Written by
Aslı Köse
Aslı Köse Liv Hospital Content Team
Medically reviewed by
Spec. MD. Serdar Kızılkaya Spec. MD. Serdar Kızılkaya Geriatrics
...
Views
Read Time
End Stage Cerebral Amyloid Angiopathy

Cerebral Amyloid Angiopathy (CAA) is a serious condition that affects the blood vessels in the brain. It leads to a significant decline in neurological function. It’s important for patients and their families to understand how CAA progresses and its impact end stage cerebral amyloid angiopathy.

CAA goes through several stages over 20 to 30 years. It causes severe cognitive and motor impairments. Thanks to new neuroimaging and care approaches, managing symptoms and improving life quality have become better.

Key Takeaways

  • CAA is a progressive cerebrovascular disease with significant impact on life expectancy.
  • Understanding the stages of CAA is key for managing symptoms and improving life quality.
  • Advances in neuroimaging have improved diagnosis and treatment.
  • Multidisciplinary care is vital for the best patient outcomes.
  • Prognosis varies based on the stage and severity of CAA.

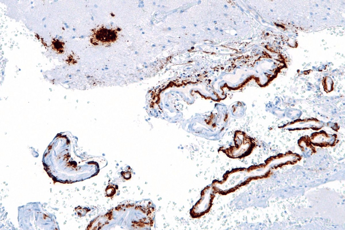
Understanding Cerebral Amyloid Angiopathy (CAA)

word image 256165 2 LIV Hospital

CAA is when amyloid proteins build up in brain blood vessel walls. This leads to cognitive decline and neurological symptoms, mainly in older adults.

Definition and Pathophysiology

Cerebral Amyloid Angiopathy is when amyloid proteins gather in brain blood vessels. This makes blood vessel walls weak, raising the risk of rupture and bleeding. The condition involves complex interactions between amyloid proteins and the brain’s vascular system.

The buildup of amyloid proteins in CAA harms normal blood flow to brain tissues. This can cause ischemic damage. Also, the blood vessels’ structure is weakened, increasing the chance of bleeding.

Prevalence and Risk Factors

CAA becomes more common with age, affecting many older people. Research shows CAA affects up to 30% of those aged 60-70 and over 50% of those over 90.

Age Group

Prevalence of CAA

60-70 years

Up to 30%

70-80 years

40-50%

Over 90 years

More than 50%

Factors that increase the risk of CAA include being older, having Alzheimer’s disease, and certain genetic traits. Knowing these risk factors helps in early detection and management of CAA.

The Four-Stage Progression of Cerebral Amyloid Angiopathy

End Stage Cerebral Amyloid Angiopathy

It’s important to know the stages of Cerebral Amyloid Angiopathy (CAA) for diagnosis and treatment. CAA happens when amyloid proteins build up in brain blood vessels. This causes changes in the brain.

Stage 1: Vascular Amyloid Deposition

In the first stage, amyloid proteins start to build up in blood vessel walls. This makes the walls thicker and can weaken them.

  • Amyloid proteins accumulate in the vessel walls.
  • Vessel wall thickening occurs, potentially leading to reduced vascular function.

Stage 2: Altered Cerebrovascular Physiology

The second stage changes how the brain’s blood vessels work. This can lead to poor blood flow and fragile vessels.

Key Features:

  • Impaired vasodilation and vasoconstriction.
  • Increased risk of vascular rupture.

Stage 3: Non-Hemorrhagic Brain Injury

In the third stage, CAA causes damage to brain tissue without bleeding. This can show up as white matter lesions or memory loss.

This damage can greatly affect a person’s life quality.

Stage 4: Hemorrhagic Brain Lesions

The final stage of CAA is marked by severe brain bleeding. These hemorrhages can be very dangerous.

Knowing these stages helps doctors manage CAA better. This can lead to better outcomes for patients.

Clinical Manifestations of CAA

CAA can show up in many ways, affecting the brain and nervous system.

The symptoms come from amyloid buildup in blood vessel walls. This buildup causes problems. Knowing these symptoms helps in managing the condition.

Cognitive Symptoms

Cognitive decline is a big part of CAA. It can look like dementia or mild cognitive impairment. Amyloid in blood vessels can cut off brain blood flow, causing brain problems.

People might struggle with memory, language, and solving problems. How fast these symptoms get worse can vary. Some people stay the same for a long time, while others get worse quickly.

Neurological Symptoms

CAA also causes neurological symptoms. These include seizures, stroke, and short-term brain problems. These symptoms often come from brain lesions caused by CAA.

Seizures can happen because of brain irritation from amyloid or bleeding. Stroke is another big symptom. It can happen when amyloid-filled vessels burst, causing bleeding in the brain.

