
Discussing the risk and local invasiveness of basal cell carcinoma untreated for 2 years (low risk of distant spread). Basal cell carcinoma (BCC) is the most common skin cancer. If left untreated, it can rarely spread to other parts of the body, though it usually grows locally.
The American Academy of Dermatology says BCC makes up nearly 80% of all skin cancer cases in the U.S.
It’s important to know the symptoms of BCC to stop it from spreading. Look out for a new growth or sore that doesn’t heal. Also, watch for shiny bumps or pinkish patches on the skin.
If you’re worried about a skin lesion or growth, see a dermatologist. They can give you the right diagnosis and treatment.
Key Takeaways
- Understanding the risks associated with BCC is vital.
- Recognizing BCC symptoms early can prevent its spread.
- Consulting a dermatologist is key for proper diagnosis.
- BCC is the most common form of skin cancer.
- Prompt treatment can greatly improve outcomes.
Understanding Basal Cell Carcinoma

Basal cell carcinoma is a common skin cancer. It starts in the basal cells, which make new skin cells. It often shows up on sun-exposed parts of the body.
What is BCC Skin Cancer?
BCC skin cancer grows from basal cells. It grows slowly and rarely spreads. But, if not treated, it can damage the area a lot.
Common Locations on the Body
BCC often happens on sun-exposed areas. These include:
- The head and neck
- The ears
- The hands and arms
These spots get more UV damage, raising BCC risk.
Risk Factors for Developing BCC
Several things can up your BCC risk. These include:
- Prolonged sun exposure and UV radiation
- Fair skin that burns easily
- A history of previous skin cancers
- Family history of skin cancer
- Exposure to certain chemicals, such as arsenic
Recognizing Basal Cell Carcinoma Symptoms

It’s important to know the signs of basal cell carcinoma early. This type of skin cancer is common and has clear symptoms. These can look different from person to person.
Early Warning Signs
Look out for shiny bumps, pink or red patches, or sores that don’t heal. These signs can show up on sun-exposed areas of the body.
Common early warning signs include:
- A new growth or sore on the skin that doesn’t heal
- A shiny, pearly, or translucent bump
- A pink or red patch that may be itchy or painful
The ABCDE Rule for Skin Cancer
The ABCDE rule helps spot skin cancer, like basal cell carcinoma. It tells you what to look for:
|
A |
B |
C |
D |
E |
|---|---|---|---|---|
|
Asymmetry |
Border irregularity |
Color variation |
Diameter > 6mm |
Evolving size, shape, or color |
When to See a Doctor
See a doctor if your skin looks different, like a new growth or sore. Catching it early makes treatment better.
Types of Basal Cell Carcinoma and Their Appearance
It’s important to know about the different types of basal cell carcinoma. This is because it’s the most common skin cancer. Each type looks different and has its own features.
Nodular Basal Cell Carcinoma
Nodular basal cell carcinoma, or nodular BCC, is the most common type. It looks like a flesh-colored or pink bump on the skin. It has a smooth surface and you can see blood vessels.
This type of BCC grows slowly. It can turn into an ulcer, causing bleeding or crusting.
Superficial BCC
Superficial basal cell carcinoma looks like a flat, reddish patch on the skin. It might have a scaly or crusted look. It grows slowly and can look like eczema or dermatitis.
This type is more common on the trunk or extremities.
Morpheaform (Sclerosing) BCC
Morpheaform or sclerosing basal cell carcinoma is aggressive. It looks like a firm, white or yellowish patch on the skin. It can look like a scar and is hard to spot.
This type goes deep into the skin. It’s tough to treat because of this.
Pigmented BCC
Pigmented basal cell carcinoma has melanin in it. This makes it brown, blue, or black. It can look like melanoma, a more serious skin cancer.
This type can look different, like nodular or superficial BCC.
Knowing about these types of basal cell carcinoma is key. Each one looks different. Understanding these differences helps doctors treat it right.
Basal Cell Carcinoma Untreated for2 Years: Progression and Risks
Basal cell carcinoma can grow over time if not treated. It can damage nearby tissues. Knowing how BCC progresses is key to treating it well.
Typical Growth Patterns Over Time
Basal cell carcinoma grows slowly. If not treated for 2 years, it can spread and damage more tissues. The way it grows depends on the type of BCC.
Local Tissue Destruction
Untreated BCC can cause a lot of damage. As it grows, it can reach deeper tissues like skin, muscle, and bone. This can lead to serious problems and disfigurement.
Comparing BCC and Squamous Cell Carcinoma Progression
BCC and SCC are both skin cancers but grow differently. SCC grows faster and is more likely to spread than BCC.
