
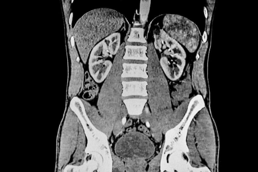
A CT scan of the liver with contrast is a top-notch tool for spotting small liver issues, tumors, and blood vessel problems. At Liv Hospital, the CTscan of the liver with contrast is used as a cutting-edge method to provide accurate and trustworthy diagnoses for better patient care.
The contrast-enhanced CT scan is done with a Philips IQon Spectral CT scanner and iopromide (Yovex, 300 mg/ml) as the contrast agent. This combo of skill, modern tech, and focus on the patient ensures detailed checks on liver health.
Key Takeaways
- CT scans with contrast are highly sensitive for detecting liver abnormalities.
- Liv Hospital uses advanced CT scanning technology.
- The contrast agent iopromide (Yovex) is used for enhanced imaging.
- Precise diagnoses are delivered through a combination of expertise and technology.
- Patient-centered care is a priority in liver health assessments.
What Is a CT Scan of the Liver with Contrast?

Using a contrast agent in a CT scan of the liver makes it much better at finding problems. It helps doctors see the liver’s different parts clearly. This is key for checking the liver’s health and spotting any issues.
Definition and Basic Principles
A CT of the liver with contrast uses X-rays to make detailed pictures of the liver. The contrast agent is given through an IV. It makes liver structures and lesions stand out by changing how different tissues look.
How It Differs from Non-Contrast Imaging
The main difference between a liver CT with contrast and one without is how well it shows liver lesions and blood vessels. The contrast agent makes these areas clearer by showing their differences in density. This makes it easier to spot problems.
When This Procedure Is Recommended
A CT of the liver with contrast is suggested when doctors think there might be liver disease or other issues like tumors or cysts. It’s also used to track how liver conditions change over time and to see if treatments are working. AdvancedCT imaging protocols use smart contrast agent tracking technology. This technology has a threshold of 150 HU for scanning in the arterial phase.
| Procedure | Contrast Use | Primary Benefit |
| CT of the liver with contrast | Intravenous contrast agent | Enhanced visualization of liver lesions |
| Non-contrast CT of the liver | No contrast agent | Quick assessment, but limited detail |
The Science Behind Contrast Enhancement

Contrast enhancement in liver CT scans relies on the properties of contrast media. These substances make structures or fluids in the body stand out in medical images. In liver CT scans, contrast media is key to showing the liver’s details and any issues.
How Contrast Media Works
Contrast media changes how X-rays interact with the body. When used, it absorbs X-rays differently than body tissues. This makes certain areas more visible on the CT scan. This is vital for spotting problems like liver cancer and metastases. The agent is given through an IV and spreads through the blood to the liver.
Types of Contrast Agents Used
For liver imaging, iodine-based contrast agents are the most common. They are safe for most patients and work well. The right contrast agent depends on the patient’s health and what the doctor needs to see.
Tissue Differentiation Capabilities
Using contrast in liver CT scans helps tell different tissues apart. Contrast agents can tell if a lesion is benign or malignant, which is key for diagnosis and treatment. The way tissues look during different phases of contrast gives clues about liver lesions.
For example, cancerous tumors show specific patterns on scans. They might look brighter in the early phase and then fade in the later phase. Knowing these patterns helps doctors understand what they see on liver CT scans.
Standard Protocols for CT of Liver with Contrast
Contrast-enhanced CT scans are key for checking liver health. Their accuracy depends on how contrast is given and how images are taken.
Contrast Administration Guidelines
For liver CT scans, 100-150 mL of contrast is used at 3“5 mL/sec. The contrast injection protocol is vital for clear liver images. The contrast rate and amount greatly affect scan quality.
