
Endovascular aneurysm repair, or EVAR, is a new, less invasive surgery.evar procedureAdvanced Cardiovascular Solutions Symposium ACS’19 It treats abdominal aortic aneurysms (AAA), a serious condition.
We useendovascular aneurysm repair to fix the bulge in the aorta. This is the main blood vessel in the abdomen. We do this through small punctures and advanced tools.
This new method involves placing a stent graft inside the aneurysm. The stent graft takes the pressure off, stopping the aneurysm from bursting.
Key Takeaways
- EVAR is a minimally invasive surgery for treating abdominal aortic aneurysms.
- The procedure uses small punctures and sophisticated instruments to repair the aneurysm.
- A stent graft is used to re-line the aneurysm, taking the pressure off and preventing rupture.
- EVAR is suitable for patients with large aneurysms or those who do not qualify for open surgery.
- The goal of EVAR is to prevent the abdominal aortic aneurysm from bursting.
Understanding Abdominal Aortic Aneurysms (AAA)

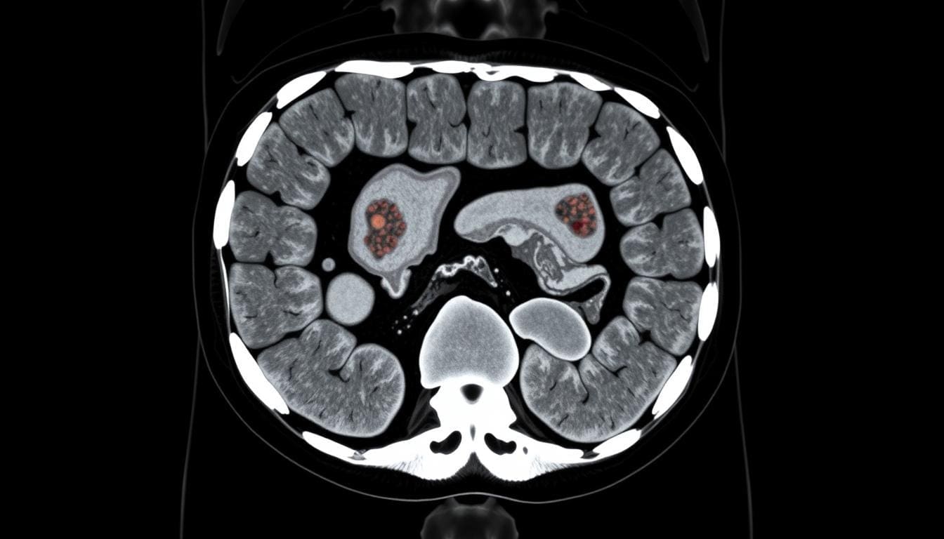
The abdominal aorta is a key part of our blood system. An aneurysm here can be deadly. An abdominal aortic aneurysm (AAA) is when the lower aorta gets too big. The aorta carries blood from the heart to the rest of the body.
Definition and Anatomy of the Aorta
The aorta is a main artery from the heart’s left ventricle. It goes through the abdomen. It supplies blood to organs, the pelvis, and legs. An aneurysm happens when the aorta weakens and bulges.
Aneurysms can be dangerous because they can rupture, leading to severe internal bleeding. The aorta has three layers: intima, media, and adventitia. Aneurysms often start in the media layer, where the wall is weak.
How Aneurysms Develop
Aneurysms form from genetics, environment, and lifestyle. Inflammation and degradation of the aortic wall play big roles. When the wall weakens, it can’t handle blood pressure, leading to an aneurysm.
“The pathogenesis of abdominal aortic aneurysms involves a multifactorial process including genetic predisposition, atherosclerosis, and biomechanical factors.”
Risk Factors for AAA
Several factors increase the risk of AAA. These include:
- Age: AAA is more common in individuals over 65 years.
- Smoking: Tobacco use significantly increases the risk of developing AAA.
- Family History: Individuals with a first-degree relative (parent or sibling) diagnosed with AAA are at higher risk.
- Gender: Men are more likely to develop AAA than women.
