
Lung cancer is a common cancer worldwide and has a high death rate, largely because it often metastasizes. Where lung cancer first spreads is key to knowing how well the patient will do and what treatment they need.Doctors rely on imaging to detect and monitor cancer spread, and understanding CT scan accuracy cancer is crucial in this process. A CT scan helps identify tumors, measure their size, and reveal if the cancer has spread to nearby organs or lymph nodes. By improving CT scan accuracy cancer detection, doctors can plan more effective treatments that target the disease at the right stage.
Key Takeaways
- Lung cancer’s tendency to metastasize contributes to its high mortality rate.
- The first site of lung cancer spread affects the disease’s prognosis and treatment.
- Imaging techniques are critical for diagnosing and staging lung cancer.
- Understanding lung cancer spread helps doctors develop targeted treatment strategies.
- Effective treatment plans rely on accurate diagnosis and staging.
Understanding Lung Cancer Basics
Learning about lung cancer basics is key to better patient care. Lung cancer is a serious disease where abnormal cells grow out of control in the lungs.
Types of Lung Cancer
Lung cancer is mainly split into two types: non-small cell lung cancer (NSCLC) and small cell lung cancer (SCLC). NSCLC makes up about 85% of cases and includes subtypes like adenocarcinoma and squamous cell carcinoma. SCLC is more aggressive and linked to smoking.
Risk Factors and Prevalence
Smoking, exposure to harmful substances, and genetic changes are risk factors for lung cancer. Studies show smoking causes 80-90% of lung cancer deaths.
| Risk Factor | Description | Impact on Lung Cancer Risk |
| Smoking | Inhalation of tobacco smoke | Significantly increases risk |
| Exposure to Carcinogens | Contact with substances that cause cancer | Moderately increases risk |
| Genetic Mutations | Changes in genes that control cell growth | Can significantly increase risk |
Early vs. Advanced Disease
Early lung cancer is hard to spot because it doesn’t show clear symptoms. Advanced lung cancer, though, causes severe symptoms like breathing trouble and coughing up blood. Early detection with CT scans can greatly improve treatment results.
CT scans are vital for finding lung cancer early. They can spot tumors at different stages. The scan’s ability to find lung cancer depends on the tumor’s size and where it is.
The Metastatic Process in Lung Cancer

It’s important to know how lung cancer spreads to find better treatments. The metastatic process is complex. It involves many factors that help cancer cells move from the main tumor to other parts of the body.
How Cancer Cells Spread
Cancer cells can move through the bloodstream or the lymphatic system. They start by breaking into nearby tissues and then get into blood or lymph vessels. Once in the blood, they can go to other places and form new tumors.
The spread of cancer cells isn’t random. It’s influenced by the type of lung cancer, genetic changes, and the environment around the tumor. For example, some genetic changes can make cancer cells more likely to spread.
Factors Influencing Metastasis
Many things can affect how likely lung cancer is to spread. These include:
- Type of Lung Cancer: NSCLC and SCLC spread differently.
- Genetic Mutations: Certain mutations can make cancer more aggressive and spread-prone.
- Tumor Microenvironment: The area around the tumor can either help or hinder metastasis.
Molecular Mechanisms of Spread
The spread of cancer involves many genes and pathways working together. Important players include:
- Adhesion Molecules: Changes in these molecules help cancer cells break away from the main tumor.
- Proteases: These enzymes break down the matrix, letting cancer cells invade.
- Angiogenic Factors: These molecules help create new blood vessels, giving the tumor what it needs to grow.
Knowing how these mechanisms work is key to creating targeted treatments for metastatic lung cancer. The role of CT scans in detecting cancer and tracking its spread is also vital in managing the disease.
Common First Sites of Lung Cancer Metastasis

Knowing where lung cancer first spreads is key for diagnosis and treatment. Lung cancer metastasis is complex and affects patient outcomes.
