
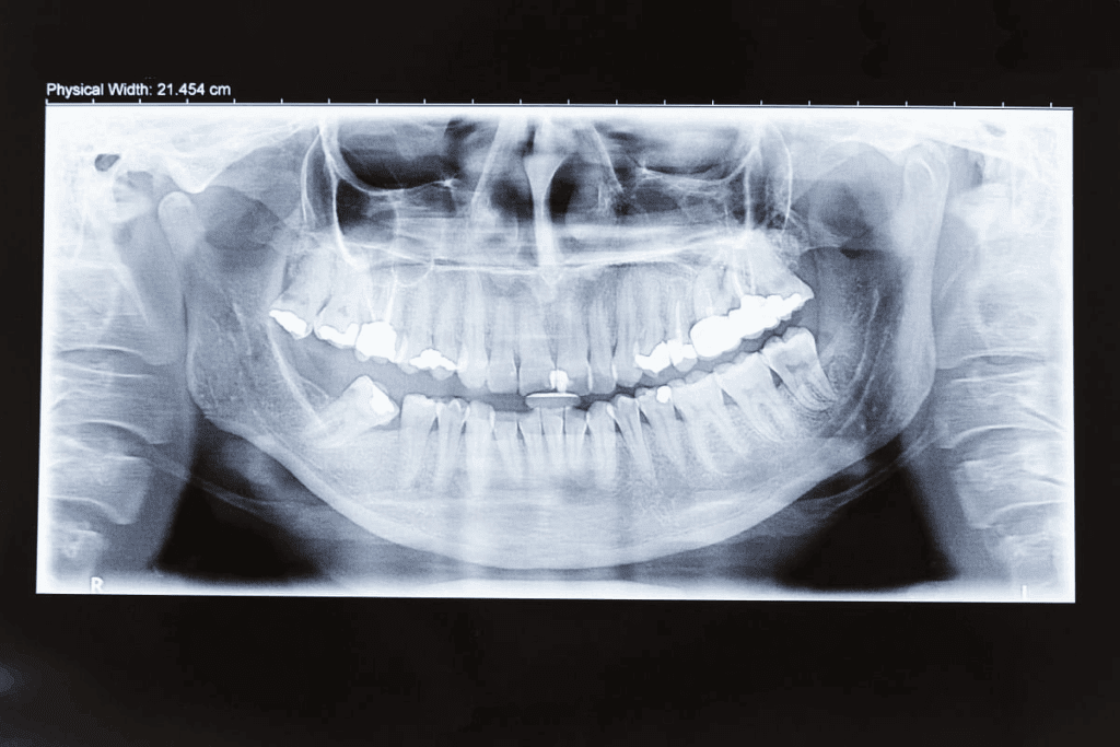
At Medical Expert’s Walnut Creek practice, we use dental panoramic X-rays. These X-rays show the whole mouth in one image. They capture all teeth, jaws, and nearby areas.Explaining the diagnostic and patient benefits of using Dental panoramic X-rays in a practice.
This tech helps us find problems early. We can spot issues like impacted teeth and oral cancer quickly.
Our X-rays use little radiation. This makes them safe for our patients. It’s how modern dentistry works.
By using panoramic X-rays, we focus on our patients. We make sure their needs come first in our care.
Key Takeaways
- Comprehensive imaging of the entire mouth in a single image
- Accurate diagnoses and effective treatment planning
- Early detection of serious conditions like impacted teeth and oral cancer
- Minimal radiation exposure for patient safety
- Patient-centered diagnostic care at Medical Expert’s Walnut Creek practice
The Evolution of Dental Panoramic Technology in Modern Dentistry

Dental panoramic X-rays have changed dentistry a lot. At Miyasaki Dental in Walnut Creek, we use this tech to help our patients more. It lets us see the whole mouth better.
These X-rays are different from old dental X-rays. Old X-rays only show a small part of the mouth. But panoramic X-rays show the whole mouth, including teeth, jaws, and more.
What Makes Panoramic X-Rays Different from Traditional Dental X-Rays
Panoramic X-rays have big advantages over old X-rays. They let dentists see the whole mouth in one picture. This helps find problems that old X-rays miss, like hidden teeth or bone issues.
