
Acute Lymphoblastic Leukaemia (ALL) is a fast-growing cancer that attacks the bone marrow and blood. It mostly hits kids, but grown-ups can get it too.
This cancer needs quick action because it grows fast. Being diagnosed with ALL (acute lymphoblastic leukemia) can be overwhelming, but knowing about lymphoblastic leukemia helps patients make smart choices about their treatment.
Liv Hospital is a leader in treating acute lymphoblastic leukaemia. They use the latest research and care to help patients.
Key Takeaways
- ALL is a cancer that affects the bone marrow and blood.
- It is a rapidly progressing disease that requires immediate treatment.
- ALL predominantly affects children but can also occur in adults.
- Understanding the disease is key for making informed care decisions.
- Liv Hospital offers expertise and patient-focused care for ALL treatment.
What is Acute Lymphoblastic Leukaemia (ALL)?

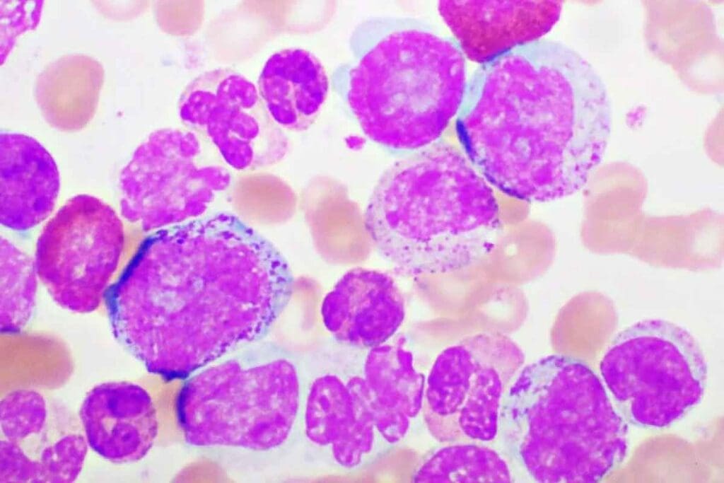
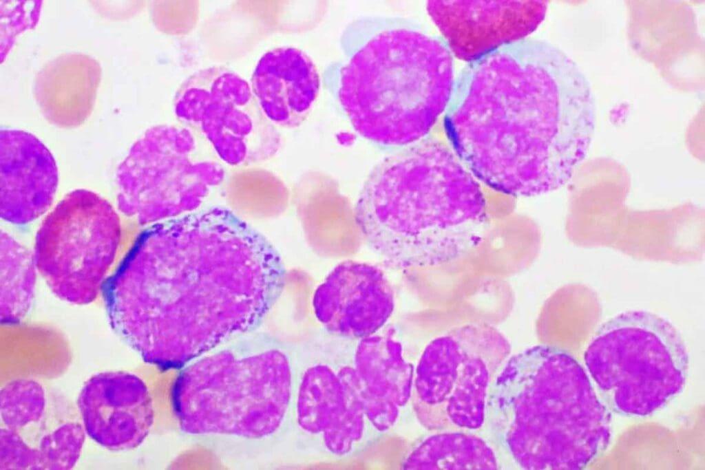
Acute Lymphoblastic Leukaemia (ALL) starts with a mutation in a single stem cell in the bone marrow. This mutation causes the production of abnormal white blood cells, called lymphoblasts. These cells can’t function right.
Definition and Pathophysiology
ALL is a blood cancer where lymphoblasts grow fast. Normally, the bone marrow makes blood cells carefully. But in ALL, this process goes wrong, filling the marrow with lymphoblasts.
This leads to fewer normal blood cells. This can cause anemia, neutropenia, and thrombocytopenia.
How Abnormal Lymphoblasts Affect Bone Marrow
Lymphoblasts in the bone marrow mess up blood cell production and weaken the immune system. They can also spread to other places like lymph nodes, spleen, and the brain.
This damage to the bone marrow is big. It stops the marrow from making enough normal blood cells. This can make people more likely to get sick, tired, and bleed easily.
Knowing how ALL works is key to treating it. Doctors aim to kill the bad lymphoblasts and fix the bone marrow. This helps patients with this tough disease.
Key Fact #1: ALL Prevalence and Demographics

It’s important to know how common ALL is and who it affects. ALL is a big health issue that hits different age groups in different ways.
Annual Incidence in the United States
In the United States, there are about 6,100 new cases of ALL every year. This shows that ALL is quite rare, making up a small part of all cancers.
ALL is only 0.1% of all new cancer cases in the US each year. Even though it’s rare, it has a big impact, mainly because it often affects kids.
Age Distribution: Primarily a Childhood Cancer
Most cases of ALL happen in kids aged 2 to 5 years. This age group is most at risk, making it a big worry for kids’ health.