Lymph Node Involvement
Lung cancer often goes to lymph nodes first. The hilar and mediastinal lymph nodes are common sites. How much of the lymph node is involved helps in staging and treatment planning.
Lymph node metastasis is found with tools like CT scans. These scans are vital for ct scan cancer diagnosis and ct scan cancer staging.
| Lymph Node Group | Frequency of Involvement | Clinical Significance |
| Hilar Lymph Nodes | High | Indicates regional spread |
| Mediastinal Lymph Nodes | High | Affects staging and treatment |
| Supraclavicular Lymph Nodes | Moderate | May indicate distant metastasis |
Regional vs. Distant Spread
It’s important to know if lung cancer spreads regionally or distantly. Regional spread means nearby areas are involved. Distant metastasis means organs far from the original site are affected.
Differences by Lung Cancer Type
Each lung cancer type spreads differently. For example, adenocarcinoma and squamous cell carcinoma have unique patterns.
- Adenocarcinoma: More likely to spread to distant organs like the brain and liver.
- Squamous Cell Carcinoma: Often goes to nearby lymph nodes.
Knowing these differences helps doctors tailor treatments for each lung cancer type.
Lung Cancer Spread to Lymph Nodes
Understanding how lung cancer spreads to lymph nodes is key for effective treatment. Lymph node involvement helps determine the stage and prognosis of lung cancer.
Hilar and Mediastinal Lymph Nodes
The hilar and mediastinal lymph nodes are common sites for lung cancer to spread. Hilar lymph nodes are near the lung hilum, where important structures enter the lung. Mediastinal lymph nodes are in the mediastinum, between the lungs, containing the heart and trachea.
Studies show that involvement of these lymph nodes is linked to a poorer prognosis. Accurate detection of lymph node metastasis is critical for staging and treatment planning. CT scans help identify lymph node enlargement, which may indicate metastasis.
| Lymph Node Group | Location | Significance in Lung Cancer |
| Hilar | Near the lung hilum | Common site for metastasis, affects staging |
| Mediastinal | In the mediastinum | Critical for determining disease spread and prognosis |
| Supraclavicular | Above the clavicle | Indicates advanced disease, often associated with poor prognosis |
Supraclavicular Lymph Nodes
Supraclavicular lymph node metastasis is a sign of advanced disease. These lymph nodes are above the clavicle and are not involved early in the disease. Their involvement often means the disease has spread widely, making treatment harder.
“The presence of supraclavicular lymph node metastasis typically signifies a more advanced stage of lung cancer, necessitating a shift in treatment strategies towards palliative care.”
Impact on Treatment Decisions
The extent of lymph node involvement greatly affects treatment decisions for lung cancer patients. Patients with limited lymph node metastasis may be candidates for surgical resection or localized radiation therapy, while those with more spread may need systemic therapies like chemotherapy.
CT scans, including those enhanced with contrast, are invaluable in assessing lymph node status. The information from these scans helps doctors choose the best treatment, balancing effectiveness with side effects.
Lung Cancer Metastasis to the Brain
Lung cancer spreading to the brain is a big problem in medicine. It happens a lot in lung cancer patients, mostly those with non-small cell lung cancer (NSCLC).
Frequency and Patterns
When lung cancer cells reach the brain, it’s a serious issue. The chance of this happening varies. It depends on the type of lung cancer and how far it has spread.
Patterns of Brain Metastasis:
- Single vs. multiple metastases
- Location within the brain (e.g., cerebral hemispheres, cerebellum)
- Presence of symptoms at diagnosis
Symptoms of Brain Metastases
Symptoms of brain metastases can differ a lot. They depend on where, how big, and how many metastases there are. Common signs include:
- Headaches
- Seizures
- Cognitive changes (e.g., memory loss, confusion)
- Motor deficits (e.g., weakness, paralysis)
Detection Methods and Challenges
Imaging like MRI and CT scans are used to find brain metastases. Each has its own strengths and weaknesses.
| Imaging Modality | Sensitivity | Specificity |
| MRI | High | High |
| CT Scan | Moderate | Moderate |
Finding brain metastases can be hard. Small lesions and the blood-brain barrier make it tough.
