Understanding plasma cell cancer and bone marrow health.

Hematology focuses on diseases of the blood, bone marrow, and lymphatic system. Learn about the diagnosis and treatment of anemia, leukemia, and lymphoma.

We're Here to Help.
Get in Touch.

Send us all your questions or requests, and our expert team will assist you.

Doctors
GDPR

Overview and Definition of Multiple Myeloma

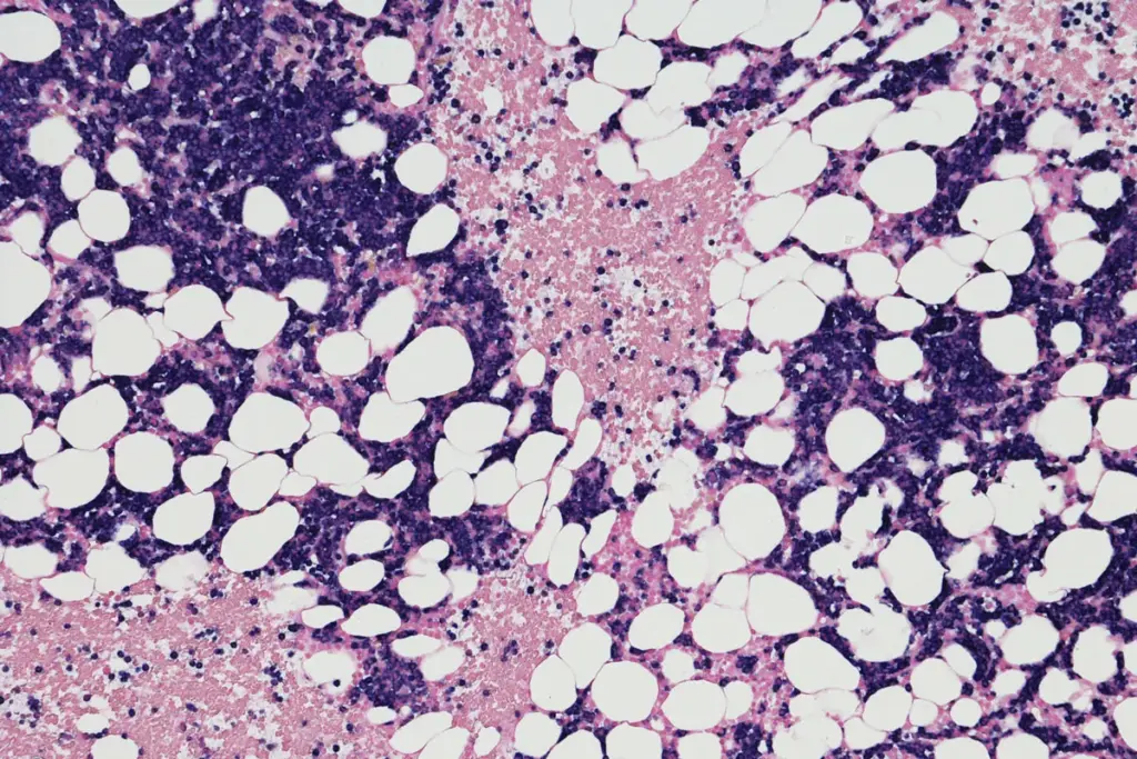
The overview and definition of multiple myeloma provides essential insight for patients, families, and healthcare professionals seeking clear information about this complex blood cancer. Multiple myeloma is a malignant disease of the plasma cells—a type of white blood cell that normally produces antibodies. When these cells become cancerous, they proliferate in the bone marrow, disrupting normal blood formation and leading to a range of systemic complications.

International patients turning to Liv Hospital often ask, “What exactly is multiple myeloma, and how does it affect my health?” This page answers that question by delivering a thorough overview and definition of the disease, exploring its causes, clinical presentation, diagnostic pathways, treatment modalities, and supportive care options. Whether you are newly diagnosed, considering a second opinion, or supporting a loved one, the information here is designed to empower you with a solid foundation for informed decision‑making.