Also, taking panoramic X-rays outside the mouth is easier for patients. It’s great for those who easily gag.
The Importance of Comprehensive Imaging in Preventive Dentistry
Seeing the whole mouth is key in keeping teeth healthy. Early detection helps avoid bigger problems later. Panoramic X-rays help us spot issues that aren’t seen with just a look.
Studies say panoramic X-rays are safe. They give out very little radiation. At Miyasaki Dental, we use them to care for our patients safely and effectively.
Medical Expert’s State-of-the-Art Panoramic Equipment in Walnut Creek

At Miyasaki Dental, we’re proud to offer top-notch panoramic equipment in Walnut Creek. Our goal is to give our patients the most accurate diagnoses and effective treatment plans. We use the latest technology for this.
Advanced Digital Imaging Systems at Miyasaki Dental
Our practice has advanced digital imaging systems. These systems help us take high-resolution panoramic images. This means we can make precise diagnoses and effective treatment plans for our patients.
Medical Expert, “Modern dental practices with panoramic technology can spot problems missed by traditional X-rays. This leads to more accurate treatment plans and a better look at oral health.”
“The use of advanced digital imaging has changed dentistry. It lets us give our patients more accurate diagnoses and better treatment options.”
How Technology Enhances Patient Care at Our Walnut Creek Practice
The technology we use improves how we diagnose and care for patients. With the latest panoramic imaging systems, we can:
- Take detailed images of the whole mouth in one scan
- Use less radiation than traditional X-rays
- Make the diagnostic process faster, leading to quicker treatment plans
Our dedication to dental technology means our patients get the best care. The table below shows some key benefits of our panoramic equipment.
| Feature | Benefit |
|---|---|
| High-resolution imaging | More accurate diagnoses |
| Reduced radiation exposure | Enhanced patient safety |
| Streamlined diagnostic process | Quicker treatment planning |
By using the latest panoramic technology, we show our commitment to top-notch patient care. We aim for the best treatment outcomes for our patients.
Benefit #1: Complete Visualization of Your Entire Oral Structure
Dental panoramic X-rays show your entire mouth in one image. They capture all teeth, jaws, and structures around them. This view is key to understanding your mouth’s health.
Capturing All Teeth, Jaws, and Surrounding Structures in One Image
At our Walnut Creek dental practice, we use dental panoramic X-rays. They give a detailed, two-dimensional image of your mouth. This includes all teeth, jaws, and structures around them.
This image helps us see your oral health clearly. It lets us spot any problems.
Getting a panoramic X-ray is easy and quick for our patients. Our advanced equipment captures the image fast, usually in 12-20 seconds.
The Diagnostic Advantage of Full-Mouth Panoramic Views
Full-mouth panoramic views show your mouth’s structure clearly. They help us find issues that regular exams might miss.
Key Diagnostic Benefits:
- Identifying impacted teeth or developmental issues
- Finding bone loss or periodontal disease patterns
- Screening for cysts, tumors, or other pathologies
Medical Expert, “Panoramic X-rays have changed how we check oral health. They give a full view of the mouth, helping us diagnose and treat better.”
“Panoramic radiography has greatly improved diagnosing and managing oral health issues. It gives a wide view of the dental and maxillofacial area, which is essential for planning treatments.” – A leading dental research publication
| Diagnostic Feature | Conventional X-Rays | Panoramic X-Rays |
|---|---|---|
| Coverage Area | Limited to specific areas | Full-mouth view |
| Radiation Exposure | Variable, often higher | Generally lower |
| Diagnostic Scope | Narrow focus | Broad overview |
Using dental panoramic X-rays helps us make accurate diagnoses. We can then create treatment plans that fit your needs.
Benefit #2: Significantly Reduced Radiation Exposure for Patient Safety
At Medical Expert’s Walnut Creek practice, we focus on keeping patients safe. We use dental panoramic X-rays, which cut down radiation a lot. This is key for those needing many X-rays for their care.
Panoramic X-rays give out very little radiation. This makes them safe for people of all ages. In dentistry, we aim to care for you well while keeping risks low.