But ALL can also happen in adults, though much less often. Adults with ALL face a tough battle because of the disease’s complexity and treatment challenges.
Knowing who gets ALL helps doctors plan better care for kids and adults. This way, they can meet the specific needs of each group.
Key Fact #2: ALL as a Rare Form of Blood Cancer
Acute Lymphoblastic Leukaemia is a rare type of cancer. It’s caused by immature white blood cells, called lymphoblasts. These cells can’t fight infections well.
ALL in the Context of All Cancers
ALL makes up about 0.3 percent of all cancers. This means only a few people out of 100,000 will get it. Because it’s so rare, doctors and researchers use special treatments for it.
Lifetime Risk of Developing ALL
The chance of getting ALL in your lifetime is 0.1 percent. This shows it’s a very rare cancer. Knowing this helps in planning health efforts and understanding the disease’s impact.
| Cancer Type | Percentage of All Cancers | Lifetime Risk |
| Acute Lymphoblastic Leukaemia | 0.3% | 0.1% |
| Common Cancers (e.g., Breast, Lung) | Higher percentages | Varies by type |
Knowing how rare ALL is helps us focus research and treatments. It’s important to tailor care for this specific cancer.
Signs and Symptoms That Suggest ALL
It’s important to know the signs of Acute Lymphoblastic Leukaemia (ALL) for early treatment. ALL is a blood cancer that can show symptoms that seem like other illnesses at first.
Early Warning Signs
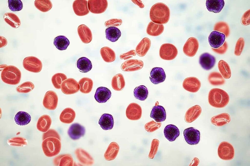
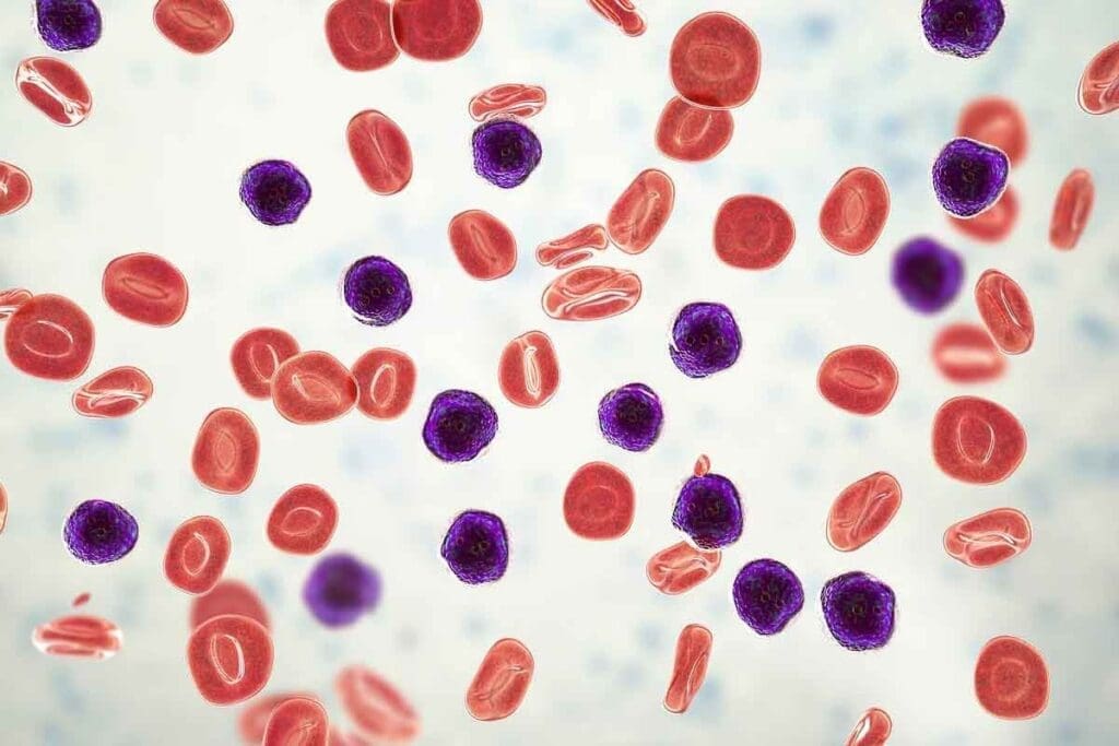
The first signs of ALL include fatigue, shortness of breath, frequent infections, and easy bruising. These happen because leukemia cells take over the bone marrow. This means fewer healthy blood cells are made.
For example, fewer red blood cells cause anemia, leading to tiredness and short breath. Less platelets mean you bruise easily and bleed more. Also, not having enough white blood cells makes you more prone to infections.