Squamous Cell Carcinoma Untreated for 2 Years
SCC left untreated for 2 years can grow a lot. It has a higher chance of spreading to other parts of the body. It can reach deeper tissues and spread to lymph nodes and distant organs.
Why BCC Typically Spreads Less Than SCC
BCC is more likely to stay in one place and less likely to spread than SCC. This is because of the way BCC and SCC interact with tissues.
|
Cancer Type |
Growth Rate |
Metastasis Risk |
|---|---|---|
|
Basal Cell Carcinoma (BCC) |
Slow |
Low |
|
Squamous Cell Carcinoma (SCC) |
Moderate to Fast |
Moderate to High |
It’s important to understand these differences to manage skin cancer well. While BCC is less likely to spread, it can cause a lot of damage. This shows why treating it early is so important.
High-Risk Anatomical Locations
Basal cell carcinoma in high-risk areas needs quick and effective treatment. This is to avoid serious problems. Some body parts are more important because of their function and looks.
Basal Cell Carcinoma on the Nose
Basal cell carcinoma on the nose is very worrying. It can cause big changes in how you look and affect your self-confidence. The nose is a key part of your face, and damage can be very noticeable.
BCC Near Eyes and Ears
BCC near the eyes and ears is also a big concern. Tumors here can cause problems with seeing or hearing if not treated right away. The areas around the eyes and ears need special care to avoid serious issues.
Other High-Risk Zones
Other areas at high risk for basal cell carcinoma include the scalp, lips, and hands. These spots are more likely to have aggressive tumors. They need quick action.
In summary, knowing the high-risk spots for basal cell carcinoma is key for good treatment. Quick medical help is vital for those with BCC in these sensitive areas.
Signs That Basal Cell Carcinoma Has Spread
It’s important to know the signs that basal cell carcinoma has spread. This type of skin cancer grows slowly but can spread. It can grow into nearby tissues or even to other parts of the body.
Visual Indicators of Local Invasion
One key sign is when the tumor grows into nearby tissues. This can show up as:
- The tumor getting bigger than it was before
- The skin around it changing color or texture
- Bleeding or ulcers at the tumor site
Seeing these signs means the cancer is getting worse and needs quick attention.
Symptoms of Deeper Tissue Involvement
When BCC goes deeper, you might feel:
- Pain or discomfort at the tumor site
- Numbness or tingling if nerves are involved
- Hardness to move the area if muscles are affected
These symptoms mean the disease is at a serious stage. You should see a doctor right away.
Rare Cases of Metastatic BCC
Metastatic BCC is rare but serious. It happens when cancer spreads to lymph nodes or distant organs. Symptoms include:
- Swollen lymph nodes near the tumor
- Feeling tired or losing weight
- Pain in bones or other areas where cancer has spread
Spotting these signs early is key to managing the disease effectively.
Warning Signs That Require Immediate Medical Attention
Some signs need you to see a doctor right away. These include:
- The tumor growing fast
- Big changes in the tumor or skin around it
- Symptoms like unexplained weight loss or constant pain
If you notice these, get medical help fast.
Diagnosis and Staging of Advanced BCC
Diagnosing advanced basal cell carcinoma involves a detailed check-up. This includes a biopsy and imaging tests to see how far the disease has spread. Getting the diagnosis right is key to choosing the right treatment.
Biopsy Procedures
A biopsy is the main way to confirm basal cell carcinoma. There are different biopsy methods, like shave, punch, and excisional biopsies. The choice depends on the tumor’s size, where it is, and how deep it is.
Imaging Studies for Suspected Spread
If BCC might have spread, imaging tests are vital. CT scans, MRI, and ultrasound help see how far the cancer has grown. They also check for cancer in other parts of the body.
Understanding BCC Staging
BCC staging classifies the tumor by its size, location, and spread. The TNM system is often used. It looks at the tumor size (T), lymph nodes (N), and if it has spread (M).
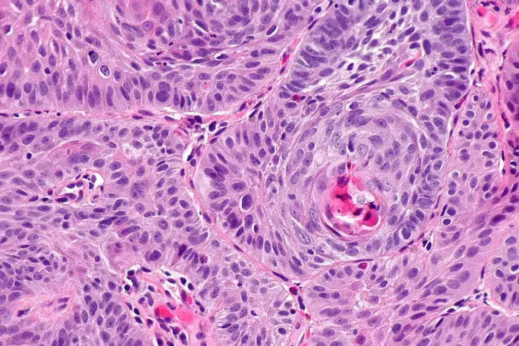
The Role of Dermatopathology
Dermatopathology is essential in BCC diagnosis. Pathologists look at biopsy samples under a microscope. They check for cancer cells and figure out the BCC type. This helps plan the treatment.
