Every parent remembers when something seemed ‘off.’ For many, the first signs of leukemia were the start of an unexpected journey. Leukemia is the most common cancer in kids, making up about 30% of all pediatric cancers.

It’s vital to spot leukemia symptoms in kids early. Parents should look out for signs like fatigue, pale skin, and unexplained bruises. This ensures kids get the medical help they need quickly.
Key Takeaways
- Leukemia is the most common cancer in children.
- Early recognition of symptoms is key for timely medical care.
- Common symptoms include fatigue, pallor, and unexplained bruising.
- Parents should know these signs to get their child the right care.
- Understanding leukemia symptoms can lead to better outcomes.
Understanding Childhood Leukemia
Childhood leukemia is a serious condition that affects many families. It’s important to know the basics to catch it early and treat it. Leukemia is a cancer that starts in the bone marrow’s blood cells. It messes up the production of blood, causing health problems.
What is Leukemia Cancer?
Leukemia cancer means too many bad white blood cells in the bone marrow. These cells stop normal blood cells from being made. This can cause anemia, infections, and bleeding problems.

Prevalence in Children
Leukemia is the top cancer in kids, making up a big part of childhood cancer cases. Acute lymphoblastic leukemia (ALL) is the most common, making up 80% of cases. Knowing about leukemia helps find it early and treat it well.
Types of Childhood Leukemia
There are many types of leukemia in kids, but ALL is the most common. Other types include AML, CLL, and CML, but these are rarer in children. Each type needs its own treatment plan.
Acute Lymphoblastic Leukemia (ALL) is the most common, with fast-growing immature lymphocytes. Acute Myeloid Leukemia (AML) is another aggressive type that needs quick treatment. Knowing the type of leukemia is key to the right treatment.
The Most Common Signs of Leukemia in Children
The first signs of leukemia in kids can be hard to spot. They often look like other common childhood illnesses. This makes it tough for parents to know if their child is really sick.
Statistical Overview of First Symptoms
About 60-70% of kids with leukemia start with vague symptoms. These can include feeling very tired, looking pale, and getting bruises or bleeding easily. These signs are often thought to be from something else, so it’s key for parents to watch closely and get medical help if they don’t go away.
Studies show that the first signs of leukemia in kids often involve a drop in blood cells. This can lead to anemia, causing tiredness and paleness. It can also cause easy bruising and bleeding, and make kids more likely to get sick.
Why Early Symptoms Are Often Overlooked
Early leukemia symptoms are often missed because they can look like other, less serious problems. For example, a child might be thought to have anemia or a viral infection before leukemia is found. Symptoms like bone pain or tiredness can also be seen as just growing pains or too much activity.
It’s very important for parents and doctors to keep an eye on these symptoms. If a child keeps feeling tired, gets fevers that won’t go away, or bruises easily without a reason, they need to be checked out more closely.
Fatigue and Pallor: Silent Warning Signs
Fatigue and pallor are important early signs of leukemia in kids. These symptoms often point to anemia, a condition where there are fewer red blood cells or less hemoglobin.
Understanding Abnormal Tiredness
Children with leukemia often feel abnormally tired. This tiredness doesn’t go away with rest. It’s because leukemia stops the bone marrow from making enough red blood cells. This means less oxygen gets to the body’s tissues and organs.
Key points about fatigue in leukemia:
- It’s persistent and not relieved by rest.
- It can interfere with daily activities.
- It’s often accompanied by other symptoms like pallor.
When Paleness Should Concern Parents
Pallor, or paleness, is another early sign of leukemia. It shows anemia, caused by not enough red blood cells. Parents should worry if their child looks very pale, and this is with other signs of illness.
How These Symptoms Relate to Blood Cell Production
Leukemia messes with the bone marrow’s job to make blood cells. Leukemia cells take over, leaving less room for normal cells. This means kids might get anemia, infections, and easy bruising or bleeding.
Understanding the impact of leukemia on blood cell production is key:
- Reduced red blood cell production leads to anemia.
- Insufficient white blood cells increase the risk of infections.
- Low platelet counts can cause bruising and bleeding.
Spotting these signs early can help parents get their kids checked sooner. This could lead to an earlier diagnosis and treatment of leukemia.
Unexplained Bruising and Bleeding
Leukemia in children often shows up as unexplained bruising and bleeding. These symptoms need quick medical help. They can be scary for parents, as they seem to come out of nowhere.