Finding them early is key for good treatment. New imaging tech is helping doctors better spot and track brain metastases in lung cancer patients.
Adrenal Gland Metastases from Lung Cancer
The adrenal glands are a common spot for lung cancer to spread. This is because they have a lot of blood vessels. This is a big deal when lung cancer has grown beyond its first place.
Why Adrenal Glands Are Common Sites
The adrenal glands get a lot of blood, making them easy for cancer to spread. Lung cancer cells can easily spread to the adrenal glands and other places because of this.
“The adrenal glands are one of the most common sites for metastasis from lung cancer, highlighting the importance of thorough diagnostic evaluation.”
Clinical Significance
When lung cancer spreads to the adrenal glands, it changes how doctors plan treatment. Getting an accurate diagnosis is key to knowing how far the cancer has spread and what treatment to use.
| Diagnostic Modality | Sensitivity | Specificity |
| CT Scan | High | Moderate |
| PET Scan | High | High |
| Biopsy | Very High | Very High |
Diagnostic Approaches
Doctors use CT scans and PET scans to find adrenal gland metastasis. CT scans show the body’s structure, while PET scans show how active the tumor is. At times, a biopsy is needed to be sure.
It’s important to understand the role of adrenal gland metastasis in lung cancer. Using the right tests to find it is key to treating lung cancer well.
Bone Metastases in Lung Cancer Patients
Lung cancer often spreads to the bones, causing severe pain and other issues. Bone metastases are common in lung cancer patients. They greatly affect patients’ quality of life and need careful management.
Common Bone Sites Affected
Bone metastases from lung cancer can happen in many bones. But the spine, ribs, and pelvis are most affected. These can cause pain, fractures, and high calcium levels.
The spine is very prone to metastases because of its blood supply and veins. Early detection with CT scans is key to managing these issues well.
Complications of Bone Metastases
Bone metastases can cause pain, fractures, and spinal cord compression. Pain is the main symptom, caused by bone destruction and chemical signals.
- Pathological fractures happen when bones are weakened by cancer, resulting in a loss of strength.
- Spinal cord compression is urgent and can cause serious nerve damage.
Pain Management and Treatment
Managing pain from bone metastases is very important. A multidisciplinary approach is used, including medicines, radiation, and more. Each plan is made for the patient’s specific needs.
Radiation therapy helps with pain and prevents more bone problems. Sometimes, surgery is needed to fix bones or relieve nerve pressure.
Understanding bone metastases in lung cancer helps doctors create better treatment plans. This improves patients’ lives and outcomes.
Liver Metastases from Lung Cancer
Liver involvement in lung cancer is a key factor in disease progression and management. Liver metastases often complicate the clinical picture. They affect treatment decisions and patient outcomes.
Detection Challenges
Detecting liver metastases in lung cancer patients is challenging. CT scans are commonly used but can be limited by metastasis size and location.
Contrast-enhanced CT scans can improve detection by highlighting metastatic lesions. Yet, even with advanced imaging, detecting liver metastases remains a challenge.
| Imaging Modality | Sensitivity | Specificity |
| CT Scan | 70-80% | 80-90% |
| Contrast-Enhanced CT | 80-90% | 90-95% |
Impact on Prognosis
Liver metastases indicate a poor prognosis for lung cancer patients. They are often associated with advanced disease and a higher tumor burden.
Studies show patients with liver metastases have shorter survival rates. The prognosis depends on metastasis number, size, and patient health.
Treatment Options
Treatment options for liver metastases from lung cancer are often limited. Systemic therapies like chemotherapy and targeted therapy are used to manage symptoms and slow disease progression.
In some cases, local treatments like radiofrequency ablation or stereotactic body radiation therapy may be considered for patients with limited metastatic disease.