According to the International Myeloma Working Group, over 160,000 new cases are diagnosed worldwide each year, underscoring the importance of early recognition and comprehensive care. Liv Hospital’s multidisciplinary team combines JCI‑accredited expertise with personalized international patient services to guide you through every step of the journey.

What Is Multiple Myeloma? An In‑Depth Overview

Multiple myeloma is a cancer that originates in the plasma cells of the bone marrow. These abnormal cells multiply uncontrollably, producing excessive monoclonal immunoglobulin (often called M‑protein) that can be detected in blood or urine. The disease typically progresses through several stages, from asymptomatic monoclonal gammopathy of undetermined significance (MGUS) to overt symptomatic myeloma.

Key characteristics include:

  • Clonal proliferation of malignant plasma cells
  • Overproduction of a single type of immunoglobulin
  • Bone destruction leading to lytic lesions
  • Suppression of normal blood cell production

Understanding the disease’s biology is crucial for selecting appropriate therapies. Modern treatment strategies target both the cancerous plasma cells and the microenvironment that supports their growth.

Stage

Clinical Features

Typical Management

 

MGUS

Low M‑protein, no organ damage

Regular monitoring

Smoldering Myeloma

Higher M‑protein, no symptoms

Observation or early intervention trials

Active Multiple Myeloma

CRAB criteria (Calcium, Renal, Anemia, Bone lesions)

Combination therapy, possible stem cell transplant

shutterstock 2386091675 LIV Hospital

Causes and Risk Factors

While the exact cause of multiple myeloma remains unknown, several risk factors have been identified through epidemiological studies. These factors do not guarantee disease development but increase susceptibility.

Prominent risk factors include:

  1. Age: Most diagnoses occur after age 60.
  2. Gender: Men are slightly more affected than women.
  3. Race: Higher incidence in African‑American populations.
  4. Family History: First‑degree relatives with plasma‑cell disorders.
  5. Environmental Exposures: Radiation, certain chemicals (e.g., benzene), and occupational hazards.
  6. Obesity: Chronic inflammation linked to higher risk.

Genetic abnormalities, such as translocations involving the immunoglobulin heavy chain locus (IGH), are common in myeloma cells and drive malignant transformation. Ongoing research at leading institutions, including Liv Hospital’s oncology department, investigates how these genetic events interact with environmental triggers.

Signs and Symptoms: Recognizing the Disease Early

Multiple myeloma often presents with subtle or nonspecific symptoms, which can delay diagnosis. Recognizing the hallmark signs enables earlier intervention and better outcomes.

Typical clinical manifestations include:

  • Bone Pain: Persistent pain, especially in the spine or ribs, due to lytic lesions.
  • Hypercalcemia: Elevated calcium levels causing fatigue, nausea, and confusion.
  • Renal Impairment: Kidney dysfunction from light‑chain deposition.
  • Anemia: Low red blood cell count leading to weakness and shortness of breath.
  • Infections: Impaired immune function increases susceptibility.
  • Weight Loss and general malaise.

Physicians use the CRAB acronym (Calcium elevation, Renal failure, Anemia, Bone lesions) as a quick reference to identify organ damage attributable to myeloma. Prompt evaluation of these signs, especially in patients with known risk factors, is essential for timely treatment.

shutterstock 2476476493 LIV Hospital

Diagnosis and Staging: From Lab Tests to Imaging

Diagnosing multiple myeloma requires a combination of laboratory studies, imaging, and bone marrow evaluation. The process is systematic to ensure accurate classification and optimal therapeutic planning.

Core diagnostic components:

  • Serum Protein Electrophoresis (SPEP) and Immunofixation: Detect monoclonal protein.
  • Serum Free Light Chain Assay: Quantifies light‑chain imbalance.
  • Complete Blood Count (CBC) and Metabolic Panel: Assess anemia, calcium, and renal function.
  • Bone Marrow Biopsy: Determines plasma‑cell percentage and cytogenetics.
  • Imaging: Whole‑body low‑dose CT, MRI, or PET‑CT to identify bone lesions.

Staging utilizes the International Staging System (ISS) and Revised ISS (R‑ISS), which incorporate serum beta‑2 microglobulin, albumin, LDH levels, and high‑risk cytogenetic abnormalities.

