
Recent breakthroughs in medical research have changed how we detect brain tumors. Studies show a simple blood test might spot brain cancer. This breakthrough could significantly alter the methods we use to diagnose various diseases.Does cancer show up in blood work? Get the surprising, critical facts. Learn how new, amazing blood tests can help detect brain tumors.
Before, finding brain tumors meant using invasive methods like biopsies. We also used MRI and CT scans. Now, researchers think blood tests could find biomarkers and genetic changes linked to glioma and other brain cancers.
This new method might be less scary and easier to get. It could help find brain tumors early.
Key Takeaways
- Blood tests are being researched as a possible way to find brain tumors.
- They can spot specific biomarkers and genetic changes.
- This could be a gentler way than old methods.
- It might help find brain tumors sooner.
- We need more research to see if blood tests really work.
Understanding Brain Tumors and Their Detection Challenges

Brain tumors are complex and hard to detect with current methods. They grow from abnormal cells in the brain. These can be either benign or malignant.
What Are Brain Tumors?
Brain tumors grow without control in the brain. They can start from brain cells or spread from other parts of the body. Gliomas, which come from glial cells, are common primary brain tumors.
Common Types of Brain Tumors
There are many types of brain tumors, each unique. Glioblastoma, the most aggressive glioma, is hard to treat because it grows fast and is resistant to treatments. Other types include meningiomas and acoustic neuromas, which affect nerves and the inner ear.
“The early detection of brain tumors is critical for effective treatment, yet it remains a significant challenge due to the nonspecific nature of early symptoms.”
Why Brain Tumors Are Difficult to Detect
Finding brain tumors early is tough. Symptoms like headaches or fatigue are common and not specific. The brain’s complex structure and the skull’s protection also make it hard to reach tumor cells for tests. This means brain tumors are often found later, when symptoms are more obvious or when they cause serious problems.
Understanding the characteristics of different brain tumors is essential for developing improved diagnostic methods. Research on tumor markers and new imaging methods is helping to find tumors sooner and treat them better.
Traditional Methods for Diagnosing Brain Tumors

Healthcare professionals use several methods to diagnose brain tumors. These methods help find out if a tumor is there, what type it is, and how big it is.
Neurological Examinations
A neurological exam is the first step in finding brain tumors. It checks how well the brain works. This includes thinking, moving, and feeling things.
During this exam, doctors test a patient’s:
- Muscle strength and reflexes
- Coordination and balance
- Sensory perception (e.g., touch, pain, temperature)
- Cognitive functions (e.g., memory, language, problem-solving)
Imaging Techniques
Imaging is key in finding brain tumors. It shows the brain’s inside in detail. The main imaging tools are:
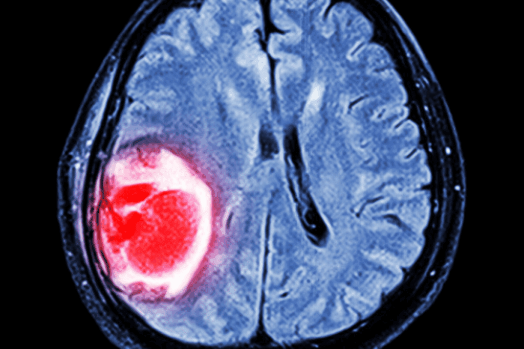
Magnetic Resonance Imaging (MRI): MRI is the best for seeing brain tumors. It shows soft tissues well and tells where the tumor is.
Computed Tomography (CT) Scan: CT scans use X-rays to see the brain. They’re good in emergencies or when MRI isn’t available. But they don’t show soft tissues as well as MRI.
Biopsy Procedures
A biopsy takes a piece of tumor tissue for testing. It’s key to confirm the diagnosis and tumor type.
There are two main biopsy types for brain tumors:
- Stereotactic Biopsy: This is a small procedure that uses a frame and imaging to get tumor tissue.