- Atherosclerosis: The presence of atherosclerotic disease can increase the risk.
Knowing these risk factors helps in early detection and management of AAA.
What Is an EVAR Procedure? Detailed Explanation

Endovascular Aneurysm Repair (EVAR) is a new way to treat aortic aneurysms. It’s a less invasive method compared to traditional surgery. This makes it a great option for treating abdominal aortic aneurysms (AAAs).
Definition and Medical Abbreviation of EVAR
EVAR stands for Endovascular Aneurysm Repair. It’s a procedure to fix a weak spot in the aorta with a stent graft. The word “endovascular” means it’s done through blood vessels, not a big cut in the belly.
The procedure uses a stent graft, a fabric tube with metal mesh. It’s inserted through the groin arteries and placed at the aneurysm site. The stent graft expands to fit the aorta, stopping the aneurysm from growing or bursting.
History and Development of Endovascular Repair
The idea of endovascular repair started in the 1960s. But, the first human EVAR was done in the 1990s. Over time, technology and techniques have made EVAR safer and more effective.
How EVAR Differs from Traditional Open Surgery
Traditional surgery for aortic aneurysms needs a big cut in the belly. EVAR, on the other hand, uses small cuts in the groin. This makes EVAR less risky and less stressful for the body.
The main differences between EVAR and traditional surgery are shown in the table below:
| Characteristics | EVAR | Traditional Open Surgery |
| Surgical Approach | Minimally invasive, through groin incisions | Open, through a large abdominal incision |
| Recovery Time | Generally shorter, often a few days | Typically longer, often several weeks |
| Risk of Complications | Lower risk due to less invasive nature | Higher risk due to more extensive surgery |
Knowing about EVAR helps patients choose the best treatment for their aortic aneurysms. As technology gets better, EVAR will keep being a key part of vascular surgery.
When Is EVAR Surgery Recommended?
Choosing EVAR surgery depends on several important factors. These include the size and growth rate of the aneurysm and the patient’s health. We look at each case closely to find the best treatment.
Size and Growth Rate Considerations
The size and how fast an abdominal aortic aneurysm grows are key. Aneurysms over 5.5 cm in diameter are often treated with EVAR. This is because they are at a higher risk of bursting.
Even if an aneurysm is smaller, it’s considered for EVAR if it’s growing fast. This is true if it’s growing more than 0.5 cm per year.
| Aneurysm Size (cm) | Recommended Action |
| Monitoring and surveillance | |
| ≥ 5.5 | Consider EVAR surgery |
| Rapid growth (> 0.5 cm/year) | Consider EVAR surgery |
Symptom-Based Indications
Symptoms also guide the decision for EVAR surgery. Back pain, abdominal pain, or tenderness over the aneurysm may mean EVAR is needed. These signs suggest the aneurysm might be pressing on nearby structures or at risk of bursting.
Patient Selection Criteria
Choosing patients for EVAR surgery involves a detailed look at their health. We consider their medical history, current health, and if their aorta and its branches are suitable for the procedure. Age, any other health issues, and the aorta’s anatomy are all important.
By carefully looking at these factors, we decide if EVAR is the right choice for someone with an abdominal aortic aneurysm.
The EVAR Vascular Technique Explained
The EVAR procedure uses a complex method. It combines advanced imaging with catheter-based interventions. This approach is effective in treating aortic aneurysms.
We use advanced imaging to guide the EVAR vascular procedure. This ensures precision and safety. The technologies we use include:
Advanced Imaging Technologies Used
- High-resolution angiography to see the aorta and its branches clearly.
- Intravascular ultrasound (IVUS) for detailed images of the aortic wall and nearby structures.
- Computed Tomography (CT) angiography for planning before the procedure and checking after.
These imaging tools help us accurately assess the aneurysm. They also help us plan the best approach for the EVAR procedure.
Catheter-Based Interventions
Catheter-based interventions are key in the EVAR vascular technique. We insert catheters through small incisions in the groin. We guide them to the aortic aneurysm using imaging.
Key steps in catheter-based interventions include:
- Accessing the femoral arteries.
- Navigating the catheters to the aortic aneurysm.