Managing liver metastases requires a multidisciplinary approach. Oncologists, radiologists, and other healthcare professionals are involved. Understanding the challenges and options helps healthcare providers develop effective treatment plans tailored to individual patient needs.
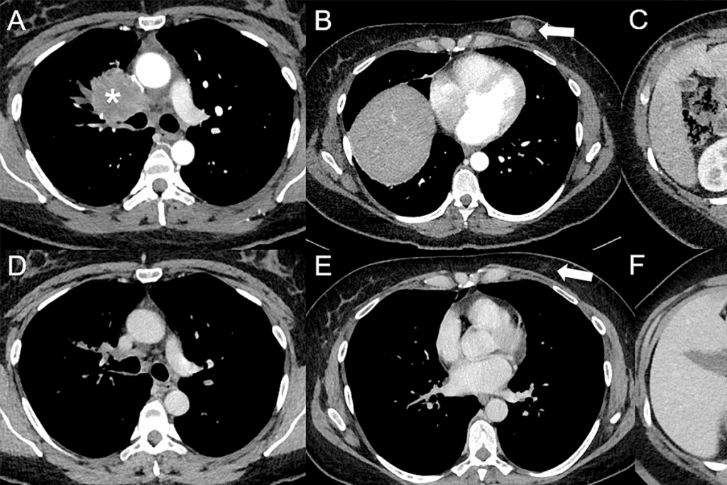
CT Scan Accuracy Cancer: Detection of Metastatic Disease
CT scans are key in finding metastatic disease, mainly in lung cancer patients. They give vital info for planning treatments and staging.
Sensitivity and Specificity Rates
CT scans’ accuracy is shown by their sensitivity and specificity rates. Sensitivity is how well they spot those with metastatic disease. Specificity is how well they miss those without it. The rates vary based on the organ and metastasis size.
Size Limitations in Metastasis Detection
CT scans struggle to find small metastases. Smaller lesions, under 5 mm, are hard to spot. New CT tech, like thinner slices, helps but size is key.
Accuracy Variations by Organ Site
CT scans’ accuracy changes with the organ. Finding liver or adrenal gland metastases is harder than in lungs or lymph nodes. Location and nearby structures impact reading. Knowing these differences is vital for accurate treatment plans.
In summary, CT scans are essential for finding metastatic disease. But, their accuracy depends on several things like sensitivity, size, and organ site. Improving imaging tech is key to better detection.
Contrast-Enhanced CT for Metastasis Identification
Using contrast agents in CT scans helps spot metastatic disease better. They make it easier to see how far cancer has spread by highlighting tissue differences.
Benefits of Contrast Agents
Contrast agents are key in making CT scans more accurate for finding metastasis. They show up tumors and metastases clearly. This is very helpful in organs like the liver and adrenal glands, where cancer often spreads.
The right amount and timing of contrast agents are important. They affect how well the scan turns out.
Protocol Considerations
Choosing the right protocol for contrast-enhanced CT scans is essential. This includes when to give the contrast, how much, and how to scan. The aim is to get the best contrast without harming the patient.
- Timing of contrast administration
- Dose of contrast agent
- Scanning protocol
Patient Selection Factors
Not every patient is right for contrast-enhanced CT scans. Things like kidney function and allergy history matter a lot. Patients with kidney problems or allergies need extra care.
Doctors must think carefully about these factors. This ensures the scans are safe and work well for finding metastasis.
Limitations of CT Scans in Detecting Early Metastasis
CT scans have some big limitations when it comes to finding early metastasis. They are good for diagnosing and figuring out how far cancer has spread. But, these limits can cause false-negative results, mainly for small lesions.
False Negatives in Small Lesions
One big problem with CT scans is that they can’t find small metastases well. Lesions smaller than 5 mm are hard to spot, leading to false negatives. This is a big deal because even small metastases can change treatment plans and outcomes.