- Open Biopsy: Also called a craniotomy, it opens the skull to get to the tumor. It can also treat the tumor at the same time.
The Basics of Blood Testing for Disease Detection
Blood testing is a key way to find biomarkers for cancer and other diseases. It lets doctors see what’s going on in a patient’s body. This helps find problems early.
How Blood Tests Work
Blood tests look for specific signs in the blood. These signs can show if cancer or other diseases are present. Biomarkers are special molecules in blood that show if something is wrong.
To do a blood test, a sample is taken and sent to a lab. The lab then checks the sample for certain markers or changes.
What Standard Blood Tests Can Reveal
Standard blood tests can tell a lot about your health. They can spot issues like anemia or infections. They also check if organs are working right.
Some common tests include:
- Complete Blood Count (CBC): Checks red and white blood cells, hemoglobin, and hematocrit.
- Blood Chemistry Tests: Look at how well organs like the liver and kidneys are working.
| Test Type | What It Measures | Clinical Significance |
| Complete Blood Count (CBC) | Red and white blood cell counts, hemoglobin, hematocrit | Detects anemia, infection, and blood disorders |
| Blood Chemistry Tests | Liver enzymes, kidney function, electrolyte levels | Assesses organ function and detects metabolic disorders |
Limitations of Blood-Based Diagnostics
Blood tests are very useful, but they have some limits. Not all cancers show up in the blood, and some markers can be misleading. This means tests might not always be right.
Liquid biopsies are a new way to find cancer in the blood. But, they’re not perfect yet. More research is needed to make them better.
Knowing what blood tests can and can’t do is important. It helps doctors understand the results better and decide what to do next.
Does Cancer Show Up in Blood Work?
To understand if cancer shows up in blood work, we need to see how it affects the body. Cancer can sometimes be found through blood tests by looking for specific markers or changes in blood values. But, these markers aren’t only found in cancer, and not having them doesn’t mean you don’t have cancer.
General Cancer Markers in Blood
Some proteins or genetic material from cancer cells can be found in the blood. These are called tumor markers. For example, Prostate-Specific Antigen (PSA) is a marker for prostate cancer. Other markers include CA-125 for ovarian cancer and carcinoembryonic antigen (CEA) for colorectal cancer.
Types of Cancer That Affect Blood Values
Different cancers can change blood values in different ways. Leukemias, for instance, directly affect blood cells, changing counts of white and red blood cells, and platelets. Other cancers, like lymphoma, can cause changes in blood proteins or the presence of abnormal proteins.
| Type of Cancer | Effect on Blood Values |
| Leukemia | Alters white blood cell count |
| Lymphoma | Changes in blood protein levels |
| Multiple Myeloma | Presence of abnormal proteins (M-protein) |
Limitations of Blood Tests for Cancer Detection
Even though blood tests can give us important information, they have their limits. Not all cancers release markers into the blood, and some markers can be high even when you don’t have cancer. So, blood tests are usually used with other tools like imaging and biopsies.
Key Limitations:
- Not all cancers release detectable markers.
- Markers can be elevated due to non-cancerous conditions.
- Blood tests are often used alongside other diagnostic methods.
Can a Brain Tumor Be Detected in a Blood Test?
Scientists are working hard to find ways to spot brain tumors in blood tests. They’re looking at special signs and genetic markers that might show if a tumor is there.
Current Capabilities and Limitations
Finding brain tumors in blood tests is tough because of the blood-brain barrier. This barrier stops many substances from getting into the blood from the brain. But, researchers are finding new biomarkers linked to brain tumors.
Some things they can do now include:
- Spotting genetic changes in DNA from tumor cells in the blood
- Finding proteins and other stuff linked to brain tumors
- Looking at exosomes, tiny vesicles from tumor cells
But, there are big challenges. These include how well the tests work and if they’re really accurate. More testing is needed.