ISS Stage

Beta‑2 Microglobulin (mg/L)

Serum Albumin (g/dL)

 

I

<3.5

≥3.5

II

3.5–5.5

≥3.5 or <3.5

III

>5.5

Any

Liv Hospital’s state‑of‑the‑art diagnostic suite ensures precise staging, which directly influences the selection of therapeutic regimens.

Treatment Options: From Standard Therapies to Cutting‑Edge Innovations

Therapeutic strategies for multiple myeloma have evolved dramatically over the past two decades, shifting the disease from a uniformly fatal condition to a chronic, manageable illness for many patients.

Current treatment pillars include:

  1. Induction Therapy: Combination regimens such as VRd (bortezomib, lenalidomide, dexamethasone) or Dara‑VMP (daratumumab, bortezomib, melphalan, prednisone).
  2. Autologous Stem Cell Transplant (ASCT): High‑dose melphalan followed by reinfusion of the patient’s own stem cells, improving depth of response.
  3. Consolidation and Maintenance: Lenalidomide or ixazomib to sustain remission.
  4. Targeted Therapies: Proteasome inhibitors, immunomodulatory drugs (IMiDs), monoclonal antibodies, and newer agents like selinexor.
  5. Cellular Immunotherapy: CAR‑T cell products (e.g., idecabtagene vicleucel) for relapsed/refractory disease.
  6. Supportive Care: Bisphosphonates for bone health, erythropoiesis‑stimulating agents, and infection prophylaxis.

Liv Hospital’s multidisciplinary team tailors treatment plans based on disease stage, genetic risk, comorbidities, and patient preferences, integrating clinical trial opportunities when appropriate.

shutterstock 1906936195 LIV Hospital

Living with Multiple Myeloma: Supportive Care and Quality of Life

Beyond medical therapy, managing multiple myeloma involves addressing physical, emotional, and logistical challenges. Comprehensive supportive care improves outcomes and patient satisfaction.

Key components of survivorship care include:

  • Bone Health Management: Regular bisphosphonate infusions, calcium and vitamin D supplementation, and weight‑bearing exercise.
  • Renal Protection: Hydration protocols and avoidance of nephrotoxic agents.
  • Infection Prevention: Vaccinations, antiviral prophylaxis, and prompt treatment of febrile episodes.
  • Psychosocial Support: Counseling, support groups, and stress‑reduction programs.
  • Nutrition and Physical Activity: Tailored diet plans and physiotherapy to maintain strength.

Liv Hospital’s International Patient Services team coordinates travel, accommodation, interpreter assistance, and post‑treatment follow‑up, ensuring a seamless experience for patients traveling from abroad.

Research Advances and Clinical Trials: Shaping the Future of Care

Ongoing research continues to push the boundaries of what is possible in multiple myeloma treatment. Emerging areas of interest include:

  1. Novel Immunotherapies: Bispecific antibodies that engage T‑cells directly with myeloma cells.
  2. Precision Medicine: Genomic profiling to match patients with targeted agents.
  3. Microenvironment Modulation: Drugs that disrupt the bone‑marrow niche supporting plasma‑cell survival.
  4. Minimal Residual Disease (MRD) Monitoring: Highly sensitive assays to guide treatment duration.

Liv Hospital actively participates in multinational clinical trials, offering patients access to therapies not yet widely available. Enrollment criteria and trial phases are reviewed individually to match each patient’s clinical profile.

shutterstock 2264100023 LIV Hospital

Why Choose Liv Hospital

Liv Hospital combines JCI‑accredited clinical excellence with a dedicated 360‑degree international patient program. Our hematology department leverages cutting‑edge technology, multidisciplinary expertise, and personalized care pathways to deliver optimal outcomes for multiple myeloma patients from around the world. From seamless appointment scheduling to multilingual interpreter services and comfortable accommodation assistance, we ensure that every aspect of your journey is handled with professionalism and compassion.