Multi-Phase Imaging Techniques
CT scans have several phases, like arterial, portal venous, and delayed. Each phase shows different liver details and problems. The arterial phase spots fast-growing lesions well. The portal venous phase is best for liver tissue and slow-growing lesions.
| Phase | Timing | Usefulness |
| Arterial | 20-30 seconds | Hypervascular lesions |
| Portal Venous | 60-70 seconds | Liver parenchyma, hypovascular lesions |
| Delayed | 2-3 minutes | Characterization of lesions |
Radiation Dose Considerations
Radiation dose is important in liver CT scans. New CT scanners use technologies to lower radiation. These include automatic exposure control and iterative reconstruction. The effective dose for a liver CT scan is 10 to 20 mSv, based on the scan and patient size.
Preparing for Your Liver CT Scan
To have a smooth liver CT scan, patients need to follow certain steps. They must tell their doctor about any health issues, allergies, or medicines that might affect the contrast agent.
Pre-Procedure Instructions
Before the scan, patients are usually told to:
- Fast for a few hours to get clear images
- Tell their doctor about kidney problems or diabetes, as these can affect the contrast media
- Remove any jewelry or metal objects that could get in the way of the scan
Contraindications and Risk Factors
Some conditions might make it risky to use contrast-enhanced CT scans. Patients with kidney problems or at risk of kidney damage from contrast might not be good candidates. Also, severe allergies to contrast agents and pregnancy are risks.
| Condition | Risk Level | Precaution |
| Renal Impairment | High | Alternative imaging methods or hydration protocols |
| Severe Allergies | High | Premedication or alternative contrast agents |
| Pregnancy | Moderate | Careful risk-benefit assessment |
What to Expect During the Procedure
During the CT scan, patients lie on a table that moves into a CT scanner. The scan is quick, usually just a few minutes. The contrast agent is given through an IV, and patients might feel a warm feeling or taste something metallic.
A healthy liver looks uniform and has clear edges on a CT scan. Knowing what to expect and following the pre-procedure steps can help make the scan successful and accurate.
Characteristics of a Healthy Liver on CT
A healthy liver on a CT scan looks uniform and has clear edges. It’s important to compare it to a normal liver scan to spot liver diseases.
Normal Appearance and Density
A normal liver looks the same all over on CT scans. It’s a bit denser than the spleen. Its density is even, with a value slightly higher than the spleen’s.
Common Anatomical Variations
Livers can vary in shape, size, or have extra fissures. For example, a Riedel’s lobe looks like a tongue from the right lobe. It might look like a problem at first glance.
Enhancement Patterns in Normal Tissue
On a contrast-enhanced CT scan, the liver shows a special pattern. It enhances in a multi-phasic pattern. This pattern helps doctors see how well the liver is working and if there are any problems.
| Phase | Timing | Characteristics |
| Arterial Phase | 20-30 seconds post-contrast | Hyper-enhancement of arteries, minimal liver enhancement |
| Portal Venous Phase | 60-70 seconds post-contrast | Maximum enhancement of liver parenchyma |
| Delayed Phase | 3-5 minutes post-contrast | Assessment of contrast retention or washout in lesions |
Can a CT Scan Find Liver Issues? Detection Capabilities
A CT scan of the liver with contrast is a key tool for finding liver problems. It gives detailed images of the liver and spots issues with great accuracy. This makes it a must-have in today’s medicine.
Sensitivity for Different Pathologies
Contrast-enhanced CT scans are very good at finding liver problems like tumors, cysts, and abscesses. The contrast makes these problems stand out by showing differences in tissue and blood flow. For example, hepatic metastases and hepatocellular carcinoma show up clearly because of how they react to the contrast.
Size Thresholds for Lesion Detection
How well a CT scan can spot liver lesions depends on the size of the lesion. Lesions over 5 mm are usually found, but it can change with the technology and imaging quality. Newer CT scanners can find smaller lesions, making diagnosis more accurate.
Advantages Over Other Imaging Methods
CT scans of the liver with contrast have big advantages over other methods. They give clearer images than ultrasound and don’t need as much skill from the operator. MRI is great for soft tissue, but CT scans are quicker and more common. Using CT with contrast and MRI together can make diagnosis even more reliable, even in tough cases.
In summary, CT scans are very good at finding liver problems. They are a key part of diagnosing and treating liver diseases. Knowing what CT scans can do helps doctors make better choices for their patients.