Why Bruising Occurs in Leukemia
Bruising and bleeding in leukemia patients mainly happen because of low platelet counts. This is called thrombocytopenia. The bone marrow, where platelets are made, gets filled with leukemia cells. This messes up blood cell production.
So, the body doesn’t have enough platelets to stop bleeding. This leads to easy bruising and bleeding that won’t stop.

Leukemia Tiny Red Spots on Skin (Petechiae)
One sign of bleeding in leukemia is tiny red spots on the skin, called petechiae. These spots are small bleeds under the skin because of low platelets. Petechiae are a big warning sign of leukemia, showing a big drop in platelet count.
“The presence of petechiae can be a sign of a serious underlying condition like leukemia,” says Dr. [Last Name], a pediatric oncologist. “Early recognition of these symptoms can lead to timely diagnosis and treatment.”
Knowing why bruising and bleeding happen in leukemia is key for early action. By spotting these signs and getting medical help fast, parents can help their child get diagnosed and treated sooner.
Persistent Fevers and Frequent Infections
Recurring illnesses in kids might mean there’s a bigger problem, like leukemia. Leukemia weakens the immune system, making kids more likely to get sick. We’ll look at how leukemia affects the immune system and what signs parents should watch for.
The Immune System Connection
Leukemia harms the bone marrow, where white blood cells are made. Kids with leukemia have fewer healthy white blood cells. This makes them more likely to get infections. Frequent fevers and infections show the body’s weakened defense. Knowing this helps spot leukemia signs.
How Infections Manifest Differently in Children with Leukemia
In kids with leukemia, infections can be worse or happen more often. These infections show the immune system isn’t working right. For example, they might get recurring respiratory or skin infections. Spotting these signs early is key to catching leukemia.
Parents should keep an eye on their child’s health. If they notice a pattern of severe or recurring infections, they should get medical help. Early treatment of leukemia can greatly improve a child’s chances.
Bone and Joint Pain in Childhood Leukemia
Children often feel bone and joint pain. Sometimes, this pain is a sign of leukemia. Up to 25-30% of kids with leukemia have bone pain because of bone marrow issues.
Affecting the Skeletal System
Leukemia harms the skeletal system by filling the bone marrow. This can cause bone and joint pain. Bone pain shows leukemia might be affecting blood cell production.
Distinguishing Growing Pains from Leukemia Pain
Growing pains are common in kids and usually happen in the legs at night. But, it’s hard to tell if it’s growing pains or leukemia pain. Leukemia pain lasts longer and might come with other signs like tiredness or easy bruising.
If your child has ongoing bone or joint pain, see a doctor. They can check if it’s something serious.
Night Pain and Its Significance
Night pain is a big warning sign. While growing pains might stop at night, leukemia pain can keep going. Night pain that doesn’t go away should be checked out.
Knowing about bone and joint pain in kids is key for parents. Spotting signs of leukemia, like constant pain, can help get early treatment.
Recognizing the Signs of Leukemia in Different Age Groups
The signs of leukemia in kids change with age. Knowing these differences is vital for quick medical help. Leukemia, a blood and bone marrow cancer, shows up differently in children of different ages. It’s important for parents and caregivers to understand these age-related differences.
School-Age Children
School-age kids, aged 6 to 12, have specific signs of leukemia. At this age, kids can talk more about their symptoms. This helps in catching the disease early.
Some common signs in school-age children include:
- Unexplained fatigue: Persistent tiredness that doesn’t improve with rest.
- Bruising or bleeding: Easy bruising, nosebleeds, or bleeding gums.
- Frequent infections: Recurring infections that don’t respond well to treatment.
- Bone or joint pain: Pain in the bones or joints, which can sometimes be mistaken for growing pains.
Parents should watch for these symptoms and see a doctor if they notice anything unusual. Early detection is key to better treatment outcomes.
It’s important to remember that these symptoms can also mean other things. A full medical check-up is needed to find out the cause.
By knowing the signs of leukemia in school-age children, we can help them get the care they need quickly. This ensures they receive the best medical attention possible.
Less Common but Important Cancer Childhood Symptoms
Leukemia in children can show itself in many ways, not just the usual signs. While we often hear about fatigue and bruising, there are other signs to watch for. These signs can mean leukemia is present.