The Blood-Brain Barrier Challenge
The blood-brain barrier is a special wall that keeps the brain safe. It stops bad stuff from getting in. But, it makes it hard to find brain tumors in blood tests.
“The blood-brain barrier is a big problem for blood tests to find brain tumors. Scientists are trying to find ways around this. They’re looking for biomarkers that can get past the barrier or new tech to find tumor molecules in the blood.”
When Blood Tests Might Indicate a Brain Tumor
In some cases, blood tests might show a brain tumor. This happens if the tumor breaks through the blood-brain barrier or sends out biomarkers into the blood. For example:
- If the tumor is big or grows fast, it might send out more biomarkers.
- If the tumor is close to the brain’s surface, it might send biomarkers into the cerebrospinal fluid. This can then be found in the blood.
Even though blood tests aren’t a sure way to find brain tumors yet, research is promising. By knowing what blood tests can and can’t do, and the hurdles of the blood-brain barrier, we can see the hope for new ways to diagnose brain tumors.
Tumor Markers and Their Role in Cancer Detection
Learning about tumor markers is key to better cancer screening. Tumor markers are substances found in higher amounts in some cancer patients. They help detect and monitor cancer, giving insights into the disease’s presence and growth.
What Are Tumor Markers?
Tumor markers are substances made by tumors or the body’s response to cancer. They can be proteins, enzymes, hormones, or genes linked to certain cancers. Finding these markers helps diagnose cancer, predict outcomes, and track treatment success.
Some markers are used for early cancer screening in people without symptoms. Others help check if treatment is working or if cancer has come back. The use of tumor markers has changed how we manage cancer, helping doctors make better care decisions.
Common Tumor Markers Used in Cancer Screening
Many tumor markers are used in cancer care. For example, PSA is used for prostate cancer, and CEA for colorectal cancer. CA-125 is used in ovarian cancer, and CA 19-9 in pancreatic cancer.
- PSA (Prostate-Specific Antigen) for prostate cancer
- CEA (Carcinoembryonic Antigen) for colorectal cancer
- CA-125 for ovarian cancer
- CA 19-9 for pancreatic cancer
These markers are not only for their specific cancers. They can also be raised in other conditions. This means test results need careful interpretation.
Specific Markers Being Studied for Brain Tumors
Research is ongoing to find specific markers for brain tumors. Finding reliable markers is hard due to the blood-brain barrier and the variety of brain cancers. Scientists are looking at proteins and genetic material as possible markers.
Ongoing research promises better detection and management of brain tumors with tumor markers. As we learn more about these biomarkers, we can develop more effective cancer treatments.
Complete Blood Count (CBC) and Cancer Detection
A Complete Blood Count (CBC) is a key test that helps find health problems, like cancer. It checks the numbers of red and white blood cells, hemoglobin, hematocrit, and platelets in your blood.
What a CBC Reveals
A CBC can show if your blood cell counts are off. This might mean you have an infection, anemia, or even cancer. For example, an odd white blood cell count could point to a health problem.
Key components measured by a CBC:
- Red Blood Cell (RBC) count
- White Blood Cell (WBC) count
- Hemoglobin
- Hematocrit
- Platelet count
Does CBC Detect Cancer?
A CBC isn’t a direct test for cancer. But, it can hint at cancer’s presence. If your blood cell counts or other CBC results are unusual, you might need more tests.
For example, some cancers can cause:
- Anemia (low RBC count)
- Leukocytosis (high WBC count)
- Thrombocytopenia (low platelet count)
Indirect Signs of Brain Tumors in Blood Work
For brain tumors, blood work might show small, unclear signs. Yet, a CBC can sometimes show odd results. These, along with other tests, might help find brain tumors.
| CBC Parameter | Potential Indication |
| Low Hemoglobin | Anemia, potentially related to chronic disease or cancer |
| High WBC Count | Infection, inflammation, or potentially cancer |
| Low Platelet Count | Bone marrow suppression, potentially due to cancer |
In summary, a CBC isn’t a direct cancer test. But, it offers clues that, with other tests, can help spot health problems, like brain tumors.