Abnormal Liver CT Scan: Understanding the Findings
Understanding a liver CT scan is key for diagnosing and managing liver issues. An abnormal scan can show different things, like benign lesions or cancerous tumors.
Benign vs. Malignant Characteristics
It’s important to distinguish apart benign and malignant liver lesions. Benign ones, like cysts or hemangiomas, look specific on CT scans. For example, simple cysts are clear and less dense, while hemangiomas show enhancement around the edges.
Malignant lesions, on the other hand, have irregular shapes, uneven enhancement, and might have dead tissue in the center. The Liver Imaging Reporting and Data System (LI-RADS) helps classify these based on their looks.
Common Pathological Patterns
Some patterns are often seen in liver CT scans. For example:
- Hepatocellular carcinoma (HCC) shows up with early enhancement and then fades.
- Metastases appear as various-sized lesions with different enhancements.
- Focal nodular hyperplasia (FNH) has strong early enhancement and becomes the same density later.
Diagnostic Confidence Levels
The confidence in diagnosing comes from the CT scan quality, the radiologist’s skill, and the use of systems like LI-RADS. High confidence means the scan’s features clearly match a diagnosis.
Getting abnormal liver CT scans right is vital for treatment decisions. Knowing what liver lesions look like and using reporting systems helps doctors better care for patients.
Clinical Applications of Liver CT with Contrast
Liver CT scans with contrast are used in many ways. They help doctors diagnose and treat liver problems. Contrast-enhanced CT scans give detailed views of the liver’s structure and any issues it might have.
Diagnosis of Hepatocellular Carcinoma
Hepatocellular carcinoma (HCC) is a common liver cancer. Imaging, like CT scans with contrast, is key in finding this cancer. These scans show how HCC tumors look under the microscope.
Metastatic Disease Assessment
Liver metastases are common in many cancers. Contrast CT scans spot these tumors well. They help doctors plan treatments by showing where and how big the tumors are.
Vascular and Biliary Evaluation
CT scans with contrast also check the liver’s blood and bile systems. They help find tumors that have spread to blood vessels. They also spot problems in the liver’s blood and bile ducts.
A top radiologist says, “Contrast in liver CT scans has greatly helped us diagnose and manage liver diseases. It’s a vital tool in our work.” Liver CT with contrast is key for planning surgeries and checking how treatments work. It’s very important in today’s liver care.
CT Scan of the Liver with Contrast for Surgical Planning
Contrast-enhanced CT scans are key for planning liver surgery. They show detailed liver anatomy, blood vessels, and any lesions. This info is vital for surgeons to plan the surgery.
Preoperative Vascular Mapping
CT scans with contrast help map liver blood vessels before surgery. They show the liver’s arteries, veins, and veins. Knowing these details helps surgeons plan safely and avoid major blood vessels.
Volumetric Assessment
CT scans also help measure liver volume and how much it is affected. This info helps surgeons decide how much of the liver to remove. It’s important for the liver to function well after surgery.
Resectability Determination
CT scans show if liver lesions can be removed. They look at size, location, and how close to blood vessels they are. This helps surgeons decide the best surgery plan.
“The use of contrast-enhanced CT scans has revolutionized the field of liver surgery by providing critical information necessary for successful outcomes.”
In summary, CT scans of the liver with contrast are essential for surgery planning. They give detailed views of the liver, blood vessels, and lesions. Their role in mapping, measuring, and deciding if a lesion can be removed is key for liver surgery.
Limitations and Possible Complications
CT scans of the liver with contrast are very useful for doctors. But they have some limits and possible problems. It’s important for doctors and patients to know about these to make good choices.
Contrast-Related Adverse Events
One big issue with CT scans with contrast is the chance of bad reactions. These can be mild, like nausea and itching, or very serious, like anaphylaxis. The University of Rochester Medical Center says people with allergies or past bad reactions are at higher risk.
Diagnostic Limitations
Even with new CT tech, there are limits to what they can find. Small spots might not show up, and some liver problems can look like other things. The diagnostic accuracy can change based on when the contrast is given and the scan’s settings.