Symptom Category

Specific Symptoms

Impact on Patients

Cognitive Symptoms

Memory loss, language difficulties, problem-solving challenges

Impairs daily functioning, affects quality of life

Neurological Symptoms

Seizures, stroke, transient neurological deficits

Can lead to acute neurological decline, increased morbidity

End Stage Cerebral Amyloid Angiopathy: Defining the Final Phase

The final stage of cerebral amyloid angiopathy is very serious. It leads to a big drop in cognitive function and the formation of hemorrhagic brain lesions. This stage causes a lot of damage to the brain’s blood vessels, leading to severe symptoms.

Characteristic Features of End Stage CAA

End-stage CAA has several key features, including:

  • Hemorrhagic Brain Lesions: These are a hallmark of advanced CAA, resulting from the rupture of amyloid-laden blood vessels.
  • Cognitive Decline: Patients experience significant cognitive impairment, often manifesting as dementia.
  • Neurological Symptoms: These can include seizures, stroke-like episodes, and other neurological deficits.

These features show the disease has advanced a lot. It’s important to have a good care plan and management strategies.

Differentiating from Other Neurodegenerative Conditions

It can be hard to tell end-stage CAA from other neurodegenerative diseases because their symptoms can be similar. But, there are some signs that can help:

  1. The presence of lobar hemorrhages, which are more typical of CAA.
  2. The absence of significant Alzheimer’s disease pathology in some cases.
  3. The presence of convexity subarachnoid hemorrhage, a condition often associated with CAA.

Getting the diagnosis right is key. It helps manage what patients expect and guides treatment choices.

Diagnosis and Assessment Methods

Getting a correct diagnosis of CAA is key. It uses neuroimaging techniques, specific clinical criteria, and biomarkers. Accurate diagnosis helps manage the condition better and improves patient outcomes.

Neuroimaging Techniques

Neuroimaging is vital for diagnosing CAA. MRI (Magnetic Resonance Imaging) and CT (Computed Tomography) scans help spot CAA’s signs. These include microbleeds, superficial siderosis, and white matter changes.

MRI is great because it shows blood products well. It finds hemorrhagic and non-hemorrhagic lesions linked to CAA. MRI’s gradient echo and susceptibility-weighted imaging make microbleeds and other lesions more visible.

Clinical Criteria and Biomarkers

Neuroimaging isn’t the only tool for diagnosing CAA. Clinical criteria and biomarkers are also key. The Boston criteria help classify CAA diagnosis as definite, probable, or possible.

Biomarkers, like amyloid-β peptides in cerebrospinal fluid, are being studied. They might help diagnose CAA better. Though not used in everyday practice yet, they show promise.

Using neuroimaging, clinical criteria, and biomarkers gives a full picture of CAA diagnosis. This helps doctors create the best treatment plans for patients.

Life Expectancy in Cerebral Amyloid Angiopathy

The life expectancy of people with cerebral amyloid angiopathy varies. It depends on the type of CAA they have.

Cerebral Amyloid Angiopathy (CAA) is a condition where amyloid proteins build up in brain blood vessels. This can cause neurological symptoms and greatly affect a person’s life quality.

Sporadic CAA Life Expectancy

Sporadic CAA is the most common type and is not passed down through genes. Life expectancy can vary a lot. It depends on things like other health issues, how bad the symptoms are, and how well treatment works.

People with sporadic CAA usually live shorter lives than others. Having bleeding in the brain and losing cognitive function are big risks for death.

Hereditary CAA Life Expectancy

Hereditary CAA, or familial CAA, is a rare form caused by genetic mutations. It often starts earlier and gets worse faster than sporadic CAA. Life expectancy can be different for each person.

The life span for those with hereditary CAA can vary a lot. It can be from the 40s to the 60s, depending on the genetic mutation and how the disease shows up.

CAA Type

Average Life Expectancy

Factors Influencing Life Expectancy

Sporadic CAA

Variable, often reduced compared to the general population

Presence of comorbidities, severity of symptoms, effectiveness of management

Hereditary CAA

Ranges from 40s to 60s

Specific genetic mutation, penetrance of the disease

Knowing how long someone with CAA might live is important. It helps doctors and patients plan better. This can make life better for those with the condition.

Factors Influencing Prognosis in CAA

The outlook for Cerebral Amyloid Angiopathy (CAA) depends on age, health, and disease specifics. Knowing these factors helps predict outcomes and manage care.

Age and Comorbidities

Age is key in CAA prognosis. Older patients face a tougher time due to less health reserve and more comorbidities. Conditions like hypertension, diabetes, and heart disease can make things worse.

Having many health issues can affect treatment success and life quality for CAA patients. So, managing these conditions is vital in CAA care.

Hemorrhage Patterns and Severity

Hemorrhage type and severity greatly affect CAA prognosis. Lobar hemorrhages, common in CAA, can cause serious brain damage. How often and how much a patient bleeds is key to their outlook.