Diagnosing and staging advanced BCC need a team effort. Dermatologists, pathologists, radiologists, and surgeons work together. They use clinical checks, biopsy results, and imaging to accurately diagnose and stage BCC. This helps make the right treatment choices.
Treatment Options for Locally Advanced or Spreading BCC
Locally advanced or metastatic basal cell carcinoma needs a variety of treatments. A detailed and often team-based approach is key to manage it well.
Mohs Micrographic Surgery
Mohs micrographic surgery is great for advanced BCC, mainly in areas that matter for looks. It removes cancerous tissue layer by layer. Then, it checks each layer under a microscope to make sure all cancer is gone.
Radiation Therapy
Radiation therapy is another choice for advanced BCC, when surgery might harm looks or isn’t right for the patient. It uses high-energy rays to shrink tumors and ease symptoms.
Targeted Medical Therapies
When surgery or radiation isn’t possible, targeted medical therapies are a good option. Hedgehog pathway inhibitors are effective. They stop cancer cells from growing by blocking the hedgehog signaling pathway.
Treatment for Rare Metastatic Cases
For rare cases of BCC spreading, treatment often combines surgery, radiation, and systemic treatments like chemotherapy or immunotherapy. Researchers are also looking into new ways to treat metastatic BCC through clinical trials.
Here are the main treatment options:
- Mohs micrographic surgery for precise removal
- Radiation therapy for non-surgical candidates
- Targeted therapies for inoperable cases
- Multimodal treatment for metastatic disease
Conclusion
It’s important to know the basal cell carcinoma symptoms early. BCC skin cancer can show up in many ways and places on the body. This often happens because of too much sun or family history.
Ignoring BCC can cause serious problems. It can damage nearby tissues and, very rarely, spread to other parts of the body. Knowing how to treat BCC can help patients get better.
Spotting BCC early and treating it right is key. Doctors use different methods like Mohs surgery, radiation, or special medicines. The choice depends on the cancer’s size and where it is.
Knowing the basal cell carcinoma symptoms and acting fast can help a lot. Regular skin checks and talks with skin doctors are important for those at risk.
By staying alert and informed, people can fight against BCC skin cancer. This way, they can get the right treatment on time.
FAQ
What are the common symptoms of basal cell carcinoma?
Symptoms of basal cell carcinoma include a new growth or sore that doesn’t heal. It can also show as a shiny bump or a red patch. The ABCDE rule helps spot it: Asymmetry, Border irregularity, Color variation, Diameter over 6mm, and Evolving size or color.
What does basal cell carcinoma look like?
Basal cell carcinoma can look like a nodular, superficial, morpheaform, or pigmented lesion. Nodular BCC is a shiny, flesh-colored or pink bump. Superficial BCC is a flat, red or pink patch. Morpheaform BCC looks like a scar, and pigmented BCC is a darkly pigmented lesion.
Can basal cell carcinoma spread if left untreated for 2 years?
Basal cell carcinoma grows slowly. Leaving it untreated for 2 years can cause tissue damage. In rare cases, it can spread, but this usually happens in neglected tumors.
How is basal cell carcinoma diagnosed?
A biopsy is used to diagnose basal cell carcinoma. A sample of the skin lesion is examined under a microscope. CT or MRI scans may be used to check if the cancer has spread.
What are the treatment options for locally advanced or spreading basal cell carcinoma?
For locally advanced or spreading BCC, treatments include Mohs surgery, radiation, and targeted therapies like vismodegib or sonidegib. In rare cases, chemotherapy or immunotherapy may be used.
Is basal cell carcinoma on the nose more dangerous?
Basal cell carcinoma on the nose is harder to treat because of its location. It can invade nearby tissue. Quick treatment is key to avoid damage and get the best results.
What are the signs that basal cell carcinoma has spread?
Signs of spread include ulceration, bleeding, or pain. Also, numbness, weakness, or trouble moving the area. Rarely, systemic symptoms like weight loss or fatigue may occur.
What is the difference between basal cell carcinoma and squamous cell carcinoma?
Both are skin cancers, but differ in aggressiveness and metastasis risk. Squamous cell carcinoma is more aggressive and likely to spread. Basal cell carcinoma grows slower and rarely spreads.
Can nodular basal cell carcinoma be treated effectively?
Nodular basal cell carcinoma can be treated with Mohs surgery, radiation, or surgical excision. The best treatment depends on the tumor’s size, location, and the patient’s health.
Reference
New England Journal of Medicine. Evidence-Based Medical Insight. Retrieved from https://www.nejm.org/doi/full/10.1056/nejmra044151