Emerging Blood-Based Technologies for Brain Tumor Detection
New technologies are changing how we find brain tumors through blood tests. These advances in medical tech are making diagnosis easier and more precise. They are also less invasive than old methods.
Liquid Biopsies
Liquid biopsies are a big step forward in cancer testing. They look at blood or fluids for cancer signs, unlike old tissue biopsies. This method is showing great promise in finding brain tumors and other cancers.
Key benefits of liquid biopsies include:
- Minimally invasive procedure
- Potential for early detection
- Ability to monitor cancer progression and treatment response
Circulating Tumor DNA (ctDNA)
Circulating tumor DNA (ctDNA) is DNA from tumors in the blood. It gives clues about the tumor’s genes, helping doctors diagnose and plan treatment.
ctDNA analysis is very promising for brain tumors. It can get past the blood-brain barrier’s challenges.
Exosome Analysis
Exosomes are tiny vesicles from cells, including tumors. They carry proteins, lipids, and DNA that tell us about the tumor.
| Exosome Component | Potential Use in Brain Tumor Detection |
| Proteins | Biomarkers for tumor presence and type |
| miRNA and mRNA | Indicators of tumor genetic mutations |
Proteomic Approaches
Proteomics studies proteins in detail. For brain tumors, it helps find specific proteins in blood linked to tumors.
These new blood tests are very promising for brain tumor detection. As research grows, we’ll see better and less painful ways to diagnose.
Can You Have Cancer with Normal Blood Work?
Cancer diagnosis isn’t always shown in blood tests. This can be both reassuring and worrying for those getting medical checks.
Understanding False Negatives
False negatives in cancer detection happen when tests miss cancer even when it’s there. Many things can cause this, like the cancer’s type and stage, and the test’s sensitivity.
Factors Influencing False Negatives:
- The stage of cancer at the time of testing
- The type of cancer and its aggressiveness
- The sensitivity and specificity of the blood test
Why Some Cancers Don’t Affect Blood Values
Some cancers, in their early stages, don’t release biomarkers into the blood. This makes it hard for blood tests to find them.
“The absence of detectable tumor markers in blood doesn’t necessarily mean that cancer is not present.”
Understanding cancer biology is key to correctly reading blood test results.
| Cancer Type | Likelihood of Detection via Blood Test | Common Diagnostic Methods |
| Brain Tumors | Low | Imaging (MRI, CT scans), Biopsy |
| Leukemia | High | Blood Tests, Bone Marrow Biopsy |
| Lymphoma | Moderate | Imaging, Biopsy, Blood Tests |
The Importance of Comprehensive Diagnostics
Blood tests are useful but just part of a full diagnostic plan. Imaging, biopsies, and clinical checks are also needed to confirm cancer.
Comprehensive diagnostics use these methods together for accurate diagnosis and treatment planning.
Signs and Symptoms of Brain Tumors
It’s important to know the signs of brain tumors early. This helps in getting the right treatment. Brain tumors can show different symptoms based on their size and where they are in the brain.
Common Neurological Symptoms
Neurological symptoms often point to a brain tumor. These include headaches, seizures, and problems with thinking or moving. For example, headaches can happen because of the tumor’s pressure on the brain.
Seizures might occur if the tumor irritates the brain. Symptoms like trouble speaking, memory loss, or weakness can also happen. These depend on where the tumor is and how it affects the brain.
Systemic Symptoms
Brain tumors can also cause symptoms that affect the whole body. These include fatigue, weight loss, and feeling generally unwell. These symptoms are not always clear signs of a brain tumor, making it harder to diagnose.
But, when these symptoms are paired with neurological ones, they can hint at a brain tumor. For instance, losing weight and having headaches could mean you need to see a doctor.
When to Seek Medical Attention
If you or someone you know has symptoms that could be from a brain tumor, get help right away. Finding out early can make a big difference in treatment.