Those with more or bigger bleeds usually do worse than those with fewer or smaller ones. Keeping an eye on hemorrhage patterns and severity is important for predicting CAA outcomes.

Genetic and Environmental Factors

Genetics, like the APOE ε4 allele, can change CAA risk and prognosis. Genetic predisposition can influence when symptoms start and how severe they are.

Environmental factors, like lifestyle and exposure to risks, also impact prognosis. Understanding how genetics and environment interact can help find ways to prevent and treat CAA.

Management Strategies and Treatment Options

Managing CAA well needs a mix of today’s medicine and new treatments. This helps lessen symptoms and improve life quality for those affected.

Current Medical Approaches

Today, doctors mainly focus on controlling symptoms and preventing more damage. They manage high blood pressure, high cholesterol, and diabetes. These conditions can make CAA worse. Antihypertensive therapy is key because it helps keep blood pressure down and lowers the chance of bleeding.

Anticoagulant and antiplatelet therapies are used carefully in CAA patients. They can raise the risk of bleeding. Doctors decide on these treatments based on each patient’s situation, balancing benefits and risks.

Current Medical Approach

Purpose

Considerations

Antihypertensive Therapy

Reduce risk of hemorrhage

Monitor blood pressure regularly

Anticoagulant and Antiplatelet Therapies

Prevent thrombotic events

Use with caution due to hemorrhage risk

Emerging Therapies and Clinical Trials

New research into CAA is promising. It includes immunotherapies targeting amyloid and other new ways to fight amyloid in blood vessels.

Clinical trials are key for checking if these new treatments are safe and work well. For example, some studies look at anti-amyloid antibodies to remove amyloid from blood vessels. This could lower the risk of bleeding and slow the disease.

The outlook for CAA treatment is bright with these new options. As research keeps going, we can expect even better treatments. This brings hope to those dealing with this tough condition.

Living with Cerebral Amyloid Angiopathy

It’s important to understand cerebral amyloid angiopathy (CAA) to help patients and their caregivers. CAA happens when amyloid proteins build up in brain blood vessels. This can cause cognitive and neurological symptoms.

Quality of Life Considerations

CAA can really affect a person’s life quality. It can cause cognitive decline, memory loss, and a higher risk of strokes. Symptoms range from mild cognitive issues to severe dementia.

The condition’s effects on life quality include:

  • Cognitive Symptoms: Memory loss, confusion, and trouble with communication are common.
  • Neurological Symptoms: Patients might have seizures, weakness, or paralysis.
  • Emotional and Psychological Impact: Depression, anxiety, and mood swings are often seen.

Caregiving Challenges and Resources

Caring for someone with CAA is tough. Caregivers must handle physical care and emotional support. They need to manage the patient’s safety and emotional well-being.

Some big challenges for caregivers are:

  1. Managing daily care and ensuring patient safety.
  2. Coordinating medical appointments and treatments.
  3. Providing emotional support and coping with their own stress.

There are resources for caregivers:

  • Support groups for sharing experiences and advice.
  • Professional counseling services to manage stress and emotional challenges.
  • Educational materials and workshops on caring for patients with CAA.

Understanding CAA’s challenges and using available resources helps caregivers. This improves the quality of life for both patients and caregivers.

Prevention and Risk Reduction

Preventing cerebral amyloid angiopathy (CAA) requires a mix of managing high blood pressure and living a healthy lifestyle. Knowing what increases the risk of CAA is key to preventing it.

Modifiable Risk Factors

There are several risk factors for CAA that can be changed to lower the risk. Hypertension is a big one that can be controlled to reduce CAA risk. Lifestyle choices and heart health also play a role.

Modifiable Risk Factor

Impact on CAA Risk

Intervention Strategies

Hypertension

High blood pressure can increase the risk of CAA by damaging blood vessels.

Manage hypertension through medication, diet, and exercise.

Smoking

Smoking can damage vascular health, increasing the risk of CAA.

Quit smoking through cessation programs and support.

Physical Inactivity

Lack of physical activity can contribute to overall poor cardiovascular health.

Engage in regular physical activity, such as walking or other exercises.

Lifestyle Interventions

Lifestyle changes are vital in lowering CAA risk. Eating a healthy diet full of fruits, veggies, and whole grains helps your blood vessels. Also, regular physical activity and keeping a healthy weight are key.

By tackling these changeable risk factors and living a healthy life, you can lower your chance of getting CAA. It’s important to work with your doctor to create a plan to prevent CAA.

Conclusion

Cerebral amyloid angiopathy (CAA) is a serious brain disease. It happens when amyloid beta peptides build up in the brain’s blood vessels. Knowing about CAA is key to diagnosing and treating it.

The final stage of CAA leads to big problems. People may lose their memory and face a higher risk of bleeding in the brain. This can shorten their life and make it less enjoyable.