Understanding Radiation Levels: Comparing Panoramic X-Rays to Daily Activities
Let’s look at how safe panoramic X-rays are. The radiation from one X-ray is like a few days of normal background radiation. It’s about as much as you’d get in 1-3 days of natural background radiation.
By comparing dental X-rays to background radiation, patients see how safe they are. At our practice, we’re open about the good and bad of X-rays.
Medical Expert’s Commitment to Radiation Safety Protocols
Medical Expert’s Walnut Creek practice follows strict safety rules for X-rays. We use the latest digital X-ray tech to lower radiation even more than old film X-rays.
We carefully decide when to use X-rays for each patient. This way, we make sure you only get the X-rays you need. Choosing Medical Expert’re in good hands with a dentist in Walnut Creek who cares about your safety.
As a dentist in Walnut Creek CA, we balance your needs with safety. Our use of panoramic X-rays shows our commitment to quality care that puts you first.
For those looking for a dentists Walnut Creek area, Medical Expert’s offers top-notch care and safety. Come see how our tech and focus on you can change your dental visits.
Benefit #3: Early Detection of Hidden Oral Health Conditions
At Medical Expert’s Walnut Creek practice, we use panoramic X-rays to find hidden oral health problems early. This advanced imaging gives a full view of your mouth. It helps us spot issues that regular dental exams might miss.
Identifying Impacted Teeth and Developmental Abnormalities
Panoramic X-rays are great for finding impacted teeth. These teeth can cause pain and lead to bigger problems if not treated. They also help us see jaw and tooth growth issues, so we can plan the right treatment.
Detecting Bone Loss and Periodontal Disease Patterns
Bone loss and periodontal disease can hurt your mouth and health. Panoramic X-rays let us see how much bone is lost and where periodontal disease is. This helps us start treatment early to stop things from getting worse.
Screening for Cysts, Tumors, and Oral Cancer
Panoramic X-rays are also key for finding cysts, tumors, and oral cancer. Finding these early is very important for good treatment and results. Our digital imaging at Miyasaki Dental helps us find these problems accurately.
The info from panoramic X-rays is very useful for making a treatment plan just for you. By finding hidden problems early, we can treat them quickly. This helps keep your mouth healthy and improves your life.
| Oral Health Condition | Detection Method | Importance of Early Detection |
|---|---|---|
| Impacted Teeth | Panoramic X-ray | Prevents pain and complications |
| Bone Loss | Panoramic X-ray | Enables timely intervention |
| Cysts and Tumors | Panoramic X-ray | Critical for effective treatment |
Benefit #4: Enhanced Treatment Planning for Complex Dental Procedures
At our Walnut Creek dental practice, we use panoramic X-rays to improve treatment planning for complex dental procedures. This technology gives us a full view of the mouth. It helps our dentists create detailed and effective plans.
Precision Planning for Dental Implant Placement
Dental implant placement needs careful planning for success. Panoramic X-rays help us see the bone structure and spot any issues. This precision is key for the implants to last long.
Our team uses panoramic X-rays to:
- Evaluate the jawbone’s density and volume
- Find any structures that might affect implant placement
- Plan the exact spot and angle for the implant
Comprehensive Assessment for Orthodontic Treatment
Panoramic X-rays are vital for orthodontic planning. They show us the teeth, jaws, and surrounding areas. This helps us understand the case and plan the best treatment.
With panoramic X-rays, we can:
- Spot impacted teeth and other issues
- Check the teeth and jaw alignment
- Plan the best treatment for the best results
Strategic Extraction Planning for Wisdom Teeth and Impacted Teeth
Extracting wisdom teeth and other impacted teeth needs careful planning. Panoramic X-rays help us see the teeth’s position. This lets us plan the extraction safely and effectively.
Our team uses panoramic X-rays to:
- Find the position and depth of impacted teeth
- Check how the teeth relate to surrounding structures
- Plan the safest and most effective extraction method
| Treatment Aspect | Benefit of Panoramic X-Rays |
|---|---|
| Dental Implant Placement | Precise planning and assessment of bone structure |
| Orthodontic Treatment | Comprehensive assessment of teeth and jaw alignment |
| Wisdom Teeth Extraction | Strategic planning for safe and effective extraction |
As Medical Expert, “Panoramic X-rays have changed how we handle complex dental procedures. They offer unmatched detail, helping us provide top-notch care to our patients.”