When to Seek Medical Attention
If you keep feeling these symptoms, you should see a doctor. Early diagnosis is vital for treatment. The Mayo Clinic says knowing the symptoms and getting medical help quickly can greatly improve your chances.
| Symptom | Cause | Implication |
| Fatigue | Anemia due to reduced red blood cells | May indicate a need for blood transfusions |
| Frequent Infections | Reduced white blood cells | Increased risk of severe infections |
| Easy Bruising | Low platelet count | Risk of bleeding complications |
Knowing these signs can help you get medical help fast. This could make your treatment better. If you notice any of these symptoms, see a doctor right away.
The Process of Being Diagnosed with ALL
Getting diagnosed with Acute Lymphoblastic Leukaemia (ALL) takes several steps. It starts with an initial check-up. Doctors look for cancer cells in the bone marrow and blood.
Initial Assessment and Blood Work
When someone shows signs of ALL, doctors do a full medical check. They look for swollen lymph nodes and other signs. Blood work is done next to check for abnormal cells.
A CBC shows if there are too many or too few blood cells. But more tests are needed to confirm ALL.
Confirmatory Tests and Procedures
To be sure of an ALL diagnosis, several tests are done. A bone marrow biopsy is key. It takes a bone marrow sample to check for cancer cells.
Other tests include flow cytometry and cytogenetic analysis. These help find specific markers and genetic changes. They help decide the best treatment.
After confirming the diagnosis, doctors check the patient’s health. They plan the best treatment. This detailed process helps create a good treatment plan for ALL patients.
Key Fact #3: Understanding ALL Subtypes
Acute Lymphoblastic Leukaemia (ALL) is not just one disease. It’s a range of cancers with different types. The type of lymphocytes and genetic traits help doctors know how to treat it.
B-cell vs T-cell Lymphoblastic Leukemia
ALL is mainly split into B-cell and T-cell types. B-cell ALL is more common, making up 80-85% of cases. It starts from B-cell precursors.
T-cell ALL comes from T-cell precursors. It often has more white blood cells and can spread to the brain.
“Knowing the difference between B-cell and T-cell ALL matters a lot,” experts say. T-cell ALL used to have a worse outlook, but new treatments have helped.
Genetic and Molecular Classifications
ALL is also divided by genetic and molecular traits. For example, Ph+ ALL has a special genetic mark that affects treatment choices.
Other genetic changes can make the disease more aggressive or change how it responds to treatment.
Research is always finding new ways to understand ALL. Knowing more about its subtypes helps doctors create better, more tailored treatments.
Key Fact #4: Treatment Strategies for ALL Cancer
Treatment for Acute Lymphoblastic Leukemia (ALL) has changed a lot. It now includes both old and new targeted therapies. The treatment plan depends on the type of ALL, the patient’s age, and other risk factors.
Standard Treatment Protocols
For ALL, treatment usually has three main parts: induction, consolidation, and maintenance. The induction phase tries to get rid of leukemia cells in the bone marrow. This is done with a mix of chemotherapy drugs.
The consolidation phase comes after remission. It aims to kill any leukemia cells that might not be active but could grow back. The maintenance phase uses less strong chemotherapy for a longer time. It helps keep the leukemia from coming back.
Recent Advances in Targeted Therapies
Recently, there have been big steps forward in treating ALL, thanks to targeted therapies. These therapies aim at specific molecules that help leukemia cells grow and live. They try to avoid harming normal cells.
- Tyrosine Kinase Inhibitors (TKIs): Used for patients with certain genetic changes, like the Philadelphia chromosome-positive ALL.
- Monoclonal Antibodies: These antibodies target specific proteins on leukemia cells, making them ready for destruction.
- CAR-T Cell Therapy: A type of immunotherapy where T cells are changed to attack leukemia cells.
These new treatments are showing great promise. They help patients with ALL, even when other treatments don’t work or aren’t right.
Acute Lymphoblastic Leukaemia in Adults: Unique Challenges
Adults with Acute Lymphoblastic Leukaemia (ALL) face unique challenges. This cancer is more common in children. But adults with ALL have a different experience.
Why Adult ALL Has Different Outcomes
Adult ALL has different outcomes than childhood ALL. This is because of biological differences and comorbidities in adults. Adults often have a higher risk of complications and can’t handle intensive chemotherapy as well.
The disease in adults can be more aggressive. Certain genetic abnormalities can also affect treatment. Adults may have other health issues, like heart disease or diabetes, that make treatment harder.
Specialized Treatment Approaches for Adults
Researchers and clinicians are working on specialized treatment approaches for adults with ALL. They are creating tailored chemotherapy, targeted therapies, and better ways to manage side effects.
Clinical trials are testing new treatments, like immunotherapies. These studies aim to find more effective and less toxic options. This could improve survival rates and quality of life for adults with ALL.
Understanding the challenges of adult ALL and using new treatments offers hope. There’s a chance to improve survival rates and quality of life for these patients.