- Deploying the stent graft to exclude the aneurysm from blood flow.
Types of Stent Grafts for Aortic Aneurysms
The choice of stent graft is very important in the EVAR procedure. We pick from different types based on the patient’s anatomy and the aneurysm’s characteristics.
Common types of stent grafts include:
- Unibody stent grafts.
- Modular stent grafts.
- Fenestrated and branched stent grafts for complex aneurysms.
By combining advanced imaging, precise catheter-based interventions, and the right stent graft, we can effectively treat aortic aneurysms using the EVAR vascular technique.
Step-by-Step EVAR Surgical Procedure
Learning about the EVAR surgical procedure can ease worries for those facing it. This treatment is complex, with steps from preparation to aftercare.
Pre-Operative Preparation and Assessment
Before EVAR, patients get checked to see if they’re a good fit. They have detailed imaging tests like CT scans to measure the aneurysm. We also look at their medical history for any risks.
Preparation might mean adjusting medications and getting the patient’s health ready. We give clear instructions on what to do before the procedure, like fasting.
The Procedure Process and Technique
The EVAR procedure uses advanced imaging to place a stent graft in the aorta. It starts with small incisions in the groin to reach the femoral arteries. Then, we use catheters and guide wires to get to the aneurysm.
After the stent graft is in place, it’s deployed. This lets blood flow through it, bypassing the aneurysm. This minimally invasive technique lowers risks and speeds up recovery compared to open surgery.
Immediate Post-Procedure Care
After EVAR, patients are watched closely in a recovery area. We check vital signs and look for any complications like bleeding or endoleaks.
Patients get instructions on post-procedure care, like wound care and activity limits. Our team supports patients through recovery, aiming for the best results.
Benefits of EVAR for Aneurysm Treatment
EVAR is a top choice for treating aneurysms because it cuts down on recovery time and boosts patient results. It offers many benefits, making it a favorite for many.
Every patient is different, and EVAR’s perks can change based on health and aneurysm type. Yet, several key benefits are seen often in practice.
Reduced Recovery Time and Hospital Stay
EVAR is less invasive, leading to less recovery time and shorter hospital stays than open surgery. It causes less body trauma, helping patients heal faster.
Research shows EVAR patients usually stay in the hospital less, often going back to normal life in weeks. This quick recovery is a big reason why EVAR is appealing.
Lower Perioperative Mortality Rates
EVAR is linked to lower death rates right after surgery compared to open repair. This is key for those at high risk for surgery complications.
| Treatment Method | Perioperative Mortality Rate |
| EVAR | 1.4% |
| Open Surgery | 3.3% |
The numbers show EVAR is safer right after surgery, making it a safer option for some.
Advantages for High-Risk Patients
EVAR is a good option for high-risk patients, like the elderly or those with health issues. Its minimally invasive nature lowers risks, making it appealing.
We assess each patient for EVAR, considering their health and aneurysm details. This tailored approach ensures the best care for each patient.
In summary, EVAR offers many benefits for aneurysm treatment, including shorter recovery times, lower death rates, and advantages for high-risk patients. As medical tech advances, EVAR remains a key treatment for abdominal aortic aneurysms.
Potential Risks and Complications
EVAR is a groundbreaking treatment for abdominal aortic aneurysms. Yet, it’s important to know the risks and complications it may bring. Like any medical treatment, EVAR has its own set of challenges that can affect how well a patient does.
Short-Term Complications
Right after EVAR, patients might face vascular injuries, bleeding, or reactions to the dye used. These issues are rare but can be serious.
- Vascular injuries: Damage to the blood vessels during the procedure.
- Bleeding: Hemorrhage at the access site or internally.
- Contrast-induced nephropathy: Kidney damage due to the contrast dye.
Long-Term Concerns and Monitoring
Over time, EVAR patients might worry about graft migration, endoleaks, and the need for constant checks. These checks are to watch the aneurysm sac and the stent graft’s integrity.
Ongoing monitoring is key to catch any problems early. This usually means regular imaging like CT scans or ultrasounds. These scans help see how the stent graft is doing and if there are any leaks or other issues.
