Gastrointestinal amyloidosis is a rare condition where amyloid proteins build up in the digestive tract. This buildup causes symptoms like weight loss, gastrointestinal bleeding, and diarrhea. At LivHospital, we offer top-notch healthcare and support for international patients.

Our team of experts is focused on providing the latest, ethical, and patient-focused care. We know gastrointestinal amyloidosis is complex. So, we’re committed to finding its causes, symptoms, and treatments to help our patients.
Key Takeaways
- Gastrointestinal amyloidosis is a rare condition involving amyloid protein deposits in the digestive tract.
- Symptoms include weight loss, gastrointestinal bleeding, and diarrhea.
- LivHospital provides world-class healthcare with international patient support.
- Our experts deliver cutting-edge, patient-centered care.
- We are committed to exploring causes, symptoms, and treatment options.
Understanding Gastrointestinal Amyloidosis
Gastrointestinal amyloidosis happens when amyloid proteins build up in the GI tract. This buildup causes various symptoms and problems in the stomach and intestines.
Definition and Pathophysiology
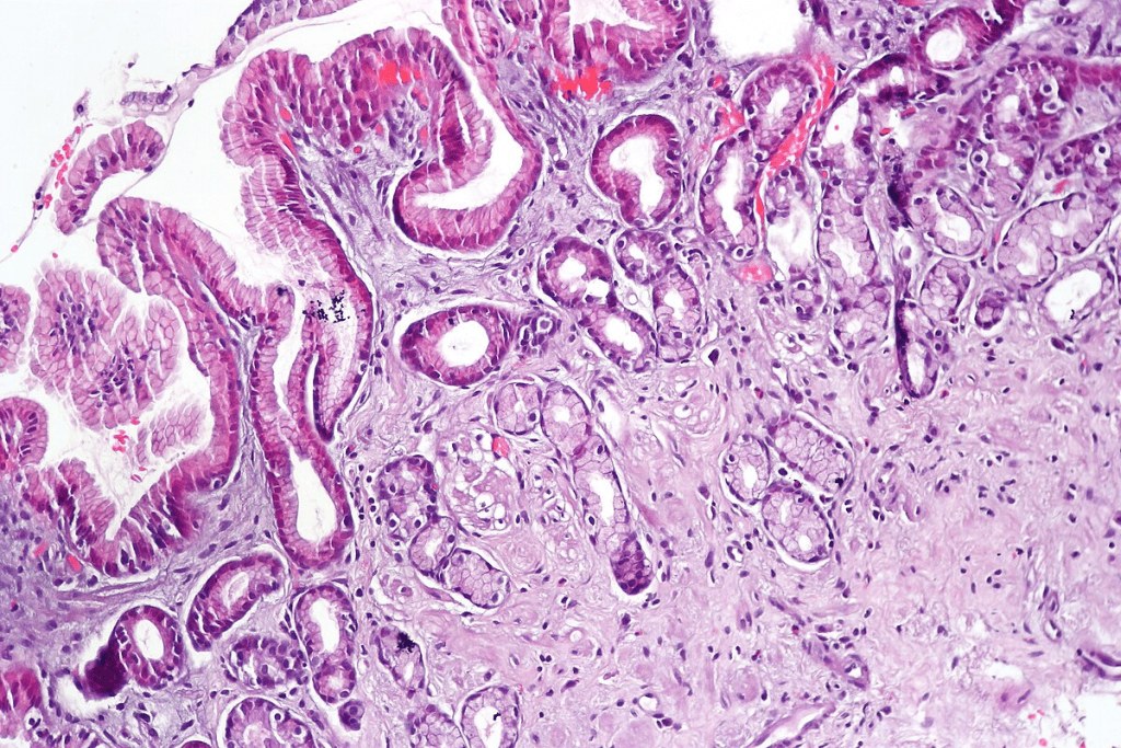
Amyloidosis is when proteins called amyloid fibrils build up outside of cells. In the GI tract, these fibrils can form in any layer. This disrupts how the tissue works.
The problem starts with proteins folding the wrong way. They then stick together to form fibrils that build up in tissues.
This buildup can happen because of chronic infections, inflammatory diseases, or plasma cell dyscrasias.
Types of Amyloidosis Affecting the GI Tract
There are different types of amyloidosis that can affect the GI tract. These include AL (light-chain) amyloidosis, AA (amyloid-associated) amyloidosis, and hereditary transthyretin amyloidosis (ATTR). AL amyloidosis is the most common, linked to plasma cell dyscrasias.
- AL amyloidosis: Associated with plasma cell dyscrasias.
- AA amyloidosis: Often related to chronic inflammatory conditions.
- ATTR amyloidosis: A hereditary form related to mutations in the transthyretin gene.
Knowing the type of amyloidosis is key to finding the right treatment.
Epidemiology and Risk Factors
Understanding the epidemiology and risk factors of gastrointestinal amyloidosis is key for good patient care. This condition is complex, and its spread varies widely among different groups.
Incidence and Prevalence Worldwide
Worldwide, AL (light-chain) amyloidosis affects about 1 person per 100,000 each year in Western countries. It usually starts when people are around 63 years old. Men are more likely to get it than women.
Some important stats include:
- Approximately 1 case per 100,000 person-years in Western countries
- Mean age of onset is around 63 years
- Higher prevalence in men compared to women
Demographics and Risk Factors
There are certain demographics and risk factors that increase the chance of getting gastrointestinal amyloidosis. These include:
- Age: The risk goes up a lot after 50
- Gender: Men are more likely to be affected than women
- Family History: People with a family history of amyloidosis are at higher risk
We know how crucial it is to spot these risk factors. This helps us give our patients the care and support they need.