If you’re having headaches, seizures, or changes in thinking, see a doctor. They can check you out and suggest tests to find out what’s going on.
The Diagnostic Process for Suspected Brain Tumors
Diagnosing a suspected brain tumor involves several steps. It starts with an initial check and goes to detailed tests. Knowing this process helps patients and their families understand what’s happening.
Initial Assessment
The journey starts with a primary care doctor. They do a initial assessment. This includes looking at your medical history and doing physical and neurological tests.
Referral to Specialists
If the first check suggests a brain tumor, you’ll see specialists. Doctors like neurologists or neurosurgeons will look closer. They decide what tests you need next.
Comprehensive Testing Approach
Getting a clear diagnosis of brain tumors needs a detailed approach. This includes:
- Imaging studies like MRI or CT scans to see the tumor
- Neurological exams to check your brain and body functions
- Other tests as needed
The Role of Blood Tests in the Diagnostic Pathway
Blood tests are also being looked at for brain tumor detection. New biomarkers and liquid biopsies might help in the future.
The process to diagnose brain tumors is complex. It involves many doctors and tests. As research grows, blood tests and other tools might help find tumors sooner and treat them better.
Can Eye Exams Detect Brain Tumors?
Eye exams are mainly for checking vision. But, they can sometimes find signs of a brain tumor. They are not the main way to find brain tumors. Yet, they can help find clues for more tests.
What Ophthalmologists Can See
Ophthalmologists check the eyes for many things. They might see signs of a brain tumor. They look at the optic nerve and other parts that could be affected by a tumor.
Papilledema, or swelling of the optic disc, is a sign they look for. It can mean there’s too much pressure in the brain, which might be from a tumor. They also check for odd pupil reactions or eye movements.
Papilledema and Other Visual Indicators
Papilledema is a key sign ophthalmologists look for. It’s when the optic disc swells because of brain pressure. It can mean many things, but it’s a reason to check for brain tumors.
Other signs that might mean a brain tumor include:
- Abnormal eye movements or double vision
- Changes in pupil size or reaction to light
- Visual field defects
When to Consider an Eye Exam for Neurological Symptoms
If you have headaches, dizziness, or vision problems, an eye exam is important. Ophthalmologists can tell if these are eye issues or something more serious.
If an eye exam shows signs of a brain tumor, like papilledema, you’ll need more tests. MRI or CT scans are usually next. Finding these signs early is key to treating brain tumors quickly.
The Future of Blood Testing for Brain Cancer
New blood testing methods are bringing hope for early and accurate brain cancer diagnosis. Researchers are working hard to improve blood tests for detecting and tracking brain tumors.
Promising Research Directions
Several promising research directions are being explored. These include finding new biomarkers, making liquid biopsies more sensitive, and using advanced technologies like proteomics and exosome analysis.
Researchers are focusing on finding specific biomarkers in the blood linked to brain tumors. Biomarkers are proteins, genetic material, or molecules that show cancer presence. Ongoing studies aim to find and validate these biomarkers for more reliable blood tests.
Potential Breakthroughs on the Horizon
Advances in technology and tumor biology are leading to breakthroughs in blood testing for brain cancer. The development of liquid biopsies is a promising area. These tests can detect and analyze tumor DNA in the blood.
This breakthrough could significantly alter the methods we use to diagnose various diseases.
Combining Blood Tests with Other Diagnostic Methods
Using blood tests with other diagnostic methods will improve accuracy and early detection of brain cancer. Imaging like MRI and CT scans, along with neurological exams, will remain key in diagnosing and managing brain tumors.