Benefit #5: Quick, Comfortable, and Stress-Free Patient Experience
At Medical Expert’s Walnut Creek practice, we focus on your comfort during dental panoramic X-rays. Our goal is to make your visit quick, comfortable, and stress-free. We use the latest panoramic imaging technology to achieve this.
The 12-20 Second Dental Panoramic Process
The dental panoramic X-ray process at our office is very quick. It only takes 12 to 20 seconds. This short time helps reduce discomfort and makes anxious patients feel more at ease. Our panoramic dentist and team work hard to make the experience smooth for you.
How We Ensure Patient Comfort
We take several steps to ensure patient comfort during panoramic imaging:
- Clear explanations of the process to alleviate concerns
- Support throughout the procedure
- A comfortable and relaxed environment
At Miyasaki Dental, we believe a comfortable patient has a better experience. Our team is committed to making your visit as pleasant as possible.
When Should You Get a Panoramic X-Ray at Miyasaki Dental?
Our dental team at Miyasaki Dental decides if you need a panoramic X-ray based on your needs. These X-rays give us a full view of your mouth. This helps us find and treat many dental problems well.
New Patient Evaluations
For new patients, a panoramic X-ray is key. It shows us your current dental health. We can spot issues like teeth that haven’t come in yet, cysts, or tumors. This helps us make a treatment plan just for you.
With a full view of your teeth, jaws, and the area around them, we make sure our diagnosis is right.
Monitoring Growth in Kids
For kids, panoramic X-rays are important for watching how their teeth and jaw grow. They help us see how teeth are coming in and if there are any problems. This lets us start treatment early if needed.
Regular X-rays help us catch any issues early. This means the best care for our young patients.
Specific Conditions That Benefit from Panoramic Assessment
Some dental issues really need panoramic X-rays. These include teeth that are stuck, dental injuries, and possible cysts or tumors. Panoramic X-rays let us see how big these problems are. This helps us plan the right treatment.
For example, they’re useful when planning dental implants. They show us the bone and the area around it.
| Condition | Benefit of Panoramic X-Ray |
|---|---|
| New Patients | Comprehensive evaluation of oral health |
| Pediatric Patients | Monitoring growth and development |
| Impacted Teeth | Accurate diagnosis and treatment planning |
| Dental Implant Placement | Evaluation of bone structure and surrounding anatomy |
At Miyasaki Dental, we aim to give top care to our patients in Walnut Creek. If you’re looking for an affordable dentist in Walnut Creek or want to know more about our panoramic X-ray services, reach out to us. As a trusted dentist near Walnut Creek, CA, we’re all about giving you the best dental care.
The Patient Journey: What to Expect During Your Panoramic X-Ray Visit
At Miyasaki Dental, we make your panoramic X-ray visit easy and comfortable. We know it’s a new experience for many. We’re here to guide you every step of the way.
Before Your Appointment: Preparation Guidelines
To get ready for your panoramic X-ray, follow these simple steps:
- Take off any jewelry, glasses, or dental appliances you can remove.
- Tell us about any medical conditions or allergies you have.
- Follow any special instructions we give you before your visit.
At Walnut Dental Group PC, we thank you for preparing. It helps us give you the best care.
During Your Visit: The Step-by-Step Imaging Process
Our team will help you through the panoramic X-ray steps:
- You’ll sit or stand in our panoramic X-ray machine. We’ll show you how.
- We’ll adjust the machine to get the best image.
- The X-ray takes 12 to 20 seconds. Please stay very quiet and steady.
Our modern equipment at Miyasaki Dental Sacramento makes the process fast and easy.
After Your Scan: Reviewing Results with Medical Expert
After your X-ray, we check the images. Medical Expert. He’ll explain what he found and suggest treatments.
As your Dentist in Walnut Creek CA, Medical Expert. He uses the X-ray results to help you.