Clinical Manifestations of Gastrointestinal Amyloidosis
It’s important to understand the symptoms of gastrointestinal amyloidosis to help patients. This condition can cause many different symptoms, making it hard to diagnose.
Common Presenting Symptoms
People with gastrointestinal amyloidosis often have symptoms that are not specific. These symptoms can be similar to other diseases. Common symptoms include:
- Weight Loss: About 43% of patients experience weight loss, which can lead to serious problems if not treated.
- GI Bleeding: GI bleeding happens in about 36% of patients. It’s a sign of serious disease and needs quick medical help.
- Abdominal Pain: Around 28% of patients have abdominal pain. This pain can be different in intensity and may come with nausea or vomiting.
These symptoms can really affect a patient’s life. That’s why it’s so important to manage them well. For more information on diagnosing and treating gastrointestinal amyloidosis.
Organ-Specific Manifestations
Gastrointestinal amyloidosis can affect different parts of the GI tract. This can lead to specific problems in each organ. The problems can include:
- Gastric Involvement: Gastric amyloidosis can cause early feeling full, nausea, and vomiting. These symptoms can affect how well you eat.
- Intestinal Involvement: Intestinal amyloidosis can cause diarrhea, not being able to absorb nutrients, and blockages in the intestines. These issues can make things worse.
It’s key to know these specific problems to create a good treatment plan. We use a team approach to handle the many symptoms and issues of gastrointestinal amyloidosis.

Diagnosis and Treatment Approaches
Finding out if you have gastrointestinal amyloidosis is a detailed process. It involves both checking how you feel and using special tests. More people are getting this disease, so it’s important to catch it early.
Diagnostic Methods
We use different ways to see if amyloidosis is in your gut. These include:
- Biopsy: Looking at tissue samples under a microscope is key.
- Imaging Studies: CT scans and MRI help see how much amyloid is there.
- Laboratory Tests: Blood and urine tests look for proteins linked to amyloidosis.
Treatment Strategies
Every patient gets a treatment plan that fits their case. Our strategies include:
- Chemotherapy and other ways to stop bad proteins from being made.
- Supportive Care: We help manage symptoms and side effects to improve life quality.
- Monitoring: We keep an eye on how the disease is doing and change plans if needed.
We keep learning from new research to help our patients. Our goal is to give each person with gastrointestinal amyloidosis the care they need.
Conclusion
Gastrointestinal amyloidosis is a complex condition that needs a team effort to manage. At LivHospital, we focus on top-notch care for those with gastrointestinal amyloidosis. Our team is ready to support and guide patients through their journey.
Understanding the different types of gastrointestinal amyloidosis helps us tailor treatments. This is based on a study that shows how to better help our patients. It helps us make a real difference in their lives.
We aim to mix medical knowledge with compassion and understanding. This way, our patients get the best care possible. Our dedication to international standards and new ways to treat complex diseases like amyloidosis sets us apart.
FAQ
What are the common symptoms of gastrointestinal amyloidosis?
Symptoms include weight loss, bleeding, pain, and diarrhea. These can affect daily life. Early diagnosis and treatment are key.
How is gastrointestinal amyloidosis diagnosed?
Diagnosis uses clinical evaluation, lab tests, and imaging. Our team confirms amyloidosis and assesses its extent.
What are the types of amyloidosis that can affect the GI tract?
AL (light-chain) amyloidosis is common. Other types also affect the GI tract. Our experts manage these forms.
What are the risk factors for developing gastrointestinal amyloidosis?
Risk factors include age and gender. The mean onset is 63 years, with a higher prevalence in men. This helps us tailor care.
What treatment strategies are available for gastrointestinal amyloidosis?
Treatments vary based on the patient’s needs. Our team uses the latest research for the best outcomes.
Can gastrointestinal amyloidosis be managed effectively?
Yes, with a comprehensive approach. Our team supports patients through diagnosis and treatment.
What is the incidence of AL amyloidosis worldwide?
It’s about 1 case per 100,000 person-years in Western countries. We focus on understanding this condition.
How does gastrointestinal amyloidosis affect the digestive tract?
It deposits amyloid proteins, causing symptoms. Our experts understand this process well.
References
- National Institute of Diabetes and Digestive and Kidney Diseases. (2021). Amyloidosis. https://www.niddk.nih.gov/health-information/kidney-disease/amyloidosis
- Gertz, M. A., Dispenzieri, A., & Sher, T. (2020). Pathophysiology and treatment of cardiac amyloidosis. Nature Reviews Cardiology, *17*(7), 413“426. https://www.nature.com/articles/s41569-020-0338-3