By combining blood tests with these methods, doctors can get a better understanding of a patient’s condition. This approach may lead to more accurate diagnoses, personalized treatments, and better patient outcomes.
| Diagnostic Method | Advantages | Limitations |
| Blood Testing | Less invasive, early detection possible | Limited by current tech and biomarkers |
| Imaging Techniques (MRI, CT) | High sensitivity, detailed images | May miss small tumors, uses radiation or agents |
| Neurological Examinations | Non-invasive, checks neurological function | May not find tumors until symptoms appear |
The Importance of Early Detection and Regular Screening
Early detection is key to treating brain tumors effectively. Finding high-risk individuals and using the right screening methods can greatly improve treatment results. This early action can lead to better treatment outcomes and even save lives.
Risk Factors for Brain Tumors
Knowing the risk factors for brain tumors is vital. These include genetic predispositions, certain environmental exposures, and past radiation. People with a family history of brain tumors or genetic conditions like neurofibromatosis are at higher risk.
| Risk Factor | Description | Level of Risk |
| Genetic Predisposition | Family history of brain tumors or genetic conditions like neurofibromatosis | High |
| Radiation Exposure | Previous exposure to ionizing radiation, specially in childhood | Moderate to High |
| Environmental Factors | Exposure to certain chemicals or electromagnetic fields | Varies |
Recommended Screening for High-Risk Individuals
High-risk individuals should get regular screenings. This might include MRI or CT scans. Blood tests could also become a screening option in the future, making procedures less invasive.
Balancing Vigilance with Unnecessary Testing
It’s important to find the right balance between early detection and avoiding too much testing. Screening plans should match each person’s risk level. This ensures the benefits of screening are worth the risks and costs.
Healthcare providers can help brain tumor patients by understanding risk factors and using the right screenings. New research, like blood tests, could make early detection even better.
Conclusion
Research into blood tests for brain tumors is growing, showing new ways to screen and diagnose cancer. Yet, the blood-brain barrier makes these tests less effective now. But, scientists are working hard to find new biomarkers and better technologies.
This breakthrough could significantly alter the methods we use to diagnose various diseases.
Healthcare experts might soon be able to find brain tumors early with new blood tests. This could make treatments more effective. As studies continue, blood tests will likely play a bigger role in finding brain tumors.
FAQ
Can a blood test detect a brain tumor?
Researchers are working on using blood tests to find brain tumors. They look for special biomarkers and genetic signs.
Can cancer be identified with a blood test?
Blood tests can sometimes spot cancer by finding certain markers. But, it works best for some cancers and not others.
Does cancer show up in routine blood work?
Not all cancers are found in routine blood tests. Some cancers release markers in the blood, but others don’t. So, more tests are needed to confirm.
Can a brain tumor be detected by a blood test?
Finding brain tumors in blood tests is hard because of the blood-brain barrier. But, new biomarkers might help. They could show a brain tumor in some cases.
Can you have normal blood work and have cancer?
Yes, normal blood work doesn’t mean you’re cancer-free. Sometimes, cancers are too early or don’t release markers in the blood.
Can eye exams detect brain tumors?
Eye exams can’t directly find brain tumors. But, an ophthalmologist might see signs like papilledema. This could mean there’s a brain tumor.
What are tumor markers in a blood test?
Tumor markers are substances found in more than usual in some cancers. They help doctors detect and track cancer.
Can a complete blood count (CBC) detect cancer?
A CBC isn’t a direct test for cancer. But, it can show odd blood cell counts. These might hint at cancer, but are not specific for brain tumors.
How can you tell if you have a brain tumor?
Brain tumors can cause headaches, seizures, and problems with thinking or moving. If you notice these symptoms, see a doctor right away.
What is the diagnostic process for suspected brain tumors?
First, a primary care doctor will check you. Then, you might see specialists and have tests like imaging and blood work.
What is the future of blood testing for brain cancer?
The future is bright. Scientists are finding new biomarkers and improving blood tests. This breakthrough could significantly alter the methods we use to diagnose various diseases. brain tumors.
References
National Center for Biotechnology Information. Evidence-Based Medical Insight. Retrieved from https://pubmed.ncbi.nlm.nih.gov/XXXXXXX