Key Fact #5: Survival Rates and Prognostic Factors
The survival chances for Acute Lymphoblastic Leukaemia (ALL) patients depend on several things. These include age, the type of ALL, and how well the treatment works. Thanks to new research and better treatments, more people are living longer with ALL.
Current Five-Year Survival Statistics
Right now, about 73 percent of ALL patients live for five years after diagnosis. This shows that treatments are getting better. But, the survival rate can change a lot based on who the patient is.
Factors That Influence Prognosis
Many things affect how well someone with ALL will do. These include:
- Age: Kids with ALL usually do better than adults.
- Subtype: The type of ALL, like B-cell or T-cell, can change how well treatment works.
- Response to Treatment: If treatment works well at first, the outlook is better.
- Genetic Factors: Some genetic issues can make the disease more aggressive or harder to treat.
| Prognostic Factor | Favorable Prognosis | Poor Prognosis |
| Age | 1-9 years | Adults over 60 |
| Subtype | B-cell ALL with certain genetic features | T-cell ALL with high-risk genetic abnormalities |
| Response to Treatment | Rapid response to initial therapy | Slow or poor response to initial therapy |
Knowing these factors is key to making good treatment plans. It helps doctors tailor care to each patient. This way, they can get the best results possible.
Living with ALL: Managing the Journey
“The journey with ALL is challenging, but with the right support and resources, patients can navigate it more effectively,” as emphasized by healthcare professionals. Managing Acute Lymphoblastic Leukaemia (ALL) involves not just medical treatment but a complete care approach.
Coping with Treatment Side Effects
Treatment for ALL can be tough, leading to side effects like fatigue, nausea, and hair loss. Managing these side effects well is key for a good quality of life. It’s important for patients to talk openly with their healthcare team about their symptoms.
Some ways to deal with side effects include:
- Staying hydrated to reduce side effect risks
- Eating a balanced diet to support health
- Doing gentle exercises, like walking, to fight fatigue
As one patient said,
“The key to managing side effects is being proactive and communicating with your healthcare team.”
Support Resources for Patients and Families
ALL affects not just the patient but also their family and loved ones. Having access to support resources is essential for dealing with the emotional and practical challenges of the diagnosis.
- Counseling services for emotional and psychological needs
- Support groups, online or in-person, to connect with others
- Educational materials and workshops to learn about ALL and its management
By using these resources, patients and their families can handle the diagnosis and treatment of ALL better.
Conclusion: The Future of ALL Treatment and Research
Acute Lymphoblastic Leukaemia (ALL) treatment has made big strides. New targeted therapies and better risk stratification have helped patients. ALL is a rare blood cancer that affects both kids and adults, with different outcomes.
Research has greatly improved our understanding of ALL. We now know more about its subtypes and genetics. This knowledge helps doctors tailor treatments, making them more effective.
Looking ahead, research promises even better treatments for ALL. New targeted therapies and improved treatment plans will likely increase survival rates. This will also improve the quality of life for ALL patients.
The future of ALL treatment is bright, thanks to medical science advances. More research and clinical trials are needed. They will help find new treatments and better outcomes for those with ALL.
FAQ
What is Acute Lymphoblastic Leukaemia (ALL)?
Acute Lymphoblastic Leukaemia (ALL) is a blood cancer. It affects the bone marrow. Here, abnormal cells crowd out healthy ones, causing anemia and other problems.
What are the common signs and symptoms of ALL?
Signs of ALL include fatigue and shortness of breath. You might also notice easy bruising. If these symptoms last, see a doctor.
How is ALL diagnosed?
Diagnosing ALL starts with an initial check-up and blood tests. More tests confirm the disease and its type.
What are the different subtypes of ALL?
ALL has B-cell and T-cell types. There are also genetic and molecular classifications. These help tailor treatment plans.
What are the treatment strategies for ALL?
Treatments for ALL include standard and new targeted therapies. These have improved outcomes, even for adults.
How does ALL affect adults differently than children?
Adults with ALL face unique challenges. They often have poorer outcomes than children. New treatments aim to address these differences.
What is the prognosis for ALL patients?
The prognosis depends on age, subtype, and treatment response. Current survival rates give a clear view of the disease’s outlook.
How can patients cope with the treatment side effects of ALL?
Patients can manage side effects with support. This includes counseling and joining support groups. It helps deal with the disease’s impact.
What is the lifetime risk of developing ALL?
The risk of getting ALL is low. Knowing this helps understand its rarity compared to other cancers.
What are the recent advances in ALL treatment?
New treatments for ALL include targeted therapies. These advances have improved outcomes and are shaping future care.
References:
- Kroft, S. H. (2025). Laboratory Evaluation of Acute Leukemia. In StatPearls. NCBI Bookshelf. https://www.ncbi.nlm.nih.gov/books/NBK611988/