Endoleaks and Other EVAR-Specific Issues
Endoleaks, where blood leaks into the aneurysm sac around the stent graft, are a big worry for EVAR patients. There are different kinds of endoleaks, and how they’re handled depends on the type and how bad they are.
- Type I endoleak: Leak at the attachment site of the graft.
- Type II endoleak: Retrograde flow from branches of the aorta.
- Type III endoleak: Leak through a defect in the graft.
Knowing about these risks and complications is key for managing what patients expect and their outcomes. EVAR has many benefits, like quicker recovery and lower risk of death right after surgery compared to open surgery. But, being aware of the possible complications helps prepare better and ensures proper follow-up care.
Patient Experience: Before, During, and After EVAR
EVAR is a big medical step. Knowing what to expect can help you feel less anxious and improve your results. We’ll walk you through the important parts of getting ready, the procedure, and recovering.
Preparation and Pre-Procedure Expectations
Before EVAR, preparation is key. You’ll have tests and checks to make sure you’re a good fit for the procedure. We suggest:
- Following a healthy diet and staying hydrated
- Telling us about any medications or allergies
- Having someone with you on the day of the procedure
It’s also important to know the risks and benefits of EVAR. Our team will talk to you about these in detail, making sure you understand everything.
What to Expect During the Procedure
During EVAR, you’ll get local anesthesia to keep you comfortable. The procedure involves small incisions in the groin to put in the stent graft. Our skilled vascular surgeons will use special imaging to guide the stent graft into place.
The whole process usually takes a few hours. You’ll be watched closely the whole time. Most people find the procedure not too uncomfortable.
Post-Procedure Sensations and Recovery Milestones
After the procedure, you’ll rest for a few hours before going home the next day. This is common for EVAR patients. You might feel some discomfort or soreness in the groin, but pain medication can help.
Important recovery steps include:
- Starting normal activities in a few weeks
- Going to follow-up appointments to check the stent graft
- Slowly increasing your physical activity as your doctor advises
Understanding the EVAR recovery process helps you prepare for a smooth and successful recovery.
Recovery After an EVAR Vascular Procedure
Recovering from an EVAR vascular procedure involves several important steps. These include knowing how long you’ll stay in the hospital, what activities to avoid, and what follow-up care you’ll need. It’s also important to understand the need for imaging tests.
Hospital Stay Duration
Most patients go home the day after their EVAR procedure. This is because the surgery is minimally invasive. Studies show that the average hospital stay is 2-3 days. But, this can change based on your health and any complications.
Table: Average Hospital Stay After EVAR
| Procedure | Average Hospital Stay |
| EVAR | 2-3 days |
| Open Surgery | 7-10 days |
Activity Restrictions and Lifestyle Adjustments
After leaving the hospital, you’ll need to avoid heavy lifting and bending for a few weeks. One patient said, “I was surprised at how quickly I recovered from the EVAR procedure. But I followed the doctor’s instructions carefully to avoid any complications.”
“Patients should avoid heavy lifting and strenuous activities for at least 4-6 weeks after the procedure to minimize the risk of complications.”
It’s best to start doing normal activities again slowly, with your doctor’s approval. You might also need to make some lifestyle changes, like eating differently or quitting smoking.
Follow-Up Care Requirements and Imaging
After an EVAR procedure, regular check-ups are key. These help make sure the aneurysm and stent graft are working right. You’ll likely have imaging tests, like CT scans, at set times.
Following your doctor’s schedule for follow-up care is important. This may include:
- Imaging tests every 6-12 months
- Regular check-ups with your vascular surgeon
- Monitoring for any signs of complications, such as endoleaks
By sticking to these guidelines, you can have a successful recovery and avoid complications after an EVAR vascular procedure.
Choosing the Right Facility and Specialist for EVAR
Choosing the right place and doctor for EVAR is key for a good outcome. Patients need to look at several things to get the best care.
Vascular Surgeon Qualifications
The vascular surgeon’s qualifications and experience are very important. Look for surgeons who are board-certified in vascular surgery and have lots of experience with EVAR.