Ready to take the next step in your multiple myeloma care? Contact Liv Hospital today to schedule a comprehensive consultation with our world‑class hematology team and discover how our tailored international services can support you throughout treatment.

liv-hospital-i

30 Years of
Excellence

Trusted Worldwide

With patients from across the globe, we bring over three decades of medical

Book a Free Certified Online
Doctor Consultation

Clinics/branches
GDPR
Prof. MD. Oral Nevruz Prof. MD. Oral Nevruz Hematology Overview and Definition
Group 346 LIV Hospital

Reviews from 9,651

4,9

Was this article helpful?

Was this article helpful?

We're Here to Help.
Get in Touch.

Send us all your questions or requests, and our expert team will assist you.

Doctors
GDPR

FREQUENTLY ASKED QUESTIONS

What is multiple myeloma and how does it affect the body?

Multiple myeloma originates from malignant plasma cells, a type of white blood cell that normally creates antibodies. These cancerous cells proliferate in the bone marrow, leading to overproduction of a single monoclonal protein (M‑protein). The disease interferes with normal blood cell production, causing anemia, kidney damage, bone lesions, and immune suppression. As the tumor burden grows, patients may experience bone pain, hypercalcemia, and increased risk of infections, reflecting the systemic impact of the disease.

Patients often present with persistent bone pain, especially in the spine or ribs, due to lytic lesions. Elevated calcium levels (hypercalcemia) cause fatigue, nausea, and confusion. Renal impairment arises from light‑chain deposition in the kidneys. Anemia leads to weakness and shortness of breath. The compromised immune system results in recurrent infections, and many patients also notice unexplained weight loss and general malaise. The CRAB acronym (Calcium, Renal, Anemia, Bone lesions) helps clinicians quickly identify organ damage related to myeloma.

The diagnostic work‑up includes serum protein electrophoresis and immunofixation to detect M‑protein, serum free light‑chain assay, complete blood count, metabolic panel, and a bone‑marrow biopsy to assess plasma‑cell percentage and cytogenetics. Imaging—low‑dose whole‑body CT, MRI, or PET‑CT—identifies bone lesions. Staging employs the ISS, which incorporates beta‑2 microglobulin and albumin levels, and the Revised ISS adds LDH and high‑risk cytogenetic abnormalities. Accurate staging guides treatment intensity and prognosis.

First‑line therapy usually consists of induction combinations such as VRd (bortezomib, lenalidomide, dexamethasone) or Dara‑VMP (daratumumab, bortezomib, melphalan, prednisone). Eligible patients may undergo autologous stem cell transplant to deepen response. Consolidation and maintenance—often lenalidomide or ixazomib—help sustain remission. Targeted agents include proteasome inhibitors, immunomodulatory drugs, monoclonal antibodies, and newer molecules like selinexor. For relapsed/refractory disease, CAR‑T cell therapy (e.g., idecabtagene vicleucel) and bispecific antibodies are emerging options. Supportive measures such as bisphosphonates, infection prophylaxis, and anemia management are integral to care.

Supportive care focuses on maintaining bone integrity with bisphosphonate infusions, calcium/vitamin D supplementation, and weight‑bearing exercise. Renal protection involves adequate hydration and avoidance of nephrotoxic drugs. Infection prevention includes vaccinations, antiviral prophylaxis, and prompt treatment of fevers. Psychosocial services—counseling, support groups, stress‑reduction programs—address emotional needs. Tailored nutrition plans and physiotherapy help preserve strength and stamina. Liv Hospital’s International Patient Services also coordinate travel, accommodation, and interpreter assistance to reduce logistical stress.

Liv Hospital actively enrolls patients in multinational multiple myeloma trials, ranging from novel immunotherapies to precision‑medicine approaches. Interested individuals should reach out through the hospital’s International Patient Services or directly schedule a consultation with the hematology department. Clinicians review the patient’s disease stage, genetic profile, prior therapies, and overall health to determine trial suitability. If eligible, the team assists with consent, logistics, and coordination of study visits, providing access to cutting‑edge treatments not yet widely available.

Spine Hospital of Louisiana

How helpful was it?

helpful
GDPR
helpful
GDPR
helpful
GDPR