At Miyasaki Dental, we’re proud to offer panoramic X-rays. We’re committed to top-notch dental care. We can’t wait to help you achieve great oral health.
Why Walnut Creek Patients Choose Medical Expert
Medical Expert-edge dental technology. This has won the trust of many in Walnut Creek. At Miyasaki Dental, we focus on top-notch care that meets our patients’ needs.
Medical Expert’s Expertise and Qualifications
Medical Expert. He also keeps learning to give the best care. His skill in reading panoramic X-rays helps spot problems early, leading to better treatments.
Some of Medical Expert’s key qualifications include:
- Advanced training in dental imaging technologies
- Membership in prestigious dental associations
- Participation in ongoing education programs to stay updated on the latest dental practices
Patient Testimonials and Success Stories
Our patients love the care they get at Miyasaki Dental. Here’s what some have said about our panoramic X-rays:
“Medical Expert-ray process. I highly recommend their services!”A satisfied patient
We’ve helped many patients improve their oral health with our services. Below are some stats on our success:
| Category | Statistic |
|---|---|
| Patient Satisfaction Rate | 95% |
| Accuracy of Diagnoses | 99% |
| Patient Retention Rate | 90% |
At Miyasaki Dental, we aim to give top care to our Walnut Creek patients. Our modern facilities and skilled team ensure you get the best treatment. If you need a reliable dentist in Walnut Creek or dentist in Walnut Creek CA, book an appointment with us today.
Conclusion: Advancing Your Oral Health with Comprehensive Imaging at Miyasaki Dental
At Miyasaki Dental in Walnut Creek, CA, we use dental panoramic X-rays for detailed imaging. This technology gives us a full view of your mouth. It helps us make accurate diagnoses and treatment plans.
Choosing our Walnut Creek dentistry means you get top-notch panoramic equipment and Medical Expert’s expertise. We focus on keeping you safe and comfortable. Our team is ready to help you, whether you’re new or need ongoing care.
Thanks to panoramic X-rays, we can spot hidden problems early. We can also plan complex dental work with ease. Trust Miyasaki Dental for your dental needs and see the difference advanced imaging makes.
FAQ
What is a dental panoramic X-ray?
A dental panoramic X-ray shows the whole mouth in one image. It captures all teeth, jaws, and surrounding areas.
How does panoramic X-ray technology differ from traditional dental X-rays?
Traditional dental X-rays show only a part of the mouth. Panoramic X-rays give a wider view. This helps dentists spot problems better.
Is the panoramic X-ray process safe?
Yes, panoramic X-rays are safe. At Miyasaki Dental, we use strict safety rules. This keeps patients safe during the process.
What are the benefits of dental panoramic X-rays?
They offer a full view of the mouth and use less radiation. They help find hidden problems early. This makes treatment planning better and the process quicker and more comfortable.
When is a panoramic X-ray recommended?
They are recommended for new patients, kids, and those with specific dental issues. This includes impacted teeth or growth problems.
How long does the panoramic X-ray process take?
The process takes about 12-20 seconds. It’s fast and efficient.
What can I expect during my panoramic X-ray visit?
You’ll follow some steps and then have your X-ray. Medical Expert.
Why should I choose Medical Expert?
Medical Expert. Patients love his skill and the positive experience at Miyasaki Dental.
How do I prepare for a panoramic X-ray?
Follow our office’s guidelines. This might mean removing jewelry to avoid interference during the X-ray.
Are panoramic X-rays suitable for children?
Yes, they’re good for kids. They help track growth and catch dental problems early.
Can I get a panoramic X-ray at Miyasaki Dental in Walnut Creek?
Yes, Miyasaki Dental in Walnut Creek offers panoramic X-rays. Our modern equipment and team make it a smooth experience.
How do panoramic X-rays contribute to effective treatment planning?
They give dentists a full view of a patient’s mouth. This helps plan complex treatments like implants and orthodontics more accurately.
References
National Center for Biotechnology Information. Dental Panoramic X-Rays: Benefits at Medical Expert’s Walnut Creek. Retrieved from https://pmc.ncbi.nlm.nih.gov/articles/PMC10946316/