Swollen Lymph Nodes
Swollen lymph nodes can be a sign of leukemia. These nodes are in the neck, armpits, and groin. They get bigger as the body fights the disease. If you notice any unusual swelling, see a doctor right away.
Abdominal Pain and Swelling
Leukemia can also cause pain and swelling in the belly. This happens when cancer cells build up in the spleen or liver. If your child has ongoing belly pain, it’s important to find out why.
Headaches and Neurological Symptoms
Leukemia can sometimes affect the brain, causing headaches, seizures, or other brain problems. These symptoms are serious and need quick medical help. If your child has sudden or bad headaches, get them checked by a doctor.
Weight Loss and Decreased Appetite
Leukemia can also make your child lose weight or eat less. As the disease gets worse, it can make it hard to keep weight on. Watching how much your child eats and their weight can help spot problems early.
Spotting these less common symptoms of leukemia is key to catching it early. If you see any of these signs in your child, talk to a doctor right away.
What Leads to Leukemia: Understanding Risk Factors
The exact cause of leukemia is not fully understood. But, research has found several key risk factors. Knowing these can help us understand the disease better and maybe lower the risk of getting it.
Genetic Predispositions
Some genetic conditions raise the risk of leukemia. For example, people with Down syndrome are more likely to get acute leukemia. Other genetic disorders, like Leukemia, also increase the risk.
Genetic predispositions are a big part of leukemia. Studies show that certain genetic mutations can mess with blood cell production, leading to leukemia.
Environmental Exposures
Some environmental factors can raise the risk of leukemia. Ionizing radiation can damage DNA in cells, possibly leading to leukemia. Exposure to chemicals like benzene also increases the risk.
The Question of “How Do You Get Leukemia?”
The question of how to get leukemia is complex. It involves both genetic and environmental factors. By understanding these, we can work towards early detection and maybe lower leukemia cases.
It’s important to remember that most people with risk factors won’t get leukemia. And many people with leukemia don’t have clear risk factors. This shows we need more research into leukemia causes.
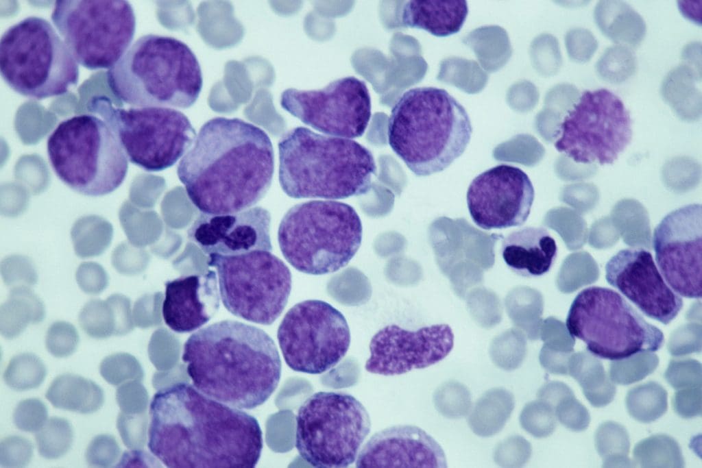
Early Signs of Leukemia in Blood Work
Knowing the early signs of leukemia in blood work is key for parents and doctors. Blood tests can show if there are problems with blood cell counts. This might mean leukemia is present.
Common Laboratory Findings
Leukemia can show up in blood tests. Look out for:
- Anemia: Fewer red blood cells can make you tired and pale.
- Thrombocytopenia: Low platelets can cause bruises and bleeding.
- Leukocytosis: Too many white blood cells might mean leukemia.
These signs aren’t just for leukemia. They can also mean other health issues. But if they show up, more tests are needed to find out why.
When Doctors Order Blood Tests
Doctors might test your blood for many reasons. This includes:
- Regular check-ups to catch problems early.
- Signs like constant tiredness, bruises, or infections that don’t go away.
These tests are vital for catching leukemia early. They can lead to more tests if something looks off.
Understanding Your Child’s Blood Results
Getting your child’s blood test results can be scary. It’s important to know what they mean:
- Complete Blood Count (CBC): This test checks different blood cells. Odd results can point to leukemia or other issues.
- Further Testing: If the first results are weird, more tests like bone marrow biopsies might be needed to confirm a diagnosis.
Doctors will explain the results in detail. They’ll also tell you what to do next if more tests are needed.