Some important qualifications include:
- Certification by the American Board of Surgery or the Vascular Surgery Board of the American Board of Surgery
- Completion of a vascular surgery fellowship program
- A significant volume of EVAR procedures performed annually
Hospital Volume and Experience Considerations
The hospital’s experience with EVAR is also very important. Studies show that hospitals that do more EVARs have better results.
| Hospital Characteristic | High-Volume Center | Low-Volume Center |
| Annual EVAR Procedures | >50 | |
| Mortality Rate | Lower | Higher |
| Complication Rate | Lower | Higher |
Insurance Coverage and Cost Factors in the US
It’s important to know about insurance and costs for EVAR. Check with your insurance to see what they cover.
Costs for EVAR can vary based on:
- The type of stent graft used
- The complexity of the procedure
- Hospital stay duration
- Follow-up care requirements
By carefully looking at these factors and choosing a skilled surgeon and experienced facility, patients can increase their chances of a successful EVAR procedure.
Conclusion
Endovascular aortic aneurysm repair (EVAR) has changed how we treat abdominal aortic aneurysms (AAA). It’s a less invasive method compared to open surgery. This means patients can recover faster and face lower risks during surgery.
The EVAR procedure uses advanced imaging and catheters to place stent grafts. These grafts fix the aortic aneurysm. Knowing the pros and cons of EVAR helps patients make better choices about their treatment.
Choosing the right place and doctor for EVAR is key. Patients should find vascular surgeons with the right skills and hospitals that do a lot of EVARs. This ensures they get top-notch care.
In short, EVAR is a big step forward in treating AAA. It can lead to better results for patients. If you have AAA, talk to a doctor to see if EVAR is right for you.
FAQ
What is EVAR?
EVAR stands for Endovascular Aortic Aneurysm Repair. It’s a new way to fix a big problem in the belly. It uses a special stent to keep the aorta from bursting.
What is an abdominal aortic aneurysm (AAA)?
An AAA is when the main blood vessel in the belly gets too big. It happens when the wall of the aorta gets weak and bulges out.
How is EVAR different from traditional open surgery?
EVAR is a new, less invasive way to fix the aorta. It uses small cuts in the groin to put in a stent. Open surgery needs a big cut in the belly. EVAR is faster to recover from and has fewer problems.
What are the benefits of EVAR?
EVAR is good because it heals faster and has fewer risks than open surgery. It’s also a better choice for people who can’t have open surgery.
What are the possible risks and complications of EVAR?
EVAR can have some risks like bleeding or infection right after. There are also long-term risks like the stent moving or the aneurysm bursting.
What is an endoleak, and how is it treated?
An endoleak is when blood leaks into the aneurysm sac around the stent. It’s a problem that needs watching and might need more treatment, like more stents.
How long does it take to recover from EVAR?
EVAR heals faster than open surgery. Most people can get back to normal in a few weeks. But, they might need to avoid heavy lifting for a bit longer.
What kind of follow-up care is required after EVAR?
After EVAR, you’ll need to see your doctor often. You’ll have tests like CT scans to check the stent and watch for problems like endoleaks.
How do I choose the right facility and specialist for EVAR?
Look for a doctor with lots of experience in EVAR. Make sure the hospital is good at doing EVARs. Also, check if your insurance covers it and what it will cost.
Is EVAR covered by insurance in the US?
Yes, EVAR is usually covered by insurance in the US. But, it depends on your plan. Always check with your insurance to know what you’ll pay.
What are the criteria for recommending EVAR surgery?
Doctors recommend EVAR for big aneurysms that could burst. They look at the size, how fast it’s growing, and if you’re healthy enough for the surgery.
Reference
- Chaikof, E. L., Dalman, R. L., Eskandari, M. K., Jackson, B. M., Lee, W. A., Mansour, M. A., … & Veeraswamy, R. K. (2018). The Society for Vascular Surgery practice guidelines on the care of patients with an abdominal aortic aneurysm. Journal of Vascular Surgery, 67(1), 2–77.e2. https://pubmed.ncbi.nlm.nih.gov/29268916