Even with new tech, CT scans have limits. Small lesions might get missed, mainly if they’re not in the best spot or don’t show up well on scans.
Challenges in Certain Anatomical Locations
Some places in the body are harder to scan with CT scans. The brain and bones are tricky because of their complex shapes and artifacts. In the brain, telling metastasis apart from other lesions is tough without extra scans.
In bones, finding metastases is hard because of dense bone. This can hide or make lesions hard to see.
Interpretation Variability
Another issue with CT scans is how different doctors read them. The skill and experience of the radiologist can affect how accurate the results are. This can lead to different diagnoses and treatment plans.
To fix this, many places use double-reading or AI tools. These help make CT scan readings more accurate and consistent.
Alternative Imaging Modalities for Metastasis Detection
Other imaging methods can find metastatic disease better than CT scans. They help doctors plan treatments by showing where cancer has spread. These methods are great for specific situations.
PET-CT Advantages
PET-CT combines PET and CT scans. It shows where cancer is active and where it’s not. This is super helpful for finding cancer in lymph nodes, bones, and other places.
PET-CT Benefits:
- It finds small cancer spots better.
- It tells doctors more about what they see.
- It helps decide where to take a biopsy or start treatment.
MRI for Specific Metastatic Sites
MRI is best for the brain and spine. It shows soft tissues well and doesn’t use harmful radiation. This makes it perfect for these areas.
| Metastatic Site | MRI Advantages |
| Brain | It finds small spots well. |
| Spine | It shows the spinal cord and vertebrae clearly. |
Emerging Imaging Technologies
New imaging tech is coming. It could make finding cancer even better. New contrast agents and MRI methods are being tested.
Future Directions:
- New contrast agents are being made.
- Advanced MRI methods are being explored.
- Artificial intelligence might help analyze images.
Staging Lung Cancer: The Role of Metastasis
Lung cancer staging looks at the tumor’s size, lymph nodes, and if it has spread. Knowing the stage is key for predicting outcomes and treatment plans.
TNM Classification System
The TNM system is a common way to stage lung cancer. It considers three main parts:
- Tumor (T): How big and spread out the main tumor is
- Node (N): How far cancer has spread to nearby lymph nodes
- Metastasis (M): If cancer has spread to distant parts of the body
This system helps doctors understand how far cancer has spread.
How Metastasis Affects Staging
Metastasis is key in lung cancer staging. How far cancer has spread affects the stage and how well a patient might do.
The impact of metastasis on staging can be summarized as follows:
- M0: No distant metastasis
- M1: Distant metastasis present
Knowing if cancer has spread is vital for doctors to give the right treatment and hope for recovery.
Prognostic Implications
The stage of lung cancer, based on TNM, matters a lot for predicting outcomes. Early-stage patients usually have a better chance than those with advanced cancer.
“Accurate staging is essential for determining the most appropriate treatment strategy and improving patient outcomes.”
CT scans are very important in staging lung cancer. They help see the tumor size, lymph nodes, and if cancer has spread. Being able to spot metastasis early is key for knowing the stage and future.
Treatment Approaches for Metastatic Lung Cancer
Metastatic lung cancer needs a detailed treatment plan. This plan includes different types of therapy. The choice of treatment depends on how far the cancer has spread, the patient’s health, and the tumor’s characteristics.
Systemic Therapies
Systemic therapies are key in treating metastatic lung cancer. These include chemotherapy, targeted therapy, and immunotherapy. Chemotherapy kills cancer cells with drugs. Targeted therapy targets specific molecules that help cancer grow. Immunotherapy boosts the body’s immune system to fight cancer cells.
Choosing the right systemic therapy depends on the lung cancer type, genetic mutations, and the patient’s health.
Local Treatments for Oligometastatic Disease
For cancer that has spread to a few sites (oligometastatic disease), local treatments like radiation therapy and surgery might be used. These treatments aim to control the disease at the metastatic sites, which could improve outcomes.