Patient-Specific Considerations
Every patient is different, and that affects whether a CT scan with contrast is right for them. For example, people with kidney disease might face kidney problems from the contrast. Pregnant women and those with certain health issues need extra care, too.
In short, CT scans of the liver with contrast are very helpful. But knowing their limits and possible issues is key to the best care and results for patients.
Complementary Imaging Approaches
Other imaging techniques are key in liver evaluation, adding unique insights. While CT scans with contrast are great for detailed views, complementary modalities offer extra information.
When to Consider MRI or Ultrasound
MRI is top for spotting liver lesions and checking the biliary system. Ultrasound is good for first checks and looking at liver shape. The right choice depends on the situation and what’s needed.
Combined Modality Strategies
Using CT and MRI and ultrasound together boosts confidence in diagnosis. For example, CT for finding lesions and MRI for a detailed look is smart. This multi-modal approach leads to better diagnoses.
Emerging Hybrid Techniques
New techniques mix different imaging methods, promising better liver checks in the future.
Conclusion: The Evolving Role of Contrast-Enhanced Liver CT
The role of contrast-enhanced liver CT is changing with new technology. It’s now key for diagnosing liver issues, helping decide treatments, and checking how well treatments work.
New research and tech will make contrast-enhanced liver CT even better. Better scanners, contrast agents, and image tech will help it do more and be more accurate.
The future looks bright for contrast-enhanced liver CT. It might get even better with personalized medicine and new imaging methods. As it keeps getting better, it will play a big role in liver care, helping patients get better care and treatments.
FAQ
What is a CT scan of the liver with contrast?
A CT scan of the liver with contrast uses X-rays and a special dye. It creates detailed images of the liver. This helps doctors diagnose and monitor liver conditions.
How does contrast media work in a liver CT scan?
Contrast media highlights differences in the liver’s tissues and structures. This makes it easier to spot abnormalities like tumors or cysts.
What are the benefits of using contrast dye in a liver CT scan?
Using contrast dye makes liver structures and lesions more visible. This leads to more accurate diagnoses and better disease assessment.
Can a CT scan detect liver issues?
Yes, a CT scan can find liver problems like tumors, cysts, and other abnormalities. It’s very good at spotting different types of liver issues.
What are the characteristics of a healthy liver on a CT scan?
A healthy liver looks uniform and shows normal enhancement patterns on a CT scan. It also considers common anatomical variations when interpreting the images.
How do I prepare for a liver CT scan?
To prepare for a liver CT scan, follow the pre-procedure instructions. Also, tell your doctor about any health risks or concerns. You’ll know what to expect during the scan.
What are the clinical applications of liver CT with contrast?
Liver CT with contrast is used for many things. It helps diagnose liver cancer, check for metastasis, and evaluate blood vessels and bile ducts. It also helps plan surgeries.
What are the limitations of CT scans of the liver with contrast?
CT scans have some limits. They can cause allergic reactions to the contrast dye. They might not catch small lesions or be affected by certain patient factors.
When should I consider alternative imaging approaches like MRI or ultrasound?
Consider MRI or ultrasound if CT scans aren’t the best choice. This might be due to specific conditions or patient factors. Or, you might need more information.
How is a CT scan of the liver with contrast used for surgical planning?
A CT scan with contrast helps plan surgeries. It maps blood vessels, assesses liver volume, and checks if a tumor can be removed. This helps surgeons choose the best surgical approach.
What are the advantages of CT scans over other imaging methods for liver evaluation?
CT scans are better at finding liver lesions and are faster. They provide detailed information on liver anatomy and pathology.
Can CT scans detect small liver lesions?
Yes, CT scans can find small liver lesions. The ability to do so depends on the lesion’s size, location, and the CT technology used.
References:
- Zhang, X., Tozzi, L., & Williams, L. M. (2023). Mapping neurophysiological subtypes of major depressive disorder using resting-state fMRI. Biological Psychiatry, 94(5), 412“421.https://www.sciencedirect.com/science/article/abs/pii/S0006322323013318