Early detection and new treatments give hope for CAA patients. By learning about the risks and taking steps to prevent it, we can lower the chance of getting CAA.

Managing CAA well means using medicine, changing lifestyle habits, and getting support from caregivers. By studying CAA more, we can help patients live better lives and have a better outlook.

FAQ

What is cerebral amyloid angiopathy (CAA)?

Cerebral amyloid angiopathy (CAA) is a condition where amyloid protein builds up in brain blood vessels. This can cause various neurological symptoms and serious complications.

What are the stages of CAA progression?

CAA goes through four stages. First, amyloid deposits in blood vessels. Then, changes in blood vessel function. Next, brain injury without bleeding. Lastly, brain injury with bleeding.

What is the life expectancy for individuals with sporadic CAA?

Life expectancy for those with sporadic CAA varies. It depends on age, other health issues, and bleeding patterns. Generally, it’s lower than average.

How does CAA affect quality of life?

CAA can greatly reduce quality of life. It causes cognitive and neurological symptoms. It also raises the risk of severe strokes, leading to disability or death.

What are the characteristic features of end-stage CAA?

End-stage CAA shows severe cognitive decline and neurological impairment. It often includes repeated severe strokes, leading to a poor outlook.

How is CAA diagnosed?

Diagnosing CAA involves neuroimaging like MRI and CT scans. It also includes clinical criteria and biomarkers to spot amyloid in blood vessels.

What are the management strategies for CAA?

Managing CAA includes controlling blood pressure and managing other health issues. It also means avoiding certain medications. New treatments and trials aim to reduce amyloid deposits.

Can CAA be prevented?

While CAA can’t be fully prevented, some risk factors can be managed. This includes controlling high blood pressure and adopting a healthy lifestyle.

What is the difference between sporadic and hereditary CAA?

Sporadic CAA is the most common type, without a known genetic cause. Hereditary CAA is linked to specific genetic mutations, raising the risk of the condition.

How does age affect CAA prevalence?

Age is a major risk factor for CAA. The risk increases significantly after 60 years old.

What is the role of amyloid protein deposits in CAA?

Amyloid protein deposits in brain blood vessels are key to CAA. They cause blood vessel dysfunction, inflammation, and can lead to bleeding.

What are the caregiving challenges for individuals with CAA?

Caring for someone with CAA is challenging. It requires ongoing support due to the disease’s progressive nature and the need to manage symptoms.


Reference

National Center for Biotechnology Information. Evidence-Based Medical Guidance. Retrieved from https://pmc.ncbi.nlm.nih.gov/articles/PMC9532921/

i

Medical Disclaimer

The content on this page is for informational purposes only and is not a substitute for professional medical advice, diagnosis or treatment. Always consult a qualified healthcare provider regarding any medical conditions.

Trusted Worldwide
30
Years of
Experience
30 Years Badge

With patients from across the globe, we bring over three decades of medical

Get a Free Quote

Response within 2 hours during business hours

Clinics/branches
GDPR
Was this content helpful?
Your feedback helps us improve.
What did you like?
Share more details about your experience.
You must give consent to continue.

Thank you!

Your feedback has been submitted successfully. Your input is valuable in helping us improve.

Book a Free Certified Online
Doctor Consultation

Clinics/branches
GDPR

We're Here to Help.
Get in Touch

Send us all your questions or requests, and our
expert team will assist you.

Our Doctors

Prof. MD. İbrahim Can Kürkçüoğlu

Prof. MD. İbrahim Can Kürkçüoğlu

Spec. MD. İrana Gorchiyeva

Spec. MD. İrana Gorchiyeva

Spec. MD. Berna Botan Yıldırım

Spec. MD. Berna Botan Yıldırım

Prof. MD. Serdar Kahraman

Prof. MD. Serdar Kahraman

Spec. MD. Zeliha Tekcan

Spec. MD. Zeliha Tekcan

Prof. MD. Peyami Cinaz

Prof. MD. Peyami Cinaz

Prof. MD. Ömer Faruk Yılmaz

Prof. MD. Ömer Faruk Yılmaz

Dt. Elif Narin Topgül

Dt. Elif Narin Topgül

Spec. MD. Yıldız Gonca Doğru

Spec. MD. Yıldız Gonca Doğru

Assoc. Prof. MD. Şefika Nur Aksoy

Assoc. Prof. MD. Şefika Nur Aksoy

Spec. MD. Zühal Çakmak Pekşen

Spec. MD. Zühal Çakmak Pekşen

Assoc. Prof. MD. Selman Emiroğlu

Assoc. Prof. MD. Selman Emiroğlu

Need Help? Chat with our medical team

Let's Talk on WhatsApp

📌

Get instant answers from our medical team. No forms, no waiting — just tap below to start chatting now.

or call us at +90 530 510 71 24