital for understanding CT scan results. They describe the tumor’s size, location, and how it looks. They also talk about its relation to nearby tissues.
It’s important to know the terms in these reports. “Hypodense,” “hyperdense,” and “isodense” describe how the tumor looks compared to the brain. The report might also mention if the tumor shows up well with contrast. This can tell us about the tumor’s blood supply and if it might be cancerous.
Knowing these details helps doctors plan the next steps and treatment.
Radiation Exposure Concerns in Brain CT Scans
When patients get CT scans for brain tumors, radiation is a big worry. CT scans are very helpful but they use ionizing radiation. This radiation can be harmful.
It’s important to know the risks and benefits of CT scans. Doctors always think about the good and bad sides of using them. They want to make sure they’re helping patients without harming them too much.
Typical Radiation Doses
The radiation from a CT scan depends on a few things. These include the scanner type, the scan protocol, and the patient’s size. Usually, a head CT scan gives patients 1.5 to 2 millisieverts (mSv) of radiation.
For comparison, people in the U.S. get about 3 mSv of background radiation each year. So, a head CT scan is roughly half of that.
| Procedure | Typical Radiation Dose (mSv) |
| Head CT Scan | 1.5 – 2 |
| Chest CT Scan | 7 – 8 |
| Annual Background Radiation | 3 |
Risk vs. Benefit Considerations
When looking at CT scan risks, we must think about the benefits. For many, the info from a CT scan can save lives or change treatment plans a lot.
The chance of harm from radiation, like cancer, is low for one CT scan. But, it’s not zero, and kids and young adults are more at risk. So, deciding on a CT scan is about weighing its benefits against its risks.
Doctors follow rules to use CT scans wisely. They try to keep radiation doses low while getting the needed info. They also choose other imaging methods when they can and adjust scans to cut down on radiation.
In short, while radiation from brain CT scans is a worry, the scans are often worth it. This is true when they’re used right and with careful thought about how much radiation they use.
Next Steps After a Brain Tumor Is Detected on CT
When a brain tumor is found on a CT scan, the next steps are important. More information is needed, and a detailed treatment plan must be made. This phase is critical for finding the best treatment.
Referral to Specialists
Patients with a brain tumor are usually sent to a team of experts. This team includes neurosurgeons, neuro-oncologists, and others who know a lot about brain tumors.
The first step is usually a meeting with a neurosurgeon or neuro-oncologist. They will look at the CT scan, check the patient’s health, and talk about possible treatments.
Treatment Planning Process
Planning treatment for a brain tumor involves several steps. More tests might be needed, and the tumor’s details will be looked at. The patient’s health and what they want will also be considered.
Key factors in treatment planning include:
- The type, size, and location of the tumor
- The patient’s age and overall health
- The presence of any symptoms or complications
Treatment options might be surgery, radiation, chemotherapy, or a mix of these. The plan will be made just for the patient’s needs.
Emotional and Practical Support Resources
Getting a brain tumor diagnosis can be tough for patients and their families. But, there are many support options available.
Support resources may include:
- Counseling or therapy services
- Support groups for patients and caregivers
- Online resources and educational materials
- Practical assistance with daily tasks and responsibilities
These resources offer emotional support, help with daily tasks, and useful information. They help patients and families deal with the challenges of a brain tumor diagnosis.
Conclusion: The Value and Limitations of CT Scans for Brain Tumor Detection
CT scans are a key tool for finding brain tumors. They are fast and easy to get. They help doctors see if there’s a tumor and what to do next.
But, CT scans have their limits. They can spot many tumors, but not all. MRI scans might be better for some tumors or places.
Knowing what CT scans can and can’t do is important. This helps doctors choose the best tests and treatments for each patient. It ensures patients get the care they need.
FAQ
What does a CT scan detect?
A CT scan can spot many health issues. This includes tumors, injuries, and vascular diseases. It’s great for seeing internal injuries, cancers, and other diseases.
Can a CT scan detect brain tumors?
Yes, a CT scan can find brain tumors. It’s often the first test used to find brain problems, like tumors.
How long does a head CT scan take?
A head CT scan usually takes a few minutes. The exact time can change based on the scan type and if contrast is used.
What is the difference between a CT scan with contrast and without contrast?
A CT scan with contrast uses a special dye to highlight areas. This makes it easier to see problems like tumors. Without contrast, the scan looks at natural tissue differences.
Can a CT scan miss cancer?
Yes, a CT scan might miss cancer. This can happen if the tumor is small or hard to see. How likely it is to miss cancer depends on the cancer type and scan quality.
Is MRI or CT scan better for detecting brain tumors?
Both MRI and CT scans have their own strengths. MRI is better for soft tissue, like brain tumors. But CT scans are quicker and easier to get.
What are the limitations of CT scans in diagnosing brain tumors?
CT scans have some limits. They can miss small or certain tumors. They also might not show as much detail as MRI for soft tissue.
How do I prepare for a CT scan of the brain?
To prepare for a brain CT scan, remove any metal items. If contrast is used, you might need to fast for a few hours.
What are the typical radiation doses from a brain CT scan?
The radiation from a brain CT scan is low. It can change based on the scan and equipment. Modern scanners aim to use less radiation.
What happens after a brain tumor is detected on a CT scan?
After finding a brain tumor, you’ll see a specialist. This could be a neurosurgeon or oncologist. They’ll talk about treatment options.
Can a blood test detect brain cancer?
There’s no standard blood test for brain cancer yet. Diagnosis usually involves imaging tests like CT or MRI scans.
What does a tumor look like on a CT scan?
Tumors on a CT scan look like masses or lesions. They’re different in density from the surrounding tissue. The look can change based on the tumor type.
How long does it take to get the results of a CT scan?
The time to get CT scan results varies. Sometimes, you might get quick results. But detailed reports can take longer.
Can a CT scan show the difference between benign and malignant tumors?
While a CT scan can give tumor details, it can’t always tell if a tumor is benign or malignant. More tests, like biopsies, are often needed.
References
National Center for Biotechnology Information. Evidence-Based Medical Insight. Retrieved from https://www.ncbi.nlm.nih.gov/pmc/articles/PMC6081153/