Radiation therapy can help relieve symptoms or treat specific metastatic sites. Stereotactic body radiation therapy (SBRT) is a precise form of radiation therapy for oligometastatic disease.
Palliative Care Considerations
Palliative care is vital in managing metastatic lung cancer. It focuses on relieving symptoms, improving quality of life, and supporting patients and their families.
Palliative care teams work with the oncology team to manage symptoms like pain, shortness of breath, and anxiety. They ensure complete care throughout the disease journey.
Conclusion
It’s key to know where lung cancer spreads first and how to spot it early. Lung cancer spreading is complex, affected by the cancer type and the patient’s health.
Finding metastasis early is critical for treatment planning. CT scans help find cancer spread, but their accuracy depends on the size and location of the spread. Knowing what CT scans can and can’t do is important.
Treating lung cancer that has spread involves several steps. This includes using treatments that target the whole body, treatments for specific spots, and care to ease symptoms. By understanding how cancer spreads and the role of CT scans, doctors can tailor treatments to help patients more.
FAQ
Where does lung cancer typically spread first?
Lung cancer often spreads to lymph nodes first. The hilar and mediastinal lymph nodes are common sites. It also spreads to the brain, bones, adrenal glands, and liver.
What are the most common types of lung cancer?
Lung cancer mainly includes non-small cell lung cancer (NSCLC) and small cell lung cancer (SCLC). NSCLC makes up about 85% of cases.
How do CT scans contribute to detecting metastatic lung cancer?
CT scans are key in finding metastatic lung cancer. Their accuracy depends on the organ site and other factors. Contrast-enhanced CT scans help see metastases better, like in the liver and adrenal glands.
What are the limitations of CT scans in detecting early metastasis?
CT scans might miss small metastases, leading to false negatives. Imaging the brain and bones can be tricky. Radiologists’ interpretation differences also affect CT scan accuracy.
How does lung cancer metastasis affect staging and treatment?
Metastasis greatly affects lung cancer staging and prognosis. Knowing its role in staging helps doctors give accurate information and plan treatments.
What are the treatment options for metastatic lung cancer?
Treatments for metastatic lung cancer include systemic therapies like chemotherapy and targeted therapy. Local treatments like radiation and surgery are options for limited disease. Palliative care is also key, focusing on symptom relief and improving life quality.
Can MRI be used for detecting lung cancer metastasis?
Yes, MRI is great for imaging brain and spine metastases. New imaging technologies and contrast agents are being explored to better detect metastases.
How does the TNM classification system stage lung cancer?
The TNM system stages lung cancer based on tumor size, lymph node involvement, and metastasis. Metastasis greatly affects the stage and prognosis.
What are the common symptoms of brain metastases from lung cancer?
Symptoms vary by metastasis location and size. They can include headaches, seizures, and cognitive changes.
How are bone metastases from lung cancer managed?
Managing bone metastases focuses on pain control. This involves a team effort with medications, radiation, and other treatments.
References
- Chen, H., Huang, S., Zeng, Q., Ni, Z., Li, X., Xu, X. (2019). A retrospective study analyzing the missed diagnosis of lung metastases at their early stages on computed tomography. Journal of Thoracic Disease. Retrieved from https://jtd.amegroups.org/article/view/31030/html
- Scott, W. J., et al. (1996). Mediastinal lymph node staging of non-small-cell lung cancer: accuracy of CT scanning. The Journal of Thoracic and Cardiovascular Surgery. Retrieved from https://www.jtcvs.org/article/S0022-5223%2896%2970317-3/fulltext
- Feng, Y., Cheng, B., Zhan, S., et al. (2024). The impact of PET/CT and brain MRI for metastasis detection among patients with clinical T1-category lung cancer. European Journal of Nuclear Medicine and Molecular Imaging. Retrieved from https://link.springer.com/article/10.1007/s00259-024-06740-8