From Symptom to Diagnosis: The Journey
Learning about the steps to diagnose childhood leukemia can help parents during tough times. The path from first symptoms to diagnosis has many important steps.
Initial Doctor Visits
When kids show signs like tiredness, bruises, or constant fevers, a doctor visit is needed. “Parents should listen to their gut if they think something’s off,” says Dr. Jane Smith, a pediatric oncologist. At the first visit, the doctor will do a physical check and ask about the child’s health history.
Diagnostic Procedures
To find out if leukemia is present and what type it is, several tests are done. Key tests include:
- Blood Tests: To see if there are abnormal blood cell levels.
- Bone Marrow Aspiration: To look for leukemia cells in the bone marrow.
- Imaging Studies: Like X-rays or CT scans to check for leukemia in other parts of the body.
Coping with the Diagnostic Process
Dealing with the diagnostic process can be hard for families. It’s important to get help from doctors, family, and friends. “Having people to support you can really help,” says a support group leader.
Preparing Your Child for Medical Tests
It’s key to prepare kids for the tests needed to diagnose leukemia. Explaining things in a way they can understand can help them feel less scared. “Talking clearly and honestly about what will happen can make kids feel safer,” says a child psychologist.
As families go through the journey from symptoms to diagnosis, staying informed and supported is vital. Knowing about the tests and having a strong support system can make a big difference.
“The diagnosis of leukemia is just the beginning of a journey. With the right care and support, many children go on to lead healthy, fulfilling lives.” – Dr. John Doe, Pediatric Oncologist
Conclusion: Taking Action When You Notice Symptoms
It’s very important to spot the signs of leukemia in kids early. Symptoms like tiredness, unexplained bruises, and constant fevers might mean leukemia. Parents should watch closely and act fast if they see these signs.
Spotting leukemia early can really help kids get better faster. Knowing the signs and acting quickly can make a big difference. If you think your child might be sick, talk to a doctor right away.
Acting fast when you see symptoms is key. This way, your child can get the care they need quickly. Keep up to date with the signs and take care of your child’s health.
FAQ
What are the first symptoms of leukemia in children?
Early signs of leukemia in kids can be tricky to spot. They might feel very tired, look pale, or have unexplained bruises. They might also get sick a lot. It’s important to watch for these signs and get medical help fast.
What is leukemia cancer?
Leukemia is a cancer that messes with the blood and bone marrow. It makes too many bad blood cells. There are two main kinds: Acute Lymphoblastic Leukemia (ALL) and Acute Myeloid Leukemia (AML).
How do you get leukemia?
We don’t know all the reasons why people get leukemia. But some things can make it more likely. Things like genes and some things in the environment play a part. We’re learning more about it.
What are the signs of leukemia in kids?
Kids with leukemia might feel really tired, look pale, or have bruises without reason. They might also have tiny red spots on their skin, get sick a lot, or hurt their bones and joints. Swollen lymph nodes are another sign. If you see any of these, see a doctor right away.
What are the symptoms of leukemia in children?
Kids with leukemia might feel tired, look pale, or bruise easily. They might also bleed a lot, get sick often, or hurt their bones and joints. Losing weight is another sign. Watching for these and getting help is key.
How does leukemia affect the production of blood cells?
Leukemia messes with the bone marrow, where blood cells are made. It makes too many bad white blood cells and not enough good ones. This can lead to anemia, easy bruising, and infections.
What are the early signs of leukemia in blood work?
Blood tests might show early signs of leukemia. Look for anemia, low platelet count, and too many white blood cells. These signs can mean leukemia is present.
How is leukemia diagnosed?
Doctors use a few ways to find leukemia. They check the body, do blood tests, and take bone marrow samples. These help figure out if leukemia is there and what kind it is.
What are the risk factors for leukemia?
Some things can increase the chance of getting leukemia. These include genes, some environmental exposures, and past treatments like chemotherapy. Knowing these can help us spot who’s at higher risk.
Can leukemia be treated?
Yes, leukemia can be treated. Doctors use chemotherapy, targeted therapy, and sometimes bone marrow transplants. The treatment plan depends on the leukemia type, stage, and the child’s health.
How can I prepare my child for medical tests?
To help your child with tests, explain them in simple terms. Let them know it’s okay to feel scared or uncomfortable. Being there and supporting them can make a big difference.
References
- American Cancer Society. (2020). Leukemia in children.